Lung Ultrasound for Pleural Effusion in Cancer Patients: Advanced Ultrasound for Pleural Lesions—A Narrative Review
Simple Summary
Abstract
1. Introduction
2. Ultrasound for Malignant Pleural Effusion
2.1. Quantification
2.2. Echogenicity
Additional Ultrasound Techniques
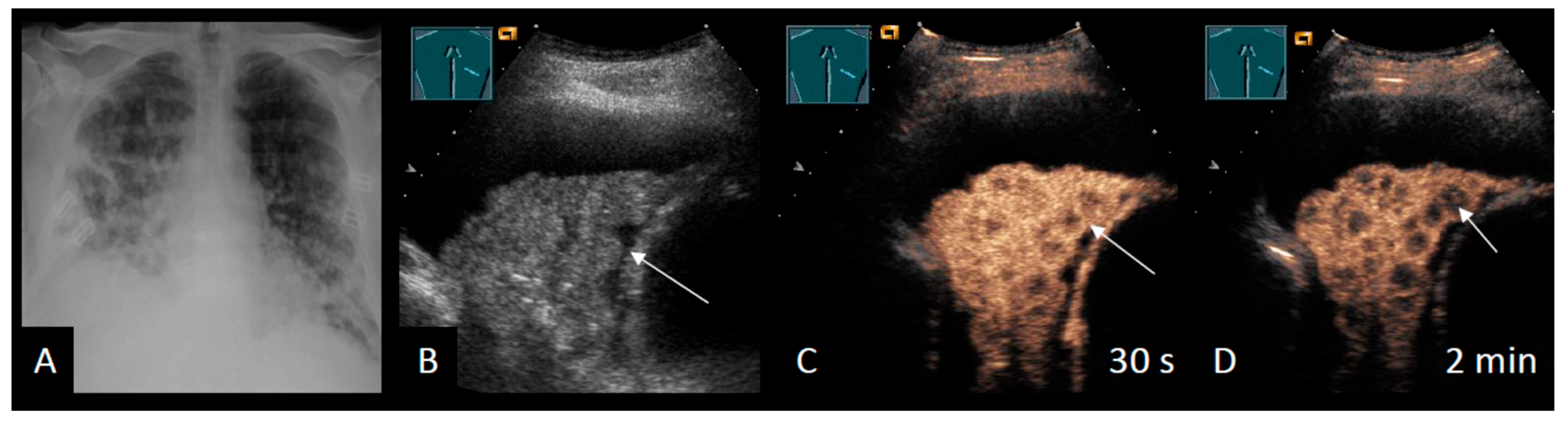
2.3. Pleural Lesions
Additional Ultrasound Techniques
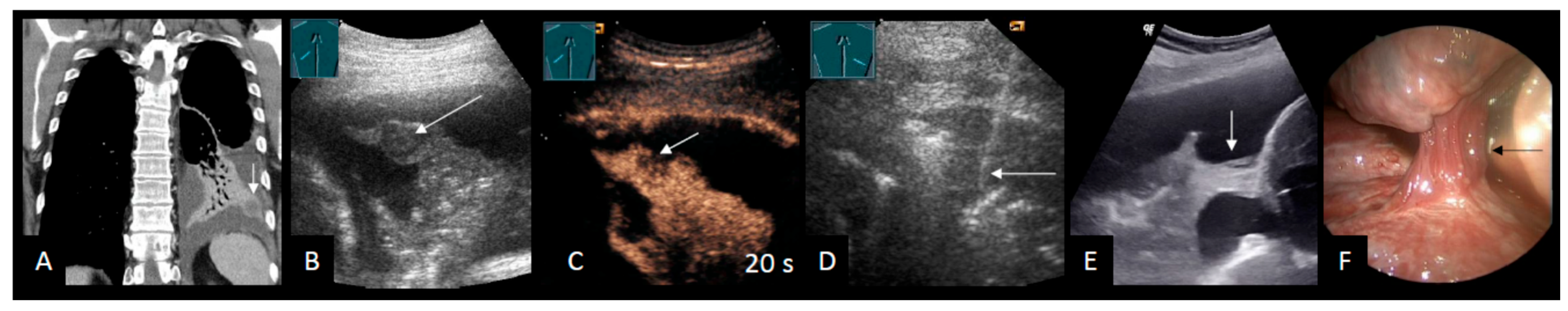
2.4. Intrapulmonary Lesions
Additional Ultrasound Techniques
2.5. Comparisons with Chest CT and Positron Emission Tomography–Computed Tomography (PET-CT)
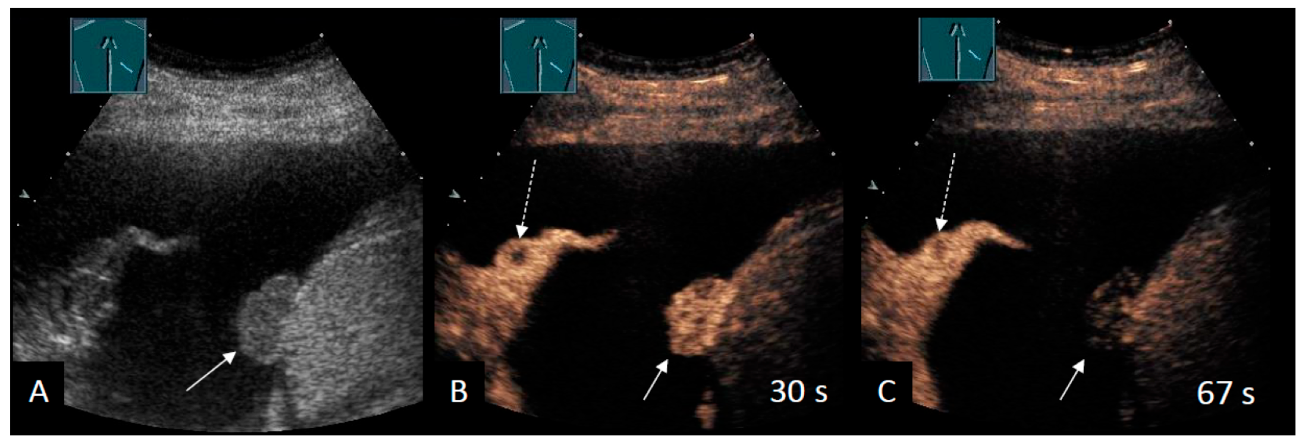
2.6. Cytology/Histology
Additional Ultrasound Techniques
2.7. Non-Expandable Lung
Additional Ultrasound Techniques
| Author | Year | Population, Study Design | Objective | Main Finding |
|---|---|---|---|---|
| Elastography | ||||
| Hou et al. [62] | 2016 | n = 61, design not given | To investigate benign and malignant pleural disease with LUS and SWE | Cut-off: 48.7 kPa-mean Sensitivity: 80.8% Specificity: 80% |
| Jiang et al. [61] | 2019 | n = 244, single-center, prospective study with development and validation set | To investigate the efficacy of SWE for diagnosing MPE | Cut-off: 47.2 kPa-mean Sensitivity: 83.6% Specificity: 90.7% |
| Ozgokce et al. [52] | 2019 | n = 60, single-center, prospective observational study | To differentiate transudative and exudative pleural effusion with acoustic radiation force impulse | Cut-off value: 2.52 m/s Sensitivity: 91% Specificity: 76.5% |
| Deng et al. [89] | 2023 | n = 98, multicentric, prospective study | To investigate the diagnostic accuracy of SWE-guided pleural biopsy | Sensitivity for MPE: 88.7% Sensitivity for tuberculosis: 69.6% |
| Petersen et al. [96] | 2024 | n = 49, single-center, prospective observational study | To investigate NEL pre-thoracocentesis with measurements of lung and diaphragm movement and SWE of the pleura | AUC M-mode lung: 81% AUC SWE visceral pl: 59% AUC SWE parietal pl: 57% |
| Nielsen et al. [57] | 2025 | n = 39, single-center, prospective observational study | To evaluate shear-wave elastography’s accuracy in detecting malignant pleural effusions in the ED | Sensitivity B-mode: 28.6% Specificity B-mode: 90.6% Sensitivity intercostal SWE: 100% Specificity intercostal SWE: 59.1% |
| CEUS | ||||
| Safai Zadeh et al. [53] | 2021 | n = 83, single-center, retrospective study | To evaluate the value of CEUS in differentiating malignant from benign PE | Sensitivity B-mode: 69.1% Specificity B-mode: 58.5% Sensitivity CEUS: 73.8% Specificity CEUS: 70.7% Subgroup (cytological negative, high risk for MPE): Sensitivity CEUS: 92.3% Specificity CEUS: 90.0% |
| Findeisen et al. [56] | 2022 | n = 63, single-center, retrospective study | To describe the value of CEUS for the differentiation of malignant from benign parietal pleural lesions (Pleural effusion in 50.8%) | Sensitivity CEUS: 92% Specificity CEUS: 54% |
| Yang et al. [58] | 2022 | n = 50, single-center, prospective study | To investigate the diagnostic capabilities of B-mode LUS and CEUS in terms of differentiating between benign and malignant pleural diseases | Multivariate logistic regression: Sensitivity 93.3% Specificity 90.0% |
3. Outlook
4. Conclusions
Author Contributions
Funding
Institutional Review Board Statement
Informed Consent Statement
Data Availability Statement
Acknowledgments
Conflicts of Interest
Abbreviations
| AI | Artificial intelligence |
| CEUS | Contrast-enhanced ultrasound |
| CT | Computed tomography |
| LUS | Lung ultrasound |
| MPE | Malignant pleural effusion |
| NEL | Non-expandable lung |
| NSCLC | Non-small-cell lung cancer |
| PE | Pleural effusion |
| PET | Positron emission tomography |
| US | Ultrasound |
| SWE | Shear-wave elastography |
References
- Pell, R.L. Ultrasound for routine clinical investigations. Ultrasonics 1964, 2, 87–89. [Google Scholar] [CrossRef]
- Joyner, C.R., Jr.; Herman, R.J.; Reid, J.M. Reflected ultrasound in the detection and localization of pleural effusion. JAMA 1967, 200, 399–402. [Google Scholar] [CrossRef]
- Görg, C.; Görg, K.; Schwerk, W.B.; Kleinsorge, F. Sonography of the diaphragmatic pleura in tumor patients. Ultraschall Med. 1988, 9, 274–278. [Google Scholar] [CrossRef]
- Shiroshita, A.; Nozaki, S.; Tanaka, Y.; Luo, Y.; Kataoka, Y. Thoracic ultrasound for malignant pleural effusion: A systematic review and meta-analysis. ERJ Open Res. 2020, 6, 00464-2020. [Google Scholar] [CrossRef]
- Sidhu, P.S.; Cantisani, V.; Dietrich, C.F.; Gilja, O.H.; Saftoiu, A.; Bartels, E.; Bertolotto, M.; Calliada, F.; Clevert, D.A.; Cosgrove, D.; et al. The EFSUMB Guidelines and Recommendations for the Clinical Practice of Contrast-Enhanced Ultrasound (CEUS) in Non-Hepatic Applications: Update 2017 (Long Version). Ultraschall Med. 2018, 39, e2–e44. [Google Scholar] [CrossRef]
- Saftoiu, A.; Gilja, O.H.; Sidhu, P.S.; Dietrich, C.F.; Cantisani, V.; Amy, D.; Bachmann-Nielsen, M.; Bob, F.; Bojunga, J.; Brock, M.; et al. The EFSUMB Guidelines and Recommendations for the Clinical Practice of Elastography in Non-Hepatic Applications: Update 2018. Ultraschall Med. 2019, 40, 425–453. [Google Scholar] [CrossRef]
- Feller-Kopman, D.; Light, R. Pleural Disease. N. Engl. J. Med. 2018, 378, 740–751. [Google Scholar] [CrossRef] [PubMed]
- Marel, M.; Zrustova, M.; Stasny, B.; Light, R.W. The incidence of pleural effusion in a well-defined region. Epidemiologic study in central Bohemia. Chest 1993, 104, 1486–1489. [Google Scholar] [CrossRef]
- Tian, P.; Qiu, R.; Wang, M.; Xu, S.; Cao, L.; Yang, P.; Li, W. Prevalence, Causes, and Health Care Burden of Pleural Effusions Among Hospitalized Adults in China. JAMA Netw. Open 2021, 4, e2120306. [Google Scholar] [CrossRef]
- Jany, B.; Welte, T. Pleural Effusion in Adults-Etiology, Diagnosis, and Treatment. Dtsch. Arztebl. Int. 2019, 116, 377–386. [Google Scholar] [CrossRef] [PubMed]
- Porcel, J.M.; Esquerda, A.; Vives, M.; Bielsa, S. Etiology of pleural effusions: Analysis of more than 3,000 consecutive thoracenteses. Arch. Bronconeumol. 2014, 50, 161–165. [Google Scholar] [CrossRef] [PubMed]
- Leuallen, E.C.; Carr, D.T. Pleural effusion; a statistical study of 436 patients. N. Engl. J. Med. 1955, 252, 79–83. [Google Scholar] [CrossRef]
- Light, R.W. Pleural effusion. N. Engl. J. Med. 2002, 346, 1971–1977. [Google Scholar] [CrossRef] [PubMed]
- Bintcliffe, O.J.; Hooper, C.E.; Rider, I.J.; Finn, R.S.; Morley, A.J.; Zahan-Evans, N.; Harvey, J.E.; Skyrme-Jones, A.P.; Maskell, N.A. Unilateral Pleural Effusions with More Than One Apparent Etiology. A Prospective Observational Study. Ann. Am. Thorac. Soc. 2016, 13, 1050–1056. [Google Scholar] [CrossRef]
- Kutty, C.P.; Varkey, B. “Contarini’s condition”: Bilateral pleural effusions with markedly different characteristics. Chest 1978, 74, 679–680. [Google Scholar] [CrossRef]
- Clive, A.O.; Jones, H.E.; Bhatnagar, R.; Preston, N.J.; Maskell, N. Interventions for the management of malignant pleural effusions: A network meta-analysis. Cochrane Database Syst. Rev. 2016, 2016, CD010529. [Google Scholar] [CrossRef] [PubMed]
- Cheah, H.M.; Lansley, S.M.; Varano Della Vergiliana, J.F.; Tan, A.L.; Thomas, R.; Leong, S.L.; Creaney, J.; Lee, Y.C. Malignant pleural fluid from mesothelioma has potent biological activities. Respirology 2017, 22, 192–199. [Google Scholar] [CrossRef]
- Porcel, J.M.; Gasol, A.; Bielsa, S.; Civit, C.; Light, R.W.; Salud, A. Clinical features and survival of lung cancer patients with pleural effusions. Respirology 2015, 20, 654–659. [Google Scholar] [CrossRef]
- Walker, S.P.; Morley, A.J.; Stadon, L.; De Fonseka, D.; Arnold, D.T.; Medford, A.R.L.; Maskell, N.A. Nonmalignant Pleural Effusions: A Prospective Study of 356 Consecutive Unselected Patients. Chest 2017, 151, 1099–1105. [Google Scholar] [CrossRef]
- DeBiasi, E.M.; Pisani, M.A.; Murphy, T.E.; Araujo, K.; Kookoolis, A.; Argento, A.C.; Puchalski, J. Mortality among patients with pleural effusion undergoing thoracentesis. Eur. Respir. J. 2015, 46, 495–502. [Google Scholar] [CrossRef]
- Bibby, A.C.; Dorn, P.; Psallidas, I.; Porcel, J.M.; Janssen, J.; Froudarakis, M.; Subotic, D.; Astoul, P.; Licht, P.; Schmid, R.; et al. ERS/EACTS statement on the management of malignant pleural effusions. Eur. Respir. J. 2018, 52, 116–132. [Google Scholar] [CrossRef]
- Roh, J.; Ahn, H.Y.; Kim, I.; Son, J.H.; Seol, H.Y.; Kim, M.H.; Lee, M.K.; Eom, J.S. Clinical course of asymptomatic malignant pleural effusion in non-small cell lung cancer patients: A multicenter retrospective study. Medicine 2021, 100, e25748. [Google Scholar] [CrossRef] [PubMed]
- Agalioti, T.; Giannou, A.D.; Krontira, A.C.; Kanellakis, N.I.; Kati, D.; Vreka, M.; Pepe, M.; Spella, M.; Lilis, I.; Zazara, D.E.; et al. Mutant KRAS promotes malignant pleural effusion formation. Nat. Commun. 2017, 8, 15205. [Google Scholar] [CrossRef]
- Gonnelli, F.; Hassan, W.; Bonifazi, M.; Pinelli, V.; Bedawi, E.O.; Porcel, J.M.; Rahman, N.M.; Mei, F. Malignant pleural effusion: Current understanding and therapeutic approach. Respir. Res. 2024, 25, 47. [Google Scholar] [CrossRef]
- Ryu, J.S.; Ryu, H.J.; Lee, S.N.; Memon, A.; Lee, S.K.; Nam, H.S.; Kim, H.J.; Lee, K.H.; Cho, J.H.; Hwang, S.S. Prognostic impact of minimal pleural effusion in non-small-cell lung cancer. J. Clin. Oncol. 2014, 32, 960–967. [Google Scholar] [CrossRef] [PubMed]
- Wu, R.G.; Yuan, A.; Liaw, Y.S.; Chang, D.B.; Yu, C.J.; Wu, H.D.; Kuo, S.H.; Luh, K.T.; Yang, P.C. Image comparison of real-time gray-scale ultrasound and color Doppler ultrasound for use in diagnosis of minimal pleural effusion. Am. J. Respir. Crit. Care Med. 1994, 150, 510–514. [Google Scholar] [CrossRef]
- Soni, N.J.; Franco, R.; Velez, M.I.; Schnobrich, D.; Dancel, R.; Restrepo, M.I.; Mayo, P.H. Ultrasound in the diagnosis and management of pleural effusions. J. Hosp. Med. 2015, 10, 811–816. [Google Scholar] [CrossRef] [PubMed]
- Grimberg, A.; Shigueoka, D.C.; Atallah, A.N.; Ajzen, S.; Iared, W. Diagnostic accuracy of sonography for pleural effusion: Systematic review. Sao Paulo Med. J. 2010, 128, 90–95. [Google Scholar] [CrossRef]
- Safai Zadeh, E.; Alhyari, A.; Kroenig, J.; Gorg, C.; Trenker, C.; Dietrich, C.F.; Findeisen, H. B-mode ultrasound and contrast-enhanced ultrasound for evaluation of pneumonia: A pictorial essay. Australas. J. Ultrasound Med. 2023, 26, 100–114. [Google Scholar] [CrossRef]
- Safai Zadeh, E.; Gorg, C.; Prosch, H.; Kifjak, D.; Dietrich, C.F.; Laursen, C.B.; Findeisen, H. Lung Ultrasound and Pleural Artifacts: A Pictorial Review. Diagnostics 2024, 14, 179. [Google Scholar] [CrossRef]
- Mathis, G.; Blank, W.; Reissig, A.; Lechleitner, P.; Reuss, J.; Schuler, A.; Beckh, S. Thoracic ultrasound for diagnosing pulmonary embolism: A prospective multicenter study of 352 patients. Chest 2005, 128, 1531–1538. [Google Scholar] [CrossRef]
- Gorg, C.; Bert, T.; Gorg, K. Contrast-enhanced sonography for differential diagnosis of pleurisy and focal pleural lesions of unknown cause. Chest 2005, 128, 3894–3899. [Google Scholar] [CrossRef]
- Horn, R.; Gorg, C.; Prosch, H.; Safai Zadeh, E.; Jenssen, C.; Dietrich, C.F. Sonography of the pleura. Ultraschall Med. 2024, 45, 118–146. [Google Scholar] [CrossRef] [PubMed]
- Smargiassi, A.; Inchingolo, R.; Zanforlin, A.; Valente, S.; Soldati, G.; Corbo, G.M. Description of free-flowing pleural effusions in medical reports after echographic assessment. Respiration 2013, 85, 439–441. [Google Scholar] [CrossRef]
- Brogi, E.; Gargani, L.; Bignami, E.; Barbariol, F.; Marra, A.; Forfori, F.; Vetrugno, L. Thoracic ultrasound for pleural effusion in the intensive care unit: A narrative review from diagnosis to treatment. Crit. Care 2017, 21, 325. [Google Scholar] [CrossRef]
- Goecke, W.; Schwerk, W.B. Die Real-Time Sonographie in der Diagnostik von Pleuraergüssen. In Ultraschall-Diagnostik ‘89; Springer: Berlin/Heidelberg, Germany, 1990. [Google Scholar] [CrossRef]
- Hassan, M.; Rizk, R.; Essam, H.; Abouelnour, A. Validation of equations for pleural effusion volume estimation by ultrasonography. J. Ultrasound 2017, 20, 267–271. [Google Scholar] [CrossRef] [PubMed]
- Yang, P.C.; Luh, K.T.; Chang, D.B.; Wu, H.D.; Yu, C.J.; Kuo, S.H. Value of sonography in determining the nature of pleural effusion: Analysis of 320 cases. AJR Am. J. Roentgenol. 1992, 159, 29–33. [Google Scholar] [CrossRef]
- Qureshi, N.R.; Rahman, N.M.; Gleeson, F.V. Thoracic ultrasound in the diagnosis of malignant pleural effusion. Thorax 2009, 64, 139–143. [Google Scholar] [CrossRef] [PubMed]
- Piskac Zivkovic, N.; Cikara, I.; Novak, N.P.; Brkljacic, B.; Tudoric, N. A Retrospective Study of Ultrasound Characteristics and Macroscopic Findings in Confirmed Malignant Pleural Effusion. Pulm. Med. 2019, 2019, 5628267. [Google Scholar] [CrossRef]
- Chen, H.J.; Hsu, W.H.; Tu, C.Y.; Yu, Y.H.; Chiu, K.L.; Hang, L.W.; Hsia, T.C.; Shih, C.M. Sonographic septation in lymphocyte-rich exudative pleural effusions: A useful diagnostic predictor for tuberculosis. J. Ultrasound Med. 2006, 25, 857–863. [Google Scholar] [CrossRef]
- Görg, C.; Restrepo, I.; Schwerk, W.B. Sonography of malignant pleural effusion. Eur. Radiol. 1997, 7, 1195–1198. [Google Scholar] [CrossRef]
- Shkolnik, B.; Judson, M.A.; Austin, A.; Hu, K.; D’Souza, M.; Zumbrunn, A.; Huggins, J.T.; Yucel, R.; Chopra, A. Diagnostic Accuracy of Thoracic Ultrasonography to Differentiate Transudative from Exudative Pleural Effusion. Chest 2020, 158, 692–697. [Google Scholar] [CrossRef]
- Bugalho, A.; Ferreira, D.; Dias, S.S.; Schuhmann, M.; Branco, J.C.; Marques Gomes, M.J.; Eberhardt, R. The diagnostic value of transthoracic ultrasonographic features in predicting malignancy in undiagnosed pleural effusions: A prospective observational study. Respiration 2014, 87, 270–278. [Google Scholar] [CrossRef]
- Chian, C.F.; Su, W.L.; Soh, L.H.; Yan, H.C.; Perng, W.C.; Wu, C.P. Echogenic swirling pattern as a predictor of malignant pleural effusions in patients with malignancies. Chest 2004, 126, 129–134. [Google Scholar] [CrossRef] [PubMed]
- Lane, A.B.; Petteys, S.; Ginn, M.; Nations, J.A. Clinical Importance of Echogenic Swirling Pleural Effusions. J. Ultrasound Med. 2016, 35, 843–847. [Google Scholar] [CrossRef]
- Kamel, K.; Emam, R.H.; Almeldin, A.I. Swirling pattern in patients with exudative pleural effusion. Egypt. J. Bronchol. 2017, 11, 250–254. [Google Scholar] [CrossRef]
- Chian, C.F.; Wu, F.P.; Tsai, C.L.; Peng, C.K.; Shen, C.H.; Perng, W.C.; Hsu, S.C. Echogenic swirling pattern, carcinoembryonic antigen, and lactate dehydrogenase in the diagnosis of malignant pleural effusion. Sci. Rep. 2022, 12, 4077. [Google Scholar] [CrossRef] [PubMed]
- Abramowitz, Y.; Simanovsky, N.; Goldstein, M.S.; Hiller, N. Pleural effusion: Characterization with CT attenuation values and CT appearance. AJR Am. J. Roentgenol. 2009, 192, 618–623. [Google Scholar] [CrossRef] [PubMed]
- Yang, L.; Wang, K.; Li, W.; Liu, D. Chest ultrasound is better than CT in identifying septated effusion of patients with pleural disease. Sci. Rep. 2024, 14, 11964. [Google Scholar] [CrossRef]
- Chung, C.L.; Chen, Y.C.; Chang, S.C. Effect of repeated thoracenteses on fluid characteristics, cytokines, and fibrinolytic activity in malignant pleural effusion. Chest 2003, 123, 1188–1195. [Google Scholar] [CrossRef]
- Ozgokce, M.; Durmaz, F.; Yavuz, A.; Uney, I.; Yildiz, H.; Arslan, H.; Dundar, I.; Havan, N.; Ogul, H. Shear-Wave Elastography in the Characterization of Pleural Effusions. Ultrasound Q. 2019, 35, 164–168. [Google Scholar] [CrossRef] [PubMed]
- Safai Zadeh, E.; Weide, J.; Dietrich, C.F.; Trenker, C.; Koczulla, A.R.; Gorg, C. Diagnostic Accuracy of B-Mode- and Contrast-Enhanced Ultrasound in Differentiating Malignant from Benign Pleural Effusions. Diagnostics 2021, 11, 1293. [Google Scholar] [CrossRef]
- Safai Zadeh, E.; Gorg, C.; Prosch, H.; Jenssen, C.; Blaivas, M.; Laursen, C.B.; Jacobsen, N.; Dietrich, C.F. WFUMB Technological Review: How to Perform Contrast-Enhanced Ultrasound of the Lung. Ultrasound Med. Biol. 2022, 48, 598–616. [Google Scholar] [CrossRef]
- Safai Zadeh, E.; Gorg, C.; Dietrich, C.F.; Gorlach, J.; Alhyari, A.; Trenker, C. Contrast-Enhanced Ultrasound for Evaluation of Pleural Effusion: A Pictorial Essay. J. Ultrasound Med. 2022, 41, 485–503. [Google Scholar] [CrossRef] [PubMed]
- Findeisen, H.; Gorg, C.; Hartbrich, R.; Dietrich, C.F.; Gorg, K.; Trenker, C.; Safai Zadeh, E. Contrast-enhanced ultrasound is helpful for differentiating benign from malignant parietal pleural lesions. J. Clin. Ultrasound 2022, 50, 90–98. [Google Scholar] [CrossRef]
- Nielsen, R.W.; Falster, C.; Posth, S.; Jacobsen, N.; Licht, A.E.; Bhatnagar, R.; Laursen, C.B. Diagnostic Accuracy of Shear Wave Elastography in Predicting Malignant Origins of Pleural Effusions in Emergency Departments. Diagnostics 2025, 15, 90–98. [Google Scholar] [CrossRef] [PubMed]
- Yang, H.; Zhang, Y.; Wei, D.; Chen, W.; Zhang, S.; He, L.; Liao, H.; Tang, Q.; Liu, J. Utility of high-frequency B-mode and contrast-enhanced ultrasound for the differential diagnosis of benign and malignant pleural diseases: A prospective study. J. Thorac. Dis. 2022, 14, 3695–3705. [Google Scholar] [CrossRef]
- Laursen, C.B.; Clive, A.; Hallifax, R.; Pietersen, P.I.; Asciak, R.; Davidsen, J.R.; Bhatnagar, R.; Bedawi, E.O.; Jacobsen, N.; Coleman, C.; et al. European Respiratory Society statement on thoracic ultrasound. Eur. Respir. J. 2021, 57, 2001519. [Google Scholar] [CrossRef]
- Shehata, S.M.; Almalki, Y.E.; Basha, M.A.A.; Hendy, R.M.; Mahmoud, E.M.; Abd Elhamed, M.E.; Alduraibi, S.K.; Aboualkheir, M.; Almushayti, Z.A.; Alduraibi, A.K.; et al. Comparative Evaluation of Chest Ultrasonography and Computed Tomography as Predictors of Malignant Pleural Effusion: A Prospective Study. Diagnostics 2024, 14, 1041. [Google Scholar] [CrossRef]
- Jiang, B.; Li, X.L.; Yin, Y.; Zhang, Q.; Zang, T.; Song, W.S.; Wang, X.M.; Kang, J.; Herth, F.J.F.; Hou, G. Ultrasound elastography: A novel tool for the differential diagnosis of pleural effusion. Eur. Respir. J. 2019, 54, 1802018. [Google Scholar] [CrossRef]
- Hou, G.; Jiang, B.; Tian, Q.; Zhang, T.; Yin, Y.; Song, W.-S.; Kang, J. Pleural ultrasonic elastography in the diagnosis of malignant pleural effusion. Eur. Respir. J. 2016, 48, PA3387. [Google Scholar] [CrossRef]
- Görg, C.; Schwerk, W.B.; Görg, K.; Walters, E. Pleural effusion: An “acoustic window” for sonography of pleural metastases. J. Clin. Ultrasound 1991, 19, 93–97. [Google Scholar] [CrossRef] [PubMed]
- Alhyari, A.; Gorg, C.; Dietrich, C.F.; Trenker, C.; Ludwig, M.; Safai Zadeh, E. Diagnostic Performance of Point Shear Wave Elastography Using Acoustic Radiation Force Impulse Technology in Peripheral Pulmonary Consolidations: A Feasibility Study. Ultrasound Med. Biol. 2022, 48, 778–785. [Google Scholar] [CrossRef]
- Safai Zadeh, E.; Huber, K.P.; Gorg, C.; Prosch, H.; Findeisen, H. The Value of Contrast-Enhanced Ultrasound (CEUS) in the Evaluation of Central Lung Cancer with Obstructive Atelectasis. Diagnostics 2024, 14, 1051. [Google Scholar] [CrossRef]
- Lei, Z.; Lou, J.; Bao, L.; Lv, Z. Contrast-enhanced ultrasound for needle biopsy of central lung cancer with atelectasis. J. Med. Ultrason. 2018, 45, 461–467. [Google Scholar] [CrossRef]
- Reuter, S.; Lindgaard, D.; Laursen, C.; Fischer, B.M.; Clementsen, P.F.; Bodtger, U. Computed tomography of the chest in unilateral pleural effusions: Outcome of the British Thoracic Society guideline. J. Thorac. Dis. 2019, 11, 1336–1346. [Google Scholar] [CrossRef]
- Sun, Y.; Yu, H.; Ma, J.; Lu, P. The Role of 18F-FDG PET/CT Integrated Imaging in Distinguishing Malignant from Benign Pleural Effusion. PLoS ONE 2016, 11, e0161764. [Google Scholar] [CrossRef] [PubMed]
- Porcel, J.M.; Pardina, M.; Bielsa, S.; Gonzalez, A.; Light, R.W. Derivation and validation of a CT scan scoring system for discriminating malignant from benign pleural effusions. Chest 2015, 147, 513–519. [Google Scholar] [CrossRef]
- Yang, M.F.; Tong, Z.H.; Wang, Z.; Zhang, Y.Y.; Xu, L.L.; Wang, X.J.; Li, W.; Wu, X.Z.; Wang, W.; Zhang, Y.H.; et al. Development and validation of the PET-CT score for diagnosis of malignant pleural effusion. Eur. J. Nucl. Med. Mol. Imaging 2019, 46, 1457–1467. [Google Scholar] [CrossRef] [PubMed]
- van Overhagen, H.; Brakel, K.; Heijenbrok, M.W.; van Kasteren, J.H.; van de Moosdijk, C.N.; Roldaan, A.C.; van Gils, A.P.; Hansen, B.E. Metastases in supraclavicular lymph nodes in lung cancer: Assessment with palpation, US, and CT. Radiology 2004, 232, 75–80. [Google Scholar] [CrossRef]
- Prosch, H.; Strasser, G.; Sonka, C.; Oschatz, E.; Mashaal, S.; Mohn-Staudner, A.; Mostbeck, G.H. Cervical ultrasound (US) and US-guided lymph node biopsy as a routine procedure for staging of lung cancer. Ultraschall Med. 2007, 28, 598–603. [Google Scholar] [CrossRef]
- Hooper, C.; Lee, Y.C.; Maskell, N.; BTS Pleural Guideline Group. Investigation of a unilateral pleural effusion in adults: British Thoracic Society Pleural Disease Guideline 2010. Thorax 2010, 65, ii4–ii17. [Google Scholar] [CrossRef] [PubMed]
- Botana Rial, M.; Perez Pallares, J.; Cases Viedma, E.; Lopez Gonzalez, F.J.; Porcel, J.M.; Rodriguez, M.; Romero Romero, B.; Valdes Cuadrado, L.; Villena Garrido, V.; Cordovilla Perez, R. Diagnosis and Treatment of Pleural Effusion. Recommendations of the Spanish Society of Pulmonology and Thoracic Surgery. Update 2022. Arch. Bronconeumol. 2023, 59, 27–35. [Google Scholar] [CrossRef]
- Sivabalah, K.; Balata, H.; Craig, C.; Alsaaty, A.; Conroy, K.; Ong, W.H.; Aujayeb, A. The 2023 British Thoracic Society Guideline for Pleural Disease Update on Malignant Pleural Effusion. J. Respir. 2024, 4, 210–222. [Google Scholar] [CrossRef]
- Fjaellegaard, K.; Petersen, J.K.; Clementsen, P.F.; Laursen, C.B.; Bhatnagar, R.; Bodtger, U. Additional Up-Front Thoracic Ultrasound in the Workup of Patients with Unilateral Pleural Effusion: A Prospective Observational Pilot Study. Respiration 2023, 102, 377–385. [Google Scholar] [CrossRef]
- Porcel, J.M.; Hernandez, P.; Martinez-Alonso, M.; Bielsa, S.; Salud, A. Accuracy of fluorodeoxyglucose-PET imaging for differentiating benign from malignant pleural effusions: A meta-analysis. Chest 2015, 147, 502–512. [Google Scholar] [CrossRef] [PubMed]
- Fjaellegaard, K.; Koefod Petersen, J.; Reuter, S.; Malene Fischer, B.; Gerke, O.; Porcel, J.M.; Frost Clementsen, P.; Laursen, C.B.; Bhatnagar, R.; Bodtger, U. Positron emission tomography-computed tomography (PET-CT) in suspected malignant pleural effusion. An updated systematic review and meta-analysis. Lung Cancer 2021, 162, 106–118. [Google Scholar] [CrossRef]
- Roberts, M.E.; Rahman, N.M.; Maskell, N.A.; Bibby, A.C.; Blyth, K.G.; Corcoran, J.P.; Edey, A.; Evison, M.; de Fonseka, D.; Hallifax, R.; et al. British Thoracic Society Guideline for pleural disease. Thorax 2023, 78, s1–s42. [Google Scholar] [CrossRef]
- de Fonseka, D.; Arnold, D.T.; Smartt, H.J.M.; Culliford, L.; Stadon, L.; Tucker, E.; Morley, A.; Zahan-Evans, N.; Bibby, A.C.; Lynch, G.; et al. PET-CT-guided versus CT-guided biopsy in suspected malignant pleural thickening: A randomised trial. Eur. Respir. J. 2024, 63, 2301295. [Google Scholar] [CrossRef]
- Arnold, D.T.; De Fonseka, D.; Perry, S.; Morley, A.; Harvey, J.E.; Medford, A.; Brett, M.; Maskell, N.A. Investigating unilateral pleural effusions: The role of cytology. Eur. Respir. J. 2018, 52, 1801254. [Google Scholar] [CrossRef] [PubMed]
- Kassirian, S.; Hinton, S.N.; Cuninghame, S.; Chaudhary, R.; Iansavitchene, A.; Amjadi, K.; Dhaliwal, I.; Zeman-Pocrnich, C.; Mitchell, M.A. Diagnostic sensitivity of pleural fluid cytology in malignant pleural effusions: Systematic review and meta-analysis. Thorax 2023, 78, 32–40. [Google Scholar] [CrossRef] [PubMed]
- Tsim, S.; Paterson, S.; Cartwright, D.; Fong, C.J.; Alexander, L.; Kelly, C.; Holme, J.; Evison, M.; Blyth, K.G. Baseline predictors of negative and incomplete pleural cytology in patients with suspected pleural malignancy—Data supporting ‘Direct to LAT’ in selected groups. Lung Cancer 2019, 133, 123–129. [Google Scholar] [CrossRef]
- Leitlinienprogramm Onkologie (Deutsche Krebsgesellschaft, Deutsche Krebshilfe, AWMF). S3-Leitlinie Prävention, Diagnostik, Therapie und Nachsorge des. Lungenkarzinoms, Langversion 4.01. 2024. AWMF-Registernummer: 020-007OL. Available online: https://www.leitlinienprogramm-onkologie.de/leitlinien/lungenkarzinom/ (accessed on 9 October 2025).
- Pairman, L.; Beckert, L.E.L.; Dagger, M.; Maze, M.J. Evaluation of pleural fluid cytology for the diagnosis of malignant pleural effusion: A retrospective cohort study. Intern. Med. J. 2022, 52, 1154–1159. [Google Scholar] [CrossRef]
- Hallifax, R.J.; Corcoran, J.P.; Ahmed, A.; Nagendran, M.; Rostom, H.; Hassan, N.; Maruthappu, M.; Psallidas, I.; Manuel, A.; Gleeson, F.V.; et al. Physician-based ultrasound-guided biopsy for diagnosing pleural disease. Chest 2014, 146, 1001–1006. [Google Scholar] [CrossRef] [PubMed]
- Sconfienza, L.M.; Mauri, G.; Grossi, F.; Truini, M.; Serafini, G.; Sardanelli, F.; Murolo, C. Pleural and peripheral lung lesions: Comparison of US- and CT-guided biopsy. Radiology 2013, 266, 930–935. [Google Scholar] [CrossRef]
- Dixon, G.; de Fonseka, D.; Maskell, N. Pleural controversies: Image guided biopsy vs. thoracoscopy for undiagnosed pleural effusions? J. Thorac. Dis. 2015, 7, 1041–1051. [Google Scholar] [CrossRef] [PubMed]
- Deng, M.; Ye, X.; Ma, J.; Xia, Y.; Zhang, Q.; Jiang, B.; Wu, J.; Wen, Q.; Zheng, Y.; Yin, Y.; et al. Ultrasonic Elastography-guided Pleural Biopsy for the Diagnosis of Pleural Effusion: A Multicenter Prospective Study of Diagnostic Test Performance. Ann. Am. Thorac. Soc. 2023, 20, 1242–1249. [Google Scholar] [CrossRef]
- Sun, W.; Zhou, Y.; Yang, C.; Dong, Z.; Zhang, Z.; Wang, Y.; Fan, L. Contrast-enhanced ultrasound guided pleural biopsy improves diagnostic confidence for pleural based lesions: A 3-year prospective study. BMC Pulm. Med. 2021, 21, 224. [Google Scholar] [CrossRef]
- Holling, N.; Patole, S.; Medford, A.R.L.; Maskell, N.A.; Bibby, A.C. Is Systemic Anticancer Therapy Associated with Higher Rates of Malignant Pleural Effusion Control in People with Pharmacologically Sensitive Tumors? A Retrospective Analysis of Prospectively Collected Data. Chest 2021, 160, 1915–1924. [Google Scholar] [CrossRef]
- Muruganandan, S.; Azzopardi, M.; Fitzgerald, D.B.; Shrestha, R.; Kwan, B.C.H.; Lam, D.C.L.; De Chaneet, C.C.; Rashid Ali, M.R.S.; Yap, E.; Tobin, C.L.; et al. Aggressive versus symptom-guided drainage of malignant pleural effusion via indwelling pleural catheters (AMPLE-2): An open-label randomised trial. Lancet Respir. Med. 2018, 6, 671–680. [Google Scholar] [CrossRef] [PubMed]
- Marchi, G.; Cucchiara, F.; Gregori, A.; Biondi, G.; Guglielmi, G.; Serradori, M.; Gherardi, M.; Gabbrielli, L.; Pistelli, F.; Carrozzi, L. Thoracic Ultrasound for Pre-Procedural Dynamic Assessment of Non-Expandable Lung: A Non-Invasive, Real-Time and Multifaceted Diagnostic Tool. J. Clin. Med. 2025, 14, 2062. [Google Scholar] [CrossRef] [PubMed]
- Salamonsen, M.R.; Lo, A.K.C.; Ng, A.C.T.; Bashirzadeh, F.; Wang, W.Y.S.; Fielding, D.I.K. Novel use of pleural ultrasound can identify malignant entrapped lung prior to effusion drainage. Chest 2014, 146, 1286–1293. [Google Scholar] [CrossRef] [PubMed]
- Lichtenstein, D.; Hulot, J.S.; Rabiller, A.; Tostivint, I.; Meziere, G. Feasibility and safety of ultrasound-aided thoracentesis in mechanically ventilated patients. Intensive Care Med. 1999, 25, 955–958. [Google Scholar] [CrossRef]
- Petersen, J.K.; Fjaellegaard, K.; Rasmussen, D.B.; Alstrup, G.; Hoegholm, A.; Sidhu, J.S.; Sivapalan, P.; Gerke, O.; Bhatnagar, R.; Clementsen, P.F.; et al. Ultrasound in the Diagnosis of Non-Expandable Lung: A Prospective Observational Study of M-Mode, B-Mode, and 2D-Shear Wave Elastography. Diagnostics 2024, 14, 204. [Google Scholar] [CrossRef]
- Halim, D.; Kelly, A.; Hayes, J.; Bennett, K.; Tzouvelekis, A.; Ampazis, D.; Sampsonas, F. Standard to Handheld: A New Wave in Thoracic Ultrasound and Patient Care-A Direct Comparison of Portable Handheld Against Standard in Thoracic Ultrasound. Medicina 2025, 61, 313. [Google Scholar] [CrossRef]
- Alavi, M.; Ali, W.; Sagar, A.; Shafiq, M.; Azhar, M.; Ali, A.S.; Salahuddin, M. Real-world effectiveness and safety of handheld ultrasound in pleural procedures. Monaldi Arch. Chest Dis. 2024, early access. [Google Scholar] [CrossRef]
- Lo, H.; Eder, N.; Boten, D.; Jenssen, C.; Nuernberg, D. Handheld Ultrasound (HHUS): Potential for Home Palliative Care. Ultrasound Int. Open 2022, 8, E68–E76. [Google Scholar] [CrossRef]
- Marchi, G.; Mercier, M.; Cefalo, J.; Salerni, C.; Ferioli, M.; Candoli, P.; Gori, L.; Cucchiara, F.; Cenerini, G.; Guglielmi, G.; et al. Advanced imaging techniques and artificial intelligence in pleural diseases: A narrative review. Eur. Respir. Rev. 2025, 34, 240263. [Google Scholar] [CrossRef]
- Baloescu, C.; Bailitz, J.; Cheema, B.; Agarwala, R.; Jankowski, M.; Eke, O.; Liu, R.; Nomura, J.; Stolz, L.; Gargani, L.; et al. Artificial Intelligence-Guided Lung Ultrasound by Nonexperts. JAMA Cardiol. 2025, 10, 245–253. [Google Scholar] [CrossRef] [PubMed]
- Chaudhary, R.; Ho, J.; Smith, D.; Hossain, S.; Hargun, J.; VanBerlo, B.; Murphy, N.; Prager, R.; Rikhraj, K.; Tschirhart, J.; et al. Diagnostic accuracy of an automated classifier for the detection of pleural effusions in patients undergoing lung ultrasound. Am. J. Emerg. Med. 2025, 90, 142–150. [Google Scholar] [CrossRef]





| Study | Pleural Thickness | Diagnostic Yield |
|---|---|---|
| Qureshi, 2009 [39] | >10 mm | sensitivity 42%, specificity 95% |
| Bugalho, 2014 [44] | >10 mm | sensitivity 74%, specificity 86% |
| Findeisen, 2022 [56] | >15 mm | sensitivity 78%, specificity 74% |
| Yang, 2022 [58] | >7 mm | sensitivity 63%, specificity 90% |
Disclaimer/Publisher’s Note: The statements, opinions and data contained in all publications are solely those of the individual author(s) and contributor(s) and not of MDPI and/or the editor(s). MDPI and/or the editor(s) disclaim responsibility for any injury to people or property resulting from any ideas, methods, instructions or products referred to in the content. |
© 2025 by the authors. Licensee MDPI, Basel, Switzerland. This article is an open access article distributed under the terms and conditions of the Creative Commons Attribution (CC BY) license.
Share and Cite
Findeisen, H.; Görg, C.; Zies, V.; Ludwig, M.; Dietrich, C.F.; Alhyari, A.; Trenker-Burchert, C. Lung Ultrasound for Pleural Effusion in Cancer Patients: Advanced Ultrasound for Pleural Lesions—A Narrative Review. Cancers 2026, 18, 38. https://doi.org/10.3390/cancers18010038
Findeisen H, Görg C, Zies V, Ludwig M, Dietrich CF, Alhyari A, Trenker-Burchert C. Lung Ultrasound for Pleural Effusion in Cancer Patients: Advanced Ultrasound for Pleural Lesions—A Narrative Review. Cancers. 2026; 18(1):38. https://doi.org/10.3390/cancers18010038
Chicago/Turabian StyleFindeisen, Hajo, Christian Görg, Viktoria Zies, Michael Ludwig, Christoph F. Dietrich, Amjad Alhyari, and Corinna Trenker-Burchert. 2026. "Lung Ultrasound for Pleural Effusion in Cancer Patients: Advanced Ultrasound for Pleural Lesions—A Narrative Review" Cancers 18, no. 1: 38. https://doi.org/10.3390/cancers18010038
APA StyleFindeisen, H., Görg, C., Zies, V., Ludwig, M., Dietrich, C. F., Alhyari, A., & Trenker-Burchert, C. (2026). Lung Ultrasound for Pleural Effusion in Cancer Patients: Advanced Ultrasound for Pleural Lesions—A Narrative Review. Cancers, 18(1), 38. https://doi.org/10.3390/cancers18010038

