Sign in to use this feature.

Years

Between: -

Subjects

remove_circle_outline
remove_circle_outline
remove_circle_outline
remove_circle_outline
remove_circle_outline
remove_circle_outline
remove_circle_outline
remove_circle_outline
remove_circle_outline

Journals

remove_circle_outline
remove_circle_outline
remove_circle_outline
remove_circle_outline
remove_circle_outline
remove_circle_outline
remove_circle_outline
remove_circle_outline
remove_circle_outline
remove_circle_outline
remove_circle_outline
remove_circle_outline
remove_circle_outline
remove_circle_outline
remove_circle_outline

Article Types

Countries / Regions

remove_circle_outline
remove_circle_outline
remove_circle_outline
remove_circle_outline
remove_circle_outline
remove_circle_outline
remove_circle_outline

Search Results (5,055)

Search Parameters:
Keywords = CFD-modeling

Order results
Result details
Results per page
Select all
Export citation of selected articles as:
22 pages, 3320 KB  
Article
On the Effects of Motion Coupling on Linear and Quadratic Damping in Multi-DoF Modelling of Floating Offshore Wind Turbines
by Antonella Castellano, Guglielmo Balistreri, Oronzo Dell’Edera, Francesco Niosi and Marco Cammalleri
Appl. Sci. 2026, 16(5), 2448; https://doi.org/10.3390/app16052448 - 3 Mar 2026
Abstract
Accurate modelling of hydrodynamic damping remains a critical challenge in the dynamic analysis of floating offshore wind turbines (FOWTs), particularly when motion coupling between degrees of freedom is significant. This study addresses the limitations of conventional single-degree-of-freedom damping identification techniques by proposing a [...] Read more.
Accurate modelling of hydrodynamic damping remains a critical challenge in the dynamic analysis of floating offshore wind turbines (FOWTs), particularly when motion coupling between degrees of freedom is significant. This study addresses the limitations of conventional single-degree-of-freedom damping identification techniques by proposing a novel multi-degree-of-freedom identification procedure capable of including off-diagonal coupling terms in the estimation of both linear and quadratic damping matrices. The aim is to assess whether viscous cross-coupling effects can be explicitly identified within a multi-degree-of-freedom lumped-parameter framework and to evaluate their impact on motion prediction. The methodology employs a hybrid optimisation approach, combining a genetic algorithm with a gradient-based solver. The procedure is applied to a taut-leg moored semi-submersible floating platform, focusing on surge–pitch coupling and using both experimental wave-basin data and high-fidelity CFD free-decay simulations. The results show that diagonal damping coefficients can be robustly identified even under coupled free-decay conditions, whereas the inclusion of off-diagonal viscous terms does not significantly improve the reconstruction of free-decay responses. Moreover, the simultaneous calibration of the added mass matrix enabled by the proposed procedure further improves agreement with the reference data. Although the findings highlight limited identifiability of viscous cross-coupling effects from free-decay tests, this paper provides a flexible tool for more advanced damping identification in operational and extreme conditions. Full article
(This article belongs to the Section Energy Science and Technology)
Show Figures

Figure 1

17 pages, 8729 KB  
Article
Development of Stall Delay Built-In Actuator Line Model (SD-ALM) for Wind Turbine Rotor CFD
by Koji Matsuoka, Shigeo Yoshida, Yuu Muraoka and Hayato Yoshimizu
Energies 2026, 19(5), 1260; https://doi.org/10.3390/en19051260 - 3 Mar 2026
Abstract
In the analysis and design of wind turbines, aeroelastic analysis is required that considers elastic structure and control in addition to aerodynamic characteristics. In recent years, with the increase in size and reduction in the cost of wind turbines, problems have emerged that [...] Read more.
In the analysis and design of wind turbines, aeroelastic analysis is required that considers elastic structure and control in addition to aerodynamic characteristics. In recent years, with the increase in size and reduction in the cost of wind turbines, problems have emerged that cannot be addressed with the standard analysis methods. The accuracy of the Blade Element and Momentum (BEM) theory, which is the most common aerodynamic analysis and design theory, is reduced in conditions where three-dimensional effects such as radial flow are not negligible. Furthermore, full-model Computational Fluid Dynamics (CFD), which is commonly used for complex aerodynamic problems, is not applicable for the design calculation of wind turbines considering itscomputational demands. To address these challenges, the Actuator Line Model (ALM) can be utilized as practical load analysis methods that account for structural elasticity, control, and fluctuating winds—offering a level of fidelity between both approaches. However, the conventional ALM does not account for the stall delay (SD) observed in the inboard section of rotor. In this study, an ALM based on CFD is developed by incorporating Snel’s stall delay model, which was developed for BEM. Additionally, the use of the NREL 5 MW reference wind turbine rotor results in the load distribution of the inboard section of this developed model to be comparable to that of the full-model CFD; however, a similar observation is not made for the conventional BEM. Full article
(This article belongs to the Section A3: Wind, Wave and Tidal Energy)
Show Figures

Figure 1

36 pages, 26044 KB  
Article
Design, Development and Performance Evaluation of Water-Lubricated Bearings with Diverse Groove Patterns: A CFD and Experimental Investigation
by Khushal Nitin Rajvansh, Girish H, Nitesh Kumar, Chithirai Pon Selvan, Ravindra Mallya, Gowrishankar Mandya Chennegowda, Subraya Krishna Bhat and Vinyas
Modelling 2026, 7(2), 49; https://doi.org/10.3390/modelling7020049 - 3 Mar 2026
Abstract
Multi-grooved water-lubricated bearings (MGWLBs) are widely used in marine stern tube applications, where hydrodynamic performance is strongly influenced by groove geometry and operating conditions. This study presents a combined experimental and computational investigation of water film lubrication characteristics in MGWLBs with different groove [...] Read more.
Multi-grooved water-lubricated bearings (MGWLBs) are widely used in marine stern tube applications, where hydrodynamic performance is strongly influenced by groove geometry and operating conditions. This study presents a combined experimental and computational investigation of water film lubrication characteristics in MGWLBs with different groove geometries. An experimental test setup redesigned to replicate the operational behavior of MGWLBs was employed to record the circumferential film pressure variations under varying rotational speeds and applied loads. Detailed experimental tests were performed on a MGWLBs with filleted V-shaped grooves, where the film pressures at the bearing midplane were measured using a flush-mounted diaphragm pressure sensor mounted on a hollow shaft. The experimental results revealed a transition from localized, non-uniform pressure generation at low speeds to stable and circumferentially continuous hydrodynamic pressure fields at higher speeds and loads. CFD simulations were also conducted to analyze the influence of groove geometry on pressure distribution and flow behavior. An increase in rotational speed was shown to significantly enhance pressure magnitude, circumferential continuity, and film stability under moderate to high loading conditions. Filleted V-shaped, semicircular, and short V-shaped groove models were analyzed for a speed range of 400 to 6000 RPM. Filleted V-shaped grooves produced smooth pressure development with moderate gradients, while semicircular grooves improved pressure and velocity uniformity by limiting localized intensification. In contrast, short V-shaped grooves generated higher peak pressures due to enhanced flow acceleration at groove–land interfaces. The findings provide design guidance for selecting groove geometry and operating conditions to enhance the hydrodynamic performance of marine water-lubricated bearings. Full article
Show Figures

Figure 1

21 pages, 4682 KB  
Article
Numerical Simulation of the Flow Around Cylinders for a Wide Range of Reynolds Numbers
by Haowen Yao, Tianli Hu, Junya Yang, Jianchun Wang and Chengsheng Wu
Fluids 2026, 11(3), 68; https://doi.org/10.3390/fluids11030068 - 3 Mar 2026
Abstract
To support the increasing complexity of innovation, design, and performance evaluation in the maritime industry, a ship-specific computational fluid dynamics (CFD) software suite tailored to incompressible viscous flow is required. This study utilizes the MarineFlow marine fluid dynamics code to explore numerical simulation [...] Read more.
To support the increasing complexity of innovation, design, and performance evaluation in the maritime industry, a ship-specific computational fluid dynamics (CFD) software suite tailored to incompressible viscous flow is required. This study utilizes the MarineFlow marine fluid dynamics code to explore numerical simulation schemes for cylindrical flow problems across a broad range of Reynolds numbers (1–107) that are applicable to self-developed codes. Additionally, an analysis of the flow around a cylinder is conducted from the perspective of code developers. Various grid types and turbulence model schemes are employed to analyze and compare the drag coefficient, separation points, and pressure distribution characteristics of the cylinder. The results obtained from these simulations are then contrasted with those derived from commercial CFD software to assess their accuracy. Despite the presence of certain numerical artifacts, within the Reynolds number range of 1–105, the unstructured grids combined with the laminar flow models effectively capture experimental data. Further exploration of the transitional Reynolds number range (Re = 2×1056×105) shows a consistent decreasing trend in the mean drag coefficient, although significant deviations from theoretical predictions are evident. From the perspective of code developers, this study aims to reveal the limitations of current computational schemes and code architecture in accurately capturing flow dynamics within the transitional Reynolds number range. This provides a crucial basis for future optimization of turbulence models and algorithmic improvements, which are essential for the continued development of self-developed CFD codes and their engineering applications. Full article
(This article belongs to the Special Issue Industrial CFD and Fluid Modelling in Engineering, 3rd Edition)
Show Figures

Figure 1

21 pages, 4694 KB  
Article
Fourier-Feature Neural Surrogate for Hemodynamic Field Reconstruction in Stenotic and Bifurcating Flows
by Polydoros N. Papadopoulos and Vasilis N. Burganos
Mach. Learn. Knowl. Extr. 2026, 8(3), 59; https://doi.org/10.3390/make8030059 - 3 Mar 2026
Abstract
This work presents a fast neural surrogate capable of reconstructing fully three-dimensional hemodynamic velocity fields in stenotic and bifurcating microvascular geometries with satisfactory accuracy, avoiding repeated, computationally demanding computational fluid dynamics (CFD) simulations. A Fourier-augmented, coordinate-neural surrogate is presented and assessed for rapid [...] Read more.
This work presents a fast neural surrogate capable of reconstructing fully three-dimensional hemodynamic velocity fields in stenotic and bifurcating microvascular geometries with satisfactory accuracy, avoiding repeated, computationally demanding computational fluid dynamics (CFD) simulations. A Fourier-augmented, coordinate-neural surrogate is presented and assessed for rapid computation of three-dimensional blood-flow fields in a sample geometry. The model is trained on detailed CFD data across a parameter set of stenosis severities that feed a direct mapping from spatial coordinates to velocity components. To mitigate spectral bias and improve accuracy in regions of steep gradients, the input space is embedded with random Fourier features and compared against a conventional multilayer perceptron (MLP) backbone. Predictive ability is assessed upon strict hold-out testing, during which certain arteriolar stenosis cases are excluded from training and treated with the Fourier surrogate. Direct comparison with CFD results reveals that the Fourier MLP achieves nearly CFD fidelity with the coefficient of determination R2 ≥ 0.994 and offers more than 80% reduction in the normalized errors as provided by conventional MLP, with the precise improvement depending on the severity of stenosis. Centerline velocity and cross-sectional profiles further show that the Fourier MLP reconstructs stenosis speed-up and radial profiles more reliably compared to conventional MLP. These results indicate that Fourier feature embedding provides a simple and effective route to robust full-field hemodynamic surrogates for efficient screening of stenosis configurations without resorting to repeated, heavily demanding CFD simulations. Full article
Show Figures

Graphical abstract

22 pages, 3968 KB  
Article
Research on Gas Turbine Data Scaling Technology Based on Temperature-Gradient-Guided Dynamic Genetic Optimization Sampling Algorithm
by Yang Liu, Yongbao Liu and Yuhao Jia
Processes 2026, 14(5), 818; https://doi.org/10.3390/pr14050818 (registering DOI) - 2 Mar 2026
Abstract
Gas turbines play a critical role in modern power systems, yet their transient operations (e.g., start-up, load mutation) induce significant thermal inertia in metal components, leading to deviations between simulation results and actual performance. Traditional low-dimensional (1D/0D) simulation models sacrifice detailed flow and [...] Read more.
Gas turbines play a critical role in modern power systems, yet their transient operations (e.g., start-up, load mutation) induce significant thermal inertia in metal components, leading to deviations between simulation results and actual performance. Traditional low-dimensional (1D/0D) simulation models sacrifice detailed flow and temperature field information to reduce computational load, while high-dimensional (3D) computational fluid dynamics (CFD) models are impractical for full-system simulations due to excessive computational costs. This discrepancy creates a critical trade-off between simulation accuracy and efficiency in gas turbine thermal inertia studies. To address this challenge, this study proposes a temperature-gradient-guided dynamic genetic optimization sampling algorithm (TDGA) and integrates it into a multi-dimensional data scaling framework for gas turbines. A fully coupled simulation framework was established, combining 3D CFD models for turbine flow paths (resolving detailed flow and temperature fields) and 1D thermal models for metal components (casing, hub, blades). The TDGA was designed to enable efficient data interoperability between models: it incorporates a dynamic encoding mechanism, temperature gradient weight matrix, density penalty term, quantity penalty term, and regularization term to optimize sampling point distribution. Dynamic weight coefficients for each objective function term and adaptive crossover/mutation probabilities were introduced to balance global exploration (early iterations) and local exploitation (late iterations) during optimization. Comparative analysis showed that the TDGA achieved a mean squared error (MSE) of 15.52K, far lower than those of traditional Latin Hypercube Sampling (75.07K) and Bootstrap Sampling (64.38K). It allocated 70.11% of sampling points to high-temperature gradient regions while reducing the total number of sampling points to 2765. During the middle stage of the gas turbine start-up process, compared with the traditional Latin Hypercube Sampling and Bootstrap Sampling, the average error of the proposed sampling algorithm is reduced by 17.4% and 13.3%, respectively. The proposed TDGA-based framework effectively balances simulation accuracy and computational efficiency, providing a reliable approach for the transient thermal analysis of gas turbines. Full article
(This article belongs to the Section AI-Enabled Process Engineering)
Show Figures

Figure 1

30 pages, 9373 KB  
Article
CFD-Based Design Evaluation of a Packed-Bed Reactor for Enzymatic Nitrogen Recovery from Human Urine: A Comparison of Particle-Resolved and Pseudo-Homogeneous Models
by Mario E. Cordero, Sebastián Uribe, Luis G. Zárate, Hugo Pérez-Pastenes, Ever Peralta-Reyes and Alejandro Regalado-Méndez
Processes 2026, 14(5), 817; https://doi.org/10.3390/pr14050817 - 2 Mar 2026
Abstract
This study analyzes hydrodynamics and mass transfer in a packed-bed reactor (PBR) by comparing two representations of bed geometry. The first is a pseudo-homogeneous approach using effective parameters, such as a radial porosity distribution. The second is a heterogeneous approach with resolved particles [...] Read more.
This study analyzes hydrodynamics and mass transfer in a packed-bed reactor (PBR) by comparing two representations of bed geometry. The first is a pseudo-homogeneous approach using effective parameters, such as a radial porosity distribution. The second is a heterogeneous approach with resolved particles in the CAD domain. Both models simulate single-phase flow and mass transfer of urea and NH3 for an enzymatic reaction across a wide Reynolds number range 5Rep750. The pseudo-homogeneous model incorporated a detailed porosity distribution, derived from the heterogeneous model’s solids layout, which aligned well with literature, including classical correlations for radial porosity in packed beds. Additionally, hydrodynamic predictions were benchmarked against established pressure-drop correlations for confined packed beds, supporting the physical consistency of the particle-resolved framework. This non-uniform porosity informed local variations in permeability and dispersion coefficients. Velocity, pressure, and concentration fields from both approaches were compared to quantify predictive quality. Results indicate that a well-configured pseudo-homogeneous model can closely match heterogeneous model predictions, achieving similar accuracy in many flow regimes, with accumulated average relative errors below 8%. However, its performance varies with flow conditions. The optimal pseudo-homogeneous model (showing the highest predictive consistency with the particle-resolved simulations) was then used for transient simulations. These dynamic results support the preliminary sizing and conceptual design of a device for nutrient recovery from human urine for agricultural use, demonstrating the utility of simplified models for complex reactor design while acknowledging that full experimental validation under real urine-matrix conditions remains beyond the scope of the present study. Full article
(This article belongs to the Section Chemical Processes and Systems)
Show Figures

Figure 1

38 pages, 4908 KB  
Systematic Review
From Catalyst to System: A Systematic Review of Simulation-Based Modelling of Ammonia Decomposition for Hydrogen Production
by Dk Nur Hayati Amali Pg Haji Omar Ali, Hazwani Suhaimi and Pg Emeroylariffion Abas
Hydrogen 2026, 7(1), 37; https://doi.org/10.3390/hydrogen7010037 - 2 Mar 2026
Abstract
Ammonia decomposition is one of the most used pathways for carbon-free hydrogen production, particularly in systems where ammonia is used as a hydrogen carrier. Modelling and simulation are critical for the general quantification of reaction kinetics, transport limitations, reactor performance, and system-level integration; [...] Read more.
Ammonia decomposition is one of the most used pathways for carbon-free hydrogen production, particularly in systems where ammonia is used as a hydrogen carrier. Modelling and simulation are critical for the general quantification of reaction kinetics, transport limitations, reactor performance, and system-level integration; however, simulation-based studies remain disjointed across modelling scales and synthesis routes. This systematic review examines modelling and simulation studies on ammonia decomposition published in the period between 2014 and 2025, identified through a structured Scopus search and screened using PRISMA methodology. A total of 70 modelling-focused studies were classified into five modelling categories: reactor-scale numerical and CFD modelling; kinetic and thermochemical mechanism modelling; thermodynamic, energy, and exergy-based process simulation; multiscale or cross-scale modelling; and conceptual or dimensionless modelling frameworks. The results show that reactor-scale CFD and kinetic models constitute most published studies, while integrated multiscale frameworks linking catalyst-scale phenomena to reactor and process-level performance remain limited. Furthermore, the inclusion of techno-economic analysis (TEA) and life-cycle assessment (LCA) is limited, restricting quantitative evaluation of scalability and system viability. Based on the reviewed literature, key methodological gaps are identified, and a multiscale modelling roadmap is proposed to support the design, optimisation, and scale-up of ammonia-to-hydrogen conversion systems. Full article
Show Figures

Figure 1

27 pages, 12460 KB  
Article
Vertical Bending Moment in Extreme Regular Waves—Benchmarking of Numerical Codes Against Model Tests
by Ole Andreas Hermundstad, Guillaume de Hauteclocque, Sopheak Seng, Masayoshi Oka, Chong Ma, Benjamin Bouscasse, Roberto Vettor, Shan Wang, Ivan Sulovsky, Jasna Prpic-Orsic, Kei Sugimoto and Tormod R. Landet
J. Mar. Sci. Eng. 2026, 14(5), 481; https://doi.org/10.3390/jmse14050481 - 2 Mar 2026
Abstract
A benchmark study of 10 different numerical methods for ship motion and load assessment is presented. Pitch motions and midship vertical bending moments are compared to model test results for a containership at zero speed in head regular waves. The wave steepness is [...] Read more.
A benchmark study of 10 different numerical methods for ship motion and load assessment is presented. Pitch motions and midship vertical bending moments are compared to model test results for a containership at zero speed in head regular waves. The wave steepness is varied from 2.1% to 10.5%. The model tests show that pitch and the vertical bending moment (VBM) display nonlinear behavior even for low-steepness waves. It is demonstrated that computational fluid dynamics (CFD) methods can reproduce the ship responses with good accuracy, even in very steep waves, involving green water and parts of the ship going in and out of water. Weakly nonlinear potential-theory methods tend to overestimate the pitch motions and the sagging moments as the wave steepness increases. For the vertical bending moment in steep waves, the 3D panel methods did not give significantly better results than those obtained with the nonlinear strip theories. Full article
Show Figures

Figure 1

24 pages, 4694 KB  
Article
AI-Driven Thermal Management Optimization for Lithium-Ion Battery Packs: A Surrogate Model Approach to Cell Spacing Design
by Florin Mariasiu, Ioan Szabo and George E. Mariasiu
Batteries 2026, 12(3), 86; https://doi.org/10.3390/batteries12030086 (registering DOI) - 2 Mar 2026
Abstract
The article presents the possibilities of integrating artificial intelligence (through specific machine learning techniques) in the design and construction process of a battery in order to optimize its thermal management. The workflow starts from CFD thermal simulations (1C-rate) of a battery (16 Li-ion [...] Read more.
The article presents the possibilities of integrating artificial intelligence (through specific machine learning techniques) in the design and construction process of a battery in order to optimize its thermal management. The workflow starts from CFD thermal simulations (1C-rate) of a battery (16 Li-ion cells, type 18650, 4 × 4 arrangement), and based on the results, a complex thermal landscape is created through radial basis function (Rbf) interpolation. Furthermore, a robust neural network (NN) model is proposed and validated through the obtained performances, which is used further for the optimization of the design space (DSO) and multi-objective optimization (MOO) processes. The obtained results show that for DSO, a cell spacing of 1.37 mm is proposed for a maximum cell temperature of 25.53 °C, and in the case of MOO, a cell spacing of 2.64 mm (for minimum fan energy consumption). The main conclusion of the obtained results shows that the use of the NN model as a surrogate (the Digital Twin of a physical model) presents two great advantages in the process of designing a battery: running a CFD simulation for each point on the 2D grid would take hours, while the NN model can generate the entire map and find the optimum in less than 2 s, and moreover, thousands of additional points can be evaluated to find the thin limit of optimal models, effectively filtering out thousands of energy-consuming “suboptimal” configurations. Full article
Show Figures

Figure 1

30 pages, 5706 KB  
Article
Dynamic Simulation and Characteristic Analysis of a Two-Stage Hydrogen Pressure-Reducing Valve
by Huaxing Zhai, Shuxun Li, Yu Zhang, Wei Li and Lingxia Yang
Designs 2026, 10(2), 27; https://doi.org/10.3390/designs10020027 - 1 Mar 2026
Viewed by 70
Abstract
As a critical component of the hydrogen supply system for fuel cells in hydrogen-powered unmanned aerial vehicles (UAVs), the dynamic performance of the two-stage hydrogen pressure-reducing valve (PRV) directly influences the stability and safety of the fuel cell system. To address the insufficient [...] Read more.
As a critical component of the hydrogen supply system for fuel cells in hydrogen-powered unmanned aerial vehicles (UAVs), the dynamic performance of the two-stage hydrogen pressure-reducing valve (PRV) directly influences the stability and safety of the fuel cell system. To address the insufficient output pressure control accuracy of existing hydrogen PRVs under a 70 MPa inlet pressure, this study designs a compact, fast-response, and high-precision two-stage hydrogen PRV. The flow coefficients of the valve orifices at each stage are obtained through Computational Fluid Dynamics (CFD) simulations, based on which a multi-physics coupled system dynamics model of the two-stage hydrogen PRV is derived. Using this multi-physics coupled dynamics model, a dynamic characteristic simulation model is established in MATLAB/Simulink. Numerical simulations performed with this model reveal the influence of different structural parameters on the dynamic characteristics of the first-stage and second-stage PRVs. The results provide theoretical and methodological references for the structural design and efficient optimization of two-stage hydrogen PRVs under high-pressure differential conditions, offering important guidance for improving the safety and stability of fuel cell hydrogen supply systems. Full article
Show Figures

Figure 1

24 pages, 2661 KB  
Article
Design and Experimental Research of a CFD-DEM Coupled Pelleted Rice Seeds UAV Hole-Sowing Seed Feeding Device
by Qingqing Wang, Donghan Xu, Bin Zhu, Chunxia Jiang, YinHu Qiao, Hualong Li and Ru Yang
Agriculture 2026, 16(5), 561; https://doi.org/10.3390/agriculture16050561 - 28 Feb 2026
Viewed by 74
Abstract
To achieve high-speed quantitative hole sowing of rice using an unmanned aerial vehicle (UAV), this study proposes an agricultural UAV pneumatic hole sowing system suitable for high-speed quantitative hole sowing. This system is based on pelletizing rice seeds. A pneumatic seed distribution system [...] Read more.
To achieve high-speed quantitative hole sowing of rice using an unmanned aerial vehicle (UAV), this study proposes an agricultural UAV pneumatic hole sowing system suitable for high-speed quantitative hole sowing. This system is based on pelletizing rice seeds. A pneumatic seed distribution system based on the Venturi effect was designed, with a seed feeding device that employs a computational fluid dynamics–discrete element method (CFD-DEM) coupled simulation method to construct a gas–solid two-phase flow simulation model that simulates actual field sowing conditions and analyzes seed transport characteristics. Using the seed feeding device blending chamber height, expansion section cone angle, and inlet airflow velocity as experimental factors, and evaluating seed distribution statistics based on the hole formation ratio(HFR) and hole spacing coefficient of variation (HSCV), the study achieved a comprehensive statistical analysis of seed distribution patterns. The Box–Behnken orthogonal experiment optimized the structural parameters of the seed feeding device, determining the optimal airflow velocity during seeding. The optimized parameter combination yielded a blending chamber height of 15.59 mm, an expansion section cone angle of 22.20°, and an inlet airflow velocity of 19.67 m/s, corresponding to an HFR of 84.66% and an HSCV of 6.95%. Field trials validated an HFR of 86.25% and an HSCV of 6.83%. This study provides theoretical and technical support for the design of high-speed hole -sowing equipment for rice using a UAV. Full article
(This article belongs to the Special Issue Intelligent Agricultural Seeding Equipment)
16 pages, 2931 KB  
Article
CFD Modelling Validated by PIV of Hydrodynamics in a Raceway Bioreactor: Dead Zone Detection and Flow Field Analysis
by Luis Alberto Zamora-Campos, Daniel Eduardo Rivera-Arreola, Rafael Rojas-Hernández, Valentín Trujillo-Mora, Marco Antonio Márquez-Vera, Julio César Salgado-Ramírez and Arturo Cadena-Ramírez
Bioengineering 2026, 13(3), 285; https://doi.org/10.3390/bioengineering13030285 - 28 Feb 2026
Viewed by 73
Abstract
Raceway bioreactors are widely employed for microalgal production owing to their low construction and operational costs, in addition to their scalability benefits. Nonetheless, limited hydrodynamic studies are corroborated by computer models that have been experimentally validated. This paper delineates the methodology and validation [...] Read more.
Raceway bioreactors are widely employed for microalgal production owing to their low construction and operational costs, in addition to their scalability benefits. Nonetheless, limited hydrodynamic studies are corroborated by computer models that have been experimentally validated. This paper delineates the methodology and validation of a computational fluid dynamics (CFD) model for a 10 L laboratory-scale Raceway bioreactor operating under abiotic conditions. In ANSYS Fluent, a multiphase technique was used with the RNG k–ε turbulence model, which is good for simulating flows that are curved or rotating in open-channels. Experimental validation was performed using Particle Image Velocimetry (PIV) at paddlewheel velocities of 20, 25, and 30 rpm. The CFD predictions showed a strong match with the experimental data, with a mean relative error of less than 8%. The examination of the flow field revealed the formation and subsequent reduction of low-velocity zones, depending on the intensity of agitation. Based on study on velocity distribution and Reynolds number, it was suggested that the design be changed so that the paddlewheel be moved to improve flow homogeneity without increasing energy use. The validated CFD model provides a reliable basis for improving the hydrodynamics, design, and operation of Raceway bioreactors. Additionally, it serves as a foundation for future research on biomass cultivation and expansion, facilitating the development of more efficient and sustainable microalgal production technologies. Full article
(This article belongs to the Special Issue Engineering Microalgal Systems for a Greener Future)
Show Figures

Figure 1

18 pages, 3503 KB  
Article
Numerical Simulation of Air-Water-Mineral Three-Phase Flow in a Flotation Column for Graphite
by Zhineng Liu, Jun Wang, Dongfang Lu, Hongchang Liu, Baojun Yang, Rui Liao, Lianjun Wu and Guanzhou Qiu
Minerals 2026, 16(3), 254; https://doi.org/10.3390/min16030254 - 28 Feb 2026
Viewed by 100
Abstract
This study aims to clarify the influence mechanism of air–water–mineral three-phase flow behavior on separation efficiency in a graphite flotation column, addressing the issues of over-breaking of coarse graphite flakes and low recovery of fine particles caused by mismatched flow fields and operating [...] Read more.
This study aims to clarify the influence mechanism of air–water–mineral three-phase flow behavior on separation efficiency in a graphite flotation column, addressing the issues of over-breaking of coarse graphite flakes and low recovery of fine particles caused by mismatched flow fields and operating parameters in traditional flotation columns. Using CFD numerical simulations based on the Eulerian multiphase flow model, the standard k-ε turbulence model, and scalable wall functions, the effects of feed velocity (0.8–2.4 m/s) and aeration velocity (1–5 m/s) on the flow field structure, gas holdup distribution, and weighted average bubble–particle collision probability inside the column were systematically analyzed. Key quantitative results show that under the synergistic condition of a feed velocity of 2 m/s and an aeration velocity of 3 m/s, an internal circulation flow field conducive to particle retention is formed. Under these conditions, the gas holdup in the collection zone reaches an optimal range (0.26–0.27), and the weighted average collision probability increases by approximately 22% compared to the baseline condition. Aeration velocity shows a significant positive correlation with gas holdup in the collection zone (~0.235 at 1 m/s, rising to ~0.285 at 5 m/s). While an increase in feed velocity reduces the overall gas volume fraction, it enhances turbulence and promotes uniform bubble dispersion through the spatial distribution of regions with high collision probability from the upper part to the upper–middle part of the column and improves the uniformity of distribution. The novelty of this study lies in being the first to quantitatively reveal, through CFD simulation, the coupled regulatory effects of feed velocity and aeration velocity on the stratified flow field structure and mineralization probability in a flotation column and to identify the key optimization threshold of “2 m/s feed velocity”. The practical significance is that it provides a clear theoretical basis and operational window for energy saving, consumption reduction, and process intensification in industrial flotation columns. It offers directly applicable parameter optimization strategies for the efficient recovery of fine-flake graphite and the protection of coarse flakes. Full article
Show Figures

Figure 1

14 pages, 3232 KB  
Article
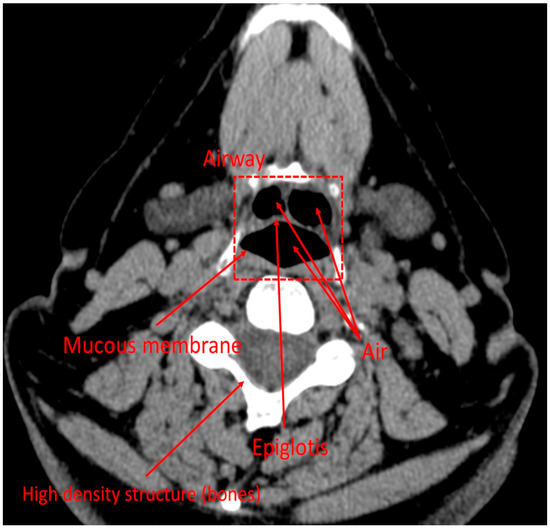
Shape Matters: Computational Fluid Dynamics Analysis of Epiglottis Shape Influence on Airway Collapse in Obstructive Sleep Apnea Patients
by Timi Gomboc, Matjaž Hriberšek and Matej Delakorda
Biomedicines 2026, 14(3), 553; https://doi.org/10.3390/biomedicines14030553 - 28 Feb 2026
Viewed by 83
Abstract
Background: The study investigates the influence of epiglottis morphology on airflow dynamics and mechanical loading using computational fluid dynamics (CFD) in patients with obstructive sleep apnea (OSA), where the epiglottis may contribute to upper airway obstructions during sleep. Methods: A two-stage [...] Read more.
Background: The study investigates the influence of epiglottis morphology on airflow dynamics and mechanical loading using computational fluid dynamics (CFD) in patients with obstructive sleep apnea (OSA), where the epiglottis may contribute to upper airway obstructions during sleep. Methods: A two-stage analysis was conducted: first, using a simplified airway model with two distinct epiglottis shapes (flat and curved), and second, using patient-specific 3D airway geometries derived from computed tomography (CT) scans. The simplified model enabled isolated analysis of flow-related aerodynamic forces and torques acting on the epiglottis across varying flow rates and inclination angles. Results: Results showed that the flat-shaped epiglottis was subjected to higher aerodynamic loads, particularly at lower flow rates, indicating increased susceptibility to collapse. These findings were corroborated by simulations on patient-specific 3D airway models. Conclusions: The study confirms that epiglottis morphology plays a critical role in the pathogenesis of OSA and underscores the potential of CFD for personalized assessment and treatment planning. Full article
Show Figures

Figure 1

Back to TopTop