10 Years of Convergent Neck Implants: A Systematic Review of Clinical Outcomes, Initial Original Concepts, and Changes in Surgical and Prosthetic Protocols
Abstract
1. Introduction
2. Materials and Methods
2.1. Analysis of the Scientific Evidence Concerning Prama Implant
2.2. Inclusion and Exclusion Criteria
- ○
- Rehabilitations with Prama implants;
- ○
- Human studies (partially or completely edentulous);
- ○
- Publication in English;
- ○
- Randomized controlled clinical trial (RCT), or cohort prospective or retrospective study;
- ○
- Minimum period of follow-up must include definitive crown cementation;
- ○
- Study evaluating the survival or success rate and level of marginal bone resorption around osseointegrated implants.
- ○
- Animal studies;
- ○
- Case series and case reports;
- ○
- Patients undergoing radiotherapy, chemotherapy, or those making use of bisphosphonates;
- ○
- Patients with systemic diseases including autoimmune diseases, syndromes, and osteoporosis;
- ○
- Implants placed in areas of bone regeneration;
- ○
- Patients under the age of 18 years;
- ○
- Patients with periodontitis without previous treatment.
2.3. Assessment of Methodological Quality of the Included Studies
2.4. Grading of Recommendations Assessment, Development, and Evaluation (GRADE)
3. Results and Discussion
3.1. State of the Art Regarding This Implant
3.1.1. Outcome Analyses (Survival Rates and Hard and Soft Tissues Parameters)
3.1.2. Assessment of Methodological Quality of the Included Studies
3.1.3. Grading of Recommendations Assessment, Development, and Evaluation (GRADE)
3.2. Factors Influencing Bone Tissues around Prama Implant according to Literature
3.3. Factors Influencing Soft Tissues around Prama Implant according to Literature
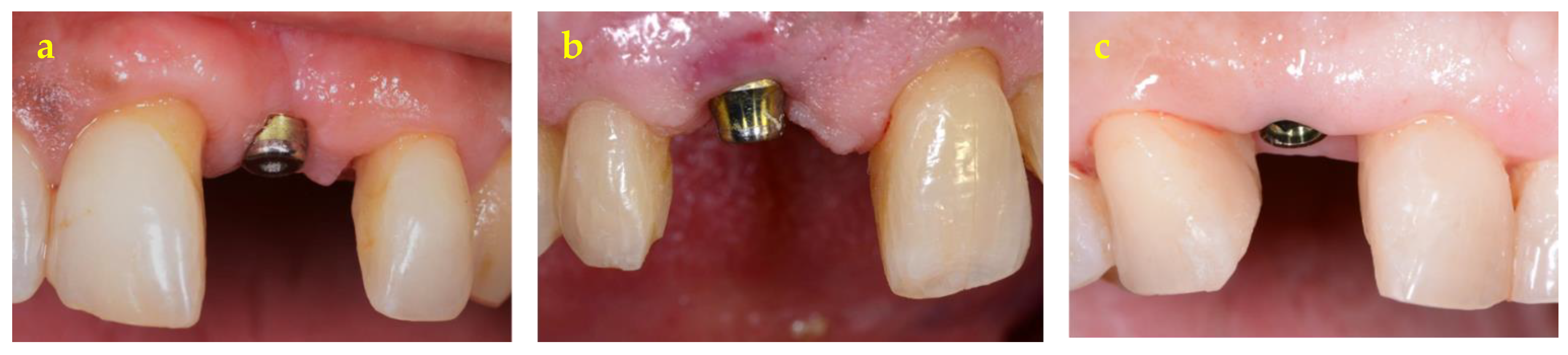
3.4. Initially Proposed Protocols (2014–2015)
3.4.1. Exposed Neck Protocol
3.4.2. Submerged Neck Protocol
3.4.3. Design of Prosthetic Crowns and Soft Tissue Compression
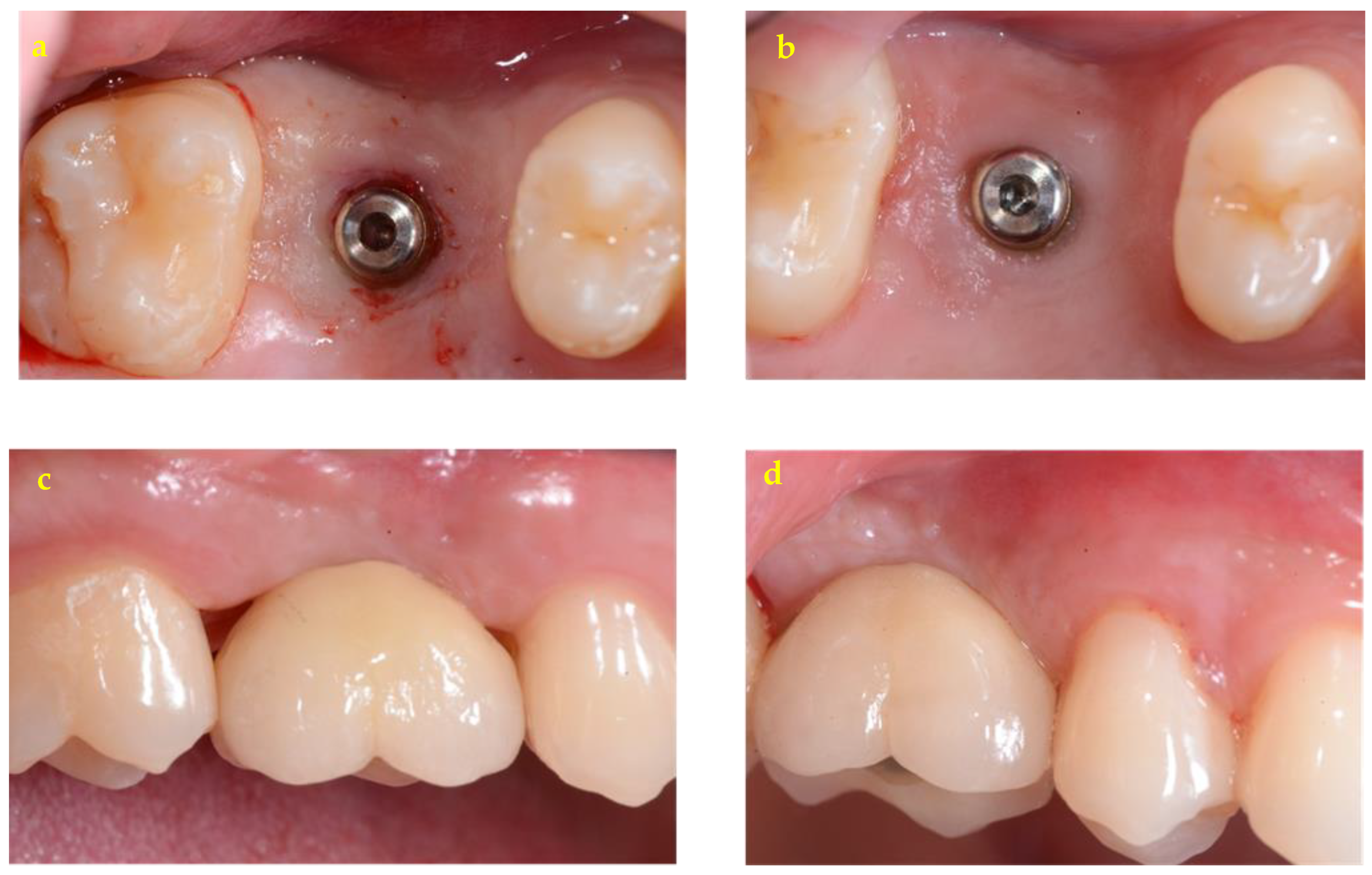
3.5. Recent Clinical Innovations and New Clinical Protocols (2020–2024)
Digital Intraoral Scanner Workflow
4. Conclusions
Author Contributions
Funding
Institutional Review Board Statement
Informed Consent Statement
Data Availability Statement
Conflicts of Interest
References
- Buser, D.; Janner, S.F.M.; Wittneben, J.-G.; Brägger, U.; Ramseier, C.A.; Salvi, G.E. 10-Year Survival and Success Rates of 511 Titanium Implants with a Sandblasted and Acid-Etched Surface: A Retrospective Study in 303 Partially Edentulous Patients. Clin. Implant Dent. Relat. Res. 2012, 14, 839–851. [Google Scholar] [CrossRef] [PubMed]
- Sanz, M.; Ivanoff, C.J.; Weingart, D.; Wiltfang, J.; Gahlert, M.; Cordaro, L.; Ganeles, J.; Bragger, U.; Jackowski, J.; Martin, W.C.; et al. Clinical and Radiologic Outcomes after Submerged and Transmucosal Implant Placement with Two-Piece Implants in the Anterior Maxilla and Mandible: 3-Year Results of a Randomized Controlled Clinical Trial. Clin. Implant Dent. Relat. Res. 2015, 17, 234–246. [Google Scholar] [CrossRef] [PubMed]
- Paul, S.; Petsch, M.; Held, U. Modeling of Crestal Bone after Submerged vs Transmucosal Implant Placement: A Systematic Review with Meta-Analysis. Int. J. Oral Maxillofac. Implant 2017, 32, 1039–1050. [Google Scholar] [CrossRef]
- Giacomel, M.C.; Camati, P.; Souza, J.; Deliberador, T. Comparison of Marginal Bone Level Changes of Immediately oaded Implants, Delayed Loaded Nonsubmerged Implants, and Delayed Loaded Submerged Implants: A Randomized Clinical Trial. Int. J. Oral Maxillofac. Implant 2017, 32, 661–666. [Google Scholar] [CrossRef] [PubMed]
- Loi, I.; Di Felice, A. Biologically oriented preparation technique (BOPT): A new approach for prosthetic restoration of periodontically healthy teeth. Eur. J. Esthet. Dent. 2013, 8, 10–23. [Google Scholar] [PubMed]
- Palombo, D.; Rahmati, M.; Vignoletti, F.; Sanz-Esporrin, J.; Haugen, H.J.; Sanz, M. Hard and soft tissue healing around implants with a modified implant neck configuration: An experimental in vivo preclinical investigation. Clin. Oral Implants Res. 2021, 32, 1127–1141. [Google Scholar] [CrossRef] [PubMed]
- Palombo, D.; Rahmati, M.; Vignoletti, F.; Sanz-Esporrin, J.; Salido, M.P.; Haugen, H.J.; Sanz, M. Hard and soft tissue healing around teeth prepared with the biologically oriented preparation technique and restored with provisional crowns: An in vivo experimental investigation. J. Clin. Periodontol. 2023, 50, 1217–1238, Epub 2023 May 30. [Google Scholar] [CrossRef] [PubMed]
- Prati, C.; Zamparini, F.; Canullo, L.; Pirani, C.; Botticelli, D.; Gandolfi, M.G. Factors Affecting Soft and Hard Tissues Around Two-Piece Transmucosal Implants: A 3-Year Prospective Cohort Study. Int. J. Oral Maxillofac. Implant 2020, 35, 1022–1036. [Google Scholar] [CrossRef]
- Mainetti, T.; Bengazi, F.; Velez, J.U.; De Rossi, E.F.; Sakaguchi, R.; Botticelli, D. Subcrestal Positioning of Implants with a Convergent Hyperbolic Collar Profile: An Experimental Study in Dogs. Int. J. Oral Maxillofac. Implant 2022, 37, 1160–1168. [Google Scholar] [CrossRef]
- Wennerberg, A.; Albrektsson, T. Effects of titanium surface topography on bone integration:a systematic review. Clin. Oral Implants Res. 2009, 20 (Suppl. S4), 172–184. [Google Scholar] [CrossRef]
- Rossi, F.; Lang, N.P.; De Santis, E.; Morelli, F.; Favero, G.; Botticelli, D. Bone-healing pattern at the surface of titanium implants: An experimental study in the dog. Clin. Oral Implants Res. 2014, 25, 124–131. [Google Scholar] [CrossRef]
- Caneva, M.; Salata, L.; Scombatti de Souza, S.; Bressan, E.; Botticelli, D. Lang N.P. Hard tissue formation adjacent to implants of various size and configuration immediately placed into extraction sockets. An experimental study in dogs. Clin. Oral Implants Res. 2010, 21, 885–890. [Google Scholar] [CrossRef]
- Baffone, G.M.; Botticelli, D.; Pantani, F.; Carvalho Cardoso, L.; Schweikert, M.T.; Lang, N.P. Influence of various implant platform configurations on peri-implant tissue dimensions. An experimental study in the dog. Clin. Oral Implants Res. 2011, 22, 438–444. [Google Scholar] [CrossRef]
- Passeri, G.; Cacchioli, A.; Ravanetti, F.; Galli, C.; Elezi, E.; Macaluso, G.M. Adhesion pattern and growth of primary human osteoblastic cells on five commercially available titanium surfaces. Clin. Oral Implants Res. 2010, 21, 756–765. [Google Scholar] [CrossRef] [PubMed]
- Ceruso, F.M.; Ottria, L.; Martelli, M.; Gargari, M.; Barlattani, A., Jr. Transgingival implants with a convergent collar (PRAMA); surgical and screwed prosthetic approach. A case report. J. Biol. Regul. Homeost. Agents 2020, 34 (Suppl. S1), 71–77. [Google Scholar] [PubMed]
- Canullo, L.; Di Domenico, A.; Marinotti, F.; Menini, M.; Pesce, P. Soft Tissue Contour Impression with Analogic or Digital Work Flow: A Case Report. Int. J. Environ. Res. Public Health 2018, 15, 2623. [Google Scholar] [CrossRef]
- Prati, C.; Zamparini, F.; Spinelli, A.; Lenzi, J.; Gandolfi, M.G. The Use of Two-Piece Transmucosal Implants Designed with a Convergent Neck: A 6-Year Clinical Prospective Cohort Study Evaluating the Impact on Soft and Hard Tissues. Int. J. Oral Maxillofac. Implant 2024, 21, 396–408. [Google Scholar] [CrossRef]
- Mangano, F.; Gandolfi, A.; Luongo, G.; Logozzo, S. Intraoral scanners in dentistry: A review of the current literature. BMC Oral Health 2017, 17, 149. [Google Scholar] [CrossRef] [PubMed]
- Mandillo-Alonso, V.; Cascos-Sánchez, R.; Antonaya-Martín, J.L.; Laguna-Martos, M. Soft tissue thickness evaluation in screw-retained crowns by the biologically oriented preparation technique (BOPT). J. Clin. Exp. Dent. 2021, 13, e1209–e1215. [Google Scholar] [CrossRef]
- Mandillo-Alonso, V.; Cascos-Sánchez, R.; Antonaya-Martín, J.L.; Laguna-Martos, M. Evaluation of peri-implant soft and hard tissues behavior in screw-retained crowns by the biologically oriented preparation technique (BOPT): Ambispective longitudinal analytical study. J. Clin. Exp. Dent. 2022, 14, e64–e71. [Google Scholar] [CrossRef]
- Morón-Conejo, B.; Sanz-Sánchez, I.; Salido, M.P.; Martínez-Rus, F.; Pradíes, G. The effect of a convergent transmucosal neck on soft tissues and radiographic outcomes: A 1-year follow-up randomized controlled trial. Clin. Oral Investig. 2023, 27, 2923–2933. [Google Scholar] [CrossRef] [PubMed]
- Pera, F.; Carossa, M.; Bagnasco, F.; Crupi, A.; Ambrogio, G.; Isola, G.; Menini, M.; Pesce, P. Comparison between Bone-Level and Tissue-Level Implants in Immediate-Loading Full-Arch Rehabilitations: A Retrospective Multi-Center 1-Year Follow-Up Study. Prosthesis 2023, 5, 1301–1311. [Google Scholar] [CrossRef]
- Canullo, L.; Tallarico, M.; Pradies, G.; Marinotti, F.; Loi, I.; Cocchetto, R. Soft and hard tissue response to an implant with a convergent collar in the esthetic area: preliminary report at 18 months. Int. J. Esthet. Dent. 2017, 12, 306–323. [Google Scholar]
- Canullo, L.; Menini, M.; Covani, U.; Pesce, P. Clinical outcomes of using a prosthetic protocol to rehabilitate tissue-level implants with a convergent collar in the esthetic zone: A 3-year prospective study. J. Prosthet. Dent. 2020, 123, 246–251. [Google Scholar] [CrossRef] [PubMed]
- Canullo, L.; Menini, M.; Bagnasco, F.; Di Tullio, N.; Pesce, P. Tissue-level versus bone-level single implants in the anterior area rehabilitated with feather-edge crowns on conical implant abutments: An up to 5-year retrospective study. J. Prosthet. Dent. 2022, 128, 936–941. [Google Scholar] [CrossRef]
- Ceruso, F.M.; Ieria, I.; Martelli, M.; Lumbau, A.I.; Xhanari, E.; Gargari, M. New Generation of Fixture-Abutment Connection Combining Soft Tissue Design and Vertical Screw-Retained Restoration: 1-Year Clinical, Aesthetics and Radiographic Preliminary Evaluation. Dent. J. 2021, 24, 35. [Google Scholar] [CrossRef]
- Ceruso, F.M.; Ieria, I.; Tallarico, M.; Meloni, S.M.; Lumbau, A.I.; Mastroianni, A.; Zotti, A.; Gargari, M. Comparison between Early Loaded Single Implants with Internal Conical Connection or Implants with Transmucosal Neck Design: A Non-Randomized Controlled Trial with 1-Year Clinical, Aesthetics, and Radiographic Evaluation. Materials 2022, 15, 511. [Google Scholar] [CrossRef]
- Cabanes-Gumbau, G.; Pascual-Moscardó, A.; Peñarrocha-Oltra, D.; García-Mira, B.; Aizcorbe-Vicente, J.; Peñarrocha-Diago, M.A. Volumetric variation of peri-implant soft tissues in convergent collar implants and crowns using the biologically oriented preparation technique (BOPT). Med. Oral Patol. Oral Cir. Bucal. 2019, 24, 643–651. [Google Scholar] [CrossRef]
- Agustín-Panadero, R.; Martínez-Martínez, N.; Fernandez-Estevan, L.; Faus-López, J.; Solá-Ruíz, M.F. Influence of Transmucosal Area Morphology on Peri-Implant Bone Loss in Tissue-Level Implants. Int. J. Oral Maxillofac. Implant 2019, 34, 947–952. [Google Scholar] [CrossRef]
- Agustín-Panadero, R.; Bermúdez-Mulet, I.; Fernández-Estevan, L.; Fernanda Solá-Ruíz, M.; Marco-Pitarch, R.; García-Selva, M.; Zubizarreta-Macho, Á.; León-Martínez, R. Peri-Implant Behavior of Tissue Level Dental Implants with a Convergent Neck. Int. J. Environ. Res. Public Health 2021, 18, 5232. [Google Scholar] [CrossRef]
- Costa Castillo, M.; Laguna Martos, M.; Marco Pitarch, R.; García Selva, M.; Del Cid Rodríguez, S.; Fons-Badal, C.; Agustín Panadero, R. Analysis of Peri-Implant Bone Loss with a Convergent Transmucosal Morphology: Retrospective Clinical Study. Int. J. Environ. Res. Public Health 2022, 19, 3443. [Google Scholar] [CrossRef] [PubMed] [PubMed Central]
- Prati, C.; Zamparini, F.; Pirani, C.; Montebugnoli, L.; Gandolfi, M.G. Multifactorial statistical analysis toward evaluation of MBL, PES and PI of a novel nonsubmerged implant to restore a single tooth: A 1-year prospective cohort study. J. Oral Sci. Rehabil. 2017, 3, 32–41. [Google Scholar]
- Ivanovski, S.; Lee, R. Comparison of peri-implant and periodontal marginal soft tissues in health and disease. Periodontology 2000 2018, 76, 116–130. [Google Scholar] [CrossRef] [PubMed]
- Linkevicius, T.; Puisys, A.; Steigmann, M.; Vindasiute, E.; Linkeviciene, L. Influence of Vertical Soft Tissue Thickness on Crestal Bone Changes Around Implants with Platform Switching: A Comparative Clinical Study. Clin. Implant Dent. Relat. Res. 2015, 17, 1228–1236. [Google Scholar] [CrossRef]
- Spinelli, A.; Zamparini, F.; Romanos, G.; Gandolfi, M.G.; Prati, C. Tissue-Level Laser-Lok Implants Placed with a Flapless Technique: A 4-Year Clinical Study. Materials 2023, 16, 1293. [Google Scholar] [CrossRef]
- Botticelli, D.; Berglundh, T.; Lindhe, J. Hard-tissue alterations following immediate implant placement in extraction sites. J. Clin. Periodontol. 2004, 31, 820–828. [Google Scholar] [CrossRef] [PubMed]
- Degidi, M.; Scarano, A.; Piattelli, M.; Perrotti, V.; Piattelli, A. Bone remodeling in immediately loaded and unloaded titanium dental implants: A histologic and histomorphometric study in humans. J. Oral Implantol. 2005, 31, 18–24. [Google Scholar] [CrossRef] [PubMed]
- Shah, F.A.; Ruscsák, K.; Palmquist, A. 50 years of scanning electron microscopy of bone—A comprehensive overview of the important discoveries made and insights gained into bone material properties in health, disease, and taphonomy. Bone Res. 2019, 7, 15. [Google Scholar] [CrossRef] [PubMed]
- Romanos, G.; Zamparini, F.; Spinelli, A.; Prati, C.; Gandolfi, M.G. ESEM-EDX Microanalysis at Bone-Implant Region on Immediately Loaded Implants Retrieved Postmortem. Int. J. Oral Maxillofac. Implant 2022, 37, e51–e60. [Google Scholar] [CrossRef]
- Zamparini, F.; Gandolfi, M.G.; Spinelli, A.; Ferri, M.; Iezzi, G.; Botticelli, D.; Prati, C. Mineralization and morphology of peri-implant bone around loaded and unloaded dental implants retrieved from the human mandible. Oral Maxillofac. Surg. 2024, 28, 623–637. [Google Scholar] [CrossRef]
- Imai, H.; Prati, C.; Zamparini, F.; Iezzi, G.; Botticelli, D.; Gandolfi, M.G.; Baba, S. ESEM-EDX Mineralization and Morphological Analysis of Human Retrieved Maxillary Sinus Bone Graft Biopsies before Loading. J. Funct. Biomater. 2023, 14, 391. [Google Scholar] [CrossRef] [PubMed]
- Gandolfi, M.G.; Zamparini, F.; Iezzi, G.; Degidi, M.; Botticelli, D.; Piattelli, A.; Prati, C. Microchemical and Micromorphologic ESEM-EDX Analysis of Bone Mineralization at the Thread Interface in Human Dental Implants Retrieved for Mechanical Complications After 2 Months to 17 Years. Int. J. Periodontics Restor. Dent. 2018, 38, 431–441. [Google Scholar] [CrossRef] [PubMed]
- Barlattani, A., Jr.; Martelli, M.; Ceruso, F.M.; Gargari, M.; Ottria, L. Convergent implant transmucosal collar and healing abutment: Aesthetics influence on soft tissues. A clinical study. J. Biol. Regul. Homeost. Agents 2020, 34 (Suppl. S1), 63–69. [Google Scholar]
- Carossa, M.; Alovisi, M.; Crupi, A.; Ambrogio, G.; Pera, F. Full-Arch Rehabilitation Using Trans-Mucosal Tissue-Level Implants with and without Implant-Abutment Units: A Case Report. Dent. J. 2022, 10, 116. [Google Scholar] [CrossRef] [PubMed] [PubMed Central]
- Celletti, R.; Fanali, S.; Laici, C.U.; Santori, C.; Pignatelli, P.; Sinjari, B. Instant loading with intraoral welding technique and PRAMA implants: A new prosthetic approach. J. Biol. Regul. Homeost. Agents 2017, 31, 1127–1131. [Google Scholar]
- Zamparini, F.; Pirani, C.; Chavarria-Bolanos, D.; Gandolfi, M.G.; Prati, C. Rehabilitation of anterior maxilla with a novel hyperbolic profile transmucosal implant in elderly patients. Minerva Stomatol. 2019, 68, 249–258. [Google Scholar] [CrossRef]
- Sato, Y.; Kitagawa, N.; Isobe, A. Implant treatment in ultra-aged society. Jpn. Dent. Sci. Rev. 2018, 54, 45–51. [Google Scholar] [CrossRef]
- Broggini, N.; McManus, L.M.; Hermann, J.S.; Medina, R.; Schenk, R.K.; Buser, D.; Cochran, D.L. Peri-implant inflammation defined by the implant-abutment interface. J. Dent. Res. 2006, 85, 473–478. [Google Scholar] [CrossRef]
- Barone, A.; Orlando, B.; Cingano, L.; Marconcini, S.; Derchi, G.; Covani, U. A randomized clinical trial to evaluate and compare implants placed in augmented versus non-augmented extraction sockets: 3-year results. J. Periodontol. 2012, 83, 836–846. [Google Scholar] [CrossRef]
- Crespi, R.; Capparè, P.; Gherlone, E. Immediate loading of dental implants placed in periodontally infected and non-infected sites: A 4-year follow-up clinical study. J. Periodontol. 2010, 81, 1140–1146. [Google Scholar] [CrossRef]
- Ausiello, P.; Tribst, J.P.M.; Ventre, M.; Salvati, E.; di Lauro, A.E.; Martorelli, M.; Lanzotti, A.; Watts, D.C. The role of cortical zone level and prosthetic platform angle in dental implant mechanical response: A 3D finite element analysis. Dent. Mater. 2021, 37, 1688–1697. [Google Scholar] [CrossRef] [PubMed]
- Göthberg, C.; Gröndahl, K.; Omar, O.; Thomsen, P.; Slotte, C. Bone and soft tissue outcomes, risk factors, and complications of implant-supported prostheses: 5-Years RCT with different abutment types and loading protocols. Clin. Implant Dent. Relat. Res. 2018, 20, 313–321. [Google Scholar] [CrossRef] [PubMed]
- Peñarrocha-Diago, M.A.; Flichy-Fernández, A.J.; Alonso-González, R.; Peñarrocha-Oltra, D.; Balaguer-Martínez, J.; Peñarrocha-Diago, M. Influence of implant neck design and implant-abutment connection type on peri-implant health. Radiol. Study Clin. Oral Implants Res. 2013, 24, 1192–1200. [Google Scholar] [CrossRef] [PubMed]
- Piattelli, A.; Scarano, A.; Paolantonio, M.; Assenza, B.; Leghissa, G.C.; Di Bonaventura, G.; Catamo, G.; Piccolomini, R. Fluids and microbial penetration in the internal part of cement-retained versus screw-retained implant-abutment connections. J. Periodontol. 2001, 72, 1146–1150. [Google Scholar] [CrossRef] [PubMed]
- Assenza, B.; Tripodi, D.; Scarano, A.; Perrotti, V.; Piattelli, A.; Iezzi, G.; D’Ercole, S. Bacterial leakage in implants with different implant-abutment connections: An in vitro study. J. Periodontol. 2012, 83, 491–497. [Google Scholar] [CrossRef]
- Chan, D.; Pelekos, G.; Ho, D.; Cortellini, P.; Tonetti, M.S. The depth of the implant mucosal tunnel modifies the development and resolution of experimental peri-implant mucositis: A case-control study. J. Clin. Periodontol. 2019, 46, 248–255. [Google Scholar] [CrossRef]
- Galindo-Moreno, P.; León-Cano, A.; Ortega-Oller, I.; Monje, A.; Suárez, F.; ÓValle, F.; Spinato, S.; Catena, A. Prosthetic abutment height is a key factor in peri-implant marginal bone loss. J. Dent. Res. 2014, 93, 80–85. [Google Scholar] [CrossRef]
- González-Martín, O.; Lee, E.; Weisgold, A.; Veltri, M.; Su, H. Contour Management of Implant Restorations for Optimal Emergence Profiles: Guidelines for Immediate and Delayed Provisional Restorations. Int. J. Periodontics Restor. Dent. 2020, 40, 61–70. [Google Scholar] [CrossRef]
- Canullo, L.; Giuliani, A.; Furlani, M.; Menini, M.; Piattelli, A.; Iezzi, G. Influence of abutment macro- and micro-geometry on morphologic and morphometric features of peri-implant connective tissue. Clin. Oral Implants Res. 2023, 34, 920–933. [Google Scholar] [CrossRef] [PubMed]
- Pesce, P.; Bagnasco, F.; Pancini, N.; Colombo, M.; Canullo, L.; Pera, F.; Bressan, E.; Annunziata, M.; Menini, M. Trueness of Intraoral Scanners in Implant-Supported Rehabilitations: An In Vitro Analysis on the Effect of Operators’ Experience and Implant Number. J. Clin. Med. 2021, 10, 5917. [Google Scholar] [CrossRef]
- Nedelcu, R.; Olsson, P.; Thulin, M.; Nyström, I.; Thor, A. In vivo trueness and precision of full-arch implant scans using intraoral scanners with three different acquisition protocols. J. Dent. 2023, 128, 104308. [Google Scholar] [CrossRef] [PubMed]
- Choi, J.W.; Choi, G.J.; Kim, Y.S.; Kyung, M.H.; Kim, H.K. A digital workflow for pair matching of maxillary anterior teeth using a 3D segmentation technique for esthetic implant restorations. Sci. Rep. 2022, 12, 14356. [Google Scholar] [CrossRef] [PubMed]
- Gómez-Polo, M.; Ballesteros, J.; Padilla, P.P.; Pulido, P.P.; Revilla-León, M.; Ortega, R. Merging intraoral scans and CBCT: A novel technique for improving the accuracy of 3D digital models for implant-supported complete-arch fixed dental prostheses. Int. J. Comput. Dent. 2021, 24, 117–123. [Google Scholar] [PubMed]







| Current Clinical Evidence of Prama Implants Published Up to June 2024 | ||||||||
|---|---|---|---|---|---|---|---|---|
| Reference | Type of the Study | N Implants | Surgery and Insertion | Implant Type | Follow-Up | Prosthetic Approach | Survival | Funding |
| Agustín-Panadero et al., 2021 [30] | Prospective | 120 (60/60) | Flap supracrestal crestal | Prama RF Premium Kohno | 1 year | Screw retained | 100% | No external funding |
| Cabanes Gumbau et al., 2019 [28] | Pilot study | 32 | Flap supracrestal non-submerged | Prama | 13 months | Cemented | 100% | No external funding |
| Canullo et al., 2021 [25] | Retrospective | 48 (27/21) | Flap crestal | Prama Premium Kohno | 5 years | Cemented | 100% | No external funding |
| Castillo et al., 2022 [31] | Retrospective | 30 (10/10/10) | Flap supracrestal /crestal/ infracrestal | Prama, Shelta, Premium | 1 year | Screw retained | 100% | No external funding |
| Ceruso et al., 2022 [27] | Prospective Case-Control | 30 (15/15) | Flap, crestal insertion + healing abutment | Prama Nobel | 1 year | Screw retained | 100% | No external funding |
| Mandillo-Alonso et al., 2022 [20] | Ambispective | 32 | Flap Bone level Subcrestal | Prama Shelta | 16 months | Screw retained | 100% | No external fundings |
| Morón-Conejo et al., 2022 [21] | Randomized Clinical Trial | 29 (15/14) | Flap non-submerged/ submerged | Prama Premium | 1 year | Cemented | 100% | Partially supported by Sweden and Martina |
| Prati et al., 2024 [17] | Prospective | 67 | Flapless Tissue level/Exposed | Prama | 6 years | Cemented | 100% | No external fundings |
| Pera et al., 2023 [22] | Retrospective | 156 (80/76) | Flap Bone level Tissue level | Shelta, Syra Prama | 2 years | Screw retained | 97.37% | No external fundings |
| Reference | Type of the Study | N Implants | Surgery and Insertion | Implant Type | Follow-Up | Endpoint Outcome Value |
|---|---|---|---|---|---|---|
| Agustín-Panadero et al., 2021 [30] | Prospective | 120 (60/60) | Flap supracrestal crestal | Prama RF Premium Kohno | 1 year | MBL 0.31 mm supracrestal 0.97 mm crestal |
| Canullo et al., 2021 [25] | retrospective | 48 (27/21) | Flap crestal | Prama Premium Kohno | 5 years | MBL 0.38 mm Prama 0.83 mm Premium Kohno |
| Castillo et al., 2022 [31] | Retrospective | 30 (10/10/10) | Flap Supracrestal Crestal Infracrestal | Prama Shelta Premium | 1 year | MBL Prama 0.12 mm, Shelta 1.04 mm Premium 0.27 mm |
| Ceruso et al., 2022 [27] | Prospective Case-Control | 30 (15/15) | Flap, crestal insertion +healing abutment | Prama Nobel | 1 year | MBL 0.65 mm Prama 0.99 mm Nobel |
| Mandillo-Alonso et al., 2022 [20] | Ambispective | 32 | Flap Bone level Subcrestal | Prama Shelta | 2 years | MBL 85.7% stable 14.3% gain |
| Morón-Conejo et al., 2022 [21] | Randomized Clinical Trial | 29 (15/14) | Flap non-submerged/ submerged | Prama Premium | 1 year | MBL 0.16 mm Prama 0.45 mm Premium |
| Prati et al., 2024 [17] | Prospective | 67 | Flapless Tissue level/Exposed | Prama | 6 years | MBL 0.91 mm |
| Pera et al., 2023 [22] | Retrospective | 156 (80/76) | Flap Bone level Tissue level | Shelta, Syra Prama | 2 years | MBL 1.324 mm Bone Level 1.194 mm Tissue Level |
| Reference | Type of the Study | N Implants | Surgery and Insertion | Implant Type | Follow-Up | Soft Tissue Parameter | Endpoint Outcome Value |
|---|---|---|---|---|---|---|---|
| Cabanes Gumbau et al., 2019 [24] | Pilot study | 32 | Flap supracrestal non-submerged | Prama | 13 months | Soft tissue variation | Soft tissue variation 64.7 mm3 peri-implant mucosal volume increase after 16 months |
| Canullo et al., 2021 [25] | Retrospective | 48 (27/21) | Flap crestal | Prama Premium Kohno | 5 years | Modified PES, WES | PES 8.59 Prama 8.14 Premium WES 9.59 Prama 8.14 Premium |
| Ceruso et al., 2022 [27] | Prospective Case-Control | 30 (15/15) | Flap crestal insertion + healing abutment | Prama Nobel | 1 year | Modified PES, PI, BoP | PES 10.46 mm Prama 9.79 mm Nobel |
| Mandillo-Alonso, et al., 2021 [20] | Ambispective | 26 | Flap Bone level Subcrestal | Prama Shelta | 2 years | Soft tissue changes | Soft tissue changes 8.06 mm for Prama 8.42 mm for Shelta |
| Morón-Conejo et al., 2022 [21] | Randomized Clinical Trial | 29 (15/14) | Flap non-submerged/ submerged | Prama Premium | 1 year | soft tissue thickness | Soft tissue thickness 1.96 mm increase Prama 0.65 mm increase Premium |
| Prati et al., 2024 [17] | Prospective | 67 | Flapless Tissue level/Exposed | Prama | 6 years | PES | PES 11.86 |
| Pera et al., 2023 [22] | Retrospective | 156 (80/76) | Flap Bone level Tissue level | Shelta, Syra Prama | 2 years | BoP, PI, PPD | Bone-level BoP 0.905, PI 1.892, PPD 2.155 mm Tissue-level BoP 1.7, PI 1.938, PPD 2.066 mm |
| Reference | Score | Methodological Quality |
|---|---|---|
| Agustín-Panadero et al., 2021 [30] | 18 | Fair |
| Cabanes Gumbau et al., 2019 [28] | 15 | Fair |
| Ceruso et al., 2022 [27] | 16 | Fair |
| Morón-Conejo et al., 2022 [21] | 25 | Good |
| Prati et al., 2024 [17] | 20 | Good |
| References | Study Design | Downgrade | Upgrade | Certainty of Evidence (Grade) | ||||||
|---|---|---|---|---|---|---|---|---|---|---|
| Risk of Bias | Inconsistency | Indirectness of Evidence | Imprecision | Publication Bias | Large Effect | Dose–Response Relationship | Confounding Only Reducing Size Effect | |||
| Agustín-Panadero et al., 2021 [30] | Prospective | X ** | ⨁◯◯◯ very low | |||||||
| Ceruso et al., 2022 [27] | Prospective Case-Control | X ** | ⨁◯◯◯ very low | |||||||
| Morón-Conejo et al., 2022 [21] | Randomized Clinical Trial | ⨁⨁⨁⨁ high | ||||||||
| Prati et al., 2024 [17] | Prospective | ⨁⨁◯◯ low | ||||||||
| References | Study Design | Downgrade | Upgrade | Certainty of Evidence (Grade) | ||||||
|---|---|---|---|---|---|---|---|---|---|---|
| Risk of Bias | Inconsistency | Indirectness of Evidence | Imprecision | Publication Bias | Large Effect | Dose–Response Relationship | Confounding Only Reducing Size Effect | |||
| Cabanes Gumbau et al., 2019 [24] | Pilot study | X ** | ⨁◯◯◯ very low | |||||||
| Ceruso et al., 2022 [27] | Prospective Case-Control | X ** | ⨁◯◯◯ very low | |||||||
| Morón-Conejo et al., 2022 [21] | Randomized Clinical Trial | ⨁⨁⨁⨁ high | ||||||||
| Prati et al., 2024 [17] | Prospective | X * | ⨁◯◯◯ very low | |||||||
Disclaimer/Publisher’s Note: The statements, opinions and data contained in all publications are solely those of the individual author(s) and contributor(s) and not of MDPI and/or the editor(s). MDPI and/or the editor(s) disclaim responsibility for any injury to people or property resulting from any ideas, methods, instructions or products referred to in the content. |
© 2024 by the authors. Licensee MDPI, Basel, Switzerland. This article is an open access article distributed under the terms and conditions of the Creative Commons Attribution (CC BY) license (https://creativecommons.org/licenses/by/4.0/).
Share and Cite
Zamparini, F.; Spinelli, A.; Gandolfi, M.G.; Prati, C. 10 Years of Convergent Neck Implants: A Systematic Review of Clinical Outcomes, Initial Original Concepts, and Changes in Surgical and Prosthetic Protocols. Appl. Sci. 2024, 14, 7568. https://doi.org/10.3390/app14177568
Zamparini F, Spinelli A, Gandolfi MG, Prati C. 10 Years of Convergent Neck Implants: A Systematic Review of Clinical Outcomes, Initial Original Concepts, and Changes in Surgical and Prosthetic Protocols. Applied Sciences. 2024; 14(17):7568. https://doi.org/10.3390/app14177568
Chicago/Turabian StyleZamparini, Fausto, Andrea Spinelli, Maria Giovanna Gandolfi, and Carlo Prati. 2024. "10 Years of Convergent Neck Implants: A Systematic Review of Clinical Outcomes, Initial Original Concepts, and Changes in Surgical and Prosthetic Protocols" Applied Sciences 14, no. 17: 7568. https://doi.org/10.3390/app14177568
APA StyleZamparini, F., Spinelli, A., Gandolfi, M. G., & Prati, C. (2024). 10 Years of Convergent Neck Implants: A Systematic Review of Clinical Outcomes, Initial Original Concepts, and Changes in Surgical and Prosthetic Protocols. Applied Sciences, 14(17), 7568. https://doi.org/10.3390/app14177568

