Abstract
Background: A range of psychosocial and aesthetic factors motivate patients to undergo orthodontic treatment. The appliance choice depends not only on the type of malocclusion, but also on the aesthetic and functional demands of the patients themselves. Nowadays, digital planning enables the manufacture of individualised and customised orthodontic appliances. However, the predictability of movements with aligner treatment has long been under discussion. This article illustrates, through a series of case reports, how a hybrid approach combining individualised aesthetic orthodontic appliances can improve the predictability of tooth movements, thereby providing additional tools for clinicians charged with choosing the best indicated and biomechanically advantageous technique. To this end, three patients with different malocclusions were treated via a hybrid approach involving clear aligners in the upper arch followed by lingual fixed appliances in the upper and lower arches. All patients were treated using ALIAS lingual PSL 0.018 × 0.018-inch slot brackets and in-house 3D-printed aligners. Findings: The hybrid approach combining aligners and fixed lingual appliances led to the successful resolution of all three complex cases in the series without prolonging treatment time. The superimpositions demonstrate the predictability of even traditionally difficult movements. In particular, the Alias PSL lingual system, used from the beginning, enabled good control of both the torque and inclination of the lower incisors. Conclusions: Combining clear aligners and fixed lingual appliances provides a highly efficient means of treating malocclusions aesthetically. In our cases, the aligners offset the lack of bite-plate effect from the lingual brackets and appliances, providing advantageous biomechanics for rotation correction and control of tip, torque and root movements. Understanding how to exploit the strengths of each appliance enables the clinician to treat adult patients efficaciously, efficiently and aesthetically.
Keywords:
hybrid; aligners; lingual; orthodontics; digital treatment planning; aligner biomechanics; deep bite 1. Introduction
Understanding patients’ motivations for seeking orthodontic treatment and the psychological impact thereof is essential in modern dentistry, as these factors can have a major influence on patient compliance and satisfaction [1]. Nowadays, information on treatment options is readily available to patients as well as clinicians, and this paradigm shift has considerably raised the demand and supply requirements in the orthodontic field [2,3,4].
In particular, during the last decade, there has been a substantial increase in the demand for orthodontic treatments with clear aligners. Clear aligners are successfully marketed thanks to their ease of use and ability to achieve treatment results aesthetically [5,6], at least in malocclusion cases of mild to moderate severity [7]. Nonetheless, lingual appliances, too, have demonstrated numerous advantages in terms of aesthetics and effectiveness, enabling individual treatment goals to be met with minimal compliance [8,9].
Three-dimensional imaging, intra-oral scanners, and digital setup and printing have made clear aligners a popular option in daily orthodontic practice. The literature shows that the accuracy of today’s clear aligners enables them to effectively resolve many malocclusions, such as minor anterior crowding and molar distalisation (2.2 mm max) [10,11], but some movements, such as posterior maxillary expansion, remain challenging [12,13,14]. In fact, approximately one-third of the canine and premolar rotation planned on digital set-up is actually achieved [14], and maxillary incisor extrusion or intrusion, as overbite control, results in inadequate vertical movement [15,16]. While there is no doubt that clinically acceptable outcomes can be achieved with clear aligners, the routine predictability of aligner treatment is debatable, as are their parameters, clinical efficacy and efficiency [7,17,18].
Over 7000 papers have been dedicated to the topic of aligners; however, only 39 are prospective clinical trials, and 20 are systematic reviews; more high-quality evidence is needed for firm conclusions to be reached. That being said, the existing literature on the reliability of tooth movement raises questions about the widespread use of aligners [6,19,20,21]. In particular, a recent study emphasised the difficulty in predicting movements achieved by clear aligners. It showed a significant difference between the planned and achieved tooth positions, with the greatest discrepancy being for angular movements and rotations. The consequent need for overcorrection and refinement stages prolongs the treatment duration [11,22,23], and aligner treatment of cases involving deep bite correction, which is only 50% predictable, and mandibular arch alignment is still problematic [24].
In this context, lingual fixed appliances are aesthetic solutions that are associated with relatively less sagittal anchorage loss, better control of incisor tip (they tend to tip incisors by exerting more lingual crown torque than labial appliances), greater control of inter-canine width (resulting in less need for interproximal enamel reduction (IPR) than aligner treatment, in which IPR is a must) and less loss of posterior segment anchorage during space closure [13,19].
To compensate for the limitations of aligners and exploit the biomechanical advantages of lingual equipment, hybrid solutions combining the two have been the subject of much discussion [25]. In hybrid orthodontics, the intrinsic characteristics of the individual appliances, combined with the aesthetics of both techniques, are leveraged synergistically. Such hybrid techniques have been used in multiple ways; some clinicians use them as two-phase treatments, with phase one being aimed at skeletal correction and phase two dentoalveolar changes [26,27]. Some approaches, such as surgery first, deploy the two techniques at different time points, for example, the use of a bone-borne appliance followed by orthodontic braces or clear aligners, whereas others use aligners and fixed appliances (buccal or lingual) simultaneously [25,28,29].
Fixed appliances and auxiliaries have been used to overcome the limitations of aligner treatment in extraction cases and severe malocclusions [11,23,30,31], and a hybrid approach combining lingual fixed appliances and clear aligners can be applied in cases as diverse as a deep bite, an Angle Class II division 2, an anterior crossbite, reduced arch width and crowding in a single arch, as well as in pre-prosthetic and extraction cases. However, due to the multiplicity of options, the literature has not yet provided any firm clinical guidance on the topic.
The aim of this case series was, therefore, to illustrate a hybrid approach involving two-phase aligner and lingual appliances used in a real-world clinical setting to achieve predictable tooth movements in a range of deep-bite malocclusions, without increasing treatment time or compromising on aesthetics. An additional aim was to provide tips to help the clinician plan such a treatment according to the complexity of the case.
2. Methods
Patient Selection
Adult patients requiring orthodontic treatments for deep bites, which would be challenging to perform via clear aligners alone, but requesting aesthetic options were included. No restrictions were placed on sagittal, vertical or transverse discrepancies, but extraction cases, subjects affected by craniofacial syndromes, systemic diseases or temporomandibular joint dysfunction (TMD) symptoms were excluded. Interproximal reduction (IPR) was allowed. The application of the selection criteria resulted in a sample comprising the following three cases:
- Case 1: Class II division 2 with deep bite
- Case 2: Class III with deep bite
- Case 3: Class II subdivision with deep bite
3. Materials
In order to meet the respective patients’ demands for aesthetic appliances while keeping the treatments efficient and uncomplicated [9,32], a hybrid approach involving clear aligners and fixed lingual appliances was devised and individualised on a case-by-case basis. All patients were fitted with ALIAS lingual PSL 0.018 × 0.018-inch slot brackets (Elinesystem/Dijiset sas, Rome, Italy)—a passive, self-ligating, square-slot bracket system with low-profile brackets (1.5 mm) (Figure 1). As with all lingual appliances with a continuous wire approach, specific lingual archwire sequences (Elinesystem/Dijiset sas, Rome, Italy) were used with this system [32], specifically, 0.013- or 0.014- and 0.016-inch CuNiti (copper–nickel–titanium) for levelling and alignment; 0.016 × 0.016-inch and 0.018 × 0.018-inch CuNiTi for rotational, tip and torque control; 0.017 × 0.017-inch or 0.018 × 0.018-inch SS (stainless steel) for major sliding mechanics and space closure; and 0.0175 × 0.0175-inch TMA (titanium–molybdenum alloy) for loop mechanics and detailing when needed.
Figure 1.
The setup that Elinesystem/Dijiset sas provides with the ALIAS ® lingual bracket (Ormco/Envista Holding Corp., Brea, CA, USA).
The clear aligners used in all cases were designed and made in-house using ELINE System proprietary software, which has a specific modulus for hybrid cases combined with lingual fixed appliance (the Eline system is a trademark of Dijiset s.a.s., a digital medical company registered at the Ministry of Health (Rome, Italy) as N. ITCA01042290). A dedicated 3D viewer (Figure 2) was used to evaluate the staging of the aligner movements in combination with the final setup of the lingual device. The wearing protocol was to change the aligners every two weeks to fully express the information in each aligner.

Figure 2.
(a,b): Images of the ELINE system proprietary software with a dedicated 3D viewer.
Pre-treatment (T0) and post-treatment (T1) digital lateral cephalogram images (Sirona Orthopos XG plus; Bensheim, Germany) were first calibrated and then analysed and compared. OnyxCeph software (Image Instruments GmbH, Chemnitz, Germany) was used for the measurements of and superimpositions on the stable cranial structures, including the anterior border of the sella and the median border of the orbital roof. All measurements were performed by one operator (G.S.), and the analyses were repeated by another operator (A.A.).
4. Treatment Protocol
4.1. Case 1: Class II Division 2 with a Deep Bite
The patient was a 30-year-old female seeking orthodontic treatment for aesthetic reasons. She was unhappy with the position of her upper anterior teeth. Upon extraoral examination, she presented a harmonious profile with adequate lip closure but reduced lower facial height and deep mento–labial sulcus. Intraoral examination revealed retroclination of the upper incisors and an Angle Class I occlusal relationship at the right and left molars but a half-distal relationship on the left side, with deviation of the upper midline towards the left. She also presented a deep bite without palatal impingement and slight crowding in the lower arch. Both arches were U-shaped, with normal gingival biotypes. All teeth were present (Figure 3).




Figure 3.
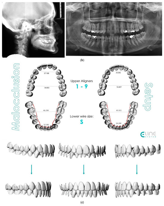
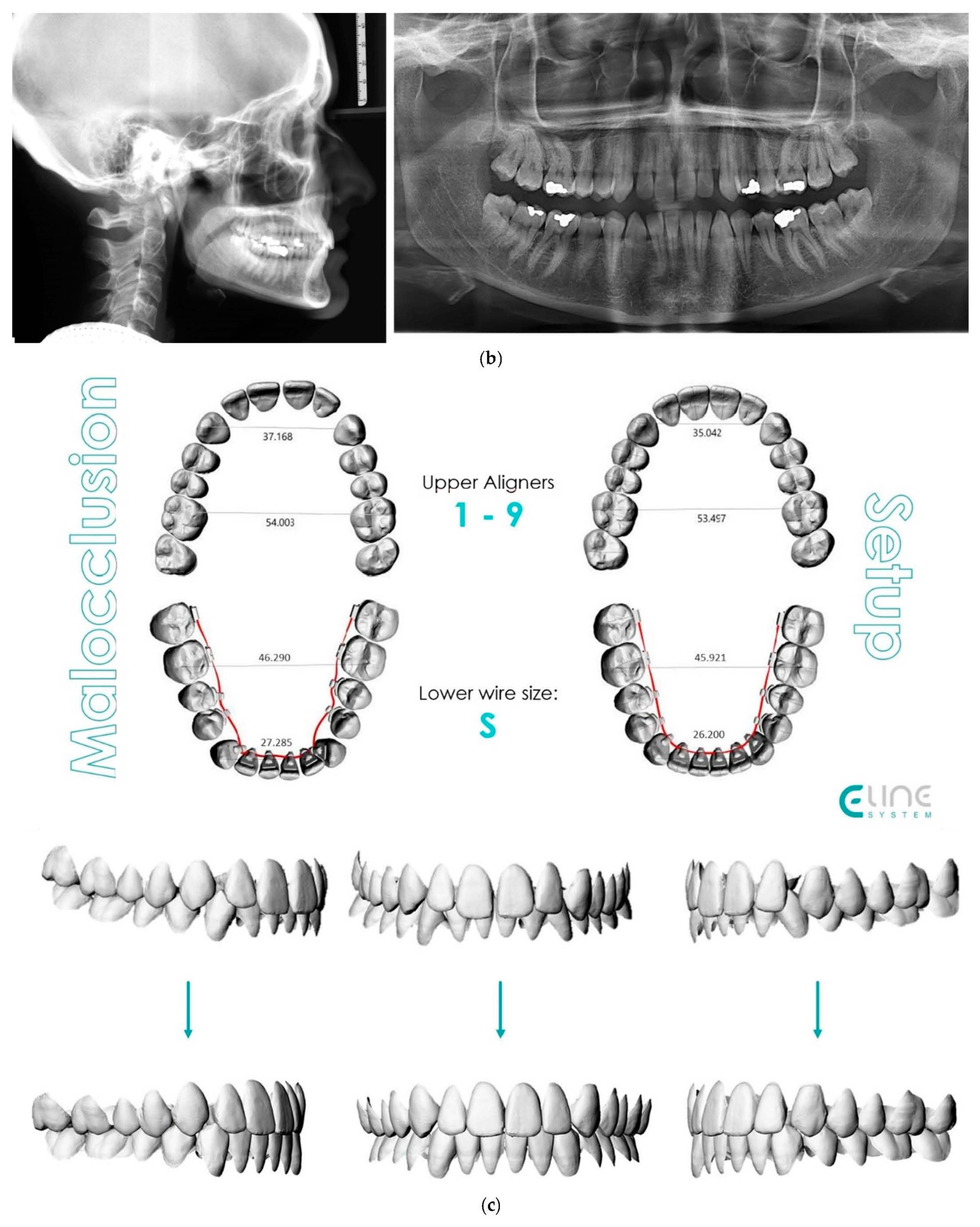
(a–c) The initial profile and frontal smile view and intraoral images and radiographs, including panoramic radiographs and lateral cephalograms. (d) The digital setup performed for the treatment. (e) The treatment in progress with aligners and lingual appliances. (f–h) Post-treatment images and a comparison with the initial images. (i) A superimposition of the pre- and post-treatment cephalograms.
The treatment plan chosen in this case was a hybrid approach involving combined upper aligners and a lower lingual appliance, followed by upper lingual appliances. The aims were to resolve the deep bite and Class II canine relationship, achieving Class I canine and molar relationships while preserving the facial profile.
To correct the rotations in the upper arch, a series of twelve aligners associated with bite ramps were used before bonding the lingual appliance. Simultaneously, the Alias PSL lingual system was used in the lower arch with the following archwire sequence: 0.013- and 0.016-inch CuNiti for levelling and alignment; 0.016 × 0.016-inch and 0.018 × 0.018-inch CuNiTi for rotational, tip and torque control; and 0.0175 × 0.0175-inch TMA (titanium–molybdenum alloy) for detailing.
In the second phase, the upper arch was also bonded with Alias lingual brackets that were threaded with the following archwire sequence: 0.014- and 0.016-inch CuNiti for levelling and alignment; 0.016 × 0.016-inch and 0.018 × 0.018-inch CuNiTi for rotational, tip and torque control; and 0.0175 × 0.0175-inch TMA for space closure by loop mechanics and detailing.
When both arches were fitted with fixed lingual appliances, intermaxillary short class II elastics (chipmunk force 3.5 Oz, 1/8”, Ormco Corporation, Orange, CA, USA) were used for arch coordination and finishing.
The treatment duration was 14 months, upon which a retention protocol involving a removable retention in the upper arch (vacuum-formed Zendura retainer, 0.76 mm, Bay Materials LLC, Fremont, CA, USA) and a lingual fixed retention from 33 to 43 by a passive 0.012 NiTi wire.
4.2. Case 2: Class III with a Deep Bite
The patient was a 32-year-old female seeking orthodontic treatment due to aesthetic reasons. She presented a straight profile with reduced lower facial height. Her occlusal relationship was a Class III malocclusion, and there were black corridors in both arches with microdontia of the upper laterals. She also presented a deep bite without palatal impingement (Figure 4).



Figure 4.
(a,b) The initial images of the profile and frontal smile view and intraoral images and radiographs, including panoramic radiographs and a lateral cephalogram. (c) The digital setup performed for the treatment. (d) The treatment in progress with the aligners and lingual appliances. (e–g) Post-treatment images and a comparison with the initial images. (h) shows a superimposition of the pre- and post-treatment cephalograms.
The treatment objectives were to resolve the Class III malocclusion, achieving a Class I canine and molar relationship, close the spaces, eliminate the deep bite and improve the facial profile. The treatment plan chosen was clear aligners in the upper jaw and a lingual appliance in the lower jaw plus IPR. The upper arch was treated only with a series of nine clear aligners and a bite ramp, while the lower was fitted with the Alias PSL lingual system with the following archwire sequence: 0.014- and 0.016-inch CuNiti for levelling and alignment; 0.016 × 0.016-inch and 0.018 × 0.018-inch CuNiTi for rotational, tip and torque control; and 0.0175 × 0.0175-inch TMA for detailing.
The treatment duration was ten months, upon which a removable retention was prescribed for the upper arch and a lingual fixed retention with a passive 0.012 NiTi wire from 33 to 43 was fitted in the lower arch.
4.3. Case 3: Class II Subdivision with a Deep Bite
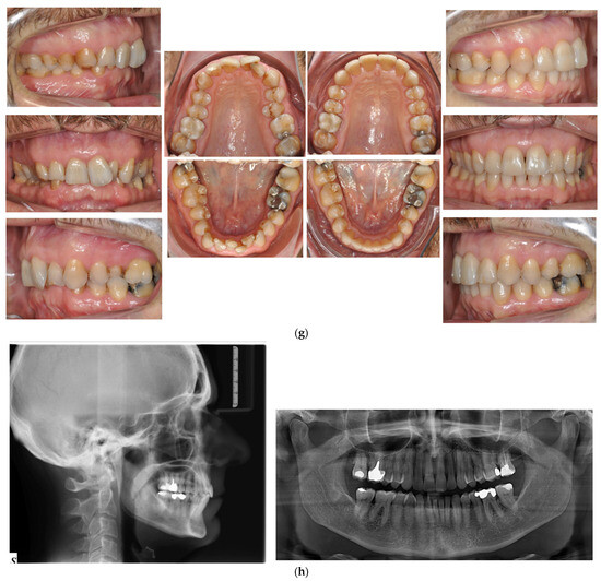
The patient was a 50-year-old male seeking orthodontic treatment for aesthetic reasons. His teeth were crowded, and he presented a concave profile with reduced lower facial height. An intraoral exam revealed a class II division 2 occlusal relationship and a severe deep bite in a hypodivergent facial type. There was severe crowding in both arches. The upper arch was narrow and presented a cross bite on 25. The upper midline deviated 2 mm to the right (Figure 5).




Figure 5.
(a,b) The initial images of the profile and frontal smile view and intraoral images and radiographs, including panoramic radiographs and a lateral cephalogram. (c) The digital setup performed for the treatment. (d,e) The treatment in progress with a Crozat appliance along with the aligners and lingual appliances. (f–h) Post-treatment images and a comparison with the initial images. (i) A superimposition of the pre- and post-treatment cephalograms.
The treatment objectives were to resolve the dental Class II malocclusion and achieve a Class I canine and molar relationship; eliminate the crowding, creating space for alignment, without extraction; and correct the deep bite and thereby improve the facial profile. The treatment plan chosen was a hybrid approach and IPR. The upper arch was treated initially by a Crozat appliance to achieve transversal expansion and by aligners with bite ramps to disocclude posteriorly and enhance the expansive effect of the Crozat. In the second phase, the upper arch was also bonded with Alias lingual brackets that were treated with the following archwire sequence: 0.014- and 0.016-inch CuNiti for levelling and alignment; 0.016 × 0.016-inch and 0.018 × 0.018-inch CuNiTi for rotational, tip and torque control; 0.017 × 0.017-inch SS for archform stabilisation; and 0.0175 × 0.0175-inch TMA for space closure and intrusion by loop mechanics and detailing.
In the lower arch, a Crozat appliance was used initially, followed by an Alias PSL lingual fixed appliance with the following sequence of archwires: 0.013- or 0.014- and 0.016-inch CuNiti for levelling and alignment; 0.016 × 0.016-inch and 0.018 × 0.018-inch CuNiTi for rotational, tip and torque control; 0.017 × 0.017-inch SS (stainless steel) for arch form stabilization and space closure; and 0.0175 × 0.0175-inch TMA for detailing.
After 18 months of active treatment, removable retainers were prescribed for both the upper and lower arches.
5. Results and Discussion
As demonstrated by the pre- and post-treatment records, the individualised aesthetic hybrid approach involving clear aligners and lingual appliances described was able to yield successful aesthetic results in fairly complex cases by exploiting the strengths of one to overcome the weaknesses of the other. The shortcomings of aligners are well-documented [6,19,20,21] and have been described above. In particular, when IPR and spacing are inadequate, the plastic is unable to move the teeth and ends in intrusion and a lack of tracking. In fixed appliances, on the other hand, the wire can produce unnecessary movements (the domino effect) when not entirely filling the bracket slot [5]. Lingual appliances cause intrusion of the lower incisors more than extrusion of the molars, resulting in less clockwise rotation of the mandible. In addition, some types of lingual brackets have a “bite plane” such that the lower incisors bite into the upper bracket, resulting in a posterior bite opening due to molar extrusion and an increase in vertical height. We used small ALIAS lingual brackets that did not cause bite plane effects; therefore, the posterior rotation effect was less clear. As a compensatory measure, bite ramps were used in the aligners at the start of treatment to create the watermelon-seed effect [33], generating posterior disocclusion to accelerate the expansion, intrusion of the lower incisors and rapid flattening of the curve of Spee. Lingual appliances were used to avert any unintentional intrusion of the lower teeth.
The potential of such a considered approach is demonstrated by Case 1 (Figure 2), in which the presence of a deep bite, the need for vertical levelling of the curve of Spee and, simultaneously, the correction of crowding in the lower jaw were particularly challenging. Studies have shown that aligners use different mechanisms for resolving crowding, but the primary mechanism is tipping teeth to gain space [33]. Studies have also shown that rotation of the canines, premolars and lateral incisors and major inclination are not very predictable with aligners [11,31]. A hybrid approach aids in compensating for clear aligners to achieve better rotation of the canines and premolars [24,34,35], as well as lower incisor intrusion [20,24,36]. In this case, the efficiency of the hybrid approach was maximised by starting in the upper jaw, and the aim was to correct the rotation of the front teeth—aligners have a 41% success rate in this regard [34]—while at the same time maintaining posterior disocclusion, thanks to bite ramps, and levelling the lower jaw. With aligners alone, correction of all the rotations in the upper arch would have required at least 20 aligners, with a two-week wear interval [11,21]. This would have taken approximately nine months, whereas the treatment time in this case was fourteen months. In the upper arch, the intermolar width pre-treatment was 50.73 mm, and post-treatment, it was 53.51 mm. It changed from 43 to 45 mm in the lower arch. The upper midline deviation was corrected.
A similar strategy was used in Case 2 (Figure 4), but in that case, the challenge was rotation of 33 and space closure while maintaining a good root position. An upper aligner with a bite ramp was therefore used to create a bite-plane effect, helping to open the initial deep bite and enhance the flattening of the curve of Spee via the lingual appliance. The facial profile was preserved as the incisor torque was well-controlled with the lingual appliances. In this case, the advantage of using a hybrid approach was again to keep the treatment time short (approximately 10 months). Aligners produce a bowing effect during space closure, creating a lateral open bite, but this was well-controlled using lingual appliances due to the rigidity of the archwire. The tipping of upper incisors due to an aligner corresponds to the drawbridge effect, which is amply explained in the literature [33,37]. The intermolar width was maintained at 54 mm in the upper arch and 46 mm in the lower arch.
Although the correction of transverse discrepancies with good torque control is challenging with both lingual and aligner techniques [24,34,38], Case 3 (Figure 5) had a similarly successful outcome. In that case, the treatment required significant transverse expansion, along with the elimination of the deep bite and resolution of the crowding in both arches. A Crozat appliance and a partial aligner with a bite ramp/plane was used for the initial four months. Temporarily opening the posterior bite enhanced the expansive effect of the Crozat and facilitated levelling of the lower curve of Spee via the direct use of lingual appliances on the mandibular arch. The intermolar width in the upper arch was increased from 53.6 mm to 57 mm and in the lower arch from 46 mm to 48.7 mm.
Once the expansion and deep bite correction had been accomplished, lingual appliances were bonded to align the upper arch, control the upper anterior inclination and torque (perfecting the crossbite), perform intrusion and control the lower incisor inclination.
In cases 1 and 3, we used class II elastics. Elastics apply a gentle force to teeth and jaws, encouraging them to move into a more balanced sagittal position. However, the vertical components of intermaxillary elastics produce some side effects, such as extrusion of the lower molars and the upper front. In order to minimise the anterior vertical effect, we applied class II elastics, as shown in the cases, from the first upper premolars to the second molars.
The superimpositions show that the lower incisors proclined, as expected; therefore, the relative intrusion was shown. The full coverage of the occlusal surfaces typical of the full-time use of aligners has, in low-angle patients, limited lower molar extrusion. In cases 1 and 3, very minimal molar extrusion was noted since the intrusion of the lower incisors was relative one; due to the proclination of the lower incisors.
The above cases demonstrates the various advantages of hybrid treatment, which can be summarised as follows:
- relatively reduced total treatment time compared to clear aligner therapy alone
- substantially improved quality of results with respect to those achievable via aligners alone
- the clear aligners used initially offered comfort, practicality and better dental hygiene while the bite was opened, and smaller movements could be easily achieved using aligners during bite opening while lingual fixed appliances were used for the more complex rotation and torque control
- both devices were customised and digitally programmed, which increased their predictability
This case series presents the successful treatment of complex malocclusions with a hybrid approach. Complex treatments are no longer limited to metal or ceramic brackets on anterior teeth; there are lingual braces, clear aligners, clear brackets, and many other solutions.
Understanding how to use the strengths of each appliance helps provide greater effectiveness. As many experts in our field of orthodontics agree, clear aligners are here to stay, but it is the individual treatment planning that will lead to a successful outcome. A hybrid treatment is an alternative way of thinking about aesthetic orthodontics, creating a treatment plan with maximum effectiveness and efficiency for patients.
When deciding whether to opt for an aligner treatment alone or a hybrid treatment, it is worth bearing in mind the following:
- If the movements required are simple, such as uncontrolled tipping of the anterior and posterior teeth, small rotations of the incisors and posterior intrusion, aligner therapy is likely suitable; however, a hybrid approach may be more appropriate if multiple tooth movements are needed, as it enhances predictability and reduces treatment duration.
- Evaluation of the entity of the required moment and rotation is required. In our experience, if more than fifteen degrees of rotation are needed on premolars and molars, bodily movement of the teeth is greater than three mm and/or angular movements are greater than five degrees, a hybrid approach may be more efficient and predictable.
6. Conclusions
The combination of two aesthetic orthodontic techniques, exploiting the biomechanical principles and strengths of each, can provide effective and efficient treatment in complex cases when supported by personalised digital planning based on thorough clinical examination and accurate diagnosis.
Author Contributions
Conceptualization: A.A., G.S. (Giuseppe Scuzzo), G.S. (Giacomo Scuzzo), C.V.; methodology: A.A., G.S. (Giuseppe Scuzzo), G.S. (Giacomo Scuzzo); software: G.S. (Giuseppe Scuzzo), G.S. (Giacomo Scuzzo); validation: A.A., G.S. (Giuseppe Scuzzo), G.S. (Giacomo Scuzzo); formal analysis: A.A., G.S. (Giuseppe Scuzzo), G.S. (Giacomo Scuzzo); investigation, A.A., G.S. (Giuseppe Scuzzo), G.S. (Giacomo Scuzzo); resources: G.S. (Giuseppe Scuzzo), C.V.; data curation: A.A., Car-lalberta Verna; writing—original draft preparation: A.A.; writing: A.A., G.S. (Giuseppe Scuzzo), G.S. (Giacomo Scuzzo), C.V.; visualization, A.A., G.S. (Giuseppe Scuzzo), C.V.; supervision: G.S. (Giuseppe Scuzzo), C.V.; project administration: A.A.; funding acquisition: The authors declare that they have not received any funding. All authors have read and agreed to the published version of the manuscript.
Funding
This research received no external funding.
Institutional Review Board Statement
Ethical review and approval were waived for this study as individual case descriptions do not require ethics application at Basel University.
Informed Consent Statement
Informed consent was obtained from all subjects involved in the study.
Data Availability Statement
The authors declare that the relevant data and materials are available in this article.
Conflicts of Interest
The authors declare that the lingual appliance used in the study was designed by Giuseppe Scuzzo and K. Takemoto and that they have no paid collaboration relationships with any company in place.
References
- Pabari, S.; Moles, D.R.; Cunningham, S.J. Assessment of motivation and psychological characteristics of adult orthodontic patients. Am. J. Orthod. Dentofac. Orthop. 2011, 140, e263–e272. [Google Scholar] [CrossRef] [PubMed]
- Melzack, R. The McGill Pain Questionnaire: Major properties and scoring methods. Pain 1975, 1, 277–299. [Google Scholar] [CrossRef] [PubMed]
- Shaw, W.; Rees, G.; Dawe, M.; Charles, C. The influence of dentofacial appearance on the social attractiveness of young adults. Am. J. Orthod. 1985, 87, 21–26. [Google Scholar] [CrossRef] [PubMed]
- Yavan, M.A.; Gökçe, G. YouTube as a source of information on adult orthodontics: A video analysis study. J. World Fed. Orthod. 2022, 11, 41–46. [Google Scholar] [CrossRef] [PubMed]
- Weir, T. Clear aligners in orthodontic treatment. Aust. Dent. J. 2017, 62 (Suppl. S1), 58–62. [Google Scholar] [CrossRef] [PubMed]
- Papadimitriou, A.; Mousoulea, S.; Gkantidis, N.; Kloukos, D. Clinical effectiveness of Invisalign® orthodontic treatment: A systematic review. Prog. Orthod. 2018, 19, 37. [Google Scholar] [CrossRef] [PubMed]
- Boyd, R.L. Esthetic orthodontic treatment using the invisalign appliance for moderate to complex malocclusions. J. Dent. Educ. 2008, 72, 948–967. [Google Scholar] [CrossRef] [PubMed]
- Takemoto, K.; Scuzzo, G.; Lombardo, L.U.; Takemoto, Y.U. Lingual straight wire method. Int. Orthod. 2009, 7, 335–353. [Google Scholar] [CrossRef] [PubMed]
- Scuzzo, G.; Takemoto, K.; Takemoto, Y.; Takemoto, A.; Lombardo, L. A new lingual straight-wire technique. J. Clin. Orthod. 2010, 44, 114–123, quiz 106. [Google Scholar]
- Ravera, S.; Castroflorio, T.; Garino, F.; Daher, S.; Cugliari, G.; Deregibus, A. Maxillary molar distalization with aligners in adult patients: A multicenter retrospective study. Prog. Orthod. 2016, 17, 12. [Google Scholar] [CrossRef]
- Castroflorio, T.; Sedran, A.; Parrini, S.; Garino, F.; Reverdito, M.; Capuozzo, R.; Mutinelli, S.; Grybauskas, S.; Vaitiekūnas, M.; Deregibus, A. Predictability of orthodontic tooth movement with aligners: Effect of treatment design. Prog. Orthod. 2023, 24, 2. [Google Scholar] [CrossRef] [PubMed]
- Papageorgiou, S.N.; Koletsi, D.; Iliadi, A.; Peltomaki, T.; Eliades, T. Treatment outcome with orthodontic aligners and fixed appliances: A systematic review with meta-analyses. Eur. J. Orthod. 2020, 42, 331–343. [Google Scholar] [CrossRef] [PubMed]
- Papageorgiou, S.N.; Gölz, L.; Jäger, A.; Eliades, T.; Bourauel, C. Lingual vs. labial fixed orthodontic appliances: Systematic review and meta-analysis of treatment effects. Eur. J. Oral Sci. 2016, 124, 105–118. [Google Scholar] [CrossRef] [PubMed]
- Houle, J.-P.; Piedade, L.; Todescan, R.; Pinheiro, F.H.S.L. The predictability of transverse changes with Invisalign. Angle Orthod. 2017, 87, 19–24. [Google Scholar] [CrossRef] [PubMed]
- Galan-Lopez, L.; Barcia-Gonzalez, J.; Plasencia, E. A systematic review of the accuracy and efficiency of dental movements with Invisalign®. Korean J. Orthod. 2019, 49, 140–149. [Google Scholar] [CrossRef] [PubMed]
- Charalampakis, O.; Iliadi, A.; Ueno, H.; Oliver, D.R.; Kim, K.B. Accuracy of clear aligners: A retrospective study of patients who needed refinement. Am. J. Orthod. Dentofac. Orthop. 2018, 154, 47–54. [Google Scholar] [CrossRef]
- Rossini, G.; Parrini, S.; Castroflorio, T.; Deregibus, A.; Debernardi, C.L. Efficacy of clear aligners in controlling orthodontic tooth movement: A systematic review. Angle Orthod. 2015, 85, 881–889. [Google Scholar] [CrossRef]
- Buschang, P.H.; Ross, M.; Shaw, S.G.; Crosby, D.; Campbell, P.M. Predicted and actual end-of-treatment occlusion produced with aligner therapy. Angle Orthod. 2015, 85, 723–727. [Google Scholar] [CrossRef]
- Ata-Ali, F.; Cobo, T.; De Carlos, F.; Cobo, J.; Ata-Ali, J. Are there differences in treatment effects between labial and lingual fixed orthodontic appliances? A systematic review and meta-analysis. BMC Oral Health 2017, 17, 133. [Google Scholar] [CrossRef]
- Dai, F.-F.; Xu, T.-M.; Shu, G. Comparison of achieved and predicted tooth movement of maxillary first molars and central incisors: First premolar extraction treatment with Invisalign. Angle Orthod. 2019, 89, 679–687. [Google Scholar] [CrossRef]
- Koletsi, D.; Iliadi, A.; Eliades, T. Predictability of rotational tooth movement with orthodontic aligners comparing software-based and achieved data: A systematic review and meta-analysis of observational studies. J. Orthod. 2021, 48, 277–287. [Google Scholar] [CrossRef] [PubMed]
- Ke, Y.; Zhu, Y.; Zhu, M. A comparison of treatment effectiveness between clear aligner and fixed appliance therapies. BMC Oral Health 2019, 19, 24. [Google Scholar] [CrossRef] [PubMed]
- Yassir, Y.A.; Nabbat, S.A.; McIntyre, G.T.; Bearn, D.R. Clinical effectiveness of clear aligner treatment compared to fixed appliance treatment: An overview of systematic reviews. Clin. Oral Investig. 2022, 26, 2353–2370. [Google Scholar] [CrossRef] [PubMed]
- Haouili, N.; Kravitz, N.D.; Vaid, N.R.; Ferguson, D.J.; Makki, L. Has Invisalign improved? A prospective follow-up study on the efficacy of tooth movement with Invisalign. Am. J. Orthod. Dentofac. Orthop. 2020, 158, 420–425. [Google Scholar] [CrossRef] [PubMed]
- Wilmes, B.; Nienkemper, M.; Ludwig, B.; Kau, C.H.; Pauls, A.; Drescher, D. Esthetic Class II treatment with the Beneslider and aligners. J. Clin. Orthod. 2012, 46, 390–398, quiz 437. [Google Scholar] [PubMed]
- Ikegami, T.; Wong, R.W.-K.; Hägg, U.; Lee, W.; Hibino, K. The Hybrid Orthodontic Treatment System (HOTS). World J. Orthod. 2010, 11, 168–179. [Google Scholar]
- Lombardo, L.; Palone, M.; Carlucci, A.; Siciliani, G. Clear aligner hybrid approach: A case report. J. World Fed. Orthod. 2020, 9, 32–43. [Google Scholar] [CrossRef] [PubMed]
- Wilmes, B.; Neuschulz, J.; Safar, M.; Braumann, B.; Drescher, D. Protocols for combining the Beneslider with lingual appliances in Class II treatment. J. Clin. Orthod. 2014, 48, 744–752. [Google Scholar] [PubMed]
- Wilmes, B.; Schwarze, J.; Vasudavan, S.; Drescher, D. Combination of clear aligners and beneslider for correction of severe midline deviation. J. Clin. Orthod. 2021, 55, 675–683. [Google Scholar]
- Kassam, S.K.; Stoops, F.R. Are clear aligners as effective as conventional fixed appliances? Evid. Based Dent. 2020, 21, 30–31. [Google Scholar] [CrossRef]
- Bilello, G.; Fazio, M.; Amato, E.; Crivello, L.; Galvano, A.; Currò, G. Accuracy evaluation of orthodontic movements with aligners: A prospective observational study. Prog. Orthod. 2022, 23, 12. [Google Scholar] [CrossRef] [PubMed]
- Scuzzo, G.; Takemoto, K.; Takemoto, Y.; Lombardo, L. A new self-ligating lingual bracket with square slots. J. Clin. Orthod. 2011, 45, 682–690, quiz 692. [Google Scholar] [PubMed]
- Upadhyay, M.; Arqub, S.A. Biomechanics of clear aligners: Hidden truths & first principles. J. World Fed. Orthod. 2022, 11, 12–21. [Google Scholar] [PubMed]
- Kravitz, N.D.; Kusnoto, B.; BeGole, E.; Obrez, A.; Agran, B. How well does Invisalign work? A prospective clinical study evaluating the efficacy of tooth movement with Invisalign. Am. J. Orthod. Dentofac. Orthop. 2009, 135, 27–35. [Google Scholar] [CrossRef] [PubMed]
- Kravitz, N.D.; Kusnoto, B.; Agran, B.; Viana, G. Influence of attachments and interproximal reduction on the accuracy of canine rotation with Invisalign. A prospective clinical study. Angle Orthod. 2008, 78, 682–687. [Google Scholar] [CrossRef] [PubMed]
- Grünheid, T.; Loh, C.; Larson, B.E. How accurate is Invisalign in nonextraction cases? Are predicted tooth positions achieved? Angle Orthod. 2017; 87, 809–815. [Google Scholar]
- Andrews, L.F. The six keys to normal occlusion. Am. J. Orthod. 1972, 62, 296–309. [Google Scholar] [CrossRef]
- Kravitz, N.D.; Dalloul, B.; Zaid, Y.A.; Shah, C.; Vaid, N.R. What percentage of patients switch from Invisalign to braces? A retrospective study evaluating the conversion rate, number of refinement scans, and length of treatment. Am. J. Orthod. Dentofac. Orthop. 2022, 163, 526–530. [Google Scholar] [CrossRef]
Disclaimer/Publisher’s Note: The statements, opinions and data contained in all publications are solely those of the individual author(s) and contributor(s) and not of MDPI and/or the editor(s). MDPI and/or the editor(s) disclaim responsibility for any injury to people or property resulting from any ideas, methods, instructions or products referred to in the content. |
© 2024 by the authors. Licensee MDPI, Basel, Switzerland. This article is an open access article distributed under the terms and conditions of the Creative Commons Attribution (CC BY) license (https://creativecommons.org/licenses/by/4.0/).