Clinical Behavior of the Gingival Margin following Conservative “Coronally Dynamic” Restorations in the Presence of Non-Carious Cervical Lesions Associated with Gingival Recession: A Pilot Study
Abstract
1. Introduction
- accumulation of biofilm, with risk of caries and pulpitis;
- aesthetic deficits;
2. Materials and Methods
2.1. Sample Selection
- -
- carious lesions on the buccal surface or interdental restorations
- -
- or absence of pulp vitality
- -
- or prosthetic crown
- -
- or fractures of the dental crown
- -
- or malposition of the tooth
- -
- thin gingival phenotype
- -
- periodontal pockets and/or tooth mobility.
2.2. Operative Protocol
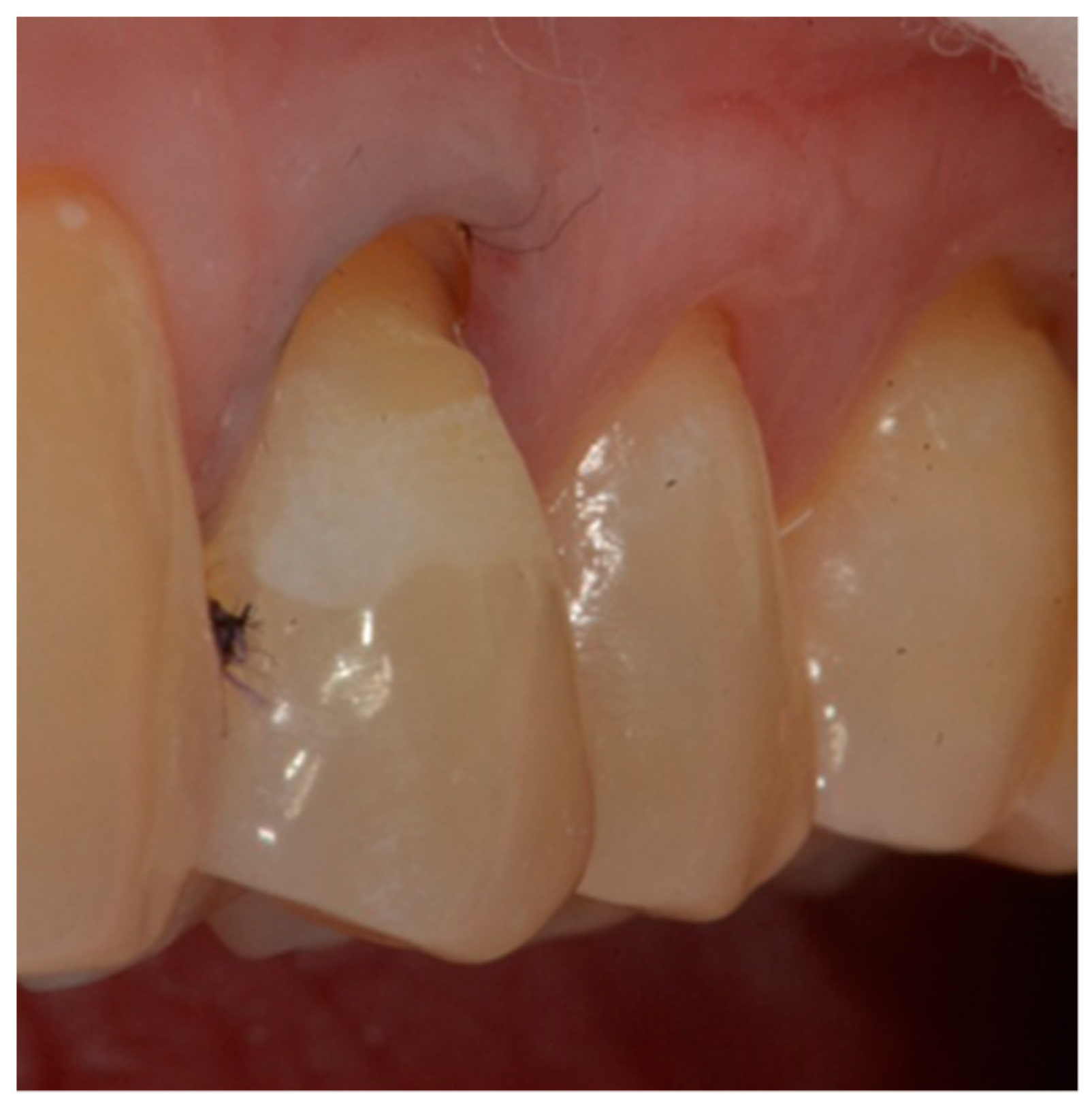
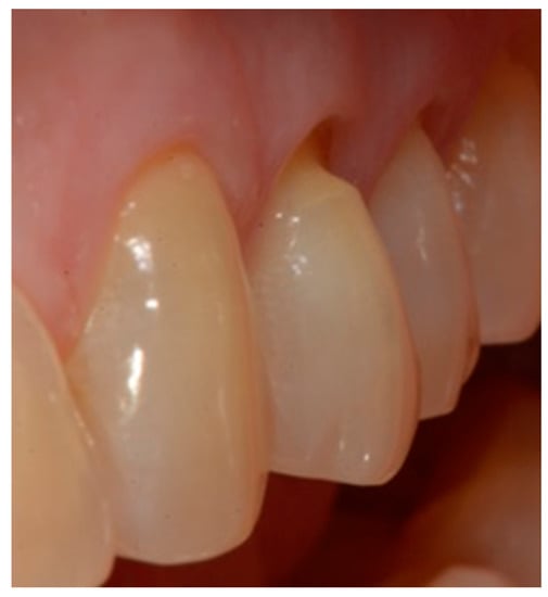
- Selection of the shades (dentinal masses and enamel) of the tooth to be restored (Figure 1);
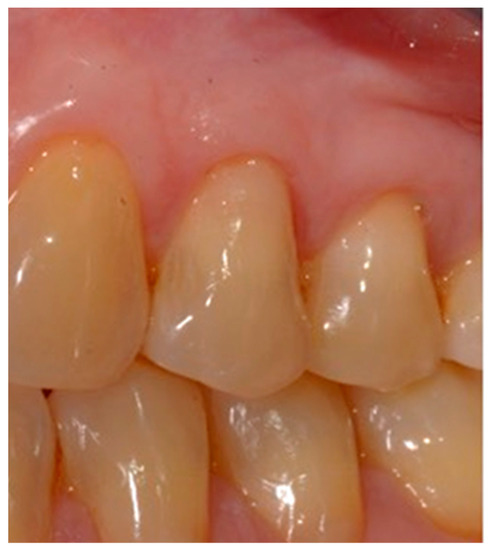
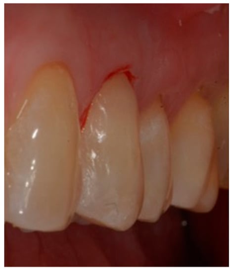
- Initial measurement of the length of the clinical dental crown (performed with a millimeter periodontal probe placed adjacent to the dental crown and having as a reference the most apical part of the gingival sulcus and the highest part of the crown) and photography of the lesions at time 0 (t0) (Figure 2a).
- Evaluation of the vestibular probing depth (PD) at baseline, by a millimetered Williams probe inserted in the sulcus on the buccal aspect.


2.2.1. Stages of the Restoration
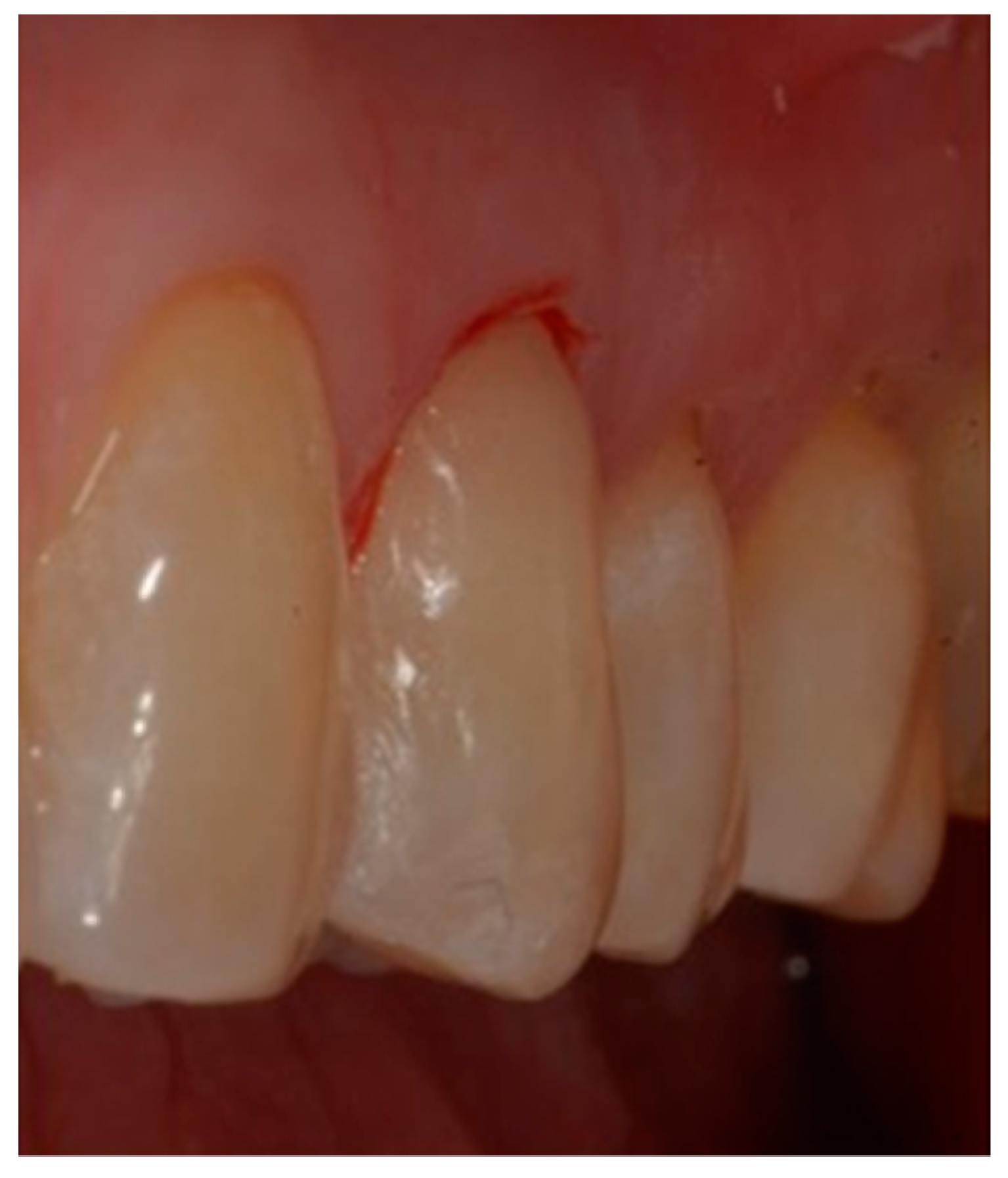
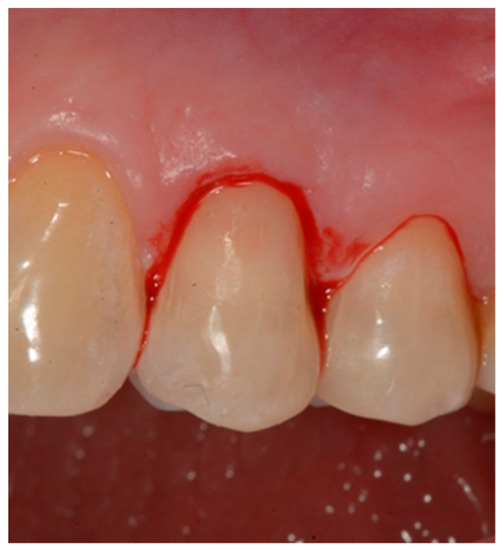
- Isolation of the field with a retraction cord 000 in the gingival sulcus (Ultrapak; Ultradent, 505 West Ultradent Drive South Jordan, UT, USA) (Figure 3).
- mechanical cleaning with a diamond bur of the bottom of the cavity to expose new dentin.
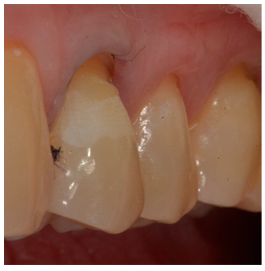
- definition of a small bevel of the enamel (mini-chamfer) in correspondence with the coronal perimeter of the lesion with fine-grained diamond burs to favor the adhesion processes and the mimicry of the restoration and to give sufficient thickness to the most coronal composite (Figure 4).
- Application of a thin layer of flowable composite (3M Filtek Supreme flowable, 3M Italia Srl,Via Norberto Bobbio, 21, 20096 Pioltello (MI) Italy) on the bottom of the cavity and of composite (3M Filtek Supreme XTE, 3M Italia Srl,Via Norberto Bobbio, 21, 20096 Pioltello (MI) Italy), on top and perimeter seal, by means of a layering procedure. The composite was applied in horizontal excess following the principles of the BOPT technique, trying to emphasize the cervical convexity. The polymerization phases were performed using the KERR (KERR ITALIA SRL,Via Passanti 332 84018 Scafati, Italia) 800 Watt lamp for 20″ for each layer [23] (Figure 6a–c).
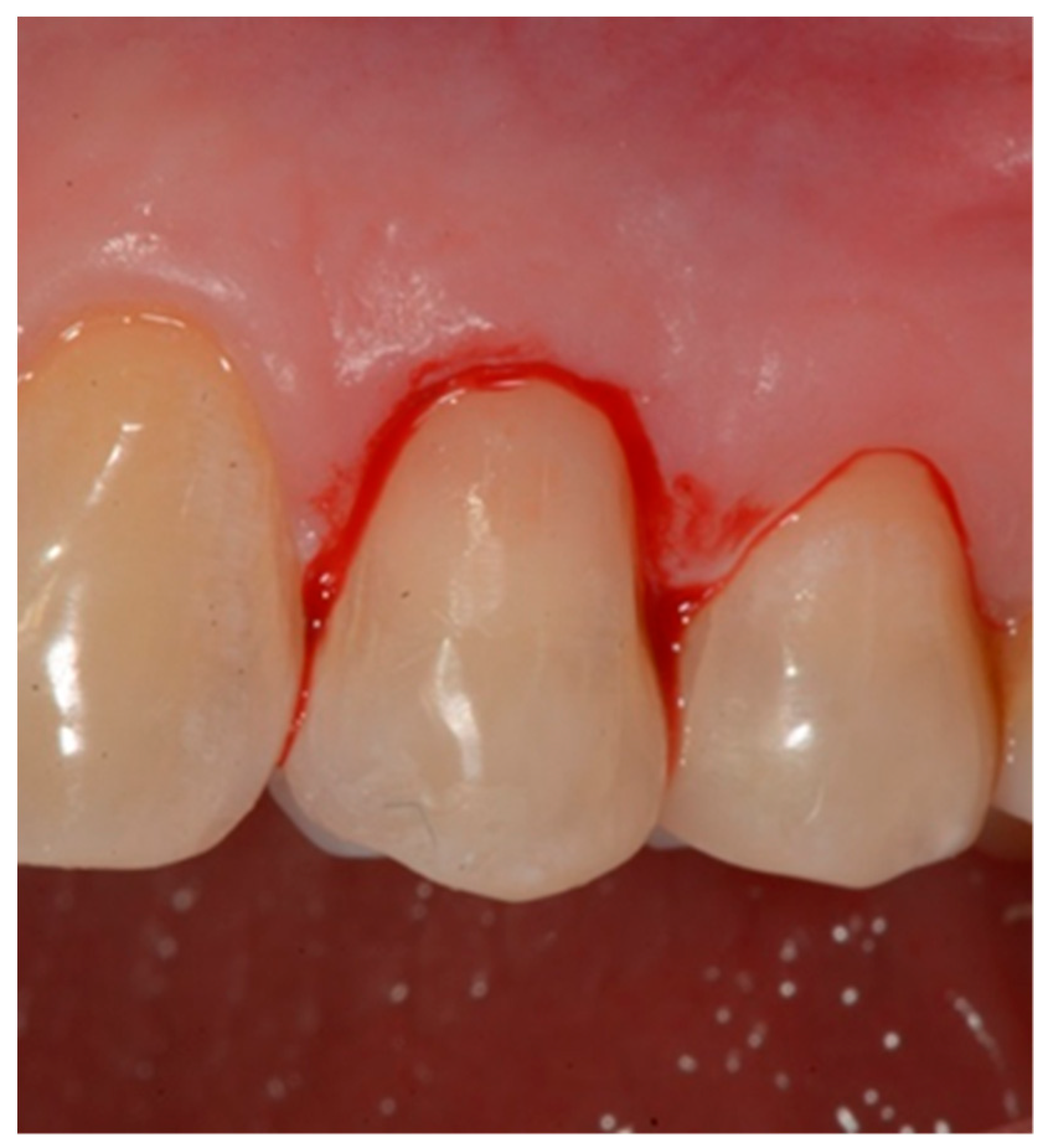
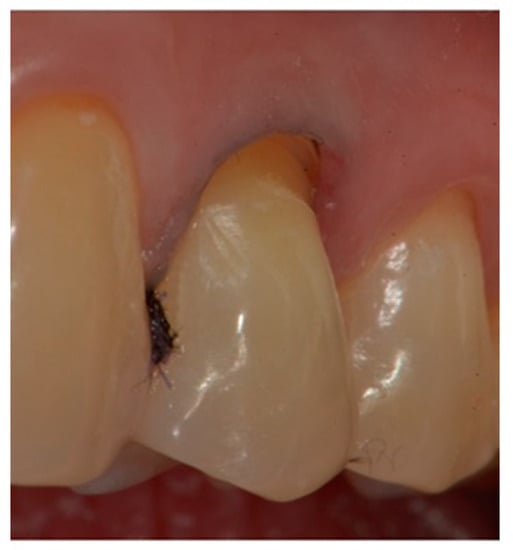
- First refinement of the restoration and removal of the retraction cord (Figure 7).
- Finishing the restoration with a coarse- (80 μm) and a fine- (50 μm) grain flame bur placed on the most apical point of the restoration, without touching the dental tissue with the tip, in order to create an angle of approximately 45° and maintain a convex profile (Figure 8).






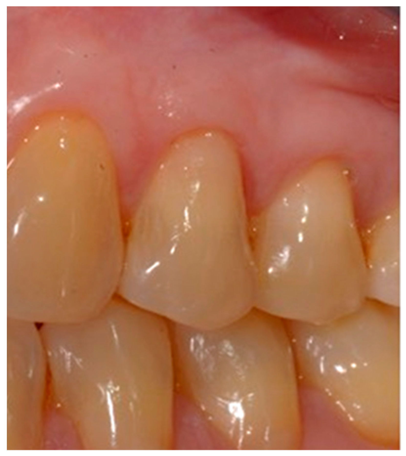
- Polishing the restoration with fine-grained 50 μm diamond burs, composite polishers and a brush with bristles impregnated with silicon carbide to give the restoration a perfect shine.

2.2.2. Measurement of Clinical Crowns Length
3. Results
4. Discussion
5. Conclusions
Author Contributions
Funding
Institutional Review Board Statement
Informed Consent Statement
Data Availability Statement
Conflicts of Interest
References
- Levitch, L.C.; Bader, J.D.; Shugars, D.A.; Heymann, H.O. Non-Carious Cervical Lesions. J. Dent. 1994, 22, 195–207. [Google Scholar] [CrossRef]
- Aw, T.C.; Lepe, X.; Johnson, G.H.; Mancl, L. Characteristics of Non-carious Cervical Lesions: A Clinical Investigation. J. Am. Dent. Assoc. 2002, 133, 725–733. [Google Scholar] [CrossRef]
- Bartlett, D.W.; Shah, P. A Critical Review of Non-Carious Cervical (Wear) Lesions and the Role of Abfraction, Erosion, and Abrasion. J. Dent. Res. 2006, 85, 306–312. [Google Scholar] [CrossRef]
- Grippo, J.O.; Simring, M.; Schreiner, S. Attrition, abrasion, corrosion and abfraction revisited: A new perspective on tooth surface lesions. J. Am. Dent. Assoc. 2004, 135, 1105–1109. [Google Scholar] [CrossRef]
- Grippo, J.O.; Simring, M.; Coleman, T.A. Abfraction, abrasion, biocorrosion, and the enigma of noncarious cervical lesions: A 20-year perspective. J. Esthet. Restor. Dent. 2012, 24, 10–23. [Google Scholar] [CrossRef]
- Walter, C.; Kress, E.; Götz, H.; Taylor, K.; Willershausen, I.; Zampelis, A. The Anatomy of Non-Carious Cervical Lesions. Clin. Oral Investig. 2014, 18, 139–146. [Google Scholar] [CrossRef]
- Perez, C.D.R.; Gonzalez, M.R.; Prado, N.A.S.; de Miranda, M.S.F.; Macêdo, M.d.A.; Fernandes, B.M.P. Restoration of Noncarious Cervical Lesions: When, Why, and How. Int. J. Dent. 2012, 2012, 687058. [Google Scholar] [CrossRef]
- Igarashi, Y.; Yoshida, S.; Kanazawa, E. The Prevalence and Morphological Types of Non-Carious Cervical Lesions (NCCL) in a Contemporary Sample of People. Odontology 2017, 105, 443–452. [Google Scholar] [CrossRef]
- Kolak, V.; Pešić, D.; Melih, I.; Lalović, M.; Nikitović, A.; Jakovljević, A. Epidemiological Investigation of Non-Carious Cervical Lesions and Possible Etiological Factors. J. Clin. Exp. Dent. 2018, 10, e648–e656. [Google Scholar] [CrossRef]
- Martens, L.C. A Decision Tree for the Management of Exposed Cervical Dentin (ECD) and Dentin Hypersensitivity (DHS). Clin. Oral Investig. 2013, 17 (Suppl. 1), S77–S83. [Google Scholar] [CrossRef][Green Version]
- Femiano, F.; Grassia, V.; Femiano, R.; Vitale, M.; Nucci, L.; Sorice, R.; Di Francesco, F.; De Marco, G.; Lanza, A. Decision-Making Process as Guide to the Management of Non-Carious Cervical Lesions with and without Painful Symptomatology. J. Biol. Regul. Homeost. Agents 2019, 33, 1013–1018. [Google Scholar]
- Zucchelli, G.; Gori, G.; Mele, M.; Stefanini, M.; Mazzotti, C.; Marzadori, M.; Montebugnoli, L.; De Sanctis, M. Non-Carious Cervical Lesions Associated with Gingival Recessions: A Decision-Making Process. J. Periodontol. 2011, 82, 1713–1724. [Google Scholar] [CrossRef]
- Teixeira, D.N.R.; Zeola, L.F.; Machado, A.C.; Gomes, R.R.; Souza, P.G.; Mendes, D.C.; Soares, P.V. Relationship between Noncarious Cervical Lesions, Cervical Dentin Hypersensitivity, Gingival Recession, and Associated Risk Factors: A Cross-Sectional Study. J. Dent. 2018, 76, 93–97. [Google Scholar] [CrossRef]
- Cortellini, P.; Bissada, N.F. Mucogingival Conditions in the Natural Dentition: Narrative Review, Case Definitions, and Diagnostic Considerations. J. Clin. Periodontol. 2018, 45 (Suppl. 2), S190–S198. [Google Scholar] [CrossRef]
- Zucchelli, G.; Testori, T.; De Sanctis, M. Clinical and Anatomical Factors Limiting Treatment Outcomes of Gingival Recession: A New Method to Predetermine the Line of Root Coverage. J. Periodontol. 2006, 77, 714–721. [Google Scholar] [CrossRef]
- Pini-Prato, G.; Franceschi, D.; Cairo, F.; Nieri, M.; Rotundo, R. Classification of Dental Surface Defects in Areas of Gingival Recession. J. Periodontol. 2010, 81, 885–890. [Google Scholar] [CrossRef]
- Dursun, E.; Güncü, G.N.; Dursun, C.K.; Kiremitçi, A.; Karabulut, E.; Akalın, F.A. Nanofilled and Conventional Resin-Modified Glass Ionomer Fillings Combined with Connective Tissue Grafts for Treatment of Gingival Recessions with Non-Carious Cervical Lesions. J. Oral Sci. 2018, 60, 344–351. [Google Scholar] [CrossRef]
- Yang, S.; Lee, H.; Jin, S.-H. A Combined Approach to Non-Carious Cervical Lesions Associated with Gingival Recession. Restor. Dent. Endod. 2016, 41, 218–224. [Google Scholar] [CrossRef]
- Derchi, G.; Borgia, V.; Manca, E.; Barone, A.; Loi, I.; Covani, U. A novel approach to treat gingival recession and Non-Caries Cervical Lesion combined defects: Restoration guided creeping attachment (RGCA) technique. A case report. Quintessence Int. 2018, 49, 445–450. [Google Scholar] [CrossRef]
- Loi, I.; Di Felice, A. Biologically Oriented Preparation Technique (BOPT): A New Approach for Prosthetic Restoration of Periodontically Healthy Teeth. Eur. J. Esthet. Dent. Off. J. Eur. Acad. Esthet. Dent. 2013, 8, 10–23. [Google Scholar]
- Kan, J.Y.K.; Morimoto, T.; Rungcharassaeng, K.; Roe, P.; Smith, D.H. Gingival Biotype Assessment in the Esthetic Zone: Visual versus Direct Measurement. Int. J. Periodont. Restor. Dent. 2010, 30, 237–243. [Google Scholar]
- Maravic, T.; Mazzoni, A.; Comba, A.; Scotti, S.; Checchi, V.; Breschiet, L. How Stable is Dentin as a Substrate for Bonding? Curr. Oral Health Rep. 2017, 4, 248–257. [Google Scholar] [CrossRef]
- Scotti, N.; Venturello, A.; Migliaretti, G.; Pera, F.; Pasqualini, D.; Geobaldo, F.; Berutti, E. New-generation curing units and short irradiation time: The degree of conversion of microhybrid composite resin. Quintessence Int. 2011, 42, 89–95. [Google Scholar] [PubMed]
- Loi, I.; Scutellà, F.; Galli, F. Tecnica di preparazione orientata biologicamente (BOPT). Un nuovo approccio nella preparazione protesica in odontostomatologia. Quintessence Int. 2008, 24, 69–75. [Google Scholar]
- Femiano, F.; Femiano, R.; Femiano, L.; Nucci, L.; Minervini, G.; Antonelli, A.; Bennardo, F.; Barone, S.; Scotti, N.; Sorice, V.; et al. A new combined protocol to treat the dentin hypersensitivity associated with non-carious cervical lesions: A randomized controlled trial. Appl Sci. 2021, 11, 187. [Google Scholar] [CrossRef]
- Tacchini, L.; Bazzoli, M. Restauri conservativi di V classe secondo i principi della tecnica BOPT: Le risposte tissutali. Dent. Mod. 2017, 62–70. [Google Scholar]
- Perelli, M.; Abundo, R.; Corrente, G.; Arduino, P.G. The Creeping Attachment Induced Technique (CAIT) in Natural and Restored Teeth: Case Reports with 24 Months of Follow-Up. Case Rep. Dent. 2019, 2019, 5828423. [Google Scholar] [CrossRef]
- Rodríguez, X.; Vela, X.; Segalà, M.; Pérez, J.; Pons, L.; Loi, I. Caso clínico. Examen histológico humano de la respuesta de los tejidos al tallado vertical y provisionalización inmediata (BOPT). Fundam. Biológico 2019, 12, 47–58. [Google Scholar]
- Aimetti, M.; Romano, F.; Peccolo, D.C.; Debernardi, C. Non-Surgical Periodontal Therapy of Shallow Gingival Recession Defects: Evaluation of the Restorative Capacity of Marginal Gingiva after 12 Months. J. Periodontol. 2005, 76, 256–261. [Google Scholar] [CrossRef]



| NCCL Number | Baseline Measurements (t0) | Reevaluation Measurements (t1) | Mean, μ | Standard Error | Mean CL Variation | ||||||||||
|---|---|---|---|---|---|---|---|---|---|---|---|---|---|---|---|
| M1 | M2 | M3 | M4 | M5 | M1 | M2 | M3 | M4 | M5 | t0 (μ0) | t1 (μ1) | t0 (ε0) | t1 (ε1) | δz | |
| 1 | 13.0 | 12.9 | 12.9 | 12.9 | 12.9 | 12.8 | 12.8 | 12.8 | 12.8 | 12.8 | 12.9 | 12.8 | 0.014 | 0.010 | 0.095 |
| 2 | 11.3 | 11.3 | 11.3 | 11.3 | 11.3 | 11.5 | 11.5 | 11.4 | 11.5 | 11.5 | 11.3 | 11.5 | 0.004 | 0.008 | −0.188 |
| 3 | 14.0 | 14.0 | 14.0 | 14.0 | 14.0 | 13.9 | 13.8 | 13.8 | 13.9 | 13.8 | 14.0 | 13.8 | 0.004 | 0.021 | 0.137 |
| 4 | 14.1 | 14.1 | 14.1 | 14.1 | 14.1 | 13.4 | 13.4 | 13.4 | 13.4 | 13.4 | 14.1 | 13.4 | 0.008 | 0.005 | 0.751 |
| 5 | 10.9 | 10.9 | 10.9 | 10.9 | 10.9 | 10.9 | 10.8 | 10.9 | 10.9 | 10.8 | 10.9 | 10.8 | 0.003 | 0.015 | 0.053 |
| 6 | 9.5 | 9.5 | 9.5 | 9.4 | 9.5 | 9.6 | 9.6 | 9.7 | 9.7 | 9.6 | 9.5 | 9.6 | 0.019 | 0.011 | −0.174 |
| 7 | 11.4 | 11.4 | 11.4 | 11.3 | 11.3 | 11.3 | 11.3 | 11.3 | 11.3 | 11.3 | 11.4 | 11.3 | 0.019 | 0.003 | 0.054 |
| 8 | 10.6 | 10.6 | 10.6 | 10.6 | 10.5 | 10.6 | 10.6 | 10.5 | 10.5 | 10.6 | 10.6 | 10.6 | 0.012 | 0.013 | 0.002 |
| 9 | 13.2 | 13.2 | 13.2 | 13.1 | 13.2 | 13.6 | 13.5 | 13.5 | 13.5 | 13.5 | 13.2 | 13.5 | 0.020 | 0.020 | −0.339 |
| 10 | 13.1 | 13.1 | 13.1 | 13.0 | 13.0 | 12.3 | 12.3 | 12.3 | 12.2 | 12.3 | 13.0 | 12.3 | 0.004 | 0.008 | 0.782 |
Publisher’s Note: MDPI stays neutral with regard to jurisdictional claims in published maps and institutional affiliations. |
© 2022 by the authors. Licensee MDPI, Basel, Switzerland. This article is an open access article distributed under the terms and conditions of the Creative Commons Attribution (CC BY) license (https://creativecommons.org/licenses/by/4.0/).
Share and Cite
Femiano, F.; Sorice, R.; Femiano, R.; Femiano, L.; Nucci, L.; Grassia, V.; Annunziata, M.; Baldi, A.; Scotti, N.; Nastri, L. Clinical Behavior of the Gingival Margin following Conservative “Coronally Dynamic” Restorations in the Presence of Non-Carious Cervical Lesions Associated with Gingival Recession: A Pilot Study. Dent. J. 2022, 10, 132. https://doi.org/10.3390/dj10070132
Femiano F, Sorice R, Femiano R, Femiano L, Nucci L, Grassia V, Annunziata M, Baldi A, Scotti N, Nastri L. Clinical Behavior of the Gingival Margin following Conservative “Coronally Dynamic” Restorations in the Presence of Non-Carious Cervical Lesions Associated with Gingival Recession: A Pilot Study. Dentistry Journal. 2022; 10(7):132. https://doi.org/10.3390/dj10070132
Chicago/Turabian StyleFemiano, Felice, Rossella Sorice, Rossella Femiano, Luigi Femiano, Ludovica Nucci, Vincenzo Grassia, Marco Annunziata, Andrea Baldi, Nicola Scotti, and Livia Nastri. 2022. "Clinical Behavior of the Gingival Margin following Conservative “Coronally Dynamic” Restorations in the Presence of Non-Carious Cervical Lesions Associated with Gingival Recession: A Pilot Study" Dentistry Journal 10, no. 7: 132. https://doi.org/10.3390/dj10070132
APA StyleFemiano, F., Sorice, R., Femiano, R., Femiano, L., Nucci, L., Grassia, V., Annunziata, M., Baldi, A., Scotti, N., & Nastri, L. (2022). Clinical Behavior of the Gingival Margin following Conservative “Coronally Dynamic” Restorations in the Presence of Non-Carious Cervical Lesions Associated with Gingival Recession: A Pilot Study. Dentistry Journal, 10(7), 132. https://doi.org/10.3390/dj10070132

