ijms-logo

Journal Browser

Journal Browser

Recent Advances in New Biomarkers for Cancers

A special issue of International Journal of Molecular Sciences (ISSN 1422-0067). This special issue belongs to the section "Molecular Oncology".

Deadline for manuscript submissions: 20 March 2026 | Viewed by 2436

Special Issue Editor


E-Mail Website
Guest Editor
Laboratory of Pharmacology, Department of Medicine, Democritus University of Thrace, 68100 Alexandroupolis, Greece
Interests: biomarkers in cancer and other diseases; liquid biopsy; epigenetics; machine learning; data-driven biomarker discovery; cancer research

Special Issue Information

Dear Colleagues,

Cancer is one of the leading causes of death worldwide, with approximately 20 million new cases in 2022, indicating the critical need for the identification of innovative tools to enhance early diagnosis, accurate prognosis, and treatment monitoring. Therefore, the identification and validation of new, reliable, and specific biomarkers in tissue or liquid biopsy for cancer management are of great importance in oncology research.

This Special Issue on “Recent Advances in New Biomarkers for Cancers” aims to explore recent advances, translational research, and emerging technologies in biomarker research for improving early detection, personalized treatment options, and therapeutic monitoring.

Since IJMS is a journal of molecular science, pure clinical studies will not be suitable for our journal. However, clinical or pure model submissions with biomolecular experiments are welcomed.

This Special Issue invites original research articles, reviews, and perspectives on topics including but not limited to the following:

  • Identification and validation of novel biomarkers in various cancer types in tissue and liquid biopsy;
  • Genetic, epigenetic, transcriptomic, proteomic, and metabolomic biomarkers;
  • Latest advancements in analytical methods’ implementation and standardization for biomarker detection;
  • Role of biomarkers in early cancer detection, minimal residual disease (MRD) assessment, prognosis, treatment response prediction, and monitoring;
  • Application of multi-omics data for biomarker discovery for precision oncology;
  • Emerging trends in data-driven and machine learning biomarker discovery.

This Special Issue aims to highlight cutting-edge research in the rapidly evolving field of cancer biomarkers.

Dr. Maria Panagopoulou
Guest Editor

Manuscript Submission Information

Manuscripts should be submitted online at www.mdpi.com by registering and logging in to this website. Once you are registered, click here to go to the submission form. Manuscripts can be submitted until the deadline. All submissions that pass pre-check are peer-reviewed. Accepted papers will be published continuously in the journal (as soon as accepted) and will be listed together on the special issue website. Research articles, review articles as well as short communications are invited. For planned papers, a title and short abstract (about 250 words) can be sent to the Editorial Office for assessment.

Submitted manuscripts should not have been published previously, nor be under consideration for publication elsewhere (except conference proceedings papers). All manuscripts are thoroughly refereed through a single-blind peer-review process. A guide for authors and other relevant information for submission of manuscripts is available on the Instructions for Authors page. International Journal of Molecular Sciences is an international peer-reviewed open access semimonthly journal published by MDPI.

Please visit the Instructions for Authors page before submitting a manuscript. There is an Article Processing Charge (APC) for publication in this open access journal. For details about the APC please see here. Submitted papers should be well formatted and use good English. Authors may use MDPI's English editing service prior to publication or during author revisions.

Keywords

  • biomarkers
  • cancer research
  • liquid biopsy
  • epigenetic and genetic biomarkers
  • precision oncology
  • diagnosis
  • prognosis
  • prediction

Benefits of Publishing in a Special Issue

  • Ease of navigation: Grouping papers by topic helps scholars navigate broad scope journals more efficiently.
  • Greater discoverability: Special Issues support the reach and impact of scientific research. Articles in Special Issues are more discoverable and cited more frequently.
  • Expansion of research network: Special Issues facilitate connections among authors, fostering scientific collaborations.
  • External promotion: Articles in Special Issues are often promoted through the journal's social media, increasing their visibility.
  • Reprint: MDPI Books provides the opportunity to republish successful Special Issues in book format, both online and in print.

Further information on MDPI's Special Issue policies can be found here.

Published Papers (3 papers)

Order results
Result details
Select all
Export citation of selected articles as:

Research

19 pages, 4970 KB  
Article
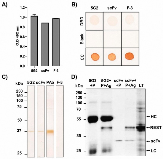
Generation of a scFv Derived from an IgM-Producing Hybridoma for the Detection of REST Expression in Premalignant Lesions and Invasive Squamous Cell Carcinoma
by Cynthia Rodríguez-Nava, Karen Cortés-Sarabia, Lidia Riaño-Umbarila, Baltazar Becerril-Luján, Yolanda Medina-Flores, Olga Mata-Ruíz, Lourdes Lloret-Sánchez, Berenice Illades-Aguiar, Luz del Carmen Alarcón-Romero and Carlos Ortuño-Pineda
Int. J. Mol. Sci. 2025, 26(24), 11946; https://doi.org/10.3390/ijms262411946 (registering DOI) - 11 Dec 2025
Viewed by 73
Abstract
Cervical cancer (CC) can be prevented through continuous screening and the timely detection of cervical intraepithelial neoplasia (CIN) using immunohistochemistry techniques to identify biomarker expressions. In a previous study, we proposed nuclear REST loss as a biomarker in precancerous lesions and CC; however, [...] Read more.
Cervical cancer (CC) can be prevented through continuous screening and the timely detection of cervical intraepithelial neoplasia (CIN) using immunohistochemistry techniques to identify biomarker expressions. In a previous study, we proposed nuclear REST loss as a biomarker in precancerous lesions and CC; however, no validated antibodies are available for detecting REST in cytology or cervical tissues. Although we have developed an IgM-type anti-REST monoclonal antibody capable of detecting REST in liquid-based cytology cells, it was not useful for the detection of REST in cervical tissues by immunohistochemistry. The main objective of this study is to generate single-chain variable fragments (scFvs) for the clinical evaluation of REST in cervical tissues from women with CIN and CC. Using RNA from an IgM-producing hybridoma anti-REST, we conducted RT-PCR and PCR to obtain the coding sequences for the variable regions of the heavy and light chains. These sequences were joined with a linker to create a single-chain antibody. The scFv was then cloned into the pSyn1 vector, expressed in E. coli TG1, and purified through chromatography. Subsequently, it was characterized using immunological methods to assess its biological activity and employed to evaluate REST expression in cytological samples and cervical tissues. The anti-REST scFv represents an innovative detection tool that retains the antigen recognition of the parental IgM while overcoming its size limitation, enabling tissue penetration and detection of REST in cervical samples. Its application facilitates the identification of REST in cervical samples, reinforcing REST’s potential as a diagnostic biomarker for CC and CIN. Full article
(This article belongs to the Special Issue Recent Advances in New Biomarkers for Cancers)
Show Figures

Figure 1

28 pages, 3102 KB  
Article
Plasma Protein Biomarkers to Detect Early Gastric Preneoplasia and Cancer: A Prospective Study
by Quentin Giai Gianetto, Valérie Michel, Thibaut Douché, Karine Nozeret, Aziz Zaanan, Oriane Colussi, Isabelle Trouilloud, Simon Pernot, Marie-Noelle Ungeheuer, Catherine Julié, Nathalie Jolly, Julien Taïeb, Dominique Lamarque, Mariette Matondo and Eliette Touati
Int. J. Mol. Sci. 2025, 26(20), 10114; https://doi.org/10.3390/ijms262010114 - 17 Oct 2025
Viewed by 982
Abstract
Gastric cancer (GC) often presents a poor prognosis due to its asymptomatic phenotype at early stages. Upper endoscopy, which is the current gold standard to diagnose GC, is invasive with limited sensitivity for detecting gastric preneoplasia. Non-invasive biomarkers, such as blood circulating proteins, [...] Read more.
Gastric cancer (GC) often presents a poor prognosis due to its asymptomatic phenotype at early stages. Upper endoscopy, which is the current gold standard to diagnose GC, is invasive with limited sensitivity for detecting gastric preneoplasia. Non-invasive biomarkers, such as blood circulating proteins, offer a promising alternative for the early detection of gastric lesions. In this prospective study, we identified plasma protein biomarkers for gastric preneoplasia and cancer using mass spectrometry-based proteomics in an exploratory cohort (n = 39). Fifteen promising protein candidates emerged to distinguish patient categories and were further confirmed by enzyme-linked immunosorbent assays (ELISA) in plasma samples from a validation cohort of 138 participants. Our predictive models demonstrated high classification performance with a minimal set of biomarkers. A four-protein panel (ARG1, CA2, F13A1, S100A12) achieved 94.1–98.2% AUROC (95% CI) for distinguishing cancer from non-cancer cases, while a five-protein panel (ARG1, CA2, HPT, MAN2A1, LBP) reached 97.3–99.5% AUROC (95% CI) for distinguishing cancer or preneoplasia from healthy or non-atrophic gastritis cases on the full cohort. Leveraging simple blood sampling, this strategy holds promise to detect high-risk gastric lesions, even at asymptomatic stages. Such an approach could significantly improve early detection and clinical management of GC, offering direct benefit for patients. Full article
(This article belongs to the Special Issue Recent Advances in New Biomarkers for Cancers)
Show Figures

Figure 1

13 pages, 696 KB  
Article
A Lack of Complete Linkage Disequilibrium Between c.1236G>A and c.1129-5923C>G HapB3 Variants of DPYD: A Call to Revise European Pharmacogenetic Guidelines
by Almudena Gil-Rodriguez, Sheila Recarey-Rama, Ana Fernández Montes, Ana Rodríguez-Viyuela, Francisco Barros, Angel Carracedo and Olalla Maroñas
Int. J. Mol. Sci. 2025, 26(17), 8136; https://doi.org/10.3390/ijms26178136 - 22 Aug 2025
Viewed by 997
Abstract
Fluoropyrimidine derivatives can cause severe toxicity in patients with DPD deficiency. Regulatory agencies, such as the European Medicines Agency (EMA), recommend pre-emptive genotyping of the HapB3 haplotype, along with other variants. Historically, the two main HapB3 variants, the benign c.1236G>A and the pathogenic [...] Read more.
Fluoropyrimidine derivatives can cause severe toxicity in patients with DPD deficiency. Regulatory agencies, such as the European Medicines Agency (EMA), recommend pre-emptive genotyping of the HapB3 haplotype, along with other variants. Historically, the two main HapB3 variants, the benign c.1236G>A and the pathogenic c.1129-5923C>G, have been assumed to be in complete linkage disequilibrium. Recent findings contradict this assumption, questioning the reliability of the HapB3 analysis through c.1236G>A, which could directly impact patient safety. The aim of this study is to assess the linkage disequilibrium between the c.1236G>A and c.1129-5923C>G variants, with the ultimate goal of revising genotyping guidelines. A total of 46 patients already heterozygous for the c.1236G>A variant have been carefully reviewed for the c.1129-5923C>G variant. From the 46 patients analyzed, 45 maintain complete linkage disequilibrium between both variants. However, there is one patient where this linkage disequilibrium is not complete, being heterozygous for c.1236G>A and homozygous for c.1129-5923C>G. These findings challenge the validity of c.1236G>A as a surrogate marker for pathogenic variant c.1129-5923C>G. This article highlights the need for a review of the recommendations of the EMA and suggests laboratories to analyze both variants, or at least the pathogenic one, to ensure accurate therapeutic decisions. Full article
(This article belongs to the Special Issue Recent Advances in New Biomarkers for Cancers)
Show Figures

Figure 1

Back to TopTop