Sign in to use this feature.

Years

Between: -

Subjects

remove_circle_outline
remove_circle_outline
remove_circle_outline
remove_circle_outline
remove_circle_outline
remove_circle_outline
remove_circle_outline
remove_circle_outline
remove_circle_outline

Journals

Article Types

Countries / Regions

Search Results (99)

Search Parameters:
Keywords = AI in CCS

Order results
Result details
Results per page
Select all
Export citation of selected articles as:
19 pages, 495 KB  
Article
Mitigating Prompt Dependency in Large Language Models: A Retrieval-Augmented Framework for Intelligent Code Assistance
by Saja Abufarha, Ahmed Al Marouf, Jon George Rokne and Reda Alhajj
Software 2026, 5(1), 4; https://doi.org/10.3390/software5010004 - 21 Jan 2026
Abstract
Background: The implementation of Large Language Models (LLMs) in software engineering has provided new and improved approaches to code synthesis, testing, and refactoring. However, even with these new approaches, the practical efficacy of LLMs is restricted due to their reliance on user-given [...] Read more.
Background: The implementation of Large Language Models (LLMs) in software engineering has provided new and improved approaches to code synthesis, testing, and refactoring. However, even with these new approaches, the practical efficacy of LLMs is restricted due to their reliance on user-given prompts. The problem is that these prompts can vary a lot in quality and specificity, which results in inconsistent or suboptimal results for the LLM application. Methods: This research therefore aims to alleviate these issues by developing an LLM-based code assistance prototype with a framework based on Retrieval-Augmented Generation (RAG) that automates the prompt-generation process and improves the outputs of LLMs using contextually relevant external knowledge. Results: The tool aims to reduce dependence on the manual preparation of prompts and enhance accessibility and usability for developers of all experience levels. The tool achieved a Code Correctness Score (CCS) of 162.0 and an Average Code Correctness (ACC) score of 98.8% in the refactoring task. These results can be compared to those of the generated tests, which scored CCS 139.0 and ACC 85.3%, respectively. Conclusions: This research contributes to the growing list of Artificial Intelligence (AI)-powered development tools and offers new opportunities for boosting the productivity of developers. Full article
Show Figures

Figure 1

20 pages, 2671 KB  
Review
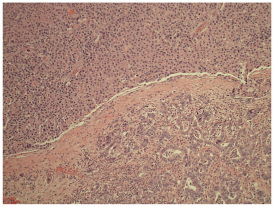
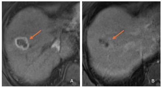
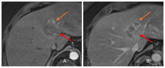
An Updated Review of Combined Hepatocellular Cholangiocarcinoma: A Rare and Poorly Understood Neoplasm
by Gavin Low, Xu Jing Qian, Ali Ramji, Blaire Anderson, Safwat Girgis, Karim Samji and Mitchell P. Wilson
Diagnostics 2026, 16(2), 314; https://doi.org/10.3390/diagnostics16020314 - 19 Jan 2026
Viewed by 187
Abstract
Combined hepatocellular cholangiocarcinoma (cHCC-CC) is a rare and poorly understood primary liver cancer. First identified over a century ago, it has been referred to by various names and reclassified multiple times since the initial description. Diagnosis is extremely challenging as the tumor can [...] Read more.
Combined hepatocellular cholangiocarcinoma (cHCC-CC) is a rare and poorly understood primary liver cancer. First identified over a century ago, it has been referred to by various names and reclassified multiple times since the initial description. Diagnosis is extremely challenging as the tumor can mimic hepatocellular carcinoma (HCC) or intrahepatic cholangiocarcinoma (ICC) on imaging or show overlapping features of both. The tumor may also be incorrectly diagnosed with biopsy due to inadequate tissue sampling. As such, many tumors are only correctly diagnosed histologically following surgical resection or transplantation for presumptive HCC. A variety of treatment options are available, although no national or international consensus exists regarding the optimal treatment strategy. Treatment outcomes vary with cHCC-CC showing an intermediate prognosis between HCC and ICC. In this updated review, we provide a conceptual overview of this intriguing neoplasm, including its classification and origins, epidemiology, clinical characteristics, and diagnostic and treatment options. Finally, we discuss the use of radiomics artificial intelligence (AI) to address challenges in lesion differentiation from HCC and ICC, and in predicting post-treatment survival and recurrence. Full article
Show Figures

Figure 1

17 pages, 515 KB  
Article
Serum CCL18 May Reflect Multiorgan Involvement with Poor Outcome in Systemic Sclerosis
by Kristóf Filipánits, Gabriella Nagy, Dávid Kurszán Jász, Tünde Minier, Diána Simon, Szabina Erdő-Bonyár, Tímea Berki and Gábor Kumánovics
Biomolecules 2026, 16(1), 136; https://doi.org/10.3390/biom16010136 - 13 Jan 2026
Viewed by 163
Abstract
Background: Serum C–C motif chemokine ligand 18 (seCCL18) in systemic sclerosis (SSc) has been primarily associated with progressive interstitial lung disease (SSc-ILD) and mortality. However, its relationship with non-pulmonary organ involvement, disease activity, and long-term outcome has not been comprehensively evaluated. We therefore [...] Read more.
Background: Serum C–C motif chemokine ligand 18 (seCCL18) in systemic sclerosis (SSc) has been primarily associated with progressive interstitial lung disease (SSc-ILD) and mortality. However, its relationship with non-pulmonary organ involvement, disease activity, and long-term outcome has not been comprehensively evaluated. We therefore examined the clinical relevance of seCCL18 in a single-center SSc cohort. Methods: A total of 151 patients with SSc (83 diffuse cutaneous (dcSSc), 68 limited cutaneous SSc (lcSSc); median (IQR) disease duration: 9 (4;16) years) and 47 age- and sex-matched healthy controls (HCs) were enrolled. Serum CCL18 concentrations were measured by enzyme-linked immunosorbent assay. Elevated seCCL18 was defined as >130 ng/mL (mean + 2 SD of the healthy control group). Organ involvement and disease activity (EUSTAR Activity Index, EUSTAR-AI) were assessed at baseline, while survival was analysed longitudinally. Results: Patients with SSc had significantly higher seCCL18 levels than HCs (mean ± SD: 99.9 ± 43.2 vs. 75.0 ± 27.5 ng/mL, p < 0.01). Elevated seCCL18 was associated with SSc-ILD (81.1% vs. 60.5%, p = 0.022), reduced forced vital capacity (FVC < 70%: 16.2% vs. 3.5%, p = 0.006), and reduced diffusing capacity for carbon monoxide (DLCO < 70%: 80.6% vs. 54.4%, p = 0.005). Higher seCCL18 levels were observed in patients with myocardial disease (104.8 ± 41.8 vs. 83.8 ± 44.2 ng/mL, p = 0.008), left ventricular diastolic dysfunction (107.1 ± 40.5 vs. 84.5 ± 45.0 ng/mL, p < 0.001), and oesophageal involvement (110.7 ± 38.3 vs. 93.3 ± 43.1 ng/mL, p = 0.009). SeCCL18 levels above the cut-off were more frequently associated with tendon friction rubs (51.4% vs. 27.4%, p = 0.007), active disease (EUSTAR-AI ≥ 2.5: 73% vs. 44%, p = 0.002), and elevated inflammatory markers (CRP > 5 mg/L: 51.4% vs. 19.3%, p < 0.001; ESR > 28 mm/h: 37.8% vs. 18.4%, p = 0.015). During a median follow-up of 87 months, 22 patients (15%) died. Elevated baseline seCCL18 predicted poorer survival in univariate analysis (log-rank p = 0.013) and remained an independent predictor of mortality in multivariable Cox regression (HR 1.789; 95% CI 1.133–2.824; p = 0.013), together with declining DLCO and reduced six-minute walk test performance. Conclusions: Elevated seCCL18 may identify patients with systemic sclerosis who exhibit a more severe multisystem phenotype, including cardiopulmonary, gastrointestinal, and musculoskeletal involvement, increased inflammatory activity, and reduced long-term survival. These findings suggest that seCCL18 may have some clinical utility as a prognostic biomarker reflecting widespread disease involvement beyond the lungs, even in patients with long-standing disease; however, the lack of an established cut-off value requires further validation in prospective, multicentre studies. Full article
(This article belongs to the Special Issue Biomarkers in Musculoskeletal and Orthopedic Disorders)
Show Figures

Figure 1

29 pages, 860 KB  
Article
The Impact of Digital Technology on E-Commerce and Sustainable Performance in the EU
by Maria Magdalena Criveanu
Economies 2026, 14(1), 5; https://doi.org/10.3390/economies14010005 - 25 Dec 2025
Viewed by 744
Abstract
The expansion of digital technologies has led to a digital transformation of the economy and society. E-commerce, driven by new digital technologies and the restrictions during the COVID-19 pandemic, has increased its share in the overall trade of goods and services, influencing economic [...] Read more.
The expansion of digital technologies has led to a digital transformation of the economy and society. E-commerce, driven by new digital technologies and the restrictions during the COVID-19 pandemic, has increased its share in the overall trade of goods and services, influencing economic growth. This article examines the impact of emerging digital technologies such as artificial intelligence (AI), big data, the Internet of Things (IoT), and cloud computing (CC) on the e-commerce sector. Within this study, we explore the digital transformation of the EU economy, focusing on the impact of artificial intelligence (AI), big data, the Internet of Things (IoT), and cloud computing (CC) on e-commerce development and sustainable economic performance (GDP). The methodology employs a multilayer perceptron (MLP) neural network to model the non-linear, predictive relationship between digital adoption and e-commerce. Subsequently, hierarchical cluster analysis groups countries by digital maturity. The findings confirm that digital adoption is a significant and non-linear predictor of e-commerce, while the clustering reveals a pronounced regional heterogeneity in the capacity to translate technology into macro-economic performance. The research results show that by understanding and adopting these technologies, companies in the e-commerce field can gain a competitive advantage and better meet customer requirements and expectations. This adoption can lead to improved personalization of the shopping experience, increased operational efficiency, and enhanced customer satisfaction, ultimately resulting in better and sustainable economic performance. Full article
Show Figures

Figure 1

25 pages, 573 KB  
Article
Enhancing IoT Security with Generative AI: Threat Detection and Countermeasure Design
by Alex Oacheșu, Kayode S. Adewole, Andreas Jacobsson and Paul Davidsson
Electronics 2026, 15(1), 92; https://doi.org/10.3390/electronics15010092 - 24 Dec 2025
Viewed by 310
Abstract
The rapid proliferation of Internet of Things (IoT) devices has increased the attack surface for cyber threats. Traditional intrusion detection systems often struggle to keep pace with novel or evolving threats. This study proposes an end-to-end generative AI-based intrusion detection and response pipeline [...] Read more.
The rapid proliferation of Internet of Things (IoT) devices has increased the attack surface for cyber threats. Traditional intrusion detection systems often struggle to keep pace with novel or evolving threats. This study proposes an end-to-end generative AI-based intrusion detection and response pipeline designed for automated threat mitigation in smart home IoT environments. It leverages a Variational Autoencoder (VAE) trained on benign traffic to flag anomalies, a fine-tuned Bidirectional Encoder Representations from Transformers (BERT) model to classify anomalies into five attack categories (C&C, DDoS, Okiru, PortScan, and benign), and Grok3—a large language model—to generate tailored countermeasure recommendations. Using the Aposemat IoT-23 dataset, the VAE model achieves a recall of 0.999 and a precision of 0.961 for anomaly detection. The BERT model achieves an overall accuracy of 99.90% with per-class F1 scores exceeding 0.99. End-to-end prototype simulation involving 10,000 network traffic samples demonstrate a 98% accuracy in identifying cyber attacks and generating countermeasures to mitigate them. The pipeline integrates generative models for improved detection and automated security policy formulation in IoT settings, enhancing detection and enabling quicker and actionable security responses to mitigate cyber threats targeting smart home environments. Full article
Show Figures

Figure 1

43 pages, 5410 KB  
Article
GTNet: A Graph–Transformer Neural Network for Robust Ecological Health Monitoring in Smart Cities
by Mohammad Aldossary
Mathematics 2026, 14(1), 64; https://doi.org/10.3390/math14010064 - 24 Dec 2025
Viewed by 459
Abstract
Urban towns and smart city governments face increasing challenges in maintaining ecological balance as urbanization, industrial activity, and climate dynamics evolve. The degradation of ecological gardens, biodiversity parks, and waterways adversely affects ecosystem stability, air and water quality, and community well-being. Conventional urban [...] Read more.
Urban towns and smart city governments face increasing challenges in maintaining ecological balance as urbanization, industrial activity, and climate dynamics evolve. The degradation of ecological gardens, biodiversity parks, and waterways adversely affects ecosystem stability, air and water quality, and community well-being. Conventional urban ecological systems rely on reactive assessment methods that detect damage only after it occurs, leading to delayed interventions, higher maintenance costs, and irreversible environmental harm. This study introduces a Graph–Transformer Neural Network (GTNet) as a data-driven and predictive framework for sustainable urban ecological management. GTNet provides real-time estimation of smart city garden health, addressing the gap in proactive environmental monitoring. The model captures spatial relationships and contextual dependencies among multimodal environmental features using Dynamic Graph Convolutional Neural Network (DGCNN) and Vision Transformer (ViT) layers. The preprocessing pipeline integrates Principal Component Aggregation with Orthogonal Constraints (PCAOC) for dimensionality reduction, Weighted Cross-Variance Selection (WCVS) for feature relevance, and Selective Equilibrium Resampling (SER) for class balancing, ensuring robustness and interpretability across complex ecological datasets. Two new metrics, Contextual Consistency Score (CCS) and Complexity-Weighted Accuracy (CWA), are introduced to evaluate model reliability and performance under diverse environmental conditions. Experimental results on Melbourne’s multi-year urban garden datasets demonstrate that GTNet outperforms baseline models such as Predictive Clustering Trees, LSTM networks, and Random Forests, achieving an AUC of 98.9%, CCS of 0.94, and CWA of 0.96. GTNet’s scalability, predictive accuracy, and computational efficiency establish it as a powerful framework for AI-driven ecological governance. This research supports the transition of future smart cities from reactive to proactive, transparent, and sustainable environmental management. Full article
Show Figures

Figure 1

23 pages, 1592 KB  
Article
Smart Learning with Generative AI Tools in Higher Education: An Integrated SOR–SDT Model of Student Creative Confidence and Engagement
by Yang Huang, Tao Yu, Yihui Chen, Yihuan Tian and Jinho Yim
Appl. Sci. 2026, 16(1), 63; https://doi.org/10.3390/app16010063 - 20 Dec 2025
Viewed by 437
Abstract
We investigate how generative AI tools function in smart learning by estimating a structural path model that combines the Stimulus–Organism–Response (SOR) framework with Self-Determination Theory (SDT). Using survey data from N = 540 university students and covariance-based SEM, we examine whether perceptions of [...] Read more.
We investigate how generative AI tools function in smart learning by estimating a structural path model that combines the Stimulus–Organism–Response (SOR) framework with Self-Determination Theory (SDT). Using survey data from N = 540 university students and covariance-based SEM, we examine whether perceptions of these tools—usefulness (PU), ease of use (PEU), creative benefit (PCB), and personalization (PP)—align with SDT’s motivational states of perceived autonomy (PA) and perceived competence (PC) and, in turn, relate to creative confidence (CC) and creative engagement (CE). All four perceptions show positive links to PA and PC, with PP exhibiting the largest association with PA. PA precedes PC, indicating a sequential motivational route. At the behavioral level, PC relates more strongly to CC, whereas PA shows a comparatively larger association with CE. In aggregate, the results support integrating SOR with SDT to explain students’ psychological responses to generative AI tools and inform course designs that cultivate autonomy and competence to sustain creative confidence and engagement in smart-learning contexts. Full article
(This article belongs to the Special Issue Applications of Smart Learning in Education)
Show Figures

Figure 1

14 pages, 808 KB  
Article
An AI-Driven Clinical Decision Support Framework Utilizing Female Sex Hormone Parameters for Surgical Decision Guidance in Uterine Fibroid Management
by Inci Öz, Ecem E. Yegin, Ali Utku Öz and Engin Ulukaya
Medicina 2026, 62(1), 1; https://doi.org/10.3390/medicina62010001 - 19 Dec 2025
Viewed by 246
Abstract
Background and Objective: Changes in female sex hormone levels are closely linked to the development and progression of uterine fibroids (UFs). Clinical approaches to fibroid management vary according to guidelines and depend on patient symptoms, fibroid size, and clinician judgment. Despite available [...] Read more.
Background and Objective: Changes in female sex hormone levels are closely linked to the development and progression of uterine fibroids (UFs). Clinical approaches to fibroid management vary according to guidelines and depend on patient symptoms, fibroid size, and clinician judgment. Despite available diagnostic tools, surgical decisions remain largely subjective. With the advancement of artificial intelligence (AI) and clinical decision support technologies, clinical experience can now be transferred into data-driven computational models trained with hormone-based parameters. To develop a clinical decision support algorithm that predicts surgical necessity for uterine fibroids by integrating fibroid characteristics and female sex hormone levels. Methods: This multicenter study included 618 women with UFs who presented to three hospitals; 238 underwent surgery. Statistical analyses and artificial intelligence-based modeling were performed to compare surgical and non-surgical groups. Training was conducted with each hormone—follicle-stimulating hormone (FSH), luteinizing hormone (LH), estrogen (E2), prolactin (PRL), and anti-Müllerian hormone (AMH)—and with 126 input combinations including hormonal and morphological variables. Five supervised learning algorithms—support vector machine, decision tree, random forest, and k-nearest neighbors—were applied, resulting in 630 trained models. In addition to this retrospective development phase, a prospective validation was conducted in which 20 independent clinical cases were evaluated in real time by a gynecologist blinded to both the model predictions and the surgical outcomes. Agreement between the clinician’s assessments and the model outputs was measured. Results: FSH, LH, and PRL levels were significantly lower in the surgery group (p < 0.001, 0.009, and <0.001, respectively), while E2 and AMH were higher (p = 0.012 and 0.001). Fibroid volume was also greater among surgical cases (90.8 cc vs. 73.1 cc, p < 0.001). The random forest model using LH, FSH, E2, and AMH achieved the highest accuracy of 91 percent. In the external validation phase, the model’s predictions matched the blinded gynecologist’s decisions in 18 of 20 cases, corresponding to a 90% concordance rate. The two discordant cases were later identified as borderline scenarios with clinically ambiguous surgical indications. Conclusions: The decision support algorithm integrating hormonal and fibroid parameters offers an objective and data-driven approach to predicting surgical necessity in women with UFs. Beyond its strong internal performance metrics, the model demonstrated a high level of clinical concordance during external validation, achieving a 90% agreement rate with an independent, blinded gynecologist. This alignment underscores the model’s practical reliability and its potential to reduce subjective variability in surgical decision-making. By providing a reproducible and clinically consistent framework, the proposed AI-based system represents a meaningful advancement toward the validated integration of computational decision tools into routine gynecological practice. Full article
Show Figures

Figure 1

45 pages, 2852 KB  
Review
The Role of Carbon Capture, Utilization, and Storage (CCUS) Technologies and Artificial Intelligence (AI) in Achieving Net-Zero Carbon Footprint: Advances, Implementation Challenges, and Future Perspectives
by Ife Fortunate Elegbeleye, Olusegun Aanuoluwapo Oguntona and Femi Abiodun Elegbeleye
Technologies 2025, 13(11), 509; https://doi.org/10.3390/technologies13110509 - 8 Nov 2025
Viewed by 2018
Abstract
Carbon dioxide (CO2), the primary anthropogenic greenhouse gas, drives significant and potentially irreversible impacts on ecosystems, biodiversity, and human health. Achieving the Paris Agreement target of limiting global warming to well below 2 °C, ideally 1.5 °C, requires rapid and substantial [...] Read more.
Carbon dioxide (CO2), the primary anthropogenic greenhouse gas, drives significant and potentially irreversible impacts on ecosystems, biodiversity, and human health. Achieving the Paris Agreement target of limiting global warming to well below 2 °C, ideally 1.5 °C, requires rapid and substantial global emission reductions. While recent decades have seen advances in clean energy technologies, carbon capture, utilization, and storage (CCUS) remain essential for deep decarbonization. Despite proven technical readiness, large-scale carbon capture and storage (CCS) deployment has lagged initial targets. This review evaluates CCS technologies and their contributions to net-zero objectives, with emphasis on sector-specific applications. We found that, in the iron and steel industry, post-combustion CCS and oxy-combustion demonstrate potential to achieve the highest CO2 capture efficiencies, whereas cement decarbonization is best supported by oxy-fuel combustion, calcium looping, and emerging direct capture methods. For petrochemical and refining operations, oxy-combustion, post-combustion, and chemical looping offer effective process integration and energy efficiency gains. Direct air capture (DAC) stands out for its siting flexibility, low land-use conflict, and ability to remove atmospheric CO2, but it’s hindered by high costs (~$100–1000/t CO2). Conversely, post-combustion capture is more cost-effective (~$47–76/t CO2) and compatible with existing infrastructure. CCUS could deliver ~8% of required emission reductions for net-zero by 2050, equivalent to ~6 Gt CO2 annually. Scaling deployment will require overcoming challenges through material innovations aided by artificial intelligence (AI) and machine learning, improving capture efficiency, integrating CCS with renewable hybrid systems, and establishing strong, coordinated policy frameworks. Full article
(This article belongs to the Section Environmental Technology)
Show Figures

Figure 1

12 pages, 763 KB  
Article
Clinical Outcomes of COPD Patients Hospitalized for SARS-Cov-2 Infection During the Omicron Era: Comparative Effectiveness of Initiating Remdesivir in Addition to Corticosteroids Versus Corticosteroids Alone
by Neera Ahuja, Heng Jiang, Marc Milano, Roman Casciano, Ananth Kadambi, Thomas Oppelt, Fariborz Rezai, Martin Kolditz, Veronika Müller and Essy Mozaffari
Viruses 2025, 17(11), 1438; https://doi.org/10.3390/v17111438 - 29 Oct 2025
Viewed by 670
Abstract
Patients with chronic obstructive pulmonary disease (COPD) are vulnerable to developing severe SARS-CoV-2 infection. This retrospective study evaluated the effectiveness of remdesivir (RDV) initiated with corticosteroids (CCS) versus CCS only in patients with COPD hospitalized for SARS-CoV-2 infection during the Omicron period from [...] Read more.
Patients with chronic obstructive pulmonary disease (COPD) are vulnerable to developing severe SARS-CoV-2 infection. This retrospective study evaluated the effectiveness of remdesivir (RDV) initiated with corticosteroids (CCS) versus CCS only in patients with COPD hospitalized for SARS-CoV-2 infection during the Omicron period from December 2021 to February 2024. The analysis used patient-level data from the large, geographically diverse, US hospital administrative billing PINC AI healthcare database. Inverse probability of treatment weighting was used to adjust for potential confounding and enable a scientifically robust comparative assessment of differences in outcomes between treatment groups. Initiation of RDV with CCS upon admission for SARS-CoV-2 infection was associated with a lower mortality risk at 14 and 28 days with an overall adjusted hazard ratio [95% CI] of 0.74 [0.68–0.80] and 0.76 [0.71–0.82], respectively, compared to initiation of CCS only. The combination of RDV and CCS was also associated with a lower mortality risk at 14 and 28 days for patients across baseline oxygen requirements compared to CCS only. These results highlight the benefit of timely RDV treatment in COPD patients hospitalized with SARS-CoV-2 infection and underscore the value of considering established treatment paradigms in the context of the most recent collective evidence. Full article
(This article belongs to the Special Issue COVID-19 and Pneumonia, 3rd Edition)
Show Figures

Figure 1

12 pages, 635 KB  
Proceeding Paper
Trustworthy Multimodal AI Agents for Early Breast Cancer Detection and Clinical Decision Support
by Ilyass Emssaad, Fatima-Ezzahraa Ben-Bouazza, Idriss Tafala, Manal Chakour El Mezali and Bassma Jioudi
Eng. Proc. 2025, 112(1), 52; https://doi.org/10.3390/engproc2025112052 - 27 Oct 2025
Cited by 1 | Viewed by 1127
Abstract
Timely and precise identification of breast cancer is crucial for enhancing clinical outcomes; however, current AI systems frequently exhibit deficiencies in transparency, trustworthiness, and the capacity to assimilate varied data modalities. We introduce a reliable, multi-agent, multimodal AI system for individualised early breast [...] Read more.
Timely and precise identification of breast cancer is crucial for enhancing clinical outcomes; however, current AI systems frequently exhibit deficiencies in transparency, trustworthiness, and the capacity to assimilate varied data modalities. We introduce a reliable, multi-agent, multimodal AI system for individualised early breast cancer diagnosis, created on the CBIS-DDSM dataset. The system consists of four specialised agents that cooperatively analyse diverse data. An Imaging Agent employs convolutional and transformer-based models to analyse mammograms for lesion classification and localisation; a Clinical Agent extracts structured features including breast density (ACR), view type (CC/MLO), laterality, mass shape, margin, calcification type and distribution, BI-RADS score, pathology status, and subtlety rating utilising optimised tabular learning models; a Risk Assessment Agent integrates outputs from the imaging and clinical agents to produce personalised malignancy predictions; and an Explainability Agent provides role-specific interpretations through Grad-CAM for imaging, SHAP for clinical features, and natural language explanations customised for radiologists, general practitioners, and patients. Predictive dependability is assessed by Expected Calibration Error (ECE) and Brier Score. The framework employs a modular design with a Streamlit interface, facilitating both comprehensive deployment and interactive demonstration. This paradigm enhances the creation of reliable AI systems for clinical decision assistance in oncology by the integration of strong interpretability, personalised risk assessment, and smooth multimodal integration. Full article
Show Figures

Figure 1

32 pages, 5368 KB  
Article
Next-Generation Drought Forecasting: Hybrid AI Models for Climate Resilience
by Jinping Liu, Tie Liu, Lei Huang, Yanqun Ren and Panxing He
Remote Sens. 2025, 17(20), 3402; https://doi.org/10.3390/rs17203402 - 10 Oct 2025
Viewed by 1794
Abstract
Droughts are increasingly threatening ecological balance, agricultural productivity, and socio-economic resilience—especially in semi-arid regions like the Inner Mongolia segment of China’s Yellow River Basin. This study presents a hybrid drought forecasting framework integrating machine learning (ML) and deep learning (DL) models with high-resolution [...] Read more.
Droughts are increasingly threatening ecological balance, agricultural productivity, and socio-economic resilience—especially in semi-arid regions like the Inner Mongolia segment of China’s Yellow River Basin. This study presents a hybrid drought forecasting framework integrating machine learning (ML) and deep learning (DL) models with high-resolution historical and downscaled future climate data. TerraClimate observations (1985–2014) and bias-corrected CMIP6 projections (2030–2050) under SSP2-4.5 and SSP5-8.5 scenarios were utilized to develop and evaluate the models. Among the tested ML algorithms, Random Forest (RF) demonstrated the best trade-off between accuracy and interpretability and was selected for feature importance analysis. The top-ranked predictors—precipitation, solar radiation, and maximum temperature—were used to train a Long Short-Term Memory (LSTM) network. The LSTM outperformed all ML models, achieving high predictive skill (R2 = 0.766, CC = 0.880, RMSE = 0.885). Scenario-based projections revealed increasing drought severity and variability under SSP5-8.5, with mean PDSI values dropping below −3 after 2040 and deepening toward −4 by 2049. The high-emission scenario also exhibited broader uncertainty bands and amplified interannual anomalies. These findings highlight the value of hybrid AI–climate modeling approaches in capturing complex drought dynamics and supporting anticipatory water resource planning in vulnerable dryland environments. Full article
(This article belongs to the Section Environmental Remote Sensing)
Show Figures

Graphical abstract

77 pages, 8596 KB  
Review
Smart Grid Systems: Addressing Privacy Threats, Security Vulnerabilities, and Demand–Supply Balance (A Review)
by Iqra Nazir, Nermish Mushtaq and Waqas Amin
Energies 2025, 18(19), 5076; https://doi.org/10.3390/en18195076 - 24 Sep 2025
Cited by 1 | Viewed by 2408
Abstract
The smart grid (SG) plays a seminal role in the modern energy landscape by integrating digital technologies, the Internet of Things (IoT), and Advanced Metering Infrastructure (AMI) to enable bidirectional energy flow, real-time monitoring, and enhanced operational efficiency. However, these advancements also introduce [...] Read more.
The smart grid (SG) plays a seminal role in the modern energy landscape by integrating digital technologies, the Internet of Things (IoT), and Advanced Metering Infrastructure (AMI) to enable bidirectional energy flow, real-time monitoring, and enhanced operational efficiency. However, these advancements also introduce critical challenges related to data privacy, cybersecurity, and operational balance. This review critically evaluates SG systems, beginning with an analysis of data privacy vulnerabilities, including Man-in-the-Middle (MITM), Denial-of-Service (DoS), and replay attacks, as well as insider threats, exemplified by incidents such as the 2023 Hydro-Québec cyberattack and the 2024 blackout in Spain. The review further details the SG architecture and its key components, including smart meters (SMs), control centers (CCs), aggregators, smart appliances, and renewable energy sources (RESs), while emphasizing essential security requirements such as confidentiality, integrity, availability, secure storage, and scalability. Various privacy preservation techniques are discussed, including cryptographic tools like Homomorphic Encryption, Zero-Knowledge Proofs, and Secure Multiparty Computation, anonymization and aggregation methods such as differential privacy and k-Anonymity, as well as blockchain-based approaches and machine learning solutions. Additionally, the review examines pricing models and their resolution strategies, Demand–Supply Balance Programs (DSBPs) utilizing optimization, game-theoretic, and AI-based approaches, and energy storage systems (ESSs) encompassing lead–acid, lithium-ion, sodium-sulfur, and sodium-ion batteries, highlighting their respective advantages and limitations. By synthesizing these findings, the review identifies existing research gaps and provides guidance for future studies aimed at advancing secure, efficient, and sustainable smart grid implementations. Full article
(This article belongs to the Special Issue Smart Grid and Energy Storage)
Show Figures

Figure 1

13 pages, 874 KB  
Data Descriptor
The Tabular Accessibility Dataset: A Benchmark for LLM-Based Web Accessibility Auditing
by Manuel Andruccioli, Barry Bassi, Giovanni Delnevo and Paola Salomoni
Data 2025, 10(9), 149; https://doi.org/10.3390/data10090149 - 19 Sep 2025
Cited by 1 | Viewed by 2391
Abstract
This dataset was developed to support research at the intersection of web accessibility and Artificial Intelligence, with a focus on evaluating how Large Language Models (LLMs) can detect and remediate accessibility issues in source code. It consists of code examples written in PHP, [...] Read more.
This dataset was developed to support research at the intersection of web accessibility and Artificial Intelligence, with a focus on evaluating how Large Language Models (LLMs) can detect and remediate accessibility issues in source code. It consists of code examples written in PHP, Angular, React, and Vue.js, organized into accessible and non-accessible versions of tabular components. A substantial portion of the dataset was collected from student-developed Vue components, implemented using both the Options and Composition APIs. The dataset is structured to enable both a static analysis of source code and a dynamic analysis of rendered outputs, supporting a range of accessibility research tasks. All files are in plain text and adhere to the FAIR principles, with open licensing (CC BY 4.0) and long-term hosting via Zenodo. This resource is intended for researchers and practitioners working on LLM-based accessibility validation, inclusive software engineering, and AI-assisted frontend development. Full article
(This article belongs to the Section Information Systems and Data Management)
Show Figures

Figure 1

7 pages, 574 KB  
Proceeding Paper
Effects on Integrating Generative Artificial Intelligence Tools into an Expressive Arts Counseling Course: A Preliminary Study
by Hsin-Yi Li and Su-Fen Tu
Eng. Proc. 2025, 103(1), 23; https://doi.org/10.3390/engproc2025103023 - 3 Sep 2025
Viewed by 1114
Abstract
With the rapid advancement of generative artificial intelligence (GenAI), its integration into education has gained significant attention. However, the impact of GenAI tools in expressive arts counseling courses (EAsCCs) remains underexplored. Therefore, we examined the effects of integrating GenAI tools, such as text-to-image, [...] Read more.
With the rapid advancement of generative artificial intelligence (GenAI), its integration into education has gained significant attention. However, the impact of GenAI tools in expressive arts counseling courses (EAsCCs) remains underexplored. Therefore, we examined the effects of integrating GenAI tools, such as text-to-image, into a four-week EAsCC involving 10 college students (2 males and 8 females). Using a mixed-methods approach, the participants in this study engaged in art-based practices to enhance self-awareness, explore life milestones, envision future goals, and develop their action plan. GenAI tools were used to create art-based photos in this study. Qualitative data from reflection journals and quantitative data from a designed questionnaire were analyzed. The results indicated that the course enhanced participants’ self-awareness, confidence, and understanding of expressive arts practice (EAsP). However, the participants encountered challenges with the precision of GenAI tools in generating intended images, highlighting their current limitations. These results underscore the need for the refinement of GenAI technologies to better support creative expression and therapeutic exploration. The results also provide information on the potential and challenges of GenAI in expressive arts education, emphasizing the importance of interdisciplinary collaboration to develop effective and meaningful learning and teaching experiences. Full article
(This article belongs to the Proceedings of The 8th Eurasian Conference on Educational Innovation 2025)
Show Figures

Figure 1

Back to TopTop