Eosinophilic Esophagitis—Catching Up with the Hype Train: A Systematic Overview and Review of the Literature of the Emerging Disease
Abstract
1. Introduction
2. Endoscopic Findings
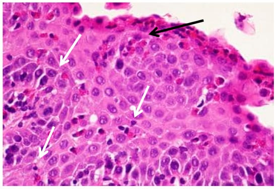
3. Histopathologic Features
4. Differential Diagnosis of Esophageal Eosinophilia and EoE Mimickers
Practical Clues Favoring EoE
- Endoscopic: Multifocal EREFS features—edema, concentric rings, exudates, furrows, strictures—especially in the proximal/mid esophagus [28]. Inter-observer variability and regional differences in endoscopic practice may affect reliability.
5. Diagnostic Criteria
- Prolonged symptoms caused by a dysfunctional esophagus.
- Primary histologic criterion: Peak eosinophil density of ≥15 eosinophils per high-power field (≈60 eos/mm2) within the squamous epithelium of the esophagus.Supportive features: Basal cell hyperplasia (often >20–30% of epithelial thickness; graded semiquantitatively), eosinophil micro-abscesses, eosinophil surface layering, eosinophil degranulation, dilated intercellular spaces (spongiosis), and lamina propria fibrosis when subepithelial tissue is present. 2
- Exclusion of other causes of eosinophilic tissue infiltration, primarily GERD (Gastroesophageal Reflux Disease), connective tissue diseases, and Crohn’s disease.
6. Motility Assessment Tests
6.1. High-Resolution Manometry
6.2. EndoFLIP
7. Management
7.1. Dietary Treatment
- Elemental Diet: The landmark 1995 study by Kelly et al. [41]. demonstrated remission in 10 children using amino-acid–based formula. Subsequent series confirmed high efficacy (>90% remission), but real-world use is limited by poor palatability, weight loss, high cost, and psychosocial burden [42]. Most studies are pediatric and small in scale, limiting generalizability.
- Empiric Elimination Diets (2-4-6 food): Empiric elimination of common food allergens (milk, wheat, egg, soy, nuts, seafood) achieves histologic remission in ~50–70% of patients [43]. Outcomes vary by the number of foods eliminated and by region: dairy is the most frequent trigger in Western cohorts, whereas wheat and soy predominate in some Asian series, highlighting geographic heterogeneity.
- Allergy Test–Directed Diets: Diets guided by skin-prick or patch testing have lower and inconsistent efficacy (~30–45% remission), as predictive value of allergy testing for EoE triggers is limited [44]. Evidence is derived largely from small observational cohorts, with variable methodology.
7.2. Proton Pump Inhibitors (PPIs)
7.3. Topical Corticosteroids
- Budesonide Orally Disintegrating Tablet (BOT, Jorveza): In phase III RCTs, Jorveza 1 mg twice daily induced histological and clinical remission in approximately 85–90% of patients at 12 weeks [54]. Maintenance trials (48 weeks, n = 204) demonstrated sustained remission in about 75% on 1 mg daily, with relapse upon discontinuation [55].
- Safety: The most frequent adverse effect is esophageal/oral candidiasis (~10–15%), typically mild and treatable [54,55]. Long-term studies indicate minimal systemic absorption, with no significant adrenal suppression, osteoporosis, or metabolic side effects [56,57]. Nonetheless, guidelines recommend periodic monitoring [56].
7.4. Biologic Therapy
- Anti-IL-5 agents (mepolizumab, reslizumab): Early randomized controlled trials (RCTs) demonstrated reductions in esophageal eosinophilia but no consistent clinical benefit, limiting their current role; trial designs were often small, heterogeneous, and predominantly focused on pediatric populations [57,58].
- Dupilumab (anti–IL-4Rα): This agent blocks IL-4 and IL-13 signaling—central to Th2-mediated inflammation. In phase III RCTs in adolescents and adults, weekly subcutaneous Dupilumab significantly improved dysphagia scores and reduced esophageal eosinophilia versus placebo [59]. Long-term extension studies confirm sustained efficacy and no new safety signals. The most commonly reported adverse events include injection-site reactions, mild conjunctivitis, and transient eosinophilia [59].
- Regulatory approval and guidelines: Dupilumab is now approved in the US, Europe, and other regions as the first biologic for EoE [60]. Some guidelines continue to recommend topical steroids as first-line due to cost considerations, while others endorse dupilumab as a first-line option for patients with severe disease or overlapping atopic comorbidities (e.g., asthma, dermatitis, chronic rhinosinusitis with nasal polyps) [60].
7.5. Endoscopic Dilatation
8. Natural History
9. Conclusions
Author Contributions
Funding
Institutional Review Board Statement
Informed Consent Statement
Data Availability Statement
Conflicts of Interest
References
- Dellon, E.S.; Liacouras, C.A.; Molina-Infante, J.; Furuta, G.T.; Spergel, J.M.; Zevit, N.; Sperry, S.L.; Shaheen, N.J.; Aceves, S.S.; Alexander, J.A.; et al. Updated international consensus diagnostic criteria for eosinophilic esophagitis: Proceedings of the AGREE conference. Gastroenterology 2018, 155, 1022–1033.e10. [Google Scholar] [CrossRef]
- Liacouras, C.A.; Furuta, G.T.; Hirano, I.; Atkins, D.; Attwood, S.E.; Bonis, P.A.; Burks, A.W.; Chehade, M.; Collins, M.H.; Dellon, E.S.; et al. Eosinophilic esophagitis: Updated consensus recommendations for children and adults. J. Allergy Clin. Immunol. 2011, 128, 3–20.e6, quiz 1–2. [Google Scholar] [CrossRef]
- Furuta, G.T.; Liacouras, C.A.; Collins, M.H.; Gupta, S.K.; Justinich, C.; Putnam, P.E.; Bonis, P.; Hassall, E.; Straumann, A.; Rothenberg, M.E.; et al. Eosinophilic esophagitis in children and adults: A systematic review and consensus recommendations for diagnosis and treatment. Gastroenterology 2007, 133, 1342–1363. [Google Scholar] [CrossRef]
- Alexander, E.S.; Martin, L.J.; Collins, M.H.; Kottyan, L.C.; Sucharew, H.; He, H.; Mukkada, V.A.; Succop, P.; Williams, M.S.; Abonia, J.P.; et al. Twin and family studies reveal strong environmental and weaker genetic cues explaining heritability of eosinophilic esophagitis. J. Allergy Clin. Immunol. 2014, 134, 1084–1092.e1. [Google Scholar] [CrossRef]
- Litosh, V.A.; Rochman, M.; Rymer, J.K.; Porollo, A.; Kottyan, L.C.; Rothenberg, M.E. Calpain-14 and its association with eosinophilic esophagitis. J. Allergy Clin. Immunol. 2017, 139, 1762–1771.e7. [Google Scholar] [CrossRef] [PubMed]
- Dellon, E.S.; Hirano, I. Epidemiology and natural history of eosinophilic esophagitis. Gastroenterology 2018, 154, 319–332.e3. [Google Scholar] [CrossRef] [PubMed]
- Weiss, A.H.; Iorio, N.; Schey, R. Esophageal motility in eosinophilic esophagitis. Rev. Gastroenterol. Mex. 2015, 80, 205–213. [Google Scholar] [CrossRef] [PubMed]
- Davis, B.P. Pathophysiology of eosinophilic esophagitis. Clin. Rev. Allergy Immunol. 2018, 55, 19–42. [Google Scholar] [CrossRef]
- Arias, A.; Perez-Martinez, I.; Tenias, J.M.; Lucendo, A.J. Systematic review with meta-analysis: The incidence and prevalence of eosinophilic oesophagitis in children and adults in population-based studies. Aliment. Pharmacol. Ther. 2016, 43, 3–15. [Google Scholar] [CrossRef]
- Mahesh, V.N.; Holloway, R.H.; Nguyen, N.Q. Changing epidemiology of food bolus impaction: Is eosinophilic esophagitis to blame? J. Gastroenterol. Hepatol. 2013, 28, 963–968. [Google Scholar] [CrossRef]
- Dellon, E.S. Epidemiology of eosinophilic esophagitis. Gastroenterol. Clin. N. Am. 2014, 43, 201–218. [Google Scholar] [CrossRef]
- Ali, M.A.; Lam-Himlin, D.; Voltaggio, L. Eosinophilic esophagitis: A clinical, endoscopic, and histopathologic review. Gastrointest. Endosc. 2012, 76, 1224–1237. [Google Scholar] [CrossRef] [PubMed]
- Straumann, A.; Spichtin, H.P.; Grize, L.; Bucher, K.A.; Beglinger, C.; Simon, H.U. Natural history of primary eosinophilic esophagitis: A follow-up of 30 adult patients for up to 11.5 years. Gastroenterology 2003, 125, 1660–1669. [Google Scholar] [CrossRef] [PubMed]
- Giriens, B.; Yan, P.; Safroneeva, E.; Zwahlen, M.; Rossi, L.; Bussmann, C.; Dorta, G.; Schoepfer, A.M. Escalating incidence of eosinophilic esophagitis in Canton of Vaud, Switzerland, 1993–2013, a population-based study. Allergy 2015, 70, 1633–1639. [Google Scholar] [CrossRef] [PubMed]
- Schoepfer, A.M.; Straumann, A.; Panczak, R.; Coslovsky, M.; Kuehni, C.E.; Maurer, E.; Haas, N.A.; Romero, Y.; Hirano, I.; Alexander, J.A.; et al. Development and validation of a symptom-based activity index for adults with eosinophilic esophagitis. Gastroenterology 2014, 147, 1255–1266. [Google Scholar] [CrossRef]
- Lucendo, A.J.; Arias-González, L.; Molina-Infante, J.; Rodríguez-Domíngez, B.; Fernández-Fernández, S.; Mateos, J.M.; Pérez-Martínez, I.; López-Vázquez, A.; Arias, Á. Determinant factors of quality of life in adult patients with eosinophilic esophagitis. United Eur. Gastroenterol. J. 2018, 6, 38–45. [Google Scholar] [CrossRef]
- Taft, T.H.; Carlson, D.A.; Simons, M.; Kahrilas, P.J.; Keefer, L.; Hirano, I. Esophageal hypervigilance and symptom-specific anxiety in patients with eosinophilic esophagitis. Gastroenterology 2021, 161, 1133–1144. [Google Scholar] [CrossRef]
- de Rooij, W.; Bennebroek Evertsz’, F.; Lei, A.; Kruizinga, J.; Smout, A.; Bredenoord, A.J. Mental distress among adult patients with eosinophilic esophagitis. Neurogastroenterol. Motil. 2021, 33, e14132. [Google Scholar] [CrossRef]
- Reed, C.C.; Corder, S.R.; Kim, E.; Jensen, E.T.; Koutlas, N.T.; Dellon, E.S. Psychiatric comorbidities and psychiatric medication use are highly prevalent in patients with eosinophilic esophagitis and associate with clinical presentation. Am. J. Gastroenterol. 2020, 115, 853–858. [Google Scholar] [CrossRef]
- Spergel, J.M.; Brown-Whitehorn, T.F.; Beausoleil, J.L.; Franciosi, J.; Shuker, M.; Verma, R.; Liacouras, C.A. 14 years of eosinophilic esophagitis: Clinical features and prognosis. J. Pediatr. Gastroenterol. Nutr. 2009, 48, 30–36. [Google Scholar] [CrossRef]
- Noel, R.J.; Putnam, P.E.; Rothenberg, M.E. Eosinophilic esophagitis. N. Engl. J. Med. 2004, 351, 940–941. [Google Scholar] [CrossRef] [PubMed]
- Nhu, Q.M.; Aceves, S.S. Tissue remodeling in chronic eosinophilic esophageal inflammation: Parallels in asthma and therapeutic perspectives. Front. Med. 2017, 4, 128. [Google Scholar] [CrossRef]
- Varadarajulu, S.; Eloubeidi, M.A.; Patel, R.S.; Mulcahy, H.E.; Barkun, A.; Jowell, P.S.; Cotton, P.B. The yield and the predictors of esophageal pathology when upper endoscopy is used for the initial evaluation of dysphagia. Gastrointest. Endosc. 2005, 61, 804–808. [Google Scholar] [CrossRef] [PubMed]
- Remedios, M.; Campbell, C.; Jones, D.M.; Kerlin, P. Eosinophilic esophagitis in adults: Clinical, endoscopic, histologic findings, and response to treatment with fluticasone propionate. Gastrointest. Endosc. 2006, 63, 3–12. [Google Scholar] [CrossRef]
- Hirano, I.; Moy, N.; Heckman, M.G.; Thomas, C.S.; Gonsalves, N.; Achem, S.R. Endoscopic assessment of the oesophageal features of eosinophilic oesophagitis: Validation of a novel classification and grading system. Gut 2013, 62, 489–495. [Google Scholar] [CrossRef]
- Hindy, J.; Rainis, T. Eosinophilic esophagitis: Our experience with the emerging disease at a single center in Northern Israel. J. Gastrointest. Dig. Syst. 2024, 14, 804. [Google Scholar]
- Dellon, E.S.; Kim, H.P.; Sperry, S.L.W.; Rybnicek, D.A.; Woosley, J.T.; Shaheen, N.J. A phenotypic analysis shows that eosinophilic esophagitis is a progressive fibrostenotic disease. Gastrointest. Endosc. 2014, 79, 577–585.e4. [Google Scholar] [CrossRef]
- Collins, M.H.; Martin, L.J.; Alexander, E.S.; Boyd, J.T.; Sheridan, R.; He, H.; Kottyan, L.C.; Dellon, E.S.; Mukkada, V.A.; Falk, G.W.; et al. The EoE histology scoring system: A novel histologic assessment of eosinophilic esophagitis severity. Mod. Pathol. 2017, 30, 1712–1720. [Google Scholar]
- Hirano, I.; Dellon, E.S.; Hamilton, J.D.; Collins, M.H.; Peterson, K.A.; Chehade, M.; Schoepfer, A.M.; Safroneeva, E.; Rothenberg, M.E.; Falk, G.W.; et al. ACG Clinical Guideline: Diagnosis and Management of Eosinophilic Esophagitis. Am. J. Gastroenterol. 2025, 120, 31–59. [Google Scholar] [CrossRef]
- Dellon, E.S.; Hirano, I. Diagnosis and management of EoE—ACG guideline update overview. Am. J. Gastroenterol. 2025, 120, 60–70. [Google Scholar] [CrossRef] [PubMed]
- Gonsalves, N.P.; Aceves, S.S. Diagnosis and treatment of EoE. J. Allergy Clin. Immunol. 2020, 145, 1–7. [Google Scholar] [CrossRef] [PubMed]
- Papadopoulou, A.; Koletzko, S.; Vandenplas, Y.; Chong, S.; Dias, J.A.; Hassall, E.; Miele, E.; Orel, R.; Shamir, R.; Staiano, A.; et al. Joint ESPGHAN/NASPGHAN Guidelines on childhood non-EoE EGIDs. J. Pediatr. Gastroenterol. Nutr. 2024, 78, 101–118. [Google Scholar]
- Nguyen, A.D.; Carlson, D.A.; Xiao, Y.; Patel, A.; Kahrilas, P.J.; Pandolfino, J.E.; Gyawali, C.P.; Vaezi, M.F.; Hirano, I.; Yadlapati, R.; et al. AGA CPU on incorporating FLIP in esophageal disorders (including EoE). Gastroenterology 2025, 169, 200–215. [Google Scholar]
- Amil-Dias, J.; Dias, J.A.; Shamir, R.; Miele, E.; Chong, S.; Koletzko, S.; Vandenplas, Y.; Orel, R.; Papadopoulou, A.; Staiano, A.; et al. ESPGHAN update: Diagnosis and management of EoE in children. J. Pediatr. Gastroenterol. Nutr. 2024, 78, 119–134. [Google Scholar]
- Savarino, E.; Di Pietro, M.; Bredenoord, A.J.; Carlson, D.A.; Gyawali, C.P.; Rommel, N.; Yadlapati, R.; Pandolfino, J.E.; Sifrim, D.; Vaezi, M.F.; et al. Use of the functional lumen imaging probe in clinical esophagology. Am. J. Gastroenterol. 2020, 115, 1786–1796. [Google Scholar] [CrossRef]
- Mari, A.; Savarino, E. Advances on neurogastroenterology and motility disorders: Pathophysiology, diagnostics and management. J. Clin. Med. 2022, 11, 2901. [Google Scholar] [CrossRef]
- Bassett, J.; Maydonovitch, C.; Perry, J.; Sobin, L.H.; Sampliner, R.E. Prevalence of esophageal dysmotility in a cohort of patients with esophageal biopsies consistent with eosinophilic esophagitis. Dis. Esophagus 2009, 22, 543–548. [Google Scholar] [CrossRef]
- Nicodème, F.; Hirano, I.; Chen, J.; Robinson, K.; Lin, Z.; Xiao, Y.; Gonsalves, N.; Kahrilas, P.J.; Pandolfino, J.E. Esophageal distensibility as a measure of disease severity in patients with eosinophilic esophagitis. Clin. Gastroenterol. Hepatol. 2013, 11, 1101–1107.e1. [Google Scholar] [CrossRef]
- Hill, D.A. The importance of using core outcome measures during therapeutic studies of eosinophilic esophagitis. J. Allergy Clin. Immunol. 2022, 149, 541–542. [Google Scholar] [CrossRef]
- Franciosi, J.P.; Gordon, M.; Sinopoulou, V.; Fouhy, F.; Kapel, N.; Larsson, H.; Mavroudi, A.; Moawad, F.J.; Papadopoulou, A.; Peterson, K.A.; et al. Medical treatment of eosinophilic esophagitis. Cochrane Database Syst. Rev. 2023, 7, CD013546. [Google Scholar]
- Kelly, K.J.; Lazenby, A.J.; Rowe, P.C.; Yardley, J.H.; Perman, J.A.; Sampson, H.A. Eosinophilic esophagitis attributed to gastroesophageal reflux: Improvement with an amino acid-based formula. Gastroenterology 1995, 109, 1503–1512. [Google Scholar] [CrossRef] [PubMed]
- Warners, M.J.; Vlieg-Boerstra, B.J.; Verheij, J.; van Rhijn, B.D.; van Ampting, M.T.; Harthoorn, L.F.; Kruizinga, A.G.; van der Meer, S.B.; Terreehorst, I.; Smout, A.J.; et al. Elemental diet decreases inflammation and improves symptoms in adult eosinophilic oesophagitis patients. Aliment. Pharmacol. Ther. 2017, 45, 777–787. [Google Scholar] [CrossRef] [PubMed]
- Kagalwalla, A.F.; Sentongo, T.A.; Ritz, S.; Hess, T.; Nelson, S.P.; Emerick, K.M.; Melin-Aldana, H.; Li, B.U. Effect of six-food elimination diet on clinical and histologic outcomes in eosinophilic esophagitis. Clin. Gastroenterol. Hepatol. 2006, 4, 1097–1102. [Google Scholar] [CrossRef] [PubMed]
- Spergel, J.M.; Brown-Whitehorn, T.F.; Cianferoni, A.; Shuker, M.; Wang, M.L.; Verma, R.; Liacouras, C.A. Identification of causative foods in children with eosinophilic esophagitis treated with an elimination diet. J. Allergy Clin. Immunol. 2012, 130, 461–467.e5. [Google Scholar] [CrossRef]
- Molina-Infante, J.; Ferrando-Lamana, L.; Ripoll, C.; Hernandez-Alonso, M.; Mateos, J.M.; Fernandez-Bermejo, M.; Dueñas, C.; Fernandez-Gonzalez, N.; Quintana, E.M.; Gonzalez-Nuñez, M.A. Esophageal eosinophilic infiltration responds to proton pump inhibition in most adults. Clin. Gastroenterol. Hepatol. 2011, 9, 110–117. [Google Scholar] [CrossRef]
- Cheng, E.; Zhang, X.; Huo, X.; Yu, C.; Zhang, Q.; Wang, D.H.; Spechler, S.J.; Souza, R.F. Omeprazole blocks eotaxin-3 expression by oesophageal squamous cells from patients with eosinophilic oesophagitis and GORD. Gut 2013, 62, 824–832. [Google Scholar] [CrossRef]
- Freedberg, D.E.; Kim, L.S.; Yang, Y.X. The risks and benefits of long-term use of proton pump inhibitors: Expert review and best practice advice. Gastroenterology 2017, 152, 706–715. [Google Scholar] [CrossRef]
- Vaezi, M.F.; Yang, Y.X.; Howden, C.W. Complications of proton pump inhibitor therapy. Gastroenterology 2017, 153, 35–48. [Google Scholar] [CrossRef]
- Lazarus, B.; Chen, Y.; Wilson, F.P.; Sang, Y.; Chang, A.R.; Coresh, J.; Grams, M.E. Proton pump inhibitor use and the risk of chronic kidney disease. JAMA Intern. Med. 2016, 176, 238–246. [Google Scholar] [CrossRef]
- Janarthanan, S.; Ditah, I.; Adler, D.G.; Ehrlich, A.C. Clostridium difficile–associated diarrhea and PPI therapy: A meta-analysis. Am. J. Gastroenterol. 2012, 107, 1001–1010. [Google Scholar] [CrossRef]
- Contreras, J.; Gupta, S.K.; Collins, M.H. Systemic corticosteroid therapy in pediatric eosinophilic esophagitis: Adverse effects and limitations. World J. Clin. Pediatr. 2019, 8, 33–41. [Google Scholar]
- Dellon, E.S.; Katzka, D.A.; Collins, M.H.; Hamdani, M. Budesonide and fluticasone for eosinophilic esophagitis: Efficacy in clinical and histologic remission. Clin. Gastroenterol. Hepatol. 2017, 15, 927–937. [Google Scholar]
- Lucendo, A.J.; Miehlke, S. Efficacy of topical corticosteroid formulations in eosinophilic esophagitis: Optimizing mucosal contact time. Ther. Adv. Gastroenterol. 2017, 10, 915–928. [Google Scholar]
- Lucendo, A.J.; Miehlke, S.; Schlag, C.; Vieth, M.; von Arnim, U.; Molina-Infante, J.; Biedermann, L.; Netzer, P.; Greuter, T.; Madisch, A.; et al. Budesonide orodispersible tablets for induction of remission in eosinophilic esophagitis: A randomized, placebo-controlled, phase 3 trial. Gastroenterology 2019, 157, 74–86.e15. [Google Scholar] [CrossRef]
- Straumann, A.; Lucendo, A.J.; Miehlke, S.; Vieth, M.; Schlag, C.; Biedermann, L.; Madisch, A.; Schoepfer, A.M.; Mueller, R.; Greuter, T.; et al. Budesonide orodispersible tablets maintain remission in eosinophilic esophagitis: A randomized, placebo-controlled, phase 3 trial. Gastroenterology 2020, 158, 111–122.e10. [Google Scholar] [CrossRef]
- Nennstiel, S.; Bajbouj, M.; Becker, E. Long-term safety of swallowed topical corticosteroids in eosinophilic esophagitis. World J. Gastroenterol. 2020, 26, 4812–4826. [Google Scholar] [CrossRef]
- Biedermann, L.; Schlag, C.; Straumann, A.; Lucendo, A.J.; Miehlke, S.; Vieth, M.; Santander, C.; Ciriza de Los Rios, C.; Schmöcker, C.; Madisch, A.; et al. Efficacy and Safety of Budesonide Orodispersible Tablets for Eosinophilic Esophagitis up to 3 Years: An Open-Label Extension Study. Clin. Gastroenterol. Hepatol. 2024. [Google Scholar] [CrossRef] [PubMed]
- Lombardi, C.; Passalacqua, G.; Canonica, G.W.; Matucci, A.; Pelaia, G.; Heffler, E.; Pelaia, C.; Crimi, N.; Senna, G.; Asero, R.; et al. Anti-IL-5 pathway agents in eosinophilic-associated disorders: Current evidence and gaps in EoE. Front. Med. 2024, 4, 128. [Google Scholar]
- Dellon, E.S.; Rothenberg, M.E.; Collins, M.H.; Hirano, I.; Chehade, M.; Crosby, R.D.; Peterson, K.A.; Falk, G.W.; Gonsalves, N.; Assouline-Dayan, Y.; et al. Dupilumab in adults and adolescents with eosinophilic esophagitis. N. Engl. J. Med. 2022, 387, 2379–2390. [Google Scholar] [CrossRef] [PubMed]
- Nhu, Q.M.; Aceves, S.S. Current state of biologics in treating eosinophilic esophagitis. Ann. Allergy Asthma Immunol. 2023, 130, 15–20. [Google Scholar] [CrossRef]
- Schoepfer, A.M.; Gonsalves, N.; Bussmann, C.; Conus, S.; Simon, H.U.; Straumann, A. Endoscopic dilation in adult eosinophilic esophagitis: Efficacy, safety, and long-term outcomes. Am. J. Gastroenterol. 2010, 105, 1062–1070. [Google Scholar] [CrossRef]
- Bohm, M.; Richter, J.E.; Vaezi, M.F. Safety and efficacy of endoscopic dilation in eosinophilic esophagitis: A systematic review. Dis. Esophagus 2013, 26, 442–451. [Google Scholar]
- Straumann, A.; Spichtin, H.P.; Grize, L.; Bucher, K.A.; Beglinger, C.; Simon, H.U. Natural history of primary eosinophilic esophagitis in adults. Am. J. Gastroenterol. 2003, 98, 1496–1502. [Google Scholar]
- Aceves, S.S.; Newbury, R.O.; Dohil, R.; Bastian, J.F.; Dohil, M.A. Long-term outcomes in children with eosinophilic esophagitis: Risk of stricture formation and dysphagia. J. Allergy Clin. Immunol. 2007, 120, 73–81. [Google Scholar]
- Schoepfer, A.M.; Safroneeva, E.; Bussmann, C.; Kuchen, T.; Portmann, S.; Simon, H.U.; Straumann, A. Effects of pharmacological, dietary, and mechanical therapy on symptom relief and disease progression in eosinophilic esophagitis: A longitudinal cohort study. Clin. Gastroenterol. Hepatol. 2013, 11, 1106–1112. [Google Scholar]



| Adult | Children |
| Dysphagia | GERD-like symptoms |
| Food impaction | Failure to thrive |
| Chest pain | Food refusal |
| GERD | Vomiting |
| Regurgitation | Abdominal pain |
| Abdominal pain | Over mastication of food |
| Treatment | Advantages | Disadvantages |
|---|---|---|
| Dietary Treatment | Targets underlying cause (food antigens); can achieve complete clinical and histologic remission; non-pharmacologic | Difficult adherence, social/psychological burden, weight loss with elemental diets; multiple endoscopies required for stepwise elimination |
| Proton Pump Inhibitors (PPIs) | Widely available; effective in 30–50% of patients; addresses acid reflux and decreases eotaxin-3; safe in most patients | Not effective in all; potential long-term risks (C. difficile, infections, nutrient deficiencies, kidney disease, osteoporosis); requires follow-up biopsies |
| Topical Corticosteroids (Budesonide gel/tablets, Fluticasone) | High histologic remission (~70–90%); minimal systemic absorption; multiple formulations available; effective maintenance therapy | Local candidiasis (~10–15%), mild dysphonia, throat irritation, xerostomia; requires proper administration; long-term safety monitoring recommended |
| Biologic Therapy (Dupilumab, anti–IL-5 agents) | Highly effective for moderate-to-severe/refractory EoE; improves atopic comorbidities; favorable safety profile; subcutaneous dosing | Expensive; limited availability; injection-site reactions, URT infections, conjunctivitis; anti–IL-5 agents reduce Eosinophils but may not induce clinical remission |
| Endoscopic Dilatation | Rapid relief of strictures; effective in ~75% of patients; low complication rate (<1%) | Does not treat underlying inflammation; invasive; risk of perforation or bleeding; often requires repeat procedures |
Disclaimer/Publisher’s Note: The statements, opinions and data contained in all publications are solely those of the individual author(s) and contributor(s) and not of MDPI and/or the editor(s). MDPI and/or the editor(s) disclaim responsibility for any injury to people or property resulting from any ideas, methods, instructions or products referred to in the content. |
© 2025 by the authors. Licensee MDPI, Basel, Switzerland. This article is an open access article distributed under the terms and conditions of the Creative Commons Attribution (CC BY) license (https://creativecommons.org/licenses/by/4.0/).
Share and Cite
Hindy, J.; Mari, A.; Rainis, T.; Taha, G.A. Eosinophilic Esophagitis—Catching Up with the Hype Train: A Systematic Overview and Review of the Literature of the Emerging Disease. Biomedicines 2025, 13, 2230. https://doi.org/10.3390/biomedicines13092230
Hindy J, Mari A, Rainis T, Taha GA. Eosinophilic Esophagitis—Catching Up with the Hype Train: A Systematic Overview and Review of the Literature of the Emerging Disease. Biomedicines. 2025; 13(9):2230. https://doi.org/10.3390/biomedicines13092230
Chicago/Turabian StyleHindy, Jawad, Amir Mari, Tova Rainis, and Gadeer A’li Taha. 2025. "Eosinophilic Esophagitis—Catching Up with the Hype Train: A Systematic Overview and Review of the Literature of the Emerging Disease" Biomedicines 13, no. 9: 2230. https://doi.org/10.3390/biomedicines13092230
APA StyleHindy, J., Mari, A., Rainis, T., & Taha, G. A. (2025). Eosinophilic Esophagitis—Catching Up with the Hype Train: A Systematic Overview and Review of the Literature of the Emerging Disease. Biomedicines, 13(9), 2230. https://doi.org/10.3390/biomedicines13092230

