Abstract
Plasmacytoid variant of urothelial carcinoma is a rare subtype of urothelial carcinoma that has poor prognosis. We describe two cases of patients with the plasmacytoid variant of urothelial carcinoma (PVUC) who had initial response to neoadjuvant chemotherapy followed by radical cystoprostatectomy and lymph node dissection but presented with early relapse and disease progression manifesting with intestinal obstruction and peritoneal carcinomatosis. Tumor genomic sequencing revealed mutations and alterations in ARID1A, CDH1, PIK3CA, RB1 loss, and TERT promoter, as well as tumor mutational burden of 10 Muts/Mb treated with pembrolizumab with a minimal response. A further review of the literature regarding this rare variant is discussed here.
1. Introduction
The plasmacytoid variant of urothelial carcinoma (PVUC) makes up a rare subtype of urothelial cancers. This aggressive variant accounts for an estimated less than 5% of invasive cancers originating from the urothelial tract of the bladder that, in turn, account for 90% of diagnosed primary bladder cancers [1,2]. Variants of the urothelial carcinoma display morphologies distinct from usual or typical patterns of invasive urothelial carcinoma. The plasmacytoid variant is characterized by tumor cells that resemble plasma cells and/or monocytes, as well as a variable number of single cells with the appearance of signet ring cells [3]. The prognosis of this variant is often poor due to the commonly advanced disease presentation upon diagnosis warranting aggressive treatments [1,4,5].
2. Case Series
A 61-year-old Caucasian male presented with dysuria, with a 40-pack-years of smoking history, coronary artery disease, hypertension, and chronic gastroparesis. However, given symptoms of increased pelvic pain, urinary urgency, and hematuria, a cystoscopy was performed and showed a bladder tumor that was treated with primary transurethral resection of bladder tumor (TURBT). The pathology revealed high-grade PVUC invading the lamina propria and muscularis propria with viable cells in both layers (Figure 1). After also experiencing flank pain, an ultrasound and a CT scan were performed, revealing bilateral hydronephrosis for which nephrostomy tubes were placed and bladder wall thickening, increased renal echogenicity, and seminal vesicle calcifications were found (Figure 2). He completed three cycles of neoadjuvant dose-dense methotrexate, vinblastine, doxorubicin, and cisplatin (dd-MVAC), which was complicated by multiple gastrointestinal (GI) symptoms of nausea, vomiting, resultant hypokalemia, and cytopenia, but he was able to successfully undergo definitive robot-assisted laparoscopic radical cystoprostatectomy, bilateral lymph node dissection with bilateral ureterolysis, and neobladder continent urinary diversion with ileum. The final pathology revealed ypT2N0Mx PVUC bladder cancer. While the resolution of bilateral hydronephrosis was seen initially, he developed persistent GI symptoms ten months later that warranted an eventual cholecystectomy. Regardless, symptoms of nausea, vomiting, and pain persisted, which necessitated obtaining a CT scan that showed changes that included recurrent bilateral hydronephrosis and bowel loop thickenings suggestive of the development of enteritis; a small bowel follow-through revealed intestinal obstruction (Figure 3C). A surgical exploratory laparotomy revealed multiple tumor deposits, and a thick, fibrous, mass-like tissue adhering the transverse colon to the anterior abdominal wall was dissected. However, given the extent of the adhesions and tumor deposits occurring diffusely in the abdomen and pelvis, it was elected to not remove the affected small bowel and instead bring up an end-ileostomy to relieve his obstruction. The pathology from these biopsies showed metastases of the high-grade PVUC with infiltrating plasmacytoid and signet ring cells in the small bowel and omentum with immunostaining positive for GATA-3, CD138, CK20, and CK7 (Figure 3).
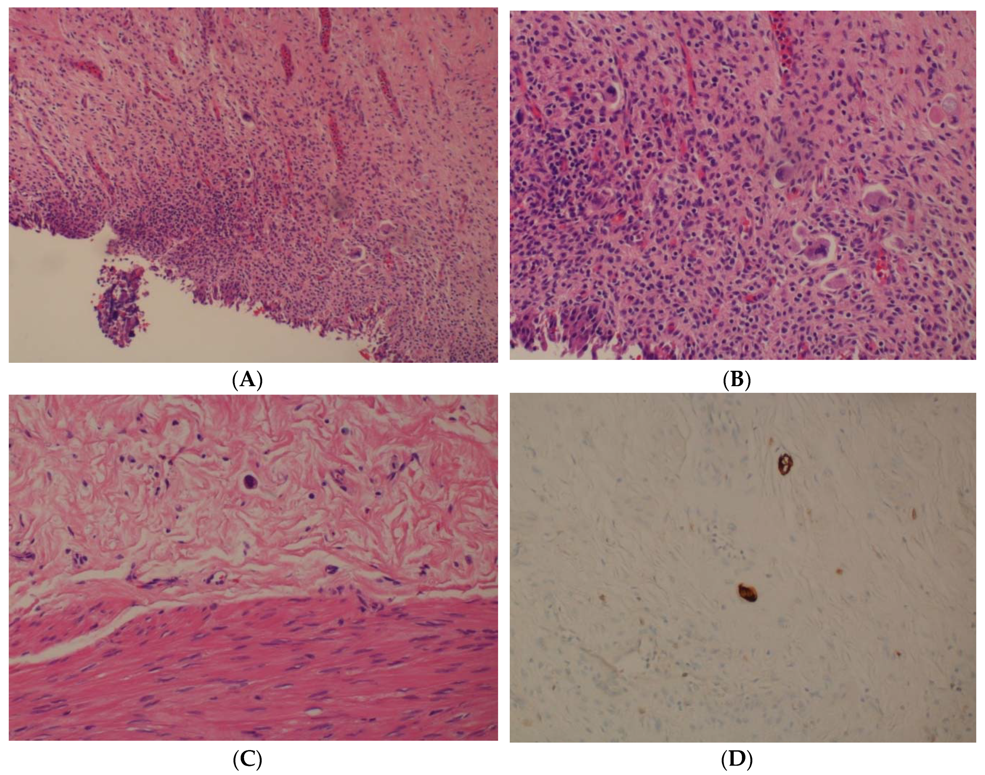
Figure 1.
Radical bladder cystoprostatectomy specimen: residual invasive carcinoma (<1% viable tumor cells in the tumor bed), focally invasive into muscularis propria, with ypT2a pN0. (A) Viable tumor cells in lamina propria (100×); (B) viable tumor cells in lamina propria (200×); (C) viable tumor cells in muscularis propria (200×); (D) pan-cytokeratin highlights the residual viable tumor cells (200×).
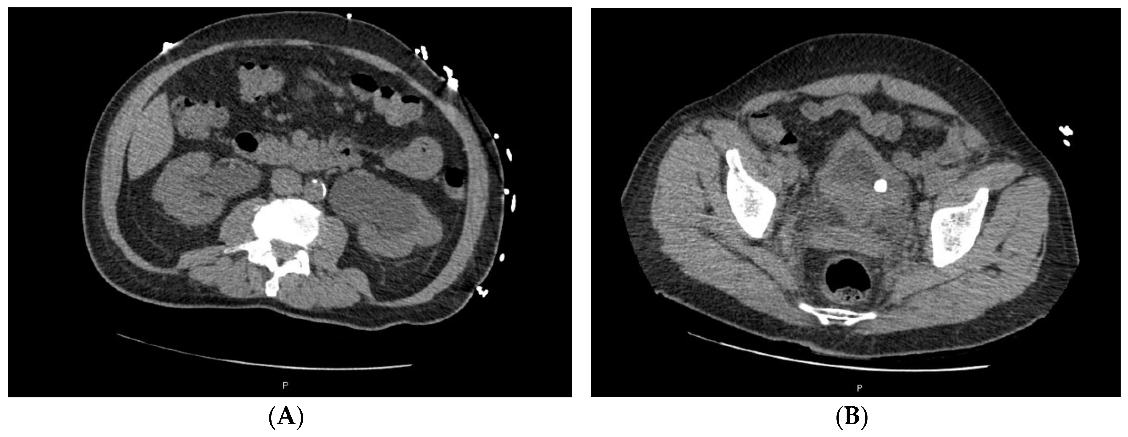
Figure 2.
CT scan showing bilateral hydronephrosis. (A) CT scan pre-cystectomy showing bladder thickening; (B) CT scan shows bilateral hydronephrosis; (C) Small bowel follow-through showing dilated small bowel loops, contrast ends before cecum, polypoid filling defects suggest stool in the small bowel.
Figure 3.
Metastatic high-grade urothelial carcinoma, plasmacytoid variant involving omentum and small bowel implant. (A,B) The infiltrative carcinoma consists of plasmacytoid and signet ring like cells (A:100×, B:200×); (C–F) Immunohistochemical stains demonstrate the tumor cells are positive for GATA-3 (C), CD138 (D), CK20 (E), and CK7 (F), (200×).
Further staging revealed mediastinal lymphadenopathy on a chest CT scan. Further genomic sequencing using FOUNDATIONONE® CDX genomic profiling showed alterations in ARID1A Q1095fs*10, CDH1 T364fs*3, PIK3CA M10431, RB1 loss, and TERT promoter −124C>T, as well as a tumor mutational burden of 10 Muts/Mb and a stable microsatellite status (MS-stable). He was only able to receive one dose of the PD-1 inhibitor pembrolizumab but with progressive physical and functional decline, as well as gastrointestinal complication symptoms; he declined further treatment and proceeded with hospice. He passed away two years and four months after his initial diagnosis.
Case 2 is a 71 y/o male who presented with prostatic hyperplasia symptoms and acute renal insufficiency. Initial imaging showed bilateral hydronephrosis and bladder calcifications. He underwent TURP and TURBT, which revealed high-grade urothelial carcinoma with plasmacytoid and micropapillary features. CT staging showed a markedly thickened and nodular wall of the urinary bladder and calculus (Figure 4), which was consistent with bladder malignancy (suspicious for a diffuse infiltrating tumor) and an abnormal right ureteral dilation with wall thickening and enhancement suspicious for tumor involvement in the right ureter, as well as bilateral pelvic sidewall and retroperitoneal lymphadenopathy. He received chemotherapy with gemcitabine and cisplatin for six cycles with good partial response and ultimately underwent radical cystoprostatectomy, ileal diversion, and lymph node dissection with pathology that revealed high-grade urothelial carcinoma with a plasmacytic variant signet ring and micropapillary features with bulky residual disease pT4pN2Mx. Immunopathologic staining showed +CK20, p53, HER2+ IHC stains, negative PSA, and PD-L1 staining. Sequencing results showed ERBB2 amplification. However, he had ongoing gastrointestinal symptoms of nausea and vomiting, which led to further endoscopies that revealed peritoneal carcinomatosis. He received several cycles of pembrolizumab, and though initial symptom stabilization was seen, further progression ensued and hospice ultimately engaged.
Figure 4.
Bladder thickening and hydronephrosis. (A) CT scan pre-cystectomy showing bilateral hydronephrosis for case 2; (B) CT scan shows bladder thickening for case 2 and calculi.
3. Discussion
PVUC is a rare and aggressive variant that only accounts for a smaller proportion of diagnosed urothelial bladder cancers. It is predominantly observed in males above 55 years of age and is often associated with higher lymph node involvement, locally advanced tumors, and muscle-invasive disease, and it is more likely to be diagnosed at higher stages compared to pure urothelial carcinomas (UCs) [5,6]. The prognosis of urothelial cancers of the plasmacytoid variant is often poor, with high local recurrence rates and a decreased overall survival (OS); studies have shown a five-year OS of 27% for PVUC compared to 45% for pure urothelial cancers [2].
Initial presentation is typically similar to urothelial bladder cancers, often with gross or microscopic hematuria [7] and other urinary obstructive or irritative symptoms. The histological presentation of the plasmacytoid variant is characterized by atypical cells—specifically plasma-like cells with ample eosinophilic cytoplasm and displaced nuclei that may contain vacuoles or form signet rings often composing at least 50% of the tumor. Plasmacytoid variants can express the plasma cell marker CD138 (syndecan-1), and E-cadherin is often down regulated or negative, helping the diffuse permeation of the tumor cells [8]. Other products that may be found by the immunohistochemistry of PVUC include GATA3, p63, CK7, CK20, S100P, and protein-15 [9]. In our present case, tumor cells were initially found during the TURBT of the bladder, and while successful surgery was done with cystoprostatectomy and lymph node dissection with ileal diversion, recurrence occurred later on with metastasis to the omentum and the small bowel, as well as intraperitoneal spread. Immunohistochemical staining was utilized to confirm the origin of the metastasis and was positive for GATA3, CK7, CK20, and CD138, further confirming the metastasis of the PVUC to the omentum and small bowel in this patient.
The results of genomic sequencing in these rare variants likely explains the poor prognosis and the potential for peritoneal carcinomatosis in part. Studies have shown the significant overexpression of CDH1 mutations in the plasmacytoid variant (50%) compared to pure UC (2%) [10]. The CDH1 mutation leads to the loss of E-cadherin that is often found on immunohistochemical staining. This loss of E-cadherin can lead to the enhanced cellular migration of the tumor cells and the potential for the peritoneal pattern of disease seen in PVUC, and it may also contribute to a poor prognosis [11]. The loss of RB, a tumor suppressor protein, is seen in various malignancies but has been observed to contribute to the progression of high-grade invasive cases of bladder cancer via various pathways [12]. A retrospective study on 81 patients with UC found ARID1A expression to have an inverse correlation with the stage of UC in both conventional pure UC and variants. ARID1A expression was also found to be lower in variants, which generally have a worse prognosis compared to conventional UC. Its encoded protein is involved in cellular proliferation and tumor suppression, possibly explaining the higher staging and poorer prognosis found in this study [13].
In a particular study that looked at 10 cases of PVUC that were subjected to genomic sequencing, nine had a mutation in at least one gene from commonly involved genes including TERT, FGFR3, PIK3CA, TP53, HRAS, KRAS, ERBB2, CDKN2A, MET, MLL, and VHL. PIK3CA mutations do not seem to occur specifically based on a particular stage or type and can be found in tumors of all stages of bladder cancer. TERT promotor mutations are the most common mutations found in UCs, and in a retrospective study of 10 PVUC cases, six were found to have TERT promotor mutations. These commonly mutated genes have diagnostic potential and have been suggested for diagnostic panels for UC [14]. Genomic sequencing on our present case showed alterations in ARID1A, CDH1, PIK3CA, RB1 loss, and TERT promotor, as well as a high tumor mutational burden. The peritoneal carcinomatosis of this patient may have been contributed to by some of these gene mutations, especially CDH1. The finding of mutations in ARID1A, CDH1, and RB1 loss align with the poor prognosis of the case as well. In addition, mutations in PIK3CA have been found to be potent oncogenic drivers in urothelial cancers [15]. While the patient in Case 2 also had sequencing findings with the ERBB2 mutation, it may have been the concomitant micropapillary component that conferred this genomic sequencing finding [10].
Given the rarity of plasmacytoid variants, treatment has not been uniformly defined. However, chemotherapy, which has been historically used for conventional or pure urothelial cancers, has often been used with relatively good success in PVUC, although the durability of response is often lacking [6]. However, a few reports have shown inconsistent benefit from the use of neoadjuvant or adjuvant chemotherapy [16,17,18], often used whenever possible, followed by consolidative surgery as the main therapeutic option of choice. In a retrospective study of 31 patients with PVUC, pathological down-staging was found in 80% of patients with resectable disease compared to the upstaging found in most patients who received surgery up-front. Despite the achieved pathological down-staging, recurrences still occurred in a majority of patients, most commonly in the peritoneum [6]. Given its often higher stage at diagnosis, those with PVUC are more likely to undergo more aggressive multimodality treatments with both chemotherapy, either adjuvant or neoadjuvant, and surgery. Chemotherapy regimens that are commonly utilized include MVAC, gemcitabine and cisplatin (GC), and a mixture of ifosfamide, doxorubicin, and gemcitabine. While immunotherapy has gained a major role in the treatment of conventional urothelial cancers [19], little is known about possible efficacy in plasmacytoid urothelial variants. In our particular case series, where both patients received pembrolizumab, there were no discernible responses, thus highlighting the need for alternative, more active agents in this aggressive variant.
4. Conclusions
The plasmacytoid variant of urothelial carcinoma often confers a dismal prognosis with possible links to genomic mutations involving CDH1 and the loss of E-cadherin that explains its propensity for intraperitoneal spread. While surgery is often used for early localized disease, systemic therapy is often required for more advanced disease presentation. Treatment with chemotherapy, while initially effective, often does not lead to durable responses. The use of checkpoint inhibitors appears to have limited responses. This poses an area of increased unmet need for the discovery of novel therapeutics for this aggressive variant of urothelial cancer.
Author Contributions
Conceptualization, J.B.A.-C.; formal analysis, A.E., W.L., S.M.-L., S.C., J.B.A.-C.; investigation, resources, and data curation, A.E., W.L., S.M.-L., S.C., J.B.A.-C.; writing—original draft preparation, writing—review and editing, A.E., W.L., S.M.-L., S.C., J.B.A.-C.; All authors have read and agreed to the published version of the manuscript.
Funding
This research received no external funding.
Informed Consent Statement
Patient consent was waived due to subjects being deceased.
Acknowledgments
We would like to acknowledge the David Wohlscheid Fund for administrative support.
Conflicts of Interest
J.B.A.-C. reports consultant fees from Merck, Immunomedics, EMD Serono, Pfizer, but not related to this manuscript. All other authors declare no conflict of interest.
References
- Li, Q.; Assel, M.; Benfante, N.E.; Pietzak, E.J.; Herr, H.W.; Donat, M.; Cha, E.K.; Donahue, T.F.; Bochner, B.H.; Dalbagni, G. The Impact of Plasmacytoid Variant Histology on the Survival of Patients with Urothelial Carcinoma of Bladder after Radical Cystectomy. Eur. Urol. Focus 2019, 5, 104–108. [Google Scholar] [CrossRef] [PubMed]
- Cockerill, P.A.; Cheville, J.C.; Boorjian, S.A.; Blackburne, A.; Thapa, P.; Tarrell, R.F.; Frank, I. Outcomes Following Radical Cystectomy for Plasmacytoid Urothelial Carcinoma: Defining the Need for Improved Local Cancer Control. Urology 2017, 102, 143–147. [Google Scholar] [CrossRef] [PubMed]
- Humphrey, P.A.; Moch, H.; Cubilla, A.L.; Ulbright, T.M.; Reuter, V.E. The 2016 WHO Classification of Tumours of the Urinary System and Male Genital Organs-Part B: Prostate and Bladder Tumours. Eur. Urol. 2016, 70, 106–119. [Google Scholar] [CrossRef] [PubMed]
- Monn, M.F.; Kaimakliotis, H.Z.; Pedrosa, J.A.; Cary, K.C.; Bihrle, R.; Cheng, L.; Koch, M.O. Contemporary bladder cancer: Variant histology may be a significant driver of disease. Urol. Oncol. 2015, 33, 18 e15–18 e20. [Google Scholar] [CrossRef] [PubMed]
- Kaimakliotis, H.Z.; Monn, M.F.; Cheng, L.; Masterson, T.A.; Cary, K.C.; Pedrosa, J.A.; Foster, R.S.; Koch, M.O.; Bihrle, R. Plasmacytoid bladder cancer: Variant histology with aggressive behavior and a new mode of invasion along fascial planes. Urology 2014, 83, 1112–1116. [Google Scholar] [CrossRef] [PubMed]
- Dayyani, F.; Czerniak, B.A.; Sircar, K.; Munsell, M.F.; Millikan, R.E.; Dinney, C.P.; Siefker-Radtke, A.O. Plasmacytoid urothelial carcinoma, a chemosensitive cancer with poor prognosis, and peritoneal carcinomatosis. J. Urol. 2013, 189, 1656–1661. [Google Scholar] [CrossRef] [PubMed]
- Ro, J.Y.; Shen, S.S.; Lee, H.I.; Hong, E.K.; Lee, Y.H.; Cho, N.H.; Jung, S.J.; Choi, Y.J.; Ayala, A.G. Plasmacytoid transitional cell carcinoma of urinary bladder: A clinicopathologic study of 9 cases. Am. J. Surg. Pathol. 2008, 32, 752–757. [Google Scholar] [CrossRef] [PubMed]
- Keck, B.; Stoehr, R.; Wach, S.; Rogler, A.; Hofstaedter, F.; Lehmann, J.; Montironi, R.; Sibonye, M.; Fritsche, H.M.; Lopez-Beltran, A.; et al. The plasmacytoid carcinoma of the bladder—Rare variant of aggressive urothelial carcinoma. Int. J. Cancer 2011, 129, 346–354. [Google Scholar] [CrossRef] [PubMed]
- Sood, S.; Paner, G.P. Plasmacytoid Urothelial Carcinoma: An Unusual Variant That Warrants Aggressive Management and Critical Distinction on Transurethral Resections. Arch. Pathol. Lab. Med. 2019, 143, 1562–1567. [Google Scholar] [CrossRef] [PubMed]
- Ramamurthy, C.; Arguello, D.; Anari, F.; Ghatalia, P.; Zibelman, M.R.; Plimack, E.R.; Burgess, E.F.; Hogan, T.F.; Dawson, N.A.; Hauke, R.J.; et al. Molecular profiling of aggressive variant urothelial carcinoma. J. Clin. Oncol. 2019, 37, 378. [Google Scholar] [CrossRef]
- Al-Ahmadie, H.A.; Iyer, G.; Lee, B.H.; Scott, S.N.; Mehra, R.; Bagrodia, A.; Jordan, E.J.; Gao, S.P.; Ramirez, R.; Cha, E.K.; et al. Frequent somatic CDH1 loss-of-function mutations in plasmacytoid variant bladder cancer. Nat. Genet. 2016, 48, 356–358. [Google Scholar] [CrossRef] [PubMed]
- McConkey, D.J.; Lee, S.; Choi, W.; Tran, M.; Majewski, T.; Lee, S.; Siefker-Radtke, A.; Dinney, C.; Czerniak, B. Molecular genetics of bladder cancer: Emerging mechanisms of tumor initiation and progression. Urol. Oncol. 2010, 28, 429–440. [Google Scholar] [CrossRef] [PubMed]
- Li, J.; Lu, S.; Lombardo, K.; Monahan, R.; Amin, A. ARID1A alteration in aggressive urothelial carcinoma and variants of urothelial carcinoma. Hum. Pathol. 2016, 55, 17–23. [Google Scholar] [CrossRef] [PubMed]
- Palsgrove, D.N.; Taheri, D.; Springer, S.U.; Cowan, M.; Guner, G.; Mendoza Rodriguez, M.A.; Del Carmen Rodriguez Pena, M.; Wang, Y.; Kinde, I.; Ricardo, B.F.P.; et al. Targeted sequencing of plasmacytoid urothelial carcinoma reveals frequent TERT promoter mutations. Hum. Pathol. 2019, 85, 1–9. [Google Scholar] [CrossRef] [PubMed]
- Ross, R.L.; McPherson, H.R.; Kettlewell, L.; Shnyder, S.D.; Hurst, C.D.; Alder, O.; Knowles, M.A. PIK3CA dependence and sensitivity to therapeutic targeting in urothelial carcinoma. BMC Cancer 2016, 16, 553. [Google Scholar] [CrossRef] [PubMed]
- Hayashi, T.; Tanigawa, G.; Fujita, K.; Imamura, R.; Nakazawa, S.; Yamamoto, Y.; Hosomi, M.; Shimazu, K.; Fushimi, H.; Yamaguchi, S. Two cases of plasmacytoid variant of urothelial carcinoma of urinary bladder: Systemic chemotherapy might be of benefit. Int. J. Clin. Oncol. 2011, 16, 759–762. [Google Scholar] [CrossRef] [PubMed]
- Keck, B.; Wach, S.; Stoehr, R.; Kunath, F.; Bertz, S.; Lehmann, J.; Stöckle, M.; Taubert, H.; Wullich, B.; Hartmann, A. Plasmacytoid variant of bladder cancer defines patients with poor prognosis if treated with cystectomy and adjuvant cisplatin-based chemotherapy. BMC Cancer 2013, 13, 71. [Google Scholar] [CrossRef] [PubMed]
- Diamantopoulos, L.N.; Khaki, A.; Grivas, P.; Gore, J.L.; Schade, G.; Hsieh, A.; Lee, J.K.; Yesefski, T.; Yu, E.Y.; Schweizer, M.; et al. Plasmacytoid Urothelial Carcinoma: Response to Chemotherapy and Oncologic Outcomes. Bladder Cancer 2019, 6, 71–81. [Google Scholar] [CrossRef]
- Gandhy, S.U.; Madan, R.A.; Aragon-Ching, J.B. The immunotherapy revolution in genitourinary malignancies. Immunotherapy 2020, 12, 819–831. [Google Scholar] [CrossRef] [PubMed]
Publisher’s Note: MDPI stays neutral with regard to jurisdictional claims in published maps and institutional affiliations. |
© 2021 by the authors. Licensee MDPI, Basel, Switzerland. This article is an open access article distributed under the terms and conditions of the Creative Commons Attribution (CC BY) license (http://creativecommons.org/licenses/by/4.0/).



