Preclinical Evaluation of Tradescantia spathacea Phenolic Extract-Loaded Silica in a Parkinson’s Disease Model
Abstract
1. Introduction
2. Results
2.1. Extraction Yield and Total Polyphenols of AETS
2.2. Characterization of Silica
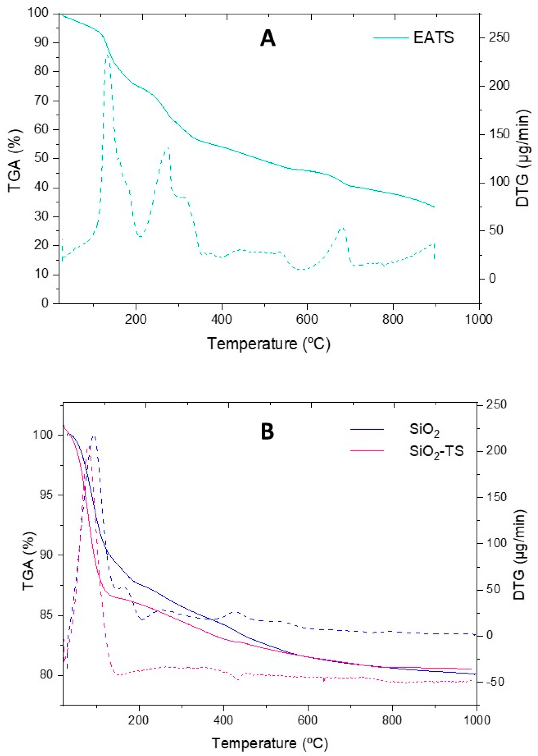
2.2.1. Thermogravimetric Analysis
2.2.2. Fourier Transform Infrared Spectroscopy
2.3. Behavioral Analysis
2.3.1. Evaluation of Exploratory Behavior in the Open Field
2.3.2. Contralateral Motor Symmetry
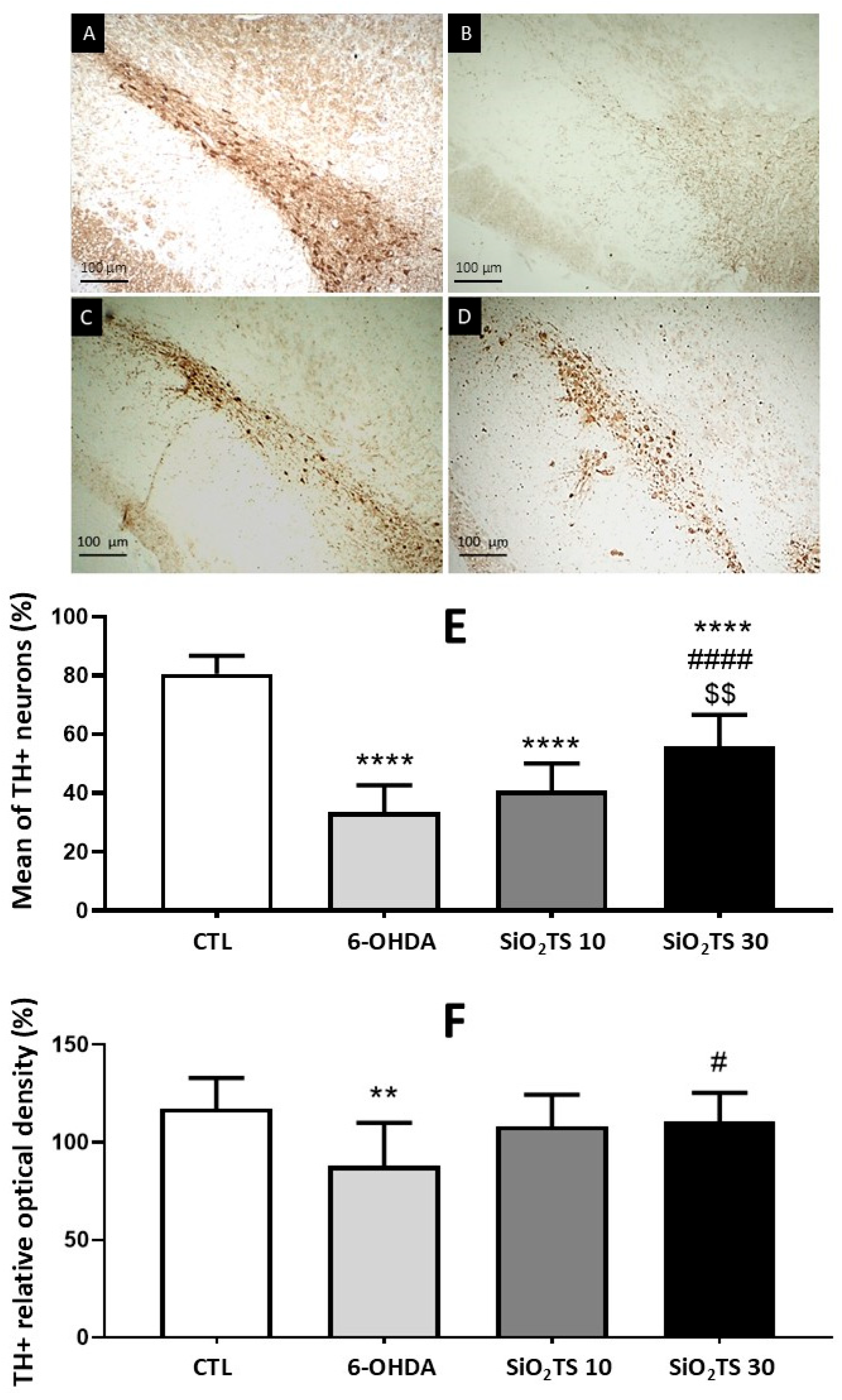
2.3.3. Immunohistochemical Analysis
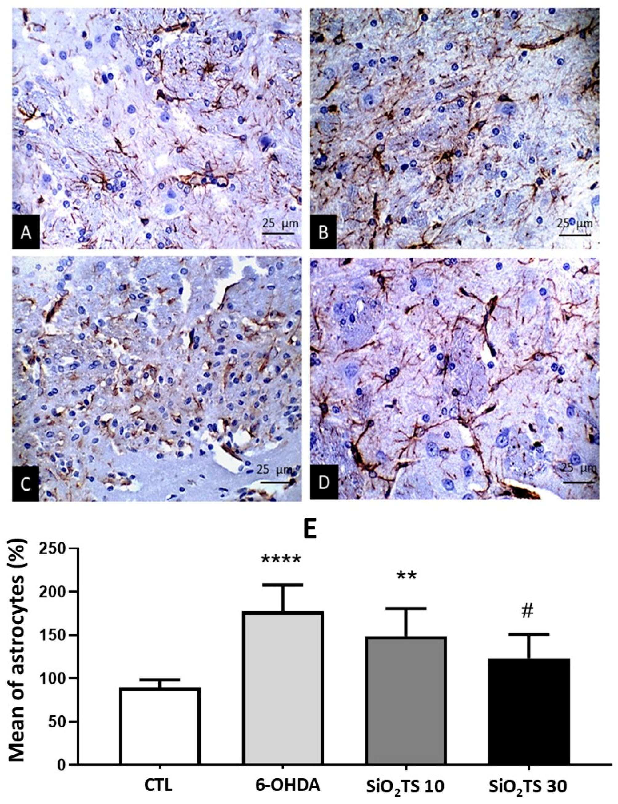
2.3.4. Astrocytic Expression in the Striatum Nucleus
3. Discussion
4. Materials and Methods
4.1. Drugs and Chemicals
4.2. Plant Material and Extraction Process
Total Phenolic and Flavonoid Content
4.3. Development and Characterization of T. spathacea-Loaded Silica
4.3.1. Silica Synthesis Methods
4.3.2. Thermogravimetric Analysis (TGA)
4.3.3. Fourier Transform Infrared Spectroscopy (FTIR)
4.4. Biological Assay
4.4.1. Animals
4.4.2. Experimental Design
4.4.3. Unilateral 6-OHDA Lesions
4.4.4. Open Field Test
4.4.5. Cylinder Test
4.4.6. Immunohistochemistry
4.4.7. Relative Optical Density for TH
4.5. Statistical Analysis
5. Conclusions
6. Patents
Author Contributions
Funding
Institutional Review Board Statement
Informed Consent Statement
Data Availability Statement
Acknowledgments
Conflicts of Interest
Abbreviations
| PD | Parkinson’s disease |
| SNpc | Substantia nigra pars compacta |
| ROS | Reactive oxygen species |
| AETS | Aqueous Extract of T. spathacea |
| SiO2 | Silica Particles |
| SiO2-TS | T. spathacea-Loaded Silica Particles |
| HCl | Hydrochloric Acid Solution |
| TGA | Thermogravimetric Analysis |
| FTIR | Fourier Transform Infrared Spectroscopy |
| ATR | Attenuated Total Reflectance |
| CONCEA | Control of Animal Experimentation |
| 6-OHDA | 6-Hydroxydopamine |
| SiO2-TS 10 | Treatment with SiO2-TS (10 mg/kg) |
| SiO2-TS 30 | Treatment with SiO2-TS (30 mg/kg) |
| PBS | Phosphate-Buffered Saline |
| TH | Anti-Tyrosine Hydroxylase |
| GFAP | Anti-Glial Fibrillary Acidic Protein |
| TBS | Tris-Buffered Saline |
| TPC | Total Phenolic Content |
| TFC | Total Flavonoid Content |
| –OH | Hydroxyl Group |
| Si–OH | Silanol |
| Si–O–Si | Siloxane |
| %CT | Contralateral Touches |
| PC-12 | Neuronal Cells |
| iNOS | Inducible Nitric Oxide Synthase |
References
- Mishra, J.; Bhatti, G.K.; Sehrawat, A.; Singh, C.; Singh, A.; Reddy, A.P.; Reddy, P.H.; Bhatti, J.S. Modulating Autophagy and Mitophagy as a Promising Therapeutic Approach in Neurodegenerative Disorders. Life Sci. 2022, 311, 121153. [Google Scholar] [CrossRef]
- Qiu, R.; Sun, W.; Su, Y.; Sun, Z.; Fan, K.; Liang, Y.; Lin, X.; Zhang, Y. Irisin’s Emerging Role in Parkinson’s Disease Research: A Review from Molecular Mechanisms to Therapeutic Prospects. Life Sci. 2024, 357, 123088. [Google Scholar] [CrossRef]
- Raza, C.; Anjum, R. Parkinson’s Disease: Mechanisms, Translational Models and Management Strategies. Life Sci. 2019, 226, 77–90. [Google Scholar] [CrossRef] [PubMed]
- Bloem, B.R.; Okun, M.S.; Klein, C. Parkinson’s Disease. Lancet 2021, 397, 2284–2303. [Google Scholar] [CrossRef] [PubMed]
- Kaur, R.; Mehan, S.; Singh, S. Understanding Multifactorial Architecture of Parkinson’s Disease: Pathophysiology to Management. Neurol. Sci. 2019, 40, 13–23. [Google Scholar] [CrossRef]
- Booth, H.D.E.; Hirst, W.D.; Wade-Martins, R. The Role of Astrocyte Dysfunction in Parkinson’s Disease Pathogenesis. Trends Neurosci. 2017, 40, 358–370. [Google Scholar] [CrossRef]
- Liu, C.; Liang, M.C.; Soong, T.W. Nitric Oxide, Iron and Neurodegeneration. Front. Neurosci. 2019, 13, 431985. [Google Scholar] [CrossRef]
- Domenico, F.D.; Biswas, K.; Alexander, K.; Francis, M.M. Reactive Oxygen Species: Angels and Demons in the Life of a Neuron. NeuroSci 2022, 3, 130–145. [Google Scholar] [CrossRef]
- Trist, B.G.; Hare, D.J.; Double, K.L. Oxidative Stress in the Aging Substantia Nigra and the Etiology of Parkinson’s Disease. Aging Cell 2019, 18, e13031. [Google Scholar] [CrossRef]
- Elsworth, J.D. Parkinson’s Disease Treatment: Past, Present, and Future. J. Neural Transm. 2020, 127, 785–791. [Google Scholar] [CrossRef] [PubMed]
- Kwon, D.K.; Kwatra, M.; Wang, J.; Ko, H.S. Levodopa-Induced Dyskinesia in Parkinson’s Disease: Pathogenesis and Emerging Treatment Strategies. Cells 2022, 11, 3736. [Google Scholar] [CrossRef]
- Hoon, M.; Petzer, J.P.; Viljoen, F.; Petzer, A. The Design and Evaluation of an L-Dopa–Lazabemide Prodrug for the Treatment of Parkinson’s Disease. Molecules 2017, 22, 2076. [Google Scholar] [CrossRef]
- González-Avila, M.; Arriaga-Alba, M.; De La Garza, M.; Del Carmen HernándezPretelín, M.; Domínguez-Ortíz, M.A.; Fattel-Fazenda, S.; Villa-Treviño, S. Antigenotoxic, Antimutagenic and ROS Scavenging Activities of a Rhoeo Discolor Ethanolic Crude Extract. Toxicol. Vitro 2003, 17, 77–83. [Google Scholar] [CrossRef]
- Lopes, L.E.S.; da Silva Barroso, S.; Caldas, J.K.M.; Vasconcelos, P.R.; Canuto, K.M.; Dariva, C.; Santos, K.S.; Severino, P.; Cardoso, J.C.; Souto, E.B.; et al. Neuroprotective Effects of Tradescantia spathacea Tea Bioactives in Parkinson’s Disease: In Vivo Proof-of-Concept. J. Tradit. Complement. Med. 2024, 14, 435–445. [Google Scholar] [CrossRef] [PubMed]
- Narayan, R.; Nayak, U.Y.; Raichur, A.M.; Garg, S. Mesoporous Silica Nanoparticles: A Comprehensive Review on Synthesis and Recent Advances. Pharmaceutics 2018, 10, 118. [Google Scholar] [CrossRef] [PubMed]
- Rizk, M.Z.; Abo-El-matty, D.M.; Aly, H.F.; Abd-Alla, H.I.; Saleh, S.M.; Younis, E.A.; Elnahrawy, A.M.; Haroun, A.A. Therapeutic Activity of Sour Orange Albedo Extract and Abundant Flavanones Loaded Silica Nanoparticles against Acrylamide-Induced Hepatotoxicity. Toxicol. Rep. 2018, 5, 929–942. [Google Scholar] [CrossRef] [PubMed]
- Ciobanu, M.; Pirvu, L.; Paun, G.; Savin, S.; Albu, B.G.; Munteanu, C.; Cusu, J.P.; Atkinson, I.; Culita, D.C.; Petcu, G.; et al. Development of a New (Bio)Hybrid Matrix Based on Althaea Officinalis and Betonica Officinalis Extracts Loaded into Mesoporous Silica Nanoparticles for Bioactive Compounds with Therapeutic Applications. J. Drug Deliv. Sci. Technol. 2019, 51, 605–613. [Google Scholar] [CrossRef]
- Farias Azevedo, L.; da Fonseca Silva, P.; Porfírio Brandão, M.; Guerra da Rocha, L.; Aragão, C.F.S.; da Silva, S.A.S.; Porto, I.C.C.M.; Basílio-Júnior, I.D.; Fonseca, E.J.d.S.; Fidelis de Moura, M.A.B.; et al. Polymeric Nanoparticle Systems Loaded with Red Propolis Extract: A Comparative Study of the Encapsulating Systems, PCL-Pluronic versus Eudragit®E100-Pluronic. J. Apic. Res. 2018, 57, 255–270. [Google Scholar] [CrossRef]
- Oliveira, M.R.; Deon, M.; Benvenutti, E.V.; Barros, V.A.; de Melo, D.C.; Franceschi, E.; Egues, S.M.; De Conto, J.F. Effect of Microwave Irradiation on the Structural, Chemical, and Hydrophilicity Characteristics of Ordered Mesoporous Silica SBA-15. J. Sol-Gel Sci. Technol. 2020, 94, 708–718. [Google Scholar] [CrossRef]
- D’Angelo, A.; Mortalò, C.; Comune, L.; Raffaini, G.; Fiorentino, M.; Catauro, M. Sol–gel Synthesized Silica/Sodium Alginate Hybrids: Comprehensive Physico-Chemical and Biological Characterization. Molecules 2025, 30, 3481. [Google Scholar] [CrossRef]
- Estrada-Hernández, G.V.; Figueroa-Ramírez, S.J.; Sierra-Grajeda, J.M.T.; Aguilar-Ucán, C.A. Obtaining and Characterization of the Ethanolic Extract of the Leaves of the Tradescantia spathacea SW. In CIERMMI Women in Science Biology, Chemistry and Life Sciences Handbook T-XIV; ECORFAN: Mexico City, Mexico, 2021. [Google Scholar]
- Periakaruppan, R.; Manju Praveena, S.; Priya, C.; Ranjitha, P.; Gokul Raj, S.; Danaraj, J. Biosynthesis of Silica Nanoparticles Using the Leaf Extract of Punica Granatum and Assessment of Its Antibacterial Activities Against Human Pathogens. Appl. Biochem. Biotechnol. 2022, 194, 5594–5605. [Google Scholar] [CrossRef]
- Trigo-Damas, I.; Del Rey, N.L.G.; Blesa, J. Novel Models for Parkinson’s Disease and Their Impact on Future Drug Discovery. Expert Opin. Drug Discov. 2018, 13, 229–239. [Google Scholar] [CrossRef]
- Silva, T.P.d.; Poli, A.; Hara, D.B.; Takahashi, R.N. Time Course Study of Microglial and Behavioral Alterations Induced by 6-Hydroxydopamine in Rats. Neurosci. Lett. 2016, 622, 83–87. [Google Scholar] [CrossRef]
- Mori, M.A.; Delattre, A.M.; Carabelli, B.; Pudell, C.; Bortolanza, M.; Staziaki, P.V.; Visentainer, J.V.; Montanher, P.F.; Del Bel, E.A.; Ferraz, A.C. Neuroprotective Effect of Omega-3 Polyunsaturated Fatty Acids in the 6-OHDA Model of Parkinson’s Disease Is Mediated by a Reduction of Inducible Nitric Oxide Synthase. Nutr. Neurosci. 2018, 21, 341–351. [Google Scholar] [CrossRef]
- Luciano-Montalvo, C.; Boulogne, I.; Gavillán-Suárez, J. A Screening for Antimicrobial Activities of Caribbean Herbal Remedies. BMC Complement. Altern. Med. 2013, 13, 126. [Google Scholar] [CrossRef] [PubMed]
- Rosales-Reyes, T.; de la Garza, M.; Arias-Castro, C.; Rodríguez-Mendiola, M.; Fattel-Fazenda, S.; Arce-Popoca, E.; Hernández-García, S.; Villa-Treviño, S. Aqueous Crude Extract of Rhoeo Discolor, a Mexican Medicinal Plant, Decreases the Formation of Liver Preneoplastic Foci in Rats. J. Ethnopharmacol. 2008, 115, 381–386. [Google Scholar] [CrossRef] [PubMed]
- Mena-Rejon, G.; Caamal-Fuentes, E.; Cantillo-Ciau, Z.; Cedillo-Rivera, R.; Flores-Guido, J.; Moo-Puc, R. In Vitro Cytotoxic Activity of Nine Plants Used in Mayan Traditional Medicine. J. Ethnopharmacol. 2009, 121, 462–465. [Google Scholar] [CrossRef] [PubMed]
- Sriwanthana, B.; Treesangsri, W.; Boriboontrakul, B.; Niumsakul, S.; Chavalittumrong, P. In vitro effects of Thai medicinal plants on human lymphocyte activity. J. Sci. Technol. 2007, 29, 17–28. [Google Scholar]
- Uduwana, S.; Abeynayake, N.; Wickramasinghe, I. Synergistic, Antagonistic, and Additive Effects on the Resultant Antioxidant Activity in Infusions of Green Tea with Bee Honey and Citrus limonum Extract as Additives. J. Agric. Food Res. 2023, 12, 100571. [Google Scholar] [CrossRef]
- García-Varela, R.; García-García, R.M.; Barba-Dávila, B.A.; Fajardo-Ramírez, O.R.; Serna-Saldívar, S.O.; Cardineau, G.A. Antimicrobial Activity of Rhoeo discolor Phenolic Rich Extracts Determined by Flow Cytometry. Molecules 2015, 20, 18685–18703. [Google Scholar] [CrossRef]
- Lajoie, L.; Fabiano-Tixier, A.S.; Chemat, F. Water as Green Solvent: Methods of Solubilisation and Extraction of Natural Products—Past, Present and Future Solutions. Pharmaceuticals 2022, 15, 1507. [Google Scholar] [CrossRef]
- Sánchez-Roque, Y.; Ayora-Talavera, G.; Rincón-Rosales, R.; Gutiérrez-Miceli, F.A.; Meza-Gordillo, R.; Winkler, R.; Gamboa-Becerra, R.; Ayora-Talavera, T.D.R.; Ruiz-Valdiviezo, V.M. The Flavonoid Fraction from Rhoeo Discolor Leaves Acting as Antiviral against Influenza A Virus. Rec. Nat. Prod. 2017, 11, 532–546. [Google Scholar] [CrossRef]
- Tan, J.B.L.; Lim, Y.Y.; Lee, S.M. Rhoeo spathacea (Swartz) Stearn Leaves, a Potential Natural Food Colorant. J. Funct. Foods 2014, 7, 443–451. [Google Scholar] [CrossRef]
- Manca, M.L.; Qu, M.; Kong, L.; Abomughaid, M.M. Bio-Fabrication of Bio-Inspired Silica Nanomaterials from Orange Peels in Combating Oxidative Stress. Nanomaterials 2022, 12, 3236. [Google Scholar]
- Walsh, R.N.; Cummins, R.A. The Open-Field Test: A Critical Review. Psychol. Bull. 1976, 83, 482–504. [Google Scholar] [CrossRef] [PubMed]
- Deng, S.-J.; Ge, J.-W.; Xia, S.-N.; Zou, X.-X.; Bao, X.-Y.; Gu, Y.; Xu, Y.; Meng, H.-L. Fraxetin Alleviates Microglia-Mediated Neuroinflammation after Ischemic Stroke. Ann. Transl. Med. 2022, 10, 439. [Google Scholar] [CrossRef] [PubMed]
- Ahmed, Z.; Tokhi, A.; Arif, M.; Rehman, N.U.; Sheibani, V.; Rauf, K.; Sewell, R.D.E. Fraxetin Attenuates Disrupted Behavioral and Central Neurochemical Activity in a Model of Chronic Unpredictable Stress. Front. Pharmacol. 2023, 14, 1135497. [Google Scholar] [CrossRef]
- Gao, H.; Yuan, X.; Wang, Z.; Gao, Q.; Yang, J. Profiles and Neuroprotective Effects of Lycium ruthenicum Polyphenols against Oxidative Stress-induced Cytotoxicity in PC12 Cells. J. Food Biochem. 2020, 44, e13112. [Google Scholar] [CrossRef]
- Zhang, Y.; Wu, Q.; Zhang, L.; Wang, Q.; Yang, Z.; Liu, J.; Feng, L. Caffeic Acid Reduces A53T α-Synuclein by Activating JNK/Bcl-2-Mediated Autophagy in Vitro and Improves Behaviour and Protects Dopaminergic Neurons in a Mouse Model of Parkinson’s Disease. Pharmacol. Res. 2019, 150, 104538. [Google Scholar] [CrossRef]
- Zaitone, S.A.; Ahmed, E.; Elsherbiny, N.M.; Mehanna, E.T.; El-Kherbetawy, M.K.; ElSayed, M.H.; Alshareef, D.M.; Moustafa, Y.M. Caffeic Acid Improves Locomotor Activity and Lessens Inflammatory Burden in a Mouse Model of Rotenone-Induced Nigral Neurodegeneration: Relevance to Parkinson’s Disease Therapy. Pharmacol. Rep. 2019, 71, 32–41. [Google Scholar] [CrossRef]
- Saravanakumar, M.; Raja, B. Veratric Acid, a Phenolic Acid Attenuates Blood Pressure and Oxidative Stress in l-NAME Induced Hypertensive Rats. Eur. J. Pharmacol. 2011, 671, 87–94. [Google Scholar] [CrossRef] [PubMed]
- Choi, W.S.; Shin, P.G.; Lee, J.H.; Kim, G.D. The Regulatory Effect of Veratric Acid on NO Production in LPS-Stimulated RAW264.7 Macrophage Cells. Cell. Immunol. 2012, 280, 164–170. [Google Scholar] [CrossRef]
- Yu, Q.; Chen, S.; Tang, H.; Zhang, X.; Tao, R.; Yan, Z.; Shi, J.; Guo, W.; Zhang, S. Veratric Acid Alleviates Liver Ischemia/Reperfusion Injury by Activating the Nrf2 Signaling Pathway. Int. Immunopharmacol. 2021, 101, 10829. [Google Scholar] [CrossRef]
- Bueno-silva, B.; Bueno, M.R.; Kawamoto, D.; Casarin, R.C.; Pingueiro, J.M.S.; Alencar, S.M.; Rosalen, P.L.; Mayer, M.P.A. Anti-Inflammatory Effects of (3S)-Vestitol on Peritoneal Macrophages. Pharmaceuticals 2022, 15, 553. [Google Scholar] [CrossRef]
- Marques Da Silva, V.; Benjdir, M.; Montagne, P.; Pairon, J.C.; Lanone, S.; Andujar, P. Pulmonary Toxicity of Silica Linked to Its Micro- or Nanometric Particle Size and Crystal Structure: A Review. Nanomaterials 2022, 12, 2392. [Google Scholar] [CrossRef]
- Real, C.C.; Doorduin, J.; Kopschina Feltes, P.; Vállez García, D.; de Paula Faria, D.; Britto, L.R.; de Vries, E.F.J. Evaluation of Exercise-Induced Modulation of Glial Activation and Dopaminergic Damage in a Rat Model of Parkinson’s Disease Using [11C]PBR28 and [18F]FDOPA PET. J. Cereb. Blood Flow Metab. 2019, 39, 989–1004. [Google Scholar] [CrossRef] [PubMed]
- Vivanco-Estela, A.N.; dos-Santos-Pereira, M.; Guimaraes, F.S.; Del-Bel, E.; Nascimento, G.C.d. Cannabidiol Has Therapeutic Potential for Myofascial Pain in Female and Male Parkinsonian Rats. Neuropharmacology 2021, 196, 108700. [Google Scholar] [CrossRef] [PubMed]







| Experimental Group | Intrastriatal Induction | Treatment | Dosage (mg/kg) EATS |
|---|---|---|---|
| Control | 0.9% Saline | SiO2 (Vehicle) | ___ |
| 6-OHDA | 6-Hydroxydopamine | SiO2 (Vehicle) | ___ |
| SiO2-TS 10 | 6-Hydroxydopamine | SiO2-TS | 10 |
| SiO2-TS 30 | 6-Hydroxydopamine | SiO2-TS | 30 |
Disclaimer/Publisher’s Note: The statements, opinions and data contained in all publications are solely those of the individual author(s) and contributor(s) and not of MDPI and/or the editor(s). MDPI and/or the editor(s) disclaim responsibility for any injury to people or property resulting from any ideas, methods, instructions or products referred to in the content. |
© 2026 by the authors. Licensee MDPI, Basel, Switzerland. This article is an open access article distributed under the terms and conditions of the Creative Commons Attribution (CC BY) license.
Share and Cite
Lopes, L.E.S.; Oliveira, M.R.; Neto, R.V.B.; Santos, T.B.; De Conto, J.F.; Oliveira, M.B.P.P.; Gomes, M.Z.; Santos, K.S. Preclinical Evaluation of Tradescantia spathacea Phenolic Extract-Loaded Silica in a Parkinson’s Disease Model. Molecules 2026, 31, 950. https://doi.org/10.3390/molecules31060950
Lopes LES, Oliveira MR, Neto RVB, Santos TB, De Conto JF, Oliveira MBPP, Gomes MZ, Santos KS. Preclinical Evaluation of Tradescantia spathacea Phenolic Extract-Loaded Silica in a Parkinson’s Disease Model. Molecules. 2026; 31(6):950. https://doi.org/10.3390/molecules31060950
Chicago/Turabian StyleLopes, Lorenna E. S., Marília R. Oliveira, Reinaldo V. B. Neto, Tatiane B. Santos, Juliana F. De Conto, M. Beatriz P. P. Oliveira, Margarete Z. Gomes, and Klebson S. Santos. 2026. "Preclinical Evaluation of Tradescantia spathacea Phenolic Extract-Loaded Silica in a Parkinson’s Disease Model" Molecules 31, no. 6: 950. https://doi.org/10.3390/molecules31060950
APA StyleLopes, L. E. S., Oliveira, M. R., Neto, R. V. B., Santos, T. B., De Conto, J. F., Oliveira, M. B. P. P., Gomes, M. Z., & Santos, K. S. (2026). Preclinical Evaluation of Tradescantia spathacea Phenolic Extract-Loaded Silica in a Parkinson’s Disease Model. Molecules, 31(6), 950. https://doi.org/10.3390/molecules31060950

