Automated Classification of Collateral Circulation for Ischemic Stroke in Cone-Beam CT Images Using VGG11: A Deep Learning Approach
Abstract
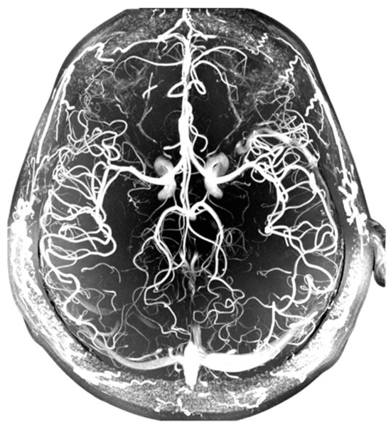
1. Introduction
2. Method
3. Results and Discussion
3.1. Training and Testing Stage
3.2. Classification Stage
3.3. Performance Evaluation Stage
4. Conclusions
Author Contributions
Funding
Institutional Review Board Statement
Data Availability Statement
Conflicts of Interest
References
- Basiron, H.; Azmi, M.A.; Latif, M.J.A.; Kamaruddin, A.I.; Zaidi, A.I.M.; Badrulzaman, W.M.F.W. Development of Speech Therapy Mobile Application for Speech Disorder Post-Stroke Patients. In Proceedings of the 2021 IEEE 11th International Conference on System Engineering and Technology (ICSET), Shah Alam, Malaysia, 6 November 2021; pp. 130–133. [Google Scholar]
- Lyden, S.; Wold, J. Acute Treatment of Ischemic Stroke. Neurol. Clin. 2022, 40, 17–32. [Google Scholar] [CrossRef] [PubMed]
- Bandzouzi, P.E.G.S.; Mpandzou, G.A.; Diatewa, J.E.; M’foutou, P.M.; Motoula-Latou, D.H.; Koubemba, C.G.; Ossou-Nguiet, P.M.; Moukassa, D. Stroke and HIV: Correlation between Viral Load and Type of Stroke. Neurosci. Med. 2021, 12, 163–167. [Google Scholar] [CrossRef]
- Emon, M.U.; Keya, M.S.; Meghla, T.I.; Rahman, M.; Al Mamun, M.S.; Kaiser, M.S. Performance Analysis of Machine Learning Approaches in Stroke Prediction. In Proceedings of the 2020 4th International Conference on Electronics, Communication and Aero-space Technology (ICECA), Coimbatore, India, 5–7 November 2020; pp. 1464–1469. [Google Scholar] [CrossRef]
- Agbetou, M.; Sowanou, A.; Goudjinou, G.; Adjien, C.; Houinato, D.; donné Gnonlonfoun, D. Etiologies of Ischemic Stroke in Sub-Saharan Africa, Case of Benin. Neurosci. Med. 2020, 11, 100–107. [Google Scholar] [CrossRef]
- Zhu, H.; Zhang, Y.; Zhong, Y.; Ye, Y.; Hu, X.; Gu, L.; Xiong, X. Inflammation-Mediated Angiogenesis in Ischemic Stroke. Front. Cell. Neurosci. 2021, 15, 652647. [Google Scholar] [CrossRef] [PubMed]
- Kui, L.; Li, Z.; Wang, G.; Li, X.; Zhao, F.; Jiao, Y. CircPDS5B Reduction Improves Angiogenesis Following Ischemic Stroke by Regulating MicroRNA-223-3p/NOTCH2 Axis. Neurol. Genet. 2023, 9, e200074. [Google Scholar] [CrossRef] [PubMed]
- Agarwal, A.; Sharma, A.; Vishnu, V.; Srivastava, M.P. Collateral Circulation—Evolving from Time Window to Tissue Window. Ann. Indian Acad. Neurol. 2022, 26, 10–16. [Google Scholar] [CrossRef]
- Vasquez, H.E.; Murlimanju, B.V.; Shrivastava, A.; Durango-Espinosa, Y.A.; Joaquim, A.F.; Garcia-Ballestas, E.; Moscote-Salazar, L.R.; Agrawal, A. Intracranial collateral circulation and its role in neurovascular pathology. Egypt. J. Neurosurg. 2021, 36, 2. [Google Scholar] [CrossRef]
- Verdolotti, T.; Pilato, F.; Cottonaro, S.; Monelli, E.; Giordano, C.; Guadalupi, P.; Benenati, M.; Ramaglia, A.; Costantini, A.M.; Alexandre, A.; et al. Colorviz, a new and rapid tool for assessing collateral circulation during stroke. Brain Sci. 2020, 10, 882. [Google Scholar] [CrossRef]
- Shokri, A.; Eskandarloo, A.; Norouzi, M.; Poorolajal, J.; Majidi, G.; Aliyaly, A. Diagnostic accuracy of cone-beam computed tomography scans with high- and low-resolution modes for the detection of root perforations. Imaging Sci. Dent. 2018, 48, 11–19. [Google Scholar] [CrossRef]
- Iqbal, S. A comprehensive study of the anatomical variations of the circle of Willis in adult human brains. J. Clin. Diagn. Res. 2013, 7, 2423–2427. [Google Scholar] [CrossRef]
- Malhotra, K.; Liebeskind, D.S. Collaterals in ischemic stroke. Brain Hemorrhages 2020, 1, 6–12. [Google Scholar] [CrossRef]
- Liu, L.; Ding, J.; Leng, X.; Pu, Y.; Huang, L.-A.; Xu, A.; Wong, K.S.L.; Wang, X.; Wang, Y. Guidelines for evaluation and management of cerebral collateral circulation in ischaemic stroke 2017. Stroke Vasc. Neurol. 2018, 3, 117–130. [Google Scholar] [CrossRef]
- Wang, Z.; Ding, J.; Bai, C.; Ding, Y.; Ji, X.; Meng, R. Clinical Classification and Collateral Circulation in Chronic Cerebrospinal Venous Insufficiency. Front. Neurol. 2020, 11, 913. [Google Scholar] [CrossRef] [PubMed]
- Bang, O.Y.; Saver, J.L.; Kim, S.J.; Kim, G.-M.; Chung, C.-S.; Ovbiagele, B.; Lee, K.H.; Liebeskind, D.S.; CLA-Samsung Stroke Collaborators. Collateral flow averts hemorrhagic transformation after endovascular therapy for acute ischemic stroke. Stroke 2011, 42, 2235–2239. [Google Scholar] [CrossRef]
- Potter, C.A.; Vagal, A.S.; Goyal, M.; Nunez, D.B.; Leslie-Mazwi, T.M.; Lev, M.H. CT for treatment selection in acute ischemic stroke: A code stroke primer. Radiographics 2019, 39, 1717–1738. [Google Scholar] [CrossRef] [PubMed]
- Bang, O.Y.; Saver, J.L.; Kim, S.J.; Kim, G.-M.; Chung, C.-S.; Ovbiagele, B.; Lee, K.H.; Liebeskind, D.S. Collateral flow predicts response to endovascular therapy for acute ischemic stroke. Stroke 2011, 42, 693–699. [Google Scholar] [CrossRef]
- Bang, O.Y.; Saver, J.L.; Buck, B.H.; Alger, J.R.; Starkman, S.; Ovbiagele, B.; Kim, D.; Jahan, R.; Duckwiler, G.R.; Yoon, S.R.; et al. Impact of collateral flow on tissue fate in acute ischaemic stroke. J. Neurol. Neurosurg. Psychiatry 2008, 79, 625–629. [Google Scholar] [CrossRef]
- Nicholson, P.; Cancelliere, N.M.; Bracken, J.; Hummel, E.; van Nijnatten, F.; Withagen, P.; van de Haar, P.; Hallacoglu, B.; van Vlimmeren, M.; Agid, R.; et al. Novel flat-panel cone-beam CT compared to multi-detector CT for assessment of acute ischemic stroke: A prospective study. Eur. J. Radiol. 2021, 138, 109645. [Google Scholar] [CrossRef]
- Yang, T.-W.; Lin, Y.-Y.; Hsu, S.-C.; Chu, K.C.-W.; Hsiao, C.-W.; Hsu, C.-W.; Bai, C.-H.; Chang, C.-K.; Hsu, Y.-P. Diagnostic performance of cone-beam computed tomography for scaphoid fractures: A systematic review and diagnostic meta-analysis. Sci. Rep. 2021, 11, 2587. [Google Scholar] [CrossRef]
- Aziz, A.A.; Izhar, L.I.; Asirvadam, V.S.; Tang, T.B.; Ajam, A.; Omar, Z.; Muda, S. Detection of Collaterals from Cone-Beam CT Images in Stroke. Sensors 2021, 21, 8099. [Google Scholar] [CrossRef]
- Phipps, M.S.; Cronin, C.A. Management of acute ischemic stroke. BMJ 2020, 368, l6983. [Google Scholar] [CrossRef] [PubMed]
- Saad, N.M.; Abdullah, A.R.; Syafeeza, A.R.; Noor, N.S.M.; Ali, N.H.; Muda, A.S. Automated Classification of Stroke Lesion Using Bagged Tree Classifier. IOP Conf. Ser. Mater. Sci. Eng. 2020, 884, 012078. [Google Scholar] [CrossRef]
- Lata, S.; Mohanty, S.K.; Vinay, S.; Das, A.C.; Das, S.; Choudhury, P. Is Cone Beam Computed Tomography (CBCT) a Potential Imaging Tool in ENT Practice?: A Cross-Sectional Survey Among ENT Surgeons in the State of Odisha, India. Indian J. Otolaryngol. Head Neck Surg. 2018, 70, 130–136. [Google Scholar] [CrossRef] [PubMed]
- Kabaliuk, N.; Nejati, A.; Loch, C.; Schwass, D.; Cater, J.E.; Jermy, M.C. Strategies for Segmenting the Upper Airway in Cone-Beam Computed Tomography (CBCT) Data. Open J. Med. Imaging 2017, 07, 196–219. [Google Scholar] [CrossRef]
- Jamaiyar, A.; Juguilon, C.; Dong, F.; Cumpston, D.; Enrick, M.; Chilian, W.M.; Yin, L. Cardioprotection during ischemia by coronary collateral growth. Am. J. Physiol.-Heart Circ. Physiol. 2019, 316, H1–H9. [Google Scholar] [CrossRef] [PubMed]
- Mayer, L.; Grams, A.; Freyschlag, C.F.; Gummerer, M.; Knoflach, M. Management and prognosis of acute extracranial internal carotid artery occlusion. Ann. Transl. Med. 2020, 8, 1268. [Google Scholar] [CrossRef]
- Piedade, G.S.; Schirmer, C.M.; Goren, O.; Zhang, H.; Aghajanian, A.; Faber, J.E.; Griessenauer, C.J. Cerebral Collateral Circulation: A Review in the Context of Ischemic Stroke and Mechanical Thrombectomy. World Neurosurg. 2019, 122, 33–42. [Google Scholar] [CrossRef] [PubMed]
- Tetteh, G.; Navarro, F.; Meier, R.; Kaesmacher, J.; Paetzold, J.C.; Kirschke, J.S.; Zimmer, C.; Wiest, R.; Menze, B.H. A deep learning approach to predict collateral flow in stroke patients using radiomic features from perfusion images. Front. Neurol. 2023, 14, 1039693. [Google Scholar] [CrossRef]
- Kersten-Oertel, M.; Alamer, A.; Fonov, V.; Lo, B.W.Y.; Tampieri, D.; Collins, D.L. Towards a computed collateral circulation score in ischemic stroke. arXiv 2020, arXiv:2001.07169. [Google Scholar]
- Aktar, M.; Tampieri, D.; Rivaz, H.; Kersten-Oertel, M.; Xiao, Y. Automatic collateral circulation scoring in ischemic stroke using 4D CT angiography with low-rank and sparse matrix decomposition. Int. J. Comput. Assist. Radiol. Surg. 2020, 15, 1501–1511. [Google Scholar] [CrossRef]
- Ali, N.H.; Abdullah, A.R.; Saad, N.M.; Muda, A.S. Brain cone beam computed tomography image analysis using ResNet50 for collateral circulation classification. Int. J. Electr. Comput. Eng. 2023, 13, 5843–5852. [Google Scholar] [CrossRef]
- Biratu, E.S.; Schwenker, F.; Debelee, T.G.; Kebede, S.R.; Negera, W.G.; Molla, H.T. Enhanced Region Growing for Brain Tumor MR Image Segmentation. J. Imaging 2021, 7, 22. [Google Scholar] [CrossRef]
- Zhi, S.; Kachelrieb, M.; Pan, F.; Mou, X. CycN-Net: A Convolutional Neural Network Specialized for 4D CBCT Images Refinement. IEEE Trans. Med. Imaging 2021, 40, 3054–3064. [Google Scholar] [CrossRef]
- Wan, Z.; Liu, C.; Zhang, M.; Fu, J.; Wang, B.; Cheng, S.; Ma, L.; Quilodrán-Casas, C.; Arcucci, R. Med-UniC: Unifying Cross-Lingual Medical Vision-Language Pre-Training by Diminishing Bias. arXiv 2023, arXiv:2305.19894. [Google Scholar]
- Liu, C.; Cheng, S.; Chen, C.; Qiao, M.; Zhang, W.; Shah, A.; Bai, W.; Arcucci, R. M-FLAG: Medical Vision-Language Pre-training with Frozen Language Models and Latent Space Geometry Optimization. In Lecture Notes in Computer Science (including Subseries Lecture Notes in Artificial Intelligence and Lecture Notes in Bioinformatics); Springer: Cham, Switzerland, 2023; Volume 14220, pp. 637–647. [Google Scholar]
- Alom, M.Z.; Taha, T.M.; Yakopcic, C.; Westberg, S.; Sidike, P.; Nasrin, M.S.; Hasan, M.; Van Essen, B.C.; Awwal, A.A.; Asari, V.K. A state-of-the-art survey on deep learning theory and architectures. Electronics 2019, 8, 292. [Google Scholar] [CrossRef]
- Talo, M.; Yildirim, O.; Baloglu, U.B.; Aydin, G.; Acharya, U.R. Convolutional neural networks for multi-class brain disease detection using MRI images. Comput. Med. Imaging Graph. 2019, 78, 101673. [Google Scholar] [CrossRef] [PubMed]
- Kaya, V.; Akgül, I. Classification of skin cancer using VGGNet model structures. Gümüşhane Üniversitesi Fen Bilimleri Dergisi 2022, 13, 190–198. [Google Scholar] [CrossRef]
- Govindan, A.P.; Kumarappan, A. A Reversible Convolutional Neural Network Model for Sign Language Recognition. Int. J. Intell. Eng. Syst. 2022, 15, 163–174. [Google Scholar]
- Sri, S.V.; Kavya, S. Lung Segmentation Using Deep Learning. Asian J. Appl. Sci. Technol. 2021, 05, 10–19. [Google Scholar] [CrossRef]
- Mao, A.; Giraudet, C.S.E.; Liu, K.; Nolasco, I.D.A.; Xie, Z.; Xie, Z.; Gao, Y.; Theobald, J.; Bhatta, D.; Stewart, R.; et al. Automated identification of chicken distress vocalizations using deep learning models. J. R. Soc. Interface 2022, 19, 20210921. [Google Scholar] [CrossRef]
- Rahi, M.I.; Khan, F.T.; Mahtab, M.T.; Ullah, A.K.M.A.; Alam, G.R.; Alam, A. Detection Of Skin Cancer Using Deep Neural Networks. In Proceedings of the 2019 IEEE Asia-Pacific Conference on Computer Science and Data Engineering (CSDE), Melbourne, VIC, Australia, 9–11 December 2019. [Google Scholar]
- Iglovikov, V.; Shvets, A. TernausNet: U-Net with VGG11 Encoder Pre-Trained on ImageNet for Image Segmentation. arXiv 2018, arXiv:1801.05746. [Google Scholar]
- Tammina, S. Transfer learning using VGG-16 with Deep Convolutional Neural Network for Classifying Images. Int. J. Sci. Res. Publ. 2019, 9, 143–150. [Google Scholar] [CrossRef]
- Sanjar, K.; Rehman, A.; Paul, A.; JeongHong, K. Weight dropout for preventing neural networks from overfitting. In Proceedings of the 2020 8th International Conference on Orange Technology (ICOT 2020), Daegu, Republic of Korea, 18–21 December 2020; pp. 3–6. [Google Scholar]








| Criteria | Poor | Moderate | Good |
|---|---|---|---|
| Assessment using the Miteff collateral method [14] | Only superficial MCA is reconstructed distal to the occlusion | Some of the MCA branches are reconstructed distal to the occlusion | Most of the MCA branches are reconstructed distal to the occlusion |
| Degree of vertebral venous expansion [15] | External vertebral vein ≤ 25% | External vertebral vein ≥ 25% | External vertebral vein ≥ 50% |
| Vascular reperfusion [18] | Minimal recanalization | Partial recanalization | Complete recanalization |
| Infarct growth [19] | More infarct growth with good pre-treatment. | Less infarct growth with good pre-treatment. | Did not show infarct growth with good pre-treatment. |
| Author | Purpose | Imaging Modality | Result |
|---|---|---|---|
| Kaya et al. [40] | Skin Cancer | Skin cancer image | Accuracy—83% |
| Govindan et al. [41] | Sign Language | Hand gestures and voice | Accuracy—97.89% |
| Sri et al. [42] | Lung | X-ray | Accuracy—98.28% |
| Mao et al. [43] | Chicken Distress | Audio | Accuracy—95.07% |
| Rahi et al. [44] | Skin Cancer | Skin cancer image | Accuracy—85% |
Disclaimer/Publisher’s Note: The statements, opinions and data contained in all publications are solely those of the individual author(s) and contributor(s) and not of MDPI and/or the editor(s). MDPI and/or the editor(s) disclaim responsibility for any injury to people or property resulting from any ideas, methods, instructions or products referred to in the content. |
© 2024 by the authors. Licensee MDPI, Basel, Switzerland. This article is an open access article distributed under the terms and conditions of the Creative Commons Attribution (CC BY) license (https://creativecommons.org/licenses/by/4.0/).
Share and Cite
Ali, N.H.; Abdullah, A.R.; Saad, N.M.; Muda, A.S.; Noor, E.E.M. Automated Classification of Collateral Circulation for Ischemic Stroke in Cone-Beam CT Images Using VGG11: A Deep Learning Approach. BioMedInformatics 2024, 4, 1692-1702. https://doi.org/10.3390/biomedinformatics4030091
Ali NH, Abdullah AR, Saad NM, Muda AS, Noor EEM. Automated Classification of Collateral Circulation for Ischemic Stroke in Cone-Beam CT Images Using VGG11: A Deep Learning Approach. BioMedInformatics. 2024; 4(3):1692-1702. https://doi.org/10.3390/biomedinformatics4030091
Chicago/Turabian StyleAli, Nur Hasanah, Abdul Rahim Abdullah, Norhashimah Mohd Saad, Ahmad Sobri Muda, and Ervina Efzan Mhd Noor. 2024. "Automated Classification of Collateral Circulation for Ischemic Stroke in Cone-Beam CT Images Using VGG11: A Deep Learning Approach" BioMedInformatics 4, no. 3: 1692-1702. https://doi.org/10.3390/biomedinformatics4030091
APA StyleAli, N. H., Abdullah, A. R., Saad, N. M., Muda, A. S., & Noor, E. E. M. (2024). Automated Classification of Collateral Circulation for Ischemic Stroke in Cone-Beam CT Images Using VGG11: A Deep Learning Approach. BioMedInformatics, 4(3), 1692-1702. https://doi.org/10.3390/biomedinformatics4030091

