Inguinal Herniation of the Transplanted Ureter: A Systematic Review
Abstract
1. Introduction
2. Materials and Methods
2.1. Search Strategy
2.2. Inclusion Criteria
2.3. Exclusion Criteria
2.4. Data Extraction
2.5. Statistical Analysis and Synthesis
2.6. Case-Report Methodology
2.7. PICO Framework
- -
- P (Population/Patient/Problem): Kidney transplant recipients who developed in guinal herniation of the transplanted ureter.
- -
- I (Intervention/Exposure): Diagnostic and therapeutic interventions, including cross-sectional imaging (CT, ultrasound), ureteral stenting, nephrostomy placement, and surgical hernia repair (with or without mesh).
- -
- C (Comparison): Alternative or conservative management strategies, or different surgical techniques (e.g., tissue repair versus mesh reinforcement).
- -
- (Outcomes): Clinical outcomes including resolution of obstructive uropathy, preservation of graft function, recurrence of hernia, perioperative complications.
3. Results
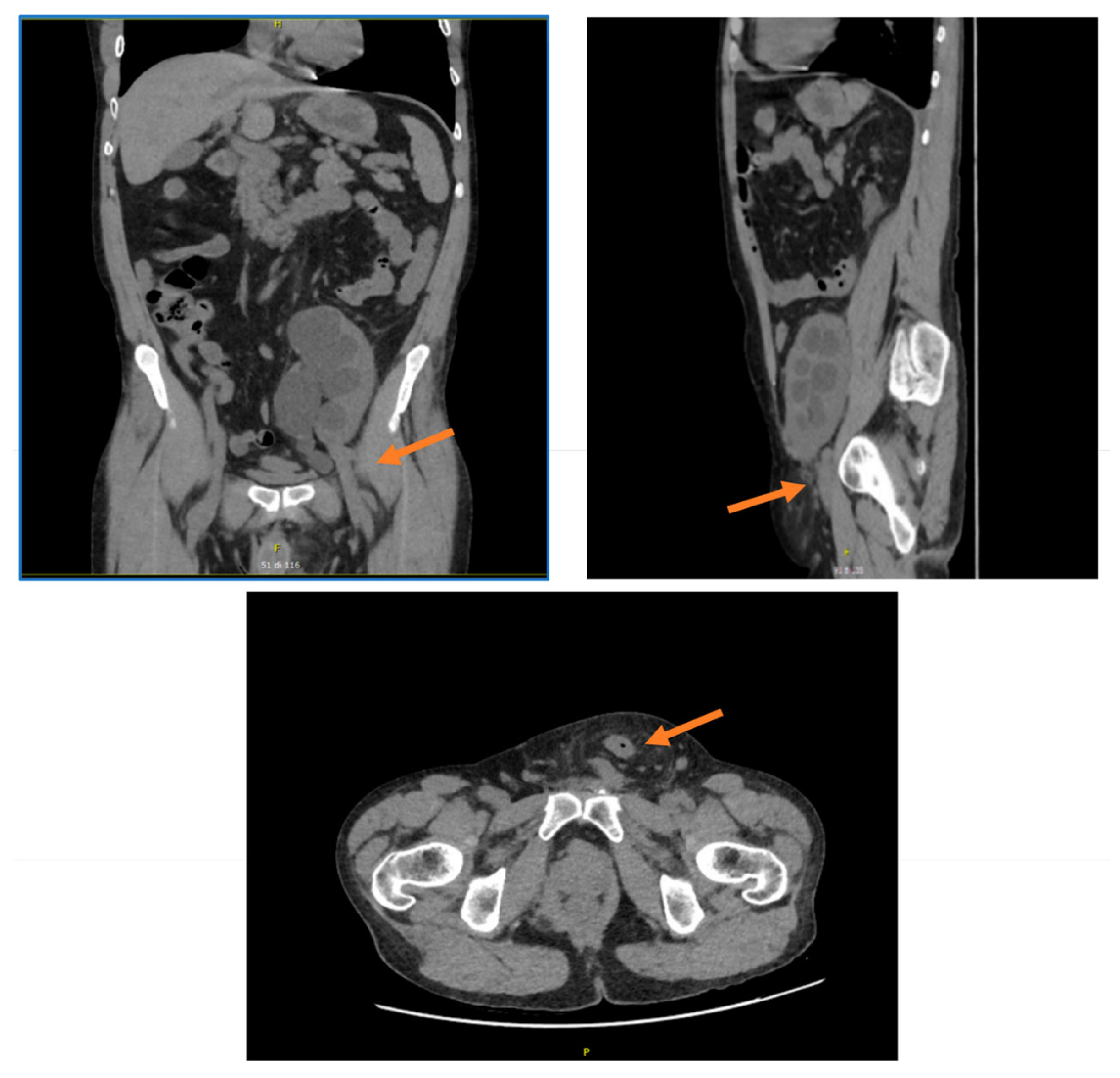
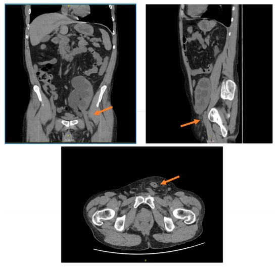
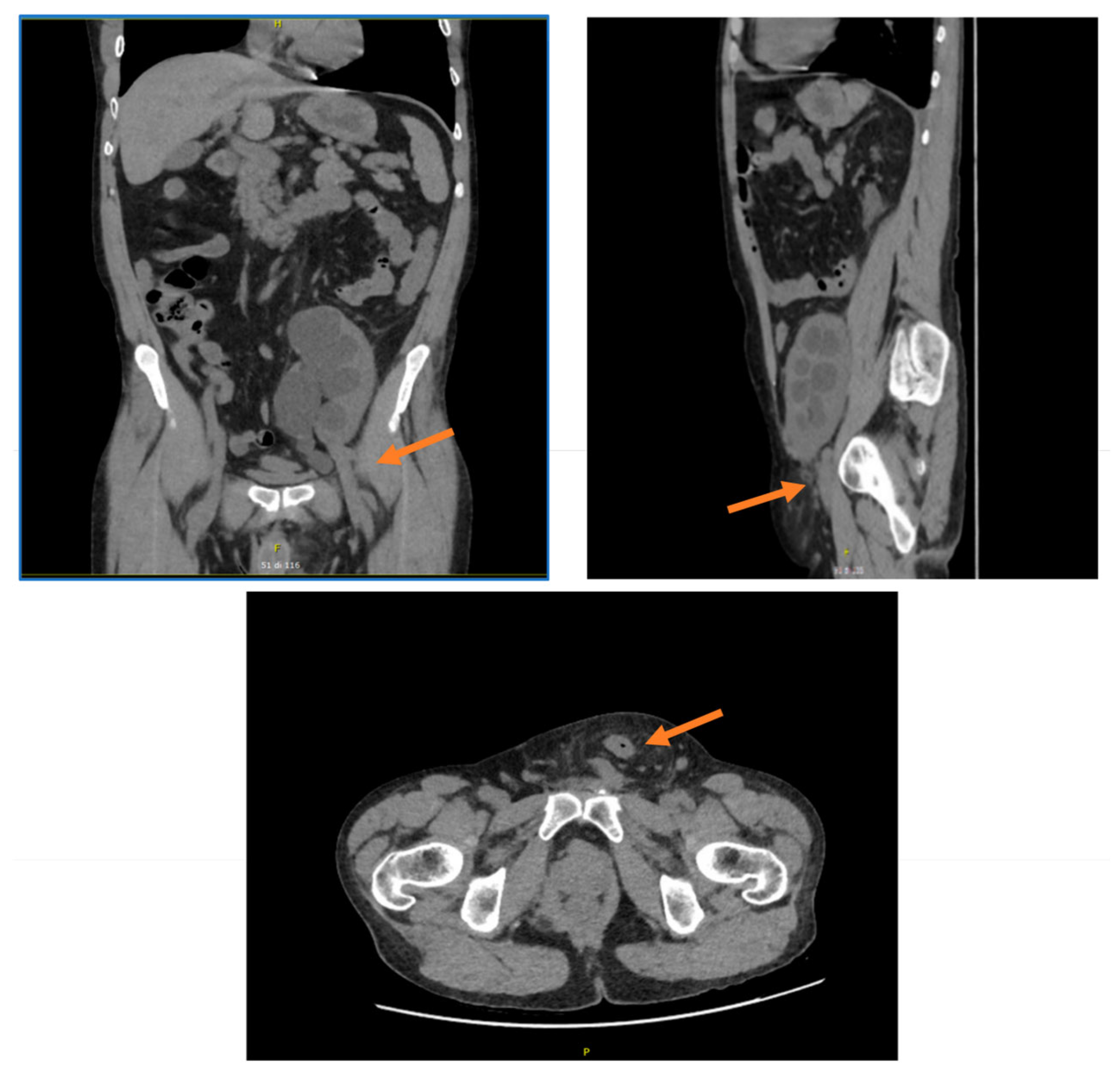
3.1. Case Report
3.2. Literature Review
4. Discussion
| Case | Year | Grading Score | Gender | Age | Years PT | Side | Nephrostomy | Stent | Hernia Repair | Mesh | Type |
|---|---|---|---|---|---|---|---|---|---|---|---|
| Ciancio et al. [27] | 1995 | B (Strong) | M | 59 | 1.5 | R | Yes | Yes | Yes | No | \ |
| Osman et al. [28] | 2004 | B (Strong) | F | 44 | 8 | R | Yes | No | Yes | Yes | Polypropylene |
| Salinas Sanchez et al. [29] | 2005 | B (Strong) | M | 70 | 5 | R | Yes | Yes | Yes | Yes | Polypropylene |
| Furtado et al. [30] | 2006 | B (Strong) | M | 44 | 12 | L | Yes | No | Yes | No | \ |
| Verbeeck et al. [31] | 2007 | B (Strong) | M | 75 | 11 | R | No | No | Yes | No | \ |
| Ingber et al. [17] | 2007 | B (Strong) | M | 72 | 12 | L | Yes | Yes | Yes | Yes | Polypropylene |
| Otani et al. [32] | 2008 | A (Outstanding) | M | 53 | 9 | R | Yes | No | Yes | No | \ |
| Di Cocco et al. [12] | 2009 | A (Outstanding) | M | 41 | 19 | R | Yes | Yes | Yes | No | \ |
| Azhar et al. [14] | 2009 | B (Strong) | M | 76 | 20 | R | Yes | Yes | Yes | No | \ |
| Odisho et al. [33] | 2010 | A (Outstanding) | M | 58 | 15 | R | Yes | Yes | Yes | Yes | Polypropylene |
| Tran et al. [34] | 2011 | B (Strong) | M | 52 | 8 | L | Yes | Yes | Yes | No | \ |
| Eng et al. [35] | 2011 | B (Strong) | M | 50 | 7 | R | Yes | Yes | Yes | Yes | NA |
| Pourafkari et al. [21] | 2013 | B (Strong) | M | 50 | 12 | R | Yes | Yes | No | No | \ |
| Vyas et al. [36] | 2014 | B (Strong) | M | 32 | 7 | R | No | No | Yes | No | \ |
| Kondo et al. [37] | 2015 | A (Outstanding) | M | 52 | 7 | R | No | Yes | Yes | Yes | Polypropylene |
| Hakeem et al. [20] | 2016 | B (Strong) | M | 72 | 9 | R | Yes | Yes | Yes | Yes | Polyglactin 910 |
| Cheung et al. [38] | 2016 | A (Outstanding) | M | 44 | 18 | L | No | No | Yes | No | \ |
| Cheung et al. [38] | 2016 | B (Strong) | M | 88 | 15 | R | Yes | No | Yes | No | \ |
| Soleymanian et al. [39] | 2016 | B (Strong) | M | 48 | <1 [4 months] | L | No | No | No | No | \ |
| Coelho et al. [40] | 2016 | B [Strong] | M | 77 | 25 | L | Yes | No | Yes | Yes | Non absorbable |
| Vigo et al. [41] | 2016 | A [Outstanding] | M | 51 | 12 | R | No | No | Yes | No | \ |
| Ross et al. [42] | 2017 | B (Strong) | M | 63 | 30 | R | Yes | Yes | Yes | No | \ |
| Ghielmini et al. [43] | 2017 | A (Outstanding) | M | 82 | 14 | L | Yes | Yes | Yes | Yes | Preperitoneal Non absorbable |
| Du Toit et al. [44] | 2017 | A (Outstanding) | M | 39 | 11 | R | Yes | No | Yes | Yes | NA |
| Lobo et al. [18] | 2017 | B (Strong) | M | 73 | 29 | L | Yes | Yes | Yes | No | \ |
| Bugeja et al. [45] | 2018 | A (Outstanding) | M | 75 | 6 | R | No | Yes | Yes | Yes | Polypropylene |
| Areda et al. [46] | 2019 | C (Moderate) | M | 81 | NA | R | Yes | No | Yes | No | \ |
| Bosmans et al. [19] | 2019 | A (Outstanding) | M | 61 | 9 | R | Yes | No | Yes | No | \ |
| Kobayashi et al. [47] | 2020 | B (Strong) | M | 68 | 8 | R | No | Yes | Yes | Yes | Polypropylene |
| Giacomoni et al. [48] | 2021 | B (Strong) | M | 56 | 37 | L | No | No | Yes | Yes | Polypropylene |
| Merani et al. [49] | 2021 | A (Outstanding) | M | 62 | 11 | L | Yes | Yes | Yes | Yes | NA |
| Merani et al. [49] | 2021 | B (Strong) | F | 72 | 2 | R | Yes | Yes | Yes | Yes | Biological |
| Chang et al. [50] | 2021 | B (Strong) | M | 76 | 3 | R | Yes | Yes | Yes | No | \ |
| Mongera et al. [51] | 2023 | A (Outstanding) | M | 78 | 17 | R | No | Yes | Yes | NA | \ |
| Lima et al. [52] | 2023 | A (Outstanding) | M | 63 | 9 | L | No | Yes | Yes | Yes | NA |
| Ishikawa et al. [53] | 2024 | B (Strong) | M | 68 | 10.6 | R | No | No | Yes | Yes | NA |
| Ishikawa et al. [53] | 2024 | B (Strong) | M | 68 | 8.3 | R | No | No | Yes | Yes | NA |
| Ishikawa et al. [53] | 2024 | B (Strong) | M | 58 | 2.5 | R | No | No | Yes | Yes | NA |
| Ishikawa et al. [53] | 2024 | B (Strong) | M | 60 | 32.7 | R | No | No | Yes | Yes | NA |
| Shaheen et al. [54] | 2024 | B (Strong) | M | 53 | 25 | R | No | No | Yes | Yes | Polypropylene |
| Present case | 2024 | M | 49 | 15 | L | No | Yes | Yes | Yes | Polypropylene |
| Case | Post Operative Complications | Post Operative Stay (Days) | Hernia Recurrence During the Follow Up | Graft Failure |
|---|---|---|---|---|
| Ciancio et al. [27] | NA | NA | No | No |
| Osman et al. [28] | No | NA | NA | No |
| Salinas Sanchez et al. [29] | NA | NA | NA | No |
| Furtado et al. [30] | NA | NA | NA | NA |
| Verbeeck et al. [31] | No | NA | NA | No |
| Ingber et al. [17] | NA | NA | NA | No |
| Otani et al. [32] | No | 3 | NA | No |
| Di Cocco et al. [12] | No | 4 | No | No |
| Azhar et al. [14] | NA | NA | NA | No |
| Odisho et al. [33] | No | 1 | NA | NA |
| Tran et al. [34] | NA | NA | NA | No |
| Eng et al. [35] | No | NA | NA | No |
| Pourafkari et al. [21] | / | / | / | / |
| Vyas et al. [36] | No | NA | NA | No |
| Kondo et al. [37] | No | 4 | No | No |
| Hakeem et al. [20] | No | NA | NA | No |
| Cheung et al. [38] | No | 2 | NA | No |
| Cheung et al. [38] | No | 7 | NA | No |
| Soleymanian et al. [39] | NA | NA | NA | NA |
| Coelho et al. [40] | No | NA | NA | No |
| Vigo et al. [41] | No | NA | NA | No |
| Ross et al. [42] | NA | NA | NA | NA |
| Ghielmini et al. [43] | No | NA | No | No |
| Du Toit et al. [44] | No | 6 | No | No |
| Lobo et al. [18] | No | NA | No | No |
| Bugeja et al. [45] | NA | NA | NA | No |
| Areda et al. [46] | NA | NA | NA | No |
| Bosmans et al. [19] | No | 5 | NA | No |
| Kobayashi et al. [47] | No | 7 | No | No |
| Giacomoni et al. [48] | No | NA | NA | No |
| Merani et al. [49] | NA | NA | NA | No |
| Merani et al. [49] | NA | NA | No | No |
| Chang et al. [50] | No | NA | No | No |
| Mongera et al. [51] | No | NA | NA | No |
| Lima et al. [52] | No | 0 (discharged the same day of the surgery) | NA | No |
| Ishikawa et al. [53] | No | 4 | No | No |
| Ishikawa et al. [53] | No | 7 | No | No |
| Ishikawa et al. [53] | No | 3 | No | No |
| Ishikawa et al. [53] | No | 5 | No | No |
| Shaheen et al. [54] | No | NA | No | No |
| Present case | No | 11 | No | No |
5. Limitations
6. Conclusions
Author Contributions
Funding
Institutional Review Board Statement
Informed Consent Statement
Data Availability Statement
Conflicts of Interest
References
- Shi, H.; Li, S.; Lin, Y.; Yang, D.; Dong, W.; Song, Z.; Song, H.; Gu, Y. Suture repair versus mesh repair in elderly populations with incarcerated or strangulated groin hernia. Updates Surg. 2024, 76, 1453–1460. [Google Scholar] [CrossRef] [PubMed]
- Jenkins, J.T.; O’dwyer, P.J. Inguinal hernias. BMJ 2008, 336, 269–272. [Google Scholar] [CrossRef] [PubMed]
- Huang, D.; Zeng, H. Two-port (single incision plus one port) versus single-port laparoscopic totally extraperitoneal repair for inguinal hernia: A retrospective comparative study. Updates Surg. 2024, 76, 595–600. [Google Scholar] [CrossRef] [PubMed]
- Burcharth, J. The epidemiology and risk factors for recurrence after inguinal hernia surgery. Dan. Med. J. 2014, 61, B4846. [Google Scholar]
- Usmani, S.U.R.; Bin Sultan, S.M.M.; Islam, M.B.; Abbas, S.; Choudhry, M.S. TAPP versus lichtenstein techniques for bilateral inguinal hernia repair: A systematic review and meta-analysis. Updates Surg. 2024, 76, 2583–2591. [Google Scholar] [CrossRef]
- Fan, X.; Ding, Y.; Sun, N.; Chen, Y. Ultra-micro instrument in laparoscopic transabdominal preperitoneal (TAPP) hernioplasty. Updates Surg. 2024, 76, 601–605. [Google Scholar] [CrossRef]
- Aydoğdu, Y.F.; Kubat, Ö.; Büyükkasap, Ç.; Göbüt, H.; Dikmen, K. A new approach to mesh fixation in laparoscopic transabdominal technique, “suture passer”, superior or not? Updates Surg. 2024, 76, 2617–2625. [Google Scholar] [CrossRef]
- Liechty, S.; Eiref, A.D.; Vengatesan, K.; Barasch, S.P.; Dong, X.D.; Zimmerman, P.W.; Nicoara, M.; Patel, K.; Walden, H.; Eiref, S.D. An inguinal hernia ‘hard to stomach’. J. Surg. Case Rep. 2023, 2023, rjad416. [Google Scholar] [CrossRef]
- Khan, K.; Chaudhry, A.; Feinman, M.B. Inguinoscrotal hernia containing the urinary bladder. BMJ Case Rep. 2016, 2016, bcr2016217408. [Google Scholar] [CrossRef]
- Wendler, J.J.; Baumunk, D.; Liehr, U.B.; Schostak, M. Kidney dislocation in a monstrous inguinal intestinal hernia with ureteropelvic junction obstruction and acute on chronic renal failure. Urol. Int. 2013, 91, 370–372. [Google Scholar] [CrossRef]
- Saidi, R.F.; Elias, N.; Hertl, M.; Kawai, T.; Cosimi, A.B.; Ko, D.S. Urinary reconstruction after kidney transplantation: Pyeloureterostomy or ureteroneocystostomy. J. Surg. Res. 2013, 181, 156–159. [Google Scholar] [CrossRef]
- Di Cocco, P.; Orlando, G.; Bonanni, L.; D’ANgelo, M.; Mazzotta, C.; Rizza, V.; Clementi, K.; Greco, S.; Famulari, A.; Pisani, F. Scrotal herniation of the ureter: A rare late complication after renal transplantation. Transplant. Proc. 2009, 41, 1393–1397. [Google Scholar] [CrossRef]
- Alotaibi, N.E. Incidence and risk factors of infections following kidney transplantation. J. Infect. Public Health 2024, 17, 102491. [Google Scholar] [CrossRef] [PubMed]
- Azhar, R.; Boutros, M.; Hassanain, M.; Polyhronopoulos, G.; Chaudhury, P.; Tchervenkov, J.; Cabrera, T. A rare case of obstructive uropathy in renal transplantation: Ipsilateral indirect inguinal herniation of a transplant ureter. Transplantation 2009, 88, 1038–1039. [Google Scholar] [CrossRef] [PubMed]
- Shoskes, D.A.; Hanbury, D.; Cranston, D.; Morris, P.J. Urological complications in 1,000 consecutive renal transplant recipients. J. Urol. 1995, 153, 18–21. [Google Scholar] [CrossRef] [PubMed]
- Ballard, J.L.; Dobbs, R.M.; Malone, J.M. Ureteroinguinal hernia: A rare companion of sliding inguinal hernias. Am. Surg. 1991, 57, 720–722. [Google Scholar]
- Ingber, M.S.; Girdler, B.J.; Moy, J.F.; Frikker, M.J.; Hollander, J.B. Inguinal herniation of a transplant ureter: Rare cause of obstructive uropathy. Urology 2007, 70, 1224.e1–1224.e3. [Google Scholar] [CrossRef]
- Lobo, N.; McCaig, F.; Olsburgh, J. Contralateral inguinal herniation of a transplant ureter causing obstructive uropathy in a renal transplant recipient. BMJ Case Rep. 2017, 2017, bcr2016218071. [Google Scholar] [CrossRef]
- Bosmans, I.; De Boe, V.; Wissing, K.M.; Vanhoeij, M.; Jacobs-Tulleneers-Thevissen, D. A preventable cause of transplant hydroureteronephrosis: Inguinal herniation of the transplant ureter: Case report and review of the literature. Acta Chir. Belg. 2021, 121, 340–345. [Google Scholar] [CrossRef]
- Hakeem, A.R.; Gopalakrishnan, P.; Dooldeniya, M.D.; Irving, H.C.; Ahmad, N. Inguinal Herniation of a Transplant Ureter: Lessons Learned from a Case of “Water Over the Bridge”. Exp. Clin. Transplant. 2016, 14, 103–105. [Google Scholar] [CrossRef]
- Pourafkari, M.; Ghofrani, M.; Riahi, M. Inguinal herniation of a transplant kidney ureter: A case report. Iran. J. Radiol. 2012, 10, 48–50. [Google Scholar] [CrossRef]
- Gupta, P.; Sharma, P.; Maurya, V.; Bhatia, M. Herniation of ureter: A rare cause of hydroureteronephrosis. Egypt. J. Radiol. Nucl. Med. 2021, 52, 178. [Google Scholar] [CrossRef]
- Gagnier, J.J.; Kienle, G.; Altman, D.G.; Moher, D.; Sox, H.; Riley, D. The CARE guidelines: Consensus-based clinical case report guideline development. J. Clin. Epidemiol. 2014, 67, 46–51. [Google Scholar] [CrossRef] [PubMed]
- Page, M.J.; McKenzie, J.E.; Bossuyt, P.M.; Boutron, I.; Hoffmann, T.C.; Mulrow, C.D.; Shamseer, L.; Tetzlaff, J.M.; Akl, E.A.; Brennan, S.E.; et al. The PRISMA 2020 statement: An updated guideline for reporting systematic reviews. BMJ 2021, 372, n71. [Google Scholar] [CrossRef] [PubMed]
- Eldawlatly, A.; Alshehri, H.; Alqahtani, A.; Ahmad, A.; Al-Dammas, F.; Marzouk, A. Appearance of Population, Intervention, Comparison, and Outcome as research question in the title of articles of three different anesthesia journals: A pilot study. Saudi J. Anaesth. 2018, 12, 283–286. [Google Scholar] [CrossRef]
- Fernbach, S.K.; Maizels, M.; Conway, J.J. Ultrasound grading of hydronephrosis: Introduction to the system used by the Society for Fetal Urology. Pediatr. Radiol. 1993, 23, 478–480. [Google Scholar] [CrossRef]
- Ciancio, G.; Burke, G.W.; Nery, J.; Huson, H.; Coker, D.; Miller, J. Positional obstructive uropathy secondary to ureteroneocystostomy herniation in a renal transplant recipient. J. Urol. 1995, 154, 1471–1472. [Google Scholar] [CrossRef]
- Osman, Y.; Ali-El-Dein, B.; El-Leithy, R.; Shokeir, A. Sliding hernia containing the ureter—A rare cause of graft hydroureteronephrosis: A case report. Transplant. Proc. 2004, 36, 1402–1404. [Google Scholar] [CrossRef]
- Sánchez, A.S.S.; Tebar, J.C.; Martín, M.S.; Bachs, J.M.G.; Moreno, M.J.D.; Navarro, H.P.; Rodríguez, J.A.V. Obstructive uropathy secondary to ureteral herniation in a pediatric en bloc renal graft. Am. J. Transplant. 2005, 5, 2074–2077. [Google Scholar] [CrossRef]
- Furtado, C.D.; Sirlin, C.; Precht, A.; Casola, G. Unusual cause of ureteral obstruction in transplant kidney. Abdom. Imaging 2006, 31, 379–382. [Google Scholar] [CrossRef]
- Verbeeck, N.; Niedercorn, J.B.; Mc Intyre, D.; Pouthier, D.; Lamy, S. Assessment of renal graft obstruction due to ureteral inguinal hernia: US detection and 3D MR confirmation. JBR-BTR 2007, 90, 132–134. [Google Scholar]
- Otani, L.H.; Jayanthi, S.K.; Chiarantano, R.S.; Amaral, A.M.; Menezes, M.R.; Cerri, G.G. Sonographic diagnosis of a ureteral inguinal hernia in a renal transplant. J. Ultrasound Med. 2008, 27, 1759–1765. [Google Scholar] [CrossRef] [PubMed]
- Odisho, A.Y.; Freise, C.E.; Tomlanovich, S.J.; Vagefi, P.A. Inguinal herniation of a transplant ureter. Kidney Int. 2010, 78, 115. [Google Scholar] [CrossRef] [PubMed]
- Tran, D.; Gaboriault, J.; Collette, S.; Senécal, L.; Morin, M.; Boucher, A.; Dandavino, R. Obstructive uropathy caused by an inguinal hernia in a kidney transplant recipient: Report of hernia cure by the shouldice technique. Dial. Transplant. 2011, 40, 413–414. [Google Scholar] [CrossRef]
- Eng, M.; Schiffman, S.; Ravindra, K. Graft Hydroureteronephrosis Secondary to Inguinal Hernia: A Report of Two Unusual Cases. Nephro-Urol. Mon. 2011, 3, 301–303. [Google Scholar]
- Vyas, S.; Chabra, N.; Singh, S.K.; Khandelwal, N. Inguinal herniation of the bladder and ureter: An unusual cause of obstructive uropathy in a transplant kidney. Saudi J. Kidney Dis. Transplant. 2014, 25, 153–155. [Google Scholar] [CrossRef]
- Kondo, A.; Nishizawa, Y.; Akamoto, S.; Fujiwara, M.; Okano, K.; Suzuki, Y. Internal inguinal hernia on the transplant side after kidney transplantation: A case report. Surg. Case Rep. 2015, 1, 108. [Google Scholar] [CrossRef]
- Cheung, F.; Debartolo, M.M.; Copertino, L.M.; Szafran, A.A.; Estrada, C.C.; Lynch, P.G.; Darras, F.S. Different Management Options for Transplant Ureteral Obstructions within an Inguinal Hernia. Case Rep. Transplant. 2016, 2016, 4730494. [Google Scholar] [CrossRef]
- Soleymanian, T.; Kalantarian, T.; Radmard, A. Report of a kidney recipient with inguinal herniation of the transplant ureter. Saudi J. Kidney Dis. Transplant. 2016, 27, 614–616. [Google Scholar] [CrossRef]
- Coelho, H.; Nunes, P.; Canhoto, C.; Temido, P. Inguinal hernia containing bladder and ureteroneocystostomy: A rare cause for acute renal graft dysfunction. BMJ Case Rep. 2016, 2016, bcr2016214466. [Google Scholar] [CrossRef]
- Vigo, V.; Rossi, L.; Lisi, P.; Antonelli, M.; Lomonte, C.; Basile, C. An unusual cause of ureteral obstruction in kidney transplant. G. Ital. Nefrol. 2016, 33, 1–5. [Google Scholar]
- Ross, J.T.; Orandi, B.J.; Lin, M.Y.; Roll, G.R. Ureteral Obstruction and New Groin Pain in a Kidney Transplant Recipient. Am. J. Transplant. 2017, 17, 1139–1141. [Google Scholar] [CrossRef]
- Ghielmini, E.; Julita, L.; Cerantola, Y.; Matter, M.; Zingg, T. Inguinal Bladder Hernia With Acute Ureteral Obstruction 14 Years After Kidney Transplantation: A Case Report. Transplant. Proc. 2017, 49, 1593–1595. [Google Scholar] [CrossRef] [PubMed]
- du Toit, T.; Kaestner, L.; Muller, E.; Kahn, D. Inguinal Herniation Containing Bladder, Causing Contralateral Allograft Hydroureteronephrosis—A Case Report and Literature Review. Am. J. Transplant. 2017, 17, 565–568. [Google Scholar] [CrossRef]
- Bugeja, A.; Clark, E.G.; Sood, M.M.; Ali, S.N. As in Real Estate, Location Is What Matters: A Case Report of Transplant Ureteral Obstruction Due to an Inguinal Hernia. Can. J. Kidney Health Dis. 2018, 5, 205435811775362. [Google Scholar] [CrossRef]
- Areda, M.A.; Bailey, C.R.; O’Mara, D.; Weiss, C.R. Transplant uretero-inguinal hernia resulting in urosepsis. Radiol. Case Rep. 2019, 14, 14–17. [Google Scholar] [CrossRef]
- Kobayashi, T.; Miura, K.; Saito, K.; Tasaki, M.; Saito, K.; Sakata, J.; Takizawa, K.; Katada, T.; Hirose, Y.; Yuza, K.; et al. Inguinal Herniation After Living Donor Kidney Transplantation: A Case Report. Transplant. Proc. 2020, 52, 1940–1943. [Google Scholar] [CrossRef]
- Giacomoni, A.; Hassan, R.; Vanzulli, A.; De Carlis, L. Obstructive Uropathy Due to an Unusual Inguinal Hernia 35 Years After Kidney Transplant. Exp. Clin. Transplant. 2021, 19, 80–82. [Google Scholar] [CrossRef]
- Merani, S.; Aufhauser, D.D.; Maskin, A.T.; Mezrich, J.; Al-Adra, D. Not as Rare as Initially Described: Transplant Ureter Incarceration Within Inguinal Hernia. Two Cases, Literature Review, and Management Algorithm. Transplant. Proc. 2021, 53, 2285–2290. [Google Scholar] [CrossRef]
- Chang, T.-Y.; Chang, C.-H.; Lai, P.-C.; Lin, W.-C. Graft kidney hydronephrosis caused by transplant ureter inguinal hernia: A case report. Medicine 2021, 100, e25965. [Google Scholar] [CrossRef]
- Mongera, N.; Vezzali, N.; Passler, W. An unusual ureteral dynamic obstruction in a kidney transplant patient. J. Ultrasound 2023, 26, 615–618. [Google Scholar] [CrossRef]
- Lima, D.L.; Viscarret, V.; Nogueira, R.; Watts, K.; Malcher, F. Transplant Ureter Inguinal Herniation Treated by Robotic Inguinal Hernia Repair. CRSLS MIS Case Rep. SLS 2023, 10, e2023.00020. [Google Scholar] [CrossRef]
- Ishikawa, H.; Kobayashi, T.; Miura, K.; Tasaki, M.; Saito, K.; Takizawa, K.; Sakata, J.; Wakai, T. Surgical Outcomes of Ipsilateral Inguinal Hernia After Kidney Transplantation. Transplant. Proc. 2024, 56, 561–564. [Google Scholar] [CrossRef] [PubMed]
- Shaheen, M.F.; Almalki, F.J.; Altheaby, A.; Alsaikhan, B. An unusual hernia postkidney transplantation led to intermittent ureteric obstruction. J. Surg. Case Rep. 2024, 2024, rjae060. [Google Scholar] [CrossRef] [PubMed]
- Khan, M.M.M.; Woldesenbet, S.; Munir, M.M.; Khalil, M.; Endo, Y.; Katayama, E.; Altaf, A.; Rashid, Z.; Schenk, A.; Pawlik, T.M. Association of transplant recipient status with clinical and financial outcomes among patients undergoing major surgery. Surgery 2025, 179, 108938. [Google Scholar] [CrossRef] [PubMed]
- Magro, P.S.D.; Meinerz, G.; Garcia, V.D.; Mendes, F.F.; Marques, M.E.C.; Keitel, E. Kidney transplantation and perioperative complications: A prospective cohort study. Braz. J. Anesthesiol. 2024, 74, 844556. [Google Scholar] [CrossRef]
- Palamuthusingam, D.; Kunarajah, K.; Pascoe, E.M.; Johnson, D.W.; Hawley, C.M.; Fahim, M. Postoperative outcomes of kidney transplant recipients undergoing non-transplant-related elective surgery: A systematic review and meta-analysis. BMC Nephrol. 2020, 21, 365. [Google Scholar] [CrossRef]
- Greco, F.; Fornara, P.; Mirone, V. Renal transplantation: Technical aspects, diagnosis and management of early and late urological complications. Panminerva Med. 2014, 56, 17–29. [Google Scholar]
- Rocca, A.; Brunese, M.C.; Cappuccio, M.; Scacchi, A.; Martucci, G.; Buondonno, A.; Perrotta, F.M.; Quarto, G.; Avella, P.; Amato, B. Impact of Physical Activity on Disability Risk in Elderly Patients Hospitalized for Mild Acute Diverticulitis and Diverticular Bleeding Undergone Conservative Management. Medicina 2021, 57, 360. [Google Scholar] [CrossRef]
- Luciani, C.; Scacchi, A.; Vaschetti, R.; Di Marzo, G.; Fatica, I.; Cappuccio, M.; Guerra, G.; Ceccarelli, G.; Avella, P.; Rocca, A. The uniportal VATS in the treatment of stage II pleural empyema: A safe and effective approach for adults and elderly patients—A single-center experience and literature review. World J. Emerg. Surg. 2022, 17, 46. [Google Scholar] [CrossRef]
- Rocca, A.; Porfidia, C.; Russo, R.; Tamburrino, A.; Avella, P.; Vaschetti, R.; Bianco, P.; Calise, F. Neuraxial anesthesia in hepato-pancreatic-bilio surgery: A first western pilot study of 46 patients. Updates Surg. 2023, 75, 481–491. [Google Scholar] [CrossRef] [PubMed]
- Marcellinaro, R.; Rocca, A.; Avella, P.; Grieco, M.; Spoletini, D.; Carlini, M. How aging may impact the failure to rescue after colorectal laparoscopic surgery. Analysis of 1000 patients in a single high-volume center. Updates Surg. 2025, 77, 1345–1356. [Google Scholar] [CrossRef] [PubMed]
- Marcellinaro, R.; Grieco, M.; Spoletini, D.; Troiano, R.; Avella, P.; Brachini, G.; Mingoli, A.; Carlini, M. How to reduce the colorectal anastomotic leakage? The MIRACLe protocol experience in a cohort in a single high-volume centre. Updates Surg. 2023, 75, 1559–1567. [Google Scholar] [CrossRef] [PubMed]
- Wang, Y.; Zhang, Y.; Wu, Z.; Sun, H.; Zhang, W.; Cai, A.; Cui, Z.; Sun, S. Feasibility of tension-free repair of inguinal hernia in senile patients under ultrasound-guided local nerve block. Updates Surg. 2024, 76, 1461–1465. [Google Scholar] [CrossRef]
- Kumar, S.; Ameli-Renani, S.; Hakim, A.; Jeon, J.H.; Shrivastava, S.; Patel, U. Ureteral obstruction following renal transplantation: Causes, diagnosis and management. Br. J. Radiol. 2014, 87, 20140169. [Google Scholar] [CrossRef]
- Cozma, C.; Georgescu, D.; Popescu, R.; Geavlete, B.; Geavlete, P. Double-J stent versus percutaneous nephrostomy for emergency upper urinary tract decompression. J. Med. Life 2023, 16, 663–667. [Google Scholar] [CrossRef]
- Zul Khairul Azwadi, I.; Norhayati, M.N.; Abdullah, M.S. Percutaneous nephrostomy versus retrograde ureteral stenting for acute upper obstructive uropathy: A systematic review and meta-analysis. Sci. Rep. 2021, 11, 6613. [Google Scholar] [CrossRef]
- Hayward, R.; Smith, J.J.; Kontovounisios, C.; Qiu, S.; Warren, O.J. Laparoscopic totally extraperitoneal hernia repair in patients with a history of previous abdominopelvic surgery. Updates Surg. 2024, 76, 2387–2393. [Google Scholar] [CrossRef]
- Kanella, I.; Kengadaran, K.; Papalois, V. Management of incisional hernias in renal transplant patients. Transplant. Rep. 2023, 8, 100148. [Google Scholar] [CrossRef]
- Quiroga-Centeno, A.C.; Quiroga-Centeno, C.A.; Guerrero-Macías, S.; Navas-Quintero, O.; Gómez-Ochoa, S.A. Systematic review and meta-analysis of risk factors for Mesh infection following Abdominal Wall Hernia Repair Surgery. Am. J. Surg. 2022, 224, 239–246. [Google Scholar] [CrossRef]
- Gopal, S.V.; Warrier, A. Recurrence after groin hernia repair-revisited. Int. J. Surg. 2013, 11, 374–377. [Google Scholar] [CrossRef]
- Mazzucchi, E.; Nahas, W.C.; Antonopoulos, I.; Ianhez, L.E.; Arap, S. Incisional hernia and its repair with polypropylene mesh in renal transplant recipients. J. Urol. 2001, 166, 816–819. [Google Scholar] [CrossRef]
- Antonopoulos, I.M.; Nahas, W.C.; Mazzucchi, E.; Piovesan, A.C.; Birolini, C.; Lucon, A.M. Is polypropylene mesh safe and effective for repairing infected incisional hernia in renal transplant recipients? Urology 2005, 66, 874–877. [Google Scholar] [CrossRef] [PubMed]
- Vardanian, A.J.; Farmer, D.G.; Ghobrial, R.M.; Busuttil, R.W.; Hiatt, J.R. Incisional hernia after liver transplantation. J. Am. Coll. Surg. 2006, 203, 421–425. [Google Scholar] [CrossRef] [PubMed]
- Yannam, G.R.; Gutti, T.L.; High, R.; Stevens, R.B.; Thompson, J.S.; Morris, M.C. Experience of laparoscopic incisional hernia repair in kidney and/or pancreas transplant recipients. Am. J. Transplant. 2011, 11, 279–286. [Google Scholar] [CrossRef] [PubMed]
- Catena, F.; Ansaloni, L.; Leone, A.; De Cataldis, A.; Gagliardi, S.; Gazzotti, F.; Peruzzi, S.; Agrusti, S.; D’aLessandro, L.; Taffurelli, M. Lichtenstein repair of inguinal hernia with Surgisis inguinal hernia matrix soft-tissue graft in immunodepressed patients. Hernia 2005, 9, 29–31. [Google Scholar] [CrossRef]
- Willms, A.G.; Schaaf, S.; Schwab, R. Analysis of surgical quality indicators after certification as a Hernia Center. Updates Surg. 2024, 76, 255–264. [Google Scholar] [CrossRef]
- Yin, S.-M.; Yang, C.-M.; Wu, Y.-J.; Liu, Y.-W. Inguinal herniorrhaphy related ureteral obstruction in kidney transplant recipient: A rare but crucial complication. Asian J. Surg. 2020, 43, 716–717. [Google Scholar] [CrossRef]
- Unver, M.; Firat, O.; Sezer, T.O.; Hoscoskun, C. Iatrogenic Ureteral Injury During Incisional Hernia Repair in a Kidney Recipient. J. Curr. Surg. 2017, 7, 20–22. [Google Scholar] [CrossRef]
- Yahya, Z.; Al-Habbal, Y.; Hassen, S. Ureteral inguinal hernia: An uncommon trap for general surgeons. BMJ Case Rep. 2017, 2017, bcr2017219288. [Google Scholar] [CrossRef]
- Veroux, M.; Ardita, V.; Zerbo, D.; Caglià, P.; Palmucci, S.; Sinagra, N.; Giaquinta, A.; Veroux, P. First Case Report of Acute Renal Failure After Mesh-Plug Inguinal Hernia Repair in a Kidney Transplant Recipient. Medicine 2016, 95, e3199. [Google Scholar] [CrossRef]
- Selman, S.H.; Grecos, G.P.; Koo, B.C. Anuria in transplant patient following inguinal herniorrhaphy. J. Urol. 1985, 133, 669–670. [Google Scholar] [CrossRef]
- Avella, P.; Cappuccio, M.; Cappuccio, T.; Rotondo, M.; Fumarulo, D.; Guerra, G.; Sciaudone, G.; Santone, A.; Cammilleri, F.; Bianco, P.; et al. Artificial Intelligence to Early Predict Liver Metastases in Patients with Colorectal Cancer: Current Status and Future Prospectives. Life 2023, 13, 2027. [Google Scholar] [CrossRef]



Disclaimer/Publisher’s Note: The statements, opinions and data contained in all publications are solely those of the individual author(s) and contributor(s) and not of MDPI and/or the editor(s). MDPI and/or the editor(s) disclaim responsibility for any injury to people or property resulting from any ideas, methods, instructions or products referred to in the content. |
© 2025 by the authors. Licensee MDPI, Basel, Switzerland. This article is an open access article distributed under the terms and conditions of the Creative Commons Attribution (CC BY) license (https://creativecommons.org/licenses/by/4.0/).
Share and Cite
Emini, P.; Scarponi, R.; Spiezia, S.; Avella, P.; Ricciardelli, L.; Guerra, G.; Ceccarelli, G.; De Rosa, M. Inguinal Herniation of the Transplanted Ureter: A Systematic Review. Surgeries 2025, 6, 97. https://doi.org/10.3390/surgeries6040097
Emini P, Scarponi R, Spiezia S, Avella P, Ricciardelli L, Guerra G, Ceccarelli G, De Rosa M. Inguinal Herniation of the Transplanted Ureter: A Systematic Review. Surgeries. 2025; 6(4):97. https://doi.org/10.3390/surgeries6040097
Chicago/Turabian StyleEmini, Pajtim, Riccardo Scarponi, Salvatore Spiezia, Pasquale Avella, Luigi Ricciardelli, Germano Guerra, Graziano Ceccarelli, and Michele De Rosa. 2025. "Inguinal Herniation of the Transplanted Ureter: A Systematic Review" Surgeries 6, no. 4: 97. https://doi.org/10.3390/surgeries6040097
APA StyleEmini, P., Scarponi, R., Spiezia, S., Avella, P., Ricciardelli, L., Guerra, G., Ceccarelli, G., & De Rosa, M. (2025). Inguinal Herniation of the Transplanted Ureter: A Systematic Review. Surgeries, 6(4), 97. https://doi.org/10.3390/surgeries6040097

