You are currently viewing a new version of our website. To view the old version click .
Parasitologia
  • Case Report
  • Open Access

21 January 2025

Dioctophyme renale in a 5-Month-Old Puppy from Delta del Tigre, Uruguay

,
,
,
,
,
and
1
Unidad de Parasitologìa Veterinaria, Departamento de Patobiología, Facultad de Veterinaria, Universidad de la República, Montevideo 12100, Uruguay
2
Private Veterinary Practice, Montevideo 11100, Uruguay
3
Private Veterinary Practice, Salinas 15100, Canelones, Uruguay
*
Author to whom correspondence should be addressed.

Abstract

Dioctophyme renale, also known as the giant red kidney worm, is a parasitic nematode that infects various mammalian hosts, including dogs, and is associated with an important renal pathology. This case report describes the first known D. renale parasitism in a 5-month-old puppy from Uruguay. The animal presented with hematuria and was diagnosed through abdominal ultrasonography, which revealed characteristic ring-like structures in the right kidney, and urine sedimentation, which confirmed the presence of D. renale eggs. The dog underwent nephrectomy to remove the adult female parasite. While D. renale is typically associated with a prepatent period of 3.5 to 6 months in canines, this case is notable for the early presence of a mature parasite in a young dog. This finding suggests the possibility of a shorter prepatent period or alternative transmission routes, such as transplacental or lactogenic transmission. The case highlights the importance of including dioctophymosis in the differential diagnosis of young puppies in endemic areas, especially near freshwater sources. Given the zoonotic potential of D. renale, this case emphasizes the need for surveillance of this parasite, particularly in regions where untreated water and fish consumption pose risks to both animals and humans.

1. Introduction

Dioctophyme renale Goeze, 1782, known as the giant red kidney worm, is a reddish-hued nematode of remarkable dimensions. Females can reach up to 100 cm in length. This parasite has the ability to infect various mammals as definitive hosts, including dogs, cats, foxes, coatis, and even humans [1,2].
In the definitive hosts, oviparous females excrete eggs with a thick, pitted surface into the urinary tract and then undergo larval development in an aquatic environment. These larvae are subsequently consumed by oligochaete annelids, serving as intermediate hosts, where they mature into infective third-stage larvae. Fish and frogs play a role as paratenic hosts, constituting the primary source of infestation for ichthyophagous definitive hosts. The definitive hosts become infected through the ingestion of either intermediate or paratenic hosts. Following ingestion, larvae penetrate the stomach or duodenum wall and migrate through the peritoneal cavity to the kidney to complete the life cycle [3,4]. The prepatent period in canines is reported to be 135 days [4].
With a global distribution, it can be found across all continents, especially with a high prevalence among dogs in South America, particularly in Argentina and the southern region of Brazil [5]. Between 2004 and 2015, a study in the city of La Plata examined 692 dogs, and 244 had dioctophymosis, resulting in a prevalence rate of 35.3% [6]. A retrospective analysis at the Veterinary Clinics Hospital of the Federal University of Pelotas, in southern Brazil, examined hospital records of 52 dogs that underwent nephrectomy for the treatment of D. renale infection. The study found that females (61.5%) were more affected than males (38.4%). Additionally, elderly dogs were less affected (15.38%) compared to puppies (21.2%) and adult dogs (63.4%) [7]. A study conducted on 248 dogs determined the prevalence of D. renale at 0.49% in northern Uruguay [8].
Renal ultrasonography, a common diagnostic tool, enables the observation of kidney modifications induced by parasite presence, detecting them through distinctive ring-like structures. This assessment is crucial for early and definitive diagnosis of D. renale infection in dogs, as abdominal ultrasonography can detect parasites regardless of their location or quantity, guiding decisions on surgical intervention [9,10]. Among the diagnosed cases in La Plata, 45.9% were identified through urine analysis, 30.7% were diagnosed by ultrasound, and 17.6% were detected using both methods. Other diagnostic approaches, such as surgery and necropsy, accounted for 2.5% of cases each, while spontaneous elimination of the parasites was observed in 0.8% of cases. These findings suggest that urine analysis and ultrasound were the most frequently used techniques for detecting dioctophymosis [6]. Recently, the development of indirect enzyme-linked immunosorbent assay (ELISA) has emerged as a promising diagnostic tool, demonstrating potential not only in enhancing diagnosis but also in facilitating advancements in epidemiological, immunological, and molecular research [11].
The current treatment option is nephrectomy, which should only be considered in cases of unilateral kidney damage, as long as the contralateral kidney is functioning correctly. Before proceeding with surgery, it is crucial to evaluate the renal function of the remaining kidney, since failure in this organ can significantly deteriorate the post-surgical prognosis [10].
This study aimed to describe a case of dioctophymosis in a 5-month-old dog. To our knowledge, this is the first report of this parasitosis in such a young puppy.

2. Case Report

A 5-month-old male crossbreed dog, unneutered (born on 17 July 2022), was taken to a private veterinary clinic in Salinas town in the Department of Canelones, Uruguay, after presenting an episode of hematuria. During anamnesis, the owner reported that the dog was adopted from a house in Delta del Tigre, San José, in October 2022 (Figure 1).
Figure 1. Satellite map with the location where the puppy was born (red pin).
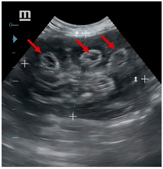
Since the adoption, the puppy has been fed commercial dog food. However, the precise diet of the puppy during its first months in Delta del Tigre is unknown. During the physical examination, the animal had a normal temperature, and healthy mucous was observed. The puppy presented no pain upon abdominal palpation, and no lesions on the penis were detected. The prescribed initial treatment was amoxicillin with clavulanic acid in an oral dose of 12.5 mg/b.w. every 12 h. Four days after the initial examination, the animal returned to the clinic for a renal ultrasound. The ultrasound revealed an altered right kidney, and in its topography, circular-shaped structures in the cross-section, both in the cortex, medulla, and pelvis, these formations when incised longitudinally; meanwhile, the left kidney showed normal features. The ultrasound findings suggested parasitism by D. renale (Figure 2).
Figure 2. Ultrasound showing D. renale (red arrows) in the right kidney.
The hemogram revealed slight anemia and leukocytosis with eosinophilia. The animal’s renal function showed mild impairment (Table 1). After this first ultrasound, the patient was referred to another veterinary clinic in Montevideo, Uruguay, for further examination and nephrectomy. Before the surgery, a urine sample was collected, and a sedimentation technique was performed, finding elliptical double-walled eggs (Figure 3). Subsequently, a midline laparotomy was performed for the nephrectomy. The renal artery and vein were tied separately with double ligatures using absorbable synthetic material to prevent arteriovenous fistulas. Ureter dissection was assessed by tying and cutting near the bladder to prevent urine retention in the residual segment. After the kidney was completely retrieved from the patient, it was cut open, and the D. renale female, 23.5 cm in length, was extracted (Figure 4A,B).
Table 1. Hematological, renal, and liver function main features before surgery.
Figure 3. Dioctophyme renale egg recovered from urine analysis.
Figure 4. Dioctophyme renale retrieved during surgery. (A) parasite length and (B) D. renale and affected kidney.
Once the patient recovered from anesthesia, the patient was discharged and returned home with the owners. To preserve the renal functionality of the remaining left kidney, modifications to its diet were prescribed.
A year after the surgery, a complete blood check was performed, including a symmetric dimethylarginine to evaluate renal functionality. The hematological control performed showed only two alterations, an increase in the number of eosinophils, and alanine aminotransferase was observed below its normal range. The values collected for renal functionality showed no alterations, including a normal symmetric dimethylarginine.
With the obtained results, it can be concluded that the case was resolved successfully and that the left kidney is efficiently compensating, allowing the dog to maintain a completely normal life.

3. Discussion

For the diagnosis of dioctophymosis, complementary methods are used, such as urine sediment analysis and imaging techniques like abdominal ultrasonography, which is available in Uruguay and neighboring countries. In other areas, computed tomography (CT) is also used [11]. However, parasite detection is often incidental, found during ultrasounds performed for other suspected pathologies, surgical interventions, or necropsies. Studies by researchers in Argentina and Brazil have developed serological assays to identify anti-D. renale antibodies in canines, although this test is not commercially available [11]. Despite not being routine in veterinary practice, recent studies suggest that this serological technique showed to be specific and without cross-reactions with other nematodes [11].
In this case, the diagnosis was performed by abdominal ultrasonography and urine sediment analysis, currently considered the “Gold Standard” in the diagnosis of dioctophymosis [6,12]. Although few cases in young dogs aged between 3 and 6 months have been reported in the current literature [6,12,13] the detection of an adult parasite in such a young puppy (only 5 months old) is of particular interest, as the prepatent period established in the literature is around 135 days (4.5 months) [14].
Previous studies documented only three reports of dioctophymosis in puppies under 6 months of age. Radman et al. (2017) reported three cases in puppies aged 4 to 5 months old, one of which presented the patent form of the disease in the right kidney. It is worth mentioning that the authors do not specify the age of the puppy at which the prepatent period is complete. The other two cases, diagnosed by ultrasonography, could correspond to non-patent forms. Butti et al. (2018) described another case of extra-renal infection in a 3-month-old puppy in Argentina. Amaro et al. (2022) reported two additional cases of puppies under 4 months in Ontario, Canada, suggesting possible early transmission routes, such as transplacental or lactogenic, since both patients shared the same shelter and sanitary facilities. However, neither of these cases had the nematode in the kidney [14]. Although these studies suggest possible transplacental transmission or a shorter prepatent period, most detected parasites were found outside the kidney. In contrast, the 5-month-old patient, described herein, harbored an adult female shedding eggs in the right kidney, indicating that the prepatent period was completed in a shorter time.
Areas close to bodies of water such as rivers, ditches, and lagoons favor the life cycle of D. renale, which involves an intermediate host (freshwater oligochaetes) and paratenic hosts like fish, frogs, and eels [1]. In this particular case, its mother had free access to freshwater sources in a flood-prone area of Delta del Tigre, San José, Uruguay, which represents a significant risk factor.
Regarding the patient’s young age (5 months), it is worth mentioning that the prepatent period of D. renale in canines varies between 4.5 and 6 months, and its complete life cycle, including passage through intermediate hosts, can extend up to 2 years [14]. This can hinder an early diagnosis, especially in regions where the infection is underdiagnosed and in puppies where this parasitosis is not commonly suspected. Indeed, in this patient’s case, the initial clinical picture was treated according to hematuria and cystitis protocols, which recommend urine sample collection for culture and antibiogram, along with broad-spectrum antibiotic therapy while awaiting culture results [14].
The present report, documented in Delta del Tigre, San José, Uruguay, represents the youngest known documented case of dioctophymosis in a canine, with an adult parasite in the right kidney, also evidenced by the presence of eggs in the urine. This case highlights the importance of including dioctophymosis in the differential diagnosis of young puppies. It underscores the need for continuous surveillance in endemic areas and freshwater bodies, as it is an underdiagnosed zoonotic disease in veterinary and human medicine [11]. In the context of “One Health” (WHO), veterinarians must inform, prevent, and treat D. renale cases in domestic animals, especially in areas where the population consumes untreated water from the Santa Lucía River and fish products, which represent an additional risk of transmission to humans [1].

Author Contributions

Conceptualization, M.T.A.-F. and A.N.-O.; methodology, M.T.A.-F. and A.N.-O.; investigation, A.N.-O., M.I.F., G.N.W., F.M., A.M. and L.G.; writing—original draft preparation, A.N.-O., M.I.F. and G.N.W.; writing—review and editing, M.T.A.-F. and A.N.-O.; supervision, M.T.A.-F.; project administration, M.T.A.-F. and A.N.-O. All authors have read and agreed to the published version of the manuscript.

Funding

This research received no external funding.

Institutional Review Board Statement

Ethical approval is not applicable to this case, as the manuscript reports a natural infection observed and treated at a private veterinary clinic. No experimental procedures or interventions outside routine veterinary care were performed. All activities complied with standard veterinary practices and animal welfare guidelines.

Data Availability Statement

All additional data supporting this article will be made available by the authors upon request.

Conflicts of Interest

The authors declare no conflicts of interest.

References

  1. Anderson, R.C.; Chabaud, A.G.; Willmott, S. Keys to the Nematode Parasites of Vertebrates: Archival Volume; CABI Publishing: Wallingford, UK, 2009. [Google Scholar]
  2. Perera, S.C.; Mascarenhas, C.S.; Cleff, M.B.; Müller, G.; Rappeti, J.C.S. Dioctophimosis: A parasitic zoonosis of public health importance. In Advances in Experimental Medicine and Biology, 1st ed.; dos Santos, H.M.B.C., Ed.; Springer International Publishing: Cham, Switzerland, 2021; pp. 129–142. [Google Scholar] [CrossRef]
  3. Pedrassani, D. Aspectos Morfológicos, Imunológicos e Epidemiológicos do Dioctophyme Renale em cães No Distrito de São Cristóvão, Três Barras, Santa Catarina. Ph.D. Thesis, Universidade Estadual Paulista Júlio de Mesquita Filho Faculdade de Ciências Agrárias e Veterinárias Campus de Jaboticabal, São Paulo, Brazil, 2009. [Google Scholar]
  4. Hernández Russo, Z.; Cárdenas Callirgos, J.; García-Ayachi, A.; Wetzel, E.J. Review of Dioctophyme renale: Etiology, Morphology, Biology, Ecoepidemiology, Pathogenesis, Symptomatology, Diagnosis, Treatment, and Prevention. J. Parasitol. 2022, 108, 180–191. [Google Scholar] [CrossRef]
  5. Perera, S.C.; Capella, G.A.; Pinto, N.B.; Rappeti, J.C.S.; Müller, G.; Azambuja, R.H.M.; Giordani, C.; Cleff, M.B. First isolation of Dioctophyme renale eggs from an urban environment and identification of those from animal urine. Braz. J. Vet. Parasitol. 2017, 26, 89–91. [Google Scholar] [CrossRef] [PubMed]
  6. Radman, N.E.; Gamboa, M.I.; Butti, M.J. Occurrence of dioctophymosis in canines within a riparian zone of the Río de La Plata watercourse, in Ensenada, Buenos Aires Province, Argentina. Vet. Parasitol. Reg. Stud. Rep. 2017, 10, 43–50. [Google Scholar] [CrossRef] [PubMed]
  7. Caye, P.; da Silva Rappeti, J.C.; Perera, S.C.; Segat, H.J. Nephrectomy in 52 dogs for the treatment of Dioctophyme renale infection—Knowing the enemy to win. Top. Companion Anim. Med. 2024, 58, 100828. [Google Scholar] [CrossRef] [PubMed]
  8. Gonçalves Hitta, V.; Ricciardi Dalmao, L.S. Relevamiento de Dioctophyme Renale en Caninos de las Ciudades de Salto y Paysandú. Bachelor’s Thesis, Universidad de la República, Facultad de Veterinaria, Montevideo, Uruguay, 2015. [Google Scholar]
  9. Silveira, C.S.; Diefenbach, A.; Mistieri, M.L.; Machado, I.R.L.; Anjos, B.L. Dioctophyma renale em 28 cães: Aspectos clinicopatológicos e ultrassonográficos. Pesqui. Veterinária Bras. 2015, 35, 899–905. [Google Scholar] [CrossRef]
  10. Eiras, J.; Zhu, X.Q.; Yurlova, N.; Pedrassani, D.; Yoshikawa, M.; Nawa, Y. Dioctophyme renale (Goeze, 1782) (Nematoda, Dioctophymidae) parasitic in mammals other than humans: A comprehensive review. Parasitol. Int. 2021, 81, 102269. [Google Scholar] [CrossRef] [PubMed]
  11. Cozza-Santos, T.; Conte, C.; Pereira, S.B.; Machado, C.A.; Perera, S.C.; Rappeti, J.C.S.; Gausmann, V.; Cavalcanti, E.A.N.L.D. Avaliação de exames utilizados para diagnóstico de dioctofimatose canina. In Proceedings of the Anais do XX Congresso Brasileiro de Parasitologia Veterinária, Londrina, Brazil, 17–19 September 2018. [Google Scholar]
  12. Butti, M.J.; Gamboa, M.I.; Terminiello, J.; Radman, N.E. Dioctofimosis en un canino de 3 meses de edad: Reporte de caso. Rev. Argent. Parasitol. 2018, 7, 33–36. [Google Scholar]
  13. Amaro, A.A.; Greer, T.; Wilson, D.; Smrdelj, M. Giant Red Kidney Worm (Dioctophyma renale) Infection in Puppies Less Than Four Months of Age from Northern Canada. J. Parasitol. 2022, 108, 127–131. [Google Scholar] [CrossRef] [PubMed]
  14. Payne, P.A.; Carter, G.R. (Eds.) Internal parasitic diseases of dogs and cats. In Concise Guide to Infectious and Parasitic Diseases of Dogs and Cats; International Veterinary Information Service: Ithaca, NY, USA, 2005. [Google Scholar]
Disclaimer/Publisher’s Note: The statements, opinions and data contained in all publications are solely those of the individual author(s) and contributor(s) and not of MDPI and/or the editor(s). MDPI and/or the editor(s) disclaim responsibility for any injury to people or property resulting from any ideas, methods, instructions or products referred to in the content.

Article Metrics

Citations

Article Access Statistics

Multiple requests from the same IP address are counted as one view.