Abstract
Objective: To report a case of ocular toxoplasmosis reactivation in a patient with neurosarcoidosis undergoing immunosuppressive therapy. Methods: Case report and literature review. Results: A 34-year-old male with neurosarcoidosis, treated with Infliximab and Mycophenolate Mofetil, presented with sudden visual decline in his left eye. Multimodal imaging revealed active chorioretinitis. Serological tests showed elevated Toxoplasma IgG levels with normal IgM levels. Treatment with oral corticosteroids and antibiotics led to significant improvements in vitreous turbidity and lesion inactivity at follow-up, despite unchanged visual acuity. Conclusions: This case highlights the risk of toxoplasmosis reactivation in immunosuppressed sarcoidosis patients. It emphasizes the importance of considering ocular toxoplasmosis even with normal IgM levels, and demonstrates the value of multimodal imaging in diagnosis and follow-up.
1. Introduction
Sarcoidosis is a multisystem inflammatory disorder characterized by the formation of non-caseating granulomas [1]. It predominantly affects young adults and can involve any organ system, with the lungs being the most commonly affected [2]. Its etiology remains unclear, but it is believed to result from an exaggerated immune response to an unknown antigen in genetically susceptible individuals [3].
Toxoplasmosis, caused by the protozoan parasite Toxoplasma gondii, is one of the most prevalent human infections worldwide [4]. In immunocompetent individuals, it often remains asymptomatic or presents with mild, self-limiting symptoms. However, in immunocompromised patients, the reactivation of a latent infection can lead to severe complications, particularly affecting the central nervous system and eyes [5].
The aim of this case is to emphasize the importance of multimodal imaging in the assessment of toxoplasmosis reactivation in immunocompromised patients with sarcoidosis and non-patognomonic IgM levels.
2. Case Presentation
We present the case of a 34-year-old male patient who sought ophthalmological consultation due to a sudden decline in visual acuity in his left eye (LE), without associated pain or other ocular symptoms. The patient’s medical history was significant for neurosarcoidosis, diagnosed at age 16 following persistent headaches. He was under treatment with Infliximab and Mycophenolate Mofetil for sarcoidosis management at the time. The patient had been undergoing maintenance immunosuppressive therapy with Infliximab and Mycophenolate Mofetil for 2 years, as recommended by rheumatological and neurological prescription. The Infliximab regimen consisted of 5 mg/kg of body weight administered intravenously every 8 weeks, while Mycophenolate Mofetil was prescribed at a dose of 1 g twice daily (total of 2 g per day). Additionally, he had a history of epilepsy, treated with Lacosamide, and a stroke 12 years prior, attributed to sarcoidosis complications.
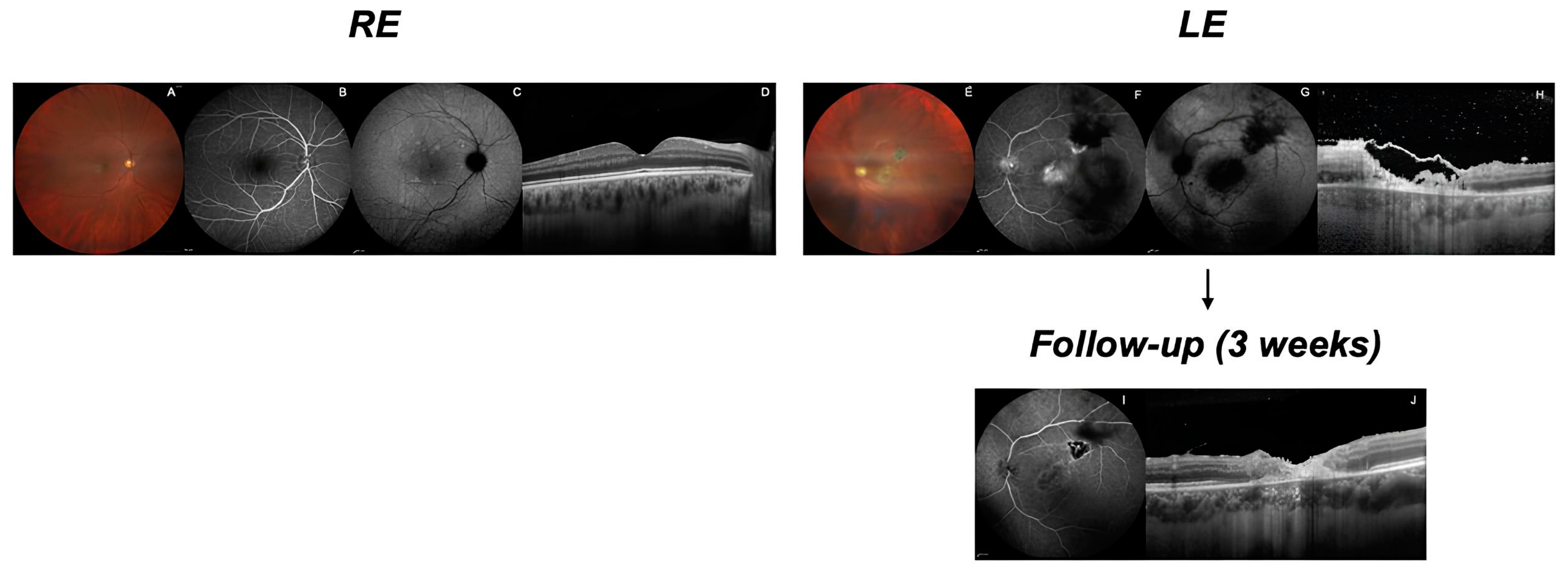
Upon initial examination, his best-corrected visual acuity (BCVA) was 20/20 in the right eye (RE) and 20/200 in the LE according to the Snellen chart. The ophthalmoscopic examination and fundus photography of the RE did not reveal any pathological alterations (Figure 1A), while the LE showed significant vitreous turbidity and a focus of chorioretinitis in the fundus (Figure 1E). We conducted a comprehensive multimodal imaging assessment, including fluorescein angiography (FA), optical coherence tomography (OCT), and indocyanine green angiography (ICGA) (Figure 1).
Figure 1.
Multimodal imaging of both eyes at initial presentation and 3-week follow-up. Right Eye (RE): (A) Color fundus photograph showing normal appearance. (B) Fluorescein angiography with normal circulation. (C) Indocyanine green angiography revealing mild choroidal hyperpermeability in late phase. (D) Optical coherence tomography demonstrating normal retinal architecture. Left Eye (LE) at presentation: (E) Color fundus photograph showing vitreous haze and chorioretinal lesion. (F) FA revealing hypofluorescent lesion with hyperfluorescent margins and multiple dark areas due to vitreous debris. (G) ICGA displaying hypocyanescent area in supero-temporal region. (H) OCT showing severe disruption to retinal layers and the presence of cellularity. LE at 3-week follow-up: (I) FA demonstrating reduction in lesion activity and vitreous haze. (J) OCT revealing persistent structural changes, but decreased vitreous cellularity.
The initial FA revealed normal circulation times in the RE (Figure 1B), while the LE showed early macular hypofluorescence and late irregular hyperfluorescence due to window defects from retinal pigment epithelium (RPE) atrophy and retinal disruption in the center of the macula (Figure 1F). Notably, the late-phase FA reveals a well-demarcated hypofluorescent lesion in the supero-temporal sector, suggestive of chorioretinal toxoplasmosis scarring. At the margins of this lesion, there is mild hyperfluorescence, which is suggestive of modest late staining (Figure 1F). Significantly, multiple dark areas were observed throughout the image, particularly prominent in the superior and temporal regions. These areas of hypofluorescence represent blocking or shadowing effects, consistent with vitreal inflammation or debris. ICGA showed choroidal hyperpermeability in the RE in the late phase (Figure 1C), while the LE displayed an area of early cyanescence in the macular region and a supero-temporal hypocyanescent area increasing in intensity in the late phases, corresponding to the location of the active toxoplasmic lesion (Figure 1G). Structural OCT of the LE in the macular region revealed the severe disorganization of the retinal architecture (Figure 1H). The image revealed significant disruption to the inner retinal layers, with areas of hyper-reflectivity and shadowing consistent with active inflammation and possible necrosis. In contrast, structural OCT of the RE appeared to be within the normal limits, showing no significant abnormalities (Figure 1D).
Based on the clinical presentation and imaging findings, we suspected ocular toxoplasmosis. Blood tests were performed, revealing significantly elevated Toxoplasma IgG (210 U/mL) levels, while the IgM levels were within the normal range (3.6 U/mL). The high IgG avidity (0.537) was indicative of chronic infection reactivation. It is worth noting that in cases of toxoplasmosis reactivation, the IgM levels may not be elevated, as observed in our patient [6]. Treatment was initiated with oral prednisone (25 mg daily) and trimethoprim/sulfamethoxazole (160 mg/800 mg combination, thrice daily). At the 3-week follow-up, the patient continued with the initial regimen of three tablets of trimethoprim/sulfamethoxazole and one tablet of dexamethasone daily, with no changes made to the therapy for neurosarcoidosis, in accordance with the rheumatologist’s recommendations. Given the observed improvement in the patient’s clinical condition, we planned to continue this treatment for an additional 7 days. Following this, we began the tapering process, reducing the trimethoprim/sulfamethoxazole dosage to two tablets per day and the dexamethasone dosage to half a tablet per day. The ultimate goal was to achieve a preventive dosing schedule of one tablet of trimethoprim/sulfamethoxazole every 3 days [6]. At the 3-week follow-up, the patient showed significant improvement. While the BCVA remained unchanged (Snellen: RE 20/20, LE 20/200), there was a marked reduction in vitreous turbidity in the LE, with no evidence of active vitreitis. FA of the LE demonstrated a notable decrease in vitreous haze, indicating reduced vitreous activity. The supero-temporal lesion in the LE showed slightly hyperfluorescent margins, but to a lesser extent than initially observed, suggesting decreased lesion activity (Figure 1I). OCT of the LE revealed persistent structural changes in the retina, but the previously noted vitreous cellularity was no longer visible (Figure 1J). These findings in the LE indicate a positive response to the treatment, with a reduction in active inflammation.
Patient Consent: The patient provided written informed consent for the publication of the case details and associated images.
3. Discussion
Immunosuppressive therapies, commonly used for various conditions such as rheumatoid arthritis, myelodysplastic syndromes, organ transplantation, and sarcoidosis, are known to significantly increase the risk of opportunistic infections, including toxoplasmosis [7,8,9].
Systemic therapies, such as anti-TNF agents (e.g., Infliximab) and immunosuppressants like Mycophenolate Mofetil, are particularly associated with a higher incidence of these infections [10,11]. In addition to systemic treatments, local immunosuppressive therapies, such as steroid injections, can further contribute to the reactivation of latent infections. The literature has reported several cases where triamcinolone acetonide injections, or a combination of systemic and topical steroids, led to toxoplasmosis reactivation [9].
Diagnosing toxoplasmosis in immunocompromised individuals is often particularly challenging. Studies have demonstrated that in immunocompromised patients, toxoplasmosis reactivation can present with atypical features, such as bilaterality, extensive spread, multifocal lesions, large areas of retinal necrosis without adjacent scars, neuroretinitis, punctate outer retinitis, and diffuse multifocal necrotizing retinitis, all of which can mimic viral retinitis [12,13]. Immunocompromised patients, besides exhibiting atypical disease manifestations, might not present conventional diagnostic markers, such as elevated IgM antibodies [14]. Nevertheless, the absence of elevated IgM antibodies—despite the presence of high IgG levels—does not necessarily rule out active infection.
In such cases, clinical presentation, along with imaging findings, must be carefully integrated with serological results for an accurate diagnosis.
Given the altered immune responses in these patients, a high level of clinical suspicion is necessary, along with the use of advanced diagnostic tools like PCR to confirm active infection.
Our case illustrates the risk of toxoplasmosis reactivation in a patient undergoing immunosuppressive therapy for sarcoidosis. The patient had been treated with Infliximab (a TNF-α inhibitor) and Mycophenolate Mofetil, which contributed to the patient’s compromised immune system and increased vulnerability to opportunistic infections [15,16,17]. Despite the role of Infliximab and Mycophenolate Mofetil in the pathogenesis of ocular infection reactivation, we decided not to discontinue immunosuppressive therapy to prevent exacerbation of the underlying disease.
The serological profile revealed high IgG levels but normal IgM, consistent with the reactivation of toxoplasmosis, despite the absence of elevated IgM antibodies. This serological profile is consistent with previous reports in the literature [14].
The diagnosis of toxoplasmosis reactivation was established by integrating medical history, clinical presentation, serological feedings, and multimodal imaging. After confirming diagnosis, the decision to start etiological therapy, including oral prednisone (25 mg daily) and trimethoprim/sulfamethoxazole (160 mg/800 mg combination, three times daily), was based on the severity of the clinical presentation, especially macular involvement. This aggressive regimen was chosen to achieve rapid control of the infection and reduce the size of the chorioretinal lesions, which were contributing significantly to the patient’s symptoms. After 4 weeks, given the improvement in the clinical condition, we initiated the tapering of therapy, with the objective of minimizing the risk of further relapses while maintaining clinical stability and avoiding adverse effects.
In our patient, multimodal imaging approaches, including FA, OCT, and ICGA, were also critical in evaluating disease activity and monitoring the patient’s response to treatment. While imaging alone cannot provide a definitive diagnosis, it was invaluable in guiding our clinical decisions and tracking the resolution of vitreous turbidity, as well as the absence of lesion activation in follow-up FA. These findings supported the effectiveness of the treatment regimen and confirmed that the patient’s condition was stabilizing.
4. Contribution to the Literature
Ocular toxoplasmosis (OT) is the most common cause of posterior uveitis worldwide, yet its presentation and management in patients undergoing immunosuppressive therapy for autoimmune diseases remain underexplored [5,6]. While numerous studies have described OT in HIV/AIDS patients, data on OT reactivation in individuals treated with TNF-α inhibitors and Mycophenolate Mofetil are scarce [10,12]. Given the increasing use of these therapies for conditions such as rheumatoid arthritis, inflammatory bowel disease, and neurosarcoidosis, further research is required to define the true risk and clinical behavior of OT in this subgroup [6,9].
One of the key challenges in managing OT in immunocompromised patients is the lack of standardized guidelines for diagnosis and treatment [14,16]. While multimodal imaging techniques such as fluorescein angiography, indocyanine green angiography, and optical coherence tomography have improved diagnostic accuracy [6,13], there is no clear consensus on when additional laboratory testing, such as polymerase chain reaction (PCR) analysis, should be performed in these patients [15].
From a therapeutic perspective, there is an ongoing debate regarding whether immunosuppressive therapy should be modified or continued during OT reactivation [9,17]. Immunosuppressive agents, particularly TNF-α inhibitors, may facilitate T. gondii reactivation [7,10], yet the abrupt discontinuation of these drugs can trigger autoimmune disease exacerbations [16]. The decision to maintain immunosuppression while treating OT is highly individualized and remains a clinical dilemma without established guidelines [6].
Our case report contributes to the existing literature by describing a rare instance of OT reactivation in a neurosarcoidosis patient receiving TNF-α inhibitors and Mycophenolate Mofetil. This case underscores the complex interplay between infection control and autoimmune disease management, emphasizing the need for a multidisciplinary, patient-centered approach in similar cases [9,12,17].
By highlighting the diagnostic and therapeutic uncertainties in managing OT in immunosuppressed patients, this study reinforces the necessity for future research and the development of standardized clinical protocols.
5. Conclusions
This case underscores the importance of considering opportunistic infections, particularly toxoplasmosis, in patients with sarcoidosis undergoing immunosuppressive therapy. We recommend routine serological screening for toxoplasmosis before initiating such treatments and maintaining a high index of suspicion of ocular toxoplasmosis in these patients. Multimodal imaging techniques proved invaluable in diagnosing and monitoring disease progression in our patient.
Author Contributions
Conceptualization, A.S. and A.C.T.; methodology, P.V. and S.G.; validation, G.B. and E.S.; formal analysis, F.B.; investigation, A.S., A.C.T. and M.L.; resources, P.V.; data curation, S.G.; writing—original draft preparation, A.S.; writing—review and editing, P.V. and F.B.; visualization, G.B.; supervision, F.B.; project administration, P.V. All authors have read and agreed to the published version of the manuscript.
Funding
No funding was received for this research.
Institutional Review Board Statement
This is a retrospective study and, as for the Italian legislation, this kind of study doesn’t require an ethical approval. Only a notification to the CE is needed.
Informed Consent Statement
The patient provided written informed consent for the publication of the case details and associated images.
Data Availability Statement
The original contributions presented in this study are included in the article. Further inquiries can be directed to the corresponding author.
Conflicts of Interest
The authors declare no conflicts of interest.
References
- Iannuzzi, M.C.; Rybicki, B.A.; Teirstein, A.S. Sarcoidosis. N. Engl. J. Med. 2007, 357, 2153–2165. [Google Scholar] [CrossRef]
- Valeyre, D.; Prasse, A.; Nunes, H.; Uzunhan, Y.; Brillet, P.Y.; Müller-Quernheim, J. Sarcoidosis. Lancet 2014, 383, 1155–1167. [Google Scholar] [CrossRef] [PubMed]
- Moller, D.R.; Chen, E.S. What causes sarcoidosis? Curr. Opin. Pulm. Med. 2002, 8, 429–434. [Google Scholar] [CrossRef]
- Montoya, J.; Liesenfeld, O. Toxoplasmosis. Lancet 2004, 363, 1965–1976. [Google Scholar] [CrossRef]
- Holland, G.N. Ocular toxoplasmosis: A global reassessment. Am. J. Ophthalmol. 2003, 136, 973–988. [Google Scholar] [CrossRef] [PubMed]
- Kalogeropoulos, D.; Sakkas, H.; Mohammed, B.; Vartholomatos, G.; Malamos, K.; Sreekantam, S.; Kanavaros, P.; Kalogeropoulos, C. Ocular toxoplasmosis: A review of the current diagnostic and therapeutic approaches. Int. Ophthalmol. 2022, 42, 295–321. [Google Scholar] [CrossRef] [PubMed] [PubMed Central]
- Holland, G.N.; Engstrom, R.E., Jr.; Glasgow, B.J.; Berger, B.B.; Daniels, S.A.; Sidikaro, Y.; Harmon, J.A.; Fischer, D.H.; Boyer, D.S.; Rao, N.A.; et al. Ocular toxoplasmosis in patients with the acquired immunodeficiency syndrome. Am. J. Ophthalmol. 1988, 106, 653–667. [Google Scholar] [CrossRef] [PubMed]
- Garweg, J.G.; Scherrer, J.; Wallon, M.; Kodjikian, L.; Peyron, F. Reactivation of ocular toxoplasmosis during pregnancy. BJOG 2005, 112, 241–242. [Google Scholar] [CrossRef] [PubMed]
- Van Den Noortgate, R.; Kiselinova, M.; Sys, C.; Accou, G.; Laureys, G.; Van Vlierberghe, H.; Berrevoet, F.; Kreps, E.O. Concurrent Ocular and Cerebral Toxoplasmosis in a Liver Transplant Patient Treated with Anti-CD40 Monoclonal Antibody. Case Rep. Infect. Dis. 2023, 2023, 5565575. [Google Scholar] [CrossRef] [PubMed]
- Lassoued, S.; Zabraniecki, L.; Marin, F.; Billey, T. Toxoplasmic Chorioretinitis and Antitumor Necrosis Factor Treatment in Rheumatoid Arthritis. Semin. Arthritis Rheum. 2007, 36, 262–263. [Google Scholar] [CrossRef] [PubMed]
- Mobini, M.; Amiri, A.A.; Ghasemian, R.; Torabizadeh, Z.; Fakhar, M. Heerfordt-Waldenström Syndrome, A Rare Presentation of Sarcoidosis in a Patient with Old Ocular Toxoplasmosis. Infect. Disord. Drug Targets 2021, 21, 629–633. [Google Scholar] [CrossRef] [PubMed]
- Kayabaşı, M.; Mammadov, T.; Köksaldı, S.; Arıkan, G.; Kaynak, S.; Saatci, A.O. Active toxoplasma chorioretinitis in immunocompromised patients: A case series. Arch. Clin. Cases 2024, 11, 5–12. [Google Scholar] [CrossRef] [PubMed] [PubMed Central]
- Rothova, A. Ocular manifestations of toxoplasmosis. Curr. Opin. Ophthalmol. 2003, 14, 384–388. [Google Scholar] [CrossRef] [PubMed]
- Garweg, J.G.; de Groot-Mijnes, J.D.F.; Montoya, J.G. Diagnostic Approach to Ocular Toxoplasmosis. Ocul. Immunol. Inflamm. 2011, 19, 255–261. [Google Scholar] [CrossRef]
- Gazzinelli, R.T.; Eltoum, I.; Wynn, T.A.; Sher, A. Acute cerebral toxoplasmosis is induced by in vivo neutralization of TNF-alpha and correlates with the down-regulated expression of inducible nitric oxide synthase and other markers of macrophage activation. J. Immunol. 1993, 151, 3672–3681. [Google Scholar] [CrossRef]
- Safa, G.; Darrieux, L. Cerebral Toxoplasmosis After Rituximab Therapy. JAMA Intern. Med. 2013, 173, 924. [Google Scholar] [CrossRef][Green Version]
- Bernardo, D.R.; Chahin, N. Toxoplasmic encephalitis during mycophenolate mofetil immunotherapy of neuromuscular disease. Neurol. Neuroimmunol. Neuroinflamm. 2015, 2, e63. [Google Scholar] [CrossRef]
Disclaimer/Publisher’s Note: The statements, opinions and data contained in all publications are solely those of the individual author(s) and contributor(s) and not of MDPI and/or the editor(s). MDPI and/or the editor(s) disclaim responsibility for any injury to people or property resulting from any ideas, methods, instructions or products referred to in the content. |
© 2025 by the authors. Licensee MDPI, Basel, Switzerland. This article is an open access article distributed under the terms and conditions of the Creative Commons Attribution (CC BY) license (https://creativecommons.org/licenses/by/4.0/).
