Sign in to use this feature.

Years

Between: -

Subjects

remove_circle_outline
remove_circle_outline
remove_circle_outline
remove_circle_outline
remove_circle_outline
remove_circle_outline
remove_circle_outline
remove_circle_outline
remove_circle_outline

Journals

remove_circle_outline
remove_circle_outline
remove_circle_outline
remove_circle_outline
remove_circle_outline

Article Types

Countries / Regions

remove_circle_outline
remove_circle_outline
remove_circle_outline
remove_circle_outline

Search Results (160)

Search Parameters:
Keywords = AET

Order results
Result details
Results per page
Select all
Export citation of selected articles as:
17 pages, 1655 KB  
Article
Preclinical Evaluation of Tradescantia spathacea Phenolic Extract-Loaded Silica in a Parkinson’s Disease Model
by Lorenna E. S. Lopes, Marília R. Oliveira, Reinaldo V. B. Neto, Tatiane B. Santos, Juliana F. De Conto, M. Beatriz P. P. Oliveira, Margarete Z. Gomes and Klebson S. Santos
Molecules 2026, 31(6), 950; https://doi.org/10.3390/molecules31060950 - 12 Mar 2026
Viewed by 235
Abstract
The current limitations in Parkinson’s Disease (PD) treatments necessitate innovative approaches. To this end, phenolic compounds from Tradescantia spathacea (T. spathacea) and bioactive silica demonstrate potential therapeutic efficacy in the prevention or treatment of neurodegenerative disorders, including Alzheimer’s disease and Parkinson’s [...] Read more.
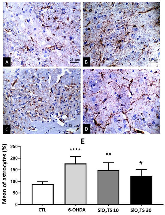
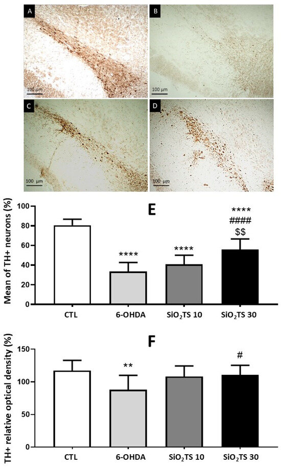
The current limitations in Parkinson’s Disease (PD) treatments necessitate innovative approaches. To this end, phenolic compounds from Tradescantia spathacea (T. spathacea) and bioactive silica demonstrate potential therapeutic efficacy in the prevention or treatment of neurodegenerative disorders, including Alzheimer’s disease and Parkinson’s disease. Hence, this study explores the neuroprotective potential of silica loaded with T. spathacea extract (SiO2-TS) in a preclinical model of PD. The aqueous extract of T. spathacea (AETS) was prepared via infusion and characterized in terms of overall yield (21.9 ± 0.4%), total phenolic compounds (25.51 ± 2.39 mg GAE/g), and total flavonoid content (6.10 ± 0.16 mg RE/g). Silica loaded with AETS was synthesized and tested in adult Wistar rats (PD-like symptoms). The rats were treated with daily intranasal administration of SiO2-TS (10 or 30 mg/kg) for 15 days. Quantitative behavioral analysis showed significant motor improvement and reduced anxiety-like behavior in the 30 mg/kg SiO2-TS group compared to the 6-OHDA (6-hydroxydopamine) control. Immunohistochemistry revealed preserved dopaminergic neurons and reduced astrogliosis (GFAP expression) in the same SiO2-TS group. These results suggest SiO2-TS has significant neuroprotective effects and warrants further study for Parkinson’s disease treatment. Full article
(This article belongs to the Special Issue Bioactive Compounds in Plants: Extraction and Application)
Show Figures

Figure 1

38 pages, 6270 KB  
Article
Cooperative Rapid Search for Evasive Targets Using Multiple UAVs Based on Graph Theory
by Wenying Dou, Peng Yang, Zhiwei Zhang, Guangpeng Hu and Sirun Xu
Drones 2026, 10(3), 196; https://doi.org/10.3390/drones10030196 - 11 Mar 2026
Viewed by 381
Abstract
Rapid search for evasive targets using multiple Unmanned Aerial Vehicles (UAVs) presents significant challenges, as it requires real-time target-motion prediction, multi-agent coordination, and adherence to kinematic constraints. Existing cooperative search methods often assume non-adversarial target behavior or model target motion independently of UAV [...] Read more.
Rapid search for evasive targets using multiple Unmanned Aerial Vehicles (UAVs) presents significant challenges, as it requires real-time target-motion prediction, multi-agent coordination, and adherence to kinematic constraints. Existing cooperative search methods often assume non-adversarial target behavior or model target motion independently of UAV actions, which reduces their effectiveness against targets that actively evade based on UAV positions. To address these limitations, this study introduces the Cooperative Rapid Search Algorithm for Evasive Targets (CRS-AET). The proposed framework utilizes graph-theoretic modeling to represent spatial-temporal relationships among UAVs, targets, and environmental grids. A directional gradient-based motion prediction (DG-Prediction) method first estimates probable movement areas of dynamic targets within the graph-structured environment. An improved multi-round auction algorithm with graph-based utility propagation (IMRAA) then optimizes UAV resource allocation. Finally, Dubins-Constrained Trajectory Optimization (DC-RTO) is integrated within a distributed model predictive control (DMPC) scheme to ensure kinematic feasibility. Simulation results across three representative scenarios indicate that CRS-AET enables faster target detection, enhanced area coverage, and more efficient coordination than baseline methods. Hardware-in-the-loop (HIL) experiments further confirm the robustness and practical applicability of the framework in realistic operational environments. Full article
(This article belongs to the Section Artificial Intelligence in Drones (AID))
Show Figures

Figure 1

18 pages, 8777 KB  
Article
Designing Stable Mayonnaise: Rheological and Structural Performance Fortified with Antioxidant Star Fruit (Averrhoa carambola) Extract from Ultrasound-Assisted Extraction
by María Zúñiga-Navarro, Somaris E. Quintana and Luis A. García-Zapateiro
Gels 2026, 12(3), 196; https://doi.org/10.3390/gels12030196 - 26 Feb 2026
Viewed by 308
Abstract
The preparation and characterization of phenolic extracts from Averrhoa carambola were performed to develop enriched mayonnaise-type emulsions, evaluating the effect on their physicochemical, rheological, and microstructural properties. Extracts were obtained by Ultrasound-Assisted Extraction (UAE) employing different ethanol:water ratios, followed by the analysis of [...] Read more.
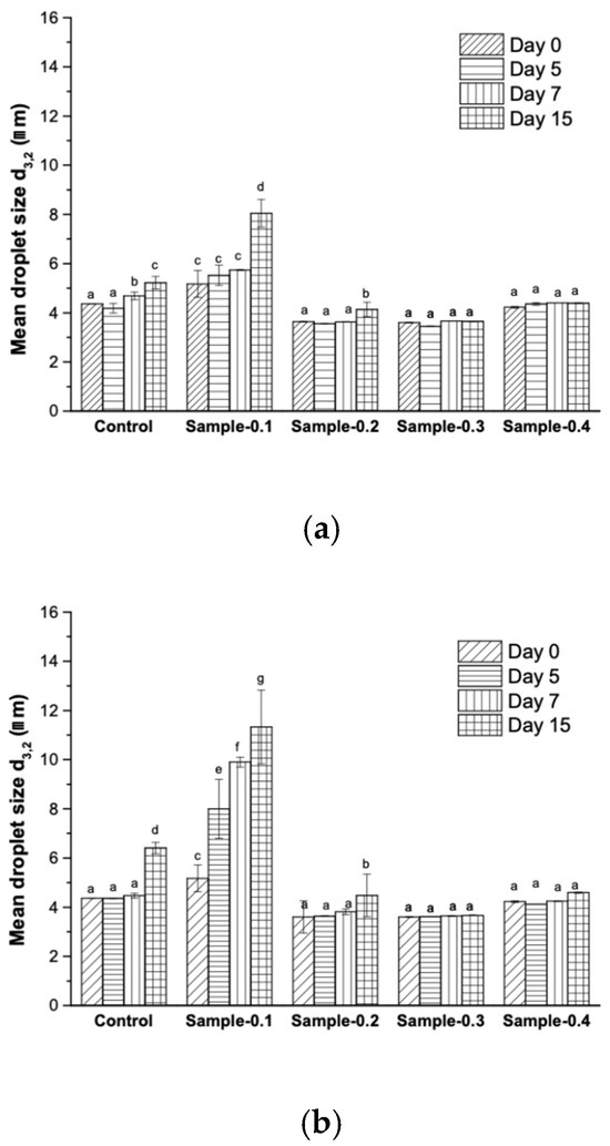
The preparation and characterization of phenolic extracts from Averrhoa carambola were performed to develop enriched mayonnaise-type emulsions, evaluating the effect on their physicochemical, rheological, and microstructural properties. Extracts were obtained by Ultrasound-Assisted Extraction (UAE) employing different ethanol:water ratios, followed by the analysis of their Total Phenolic Content (TPC) and Antioxidant Activity (AA). The 50:50 extract (AEt50) exhibiting the highest bioactivity was selected for the development of enriched mayonnaise, which was then subjected to stability, physicochemical, rheological, and microstructural analyses. Extraction yields ranged from 13% to 28%, with TPC values spanning 3251 to 4661 mg GAE/g of extract, and AA values between 49.25 and 81.67 µMol Trolox/g of extract. Subsequently, the strategic incorporation of the extract, coupled with pH adjustment, successfully maintained the pH of the final products at approximately 4.63 and preserved emulsion stability. This process resulted in a significant, dose-dependent increase in TPC and AA in the mayonnaise, with the highest concentration achieving nearly 9.0 mg GAE/g and the antioxidant activity de 60.0 μMol Trolox/g. The microstructural integrity was maintained, with all droplet sizes remaining under 4 µm, though a visible change in color (ΔE) was observed. All samples exhibited shear-thinning, non-Newtonian behavior, accurately fitted to the Ostwald–de Waele model (R2 > 0.982), and demonstrated a dominant elastic structure (G′ > G″) characteristic of high-quality solid-like gels. Thus, the incorporation of Averrhoa carambola extracts is a technically viable and effective alternative to develop stable food products enriched with functional bioactive compounds. Full article
(This article belongs to the Special Issue Advanced Gels in the Food System)
Show Figures

Figure 1

20 pages, 3963 KB  
Article
3D Localization of Hydrating Sources in Concrete Based on AE and Tomography
by Eleni Korda, Fuzhen Chen, Hwa Kian Chai, Geert De Schutter and Dimitrios G. Aggelis
Sensors 2026, 26(4), 1345; https://doi.org/10.3390/s26041345 - 20 Feb 2026
Viewed by 298
Abstract
Plastic shrinkage and self-desiccation, along with the associated early-age cracking, are still among the most important factors that influence long-term performance of concrete structures, including durability. Superabsorbent polymers (SAPs) have been widely researched for application in concrete to mitigate shrinkage through facilitating effective [...] Read more.
Plastic shrinkage and self-desiccation, along with the associated early-age cracking, are still among the most important factors that influence long-term performance of concrete structures, including durability. Superabsorbent polymers (SAPs) have been widely researched for application in concrete to mitigate shrinkage through facilitating effective internal curing by releasing water into the mixture to promote continuous hydration of cement. The acoustic emission (AE) monitoring technique, due to its high sensitivity, has proven very effective in tracking the process of water release by SAPs in concrete during early-stage curing. Typically, AE parameters such as cumulative activity, amplitude and energy are utilized to characterize the kinetics of curing processes. While these parameters indicate well the internal activity of SAPs in time, they do not offer information on the precise location of the active sources within the material’s volume, leaving a crucial gap in the understanding of the ongoing microstructural changes caused by internal water distribution and cement hydration. In this sense, AE event source localization can offer information about the active zones of water hydration activity in the material 3D domain, allowing detection of their evolution during concrete curing. Meanwhile, Acoustic Emission Tomography (AET) computes ultrasonic velocity distributions in different periods of monitoring, which are governed by acoustic characteristics of the concrete mixtures, to visualize material stiffness development spatially and temporally. This level of insight is particularly important for SAP concrete, where uniformity of internal water curing is essential for ensuring long-term durability and material soundness. By visualizing how the hydration sources evolve in real time, these methods offer an effective, non-destructive, and cost-effective solution for early-age concrete quality control, which would be challenging to achieve through other techniques. Full article
(This article belongs to the Section Physical Sensors)
Show Figures

Figure 1

48 pages, 8070 KB  
Article
ResQConnect: An AI-Powered Multi-Agentic Platform for Human-Centered and Resilient Disaster Response
by Savinu Aththanayake, Chemini Mallikarachchi, Janeesha Wickramasinghe, Sajeev Kugarajah, Dulani Meedeniya and Biswajeet Pradhan
Sustainability 2026, 18(2), 1014; https://doi.org/10.3390/su18021014 - 19 Jan 2026
Cited by 2 | Viewed by 1235
Abstract
Effective disaster management is critical for safeguarding lives, infrastructure and economies in an era of escalating natural hazards like floods and landslides. Despite advanced early-warning systems and coordination frameworks, a persistent “last-mile” challenge undermines response effectiveness: transforming fragmented and unstructured multimodal data into [...] Read more.
Effective disaster management is critical for safeguarding lives, infrastructure and economies in an era of escalating natural hazards like floods and landslides. Despite advanced early-warning systems and coordination frameworks, a persistent “last-mile” challenge undermines response effectiveness: transforming fragmented and unstructured multimodal data into timely and accountable field actions. This paper introduces ResQConnect, a human-centered, AI-powered multimodal multi-agent platform that bridges this gap by directly linking incident intake to coordinated disaster response operations in hazard-prone regions. ResQConnect integrates three key components. It uses an agentic Retrieval-Augmented Generation (RAG) workflow in which specialized language-model agents extract metadata, refine queries, check contextual adequacy and generate actionable task plans using a curated, hazard-specific knowledge base. The contribution lies in structuring the RAG for correctness, safety and procedural grounding in high-risk settings. The platform introduces an Adaptive Event-Triggered (AET) multi-commodity routing algorithm that decides when to re-optimize routes, balancing responsiveness, computational cost and route stability under dynamic disaster conditions. Finally, ResQConnect deploys a compressed, domain-specific language model on mobile devices to provide policy-aligned guidance when cloud connectivity is limited or unavailable. Across realistic flood and landslide scenarios, ResQConnect improved overall task-quality scores from 61.4 to 82.9 (+21.5 points) over a standard RAG baseline, reduced solver calls by up to 85% compared to continuous re-optimization while remaining within 7–12% of optimal response time, and delivered fully offline mobile guidance with sub-500 ms response latency and 54 tokens/s throughput on commodity smartphones. Overall, ResQConnect demonstrates a practical and resilient approach to AI-augmented disaster response. From a sustainability perspective, the proposed system contributes to Sustainable Development Goal (SDG) 11 by improving the speed and coordination of disaster response. It also supports SDG 13 by strengthening adaptation and readiness for climate-driven hazards. ResQConnect is validated using real-world flood and landslide disaster datasets, ensuring realistic incidents, constraints and operational conditions. Full article
(This article belongs to the Section Environmental Sustainability and Applications)
Show Figures

Figure 1

21 pages, 1664 KB  
Article
Aerobic Training Modulates the Expression of Components of the mPTP Through the Reduction of Oxidative Stress in the Soleus Muscle of Streptozotocin-Induced Diabetic Rats
by Luis Alberto Sánchez-Briones, Sarai Sánchez-Duarte, Sergio Márquez-Gamiño, Karla Susana Vera-Delgado, Montserrat Guadalupe Vera-Delgado, Rocío Montoya-Pérez, Cipriana Caudillo-Cisneros and Elizabeth Sánchez-Duarte
Diabetology 2026, 7(1), 18; https://doi.org/10.3390/diabetology7010018 - 9 Jan 2026
Viewed by 621
Abstract
Background/Objectives: In all types of diabetes, elevated blood glucose levels cause pathological changes in skeletal muscle, primarily due to oxidative stress, mitochondrial dysfunction, and excessive production of reactive oxygen species (ROS). Regular exercise can help mitigate these effects; however, the underlying mechanisms, particularly [...] Read more.
Background/Objectives: In all types of diabetes, elevated blood glucose levels cause pathological changes in skeletal muscle, primarily due to oxidative stress, mitochondrial dysfunction, and excessive production of reactive oxygen species (ROS). Regular exercise can help mitigate these effects; however, the underlying mechanisms, particularly those involving the mitochondrial permeability transition pore (mPTP), remain incompletely understood. This study aimed to explore the effects of aerobic exercise training (AET) on oxidative stress and the expression of mPTP components in the skeletal muscle of streptozotocin-induced diabetic rats. Methods: Male Wistar rats were randomly divided into three groups: Healthy Sedentary (H-SED), Diabetic Sedentary (D-SED), and Diabetic Exercise-trained (D-EXER); n = 6 per group. The D-EXER group performed AET (0° slope) 5 days/week for 8 weeks. After the intervention period, body weight and fasting blood glucose (FBG) levels were measured, and soleus muscles were collected and analyzed for oxidative stress biomarkers, Western blotting, and gene expression using qRT-PCR. Results: Following an 8-week intervention, AET reduced FBG concentrations. Accordingly, in the soleus muscles of the D-EXER group, ROS levels decreased, and redox balance was improved compared to the D-SED group. Exercise training reduced CypD and Casp9 mRNA expression and increased Bcl-2 mRNA expression, whereas Ant1 mRNA expression was only slightly altered. CypD protein expression was decreased in exercised diabetic rats, while VDAC1 protein and mRNA levels remained unchanged. In the D-EXER group, there were significant inverse correlations between CypD and Casp9 mRNA expression levels and glutathione redox state. Conclusions: The current study suggests that 8 weeks of AET, in addition to reducing hyperglycemia, may favorably influence oxidative balance and the expression of mPTP-related molecular components in diabetic skeletal muscle. Full article
Show Figures

Graphical abstract

44 pages, 17655 KB  
Article
Adaptive Traversability Policy Optimization for an Unmanned Articulated Road Roller on Slippery, Geometrically Irregular Terrains
by Wei Qiang, Quanzhi Xu and Hui Xie
Machines 2026, 14(1), 79; https://doi.org/10.3390/machines14010079 - 8 Jan 2026
Viewed by 449
Abstract
To address the autonomous traversability challenge of an Unmanned Articulated Road Roller (UARR) operating on harsh terrains where low-adhesion slipperiness and geometric irregularities are coupled, and traction capacity is severely limited, this paper proposes a Terrain-Adaptive Maximum-Entropy Policy Optimization (TAMPO). A unified multi-physics [...] Read more.
To address the autonomous traversability challenge of an Unmanned Articulated Road Roller (UARR) operating on harsh terrains where low-adhesion slipperiness and geometric irregularities are coupled, and traction capacity is severely limited, this paper proposes a Terrain-Adaptive Maximum-Entropy Policy Optimization (TAMPO). A unified multi-physics simulation platform is constructed, integrating a high-fidelity vehicle dynamics model with a parameterized terrain environment. Considering the prevalence of geometric irregularities in construction sites, a parameterized mud-pit model is established—generalized from a representative case—as a canonical physical model and simulation carrier for this class of traversability problems. Based on this model, a family of training and test scenarios is generated to span a broad range of terrain shapes and adhesion conditions. On this foundation, the TAMPO algorithm is introduced to enhance vehicle traversability on complex terrains. The method comprises the following: (i) a Terrain Interaction-Critical Reward (TICR), which combines dense rewards representing task progress with sparse rewards that encourage terrain exploration, guiding the agent to both climb efficiently and actively seek high-adhesion favorable terrain; and (ii) a context-aware adaptive entropy-regularization mechanism that fuses, in real time, three feedback signals—terrain physical difficulty, task-execution efficacy, and model epistemic uncertainty—to dynamically regulate policy entropy and realize an intelligent, state-dependent exploration–exploitation trade-off in unstructured environments. The performance and generalization ability of TAMPO are evaluated on training, interpolation, and extrapolation sets, using PPO, SAC, and DDPG as baselines. On 90 highly challenging extrapolation scenarios, TAMPO achieves an average success rate (S.R.) of 60.00% and an Average Escape Time (A.E.T.) of 17.56 s, corresponding to improvements of up to 22.22% in S.R. and reductions of up to 5.73 s in A.E.T. over the baseline algorithms, demonstrating superior decision-making performance and robust generalization on coupled slippery and irregular terrains. Full article
(This article belongs to the Special Issue Modeling, Estimation, Control, and Decision for Intelligent Vehicles)
Show Figures

Figure 1

20 pages, 1851 KB  
Article
Respiratory Muscle Training Combinations in Amateur Runners: A Randomized Trial of Pulmonary Function, Respiratory Muscle Strength, and Exercise Capacity
by Eunho Lee and Jinseop Kim
Bioengineering 2026, 13(1), 11; https://doi.org/10.3390/bioengineering13010011 - 23 Dec 2025
Viewed by 738
Abstract
Background: Amateur runners may benefit from combining respiratory muscle training (RMT) with resistance or aerobic modalities, but direct comparisons are scarce. This study compared different RMT-based combinations on pulmonary function, respiratory muscle strength, and whole-body exercise capacity. Methods: In this randomized four-arm trial, [...] Read more.
Background: Amateur runners may benefit from combining respiratory muscle training (RMT) with resistance or aerobic modalities, but direct comparisons are scarce. This study compared different RMT-based combinations on pulmonary function, respiratory muscle strength, and whole-body exercise capacity. Methods: In this randomized four-arm trial, 48 amateur runners were allocated equally to stand-alone RMT, RMT plus upper-limb resistance (RMT + ULRT), RMT plus lower-limb resistance (RMT + LLRT), or RMT plus aerobic exercise (RMT + AET). All groups completed supervised sessions three times per week for six weeks. Pulmonary function (forced vital capacity [FVC], forced expiratory volume in one second [FEV1], FEV1/FVC), respiratory muscle strength (maximal inspiratory and expiratory pressures, MIP and MEP), and cardiopulmonary exercise test indices (peak oxygen uptake [VO2peak], VE/VCO2 slope) were assessed before and after training using standardized spirometry, mouth-pressure measurements, and treadmill cardiopulmonary exercise testing (CPET). Pre–post changes within groups and the overall between-group differences were evaluated using standard parametric methods. Results: All four interventions were associated with improvements in at least one respiratory or cardiopulmonary domain. FVC and FEV1 tended to improve more in the resistance-combination groups, whereas the FEV1/FVC ratio increased with RMT alone and when combined with resistance. MIP increased in the RMT, RMT + ULRT, and RMT + LLRT groups, and MEP increased across all groups. VO2peak rose in every group, while the VE/VCO2 slope improved only when RMT was combined with upper- or lower-limb resistance or aerobic exercise. Between-group differences in change scores were not statistically significant and did not clearly favor any single regimen. Conclusions: In amateur runners, six weeks of RMT-based programs are feasible and associated with domain-specific improvements in lung function, respiratory muscle strength, and exercise capacity. Because between-group differences in change scores were not statistically significant and the sample size was modest, these findings should be considered exploratory and may inform hypothesis generation regarding the use of different RMT combinations in future, larger trials. Full article
(This article belongs to the Special Issue Physical Therapy and Rehabilitation)
Show Figures

Graphical abstract

31 pages, 25297 KB  
Article
AET-FRAP—A Periodic Reshape Transformer Framework for Rock Fracture Early Warning Using Acoustic Emission Multi-Parameter Time Series
by Donghui Yang, Zechao Zhang, Zichu Yang, Yongqi Li and Linhuan Jin
Sensors 2025, 25(24), 7580; https://doi.org/10.3390/s25247580 - 13 Dec 2025
Viewed by 493
Abstract
The timely identification of rock fractures is crucial in deep subterranean engineering. However, it remains necessary to identify reliable warning indicators and establish effective warning levels. This study introduces the Acoustic Emission Transformer for FRActure Prediction (AET-FRAP) multi-input time series forecasting framework, which [...] Read more.
The timely identification of rock fractures is crucial in deep subterranean engineering. However, it remains necessary to identify reliable warning indicators and establish effective warning levels. This study introduces the Acoustic Emission Transformer for FRActure Prediction (AET-FRAP) multi-input time series forecasting framework, which employs acoustic emission feature parameters. First, Empirical Mode Decomposition (EMD) combined with Fast Fourier Transform (FFT) is employed to identify and filter periodicities among diverse indicators and select input channels with enhanced informative value, with the aim of predicting cumulative energy. Thereafter, the one-dimensional sequence is transformed into a two-dimensional tensor based on its predominant period via spectral analysis. This is coupled with InceptionNeXt—an efficient multiscale convolution and amplitude spectrum-weighted aggregate—to enhance pattern identification across various timeframes. A secondary criterion is created based on the prediction sequence, employing cosine similarity and kurtosis to collaboratively identify abrupt changes. This transforms single-point threshold detection into robust sequence behavior pattern identification, indicating clearly quantifiable trigger criteria. AET-FRAP exhibits improvements in accuracy relative to long short-term memory (LSTM) on uniaxial compression test data, with R2 approaching 1 and reductions in Mean Squared Error (MSE), Root Mean Squared Error (RMSE), and Mean Absolute Error (MAE). It accurately delineates energy accumulation spikes in the pre-fracture period and provides advanced warning. The collaborative thresholds effectively reduce noise-induced false alarms, demonstrating significant stability and engineering significance. Full article
(This article belongs to the Section Electronic Sensors)
Show Figures

Figure 1

18 pages, 635 KB  
Article
The Organizational Halo: How Perceived Philanthropy Awareness Curbs Abusive Supervision via Moral Pride
by Dong Ju, Yan Tang, Shu Geng, Ruobing Lu and Weifeng Wang
Behav. Sci. 2025, 15(12), 1706; https://doi.org/10.3390/bs15121706 - 9 Dec 2025
Viewed by 456
Abstract
Abusive supervision remains a pervasive and damaging phenomenon in organizations, prompting a critical need to understand preventive mechanisms. We adopt a leader-centric, actor-focused perspective to investigate how a positive organizational context can inhibit leaders’ destructive behaviors. Drawing on Affective Events Theory (AET), we [...] Read more.
Abusive supervision remains a pervasive and damaging phenomenon in organizations, prompting a critical need to understand preventive mechanisms. We adopt a leader-centric, actor-focused perspective to investigate how a positive organizational context can inhibit leaders’ destructive behaviors. Drawing on Affective Events Theory (AET), we propose that leaders’ awareness of their organization’s philanthropic activities serves as a positive, morally salient event that generates feelings of moral pride. This pride, in turn, is theorized to reduce the likelihood of abusive supervision. Furthermore, we posit that this process is contingent on leaders’ moral reputation maintenance concerns, such that the negative relationship between moral pride and abusive supervision is stronger for leaders who are highly concerned with being perceived as moral. We tested this model using a three-wave survey study involving 434 leaders. The results support our hypotheses, indicating that perceived philanthropy awareness is positively associated with moral pride, which, in turn, predicts lower abusive supervision. This indirect effect is significantly stronger for leaders with high moral reputation maintenance concerns. Our findings contribute to the literature by identifying a novel, positive, and self-regulatory pathway for preventing abusive supervision and showing that applying AET to understand how macro-level organizational good deeds can translate into improved micro-level leader conduct. Full article
(This article belongs to the Section Organizational Behaviors)
Show Figures

Figure 1

14 pages, 1850 KB  
Article
Global Distribution Patterns and Climatic Drivers of Plant Diversity in Rubiaceae
by Sihong Yang, Yangyang Liu, Yuvenalis Morara Mbuni, Weirong Huang, Yadong Zhou and Huan Zhang
Biology 2025, 14(12), 1719; https://doi.org/10.3390/biology14121719 - 1 Dec 2025
Cited by 1 | Viewed by 946
Abstract
The Rubiaceae family, the world’s fourth-largest angiosperm group, exhibits exceptional species and morphological diversity across its global distribution. Understanding its biogeographic patterns and their environmental drivers is critical for elucidating the evolution, ecological adaptation, and conservation priorities of this family. Here, we integrated [...] Read more.
The Rubiaceae family, the world’s fourth-largest angiosperm group, exhibits exceptional species and morphological diversity across its global distribution. Understanding its biogeographic patterns and their environmental drivers is critical for elucidating the evolution, ecological adaptation, and conservation priorities of this family. Here, we integrated global-scale distribution data with growth-form classifications (herbaceous vs. woody) to map the species richness patterns of Rubiaceae. We then related these patterns to four types of environmental variables (water and energy, climate seasonality, historical climate change, human influence) to identify key drivers of richness variations across growth forms. Our results indicated that the species richness pattern of Rubiaceae species exhibits significant spatial heterogeneity at the global scale. Total and woody species richness generally exhibit distinct latitudinal distribution patterns, peaking in tropical regions, whereas herbaceous plants predominate in mid-to-high latitudes. The drivers of these patterns also differ among growth forms. Actual evapotranspiration (AET) is the strongest predictor of species richness for the family as a whole and for different growth forms. Among the four types of environmental variables, water and energy are key factors driving the diversity pattern of total species of Rubiaceae. Environmental factors, especially water and energy, have a much stronger impact on the species richness patterns of woody plants than on those of herbaceous plants. These findings highlight the unique biogeographic patterns and potential environmental driving mechanisms of the diversity of Rubiaceae species, providing a theoretical basis for the diversity of global conservation in Rubiaceae. Full article
Show Figures

Figure 1

22 pages, 3368 KB  
Article
Adherence and Compliance with Endocrine Treatment After Primary Breast Cancer Treatment: A Cross-Sectional Qualitative Study
by Odhran Cosgrove, Sadaf Zehra and Dinesh Kumar Thekkinkattil
Medicina 2025, 61(11), 2055; https://doi.org/10.3390/medicina61112055 - 18 Nov 2025
Viewed by 1025
Abstract
Background and Objectives: Breast cancer is the most common cancer in women, with approximately 80% being oestrogen receptor positive, necessitating adjuvant endocrine therapy (AET) to reduce recurrence. Treatment adherence is crucial, yet 10–50% of patients take incorrect doses or discontinue therapy, which is [...] Read more.
Background and Objectives: Breast cancer is the most common cancer in women, with approximately 80% being oestrogen receptor positive, necessitating adjuvant endocrine therapy (AET) to reduce recurrence. Treatment adherence is crucial, yet 10–50% of patients take incorrect doses or discontinue therapy, which is associated with a 20% increase in mortality. AET may also impact bone health. This study aimed to explore patients’ beliefs about endocrine treatment, investigate how perceptions of medication risk and benefit affect adherence, and assess changes in bone mineral density (BMD) during therapy. Materials and Methods: A cross-sectional mixed-method study was conducted. One hundred patients diagnosed with oestrogen receptor-positive breast cancer in 2020 were sent the Beliefs about Medicines Questionnaire–Adjuvant Endocrine Therapy (BMQ-AET) and 101 semi-structured telephone interviews were completed. Initial and most recent Dual-Energy X-ray Absorptiometry (DEXA) scans were compared to assess changes in BMD. Results: The questionnaire response rate was 55% (n = 55). Forty-nine patients returned the postal paper survey and six patients responded via QR code. One hundred and one patients participated in semi-structured telephone interviews. Of the total cohort, 91.7% were adherent to AET, while 13 patients (8.3%) were non-adherent. Non-adherent patients had significantly lower BMQ-AET Necessity scores (mean 12.08 vs. 19.22; median 12 vs. 20; p < 0.001) and higher Concerns scores (mean 17 vs. 13.46; Median 17 vs. 13; p = 0.002). The most common reasons for non-adherence were joint pain and reduced quality of life (58%), highlighting a need for additional support in managing side effects. Among the participants with suitable DEXA data, the majority (54.2%) demonstrated an increase in BMD over time. Conclusions: This study demonstrates high adherence to AET, with non-adherent patients showing lower perceived necessity and greater concern about treatment. These findings emphasise the importance of addressing patient beliefs to enhance adherence. The observed improvements in BMD suggest that proactive bone health management, alongside AET, may mitigate expected declines, challenging conventional assumptions regarding therapy-related bone loss. Full article
(This article belongs to the Special Issue Future Trends in Breast Cancer Management)
Show Figures

Figure 1

15 pages, 609 KB  
Article
Symptom Reporting Behaviors, Symptom Burden, and Quality of Life in Patients with Hormone Receptor–Positive Breast Cancer Undergoing Adjuvant Endocrine Therapy
by Ece Ulukal Karanci, Halil Göksel Güzel and Banu Öztürk
Curr. Oncol. 2025, 32(11), 599; https://doi.org/10.3390/curroncol32110599 - 24 Oct 2025
Viewed by 782
Abstract
Background: Adjuvant endocrine therapy (AET) enhances survival outcomes in hormone receptor–positive (HR+) breast cancer. However, this treatment is associated with toxicities that may adversely affect the quality of life (QoL) and impact patient–physician communication. A thorough understanding of symptom-reporting behaviors is essential [...] Read more.
Background: Adjuvant endocrine therapy (AET) enhances survival outcomes in hormone receptor–positive (HR+) breast cancer. However, this treatment is associated with toxicities that may adversely affect the quality of life (QoL) and impact patient–physician communication. A thorough understanding of symptom-reporting behaviors is essential for optimizing survivorship care. Methods: This cross-sectional study surveyed 191 female patients with HR+ breast cancer undergoing adjuvant AET (tamoxifen or aromatase inhibitors ± ovarian function suppression [OFS]) at Antalya Training and Research Hospital between July and August 2025. QoL, symptom burden, and adverse event (AE) reporting behaviors were assessed using validated instruments (European Organization for Research and Treatment of Cancer Quality of Life Questionnaire C30 [EORTC QLQ-C30], adapted Patient-Reported Outcomes version of the Common Terminology Criteria for Adverse Events [PRO-CTCAE]). Categorical variables were compared using chi-square tests, and multivariate analyses were performed using logistic regression. Results: The median age was 54 years (interquartile range [IQR]: 46–61 years). The following independent variables were identified as predictors of a higher symptom burden: prior chemotherapy (odds ratio [OR]: 3.75; 95% confidence interval [CI]: 1.46–9.69; p = 0.006), OFS use (OR: 3.29; 95% CI: 1.51–7.15; p = 0.003), AE reporting to physicians (OR: 3.52; 95% CI: 1.80–6.88; p < 0.001), and complementary and alternative medicine (CAM) use (OR: 7.27; 95% CI: 1.57–33.63; p = 0.011). Independent predictors of poor QoL included receiving psychological support (OR: 0.36; 95% CI: 0.19–0.67; p = 0.002) and AE reporting (OR: 0.28; 95% CI: 0.13–0.64; p = 0.001). Conclusions: Symptom burden and QoL in patients with HR+ breast cancer receiving AET are influenced by clinical history, including chemotherapy and OFS; behavioral factors, such as reporting behaviors; and supportive care, including CAM and psychological support. The routine integration of patient-reported outcomes and proactive symptom monitoring is crucial for delivering personalized and effective survivorship care. Full article
(This article belongs to the Section Breast Cancer)
Show Figures

Figure 1

18 pages, 392 KB  
Article
Effects of Intragastric Helicobacter pylori Distribution on Clinical Presentation, Upper Gastrointestinal Endoscopy, Esophageal Manometry, and pH–Impedance Metrics
by Ayça Eroğlu Haktanır and Altay Çelebi
J. Clin. Med. 2025, 14(19), 6818; https://doi.org/10.3390/jcm14196818 - 26 Sep 2025
Viewed by 1061
Abstract
Background: The relationship between Helicobacter pylori (H. pylori) infection and gastroesophageal reflux disease (GERD) remains a topic of ongoing debate. In particular, the intragastric distribution of H. pylori—whether localized in the antrum or corpus—may influence gastric acid secretion and esophageal [...] Read more.
Background: The relationship between Helicobacter pylori (H. pylori) infection and gastroesophageal reflux disease (GERD) remains a topic of ongoing debate. In particular, the intragastric distribution of H. pylori—whether localized in the antrum or corpus—may influence gastric acid secretion and esophageal physiology in different ways. However, its potential effects on esophageal motility and reflux parameters have not been comprehensively evaluated using combined diagnostic tools. This study aimed to assess whether H. pylori positivity, based on its histologically confirmed intragastric localization, is associated with alterations in endoscopic, manometric, and reflux monitoring findings in patients with typical GERD symptoms. Methods: This retrospective study included 213 patients with typical reflux symptoms who underwent upper gastrointestinal endoscopy with gastric biopsies, high-resolution esophageal manometry (HREM), and 24 h multichannel intraluminal impedance–pH (MII-pH) monitoring. Based on histopathology, patients were classified into three groups: H. pylori-negative, antrum-predominant infection, and corpus-predominant infection. Clinical symptoms, endoscopic findings, reflux characteristics, and esophageal motility parameters were compared. Results: Of 213 patients, 90 were H. pylori-positive (60 antrum-predominant, 30 corpus-predominant). There were no significant differences between groups in terms of typical GERD symptoms, endoscopic esophagitis, DeMeester scores, acid exposure time, or mean nocturnal baseline impedance (MNBI). Nausea and chronic laryngitis were significantly more frequent in antral H. pylori-positive patients. Notably, contraction front velocity (CFV) was significantly lower in patients with antral H. pylori compared with H. pylori-negative individuals (p = 0.002), indicating subtle slowing of esophageal peristalsis. Although this reduction in CFV did not correlate with symptom severity or bolus clearance, it may represent early functional impairment of esophageal motility. Conclusions: Although H. pylori infection—particularly when antrum-predominant—is not associated with increased reflux burden or esophagitis, it may contribute to extra-esophageal symptoms and minor motility alterations such as reduced CFV. These findings suggest that routine H. pylori eradication in GERD patients may not be necessary solely based on reflux parameters. However, treatment decisions should be individualized based on symptom profiles and endoscopic findings, including the presence of peptic ulcers, premalignant gastric lesions, or a family history of gastric malignancy, in accordance with general H. pylori eradication criteria. Full article
Show Figures

Figure 1

18 pages, 1300 KB  
Article
Can the Mean Nocturnal Baseline Impedance/Acid Exposure Time Ratio Serve as a Novel Parameter for the Definitive Diagnosis of Pathological Reflux?
by Ayça Eroğlu Haktanır and Altay Çelebi
J. Clin. Med. 2025, 14(18), 6586; https://doi.org/10.3390/jcm14186586 - 18 Sep 2025
Viewed by 1933
Abstract
Background: According to the Lyon Consensus 2.0, acid exposure time (AET) greater than 6% is considered definitive evidence of pathological reflux, while mean nocturnal baseline impedance (MNBI) serves as supportive evidence. Given the limitations in diagnostic accuracy when MNBI and AET are used [...] Read more.
Background: According to the Lyon Consensus 2.0, acid exposure time (AET) greater than 6% is considered definitive evidence of pathological reflux, while mean nocturnal baseline impedance (MNBI) serves as supportive evidence. Given the limitations in diagnostic accuracy when MNBI and AET are used separately, this study aimed to evaluate the MNBI/AET ratio as a potential novel parameter and determine its optimal cut-off value for improving diagnostic performance. Methods: We assessed patients with typical gastroesophageal reflux symptoms who completed standardized reflux questionnaires and underwent upper gastrointestinal endoscopy, high-resolution esophageal manometry, and 24 h multichannel intraluminal impedance–pH monitoring. Diagnoses were established based on the Lyon Consensus 2.0 and Chicago Classification v4.0 frameworks. Results: A total of 213 patients were included. Based on the Lyon Consensus 2.0, 66 patients (31%) were diagnosed with definite gastroesophageal reflux disease (GERD), 58 (27%) showed no evidence of reflux, and 89 (42%) had borderline or supportive findings. The cut-off value for MNBI to differentiate between patients with definitive reflux and those without reflux was ≤3040 Ω (AUC [95% CI]: 0.902 [0.836–0.948]; p < 0.001; sensitivity = 87.88%; specificity = 84.48%). Receiver operating characteristic (ROC) analysis revealed that an MNBI/AET ratio of ≤624 (95% CI: ≤607.5–≤624.28) most effectively distinguished patients with definitive GERD from those without reflux (AUC = 0.970; 95% CI: 0.937–0.988), demonstrating high sensitivity (98.5%) and specificity (98.3%). Conclusions: An MNBI/AET ratio ≤ 624 effectively differentiates patients with definitive GERD from those without reflux and may serve as a novel diagnostic parameter. Incorporating this ratio into clinical practice could enhance diagnostic accuracy for pathological reflux. Full article
Show Figures

Figure 1

Back to TopTop