Gastric Perforation from Bag-Valve-Mask Ventilation Resulting in Tension Pneumoperitoneum and Arterial Insufficiency
Abstract
1. Introduction
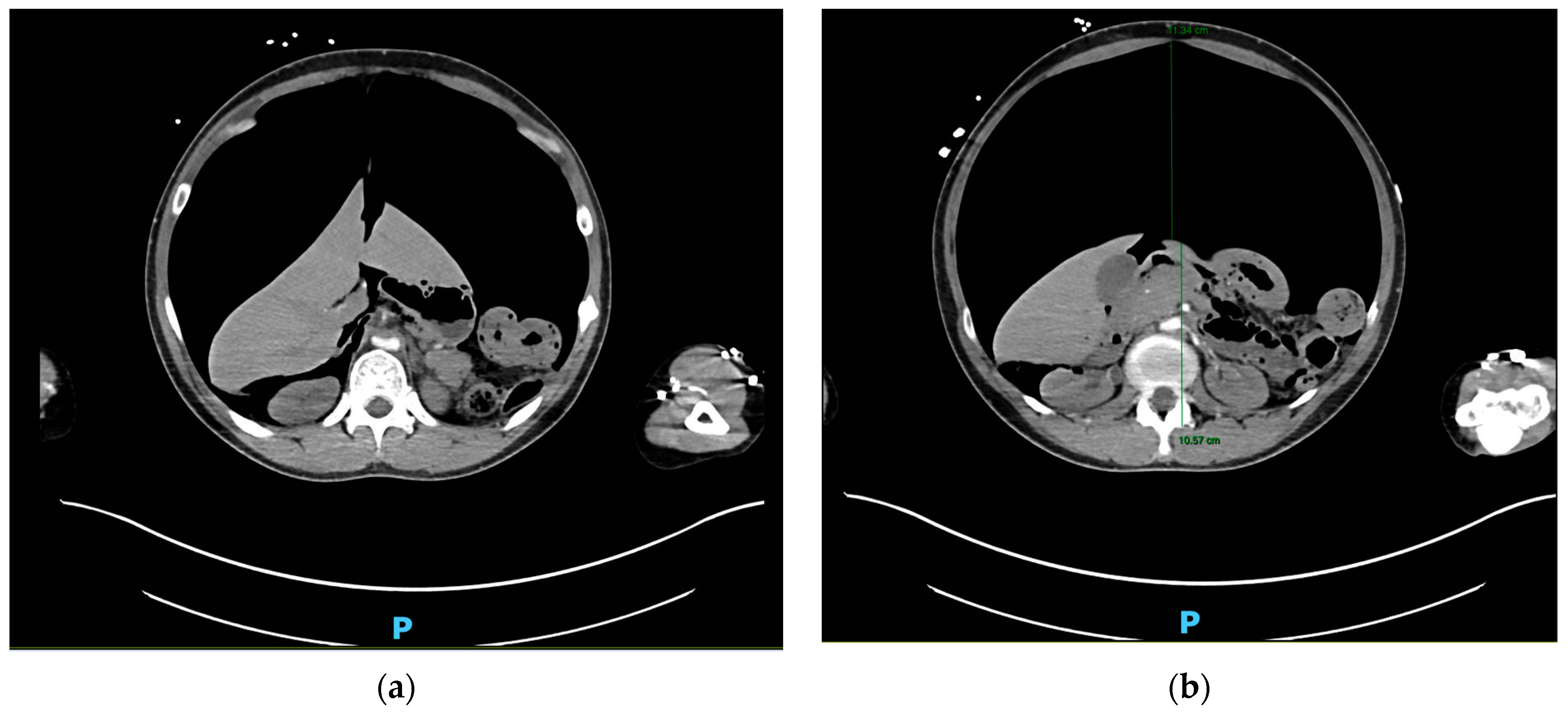
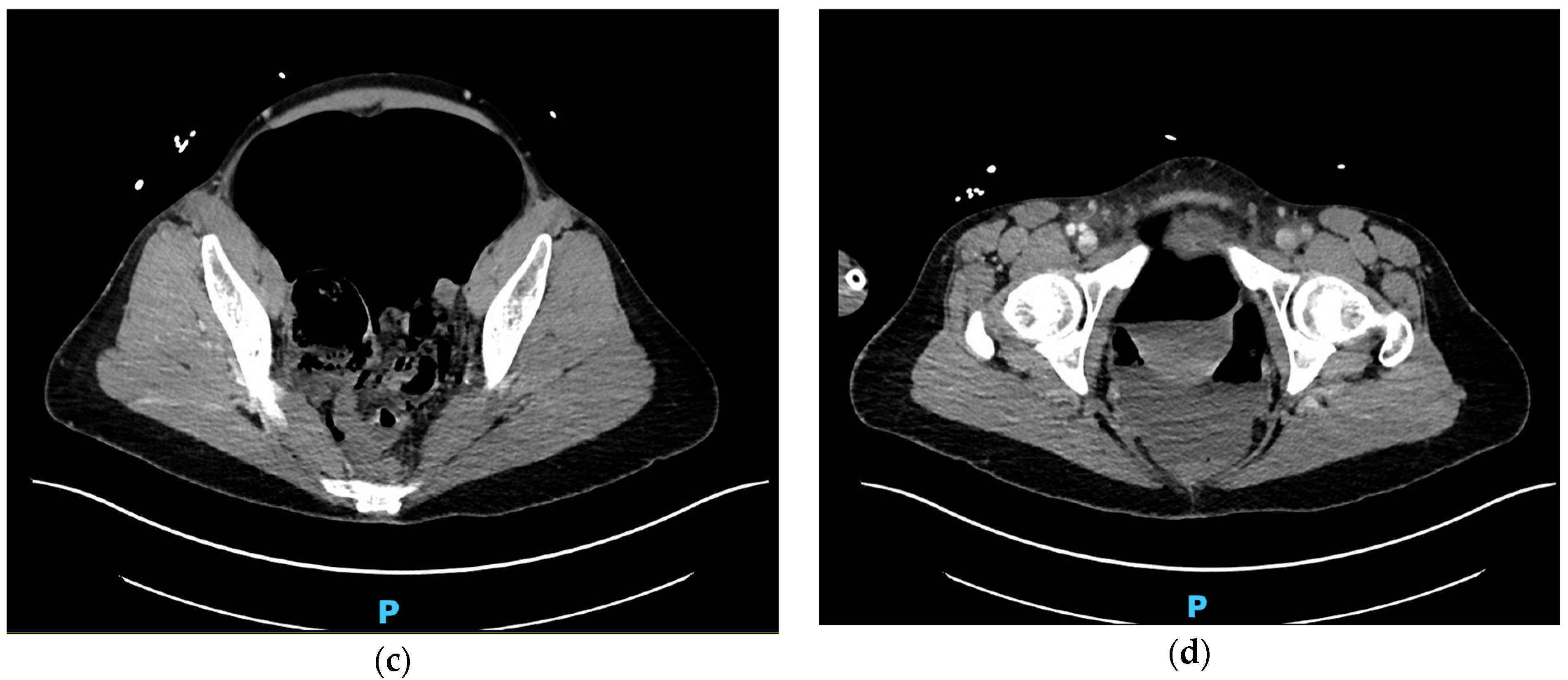
2. Case Presentation
3. Discussion
4. Conclusions
Author Contributions
Funding
Institutional Review Board Statement
Informed Consent Statement
Data Availability Statement
Conflicts of Interest
References
- Naito, H.; Hanafusa, H.; Hongo, T.; Yumoto, T.; Yorifuji, T.; Weissman, A.; Rittenberger, J.C.; Guyette, F.X.; Fujishima, M.; Maeyama, H.; et al. Effect of stomach inflation during cardiopulmonary resuscitation on return of spontaneous circulation in out-of-hospital cardiac arrest patients: A retrospective observational study. Resuscitation 2023, 193, 109994. [Google Scholar] [CrossRef] [PubMed]
 - Seth, A.K.; Bansal, R.K. Endoscopic insufflation–induced gastric barotrauma during percutaneous endoscopic gastrostomy: A report of three patients and review of literature. J. Dig. Endosc. 2021, 12, 103–106. [Google Scholar] [CrossRef]
 - Ferrara, G.; Kolli, V.S.; Arnaudov, S.; Whiteley, G. Tension pneumoperitoneum. BMJ Case Rep. 2018, 2018, bcr-2017-223069. [Google Scholar] [CrossRef] [PubMed]
 - Spoormans, I.; Van Hoorenbeeck, K.; Balliu, L.; Jorens, P.G. Gastric perforation after cardiopulmonary resuscitation: Review of the literature. Resuscitation 2010, 81, 272–280. [Google Scholar] [CrossRef]
 - Offerman, S.R.; Holmes, J.F.; Wisner, D.H. Gastric rupture and massive pneumoperitoneum after bystander cardiopulmonary resuscitation. J. Emerg. Med. 2001, 21, 137–139. [Google Scholar] [CrossRef] [PubMed]
 - Carvalho, M.; Godinho, P.; Moura, A.; Silva, C.; Tourais, I.; Marques, M.; Machado, H.S. Gastric rupture after bag mask ventilation: A review under a case report. J. Anesth. Clin. Res. 2016, 7, 617. [Google Scholar] [CrossRef]
 - Bednarz, S.; Filipovic, M.; Schoch, O.; Mauermann, E. Gastric rupture after bag-mask-ventilation. Respir. Med. Case Rep. 2015, 16, 1–2. [Google Scholar] [CrossRef][Green Version]
 - Chander, B.; Aslanian, H.R. Gastric perforations associated with the use of crack cocaine. Gastroenterol. Hepatol. 2010, 6, 733–735. [Google Scholar]
 - Sharma, R.; Organ, C.H., Jr.; Hirvela, E.R.; Henderson, V.J. Clinical observation of the temporal association between crack cocaine and duodenal ulcer perforation. Am. J. Surg. 1997, 174, 629–633. [Google Scholar] [CrossRef]
 - Lathers, C.M.; Tyau, L.S.Y.; Spino, M.M.; Agarwal, I. Cocaine-Induced Seizures, Arrhythmias and Sudden Death. J. Clin. Pharmacol. 1988, 28, 584–593. [Google Scholar] [CrossRef]
 - Mahdi, D.; Ali, M.A. A man with an alcoholic-related duodenal perforation after losing his job due to the SARS-CoV-2 pandemic. Clin. Case Rep. 2021, 9, e04896. [Google Scholar] [CrossRef]
 - Theodorou, C.M.; Chen, P.; Vanover, M.A.; Saadai, P.; Brown, E.G.; Haas, K.B.; Hirose, S. Total gastrectomy with delayed Hunt-Lawrence pouch reconstruction for neonatal gastric perforation presenting with hematemesis. J. Pediatr. Surg. Case Rep. 2020, 63, 101686. [Google Scholar] [CrossRef]
 - Linch, D.; McDonald, A.; McNicol, L. Tension pneumoperitoneum complicating cardiac resuscitation. Intensive Care Med. 1979, 5, 93–94. [Google Scholar] [CrossRef] [PubMed]
 - Buffington, C.W.; Wells, C.M.Q.; Soose, R.J. Expiratory upper airway obstruction caused by the soft palate during bag-mask ventilation. Open J. Anesthesiol. 2012, 2, 38–43. [Google Scholar] [CrossRef][Green Version]
 - Bowman, F.P.; Menegazzi, J.J.; Check, B.D.; Duckett, T.M. Lower esophageal sphincter pressure during prolonged cardiac arrest and resuscitation. Ann. Emerg. Med. 1995, 26, 216–219. [Google Scholar] [CrossRef] [PubMed]
 - Custer, J.R.; Polley, T.Z.; Moler, F. Gastric perforation following cardiopulmonary resuscitation in a child: Report of a case and review of the literature. Pediatr. Emerg. Care 1987, 3, 24–27. [Google Scholar] [CrossRef] [PubMed]
 - Melker, R.J. Recommendation for ventilation during cardiopulmonary resuscitation: Time for a change? Crit. Care Med. 1985, 13, 882–883. [Google Scholar] [CrossRef]
 - Yang, Z.; Liang, H.; Li, J.; Qiu, S.; He, Z.; Li, J.; Cao, Z.; Yan, P.; Liang, Q.; Zeng, L.; et al. Comparing the efficacy of bag-valve mask, endotracheal intubation, and laryngeal mask airway for subjects with out-of-hospital cardiac arrest: An indirect meta-analysis. Ann. Transl. Med. 2019, 7, 257. [Google Scholar] [CrossRef]
 - Khoury, A.; Hugonnot, S.; Cossus, J.; De Luca, A.; Desmettre, T.; Sall, F.S.; Capellier, G. From mouth-to-mouth to bag-valve-mask ventilation: Evolution and characteristics of actual devices—A review of the literature. BioMed Res. Int. 2014, 2014, 762053. [Google Scholar] [CrossRef]
 - Aufderheide, T.P.; Sigurdsson, G.; Pirrallo, R.G.; Yannopoulos, D.; McKnite, S.; von Briesen, C.; Sparks, C.W.; Conrad, C.J.; Provo, T.A.; Lurie, K.G. Hyperventilation-induced hypotension during cardiopulmonary resuscitation. Circulation 2004, 109, 1960–1965. [Google Scholar] [CrossRef]
 - O’Hanlon, K.P. Gastric rupture with pneumoperitoneum after mouth-to-nose breathing in an infant. J. Emerg. Med. 2010, 39, 312–315. [Google Scholar] [CrossRef] [PubMed]
 - Cassebaum, W.H.; Carberry, D.M.; Stefko, P. Rupture of the stomach from mouth-to-mouth resuscitation. J. Trauma Inj. Infect. Crit. Care 1974, 14, 811–814. [Google Scholar] [CrossRef] [PubMed]
 


Disclaimer/Publisher’s Note: The statements, opinions and data contained in all publications are solely those of the individual author(s) and contributor(s) and not of MDPI and/or the editor(s). MDPI and/or the editor(s) disclaim responsibility for any injury to people or property resulting from any ideas, methods, instructions or products referred to in the content.  | 
© 2024 by the authors. Licensee MDPI, Basel, Switzerland. This article is an open access article distributed under the terms and conditions of the Creative Commons Attribution (CC BY) license (https://creativecommons.org/licenses/by/4.0/).
Share and Cite
Yang, V.B.; Pan, A.; Stevens, K.A.; Harris, J.E., Jr. Gastric Perforation from Bag-Valve-Mask Ventilation Resulting in Tension Pneumoperitoneum and Arterial Insufficiency. Trauma Care 2024, 4, 200-205. https://doi.org/10.3390/traumacare4030017
Yang VB, Pan A, Stevens KA, Harris JE Jr. Gastric Perforation from Bag-Valve-Mask Ventilation Resulting in Tension Pneumoperitoneum and Arterial Insufficiency. Trauma Care. 2024; 4(3):200-205. https://doi.org/10.3390/traumacare4030017
Chicago/Turabian StyleYang, Victor Boya, Annabelle Pan, Kent Allen Stevens, and James Earl Harris, Jr. 2024. "Gastric Perforation from Bag-Valve-Mask Ventilation Resulting in Tension Pneumoperitoneum and Arterial Insufficiency" Trauma Care 4, no. 3: 200-205. https://doi.org/10.3390/traumacare4030017
APA StyleYang, V. B., Pan, A., Stevens, K. A., & Harris, J. E., Jr. (2024). Gastric Perforation from Bag-Valve-Mask Ventilation Resulting in Tension Pneumoperitoneum and Arterial Insufficiency. Trauma Care, 4(3), 200-205. https://doi.org/10.3390/traumacare4030017
        
