Periodontal Behavior and Patient Satisfaction of Anterior Teeth Restored with Single Zirconia Crowns Using a Biologically Oriented Preparation Technique: A 6-Year Prospective Clinical Study
Abstract
1. Introduction
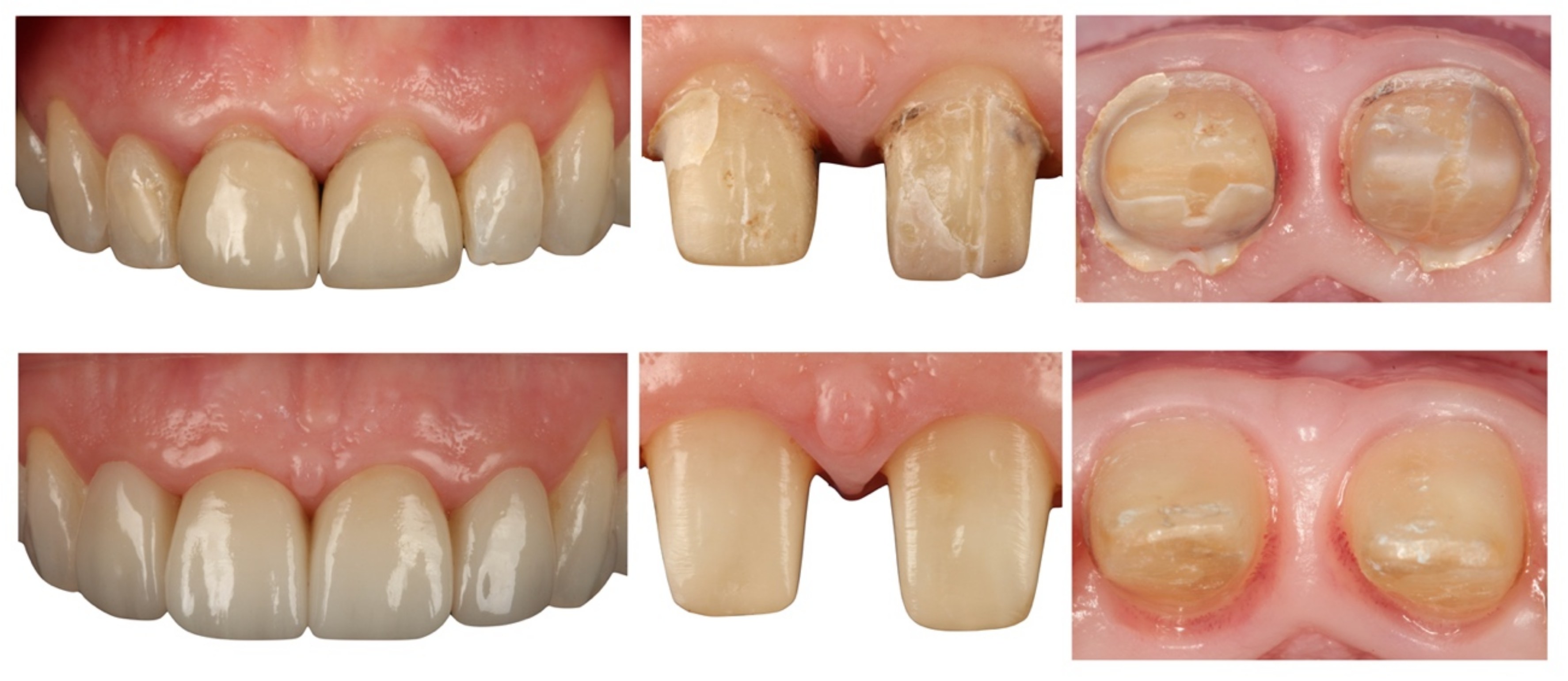
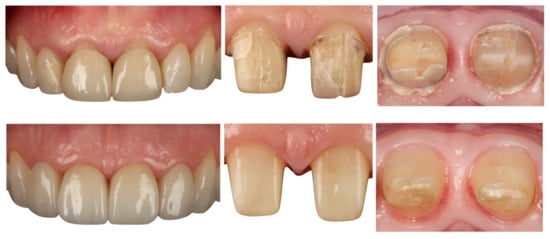
2. Material and Methods
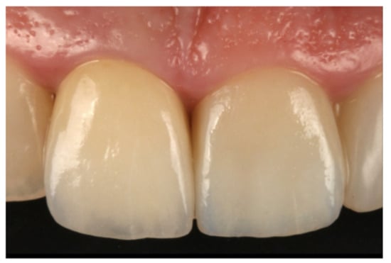
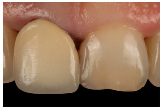
3. Results
4. Discussion
5. Conclusions
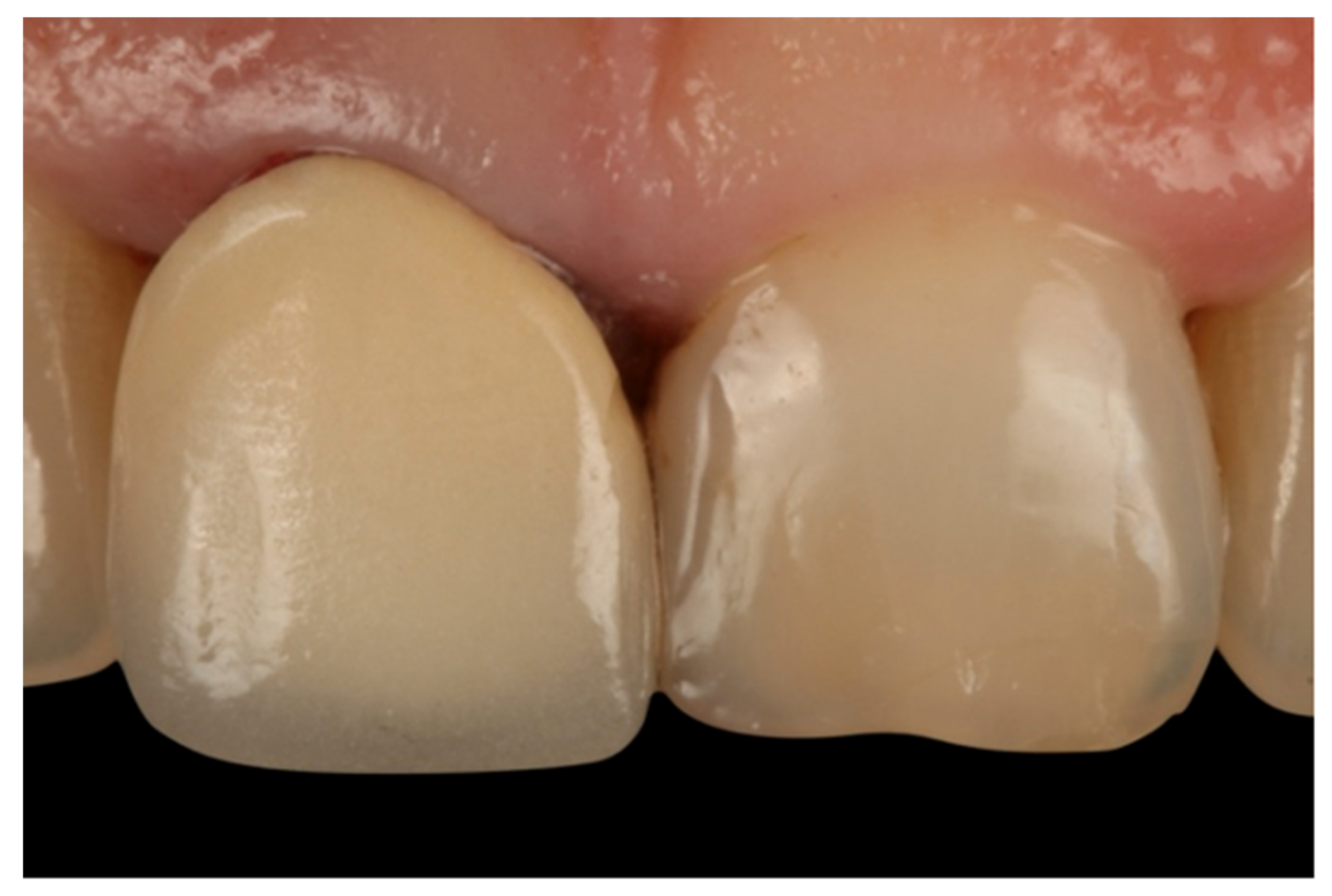
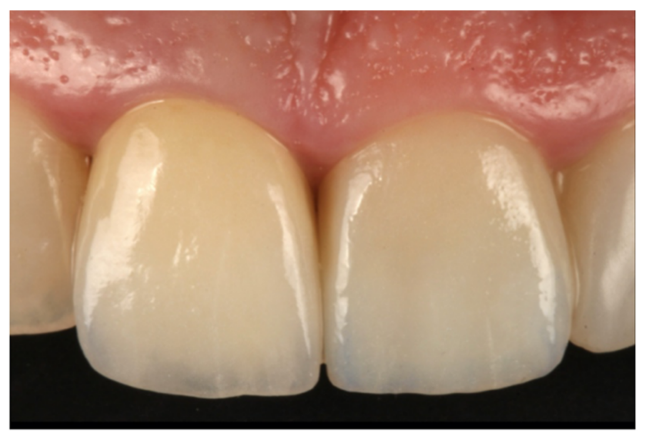
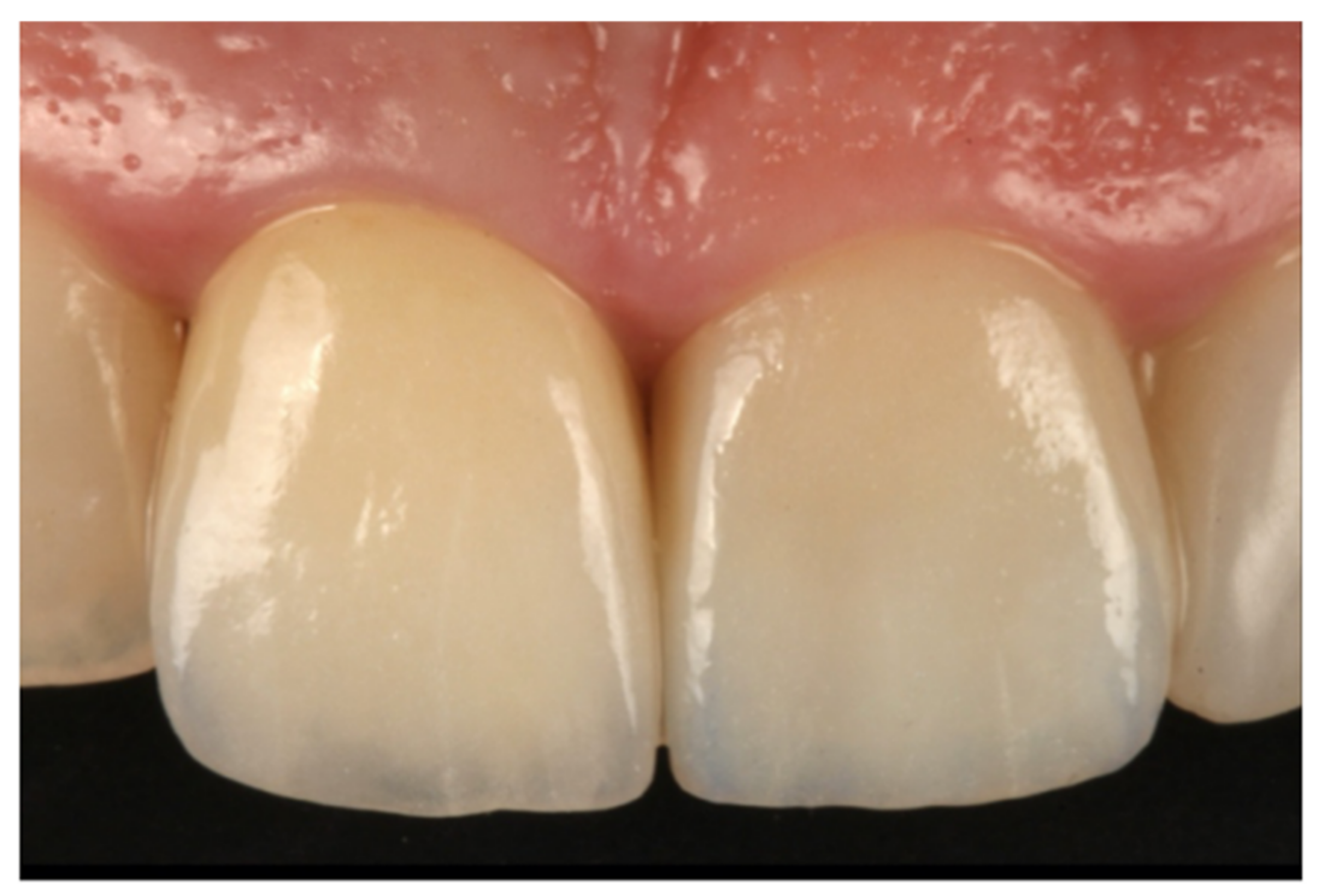
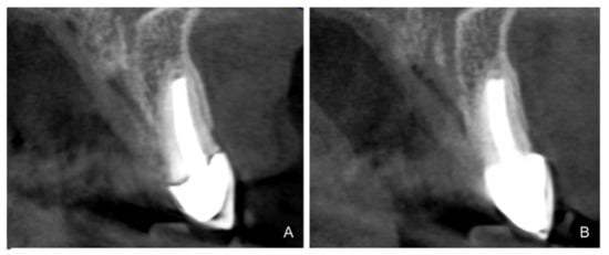
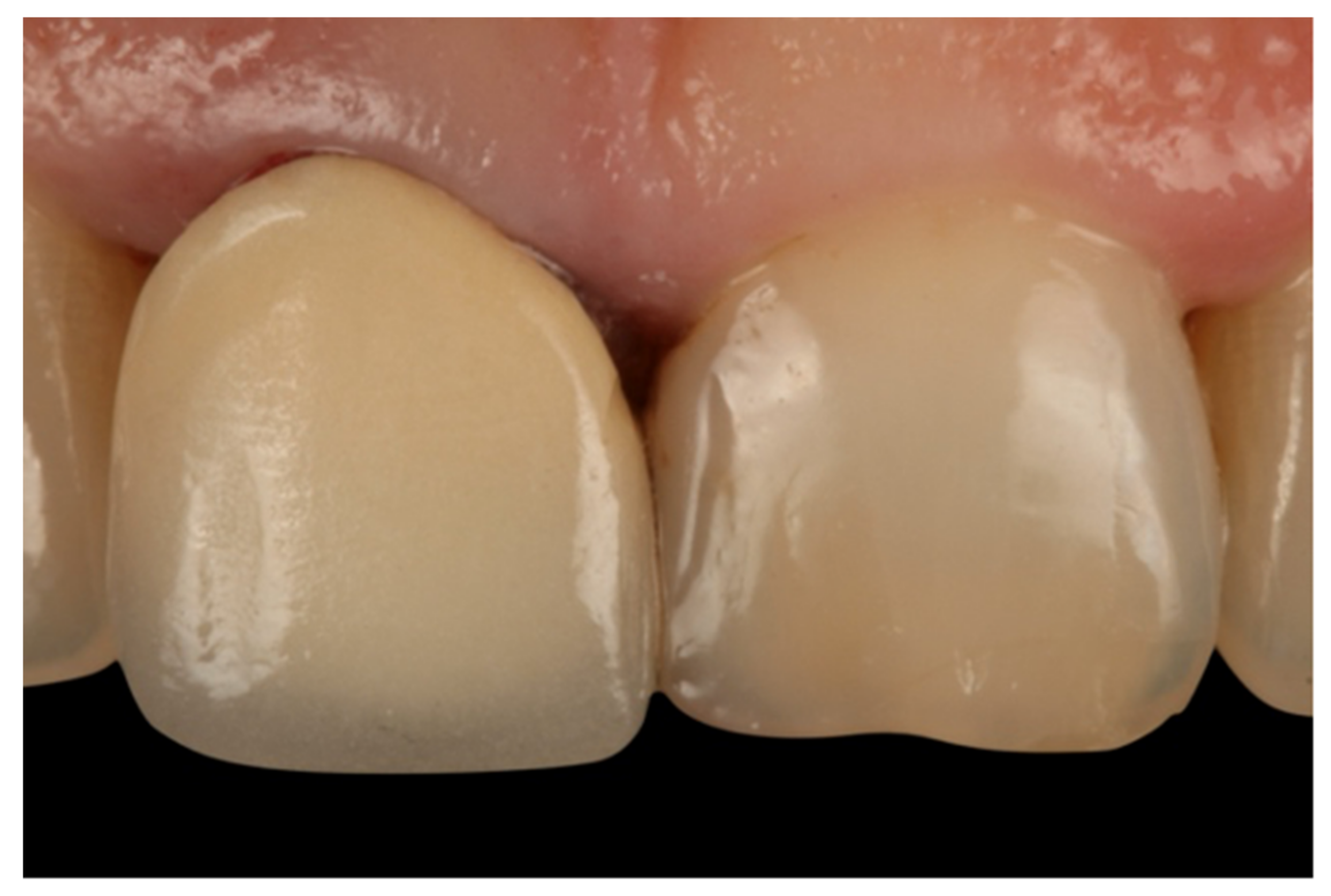
- Treatment with single zirconia crowns on teeth prepared with BOPT obtained an accumulated survival rate of 97.2%. Accordingly, the incidence of biological or mechanical complications was not statistically significant and the restorations presented good behavior over the 6-year follow-up.
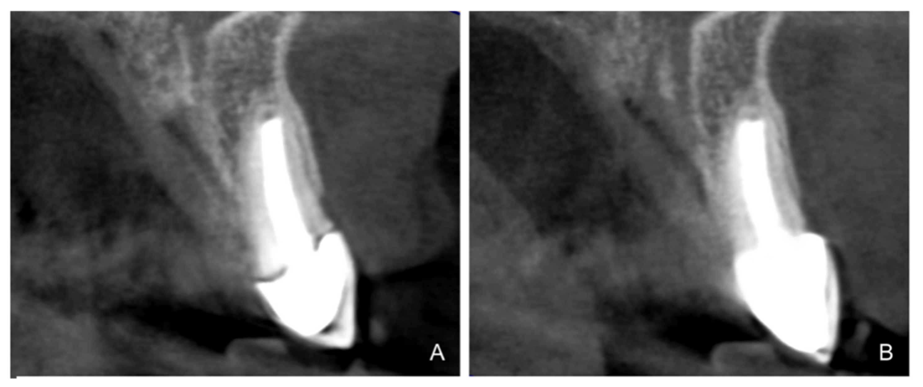
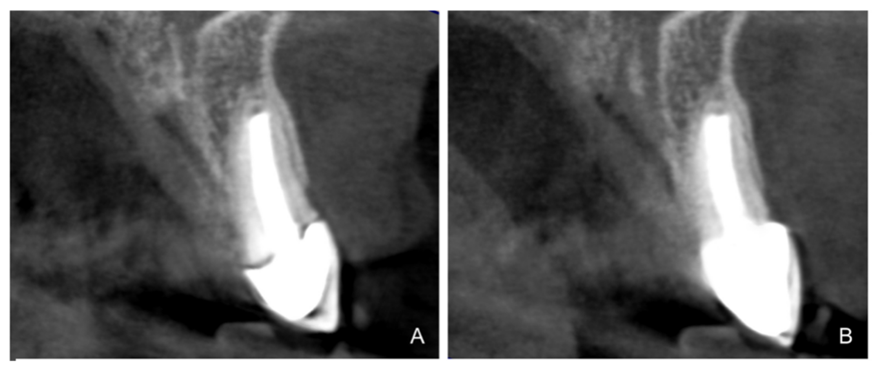
- Teeth treated with this technique presented improved plaque indices, stable probing depths, increased gingival thickness, and stable gingival margins over the 6-year follow-up.
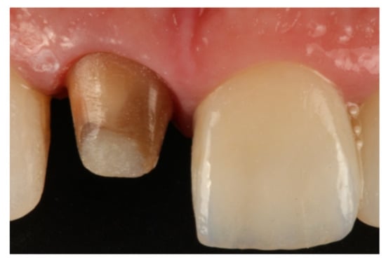
- Treatment with a fixed prosthesis using the BOPT technique has a positive impact on patient satisfaction, especially in cases concerning the re-treatment of old fixed prostheses. This fact is due to the esthetic improvement not only of the restoration but also of the surrounding tissues, as it improves gingival quality by thickening the tissue, thus preventing gingival recession.
- On the basis of the results obtained, BOPT may be recommended in cases requiring re-treatment with prosthetic crowns.
Author Contributions
Funding
Institutional Review Board Statement
Informed Consent Statement
Acknowledgments
Conflicts of Interest
References
- Serra-Pastor, B.; Loi, I.; Fons-Font, A.; Solá-Ruíz, M.F.; Agustín-Panadero, R. Periodontal and prosthetic outcomes on teeth prepared with biologically oriented preparation technique: A 4-year follow-up prospective clinical study. J. Prosthodont. Res. 2019, 63, 415–420. [Google Scholar] [CrossRef] [PubMed]
- Walton, T.R. An up to 15-year longitudinal study of 515 metal-ceramic FPDs: Part 1. Outcome. Int. J. Prosthodont. 2002, 15, 439–445. [Google Scholar] [PubMed]
- Walton, T.R. An up to 15-year longitudinal study of 515 metal-ceramic FPDs: Part 2. Modes of failure and influence of various clinical characteristics. Int. J. Prosthodont. 2003, 16, 177–182. [Google Scholar] [PubMed]
- Abduo, J.; Lyons, K.M. Interdisciplinary interface between fixed prosthodontics and periodontics. Periodontology 2000 2017, 74, 40–62. [Google Scholar] [CrossRef] [PubMed]
- Bennani, V.; Ibrahim, H.; Al-Harthi, L.; Lyons, K.M. The periodontal restorative interface: Esthetic considerations. Periodontology 2000 2017, 74, 74–101. [Google Scholar] [CrossRef] [PubMed]
- Scutellà, F.; Weinstein, T.; Zucchelli, G.; Testori, T.; Del Fabbro, M. A Retrospective Periodontal Assessment of 137 Teeth after Featheredge Preparation and Gingittage. Int. J. Periodontics Restor. Dent. 2017, 37, 791–800. [Google Scholar] [CrossRef] [PubMed][Green Version]
- Ercoli, C.; Caton, J.G. Dental prostheses and tooth-related factors. J Clin Periodontol. 2018, 45, S207–S218. [Google Scholar] [CrossRef]
- Dragoo, M.R.; Williams, G.B. Periodontal tissue reactions to restorative procedures, part II. Int. J. Periodontics Restor. Dent. 1982, 2, 34–45. [Google Scholar]
- Jepsen, S.; Caton, J.G.; Albandar, J.M.; Bissada, N.F.; Bouchard, P.; Cortellini, P.; Demirel, K.; de Sanctis, M.; Ercoli, C.; Fan, J.; et al. Periodontal manifestations of systemic diseases and developmental and acquired conditions: Consensus report of workgroup 3 of the 2017 World Workshop on the Classification of Periodontal and Peri-Implant Diseases and Conditions. J. Clin. Periodontol. 2018, 45, S219–S229. [Google Scholar] [CrossRef]
- Valderhaug, J.; Birkeland, J.M. Periodontal conditions in patients 5 years following insertion of fixed prostheses. Pocket depth and loss of attachment. J. Oral Rehabil. 1976, 3, 237–243. [Google Scholar] [CrossRef] [PubMed]
- Knoernschild, K.L.; Campbell, S.D. Periodontal tissue responses after insertion of artificial crowns and fixed partial dentures. J Prosthet. Dent. 2000, 84, 492–498. [Google Scholar] [CrossRef] [PubMed]
- Valderhaug, J.; Ellingsen, J.E.; Jokstad, A. Oral hygiene, periodontal conditions and carious lesions in patients treated with dental bridges. A 15-year clinical and radiographic follow-up study. J. Clin. Periodontol. 1993, 20, 482–489. [Google Scholar] [CrossRef]
- Setz, J.; Diehl, J. Gingival reaction on crowns with cast and sintered metal margins: A progressive report. J. Prosthet Dent. 1994, 71, 442–446. [Google Scholar] [CrossRef]
- DiFebo, G.; Carnevale, G.; Sterrantino, S.F. Treatment of a case of advanced periodontitis: Clinical procedures utilizing the “combined preparation” technique. Int. J. Periodontics Restor. Dent. 1985, 5, 52–62. [Google Scholar]
- Ingraham, R.; Sochat, P.; Hansing, F.J. Rotary gingival curettage—A technique for tooth preparation and management of the gingival sulcus for impression taking. Int. J. Periodontics Restor. Dent. 1981, 1, 8–33. [Google Scholar]
- Paniz, G.; Nart, J.; Gobbato, L.; Chierico, A.; Lops, D.; Michalakis, K. Periodontal response to two different subgingival restorative margin designs: A 12-month randomized clinical trial. Clin Oral Investig. 2016, 20, 1243–1252. [Google Scholar] [CrossRef]
- León-Martínez, R.; Montiel-Company, J.M.; Bellot-Arcís, C.; Solá-Ruíz, M.F.; Selva-Otaolaurruchi, E.; Agustín-Panadero, R. Periodontal Behavior Around Teeth Prepared with Finishing Line for Restoration with Fixed Prostheses. A Systematic Review and Meta-Analysis. J. Clin. Med. 2020, 9, 249. [Google Scholar] [CrossRef]
- Schmitt, J.; Wichmann, M.; Holst, S.; Reich, S. Restoring severely compromised anterior teeth with zirconia crowns and feather-edged margin preparations: A 3-year follow-up of a prospective clinical trial. Int. J. Prosthodont. 2010, 23, 107–109. [Google Scholar] [PubMed]
- Reitemeier, B.; Hänsel, K.; Walter, M.H.; Kastner, C.; Toutenburg, H. Effect of posterior crown margin placement on gingival health. J. Prosthet. Dent. 2002, 87, 167–172. [Google Scholar] [CrossRef]
- Edelhoff, D.; Sorensen, J.A. Tooth structure removal associated with various preparation designs for anterior teeth. J. Prosthet. Dent. 2002, 87, 503–509. [Google Scholar] [CrossRef]
- Edelhoff, D.; Sorensen, J.A. Tooth structure removal associated with various preparation designs for posterior teeth. Int J Periodontics Restor. Dent. 2002, 22, 241–249. [Google Scholar]
- Loi, I.F.; Scutellà, F.; Galli, F.; Tecnica di preparazione orientata biologicamente (B.O.P.T.). Un nuovo approccio nella preparazione protesica in odontostomatologia. Quintessenza Internazionale 2008, 5, 69–75. [Google Scholar]
- Loi, I.; Di Felice, A. Biologically oriented preparation technique (BOPT): A new approach for prosthetic restoration of periodontically healthy teeth. Eur. J. Esthet. Dent. 2013, 8, 10–23. [Google Scholar] [PubMed]
- Agustín-Panadero, R.; Martín-de Llano, J.J.; Fons-Font, A.; Carda, C. Histological study of human periodontal tissue following biologically oriented preparation technique (BOPT). J. Clin. Exp. Dent. 2020, 12, e597–e602. [Google Scholar] [CrossRef] [PubMed]
- Moskow, B.S. Response of the gingival sulcus to instrumentation-A histological investigation of gingival curettage. J. Periodontol. 1964, 35, 112–126. [Google Scholar] [CrossRef]
- Agustín-Panadero, R.; Solá-Ruíz, M.F. Vertical preparation for fixed prosthesis rehabilitation in the anterior sector. J. Prosthet. Dent. 2015, 114, 474–478. [Google Scholar] [CrossRef] [PubMed]
- Agustín-Panadero, R.; Serra-Pastor, B.; Fons-Font, A.; Solá-Ruíz, M.F. Prospective Clinical Study of Zirconia Full-coverage Restorations on Teeth Prepared with Biologically Oriented Preparation Technique on Gingival Health: Results After Two-year Follow-up. Oper. Dent. 2018, 43, 482–487. [Google Scholar] [CrossRef] [PubMed]
- Paniz, G.; Nart, J.; Gobbato, L.; Mazzocco, F.; Stellini, E.; De Simone, G.; Bressan, E. Clinical Periodontal Response to Anterior All-Ceramic Crowns with Either Chamfer or Feather-edge Subgingival Tooth Preparations: Six-Month Results and Patient Perception. Int. J. Periodontics Restor. Dent. 2017, 37, 61–68. [Google Scholar] [CrossRef] [PubMed]
- Comlekoglu, M.; Dundar, M.; Ozcan, M.; Gungor, M.; Gokce, B.; Artunc, C. Influence of cervical finish line type on the marginal adaptation of zirconia ceramic crowns. Oper Dent. 2009, 34, 586–592. [Google Scholar] [CrossRef] [PubMed]
- Amesti-Garaizabal, A.; Agustín-Panadero, R.; Verdejo-Solá, B.; Fons-Font, A.; Fernández-Estevan, L.; Montiel-Company, J.; Solá-Ruíz, M.F. Fracture Resistance of Partial Indirect Restorations Made With CAD/CAM Technology. A Systematic Review and Meta-analysis. J. Clin. Med. 2019, 8, 1932. [Google Scholar] [CrossRef] [PubMed]
- Agustín-Panadero, R.; Ausina-Escrihuela, D.; Fernández-Estevan, L.; Román-Rodríguez, J.L.; Faus-López, J.; Solá-Ruíz, M.F. Dental-gingival remodeling with BOPT no-prep veneers. J. Clin. Exp. Dent. 2017, 9, 496–1500. [Google Scholar] [CrossRef] [PubMed]
- Agustín-Panadero, R.; Solá-Ruíz, M.F.; Chust, C.; Ferreiroa, A. Fixed dental prostheses with vertical tooth preparations without finish lines: A report of two patients. J. Prosthet. Dent. 2016, 115, 520–526. [Google Scholar] [CrossRef] [PubMed]
- Pardo, G.I. A full cast restoration design offering superior marginal characteristics. J. Prosthet. Dent. 1982, 48, 539–543. [Google Scholar] [CrossRef]
- Rosner, D. Function, placement, and reproduction of bevels for gold castings. J. Prosthet. Dent. 1963, 8, 1160–1166. [Google Scholar] [CrossRef]
- Beuer, F.; Edelhoff, D.; Gernet, W.; Sorensen, J.A. Three-year clinical prospective evaluation of zirconia-based posterior fixed dental prostheses (FDPs). Clin. Oral Investig. 2009, 13, 445–451. [Google Scholar] [CrossRef] [PubMed]
- Pelaez, J.; Cogolludo, P.G.; Serrano, B.; Serrano, J.F.; Suarez, M.J. A four-year prospective clinical evaluation of zirconia and metal-ceramic posterior fixed dental prostheses. Int. J. Prosthodont. 2012, 25, 451–458. [Google Scholar] [PubMed]
- Salido, M.P.; Martinez-Rus, F.; del Rio, F.; Pradies, G.; Ozcan, M.; Suarez, M.J. Prospective clinical study of zirconia-based posterior four-unit fixed dental prostheses: Four-year follow-up. Int. J. Prosthodont. 2012, 25, 403–409. [Google Scholar] [PubMed]
- Suarez, M.J.; Perez, C.; Pelaez, J.; Lopez-Suarez, C.; Gonzalo, E. A Randomized Clinical Trial Comparing Zirconia and Metal-Ceramic Three-Unit Posterior Fixed Partial Dentures: A 5-Year Follow-Up. J. Prosthodont. 2019, 28, 750–756. [Google Scholar] [CrossRef] [PubMed]
- Tanner, J.; Niemi, H.; Ojala, E.; Tolvanen, M.; Närhi, T.; Hjerppe, J. Zirconia single crowns and multiple-unit FDPs-An up to 8 -year retrospective clinical study. J. Dent. 2018, 79, 96–101. [Google Scholar] [CrossRef]
- Nicolaisen, M.H.; Bahrami, G.; Schropp, L.; Isidor, F. Comparison of Metal-Ceramic and All-Ceramic Three-Unit Posterior Fixed Dental Prostheses: A 3-Year Randomized Clinical Trial. Int. J. Prosthodont. 2016, 29, 259–264. [Google Scholar] [CrossRef]
- Ohlmann, B.; Bermejo, J.L.; Rammelsberg, P.; Schmitter, M.; Zenthöfer, A.; Stober, T. Comparison of incidence of complications and aesthetic performance for posterior metal-free polymer crowns and metal-ceramic crowns: Results from a randomized clinical trial. J. Dent. 2014, 42, 671–676. [Google Scholar] [CrossRef] [PubMed]
- Sailer, I.; Makarov, N.A.; Thoma, D.S.; Zwahlen, M.; Pjetursson, B.E. All-ceramic or metal-ceramic tooth-supported fixed dental prostheses (FDPs)? A systematic review of the survival and complication rates. Part I: Single crowns (SCs). Dent. Mater. 2015, 31, 603–623. [Google Scholar] [CrossRef] [PubMed]
- Ali, Z.; Baker, S.R.; Shahrbaf, S.; Martin, N.; Vettore, M.V. Oral health-related quality of life after prosthodontic treatment for patients with partial edentulism: A systematic review and meta-analysis. J. Prosthet. Dent. 2019, 121, 59–68. [Google Scholar] [CrossRef] [PubMed]
- ELsyad, M.A.; Elgamal, M.; Mohammed Askar, O.; Youssef Al-Tonbary, G. Patient satisfaction and oral health-related quality of life (OHRQoL) of conventional denture, fixed prosthesis and milled bar overdenture for All-on-4 implant rehabilitation. A crossover study. Clin. Oral Implants Res. 2019, 30, 1107–1117. [Google Scholar] [CrossRef] [PubMed]
- Silness, J.; Löe, H. Periodontal Disease in Pregnancy II. Correlation between Oral Hygiene and Periodontal Condition. Acta Odontol. Scand. 1964, 22, 121–135. [Google Scholar] [CrossRef] [PubMed]
- Löe, H.; Silness, J. Periodontal Disease in Pregnancy, I. Prevalence and Severity. Acta Odontol. Scand. 1963, 21, 533–551. [Google Scholar] [CrossRef] [PubMed]
- Wittneben, J.G.; Wismeijer, D.; Brägger, U.; Joda, T.; Abou-Ayash, S. Patient-reported outcome measures focusing on aesthetics of implant- and tooth-supported fixed dental prostheses: A systematic review and meta-analysis. Clin. Oral Implants Res. 2018, 29 (Suppl. 16), 224–240. [Google Scholar] [CrossRef] [PubMed]
- Luo, J.Y.N.; Liu, P.P.; Wong, M.C.M. Patients’ satisfaction with dental care: A qualitative study to develop a satisfaction instrument. BMC Oral Health 2018, 18, 15. [Google Scholar] [CrossRef]
- Shrestha, L.; Dahal, S.; Pradhan, D.; Lohani, J. Satisfaction Level among Patients Treated with Fixed Dental Prosthesis in a Tertiary Care Hospital: A Descriptive Cross-sectional Study. JNMA J. Nepal Med. Assoc. 2020, 58, 15–19. [Google Scholar] [CrossRef]














Publisher’s Note: MDPI stays neutral with regard to jurisdictional claims in published maps and institutional affiliations. |
© 2021 by the authors. Licensee MDPI, Basel, Switzerland. This article is an open access article distributed under the terms and conditions of the Creative Commons Attribution (CC BY) license (https://creativecommons.org/licenses/by/4.0/).
Share and Cite
Serra-Pastor, B.; Bustamante-Hernández, N.; Fons-Font, A.; Fernanda Solá-Ruíz, M.; Revilla-León, M.; Agustín-Panadero, R. Periodontal Behavior and Patient Satisfaction of Anterior Teeth Restored with Single Zirconia Crowns Using a Biologically Oriented Preparation Technique: A 6-Year Prospective Clinical Study. J. Clin. Med. 2021, 10, 3482. https://doi.org/10.3390/jcm10163482
Serra-Pastor B, Bustamante-Hernández N, Fons-Font A, Fernanda Solá-Ruíz M, Revilla-León M, Agustín-Panadero R. Periodontal Behavior and Patient Satisfaction of Anterior Teeth Restored with Single Zirconia Crowns Using a Biologically Oriented Preparation Technique: A 6-Year Prospective Clinical Study. Journal of Clinical Medicine. 2021; 10(16):3482. https://doi.org/10.3390/jcm10163482
Chicago/Turabian StyleSerra-Pastor, Blanca, Naia Bustamante-Hernández, Antonio Fons-Font, María Fernanda Solá-Ruíz, Marta Revilla-León, and Rubén Agustín-Panadero. 2021. "Periodontal Behavior and Patient Satisfaction of Anterior Teeth Restored with Single Zirconia Crowns Using a Biologically Oriented Preparation Technique: A 6-Year Prospective Clinical Study" Journal of Clinical Medicine 10, no. 16: 3482. https://doi.org/10.3390/jcm10163482
APA StyleSerra-Pastor, B., Bustamante-Hernández, N., Fons-Font, A., Fernanda Solá-Ruíz, M., Revilla-León, M., & Agustín-Panadero, R. (2021). Periodontal Behavior and Patient Satisfaction of Anterior Teeth Restored with Single Zirconia Crowns Using a Biologically Oriented Preparation Technique: A 6-Year Prospective Clinical Study. Journal of Clinical Medicine, 10(16), 3482. https://doi.org/10.3390/jcm10163482

