Sign in to use this feature.

Years

Between: -

Subjects

remove_circle_outline
remove_circle_outline
remove_circle_outline
remove_circle_outline
remove_circle_outline
remove_circle_outline
remove_circle_outline
remove_circle_outline
remove_circle_outline

Journals

remove_circle_outline
remove_circle_outline
remove_circle_outline
remove_circle_outline
remove_circle_outline
remove_circle_outline
remove_circle_outline
remove_circle_outline
remove_circle_outline
remove_circle_outline
remove_circle_outline
remove_circle_outline
remove_circle_outline
remove_circle_outline
remove_circle_outline
remove_circle_outline
remove_circle_outline
remove_circle_outline
remove_circle_outline
remove_circle_outline
remove_circle_outline
remove_circle_outline
remove_circle_outline
remove_circle_outline
remove_circle_outline
remove_circle_outline
remove_circle_outline
remove_circle_outline
remove_circle_outline
remove_circle_outline
remove_circle_outline

Article Types

Countries / Regions

remove_circle_outline
remove_circle_outline
remove_circle_outline
remove_circle_outline
remove_circle_outline
remove_circle_outline
remove_circle_outline
remove_circle_outline
remove_circle_outline

Search Results (5,446)

Search Parameters:
Keywords = ChE

Order results
Result details
Results per page
Select all
Export citation of selected articles as:
21 pages, 1579 KB  
Article
Sequence Permutation Generated Lysine and Tryptophan-Rich Antimicrobial Peptides with Enhanced Therapeutic Index
by Kuang-Li Peng, Yu-Hsuan Wu, Hsuan-Che Hsu and Jya-Wei Cheng
Antibiotics 2025, 14(11), 1077; https://doi.org/10.3390/antibiotics14111077 (registering DOI) - 26 Oct 2025
Abstract
Background/Objectives: Antimicrobial peptides (AMPs) are promising therapeutic agents due to their broad-spectrum activity against bacteria, viruses, and fungi. Unlike traditional antibiotics, AMPs target microbial membranes directly and are less likely to induce resistance. They also possess immunomodulatory and wound-healing properties. However, clinical application [...] Read more.
Background/Objectives: Antimicrobial peptides (AMPs) are promising therapeutic agents due to their broad-spectrum activity against bacteria, viruses, and fungi. Unlike traditional antibiotics, AMPs target microbial membranes directly and are less likely to induce resistance. They also possess immunomodulatory and wound-healing properties. However, clinical application remains limited by factors such as salt sensitivity, low bioavailability, and poor stability. To address these challenges, researchers have turned to structural optimization strategies. Recently, artificial intelligence (AI) has facilitated peptide drug design by rapidly screening large peptide libraries. Still, AI struggles to predict how subtle sequence changes affect peptide structure and function. Traditional sequence permutation offers a complementary approach by analyzing structural and functional effects without altering amino acid composition. Methods: In this study, we applied a clockwise sequence permutation strategy to the AMP W5K/A9W, generating derivative peptides with identical molecular weight, net charge, and hydrophobicity. We aimed to investigate how lysine and tryptophan distribution affects antimicrobial activity, membrane permeability, and selectivity. We assessed the secondary structures using circular dichroism (CD) spectroscopy and evaluated in vitro antimicrobial activity, salt resistance, membrane-permeabilizing ability, hemolysis, and wound healing effects. Results: The results revealed that the sequence arrangement of key residues significantly impacts peptide bioactivity and therapeutic index. Conclusions: This study highlights the importance of sequence order in determining AMP function. It also supports integrating permutation strategies with AI-based design to enhance AMP discovery. Together, these approaches offer new opportunities to combat drug-resistant pathogens and advance next-generation anti-infective therapies. Full article
Show Figures

Graphical abstract

18 pages, 1091 KB  
Article
Dynamic Changes in Amino Acid Release Patterns of Different Plant Protein Sources During In Vitro Digestion and Their Nutritional Value Assessment
by Yueli Fan, Zehua Kou, Jiahua Cao, Zhongshen Wang, Tianrui Zhang, Rui Han and Dongsheng Che
Animals 2025, 15(21), 3094; https://doi.org/10.3390/ani15213094 (registering DOI) - 24 Oct 2025
Abstract
A gastric–intestinal two-step enzymatic hydrolysis in vitro digestion simulation system was used to systematically investigate the digestion kinetics and amino acid release characteristics of five plant protein sources: soybean meal, rapeseed meal, corn DDGS, corn gluten meal, and corn germ meal. The results [...] Read more.
A gastric–intestinal two-step enzymatic hydrolysis in vitro digestion simulation system was used to systematically investigate the digestion kinetics and amino acid release characteristics of five plant protein sources: soybean meal, rapeseed meal, corn DDGS, corn gluten meal, and corn germ meal. The results showed that in the gastric digestion phase (120 min), the protein hydrolysis degree of soybean meal was the highest (61.8%, p < 0.001), which was 4.4 times that of corn gluten meal (14.0%). In the intestinal digestion phase (240 min), the low-molecular-weight peptide release of corn gluten meal (31.2 mg/g) was significantly higher than that of corn DDGS (17.4 mg/g), showing a “weak in the stomach but strong in the intestine” characteristic. The “nutritional value equivalence” model constructed with soybean meal as the reference showed that the gastric digestion phase equivalence of rapeseed meal was only 32.2% (significantly lower than other materials), and the intestinal digestion phase equivalence of corn gluten meal was 62.9%. This study clarified the differences in digestion characteristics and key related indicators of different plant protein sources, providing quantitative references and scientific support for the food and feed industries to precisely select protein sources according to digestion phases and optimize the formula design. Full article
(This article belongs to the Special Issue Alternative Protein Sources for Animal Feeds)
Show Figures

Figure 1

16 pages, 873 KB  
Article
Dietary Vitamin Intake and Blood Biomarkers in Relation to Muscle Activation in Amyotrophic Lateral Sclerosis: A Cross-Sectional Study
by Jose Enrique de la Rubia Ortí, Guillermo Bargues-Navarro, Jesús Privado, Rubén Menarques-Ramírez, Claudia Emmanuela Sanchis-Sanchis, Sandra Sancho-Castillo, Camila Peres Rubio, Luis Pardo-Marin, María Benlloch and Julio Martín-Ruiz
Nutrients 2025, 17(21), 3345; https://doi.org/10.3390/nu17213345 (registering DOI) - 24 Oct 2025
Viewed by 42
Abstract
Background/Objectives: Amyotrophic lateral sclerosis (ALS) is a neurodegenerative disease characterized by progressive loss of motor function, which affects mobility and leads to secondary complications, including altered dietary intake due to dysphagia, fatigue, and hypermetabolism, particularly affecting vitamin consumption, which are essential micronutrients [...] Read more.
Background/Objectives: Amyotrophic lateral sclerosis (ALS) is a neurodegenerative disease characterized by progressive loss of motor function, which affects mobility and leads to secondary complications, including altered dietary intake due to dysphagia, fatigue, and hypermetabolism, particularly affecting vitamin consumption, which are essential micronutrients for neuromuscular performance. The specific relationship between vitamin intake and muscle activation is not well understood in patients with ALS; thus, it is relevant to identify blood biomarkers that reflect muscle status. Methods: A cross-sectional study was conducted with 61 patients with bulbar- or spinal-onset ALS. The dietary intake of B vitamins (B1, B2, B6, B12, folate, and niacin); vitamins C, A, D, and E; and the B6/protein ratio were assessed using a seven-day dietary record and a Food Frequency Questionnaire. Blood concentrations of butyrylcholinesterase (BuChE), albumin, haptoglobin, C-reactive protein (CRP), and paraoxonase 1 (PON1) were determined. Basal muscle activation was measured using surface electromyography of the biceps brachii, triceps brachii, rectus femoris, and tibialis anterior muscles. Two confirmatory predictive models were developed to evaluate the effects of muscle damage and vitamin intake on muscle strength. Results: Arm muscle activation was negatively predicted by the B6/protein ratio (β = −0.33). Leg activation was positively predicted by vitamin B9 (β = 0.39) and B6/protein (β = 0.17) and negatively predicted by vitamin A (β = −0.24). For biomarkers, albumin (β = 0.18) and PON1 (β = 0.28) positively predicted activation. For legs, albumin predicted activation (β = 0.31), whereas BuChE and haptoglobin predicted negative activation (β = −0.32 and β = −0.15, respectively). Conclusions: Weak associations were observed in patients with ALS: vitamin B9 intake showed a modest association with leg activation, the B6/protein ratio exhibited inconsistent associations across muscle groups, and vitamin A showed a negative association with leg activation. Albumin demonstrated the most consistent association as a potential biomarker of muscle function. These findings are exploratory and require validation in larger, longitudinal studies. Full article
(This article belongs to the Special Issue The Role of B and D Vitamins in Degenerative Diseases)
Show Figures

Figure 1

22 pages, 7453 KB  
Article
Comparative Analysis of Cholinergic Machinery in Carcinomas: Discovery of Membrane-Tethered ChAT as Evidence for Surface-Based ACh Synthesis in Neuroblastoma Cells
by Banita Thakur, Samar Tarazi, Lada Doležalová, Homira Behbahani and Taher Darreh-Shori
Int. J. Mol. Sci. 2025, 26(21), 10311; https://doi.org/10.3390/ijms262110311 - 23 Oct 2025
Viewed by 129
Abstract
The cholinergic system is one of the most ancient and widespread signaling systems in the body, implicated in a range of pathological conditions—from neurodegenerative disorders to cancer. Given its broad relevance, there is growing interest in characterizing this system across diverse cellular models [...] Read more.
The cholinergic system is one of the most ancient and widespread signaling systems in the body, implicated in a range of pathological conditions—from neurodegenerative disorders to cancer. Given its broad relevance, there is growing interest in characterizing this system across diverse cellular models to enable drug screening, mechanistic studies, and exploration of new therapeutic avenues. In this study, we investigated four cancer cell lines: one of neuroblastoma origin previously used in cholinergic signaling studies (SH-SY5Y), one non-small cell lung adenocarcinoma line (A549), and two small cell lung carcinoma lines (H69 and H82). We assessed the expression and localization of key components of the cholinergic system, along with the cellular capacity for acetylcholine (ACh) synthesis and release. Whole-cell flow cytometry following membrane permeabilization revealed that all cell lines expressed the ACh-synthesizing enzyme choline acetyltransferase (ChAT). HPLC-MS analysis confirmed that ChAT was functionally active, as all cell lines synthesized and released ACh into the conditioned media, suggesting the presence of autocrine and/or paracrine ACh signaling circuits, consistent with previous reports. The cell lines also demonstrated choline uptake, indicative of functional choline and/or organic cation transporters. Additionally, all lines expressed the ACh-degrading enzymes acetylcholinesterase (AChE) and butyrylcholinesterase (BChE), as well as the alfa seven (α7) nicotinic and M1 muscarinic ACh receptor subtypes. Notably, flow cytometry of intact SH-SY5Y cells revealed two novel findings: (1) ChAT was localized to the extracellular membrane, a feature not observed in the lung cancer cell lines, and (2) BChE, rather than AChE, was the predominant membrane-bound ACh-degrading enzyme. These results were corroborated by both whole-cell and surface-confocal microscopy. In conclusion, our findings suggest that a functional cholinergic phenotype is a shared feature of several carcinoma cell lines, potentially serving as a survival checkpoint that could be therapeutically explored. The discovery of extracellular membrane-bound ChAT uniquely in neuroblastoma SH-SY5Y cells points to a novel form of in situ ACh signaling that warrants further investigation. Full article
(This article belongs to the Special Issue New Research Progresses on Multifaceted Cholinergic Signaling)
Show Figures

Figure 1

25 pages, 8373 KB  
Article
Sensitivity of Airborne Methane Retrieval Algorithms (MF, ACRWL1MF, and DOAS) to Surface Albedo and Types: Hyperspectral Simulation Assessment
by Jidai Chen, Ding Wang, Lizhou Huang and Jiasong Shi
Atmosphere 2025, 16(11), 1224; https://doi.org/10.3390/atmos16111224 - 22 Oct 2025
Viewed by 95
Abstract
Methane (CH4) emissions are a major contributor to greenhouse gases and pose significant challenges to global climate mitigation efforts. The accurate determination of CH4 concentrations via remote sensing is crucial for emission monitoring but remains impeded by surface spectral heterogeneity—notably [...] Read more.
Methane (CH4) emissions are a major contributor to greenhouse gases and pose significant challenges to global climate mitigation efforts. The accurate determination of CH4 concentrations via remote sensing is crucial for emission monitoring but remains impeded by surface spectral heterogeneity—notably albedo variations and land cover diversity. This study systematically assessed the sensitivity of three mainstream algorithms, namely, matched filter (MF), albedo-corrected reweighted-L1-matched filter (ACRWL1MF), and differential optical absorption spectroscopy (DOAS), to surface type, albedo, and emission rate through high-fidelity simulation experiments, and proposed a dynamic regularized adaptive matched filter (DRAMF) algorithm. The experiments simulated airborne hyperspectral imagery from the Airborne Visible/InfraRed Imaging Spectrometer-Next Generation (AVIRIS-NG) with known CH4 concentrations over diverse surfaces (including vegetation, soil, and water) and controlled variations in albedo through the large-eddy simulation (LES) mode of the Weather Research and Forecasting (WRF) model and the MODTRAN radiative transfer model. The results show the following: (1) MF and DOAS have higher true positive rates (TP > 90%) in high-reflectivity scenarios, but the problem of false positives is prominent (TN < 52%); ACRWL1MF significantly improves the true negative rate (TN = 95.9%) through albedo correction but lacks the ability to detect low concentrations of CH4 (TP = 63.8%). (2) All algorithms perform better at high emission rates (1000 kg/h) than at low emission rates (500 kg/h), but ACRWL1MF performs more robustly in low-albedo scenarios. (3) The proposed DRAMF algorithm improves the F1 score (0.129) by about 180% compared to the MF and DOAS algorithms and improves TP value (81.4%) by about 128% compared to the ACRWL1MF algorithm through dynamic background updates and an iterative reweighting mechanism. In practical applications, the DRAMF algorithm can also effectively monitor plumes. This research indicates that algorithms should be selected considering the specific application scenario and provides a direction for technical improvements (e.g., deep learning model) for monitoring gas emission. Full article
(This article belongs to the Special Issue Satellite Remote Sensing Applied in Atmosphere (3rd Edition))
Show Figures

Figure 1

12 pages, 4816 KB  
Article
DFT Insights into the Adsorption of Organophosphate Pollutants on Mercaptobenzothiazole Disulfide-Modified Graphene Surfaces
by Kayim Pineda-Urbina, Gururaj Kudur Jayaprakash, Juan Pablo Mojica-Sánchez, Andrés Aparicio-Victorino, Zeferino Gómez-Sandoval, José Manuel Flores-Álvarez and Ulises Guadalupe Reyes-Leaño
Compounds 2025, 5(4), 43; https://doi.org/10.3390/compounds5040043 - 22 Oct 2025
Viewed by 74
Abstract
Organophosphate pesticides are among the most persistent and toxic contaminants in aquatic environments, requiring effective strategies for detection and remediation. In this work, density functional theory (DFT) calculations were employed to investigate the adsorption of nine representative organophosphates (glyphosate, malathion, diazinon, azinphos-methyl, fenitrothion, [...] Read more.
Organophosphate pesticides are among the most persistent and toxic contaminants in aquatic environments, requiring effective strategies for detection and remediation. In this work, density functional theory (DFT) calculations were employed to investigate the adsorption of nine representative organophosphates (glyphosate, malathion, diazinon, azinphos-methyl, fenitrothion, parathion-methyl, disulfoton, tokuthion, and ethoprophos) on mercaptobenzothiazole disulfide (MBTS) and MBTS-functionalized graphene (G–MBTS). All simulations were performed in aqueous solution using the SMD solvation model with dispersion corrections and counterpoise correction for basis set superposition error. MBTS alone displayed a range of affinities, suggesting potential selectivity across the organophosphates, with adsorption energies ranging from 0.27 to 1.05 eV, malathion being the strongest binder and glyphosate the weakest. Anchoring of MBTS to graphene was found to be highly favorable (1.26 eV), but the key advantage is producing stable adsorption platforms that promote planar orientations and ππ/dispersive interactions. But the key advantage is not stronger binding but the tuning of interfacial electronic properties: all G–MBTS–OP complexes show uniform, narrow HOMO-LUMO gaps (∼0.79 eV) and systematically larger charge redistribution. These features are expected to enhance electrochemical readout even when adsorption strength was comparable or slightly lower (0.47–0.88 eV) relative to MBTS alone. A Quantum Theory of Atoms in Molecules (QTAIM) analysis of the G–MBTS–malathion complex revealed a dual stabilization mechanism: multiple weak C–H⋯π interactions with graphene combined with stronger S⋯O and hydrogen-bonding interactions with MBTS. These results advance the molecular-level understanding of pesticide–surface interactions and highlight MBTS-functionalized graphene as a promising platform for the selective detection of organophosphates in water. Full article
Show Figures

Figure 1

17 pages, 4247 KB  
Article
Behavior of Formaldehyde Adsorption on ZnO [1011] Facets: A DFT Study
by Chao Ma, Jingze Yao, Liqin Ding, Xuefeng Xiao, Weiyin Li, Yujie He and Meng Wang
Crystals 2025, 15(11), 911; https://doi.org/10.3390/cryst15110911 - 22 Oct 2025
Viewed by 157
Abstract
Formaldehyde is a toxic gas commonly found in industrial emissions, and ZnO is widely used for its detection due to its excellent gas-sensing properties. Most studies focus on non-polar or low-index ZnO surfaces, whereas investigations on high-index polar surfaces remain limited. In this [...] Read more.
Formaldehyde is a toxic gas commonly found in industrial emissions, and ZnO is widely used for its detection due to its excellent gas-sensing properties. Most studies focus on non-polar or low-index ZnO surfaces, whereas investigations on high-index polar surfaces remain limited. In this work, density functional theory (DFT) was employed to study CH2O adsorption on the ZnO [1011¯] surface. By exploring various coverages, adsorption sites, and unit cell dimensions, ten stable configurations were identified. A maximum adsorption energy of −2.19 eV/CH2O on configuration S1 was obtained, surpassing reported low-index surfaces. Strong adsorption originated from dual unsaturated Zn bonds, which promoted C–C formation between CH2O molecules and induced synergistic Zn–O bonding. Adsorption further led to sp3-like hybridization and O 2p/Zn 3d orbital interactions, significantly narrowing the band gap. Electron redistribution, as evidenced by charge density analysis, revealed strong electronic modulation. This work clarifies the microscopic mechanism of ZnO high-index surfaces, offering insights for optimizing gas-sensing materials. Full article
(This article belongs to the Section Inorganic Crystalline Materials)
Show Figures

Figure 1

24 pages, 1479 KB  
Article
Designs of Bayesian EWMA Variability Control Charts in the Presence of Measurement Error
by Ming-Che Lu and Su-Fen Yang
Processes 2025, 13(10), 3371; https://doi.org/10.3390/pr13103371 - 21 Oct 2025
Viewed by 200
Abstract
Statistical process control may lead to false detection results in the presence of measurement error, so it is necessary to deal with the effect of measurement error. The Bayesian exponentially weighted moving average (EWMA) variability control chart, first proposed by Lin et al., [...] Read more.
Statistical process control may lead to false detection results in the presence of measurement error, so it is necessary to deal with the effect of measurement error. The Bayesian exponentially weighted moving average (EWMA) variability control chart, first proposed by Lin et al., is a distribution-free control chart, and it can effectively monitor process variance even if the process skewness varies with time. This paper investigates the influence of measurement error on the Bayesian EWMA variability control chart, and it proposes two designs for the Bayesian EWMA variability control chart in the presence of measurement error. One is to modify the control limits based on the biased error-prone monitoring statistics, called the error-embedded control chart. The other is to design the control limits based on the error-corrected monitoring statistics, called the error-corrected control chart. Simulation results prove that both of the proposed control charts are reliable and have good detection performance in the presence of measurement error. Moreover, the average run lengths of the proposed control charts are exactly the same, indicating that both of them are equivalent control charts. Comparison results show that the existing control chart in Lin et al. is not in-control robust and fails to detect a downward shift in process variance when measurement error is present. Thus, using the error-embedded control chart or the error-corrected control chart to monitor processes with measurement errors is reliable and effective. Moreover, the proposed control charts, where π11 = 1 and π10 = 0, can be applied to monitor processes without measurement errors since their detection performance is equal to that of the existing control chart in Lin et al. Finally, we demonstrate the application of the error-embedded control chart and the error-corrected control chart to analyze the data from the service time system of a bank branch and the data from a semiconductor manufacturing process, showing that the proposed control charts can indeed be applied to data with measurement errors. Full article
(This article belongs to the Special Issue Process Control and Optimization in the Era of Industry 5.0)
Show Figures

Figure 1

19 pages, 3310 KB  
Article
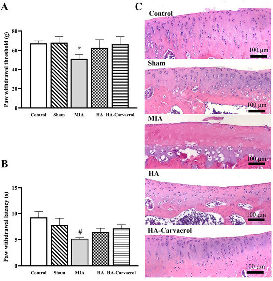
The Preparation and Evaluation of Carvacrol-Added Hyaluronic Acid for Early Osteoarthritis Treatment
by Yu-Ping Chen, Jhih-Ni Lin, Chia-Tien Chang, Yu-Ying Lin, Che-Yung Kuan, Yu-Chun Chen and Feng-Huei Lin
Antioxidants 2025, 14(10), 1265; https://doi.org/10.3390/antiox14101265 - 21 Oct 2025
Viewed by 404
Abstract
Osteoarthritis (OA) is a prevalent degenerative joint disease characterized by cartilage degradation, synovial inflammation, and subchondral bone remodeling, leading to chronic pain and reduced mobility. In early-stage OA, sustained oxidative stress and inflammation drive chondrocyte dysfunction and extracellular matrix (ECM) loss. Hyaluronic acid [...] Read more.
Osteoarthritis (OA) is a prevalent degenerative joint disease characterized by cartilage degradation, synovial inflammation, and subchondral bone remodeling, leading to chronic pain and reduced mobility. In early-stage OA, sustained oxidative stress and inflammation drive chondrocyte dysfunction and extracellular matrix (ECM) loss. Hyaluronic acid (HA), a key component of synovial fluid responsible for lubrication and viscoelasticity, is prone to enzymatic and oxidative degradation under inflammatory conditions, limiting its therapeutic effect. To address this, we developed an HA-based system incorporating the natural antioxidant and anti-inflammatory molecule carvacrol. The potential of this formulation was assessed in interleukin-1b-stimulated chondrocytes, which mimic the inflammatory environment of OA. The carvacrol-added HA combination upregulated antioxidant enzyme expression, attenuated pro-inflammatory signaling, and promoted ECM preservation by up regulating cartilage-specific markers and glycosaminoglycan production. In vivo efficacy was further evaluated in a rat model of monosodium iodoacetate-induced OA. HA-Carvacrol treatment alleviated pain-related behaviors and preserved cartilage structure, as confirmed by behavioral assessments and histological analyses. This dual-function formulation integrates the lubricating benefits of HA with the bioactivity of carvacrol, providing preclinical proof-of-concept evidence for its potential in early-stage OA. Full article
(This article belongs to the Special Issue Inflammation and Oxidative Stress in Articular Cartilage)
Show Figures

Graphical abstract

27 pages, 1960 KB  
Review
AI and Machine Learning in Biology: From Genes to Proteins
by Zaw Myo Hein, Dhanyashri Guruparan, Blaire Okunsai, Che Mohd Nasril Che Mohd Nassir, Muhammad Danial Che Ramli and Suresh Kumar
Biology 2025, 14(10), 1453; https://doi.org/10.3390/biology14101453 - 20 Oct 2025
Viewed by 612
Abstract
Artificial intelligence (AI) and machine learning (ML), especially deep learning, have profoundly transformed biology by enabling precise interpretation of complex genomic and proteomic data. This review presents a comprehensive overview of cutting-edge AI methodologies spanning from foundational neural networks to advanced transformer architectures [...] Read more.
Artificial intelligence (AI) and machine learning (ML), especially deep learning, have profoundly transformed biology by enabling precise interpretation of complex genomic and proteomic data. This review presents a comprehensive overview of cutting-edge AI methodologies spanning from foundational neural networks to advanced transformer architectures and large language models (LLMs). These tools have revolutionized our ability to predict gene function, identify genetic variants, and accurately determine protein structures and interactions, exemplified by landmark milestones such as AlphaFold and DeepBind. We elaborate on the synergistic integration of genomics and protein structure prediction through AI, highlighting recent breakthroughs in generative models capable of designing novel proteins and genomic sequences at unprecedented scale and accuracy. Furthermore, the fusion of multi-omics data using graph neural networks and hybrid AI frameworks has provided nuanced insights into cellular heterogeneity and disease mechanisms, propelling personalized medicine and drug discovery. This review also discusses ongoing challenges including data quality, model interpretability, ethical concerns, and computational demands. By synthesizing current progress and emerging frontiers, we provide insights to guide researchers in harnessing AI’s transformative power across the biological spectrum from genes to functional proteins. Full article
(This article belongs to the Special Issue Artificial Intelligence Research for Complex Biological Systems)
Show Figures

Graphical abstract

21 pages, 1902 KB  
Article
Investigating Amphoteric 3,4′-Biscoumarin-Based ortho-[(Dialkylamino)methyl]phenols as Dual MAO and ChE Inhibitors
by Anthi Petrou, Caterina Deruvo, Rosa Purgatorio, Boris Lichitsky, Andrey N. Komogortsev, Victor G. Kartsev, Modesto de Candia, Marco Catto, Cosimo D. Altomare and Athina Geronikaki
Int. J. Mol. Sci. 2025, 26(20), 10197; https://doi.org/10.3390/ijms262010197 - 20 Oct 2025
Viewed by 215
Abstract
Nineteen previously and newly synthesized amphoteric 8-[(dialkylamino)methyl]-7-hydroxy-4-(2-oxo-2H-chromen-3-yl)-2H-chromen-2-ones were assayed as inhibitors of monoamine oxidases (MAO-A and B) and cholinesterases (AChE and BChE). Five of the tested compounds (2b, 2c, 3c, 5b, and 5c), [...] Read more.
Nineteen previously and newly synthesized amphoteric 8-[(dialkylamino)methyl]-7-hydroxy-4-(2-oxo-2H-chromen-3-yl)-2H-chromen-2-ones were assayed as inhibitors of monoamine oxidases (MAO-A and B) and cholinesterases (AChE and BChE). Five of the tested compounds (2b, 2c, 3c, 5b, and 5c), namely those bearing the less bulky alkyls in the Mannich base 8-CH2NR2 (R = Me, Et) and the halogens (Cl, Br) at C6 of the 4-coumarin-3-yl moiety, showed moderate inhibitory potencies toward human MAO-A in the single-digit micromolar range (IC50s from 1.49 to 3.04 µM). In particular, the 6′-Cl derivatives 2b and 5b proved to be reversible competitive inhibitors of human MAO-A with Ki values of 0.272 and 0.326 µM. Among the tested compounds, 3c proved to also be a moderate inhibitor of human AChE (IC50 4.27 µM). Molecular docking calculations suggested binding modes of the most active compounds to MAO-A and AChE binding sites consistent enough with the experimental data. Chemoinformatic tools suggest for the most active compounds, including the dual MAO-A/AChE inhibitor 3c, full compliance with Lipinski’s rule of five, high probability of gastrointestinal absorption, but low blood–brain barrier (BBB) permeability. While further efforts are required to improve their CNS distribution, herein new phenolic Mannich bases have been identified that may have potential for treating neurodegenerative syndromes. Full article
Show Figures

Figure 1

21 pages, 5019 KB  
Article
Real-Time Parking Space Detection Based on Deep Learning and Panoramic Images
by Wu Wei, Hongyang Chen, Jiayuan Gong, Kai Che, Wenbo Ren and Bin Zhang
Sensors 2025, 25(20), 6449; https://doi.org/10.3390/s25206449 - 18 Oct 2025
Viewed by 417
Abstract
In the domain of automatic parking systems, parking space detection and localization represent fundamental challenges that must be addressed. As a core research focus within the field of intelligent automatic parking, they constitute the essential prerequisite for the realization of fully autonomous parking. [...] Read more.
In the domain of automatic parking systems, parking space detection and localization represent fundamental challenges that must be addressed. As a core research focus within the field of intelligent automatic parking, they constitute the essential prerequisite for the realization of fully autonomous parking. Accurate and effective detection of parking spaces is still the core problem that needs to be solved in automatic parking systems. In this study, building upon existing public parking space datasets, a comprehensive panoramic parking space dataset named PSEX (Parking Slot Extended) with complex environmental diversity was constructed by integrating the concept of GAN (Generative Adversarial Network)-based image style transfer. Meanwhile, an improved algorithm based on PP-Yoloe (Paddle-Paddle Yoloe) is used to detect the state (free or occupied) and angle (T-shaped or L-shaped) of the parking space in real-time. For the many and small labels of the parking space, the ResSpp in it is replaced by the ResSimSppf module, the SimSppf structure is introduced at the neck end, and Silu is replaced by Relu in the basic structure of the CBS (Conv-BN-SiLU), and finally an auxiliary detector head is added at the prediction head. Experimental results show that the proposed SimSppf_mepre-Yoloe model achieves an average improvement of 4.5% in mAP50 and 2.95% in mAP50:95 over the baseline PP-Yoloe across various parking space detection tasks. In terms of efficiency, the model maintains comparable inference latency with the baseline, reaching up to 33.7 FPS on the Jetson AGX Xavier platform under TensorRT optimization. And the improved enhancement algorithm can greatly enrich the diversity of parking space data. These results demonstrate that the proposed model achieves a better balance between detection accuracy and real-time performance, making it suitable for deployment in intelligent vehicle and robotic perception systems. Full article
(This article belongs to the Special Issue Robot Swarm Collaboration in the Unstructured Environment)
Show Figures

Figure 1

17 pages, 1010 KB  
Article
A Prolog-Based Expert System with Application to University Course Scheduling
by Wan-Yu Lin and Che-Chern Lin
Electronics 2025, 14(20), 4093; https://doi.org/10.3390/electronics14204093 - 18 Oct 2025
Viewed by 210
Abstract
University course scheduling is a kind of timetable problem and can be mathematically formulated as an integer linear programming problem. Essentially, a university course scheduling problem is an optimization problem that aims at most efficiently minimizing a cost function according to a set [...] Read more.
University course scheduling is a kind of timetable problem and can be mathematically formulated as an integer linear programming problem. Essentially, a university course scheduling problem is an optimization problem that aims at most efficiently minimizing a cost function according to a set of constraints. The huge searching space for the course scheduling problem means a long time will be needed to find the optimal solution. Therefore, some studies have used soft computing approaches to solve course scheduling problems in order to reduce the searching space. However, in order to use soft computing approaches to solve university course scheduling problems, we may need to design algorithms and conduct numerous experiments to achieve maximum efficiency. Thus, in this study, instead of employing soft computing methods, we propose a SWI-PROLOG-based expert system to solve the course scheduling problem. An experiment was conducted using real-world data from a department at a national university in southern Taiwan. During the experiment, each teacher in the department chose five preferential time slots. The experimental results have shown that about 99% of courses were scheduled in teachers’ five preferential time slots with an acceptable computational time of executing SWI-PROLOG (127 milliseconds on a regular personal computer). This study has thus provided a framework for solving course scheduling problems using an expert system. This would be the main contribution of this study. Full article
(This article belongs to the Section Artificial Intelligence)
Show Figures

Figure 1

17 pages, 5457 KB  
Article
Synthesis, Reaction Process, and Mechanical Properties of Medium-Entropy (TiVNb)2AlC MAX Phase
by Lexing Che, Mingdong Bao, Zhihua Sun and Yingwen Cao
Crystals 2025, 15(10), 903; https://doi.org/10.3390/cryst15100903 - 17 Oct 2025
Viewed by 173
Abstract
The synthesis, reaction process, and mechanical properties of medium-entropy (TiVNb)2AlC MAX phase materials were investigated. The Ti, V, Nb, Al, and C powders were mixed and sintered by the powder metallurgy method. The experimental results showed that the highest purity M [...] Read more.
The synthesis, reaction process, and mechanical properties of medium-entropy (TiVNb)2AlC MAX phase materials were investigated. The Ti, V, Nb, Al, and C powders were mixed and sintered by the powder metallurgy method. The experimental results showed that the highest purity M2AlC phase with a mass fraction of 95.8% was obtained when the raw material ratio was M(Ti:V:Nb):Al:C = 2:1.2:0.7 and the sintering temperature was 1450 °C. In order to explore the sintering process reactions and optimize the purity of sintered products, sintering was carried out under different temperatures and various molar ratios of raw materials. During the sintering process, the metal elements firstly reacted with aluminum to generate intermetallic compounds (IMCs), and with the increase in temperature, the IMCs gradually reacted with carbon to generate M2AlC. Mechanical property tests revealed that the Vickers hardness of the medium-entropy (TiVNb)2AlC material was 6.52 GPa, significantly higher than both the theoretical prediction based on the rule of mixtures and the hardness of traditional MAX phases. The severe lattice distortions in the polymeric solid solution structure contributed to this significant increase in hardness. In addition, the medium-entropy (TiVNb)2AlC exhibited temperature-dependent friction behavior within the temperature range of room temperature to 400 °C, with the lowest friction coefficient observed at 200 °C when the sample was in contact with the bearing steel. This study provided an important theoretical and experimental basis for the synthesis and future application of medium-entropy MAX phase materials. Full article
(This article belongs to the Section Crystalline Metals and Alloys)
Show Figures

Figure 1

21 pages, 2160 KB  
Review
Review of Advances in the Robotization of Timber Construction
by Fang-Che Cheng, Henriette Bier, Ningzhu Wang and Alisa Andrasek
Buildings 2025, 15(20), 3747; https://doi.org/10.3390/buildings15203747 - 17 Oct 2025
Viewed by 377
Abstract
The construction industry faces persistent productivity shortfalls and rising carbon dioxide emissions, which drives a shift toward the use of low-carbon materials and higher degrees of automation. Timber, a renewable and carbon-sequestering material, becomes especially compelling when combined with robotic fabrication. Although rapid [...] Read more.
The construction industry faces persistent productivity shortfalls and rising carbon dioxide emissions, which drives a shift toward the use of low-carbon materials and higher degrees of automation. Timber, a renewable and carbon-sequestering material, becomes especially compelling when combined with robotic fabrication. Although rapid advances have been implemented in the last decade, research and practice remain fragmented, and systematic evaluations of technological readiness are scarce. This gap is addressed in this review through critical literature synthesis of robotic timber construction, combining bibliometric analysis with a comparative evaluation of twelve representative case studies from 2020 to 2025. Computational and robotic tools are mapped across the design to fabrication pipeline, and emerging advancements are identified such as digital twins, real-time adaptive workflows, and machine learning driven fabrication, alongside discrete and circular strategies. Barriers to scale up are also assessed, including mid-level technology readiness, regulatory and safety obligations for human–robot interaction, evidence on cost and productivity, and workforce training needs. By clarifying the current level of robotization and specifying both research gaps and industrial prerequisites, this study provides a structured foundation for the next phase of development. It helps scholars by consolidating methods and metrics for rigorous evaluation, and it helps practitioners by highlighting pathways to scalable, certifiable, and circular deployment that align cost, safety, and training requirements. Full article
(This article belongs to the Special Issue AI in Construction: Automation, Optimization, and Safety)
Show Figures

Figure 1

Back to TopTop