Ureteric Stone-Related Escherichia coli Bacteraemia Associated with Spondylodiscitis
Abstract
:1. Introduction
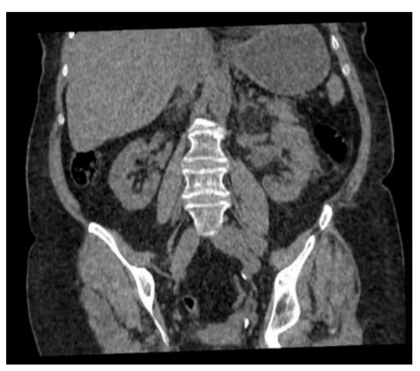
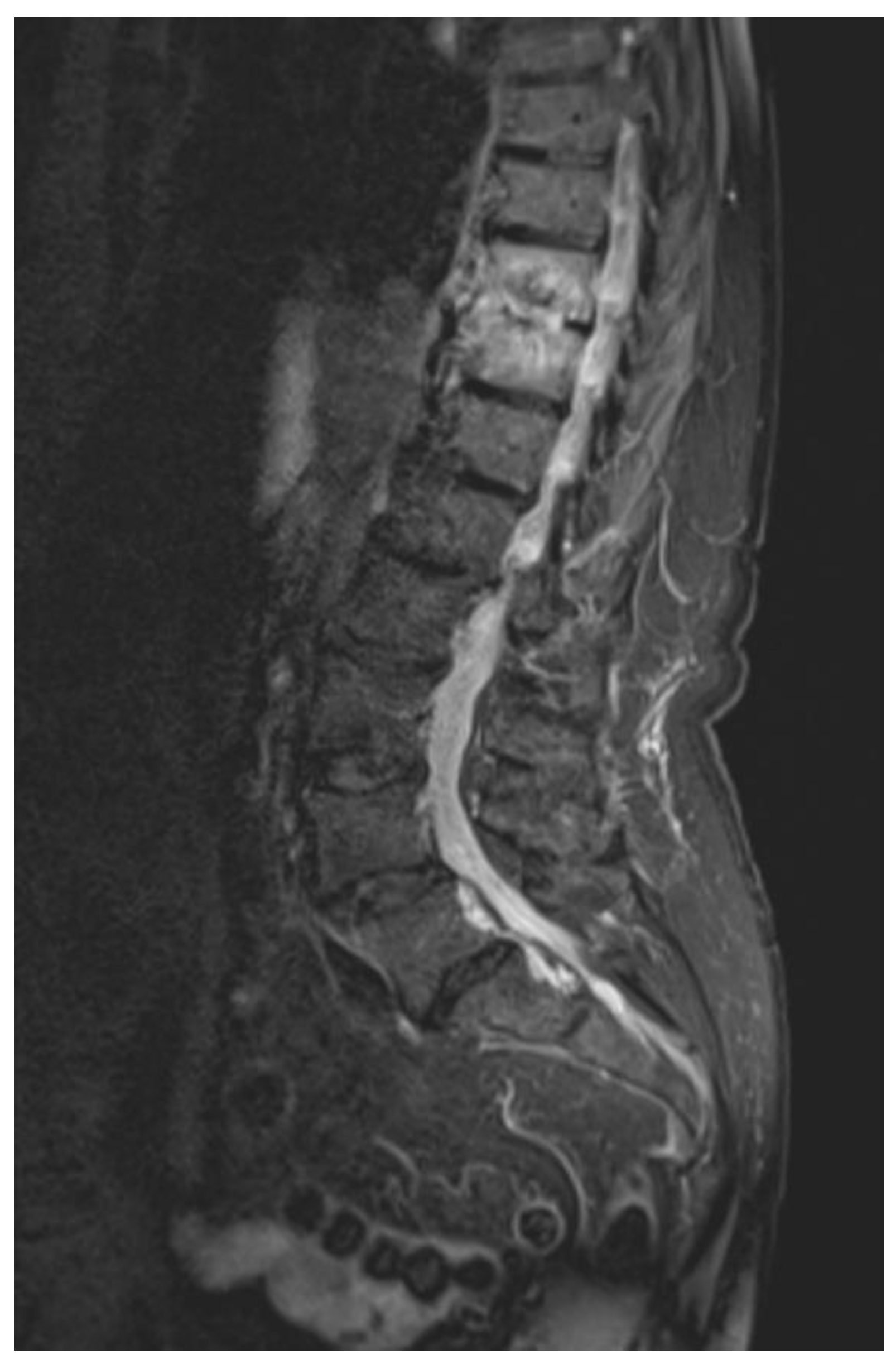
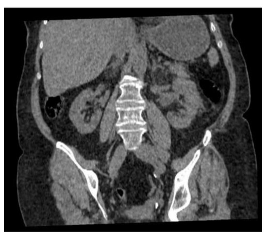
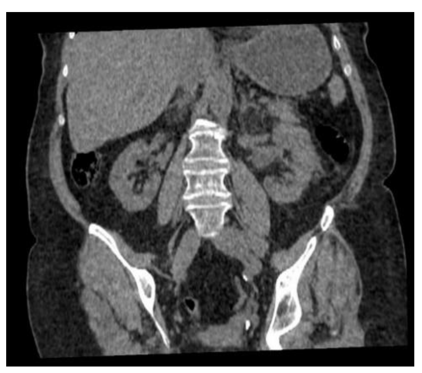
2. Case History
3. Discussion
4. Conclusions
Author Contributions
Funding
Institutional Review Board Statement
Informed Consent Statement
Conflicts of Interest
References
- Raheem, O.A.; Khandwala, Y.S.; Sur, R.L.; Ghani, K.R.; Denstedt, J.D. Burden of urolithiasis: Trends in prevalence, treatments, and costs. Eur. Urol. Focus 2017, 3, 18–26. [Google Scholar] [CrossRef] [PubMed]
- Choe, H.S.; Lee, S.J.; Yang, S.S.; Hamasuna, R.; Yamamoto, S.; Cho, Y.H.; Matsumoto, T.; Committee for Development of the UAA-AAUS Guidelines for UTI and STI. Summary of the UAA-AAUS guidelines for urinary tract infections. Int. J. Urol. 2018, 25, 175–185. [Google Scholar] [CrossRef] [PubMed] [Green Version]
- Scotland, K.B.; Lange, L. Prevention and management of urosepsis triggered by ureteroscopy. Res. Rep. Urol. 2018, 10, 43–49. [Google Scholar] [CrossRef] [PubMed] [Green Version]
- Naylor, N.R.; Pouwels, K.B.; Hope, R.; Green, N.; Henderson, K.L.; Knight, G.M.; Atun, R.; Robotham, J.V.; Deeny, S.R. The health and cost burden of antibiotic resistant and susceptible Escherichia coli bacteraemia in the English hospital setting: A national retrospective cohort study. PLoS ONE 2019, 14, e0221944. [Google Scholar] [CrossRef] [PubMed]
- Sans, N.; Faruch, M.; Lapègue, F.; Ponsot, A.; Chiavassa, H.; Railhac, J.J. Infections of the spinal column—Spondylodiscitis. Diagn. Interv. Imaging 2012, 93, 520–529. [Google Scholar] [CrossRef] [PubMed] [Green Version]
- Gouliouris, T.; Aliyu, S.H.; Brown, N.M. Spondylodiscitis: Update on diagnosis and management. J. Antimicrob. Chemother. 2010, 65 (Suppl. 3), iii11–iii24. [Google Scholar] [CrossRef] [PubMed] [Green Version]
- Ponte, C.D.; McDonald, M. Septic discitis resulting from Escherichia coli urosepsis. J. Fam. Pract. 1992, 34, 767–771. [Google Scholar] [PubMed]
- Salehi, M.; Jafari, S.; Mirzashahi, B.; Khatami, S.R.; Salahshour, F.; Manshadi, S.A.D.; Feizabad, M.M. Escherichia coli Spondylodiscitis: A Case Report and Literature Review. Jundishapur J. Microbiol. 2019, 12, e99694. [Google Scholar] [CrossRef] [Green Version]
- Müller, A. Bacterial spondylodiscitis after Escherichia coli urinary tract infection. Dtsch. Med. Wochenschr. 1946 2001, 126, 1299–1300. [Google Scholar]
- Brisbane, W.; Bailey, M.R.; Sorensen, M.D. An overview of kidney stone imaging techniques. Nat. Rev. Urol. 2016, 13, 654. [Google Scholar] [CrossRef] [PubMed]
- Chutipongtanate, S.; Sutthimethakorn, S.; Chiangjong, W.; Thongboonkerd, V. Bacteria can promote calcium oxalate crystal growth and aggregation. JBIC J. Biol. Inorg. Chem. 2013, 18, 299–308. [Google Scholar] [CrossRef] [PubMed]
- Barr-Beare, E.; Saxena, V.; Hilt, E.E.; Thomas-White, K.; Schober, M.; Li, B.; Becknell, B.; Hains, D.S.; Wolfe, A.J.; Schwaderer, A.L. The interaction between Enterobacteriaceae and calcium oxalate deposits. PLoS ONE 2015, 10, e0139575. [Google Scholar] [CrossRef] [PubMed] [Green Version]


Publisher’s Note: MDPI stays neutral with regard to jurisdictional claims in published maps and institutional affiliations. |
© 2021 by the authors. Licensee MDPI, Basel, Switzerland. This article is an open access article distributed under the terms and conditions of the Creative Commons Attribution (CC BY) license (https://creativecommons.org/licenses/by/4.0/).
Share and Cite
Rehman, Z.; Cullen, J.; Withey, S.; Kum, F. Ureteric Stone-Related Escherichia coli Bacteraemia Associated with Spondylodiscitis. Uro 2021, 1, 198-201. https://doi.org/10.3390/uro1040021
Rehman Z, Cullen J, Withey S, Kum F. Ureteric Stone-Related Escherichia coli Bacteraemia Associated with Spondylodiscitis. Uro. 2021; 1(4):198-201. https://doi.org/10.3390/uro1040021
Chicago/Turabian StyleRehman, Zahra, Jack Cullen, Samuel Withey, and Francesca Kum. 2021. "Ureteric Stone-Related Escherichia coli Bacteraemia Associated with Spondylodiscitis" Uro 1, no. 4: 198-201. https://doi.org/10.3390/uro1040021
APA StyleRehman, Z., Cullen, J., Withey, S., & Kum, F. (2021). Ureteric Stone-Related Escherichia coli Bacteraemia Associated with Spondylodiscitis. Uro, 1(4), 198-201. https://doi.org/10.3390/uro1040021

