Sign in to use this feature.

Years

Between: -

Subjects

remove_circle_outline
remove_circle_outline
remove_circle_outline
remove_circle_outline
remove_circle_outline
remove_circle_outline
remove_circle_outline
remove_circle_outline
remove_circle_outline

Journals

remove_circle_outline
remove_circle_outline
remove_circle_outline
remove_circle_outline
remove_circle_outline

Article Types

Countries / Regions

Search Results (138)

Search Parameters:
Keywords = EMMS

Order results
Result details
Results per page
Select all
Export citation of selected articles as:
28 pages, 3143 KB  
Article
Week-by-Week Predictive Value of External Load Ratios on Injury Risk in Professional Soccer: A Logistic Regression and ROC Curve Analysis Approach
by Andreas Fousekis, Konstantinos Fousekis, Georgios Fousekis, Gregory Bizas, Sotiris Vino, Gerasimos Paraskevopoulos, Georgios Gounelas, Panagiotis Konomaras, Yiannis Michailidis, Andreas Stafylidis, Athanasios Mandroukas, Nikolaos Koutlianos, Iosif Gavriilidis and Thomas Metaxas
Medicina 2025, 61(11), 1954; https://doi.org/10.3390/medicina61111954 - 30 Oct 2025
Viewed by 1017
Abstract
Background and Objectives: This study aimed to assess the week-by-week predictive value of Acute:Chronic Workload Ratios (ACWRs) for non-contact injury risk in professional soccer players. Materials and Methods: A cohort of 40 elite players was monitored using GPS over two competitive [...] Read more.
Background and Objectives: This study aimed to assess the week-by-week predictive value of Acute:Chronic Workload Ratios (ACWRs) for non-contact injury risk in professional soccer players. Materials and Methods: A cohort of 40 elite players was monitored using GPS over two competitive seasons. Binomial logistic regression and ROC curve analyses were performed on ACWR metrics—including total distance, moderate-to high-speed running, sprinting, acceleration, and deceleration—during the four weeks prior to injury (W4 to W1). p-values were further adjusted for multiple comparisons using the false discovery rate (FDR) correction (q < 0.05). Results: Significant predictive models emerged mainly for ACWR metrics related to moderate-speed running (15–20 km/h), sprinting (>25 km/h), and acceleration/deceleration. The ACWR for 15–20 km/h (DSR15–20) demonstrated the highest predictive accuracy, particularly in Week 3 (AUC = 0.811, p = 0.004). Sprinting (DSR>25) was also significantly associated with injury occurrence across Weeks 1–4 (AUC = 0.709–0.755, p = 0.011–0.024). Acceleration (ACC) and deceleration (DEC) metrics showed significant associations prior to correction—ACC in Weeks 3–4 (AUC = 0.737–0.755, p = 0.020–0.026) and DEC in Weeks 3–4 (AUC = 0.720–0.741, p = 0.029–0.043)—but these associations did not retain significance following FDR adjustment (q = 0.052–0.086). In contrast, total distance (ACWR TD) and high-speed running (20–25 km/h) were weaker predictors, reaching only marginal or nonsignificant levels (e.g., Week 3, AUC = 0.675, p = 0.054). After FDR correction, only DSR15–20 and DSR>25 remained statistically significant (q < 0.05), confirming them as robust predictors of non-contact injury risk. Multivariable models adjusted for age and playing position confirmed these findings, with DSR15–20 and DSR>25 retaining their predictive value independent of confounding factors. Injury risk thresholds were established through Estimated Marginal Means (EMMs), defining the “Sweet Spot” and “Danger Zone” for each metric, whereas the “Low Load” zone was treated as exploratory. Conclusions: This weekly ACWR monitoring approach enables practical injury risk profiling, helping training staff optimize load management and minimize non-contact injury risk in elite soccer. Full article
(This article belongs to the Section Sports Medicine and Sports Traumatology)
Show Figures

Figure 1

10 pages, 1387 KB  
Case Report
Rare emm6.10 Streptococcus pyogenes Causing an Unusual Invasive Infection in a Child: Clinical and Genomic Insights
by Laurent Blairon, Marie Tré-Hardy, Veerle Matheeussen, Sien De Koster, Marie Cassart, Sarah Heenen, Andrea Nebbioso and Nancy Vitali
Microorganisms 2025, 13(11), 2475; https://doi.org/10.3390/microorganisms13112475 - 29 Oct 2025
Viewed by 179
Abstract
Invasive group A streptococcal (iGAS) infections are increasingly recognized as a global public health concern, with a notable resurgence observed among pediatric populations in high-income countries following the relaxation of COVID-19-related restrictions. While the most commonly implicated emm types in invasive disease are [...] Read more.
Invasive group A streptococcal (iGAS) infections are increasingly recognized as a global public health concern, with a notable resurgence observed among pediatric populations in high-income countries following the relaxation of COVID-19-related restrictions. While the most commonly implicated emm types in invasive disease are emm1 and emm3, the global distribution of Streptococcus pyogenes strains is highly diverse, posing challenges for surveillance and vaccine development. We describe a 3-year-old boy with a femoral subperiosteal abscess, a rare clinical manifestation of iGAS, caused by an emm6.10 S. pyogenes strain. The diagnosis was confirmed by positive blood cultures and magnetic resonance imaging. Antibiotic therapy included intravenous ceftriaxone followed by oral amoxicillin, and then prolonged oral clindamycin was introduced due to the deep-seated nature of the infection. Molecular typing was performed by the national reference center as part of routine surveillance of invasive strains. This case emphasizes the importance of recognizing atypical clinical presentations of iGAS in children and the crucial role of strain typing in epidemiological monitoring. It also illustrates how the remarkable emm-type diversity of S. pyogenes remains a major obstacle to effective vaccine design, despite ongoing efforts with multivalent M-protein-based candidates and alternative strategies targeting conserved antigens. Enhanced global surveillance and inclusive vaccine design are urgently needed to address the full spectrum of circulating GAS strains. Full article
(This article belongs to the Section Medical Microbiology)
Show Figures

Figure 1

13 pages, 576 KB  
Article
Molecular Characterization of Streptococcus pyogenes Isolates Recovered from Hospitalized Patients During the Years 2023–2024
by Adile A. Muhtarova, Vasil S. Boyanov, Alexandra S. Alexandrova and Raina T. Gergova
Microorganisms 2025, 13(9), 2148; https://doi.org/10.3390/microorganisms13092148 - 15 Sep 2025
Viewed by 1301
Abstract
In recent years, the incidence of severe Streptococcus pyogenes (group A Streptococcus, GAS) infections has been increasing worldwide, similar to trends observed prior to the COVID-19 pandemic, alongside a rise in antibiotic resistance. In the present study, we identified the circulating 12 emm [...] Read more.
In recent years, the incidence of severe Streptococcus pyogenes (group A Streptococcus, GAS) infections has been increasing worldwide, similar to trends observed prior to the COVID-19 pandemic, alongside a rise in antibiotic resistance. In the present study, we identified the circulating 12 emm types and 8 clusters of 70 GAS isolates among inpatients, investigated their association with antibiotic susceptibility, and compared these findings with earlier research conducted in our country. The predominant emm types and clusters were emm1, emm3, and emm4, and A-C3, E4, and, A-C5, respectively. emm1 was the most common among patients with skin and soft tissue infections or pneumonia, while emm3 was detected in patients with peritonsillar abscesses. All isolates demonstrated susceptibility to penicillin and linezolid, whereas the prevalence of resistance to macrolides, lincosamides, and tetracyclines was found to be 14.3%, 14.3%, and 18.6%, respectively. A notable change in the distribution of emm-types/clusters has been observed, with emm1/A-C3 now identified as the most prevalent, differing from our previous study conducted in the pre-COVID-19 period. Additionally, we noted a decrease in resistance to macrolides attributed to a lower prevalence of emm28 clone. The current research is important for monitoring isolates responsible for severe infections, which is crucial for GAS surveillance. Full article
Show Figures

Figure 1

13 pages, 618 KB  
Review
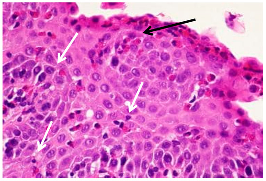
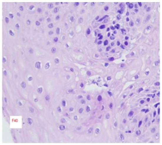
Eosinophilic Esophagitis—Catching Up with the Hype Train: A Systematic Overview and Review of the Literature of the Emerging Disease
by Jawad Hindy, Amir Mari, Tova Rainis and Gadeer A’li Taha
Biomedicines 2025, 13(9), 2230; https://doi.org/10.3390/biomedicines13092230 - 10 Sep 2025
Viewed by 1777
Abstract
Background: Eosinophilic esophagitis (EoE) is a chronic, immune-mediated esophageal disorder characterized by Th2-driven inflammation. Clinically, it manifests as esophageal dysfunction, including dysphagia and food impaction, and is frequently associated with atopic comorbidities. Methods: Diagnosis is established via histologic confirmation of ≥15 [...] Read more.
Background: Eosinophilic esophagitis (EoE) is a chronic, immune-mediated esophageal disorder characterized by Th2-driven inflammation. Clinically, it manifests as esophageal dysfunction, including dysphagia and food impaction, and is frequently associated with atopic comorbidities. Methods: Diagnosis is established via histologic confirmation of ≥15 eosinophils per high-power field (hpf) on esophageal biopsy. Clinical presentation varies, ranging from subtle dysphagia to severe complications necessitating urgent endoscopic intervention. Results: Disease progression is characterized by esophageal remodeling, encompassing fibrosis, angiogenesis, and muscular hypertrophy. Management strategies require individualized, long-term approaches aimed at symptom control and prevention of structural complications. Discussion: Advances in the last decade have refined diagnostic criteria, standardized endoscopic scoring systems, and introduced novel therapeutic agents, including biologics. This review synthesizes current evidence regarding epidemiology, clinical manifestations, diagnostics, and therapeutic strategies. Full article
(This article belongs to the Section Immunology and Immunotherapy)
Show Figures

Figure 1

2 pages, 136 KB  
Abstract
Human Antibodies to M-Protein Epitope-Based Vaccines Demonstrate Increased Immunogenicity and Streptococcus pyogenes (StrepA) Bactericidal Activity
by Christie T. M. Short, Vanessa Meier-Stephenson, Victoria Ozberk, Ainslie Calcutt, Simone Reynolds, Ijeoma Ogbuehi, Avi Seth, Kelly Kim, Michael Hawkes, Gregory J. Tyrrell, D. Lorne Tyrrell, Michael Houghton, Manisha Pandey and Michael F. Good
Proceedings 2025, 124(1), 18; https://doi.org/10.3390/proceedings2025124018 - 18 Aug 2025
Viewed by 751
Abstract
The high antigenic diversity of Streptococcus pyogenes (StrepA) presents extensive challenges to vaccine development; however, cryptic epitopes—conserved across emm types—offer an alternative approach [...] Full article
2 pages, 133 KB  
Abstract
Incidence of Invasive Group A Streptococcal Infections and Comparison of emm Types from Carriage, Pharyngitis, and Invasive Infections in Indigenous Communities in the Southwest United States
by Catherine G. Sutcliffe, Victoria M. Sergent, Joyselynn Pitalua, Sopio Chochua, Christopher J. Gregory, Chloe Hurley, Zhongya Li, Saundra Mathis, Lesley McGee, Jennifer Onukwube Okaro, Theresa Tran, Robert Weatherholtz and Laura L. Hammitt
Proceedings 2025, 124(1), 16; https://doi.org/10.3390/proceedings2025124016 - 15 Aug 2025
Viewed by 462
Abstract
Background: Indigenous communities are disproportionately affected by group A Streptococcus (GAS) infections [...] Full article
14 pages, 493 KB  
Review
Recent Changes in the Epidemiology of Group A Streptococcus Infections: Observations and Implications
by Susanna Esposito, Marco Masetti, Carolina Calanca, Nicolò Canducci, Sonia Rasmi, Alessandra Fradusco and Nicola Principi
Microorganisms 2025, 13(8), 1871; https://doi.org/10.3390/microorganisms13081871 - 11 Aug 2025
Cited by 3 | Viewed by 2851
Abstract
Streptococcus pyogenes (Group A Streptococcus, GAS) is a major human pathogen capable of causing infections ranging from mild pharyngitis and impetigo to severe invasive diseases such as bacteremia, necrotizing fasciitis, and streptococcal toxic shock syndrome (STSS). Historically, the incidence of GAS infections [...] Read more.
Streptococcus pyogenes (Group A Streptococcus, GAS) is a major human pathogen capable of causing infections ranging from mild pharyngitis and impetigo to severe invasive diseases such as bacteremia, necrotizing fasciitis, and streptococcal toxic shock syndrome (STSS). Historically, the incidence of GAS infections declined during the early antibiotic era but began rising again from the early 2000s, driven partly by the emergence of hyper-virulent strains such as emm1 and emm12. From 2005 onward, significant increases in GAS infections were reported globally, accompanied by rising antibiotic resistance, particularly to macrolides and tetracyclines. During the COVID-19 pandemic, widespread public health measures led to a sharp decline in GAS infections, including invasive cases, but this trend reversed dramatically in late 2022 and 2023, with surges exceeding pre-pandemic levels, notably in children. Recent data implicate factors such as “immunity debt,” viral co-infections, and the spread of virulent clones like M1UK. Looking forward, continued surveillance of GAS epidemiology, virulence factors, and resistance patterns is critical. Moreover, the emergence of GAS isolates with reduced susceptibility to beta-lactams underscores the need for vigilance despite the absence of fully resistant strains. The development of an effective vaccine remains an urgent priority to reduce GAS disease burden and prevent severe outcomes. Future research should focus on vaccine development, molecular mechanisms of virulence, and strategies to curb antimicrobial resistance. Full article
(This article belongs to the Special Issue Current Challenges in Infectious Diseases Post COVID-19 Pandemic)
Show Figures

Figure 1

2 pages, 127 KB  
Abstract
Whole-Genome Sequencing Reveals the Genetic Divergence of the emm1-2 Genotype Prevalent in India from the Globally Prevalent emm1, Supporting Its Classification as a Distinct Genotype
by Vivek Sagar, Gurwinder Kaur, Anuradha Chakraborti and Rajesh Kumar
Proceedings 2025, 124(1), 9; https://doi.org/10.3390/proceedings2025124009 - 8 Aug 2025
Viewed by 423
Abstract
The significant genetic diversity among Group A Streptococcal (GAS) strains isolated from various geographical regions presents serious challenges for treatment and vaccine development strategies [...] Full article
2 pages, 115 KB  
Abstract
A Molecular Epidemiology of Invasive Group A Streptococcus (iGAS) Infection Detected Within the Hunter New England Local Health District (HNELHD) of New South Wales (NSW), Australia from 2007 to 2017
by Pappu K. Mandal, Trent A. J. Butler, Emily Green, Kirsten M. Williamson, Sebastiaan Van Hal and Hemalatha Varadhan
Proceedings 2025, 124(1), 6; https://doi.org/10.3390/proceedings2025124006 - 7 Aug 2025
Viewed by 416
Abstract
Invasive Group A Streptococcal infection (iGAS) is an uncommon but serious infection with reported case fatality rates of up to 15% [...] Full article
2 pages, 128 KB  
Abstract
Invasive Group A Streptococcus and Respiratory Viral Coinfections in Alberta, Canada, from 2018 to 2024
by Skyler Ngo, Alexa Thompson and Gregory J. Tyrrell
Proceedings 2025, 124(1), 4; https://doi.org/10.3390/proceedings2025124004 - 6 Aug 2025
Viewed by 419
Abstract
Intro: The epidemiology of invasive group A Streptococcus (iGAS) has been previously documented in Alberta, Canada; however, the role coinfections with respiratory viral infections (VRIs) play with associated emm types remains unclear [...] Full article
11 pages, 593 KB  
Article
Burden of Streptococcus pyogenes and emm12 Type in Severe Otitis Media Among Children
by Alexandra S. Alexandrova, Adile A. Muhtarova, Vasil S. Boyanov and Raina T. Gergova
Microbiol. Res. 2025, 16(8), 181; https://doi.org/10.3390/microbiolres16080181 - 3 Aug 2025
Cited by 1 | Viewed by 1291
Abstract
Streptococcus pyogenes (GAS) is a leading cause of acute otitis media (AOM) and its complications. This study aimed to evaluate the antimicrobial resistance of all isolated bacterial agents recovered from children with AOM and to perform the emm typing of GAS isolates. Antibiotic [...] Read more.
Streptococcus pyogenes (GAS) is a leading cause of acute otitis media (AOM) and its complications. This study aimed to evaluate the antimicrobial resistance of all isolated bacterial agents recovered from children with AOM and to perform the emm typing of GAS isolates. Antibiotic susceptibility testing was evaluated according to EUCAST criteria. Phenotyping and genotyping were performed for the macrolide-resistant GAS isolates. All GAS isolates were subjected to emm typing. Among the 103 AOM cases considered, we identified GAS isolates (39.4%), Staphylococcus aureus (26.6%), Haemophilus influenzae (13.8%), Streptococcus pneumoniae (11.7%), Moraxella catarrhalis (7.4%), and Serratia marcescens (1.1%). GAS exhibited 32.4% macrolide resistance and 10.8% clindamycin resistance. The M phenotype and mefE gene (18.9%) were the most common, followed by cMLSB (10.8% with ermB), a combination of mefA and ermB (8.1%), and iMLSB (2.7% with ermA). The most prevalent emm types were emm12 (27.0%), emm1 (21.6%), and emm3 (16.2%). The most common GAS emm types identified among AOM patients in this study are found worldwide and are associated with invasive infections in various countries. This may influence the virulence and invasive potential of these strains. Full article
Show Figures

Figure 1

11 pages, 393 KB  
Article
Group A Streptococcal Invasive Infections Among Children in Cyprus
by Maria Koliou, Gavriella Ioannou Vassiliadou, Athina Aristidou, Petros Ladas, Andreas Sergis, Maria Argyrou, Myria Charalambous, Markella Marcou, Maria Alexandrou, Juliana Coelho, Yan Ryan, Androulla Efstratiou and Stella Mazeri
Microorganisms 2025, 13(8), 1783; https://doi.org/10.3390/microorganisms13081783 - 31 Jul 2025
Viewed by 737
Abstract
An increase in invasive group A streptococcal (iGAS) infections among children under 15 years of age was reported in several countries between late 2022 and early 2023. This retrospective study aims to describe the epidemiology and clinical features of iGAS infections in children [...] Read more.
An increase in invasive group A streptococcal (iGAS) infections among children under 15 years of age was reported in several countries between late 2022 and early 2023. This retrospective study aims to describe the epidemiology and clinical features of iGAS infections in children in Cyprus during the same period. Medical records of patients under 16 years old admitted with iGAS infection to the Archbishop Makarios Hospital, the only tertiary paediatric referral centre in Cyprus, between 1 January 2021 and 30 June 2024, were reviewed. Twenty-two cases were identified, of which twenty were classified as confirmed and two as probable. Half of the cases occurred in children aged 0–4 years, and 59% were recorded between December 2022 and April 2023. Scarlet fever was diagnosed in six children, five of whom developed pneumonia and empyema. Streptococcal toxic shock syndrome (STSS) was observed in five patients, resulting in two deaths and one case requiring prolonged extracorporeal membrane oxygenation (ECMO). The overall case fatality rate was 9.1%. Emm 1, belonging to the M1UK clone, was the predominant strain (66.6%). The findings underscore the severity of iGAS infections, particularly in younger children, and highlight the importance of timely diagnosis, appropriate management and continued epidemiological surveillance. Full article
Show Figures

Figure 1

16 pages, 4576 KB  
Article
EMM Project—LD GRIDS: Design of a Charged Dust Analyser for Moon Exploration
by Diego Scaccabarozzi, Abdelrahman Mohamed Ragab M. Ahmed, Andrea Appiani, Bortolino Saggin, Carmen Porto and Francesca Esposito
Designs 2025, 9(3), 70; https://doi.org/10.3390/designs9030070 - 10 Jun 2025
Viewed by 956
Abstract
This work presents a comparative design of the sensing elements for the Lunar Dust GRID System (LD GRIDS), a dust analyser conceived to measure charged particles on future lunar missions. LD GRIDS replaces traditional electrodes with continuous conductive grids, i.e., the sensing elements [...] Read more.
This work presents a comparative design of the sensing elements for the Lunar Dust GRID System (LD GRIDS), a dust analyser conceived to measure charged particles on future lunar missions. LD GRIDS replaces traditional electrodes with continuous conductive grids, i.e., the sensing elements of the instrument, which are able to collect induced charge when charged particles pass through them. The investigation focuses on evaluating the influence of various grid geometrical parameters (size, thickness, and patterns) on the sensor’s performance, either from an electrical or a mechanical perspective. All simulations were carried out using off-the-shelf numerical modelling software, where electrostatic simulation (i.e., induction performance), modal analysis, and quasi-static structural responses under a high acceleration quasi-static load were examined. The results indicate that while grids with round patterns tend to produce a higher induced charge, they also experience higher localised stresses compared to square pattern ones. Moreover, grid size does not significantly affect the instrument sensitivity, whereas increasing the grid thickness significantly reduces peak stresses, with only minor effects on electrostatic performance. Overall, the findings provided valuable insights for optimising the LD GRIDS design, aimed at balancing either electrostatic sensitivity or mechanical resistance, facing the harsh lunar environment. Full article
Show Figures

Figure 1

15 pages, 2698 KB  
Article
Geometric Analysis of the Scaling of the Manganese Recovery Process Using Current Distribution and Potential Simulation Techniques
by Esaú M. Rodríguez Vigueras, Victor E. Reyes Cruz, Felipe M. Galleguillos Madrid, José A. Cobos Murcia, Quinik L. Reyes Morales, Gustavo Urbano Reyes, Marissa Vargas Ramírez, Felipe Legorreta García and Marinka Varas
Metals 2025, 15(5), 562; https://doi.org/10.3390/met15050562 - 20 May 2025
Viewed by 569
Abstract
Electrolytic metallic manganese (EMM) is used as an alloying metal to provide resistance to abrasion and corrosion. Highly pure EMM is obtained through electrorecovery or electrowinning. Efforts are ongoing to improve the efficiency and profitability of this process, as 85 to 90% of [...] Read more.
Electrolytic metallic manganese (EMM) is used as an alloying metal to provide resistance to abrasion and corrosion. Highly pure EMM is obtained through electrorecovery or electrowinning. Efforts are ongoing to improve the efficiency and profitability of this process, as 85 to 90% of manganese is produced by the mining industry. This study applied computer-aided engineering (CAE) to provide information on the behavior of the potential distribution at the electrodes in cells separated by membranes, which allows for the optimization of the EMM production process. The experimental results obtained galvanostatically for EMM allowed for validation of the simulation parameters. It was determined that the cell with 11 compartments is more suitable compared to cells with fewer compartments, since it has lower oxidation-normalized current density and oxidation potential, which affect the distribution of cathodic potential in the process of obtaining EMM. The simulation highlighted a better distribution of the cathodic and anodic potentials due to the increase in the number of electrodes. This saves time and resources in the design of electrochemical cells with a greater number of compartments. Full article
(This article belongs to the Section Computation and Simulation on Metals)
Show Figures

Graphical abstract

40 pages, 4760 KB  
Review
Sustainable Electric Micromobility Through Integrated Power Electronic Systems and Control Strategies
by Mohamed Krichi, Abdullah M. Noman, Mhamed Fannakh, Tarik Raffak and Zeyad A. Haidar
Energies 2025, 18(8), 2143; https://doi.org/10.3390/en18082143 - 21 Apr 2025
Cited by 2 | Viewed by 2020
Abstract
A comprehensive roadmap for advancing Electric Micromobility (EMM) systems addressing the fragmented and scarce information available in the field is defined as a transformative solution for urban transportation, targeting short-distance trips with compact, lightweight vehicles under 350 kg and maximum speeds of 45 [...] Read more.
A comprehensive roadmap for advancing Electric Micromobility (EMM) systems addressing the fragmented and scarce information available in the field is defined as a transformative solution for urban transportation, targeting short-distance trips with compact, lightweight vehicles under 350 kg and maximum speeds of 45 km/h, such as bicycles, e-scooters, and skateboards, which offer flexible, eco-friendly alternatives to traditional transportation, easing congestion and promoting sustainable urban mobility ecosystems. This review aims to guide researchers by consolidating key technical insights and offering a foundation for future exploration in this domain. It examines critical components of EMM systems, including electric motors, batteries, power converters, and control strategies. Likewise, a comparative analysis of electric motors, such as PMSM, BLDC, SRM, and IM, highlights their unique advantages for micromobility applications. Battery technologies, including Lithium Iron Phosphate, Nickel Manganese Cobalt, Nickel-Cadmium, Sodium-Sulfur, Lithium-Ion and Sodium-Ion, are evaluated with a focus on energy density, efficiency, and environmental impact. The study delves deeply into power converters, emphasizing their critical role in optimizing energy flow and improving system performance. Furthermore, control techniques like PID, fuzzy logic, sliding mode, and model predictive control (MPC) are analyzed to enhance safety, efficiency, and adaptability in diverse EMM scenarios by using cutting-edge semiconductor devices like Silicon Carbide (SiC) and Gallium Nitride (GaN) in well-known configurations, such as buck, boost, buck–boost, and bidirectional converters to ensure great efficiency, reduce energy losses, and ensure compact and reliable designs. Ultimately, this review not only addresses existing gaps in the literature but also provides a guide for researchers, outlining future research directions to foster innovation and contribute to the development of sustainable, efficient, and environmentally friendly urban transportation systems. Full article
Show Figures

Figure 1

Back to TopTop