Sign in to use this feature.

Years

Between: -

Subjects

remove_circle_outline
remove_circle_outline
remove_circle_outline
remove_circle_outline
remove_circle_outline
remove_circle_outline
remove_circle_outline

Journals

remove_circle_outline
remove_circle_outline
remove_circle_outline
remove_circle_outline
remove_circle_outline
remove_circle_outline
remove_circle_outline
remove_circle_outline
remove_circle_outline
remove_circle_outline
remove_circle_outline
remove_circle_outline
remove_circle_outline

Article Types

Countries / Regions

remove_circle_outline
remove_circle_outline
remove_circle_outline
remove_circle_outline
remove_circle_outline
remove_circle_outline
remove_circle_outline

Search Results (884)

Search Parameters:
Keywords = CD4+ cell counts

Order results
Result details
Results per page
Select all
Export citation of selected articles as:
16 pages, 2257 KB  
Article
Comparative Characterization of Tumor Microenvironments in Monophasic and Biphasic Synovial Sarcomas
by Anna Kosyreva, Enar Jumaniyazova, Alexandra Sentyabreva, Ekaterina Miroshnichenko, Dzhuliia Dzhalilova, Timur Fetisov, Anastasia Tararykova, Anastasiya Lokhonina and Timur Fatkhudinov
Int. J. Mol. Sci. 2025, 26(20), 10119; https://doi.org/10.3390/ijms262010119 - 17 Oct 2025
Viewed by 89
Abstract
The impact of histological subtype on immunogenic properties of the tumor microenvironment in synovial sarcomas (SSs) remains understudied. This study aimed to conduct a comparative assessment of tumor microenvironments in monophasic and biphasic SSs. During the study, biomaterial from nine patients with SS [...] Read more.
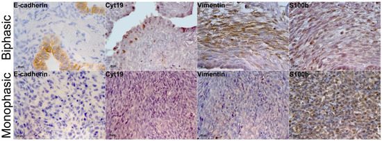
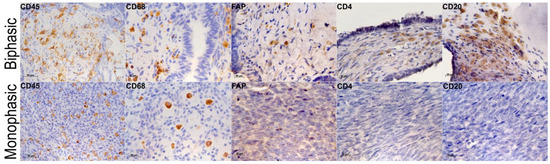
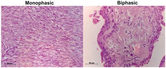
The impact of histological subtype on immunogenic properties of the tumor microenvironment in synovial sarcomas (SSs) remains understudied. This study aimed to conduct a comparative assessment of tumor microenvironments in monophasic and biphasic SSs. During the study, biomaterial from nine patients with SS was analyzed using IHC analysis, flow cytometry, and real-time PCR. All tumors were infiltrated with CD45+ leukocytes, including the diffusely scattered CD68+ macrophages. FAP+ cells were identified in 7/9 observations, including both monophasic and biphasic tumors. CD4+ T cells and CD20+ B cells were identified by IHC in biphasic SS. The flow cytometry assay revealed significantly higher counts of CD4+ and CD8+ lymphocytes in biphasic SS. IHC revealed E-cadherin expression specifically in the epithelial component of biphasic SS. Vimentin expression in the mesenchymal component of biphasic SS was stronger than in monophasic tumors. The reverse transcription real-time PCR assay revealed higher expression of tumor markers CDKN2A, EGFR, and PDGFRL in monophasic SS. Expression levels of M2 macrophage marker ARG1 and levels of M1 macrophage marker NOS2 in monophasic SS were higher than in biphasic tumors. Biphasic and monophasic SSs revealed distinct molecular patterns and differential degrees of T lymphocyte and M2 macrophage infiltration. Biphasic SSs are characterized by the presence of lymphocytes in the tumor, while monophasic SSs show more pronounced infiltration with M2 macrophages. Monophasic tumors are characterized by higher expression of cancer-related genes CDKN2A, EGFR, and PDGFRL, which can be considered as potential targets for treatment. Our study is limited to a small sample of patients. This is due to the rarity of synovial sarcoma, as well as the fact that we recruited patients who had not received radiation or chemotherapy before taking the biomaterial. It was these criteria that made it possible to objectively assess the state of the tumor microenvironment. Full article
(This article belongs to the Special Issue Sarcomas: From Molecular Signatures to Morphologic Patterns)
Show Figures

Figure 1

21 pages, 3312 KB  
Article
Acute HIV Infection and ART Response: Insights into T Cell Subsets, Activation, Exhaustion, and Blood and GALT HIV Reservoir
by Soraia Santana de Moura, Diogo Gama Caetano, Monick Lindenmeyer Guimarães, Rayana Katylin Mendes da Silva, Natasha Cabral, Simone da Costa Cruz Silva, Marcelo Ribeiro-Alves, Sylvia L. M. Teixeira, Ingebourg Georg, Desirée Vieira Gomes dos Santos, Sandro Nazer, Rafael Teixeira Fraga, Brenda Hoagland, Larissa Villela, Beatriz Gilda Jegerhorn Grinsztejn, Valdiléa Gonçalves Veloso, Fernanda Heloise Côrtes and Sandra W. Cardoso
Viruses 2025, 17(10), 1381; https://doi.org/10.3390/v17101381 - 16 Oct 2025
Viewed by 241
Abstract
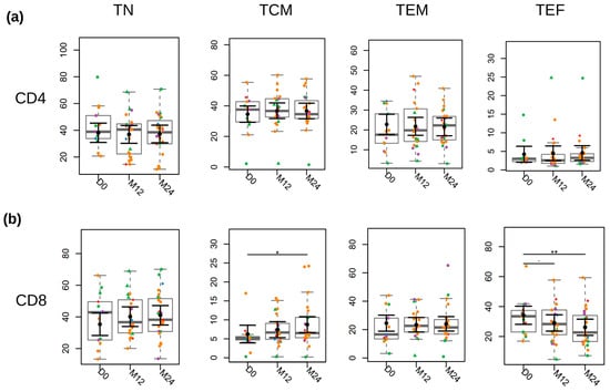
Investigating immunological and viral reservoir dynamics in blood and GALT during acute HIV phase advances understanding of HIV persistence. Dynamics of T cells and HIV reservoirs immediately after early ART require further investigation. We evaluated the ART impact at 12 (M12) and 24 [...] Read more.
Investigating immunological and viral reservoir dynamics in blood and GALT during acute HIV phase advances understanding of HIV persistence. Dynamics of T cells and HIV reservoirs immediately after early ART require further investigation. We evaluated the ART impact at 12 (M12) and 24 months (M24) on immunological, virological and reservoir markers of 24 participants starting ART at Fiebig ≤ V (Baseline = D0) in a Brazilian cohort. We measured the frequency of T cell activation, exhaustion, memory subsets, Th17 and pTfh cells by flow cytometry and quantified total HIV DNA by qPCR in PBMC and GALT. Most participants were cisgender MSM (95.9%), with a median age of 27 years (IQR 25–36). At enrollment (D0), four participants used triple ART as PEP, and two were under oral PrEP and they exhibited higher CD4/CD8 ratios. Higher CD4/CD8 ratios were also observed in participants classified as Fiebig I to III. A total of 92% achieved viral suppression at M12 and 96% at M24. CD4 counts rose from 646 to 861 cells/mm3, and the CD4/CD8 ratio improved from 0.76 to 1.24 (p < 0.01). HIV DNA in PBMCs decreased 4-fold by M12 and 61-fold by M24, with 50% of participants reaching undetectable levels by M24 (p < 0.01). In GALT, undetectable HIV DNA increased from 27% at D0 to 75% at M12. HIV DNA in PBMCs and GALT correlated with plasma VL, while the CD4/CD8 ratio was inversely linked to PBMC reservoirs (rho = −0.66; p < 0.05). Early ART reduced activated CD8+ T cells (p < 0.05) but had minimal effects on CD4+ T cells or exhaustion markers. By M24, CD8+ TCM increased, and CD8+ TEF decreased (p < 0.01), while Th17 and pTfh levels remained stable. Early ART led to viral suppression and immune restoration, and influenced reservoir dynamics. The CD4/CD8 ratio was shown to be a key marker of early treatment success. Since a quarter of the participants were identified while initiating PrEP/PEP, it is important to consider the acute phase window according to vulnerability. Recent PEP/PrEP use often excludes participants from clinical trials on bNAbs and therapeutic vaccines targeting viral reservoirs during the acute phase of HIV. Since these are the populations that may benefit from these strategies, larger studies including those people are needed. Full article
(This article belongs to the Special Issue HIV Reservoirs, Latency, and the Factors Responsible)
Show Figures

Figure 1

36 pages, 1001 KB  
Article
Assessment of Cryptosporidium spp. Sub-Families and Giardia duodenalis Assemblages A and B in Ghanaian HIV Patients, Including Socio-Economic, Clinical, and Immunological Associations
by Lynn Glyschewski, Hagen Frickmann, Fred Stephen Sarfo, Betty Roberta Norman, Albert Dompreh, Emmanuel Acheamfour-Akowuah, Martin Kofi Agyei, Shadrack Osei Asibey, Richard Boateng, Edmund Osei Kuffour, Veronica Di Cristanziano, Sven Poppert, Felix Weinreich, Albert Eisenbarth, Tafese Beyene Tufa, Torsten Feldt and Kirsten Alexandra Eberhardt
Infect. Dis. Rep. 2025, 17(5), 129; https://doi.org/10.3390/idr17050129 - 15 Oct 2025
Viewed by 102
Abstract
Background: Cryptosporidium spp. cause opportunistic infections in immunosuppressed individuals, such as people living with HIV (PLWH). However, the association between giardiasis and HIV infection remains uncertain. This study assessed co-infections in Ghanaian PLWH and HIV-negative individuals, analyzing socio-economic, clinical, and immunological implications, [...] Read more.
Background: Cryptosporidium spp. cause opportunistic infections in immunosuppressed individuals, such as people living with HIV (PLWH). However, the association between giardiasis and HIV infection remains uncertain. This study assessed co-infections in Ghanaian PLWH and HIV-negative individuals, analyzing socio-economic, clinical, and immunological implications, including the Giardia duodenalis assemblage and Cryptosporidium spp. sub-family levels. Methods: Stool samples from Ghanaian PLWH were tested using several real-time PCR assays targeting G. duodenalis at the species level and assemblages A and B to optimize diagnostic accuracy. GD60 gene-based Sanger sequencing was used for Cryptosporidium spp. subtyping. Results were correlated with anonymized patient data to evaluate interactions with HIV infection. Results: In PLWH, C. hominis Ib, C. hominis Ie, and C. parvum IIc were detected at similar frequencies, followed by C. hominis Ia, C. hominis Id, and C. parvum IIe in decreasing order. Only C. parvum IIc was repeatedly observed in individuals with CD4+ T cell counts above 200/µL, while other sub-families occurred preferentially in those with lower counts. C. hominis Ia and Ib were associated with PLWH not receiving antiretroviral therapy; C. hominis Ia was linked to recently diagnosed HIV infections. No relevant associations between G. duodenalis assemblages and HIV infection were found. Conclusions: Sub-families Ia and Ib of C. hominis preferentially occur in individuals with severe immunosuppression, while C. parvum IIc is also detectable in individuals with better immune function. The prevalence of giardiasis in Ghana appears to be influenced by factors other than HIV-induced immunosuppression. Full article
Show Figures

Figure 1

19 pages, 2543 KB  
Article
Impact of Nutritional Status on Clinical Outcomes of Patients Undergoing PRGF Treatment for Knee Osteoarthritis—A Prospective Observational Study
by Paola De Luca, Giulio Grieco, Simona Landoni, Eugenio Caradonna, Valerio Pascale, Enrico Ragni and Laura de Girolamo
Nutrients 2025, 17(19), 3134; https://doi.org/10.3390/nu17193134 - 30 Sep 2025
Viewed by 263
Abstract
Background: Osteoarthritis (OA) is a major global health issue, increasing with aging and obesity. Current therapies mainly address symptoms without modifying disease progression. Platelet-rich growth factor (PRGF) therapy has potential regenerative effects through high cytokines and growth factors, but the outcomes of these [...] Read more.
Background: Osteoarthritis (OA) is a major global health issue, increasing with aging and obesity. Current therapies mainly address symptoms without modifying disease progression. Platelet-rich growth factor (PRGF) therapy has potential regenerative effects through high cytokines and growth factors, but the outcomes of these therapies remain heterogeneous. This study explores the relationship between patient nutritional status, PRGF characteristics, and clinical outcomes in knee OA treatment. Methods: Baseline anthropometric, metabolic, and nutritional assessments of 41 patients with knee OA who underwent PRGF treatment were conducted. Blood samples were analyzed for metabolic and inflammatory markers. PRGF composition was assessed by protein content and extracellular vesicle (EV) markers. KOOS and VAS pain scores were collected at 2, 6, and 12 months. Responders improved KOOS by ≥10 points. An elastic-net regularized logistic model allowed the identification of the predictors of treatment response. Results: KOOS and VAS scores improved significantly at all follow-ups. At 2 months, the PRGF of responder patients showed higher PRGF G-CSF levels; at 12 months, increased CD49e and HLA-ABC expression. Higher BMI correlated with increased IL-6, IL-1ra, and resistin in PRGF samples. Hypercholesterolemic patients displayed altered EV profiles, with elevated levels of CD8 but reduced CD49e, HLA-ABC, CD42a, and CD31. Multivariate analysis identified BMI, biceps fold, fat percentage, red blood cell, platelet, and neutrophil counts as predictors of early response. Conclusions: Metabolic and immunological factors influence PRGF composition and clinical efficacy in knee OA. Baseline body composition and hematological parameters as key predictors of response, highlighting the potential of personalized PRGF therapy. Full article
Show Figures

Figure 1

21 pages, 8877 KB  
Article
Associations Between Regulatory Immune Cells, Thymus Cellular Remodeling, and Vascular Aging in Advanced Coronary Atherosclerosis: A Pilot Study
by Irina Kologrivova, Alexey Dmitriukov, Natalia Naryzhnaya, Olga Koshelskaya, Olga Kharitonova, Alexandra Vyrostkova, Elena Kravchenko, Ivan Stepanov, Sergey Andreev, Vladimir Evtushenko, Anna Gusakova, Oksana Ogurkova and Tatiana Suslova
Diagnostics 2025, 15(19), 2494; https://doi.org/10.3390/diagnostics15192494 - 30 Sep 2025
Viewed by 323
Abstract
Background/Objectives: Biological aging phenotypes in coronary artery disease (CAD) include coronary atherosclerosis, vascular aging, and endothelial dysfunction. The aim of the present study was to investigate the potential links between aging phenotypes, regulatory immune cells, and features of the thymus in patients with [...] Read more.
Background/Objectives: Biological aging phenotypes in coronary artery disease (CAD) include coronary atherosclerosis, vascular aging, and endothelial dysfunction. The aim of the present study was to investigate the potential links between aging phenotypes, regulatory immune cells, and features of the thymus in patients with CAD. Methods: A single-center, cross-sectional, comparative study was conducted. Patients were stratified according to the severity of coronary atherosclerosis: patients with a Gensini score ≥ 65 points and patients with a Gensini score < 65 points. Peripheral blood and thymus biopsy were obtained. Imaging flow cytometry, ELISA, and immunohistochemical analysis were used for analysis. Results: Thymic morphology ranged from total fatty involution to a preserved structure of the thymus (20–80% area in 31% of obtained samples) but was not associated with the severity of atherosclerosis. Meanwhile, patients with a Gensini score ≥ 65 had impaired thymus cellular composition compared to patients with a Gensini score < 65 points; increased frequency of CD8+ T lymphocytes and NK cells; and decreased frequency of CD4 + CD8+ T lymphocytes. In peripheral blood, the main determinants of a Gensini score ≥ 65 points were low absolute counts of eMDSCs and CD25low Tregs with FoxP3 nuclear translocation, while advanced vascular aging was associated with elevated eMDSC absolute counts. Advanced coronary atherosclerosis was also associated with decreased numbers of endothelial progenitor cells in circulation. Conclusions: Thymus dysfunction accompanies CAD progression and is manifested in changes in cellular composition rather than morphology. In CAD patients, MDSC and Treg lymphocytes are equally involved in the progression of coronary atherosclerosis, which is aggravated by the decreased regulatory potential of the endothelium. Vascular aging represents a distinct phenotype of biological aging in CAD patients, characterized by the expansion of eMDSCs. Full article
(This article belongs to the Special Issue Molecular Diagnosis and Medical Management of Cardiovascular Diseases)
Show Figures

Graphical abstract

14 pages, 283 KB  
Review
Immune Dysregulation in Sepsis. A Narrative Review for the Clinicians
by Asimina Valsamaki, Vasileios Vazgiourakis, Konstantinos Mantzarlis, Efstratios Manoulakas and Demosthenes Makris
Biomedicines 2025, 13(10), 2386; https://doi.org/10.3390/biomedicines13102386 - 29 Sep 2025
Viewed by 1084
Abstract
Immune dysregulation presents a significant clinical challenge due to its rapid progression and complex interplay between hyperinflammatory and immunosuppressive responses. Different responses from the innate and adaptive immune systems can result in diseases such as immunoparalysis, cytokine storms, and secondary infections. Current diagnostic [...] Read more.
Immune dysregulation presents a significant clinical challenge due to its rapid progression and complex interplay between hyperinflammatory and immunosuppressive responses. Different responses from the innate and adaptive immune systems can result in diseases such as immunoparalysis, cytokine storms, and secondary infections. Current diagnostic methods remain non-specific and time-consuming, delaying targeted interventions. A compartmentalized approach to immune monitoring, distinguishing innate and acquired immune response functional differentiation, is essential for distinguishing between hyperactivation and suppression. Key biomarkers, including cytokines, Granulocyte-Macrophage Colony-Stimulating Factor (GM-CSF), and CD4/CD8 counts, as well as Programmed Death Ligand-1 (PDL-1) and V-type immunoglobulin domain-containing suppressor of T cell activation (VISTA) regulators, can guide personalized treatment strategies. Although they need more clinical validation, novel therapeutic methods such as cytokine inhibitors, immunological stimulants, and immunomodulators have demonstrated promise. Early diagnosis and precision medicine developments could lead to better patient outcomes. Advances in non-coding RNAs have led to specific diagnostic panels based on microRNA (MiRNA) levels. A deeper understanding of immune imbalance in sepsis is critical for optimizing treatment and reducing mortality rates. This review highlights emerging diagnostic and therapeutic strategies to address the multifaceted nature of sepsis-related immune dysregulation. Full article
(This article belongs to the Section Immunology and Immunotherapy)
16 pages, 9582 KB  
Article
Dynamic Integrative Immune Profiling Reveals Early Biomarkers of Response and Prognosis in Advanced Gastric Cancer Treated with Nivolumab Plus Chemotherapy
by Hyunho Kim, Kabsoo Shin, Se Jun Park, Myung Ah Lee, Juyeon Park, Okran Kim, Nahyeon Kang and In-Ho Kim
Cancers 2025, 17(19), 3131; https://doi.org/10.3390/cancers17193131 - 26 Sep 2025
Viewed by 298
Abstract
Background: Nivolumab plus chemotherapy is a standard first-line treatment for advanced gastric cancer (GC), but reliable early biomarkers for predicting treatment outcomes remain lacking. This study aimed to identify early immunological predictors through dynamic immune profiling. Methods: Fifty patients with advanced [...] Read more.
Background: Nivolumab plus chemotherapy is a standard first-line treatment for advanced gastric cancer (GC), but reliable early biomarkers for predicting treatment outcomes remain lacking. This study aimed to identify early immunological predictors through dynamic immune profiling. Methods: Fifty patients with advanced or unresectable GC receiving nivolumab plus XELOX or FOLFOX were enrolled. Peripheral blood was collected at baseline, week 1, and week 6. Plasma biomarkers (Granzyme B, Ki-67, CXCL10, IFN-γ, TGF-β1) were measured by ELISA, and immune cell subsets, including cytotoxic T cells, immune checkpoint–positive populations, and memory T-cell subsets, were analyzed by flow cytometry. Cutoffs were defined by medians, established thresholds for NLR and lymphocyte count, and criteria for long-term response (≥9.5 months). Associations with response and progression-free survival (PFS) were evaluated using Kaplan–Meier analysis, Cox regression, and ROC curves. Results: Early responders exhibited significant increases in Granzyme B and CXCL10, with ΔGranzyme B alone and in combination with ΔKi-67 predicting response with high accuracy. A lower week 1 neutrophil-to-lymphocyte ratio was associated with long-term benefit. Elevated week 1 CD8+ T-cell proportion and greater decreases in PD1+CD69+Ki-67+CD8+ T cells were linked to improved PFS. Higher baseline PD1+LAG-3+Ki-67+CD8+ T-cell levels and combined TIM-3+/LAG-3+ expression enhanced prognostic stratification. Additionally, elevated baseline activated TEMRA cells and declines at week 6 in the same subset correlated with better outcomes. Conclusions: These findings highlight the clinical utility of serial immune monitoring to enable early treatment stratification and guide personalized immunotherapy strategies in advanced GC. Full article
(This article belongs to the Section Cancer Immunology and Immunotherapy)
Show Figures

Graphical abstract

14 pages, 513 KB  
Article
The Glycemia Risk Index (GRI) as a Biomarker for Subclinical Endothelial Dysfunction in Type 1 Diabetes: A Cross-Sectional Study
by Nicole Di Martino, Silvia Angelino, Antonietta Maio, Paolo Cirillo, Alessandro Pontillo, Mariangela Caputo, Lorenzo Scappaticcio, Paola Caruso, Miriam Longo, Giuseppe Bellastella, Maria Ida Maiorino and Katherine Esposito
Int. J. Mol. Sci. 2025, 26(18), 9196; https://doi.org/10.3390/ijms26189196 - 20 Sep 2025
Viewed by 470
Abstract
Circulating levels of endothelial progenitor cells (EPCs) involved in endothelial homeostasis are often reduced in people with type 1 diabetes (T1D). The Glycemia Risk Index (GRI) quantifies the quality of glucose control by assessing both hypo- and hyperglycemia risk. We aim to investigate [...] Read more.
Circulating levels of endothelial progenitor cells (EPCs) involved in endothelial homeostasis are often reduced in people with type 1 diabetes (T1D). The Glycemia Risk Index (GRI) quantifies the quality of glucose control by assessing both hypo- and hyperglycemia risk. We aim to investigate the association between the GRI and circulating EPC levels in people with T1D. This cross-sectional study included 132 adults with T1D, on intensive insulin therapy. We calculated GRI from 14 days continuous glucose monitoring-derived metrics and quantified EPCs count by flow cytometry, stratifying results by GRI zones, ranging from A (lowest risk) to E (highest risk). Higher GRI scores were significantly associated with poorer metabolic parameters. Circulating levels of CD34+, CD133+, KDR+, and CD34+KDR+ cells were lower in participants with a worse GRI compared to adults with a better GRI. Linear regression analyses showed a negative association between GRI and CD34+ (β = −1.079, p = 0.006), CD34+CD133+ (β = −0.581, p = 0.008), and CD34+KDR+ (β = −0.147, p = 0.010). No significant association was found between HbA1c and any EPC phenotype. Adults with T1D and a high GRI level had a lower EPCs count. GRI was significantly associated with certain EPC phenotypes, suggesting its potential role as a biomarker for cardiovascular risk assessment. Full article
(This article belongs to the Section Molecular Endocrinology and Metabolism)
Show Figures

Figure 1

10 pages, 3265 KB  
Communication
Human Herpesvirus 6 Activates NF-κB Signalling and CD163-Positive Macrophage Recruitment in Alcohol-Induced Hepatic Injury
by Anda Upane, Simons Svirskis, Valerija Groma and Sandra Skuja
Microorganisms 2025, 13(9), 2204; https://doi.org/10.3390/microorganisms13092204 - 20 Sep 2025
Viewed by 484
Abstract
Human herpesvirus 6 (HHV-6) establishes lifelong latency in immune cells and may contribute to the progression of ethanol-induced liver injury. To elucidate the contribution of HHV-6 to alcohol-induced hepatic injury, this study evaluated HHV-6 protein expression, NF-κB signalling, and CD163-positive macrophage recruitment in [...] Read more.
Human herpesvirus 6 (HHV-6) establishes lifelong latency in immune cells and may contribute to the progression of ethanol-induced liver injury. To elucidate the contribution of HHV-6 to alcohol-induced hepatic injury, this study evaluated HHV-6 protein expression, NF-κB signalling, and CD163-positive macrophage recruitment in liver samples from control subjects, young individuals with recent alcohol exposure, and individuals with long-term chronic alcohol use. Liver lobules displaying HHV-6 positivity were more frequent in alcohol users (64% in young and 72% in chronic users) compared to controls (48%). CD163-positive macrophage counts were higher in both young and chronic alcohol users compared to controls, with the greatest increase in HHV-6-positive chronic users. NF-κB expression intensity was elevated in alcohol users (p < 0.005), and further increased in HHV-6-positive samples (p = 0.02). These findings indicate an association between HHV-6 persistence, NF-κB pathway activation, and CD163-positive macrophage-driven inflammatory responses in liver tissue under conditions of chronic alcohol use. Further research is warranted to uncover the mechanisms underlying the interaction between HHV-6 and ethanol in liver injury. Full article
Show Figures

Figure 1

25 pages, 1836 KB  
Review
The STAT Signaling Pathway in HIV-1 Infection: Roles and Dysregulation
by Manlio Tolomeo and Antonio Cascio
Int. J. Mol. Sci. 2025, 26(18), 9123; https://doi.org/10.3390/ijms26189123 - 18 Sep 2025
Viewed by 1100
Abstract
The STAT (Signal Transducer and Activator of Transcription) signaling pathway plays a central role in immune regulation by mediating cytokine responses and orchestrating both innate and adaptive immunity. Although CD4+ T cell depletion is the main driver of HIV-1–induced immunodeficiency, the virus also [...] Read more.
The STAT (Signal Transducer and Activator of Transcription) signaling pathway plays a central role in immune regulation by mediating cytokine responses and orchestrating both innate and adaptive immunity. Although CD4+ T cell depletion is the main driver of HIV-1–induced immunodeficiency, the virus also exerts a significant and often underestimated impact by disrupting the function of STAT family members, thereby exacerbating immune imbalance and accelerating disease progression. Specifically, HIV-1 suppresses STAT1 activation, impairing the induction of antiviral genes; inhibits IL-23–driven STAT3 activation in CD4+ Th17 cells with a reduction in IL-17; alters STAT3-dependent functions in antigen-presenting cells; and imposes profound—and at times opposing—dysregulations of STAT5, including the induction of a truncated isoform that contributes to latency. Notably, pharmacological inhibition of the JAK/STAT axis, particularly with JAK2 inhibitors, has been shown to reduce integrated proviral DNA and viral replication in vitro and in early clinical studies. This review provides an updated overview of the roles of individual STAT proteins in HIV-1 infection and pathogenesis, emphasizing the intricate interplay between viral factors and host signaling, highlighting the potential therapeutic implications, and suggesting that immunological assessment in HIV-1 patients should extend beyond CD4+ T cell counts and the CD4/CD8 ratio to include functional analysis of STAT signaling for deeper insights into immune dysfunction and chronic inflammation. Full article
(This article belongs to the Special Issue Molecular Mechanisms of HIV Infection, Pathogenesis and Persistence)
Show Figures

Figure 1

23 pages, 1930 KB  
Article
Carrot Rhamnogalacturonan-I Supplementation Shapes Gut Microbiota and Immune Responses: A Randomised Trial in Healthy Adults
by Evangelia N. Kerezoudi, Sue McKay, Seta Kurt, Maaike De Kreek, Jelle De Medts, Lynn Verstrepen, Jonas Ghyselinck, Lieven Van Meulebroek, Wim Calame, Annick Mercenier, Ruud Albers, Robert J. Brummer and Ignacio Rangel
Microorganisms 2025, 13(9), 2156; https://doi.org/10.3390/microorganisms13092156 - 16 Sep 2025
Viewed by 1070
Abstract
Background: Rhamnogalacturonan-I (RG-I) is a pectic polysaccharide with emerging prebiotic and immunomodulatory potential. This randomised, double-blind, placebo-controlled trial (ID: NCT06081972) evaluated the effects of carrot-derived RG-I (cRG-I) supplementation, compared to placebo (maltodextrin), on gut microbiota composition and immune cell activation in healthy adults. [...] Read more.
Background: Rhamnogalacturonan-I (RG-I) is a pectic polysaccharide with emerging prebiotic and immunomodulatory potential. This randomised, double-blind, placebo-controlled trial (ID: NCT06081972) evaluated the effects of carrot-derived RG-I (cRG-I) supplementation, compared to placebo (maltodextrin), on gut microbiota composition and immune cell activation in healthy adults. Methods: A total of 54 participants (18–70 years old) were randomised in a double-blind manner to receive either 500 mg/day of cRG-I or placebo for four weeks. Pre-screening ensured balanced randomisation based on habitual fibre intake and faecal Bifidobacterium counts. Questionnaires assessed potential gut health and well-being effects, while in vitro and ex vivo models were used to evaluate effects on intestinal permeability. Results: cRG-I was well tolerated with excellent compliance. Faecal Bifidobacterium counts increased significantly, peaking at week 3. Isobutyric acid levels rose, though no other SCFAs differed. Immunologically, cRG-I enhanced the percentage of circulating myeloid dendritic cells expressing activation markers (CD86, HLA-DR) on. Stool consistency improved slightly. Preclinical models further showed that cRG-I and its fermentation products protected intestinal barrier integrity under stress. Conclusion: These results support cRG-I as a safe, low-dose dietary intervention capable of beneficially modulating gut microbiota, immune responses, and barrier function in healthy adults within a short supplementation period. Full article
(This article belongs to the Section Gut Microbiota)
Show Figures

Graphical abstract

12 pages, 1306 KB  
Article
Interferon Regulator Factor 5: A Novel Inflammatory Marker and Promising Therapeutic Target in Ulcerative Colitis
by Karima Farrag, Aysegül Aksan, Marina Korotkova, Helena Idborg, Per-Johan Jakobsson, Andreas Weigert, Michael Vieth, Stefan Zeuzem, Irina Blumenstein and Jürgen Stein
Biomedicines 2025, 13(9), 2251; https://doi.org/10.3390/biomedicines13092251 - 12 Sep 2025
Viewed by 535
Abstract
Background: Inflammatory bowel disease (IBD), including Crohn’s disease (CD) and ulcerative colitis (UC), is characterized by chronic inflammation affecting the gastrointestinal tract and extraintestinal organs. The etiology of IBD is multifactorial, involving genetic, immunological, and environmental factors. Over 200 genetic loci have been [...] Read more.
Background: Inflammatory bowel disease (IBD), including Crohn’s disease (CD) and ulcerative colitis (UC), is characterized by chronic inflammation affecting the gastrointestinal tract and extraintestinal organs. The etiology of IBD is multifactorial, involving genetic, immunological, and environmental factors. Over 200 genetic loci have been associated with the disease, indicating a significant genetic predisposition. Despite advances in understanding its genetic basis, clinical management remains challenging due to heterogeneity in disease presentation and variable treatment responses. Current therapies, such as 5-aminosalicylates and biologics, are not universally effective, underscoring the need for reliable biomarkers to predict therapeutic responses. Objective: This study investigates the potential role of interferon regulatory factor 5 (IRF5) in the pathogenesis of IBD, with a particular focus on UC. Methods: We conducted a systematic analysis of colon biopsies from 30 adult patients diagnosed with UC and from 8 non-IBD controls. Immunostaining was performed to assess IRF5 expression in colonic tissues using the primary IRF5 antibody (1:300, Abcam, ab181553). Statistical analyses evaluated the correlation between IRF5-positive cell counts, disease activity, and inflammatory markers such as calprotectin. Results: Our analysis revealed a significant increase in IRF5-positive macrophage-like cells in the inflamed mucosa of IBD patients compared to healthy controls. The number of IRF5-positive cells showed a positive correlation with disease activity and calprotectin levels, indicating that higher IRF5 expression is associated with increased inflammation. Conclusions: This study demonstrates a significant correlation between IRF5 expression and disease activity in UC, suggesting that IRF5 may play a crucial role in the inflammatory processes of the disease. The findings propose IRF5 as a novel biomarker for therapeutic intervention in IBD. Further research is needed to clarify the mechanisms by which IRF5 contributes to IBD pathogenesis and to explore the therapeutic potential of targeting this pathway in clinical settings. Full article
(This article belongs to the Special Issue Cellular and Molecular Mechanisms in Gastrointestinal Tract Disease)
Show Figures

Figure 1

18 pages, 1890 KB  
Case Report
Switch from Ibalizumab to Lenacapavir in a Rescue Regimen for a Heavily Treatment-Experienced (HTE) Patient with Multidrug-Resistant (MDR) HIV-1 Infection
by Salvatore Martini, Lorenzo Salmoni, Roberta Palladino, Antonio Russo, Nunzia Cuomo, Adriana Raddi, Mario Starace, Carmine Minichini, Mariantonietta Pisaturo and Nicola Coppola
Int. J. Mol. Sci. 2025, 26(18), 8881; https://doi.org/10.3390/ijms26188881 - 12 Sep 2025
Viewed by 731
Abstract
Despite the progress of antiretroviral therapy, there are still some patients with (MDR) HIV infection. In this case, international guidelines suggest using new-generation drugs, such as Ibalizumab (IBA) or Lenacapavir (LEN), in combination with an optimized background regimen. Our clinical case concerns a [...] Read more.
Despite the progress of antiretroviral therapy, there are still some patients with (MDR) HIV infection. In this case, international guidelines suggest using new-generation drugs, such as Ibalizumab (IBA) or Lenacapavir (LEN), in combination with an optimized background regimen. Our clinical case concerns a Heavily Treatment-Experienced (HTE) patient with MDR HIV-1 infection. Rescue therapy began in April 2022, combining residual drugs with low-level resistance and IBA. At this time, HIV-RNA results included 37.800 copies/mL, and CD4+ included 147 cells/µL. IBA was administered intravenously every 15 days. After 12 months, to optimize adherence, IBA was re-placed by LEN, which has long-acting posology, with subcutaneous injections every 6 months. IBA achieved viral suppression in only one month with an improvement in the CD4+ count and showed a progressive disappearance of viral mutations in the reservoir. It was well tolerated except for the onset of hypertension after infusions. After 12 months, IBA was switched to LEN, which showed good tolerability, preserving efficacy and stable pressure on HIV-DNA. Our case report about an HTE patient shows that IBA was efficacious in the rescue regimen, while also acting on the reservoir. LEN, adopted in a switch strategy which differed from that described in the literature, preserved efficacy and stable pressure on HIV-DNA. Full article
(This article belongs to the Special Issue Viral and Host Targets to Fight RNA Viruses)
Show Figures

Figure 1

14 pages, 819 KB  
Article
Neurocognitive Impairment in ART-Experienced People Living with HIV: An Analysis of Clinical Risk Factors, Injection Drug Use, and the sCD163
by Syed Zaryab Ahmed, Faiq Amin, Nida Farooqui, Zhannur Omarova, Syed Faisal Mahmood, Qurat ul ain Khan, Haider A. Naqvi, Aida Mumtaz, Saeeda Baig, Muhammad Rehan Khan, Sharaf A. Shah, Ali Hassan, Srinivasa Bolla, Shamim Mushtaq and Syed Hani Abidi
Viruses 2025, 17(9), 1232; https://doi.org/10.3390/v17091232 - 10 Sep 2025
Viewed by 628
Abstract
Background: In people living with HIV (PLHIV), ongoing neuronal injury has shown a correlation with elevated levels of soluble markers of immune activation, such as sCD163. Additionally, various risk factors, such as injection drug use (IDU), can independently affect immune and cognitive functions, [...] Read more.
Background: In people living with HIV (PLHIV), ongoing neuronal injury has shown a correlation with elevated levels of soluble markers of immune activation, such as sCD163. Additionally, various risk factors, such as injection drug use (IDU), can independently affect immune and cognitive functions, leading to neurocognitive impairment (NCI). However, the potential sCD163-IDU-NCI axis in ART-experienced PLHIV is not clear. This study aims to determine NCI prevalence and investigate the interplay between risk factors and sCD163 in Pakistani PLHIV. Methods: For this cross-sectional study, 150 PLHIV and 30 HIV-negative people who inject drugs (PWID) were recruited using a convenience sampling strategy. NCI screening was performed using the International HIV Dementia Scale (IHDS) tool. Blood samples from PLHIV were used to perform HIV recency testing using the Asante Rapid Recency Assay, and to evaluate sCD163 levels using ELISA. Sociodemographic and clinical data were collected from medical records. Subsequently, descriptive statistics were used to summarize data variables, while comparisons (two and multiple groups) between participants with and without NCI were conducted, respectively, using the Mann–Whitney test or Kruskal–Wallis test for continuous variables, and Fisher’s exact test for categorial variables. Receiver Operating Characteristic (ROC) curve analysis was performed to assess the discriminative ability of sCD163. Logistic regression was used to identify predictors of neurocognitive impairment. Results: The majority of PLHIV had IDU as a high-risk behavior. In PLHIV, the median age was 34.5 years (IQR: 30–41), ART duration was 35 months (IQR: 17–54), and median CD4 count was 326.5 cells/µL (IQR: 116–545.5). Long-term infections (>6 months post-seroconversion; median ART duration: 35 months; median CD4 counts: 326.5 cells/μL) were noted in 83.3% of PLHIV. IHDS-based screening showed that 83.33% (all PLHIV) and 50% (PLHIV with no IDU history) scored ≤ 9 on the IHDS, suggestive of NCI. IHDS-component analysis showed the memory recall to be significantly affected in PLHIV compared to controls (median score 3.2 versus 3.7, respectively, p < 0.001). Regression analysis showed only long-term infection (OR: 2.99, p = 0.03) to be significantly associated with neurocognitive impairment. sCD163 levels were significantly lower in PLHIV with NCI (mean = 7.48 ng/mL, SD = 7.05) compared to those without NCI (mean = 14.82 ng/mL, SD = 8.23; p < 0.0001), with an AUC of 0.803 (95% CI: 0.72–0.88). However, after adjusting for IDU history, the regression analysis showed an odds ratio for sCD163 of 0.998 (95% CI: 0.934, 1.067, p = 0.957), indicating no association between sCD163 levels and NCI. Conclusion: This study reports a high prevalence of NCI in Pakistani PLHIV, and no association between sCD163 and neurocognitive impairment in PLHIV after adjustment for a history of IDU. Long-term infection and IDU were significantly linked to NCI, while only IDU was associated with lower sCD163 levels, regardless of NCI. Full article
(This article belongs to the Special Issue HIV Neurological Disorders: 2nd Edition)
Show Figures

Figure 1

17 pages, 2593 KB  
Article
Immunophenotypic Profile of Normal Hematopoietic Populations in Human Bone Marrow: Influence of Gender and Aging as a Basis for Reference Value Establishment
by Flavia Arandas de Sousa, Rodolfo Patussi Correa, Laiz Cameirão Bento, Luiz Fabiano Presente Taniguchi, Nydia Strachman Bacal and Luciana Cavalheiro Marti
Cells 2025, 14(17), 1392; https://doi.org/10.3390/cells14171392 - 6 Sep 2025
Viewed by 882
Abstract
The purpose of this study was to evaluate normal values of healthy human bone marrow (n = 56) and identify gender- and age-related variations using cell lineage markers and maturational curves. Using 10-color quantitative flow cytometry, various cell types were identified, including [...] Read more.
The purpose of this study was to evaluate normal values of healthy human bone marrow (n = 56) and identify gender- and age-related variations using cell lineage markers and maturational curves. Using 10-color quantitative flow cytometry, various cell types were identified, including B cells, T cells, NK cells, granulocytes, monocytes, erythroblasts, plasma cells, basophils, mast cells, and dendritic cells. Results revealed significant age-related declines in the absolute counts of nucleated cells (p = 0.001), including CD34+ immature B cells (p = 0.006) and CD34- immature B cells (p = 0.004). Declines were also observed for T cells (p = 0.002), cytotoxic T cells (p < 0.001), double-negative T cells (p = 0.0001), NK cells (p = 0.007), CD16- NK cells (p < 0.001), metamyelocytes (p = 0.002), neutrophils (p = 0.001), basophils (p = 0.009), promonocytes (p = 0.001), mature monocytes (p = 0.007), and plasmacytoid dendritic cells (p = 0.001). Gender differences showed males had more intermediate monocytes (p = 0.009) compared to females. In summary, this study provides normal values for hematopoietic cells, highlighting age- and gender-related disparities critical for understanding hematopoietic dynamics. Full article
Show Figures

Figure 1

Back to TopTop