Abstract
This paper reviews the role of fine needle aspiration biopsy (FNAB) in assessing the axilla prior to definitive surgery or neoadjuvant therapy in breast cancer patients. The radiological criteria for biopsy are discussed and pathological techniques and pitfalls illustrated. The sensitivity and specificity of the technique and the clinical utility are addressed, with particular reference to the current controversies in the management of the axilla in the light of the American College of Surgeons Oncology Group Z0011 trial results. The low morbidity procedure of FNAB is recommended when the radiological and clinical features suggest a high yield from the abnormal axillary nodes, with consideration of core biopsy if an expected positive result is not obtained or the circumstances require tissue for ancillary studies. In conclusion, FNAB of the axilla is a highly sensitive procedure which can offer further valuable information to assist in clinical decision making. The technique is of particular value in the setting of a large primary tumour size and multiple enlarged nodes. A summary flow chart is provided to facilitate pre-operative management of the axilla and to encourage a universal approach.
1. Introduction
Fine needle aspiration biopsy (FNAB) has been regarded as a valuable technique for confirming metastatic carcinoma in radiologically suspicious axillary nodes for several decades [1,2] and, more recently, has been the subject of publications supporting its value in triaging those patients who could be spared a sentinel node biopsy and proceed directly to axillary clearance [3]. However, there has been recent debate comparing the results obtained from FNAB with those from core needle biopsy (CNB), and also discussion as to whether axillary nodal biopsy is truly beneficial in the era of the Z0011 trial of the American College of Surgeons Oncology Group (ACSOG) [4], which indicated that some patients with microscopic metastases, or sentinel node only metastases, may not benefit from further axillary surgery.
This review will discuss the optimal technique for performing FNAB of abnormal axillary nodes in patients with diagnosed breast carcinoma, the morphological criteria of cytopathological diagnosis, highlighting pitfalls and difficulties, and the sensitivity, specificity, and clinical utility of FNAB in this setting.
2. Discussion
2.1. Practicalities of FNAB in the Axilla
The indications for FNAB of the axilla are primarily based on a radiological suspicion of metastatic carcinoma and cytological confirmation of malignant cells optimizes the information available to the clinical team and guides treatment. In most medical centres, patients with breast cancer routinely undergo axillary ultrasound (US) to assess for the presence of lymphadenopathy (Figure 1 and Figure 2). Increasingly, abnormal nodes are also identified on cross-sectional imaging (Breast MRI, CT Chest and PET CT), which often leads to a ‘second look’ targeted axillary ultrasound (Figure 3). Axillary ultrasound evaluation classifies lymph nodes into six morphological categories based on the relationship of the cortex to the hilum [5]. The ultrasonographic features which suggest nodal metastases include cortical thickening of greater than 3 mm and abnormal nodal morphology. The presence of a focal lobulated cortex greater than 3 mm in thickness, absent or displaced fatty hilum, irregular cortical outline and round nodal shape most consistently correspond to metastatic nodal disease [6]. Britton and coworkers, in an English study in 2008, reported a cortical thickness of >4 mm and absence of a hilum as most strongly associated with metastatic malignancy. However, the ultrasonographic morphological features alone were insufficiently reliable to allow a decision to proceed straight to axillary dissection in an individual patient [7]. More recently, the overall accuracy of pre-operative ultrasound alone in detecting diseased nodes, utilizing these criteria, was reported to be 60.3% [8].
Figure 1.
(a) Ultrasound demonstrates the morphology of a suspicious axillary lymph node, confirmed malignant post-biopsy. There is diffuse cortical thickening of 3.5 mm, with a lobulated contour and displaced hilum. The needle abuts the cortex in this image. (b) Schematic representation of node with deformed displaced hilum (yellow), multilobulated cortical outline (blue) and subcapsular metastatic deposits (purple).
Figure 2.
(a) Ultrasonographically highly suspicious axillary lymph node with a focal eccentric cortical thickness of 5.4 mm, displaced fatty hilum and subtle cortical microlobulation, confirmed malignant post-FNAB. (b) Schematic representation of the node demonstrating a displaced fatty hilum (yellow), diffuse cortical thickening (blue) and eccentric metastatic deposit (purple).
Figure 3.
Refining the assessment of axillary nodes. (a) Ultrasound depicts a morphologically suspicious lymph node with loss of fatty hilum, diffuse cortical thickening and round contour. Doppler colour assessment demonstrates abnormal non-hilar blood flow. (b) Staging CT chest, post intravenous contrast, demonstrates an enhancing right invasive breast cancer with metastatic level 1 axillary lymphadenopathy, confirmed with “second look” ultrasound and biopsy.
The diagnostic accuracy of US is affected by equipment quality, as well as operator skill and experience. Ideally, a high-frequency linear matrix array transducer should be used to assess the entire axillary nodal basin [6]. Tissue harmonic imaging further improves visualization of axillary nodes by increasing the contrast and resolution of lymphoid tissue within the axillary fatty tissue when compared with grey-scale ultrasound [9] and is now a routine component of modern ultrasonography. Comprehensive axillary coverage is facilitated by real-time radiologist assessment, with particular attention paid to identification of ultra-low level one nodes, accurate cortical thickness measurement and detection of subtle abnormalities such as an irregular cortical outline and abnormal non-hilar blood flow in the cortex on Doppler studies [10].
There are a number of factors which contribute to whether good quality material and optimal information is obtained from performance of FNAB of axillary nodes (Figure 4). These mirror factors accounting for adequacy in FNAB assessment at any site, in particular the breast, and are the quality of the aspiration technique, the quality of the smear and the quality of the lesion. The aspiration technique is critical and will reflect the experience of the operator in accurately stabilizing the node, placing the needle into the thickest part of the cortex [6] and appropriately passaging the needle through the lesion [11]. If the node is deeply seated or in an awkward location, use of an extension tube (to allow aspiration by the pathologist or an assistant) will allow the radiologist greater control in targeting the abnormal portion of the node. Aspiration should not be commenced prior to confirmation of the needle tip within the lesion and should be ceased prior to withdrawal of the needle. If the passaging of the needle is too gentle or too aggressive, or aspiration is used too early or not released prior to withdrawing the needle, the material obtained may be insufficient for diagnosis or may be caught in the bevel. Ideally, aspiration is performed with a 22–25-gauge needle and a 5–10 mL plastic syringe.
Figure 4.
Examples of cytologically malignant cells as tissue fragments on high quality smears, clearly recognized in a background of lymphoid cells, consistent with metastatic carcinoma to axillary nodes. (a) PAP ×200 (b) DQ (DiffQuik, Australian Biostain P/L, Victoria, Australia) ×100 (c) Low power (×40) demonstrates readily identified non-lymphoid cell groups, identified as poorly cohesive and dispersed malignant cells at (d) higher power (×200).
The preparation of the smear is also critical and any of the following may result in a suboptimal smear and compromise interpretation by the cytopathologist: delay in smearing, too-forceful smearing technique resulting in crush artefact, smears too thick or with excessive blood, background ultrasound gel which has not been properly cleaned from the skin and the ultrasound probe, failure to immediately fix smears in alcohol if for Papanicolaou staining or failure to rapidly air-dry if for Giemsa staining, or poor staining (Figure 5). Transport of the specimen in close proximity to a formalin-fixed biopsy (such as the concurrent breast CNB) may result in formalin vapour effect and prohibit a definitive diagnosis. Optimally, aspiration is performed with a cytopathologist or trained medical scientist in attendance, as the cytopathologist is immediately aware of any smearing issues. This rapid on-site examination (ROSE) will also allow immediate evaluation of the smear and minimize the number of passes required [12,13]. Some authors have reported no significant reduction in the false negative rate with the use of ROSE, which essentially reduces inadequate and atypical samples, but there was an increase in detection of both positive and negative samples [3]. If ROSE is not possible, several needle passes will decrease insufficient rates, although the highest yield is usually from the first pass [14]. The quality of the lesion in the axillary nodes will most particularly be related to the size of the metastatic deposit. Other factors, such as a very scirrhous deposit with a stromal reaction or a low nuclear grade tumour, such as lobular carcinoma with dispersed single metastatic cells, will also hamper the number of tumour cells aspirated and the ability of the cytopathologist to make a confident diagnosis. The experience of the cytopathologist in being aware of various pitfalls and in recognizing atypical cells in a background of lymphoid cells is also critical to the interpretation of these smears.

Figure 5.
Examples of artefacts which may compromise cytological interpretation of the FNAB. (a) Formalin vapour results in blurring of the nuclei in an air-dried smear, allowing a diagnosis of suspicious only in this case. DQ ×200. (b) Slow drying effect (before placing the smear in alcohol) also compromises cytological diagnosis. DQ ×100. (c) Background haemorrhage and a thick smear shows haemosiderin-laden histiocytes only, prohibiting assessment. DQ ×40. This case corresponded to the ultrasound image 3 (a) and is a case of progressive transformation of germinal centres, as seen on the excision biopsy (d). H&E ×40. (e) Ultrasound gel, staining bright pink, obscures the lymphoid cells and also causes some slow drying effect due to a thin fluid film. DQ ×100. (f) The only atypical cells present in this smear were adjacent to the coverslip at the end of the slide, insufficient for a definite diagnosis of malignancy. The CNB showed metastatic lobular carcinoma. DQ ×400.
2.2. Diagnostic Accuracy
Key to the value of FNAB in assessing axillary nodes is the sensitivity and specificity of the technique. Numerous authors have addressed this issue over the past three decades, with most reporting sensitivities from 62.6–91.7%, negative predictive values (NPV) from 59–82.6% and specificities and positive predictive values at 94–100% [3,15,16,17,18,19,20,21,22]. Others have indicated false negative rates of 8–31% [23], and one early study a very low sensitivity of 24.7%, but a NPV of 69% [24]. However, most recent studies and specialized breast centres report a sensitivity and NPV above 70% and the recent International Academy of Cytology (IAC) Yokohama System for Reporting Breast FNAB recommends FNAB of abnormal axillary nodes, ideally with ROSE [25,26].
The high sensitivity of the technique has generally supported its value in avoiding a sentinel node biopsy (targeted biopsy of the first lymph node draining the primary tumour) and triaging a direct progression to axillary dissection in 18–54% of patients [15,17,20,27]. A few outliers indicate lower sensitivity rates, but studies are difficult to compare due to different criteria of inclusion and assessment, and different definitions of “positive” and “negative” results, with “positive” in some studies including suspicious smears and “negative” including inadequate smears. The sensitivity rate may also reflect the nodes chosen for biopsy. A node with reactive hyperplastic enlargement is a true negative if the FNAB is negative (Figure 5c,d) and may include nodes with granulomatous lymphadenitis, such as in sarcoidosis or silicone granulomatous lymphadenopathy. Tattoo pigment rarely causes reactive enlargement with granulomas.
The predominant reasons for false negative results are small size of metastases (particularly microscopic metastases of <2 mm [17,23,28] (Figure 6), sampling error, smaller size of the sampled nodes, failure in imaging all the nodes [3,18,29] and “overdiagnosis” with US [18]. Britton reported up to 36% of normal appearing lymph nodes on ultrasound show metastatic carcinoma on subsequent sentinel node biopsy and, in a review of 6 studies, an average of 28% of patients with morphologically normal nodes harbored metastases [7]. Difficulty in interpretation of the cytology in low nuclear grade carcinoma, in particular lobular carcinoma, in which the cells may be poorly cohesive and difficult to distinguish from lymphocytes, may also potentially be an issue but is not commonly reported (Figure 7). Utilization of cell block material only or lack of experience in FNAB technique and interpretation will also limit sensitivity [7] (Figure 8).
Figure 6.
Microscopic metastasis identified following a negative FNAB (see image 5e). Cam 5.2 cytokeratin immunostaining ×20.
Figure 7.
Example of germinal centre tissue fragment (GC, larger tissue fragment at right) with subtle runs of tumour cells (TC) from a metastatic lobular carcinoma at left, in addition to a single cell containing an intracytoplasmic vacuole (ICV). DQ ×200.
Figure 8.
Example of scanty tumour tissue fragments in a heavily blood-stained smear. DQ ×100 (a), which could be overlooked but are focally diagnostic of malignancy (b). PAP ×400.
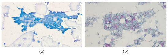
Earlier studies reported false positive rates ranging from 1.4–1.7% but more recently rates of <1% are reported [16]. Most frequently these are due to cytological misinterpretation of lymphoid cells, such as from germinal centre tissue fragments, or granulomas (Figure 9). However, if the FNAB is reviewed and confirmed to contain unequivocally malignant cells, the possibility that the biopsied node was not removed at surgery should be considered. This is particularly the case if the involved node is lateral to the thoraco-dorsal trunk (lateral level I lymph node) or posterior along the border of subscapularis muscle (subscapular node) [30]. In these rare scenarios, the patient should be re-evaluated with a targeted US and/or CT chest scan (if post-operative seroma/haematoma does not allow for easy identification of the malignant node) and any suspicious node re-biopsied. If the node is identified and malignant cells confirmed, localization with hook-wire or carbon should be utilized to facilitate removal of the node (Figure 10). If no further node is identified, theoretically, all the malignant cells could have been removed during the FNAB [24] with a secondary inflammatory response, or the tumour cells were not identified on the levels of the node sections examined. Other potential causes of “false positive” nodes could be misinterpretation of malignant lymphoid cells or melanoma as metastatic carcinoma (Figure 11 and Figure 12), and failure to recognize epithelial cells from heterotopic breast parenchyma as cytologically benign (Figure 9e).

Figure 9.
Examples of potential false positive diagnoses. (a) Smear demonstrating a cluster of epithelioid histiocytes forming a granuloma in a case of granulomatous lymphadenitis. DQ ×200. (b). Example of a core biopsy in a case of sarcoidosis. H&E ×100. (c) Multinucleated giant cells associated with refractile silicone in a woman with implants and silicone lymphadenopathy are more easily recognizable. DQ ×400. (d) Germinal centre tissue fragment in a reactive node. DQ ×100. (e) Cytologically bland epithelial cells with a bimodal pattern, including myoepithelial cells and background bare bipolar nuclei, in a case of heterotopic axillary benign breast tissue, DQ ×100, with (f) contrasting malignant cells from the concurrent breast aspirate. DQ ×200.
Figure 10.
(a) Ultrasound depicts a subscapular level one malignant node confirmed with FNAB (b), the smears demonstrating tubular structures of low nuclear grade atypical cells. DQ ×200. The breast demonstrated a 33 mm grade 1 invasive ductal carcinoma; however, no metastases were found in 25 axillary nodes. Repeat FNAB confirmed malignant cells in the subscapular node which was then removed following targeted hook-wire localization and a 3.5 mm metastasis identified (c). H&E ×100.
Figure 11.
(a) Core biopsy of an axillary node in a patient with a grade 1 infiltrating ductal carcinoma in the breast demonstrated chronic lymphocytic lymphoma on H&E ×100, confirmed on immunohistochemistry (b) CD 5 ×100. There were insufficient cells on the FNAB for diagnosis.
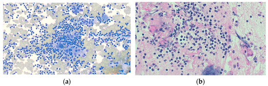
Figure 12.
Potential false positive diagnoses. (a) Cytology of atypical cells from a follicular lymphoma. DQ ×400. (b) Smear of atypical cells in a node from a patient with chronic lymphocytic leukaemia (CLL). Note crush artefact. DQ ×200. (c) Smear from an axillary node with metastatic Merkel cell carcinoma DQ ×200, with corresponding node excision biopsy (d) H&E ×200.
Factor et al. have highlighted the logistical problems in coordinating pathology and radiology departments to enable ROSE, which in turn led to a reduction in the performance of FNAB [31]. While ROSE is ideal, discussion with the radiological team to optimize smearing techniques, or consideration of utilizing liquid-based preparations with the option of preparing a cell block, particularly in certain cases such as known lobular carcinoma, may be a consideration [31]. Reports of automated rapid detection of cancer by means of gene expression assays, such as the GeneXpert system which quantitatively measures DNA methylation in certain tumour-specific gene markers, could potentially increase the sensitivity and specificity of the FNA detection and does not depend on cytopathologist experience, but still does not solve the issue of sampling error [32].
2.3. The Role of Core Biopsy
More recently, multiple studies have addressed the relative sensitivities and specificities of CNB as compared with FNAB in presurgical assessment of axillary nodes. Most indicate a higher sensitivity and diagnostic accuracy of CNB (although often only a small difference) but no difference in specificity [33,34,35], with a meta-analysis of 67 studies [36] concluding that both are useful in preoperative assessments of axillary nodes (Figure 13 and Figure 14). One study indicated discordance was identified between core and fine needle biopsies in 20% of cases. Their explanations highlighted the difficulties in comparing the two techniques and in comparing studies. Of the core positive/ FNAB negative cases, two of the FNABs were reported as suboptimal and two as suspicious. Of the FNAB positive/core negative cases, the cores were suboptimal [35]. The variable indications for the nodal biopsy produced an expected variation in positivity rate (for example whether performed on all nodes or only ultrasonographically suspicious nodes).
Figure 13.
(a) Morphologically suspicious axillary lymph node on ultrasound with focal cortical thickening (3.1 mm) and irregular cortical outline suggesting extra-nodal extension of metastatic disease. (b) FNAB reported as negative with germinal centre tissue fragments readily identified and (c) benign apocrine cells, both DQ ×200. (d) CNB of the carbon marked node demonstrates a small deposit of metastatic carcinoma. This case highlights interpretation difficulties in the setting of bland epithelial cells and in retrospect these represented low nuclear grade metastatic carcinoma with apocrine differentiation. This patient received neoadjuvant chemotherapy and following surgery all nodes were negative, with 2 demonstrating tumour bed fibrosis.

Figure 14.
(a) FNAB of one of multiple enlarged nodes was interpreted initially as benign reactive changes. DQ ×100. The cell block, H&E ×100 (b) shows cells with subtle rounded, minimally enlarged nuclei which were confirmed to be cytokeratin—positive on immunostaining for cytokeratins (c) (AE1/AE3 ×200). (d) In retrospect, there were atypical cells on the smear, DQ ×200. (e) Core biopsy confirmed metastatic lobular carcinoma, H&E ×100, with ER immunostaining in (f) ×40.
An advantage of core biopsy is that ancillary studies may be readily performed, however these may also potentially be performed on material from a FNAB in which a cell block has been prepared, or on material from a liquid-based preparation. Although tumour cell numbers are generally lower than from a primary tumour aspirate, there will generally be sufficient to determine estrogen and HER2 receptor status. In practice, receptor studies are not generally required on the metastatic deposit. In the setting of a potential nodal metastasis from a primary site other than the breast (for example, known primary lung or skin squamous cell carcinoma), a CNB may offer greater facility to assess morphology and perform immunohistochemistry to determine the correct primary site.
FNAB has a number of advantages over CNB in routine practice, primarily minimal invasiveness, ease of performing the technique, particularly for deep-seated nodes, low complication rate of bleeding, less pain and lower cost. A CNB will also not necessarily distinguish microscopic metastases from metastatic deposits over 2 mm and may also “miss” sub 2 mm metastases and isolated tumour cells (ITCs). One large study indicated a sensitivity of 60.3% for detecting macrometastases on ultrasound core biopsy, but less than 30% for detecting micrometastases [7] and only 12% (3 of 25) of nodal metastases were identified on CNB when the nodes were morphologically normal.
2.4. Clinical Utility
The value of FNAB in identifying metastatic tumour burden has also been addressed by several authors. Iwamoto presents data indicating that of the FNAB—positive patients, 61% had 3 or more metastatic nodes on final histology. In this group, all had 3 or more positive nodes if there were 3 or more suspicious nodes on US imaging [16]. Positive US- FNAB was particularly valuable in detecting patients with high tumour metastatic burden (>3 nodes involved) and this may be the most accurate way to triage patients for whom axillary dissection is appropriate [21]. In a recent study with a negative predictive value of 72.7% and sensitivity of 86%, a positive US-FNAB in the context of a T3 primary tumour (>5 cm in diameter) was highly predictive of 3 or more positive nodes [19].
A meta-analysis by Houssami and colleagues [37] indicated a clinical utility of axillary nodal biopsy of 20%, defined as improving the health outcome of one in five women by avoiding two-stage axillary surgery. A similar figure was published by Gibbons et al. [26] who report a positive FNAB reduces the need for a second axillary procedure by up to 20%, reducing morbidity and cost. Some authors have suggested that as the ACSOG Z0011 trial indications for further axillary surgery are dependent on the size of sentinel lymph node (SLN) metastases (patients with T1 and T2 tumours and 1–2 sentinel nodes with metastases do not require axillary clearance) [4], and as neither CNB or FNAB are quantitative tests, there is no longer a role for nodal preoperative imaging and biopsy [19]. However, others have demonstrated that positive axillary node FNAB is significantly associated with a higher axillary metastasis burden (of 3 or more nodes) than FNAB and/or US—negative patients who had 1-2 positive sentinel nodes, and thus these patients would not be suitable for SLN biopsy alone anyway [38]. One could also argue that if up to 25% of “false negative FNAB” were due to the presence only of micrometastases (deposits less than or equal to 2 mm in diameter) or ITCs (<0.2 mm deposit), “missing” these deposits does not result in a suboptimal management pathway if sentinel node biopsy alone is considered sufficient therapy in these patients. In addition, many of the nodes with ITCs or micrometastases would not have been detected as abnormal on US, and thus would not impact false negative rates.
From a pragmatic point of view, accepting that US FNAB does not absolutely triage patients who require node dissection from those adequately managed with sentinel node biopsy alone, the value of FNAB to most clinical teams would be in obtaining as much information as possible, in any individual patient, before therapeutic planning [3]. FNAB is a minimally invasive procedure which may assist in determining the most appropriate treatment pathway and could easily include aspiration of more than one abnormal node to confirm metastatic burden. This is of even more importance when neoadjuvant therapy is to be given as the information from the node may be “lost” following therapy [39]. Certainly, a positive FNAB result in this setting would remove the need for considering sentinel node biopsy prior to commencing chemotherapy. In certain circumstances in which the FNAB of an ultrasonographically abnormal node is negative, core biopsy could also be considered if this will alter management. Figure 15 provides a summary practical approach to preoperative management of the axillary nodes in breast cancer patients. Further research utilizing this algorithm could potentially facilitate development of more universal guidelines for the usage of FNAB in the axilla.
Figure 15.
Axillary Nodal Staging Flowchart. US- Ultrasound, SLN—Sentinel lymph node, NAC—Neoadjuvant chemotherapy. * Suspicious features: Absent hilum, round nodal shape, cortical thickness of >4 mm, irregular cortical outline. ** If smear suboptimal, repeat FNAB with ROSE.
3. Conclusions
Preoperative staging of the axilla can be reliably performed using a combination of radiological techniques and FNAB, and in many instances can avoid two-stage axillary surgery. Review of the literature, despite various methodological differences, consistently shows US-guided FNAB to be highly sensitive. Axillary FNAB is of particular value in the clinical setting of multiple enlarged nodes and large tumour size, both factors increasing the sensitivity of this technique, and when considering neoadjuvant therapy.
A pragmatic approach should utilize the low morbidity procedure of FNAB when the radiological and clinical features suggest a high yield from the abnormal axillary nodes, with consideration of core biopsy if an expected positive result is not obtained or the circumstances require tissue for ancillary studies (and there is no cell block material). If the FNAB is suboptimal, or only scanty suspicious cells are obtained, the reasons for this should be evaluated with consideration of repeating the aspiration, with ROSE if available, or alternatively proceeding to CNB (Figure 15). Although it is well recognized that FNAB may not sample microscopic metastases or ITCs, the requirement for axillary dissection is controversial in this setting and sentinel node biopsy most appropriate. Sampling of multiple abnormal nodes by FNAB may also be considered to confirm the need for node dissection. This personalized approach will provide the treating clinical team with as much information as possible and maximize the benefit for the individual patient.
Author Contributions
Writing—original draft preparation W.A.R.; Writing—review and editing P.K. and W.A.R. All authors have read and agreed to the published version of the manuscript.
Funding
This research received no external funding.
Institutional Review Board Statement
Not applicable.
Informed Consent Statement
Not applicable.
Data Availability Statement
Not applicable.
Acknowledgments
The authors thank M Eaton for review of the paper and surgical input, A Kleinig for the diagram and O Kleinig for the medical artwork.
Conflicts of Interest
The authors declare no conflict of interest.
References
- Sapino, A.; Cassoni, P.; Zanon, E.; Fraire, F.; Croce, S.; Coluccia, C.; Donadio, M.; Bussolati, G. Ultrasonographically-guided fine-needle aspiration of axillary lymph nodes: Role in breast cancer management. Br. J. Cancer 2003, 88, 702–706. [Google Scholar] [CrossRef] [PubMed]
- Houssami, N.; Ciatto, S.; Turner, R.; Cody, H.S., III; Macaskill, P. Preoperative Ultrasound-Guided Needle Biopsy of Axillary Nodes in Invasive Breast Cancer: Meta-Analysis of its Accuracy and Utility in Staging the Axilla. Ann. Surg. 2011, 254, 243–251. [Google Scholar] [CrossRef] [PubMed]
- O’Leary, D.P.; O’Brien, O.; Relihan, N.; McCarthy, J.; Ryan, M.; Barry, J.; Kelly, L.M.; Redmond, H.P. Rapid on-site evaluation of axillary fine-needle aspiration cytology in breast cancer. Br. J. Surg. 2012, 99, 807–812. [Google Scholar] [CrossRef] [PubMed]
- Giuliano, A.E.; Ballman, K.V.; McCall, L.; Beitsch, P.D.; Brennan, M.B.; Kelemen, P.R.; Ollila, D.W.; Hansen, N.M.; Whitworth, P.W.; Blumencranz, P.W.; et al. Effect of axillary dissection vs no axillary dissection on 10-year overall survival among women with invasive breast cancer and sentinel node metastasis: The ACOSOG Z0011 (Alliance) randomised clinical trial. JAMA 2017, 12, 918–926. [Google Scholar] [CrossRef] [PubMed]
- Bedi, D.G.; Krishnamurthy, R.; Krishnamurthy, S.; Edeiken, B.S.; Le-Petross, H.; Fornage, B.D.; Bassett, R.L.; Hunt, K.K. Cortical Morphologic Features of Axillary Lymph Nodes as a Predictor of Metastasis in Breast Cancer: In Vitro Sonographic Study. Am. J. Roentgenol. 2008, 191, 646–652. [Google Scholar] [CrossRef]
- Chung, H.L.; Le-Petross, H.T.; Leung, J.W.T. Imaging Updates to Breast Cancer Lymph Node Management. RadioGraphics 2021, 41, 1283–1299. [Google Scholar] [CrossRef]
- Britton, P.D.; Goud, A.; Godward, S.; Barter, S.; Freeman, A.; Gaskarth, M.; Rajan, P.; Sinnatamby, R.; Slattery, J.; Provenzano, E.; et al. Use of ultrasound-guided axillary node core biopsy in staging of early breast cancer. Eur. Radiol. 2009, 19, 561–569. [Google Scholar] [CrossRef]
- Jamaris, S.; Jamaluddin, J.; Islam, T.; See, M.H.; Fadzli, F.; Rahmat, K.; Bhoo-Pathy, N.; Taib, N.A.M. Is pre-operative axillary ultrasound alone sufficient to determine need for axillary dissection in early breast cancer patients? Medicine 2021, 100, e25412. [Google Scholar] [CrossRef]
- Rosen, E.L.; Soo, M.S. Tissue harmonic imaging sonography of breast lesions. Clin. Imaging 2001, 25, 379–384. [Google Scholar] [CrossRef]
- Chang, J.M.; Leung, J.W.T.; Moy, L.; Ha, S.M.; Moon, W.K. Axillary Nodal Evaluation in Breast Cancer: State of the Art. Radiology 2020, 295, 500–515. [Google Scholar] [CrossRef]
- Snead, D.R.J.; Vryenhoef, P.; Pinder, S.E.; Evans, A.; Wilson, A.R.M.; Blamey, R.W.; Elston, C.W.; Ellis, I.O. Routine audit of breast fine needle aspiration (FNA) cytology specimens and aspirator inadequate rates. Cytopathology 1997, 8, 236–247. [Google Scholar] [CrossRef] [PubMed]
- Wong, S.; Rickard, M.; Earls, P.; Arnold, L.; Bako, B.; Field, A.S. The IAC Yokohama System for reporting breast FNAB cytology: A single institution retrospective study of the application of the System and the impact of ROSE. Acta Cytol. 2019, 63, 280–291. [Google Scholar] [CrossRef] [PubMed]
- Raymond, W.; Field, A.; Lee, A.H.S.; Schmitt, F. Insufficient/Inadequate. In The International Academy of Cytology Yokohama System for Reporting Breast Fine Needle Aspiration Biopsy Cytopathology; Chapter 2; Field, A., Raymond, W., Schmitt, F., Eds.; Springer Nature: Cham, Switzerland, 2020. [Google Scholar]
- Pennes, D.R.; Naylor, B.; Rebner, M. Fine needle aspiration biopsy of the breast. Influence of the number of passes and the sample size on the diagnostic yield. Acta Cytol. 1990, 34, 673–676. [Google Scholar] [PubMed]
- Hu, X.; Zhou, X.; Yang, H.; Wei, W.; Jiang, Y.; Liu, J. Axillary ultrasound and fine needle aspiration biopsy in the preoperative diagnosis of axillary metastases in early-stage breast cancer. Oncol. Lett. 2018, 15, 8477–8483. [Google Scholar] [CrossRef]
- Iwamoto, N.; Aruga, T.; Horiguchi, S.; Asami, H.; Saita, C.; Onishi, M.; Goto, R.; Ishiba, T.; Honda, Y.; Miyamoto, H.; et al. Ultrasound-guided fine-needle aspiration of axillary lymph nodes in breast cancer: Diagnostic accuracy and role in surgical management. Diagn. Cytopathol. 2019, 47, 788–792. [Google Scholar] [CrossRef]
- Gilani, S.M.; Fathallah, L.; Al-Khafaji, B.M. Preoperative Fine Needle Aspiration of Axillary Lymph Nodes in Breast Cancer: Clinical Utility, Diagnostic Accuracy and Potential Pitfalls. Acta Cytol. 2014, 58, 248–254. [Google Scholar] [CrossRef]
- Akıncı, M.; Bulut, S.P.; Erözgen, F.; Gürbüzel, M.; Gülşen, G.; Kocakuşak, A.; Gülen, M.; Kaplan, R. Predictive value of fine needle aspiration biopsy of axillary lymph nodes in pre-operative breast cancer staging. Ulus Cerrahi Derg. 2016, 32, 191–196. [Google Scholar] [CrossRef]
- Attieh, M.; Jamali, F.; Berjawi, G.; Saadeldine, M.; Boulos, F. Shortcomings of ultrasound-guided fine needle aspiration in the axillary management of women with breast cancer. World J. Surg. Oncol. 2019, 17, 208. [Google Scholar] [CrossRef]
- Diaz-Ruiz, M.J.; Arnau, A.; Montesinos, J.; Miguel, A.; Culell, P.; Solernou, L.; Tortajada, L.; Vergara, C.; Yanguas, C.; Salvador-Tarrasón, R. Diagnostic Accuracy and Impact on Management of Ultrasonography-Guided Fine-Needle Aspiration to Detect Axillary Metastasis in Breast Cancer Patients: A Prospective Study. Breast Care 2016, 11, 34–39. [Google Scholar] [CrossRef]
- Castellano, I.; DeAmbrogio, C.; Muscarà, F.; Chiusa, L.; Mariscotti, G.; Bussone, R.; Gazzetta, G.; Macrì, L.; Cassoni, P.; Sapino, A. Efficiency of a Preoperative Axillary Ultrasound and Fine-Needle Aspiration Cytology to Detect Patients with Extensive Axillary Lymph Node Involvement. PLoS ONE 2014, 9, e106640. [Google Scholar] [CrossRef][Green Version]
- De Almeida, W., Jr.; Barra, A.D.A.; Silva, H.M.S.; Filho, M.A.D.; Couto, H.L.; De Souza, B.B.; Horizonte, B. Fine needle aspiration cytology guided by ultrasound of suspicious axillary lymph nodes in breast cancer patients. Hematol. Med Oncol. 2018, 3, 1–6. [Google Scholar] [CrossRef][Green Version]
- Iwamoto, N.; Aruga, T.; Asami, H.; Horiguchi, S. False-negative ultrasound-guided fine-needle aspiration of axillary lymph nodes in breast cancer patients. Cytopathology 2020, 31, 463–467. [Google Scholar] [CrossRef] [PubMed]
- Leenders, M.; Broeders, M.; Croese, C.; Richir, M.; Go, H.; Langenhorst, B.; Meijer, S.; Schreurs, W. Ultrasound and fine needle aspiration cytology of axillary lymph nodes in breast cancer. To do or not to do? Breast 2012, 21, 578–583. [Google Scholar] [CrossRef]
- Brachtel, E.F.; Field, A.F.; Rickard, M.T.; Arnold, L.; Brachtel, E.F.; Chaiwun, B.; Chen, L.; Di Bonito, L.; Kurtycz, D.F.I. Malignant. In The International Academy of Cytology Yokohama System for Reporting Breast Fine Needle Aspiration Biopsy Cytopathology; Chapter 6; Field, A., Raymond, W., Schmitt, F., Eds.; Springer Nature: Cham, Switzerland, 2020. [Google Scholar]
- Gibbons, C.E.; Quinn, C.M.; Gibbons, D. Fine-Needle Aspiration Biopsy Management of the Axilla in Primary Breast Carcinoma. Acta Cytol. 2019, 63, 314–318. [Google Scholar] [CrossRef] [PubMed]
- Rocha, R.D.; Girardi, A.R.; Pinto, R.R.; de Freitas, V.A.R. Axillary ultrasound and fine-needle aspiration in preoperative staging of axillary lymph nodes in patients with invasive breast cancer. Radiol. Bras. 2015, 48, 345–352. [Google Scholar] [CrossRef] [PubMed]
- Amin, M.B.; Edge, S.B.; Greene, F.L.; Byrd, D.R.; Brookland, R.K.; Washington, M.K.; Gershenwald, J.E.; Compton, C.C.; Hess, K.R.; Sullivan, D.C. (Eds.) Breast, 606. In AJCC Cancer Staging Manual, 8th ed.; Chapter 11; Springer International Publishing; American Joint Commission on Cancer: Cham, Switzerland, 2017. [Google Scholar] [CrossRef]
- Ewing, D.E.; Layfield, L.J.; Joshi, C.L.; Travis, M.D. Determinants of false negative fine needle aspirates of axillary nodes in women with breast cancer: Lymph nodes size, cortical thickness and hilar fat retention. Acta Cytol. 2015, 59, 311–314. [Google Scholar] [CrossRef]
- Ecanow, J.S.; Abe, H.; Newstead, G.M.; Ecanow, D.B.; Jeske, J.M. Axillary Staging of Breast Cancer: What the Radiologist Should Know. RadioGraphics 2013, 33, 1589–1612. [Google Scholar] [CrossRef] [PubMed]
- Factor, R.E.; Schmidt, R.L.; Chadwick, B.E.; Witt, B.J.; Morgan, M.; Neumayer, L.A.; Lyfield, L.J. Axillary lymph node FNA in women with breast cancer is a highly accurate procedure, so why are core biopsies being done? Diagn. Cytopathol. 2015, 43, 510–512. [Google Scholar] [CrossRef]
- Li, J.; Downs, B.M.; Cope, L.M.; Fackler, M.J.; Zhang, X.; Song, C.-G.; VandenBussche, C.; Zhang, K.; Han, Y.; Liu, Y.; et al. Automated and rapid detection of cancer in suspicious axillary lymph nodes in patients with breast cancer. NPJ Breast Cancer 2021, 7, 89. [Google Scholar] [CrossRef]
- Vidya, R.; Iqbal, F.; Bickley, B. Pre-operative axillary staging: Should core biopsy be preferred to fine needle aspiration cytology? Ecancermedicalscience 2017, 11, 724. [Google Scholar] [CrossRef]
- Fujioka, T.; Mori, M.; Kubota, K.; Yamaga, E.; Yashima, Y.; Oda, G.; Nakagawa, T.; Onishi, I.; Ishiba, T.; Tateishi, U. Clinical Usefulness of Ultrasound-Guided Fine Needle Aspiration and Core Needle Biopsy for Patients with Axillary Lymphadenopathy. Medicina 2021, 57, 722. [Google Scholar] [CrossRef] [PubMed]
- Ganott, M.A.; Zuley, M.L.; Abrams, G.S.; Lu, A.H.; Kelly, A.E.; Sumkin, J.H.; Chivukula, M.; Carter, G.; Austin, R.M.; Bandos, A.I. Ultrasound Guided Core Biopsy versus Fine Needle Aspiration for Evaluation of Axillary Lymphadenopathy in Patients with Breast Cancer. ISRN Oncol. 2014, 2014, 703160. [Google Scholar] [CrossRef]
- Pyo, J.-S.; Jung, J.; Lee, S.G.; Kim, N.-Y.; Kang, D.-W. Diagnostic Accuracy of Fine-Needle Aspiration Cytology and Core-Needle Biopsy in the Assessment of the Axillary Lymph Nodes in Breast Cancer—A Meta-Analysis. Diagnostics 2020, 10, 717. [Google Scholar] [CrossRef] [PubMed]
- Houssami, N.; Turner, R.M. Staging the axilla in women with breast cancer: The utility of preoperative ultrasound-guided needle biopsy. Cancer Biol. Med. 2014, 11, 69–77. [Google Scholar] [CrossRef] [PubMed]
- Liang, Y.; Chen, X.; Tong, Y.; Zhan, W.; Zhu, Y.; Wu, J.; Huang, O.; He, J.; Zhu, L.; Li, Y.; et al. Higher axillary lymph node metastasis burden in breast cancer patients with positive preoperative node biopsy: May not be appropriate to receive sentinel lymph node biopsy in the post-ACOSOG Z0011 trial era. World J. Surg. Oncol. 2019, 17, 37. [Google Scholar] [CrossRef] [PubMed]
- Rouzier, R.; Extra, J.-M.; Klijanienko, J.; Falcou, M.-C.; Asselain, B.; Vincent-Salomon, A.; Vielh, P.; Bourstyn, E. Incidence and Prognostic Significance of Complete Axillary Downstaging After Primary Chemotherapy in Breast Cancer Patients With T1 to T3 Tumors and Cytologically Proven Axillary Metastatic Lymph Nodes. J. Clin. Oncol. 2002, 20, 1304–1310. [Google Scholar] [CrossRef] [PubMed]
Publisher’s Note: MDPI stays neutral with regard to jurisdictional claims in published maps and institutional affiliations. |
© 2022 by the authors. Licensee MDPI, Basel, Switzerland. This article is an open access article distributed under the terms and conditions of the Creative Commons Attribution (CC BY) license (https://creativecommons.org/licenses/by/4.0/).