Four Months of Exercise Intervention Improved Visuomotor, Functional and Cardiorespiratory Capacity in a Patient with Metastatic Uveal Melanoma
Abstract
1. Introduction and Clinical Significance
2. Case Presentation
2.1. Patient
2.2. Design
2.3. Therapy and Treatment
2.4. Exercise Intervention
2.5. Measurement and Assessments
2.5.1. Cardio-Pulmonary Testing
2.5.2. Visual and Functional Testing
2.5.3. Routine Ophthalmological Examinations and Laboratory Data
2.5.4. Patient-Reported Outcomes
2.5.5. Physical Activity Behavior
2.6. Outcomes
3. Discussion
4. Conclusions
Author Contributions
Funding
Institutional Review Board Statement
Informed Consent Statement
Data Availability Statement
Acknowledgments
Conflicts of Interest
Abbreviations
| ALT | alanine aminotransferase |
| AST | aspartate aminotransferase |
| CPET | cardio-pulmonary exercise testing |
| DRKS | Deutsches Register Klinischer Studien (German Clinical Trial Registry) |
| D2 PVRT | Dynavision test peripheral vision reaction time |
| D2 CVRT | Dynavision test central vision reaction time |
| EHC | eye–hand coordination |
| HIIT | high-intensity interval training |
| MRI | magnetic resonance imaging |
| OCTA | optical coherence tomography angiography |
| OLS-ec | one-leg stance eyes closed |
| PA | physical activity |
| PPT | Purdue Pegboard Test |
| PRO | patient-reported outcomes |
| StS | sit-to-stand test |
| UM | uveal melanoma |
| VFT | visual and functional testing |
Appendix A

| Exercise Type | Intensity | Duration (min) |
|---|---|---|
| Visual Coordinative Exercises | ∑30 | |
| Balance | slightly overstraining | 10 |
| Eye-hand coordination | ∑20 | |
| Fine motor tasks | slightly overstraining | 10 |
| Stimulus reaction tasks | slightly overstraining | 10 |
| Endurance | ∑30 | |
| Warm-up | 60% | 5 |
| Cool-down | 60% | 5 |
| HIIT (5 bouts) | ||
| High intensity | ≥90% | 1 |
| Recovery | 60% | 3 |
| Pre-Intervention | Post-Intervention | Change (%) | |
|---|---|---|---|
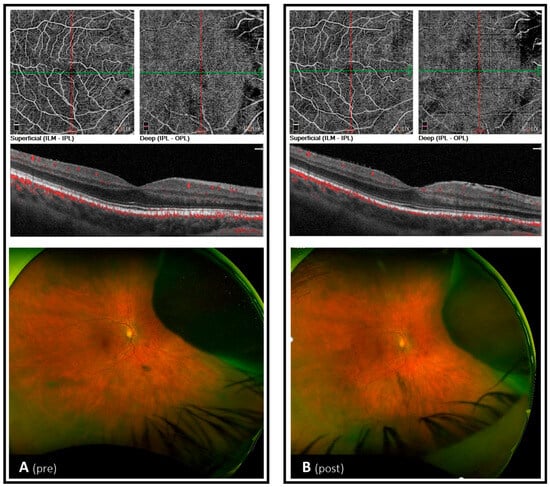
| FAZ, mm2 | 0.11 | 0.11 | – |
| FAZ perimetry, mm | 1.38 | 1.27 | −8 |
| FD, % | 40.0 | 40.9 | +2 |
| VD sup fov, % (1 × 1 mm2) | 28.7 | 32.8 | +7 |
| VD sup para, % (3 × 3 mm2) | 39.6 | 42.9 | +8 |
| VD sup peri, % (6 × 6 mm2) | 42.0 | 40.6 | −3 |
| VD deep fov, % (1 × 1 mm2) | 34.4 | 37.6 | +9 |
| VD deep para, % (3 × 3 mm2) | 49.7 | 51.4 | +3 |
| VD deep peri, % (6 × 6 mm2) | 44.6 | 42.4 | −4 |
| IOP, mmHg | 17 | 17 | – |
| Hematocrit, % | 40 | 38 | −5 |
References
- Kaliki, S.; Shields, C.; Shields, J. Uveal melanoma: Estimating prognosis. Indian J. Ophthalmol. 2015, 63, 93–102. [Google Scholar] [CrossRef]
- Krantz, B.A.; Dave, N.; Komatsubara, K.M.; Marr, B.P.; Carvajal, R.D. Uveal melanoma: Epidemiology, etiology, and treatment of primary disease. Clin. Ophthalmol. 2017, 11, 279–289. [Google Scholar] [CrossRef]
- Rietschel, P.; Panageas, K.S.; Hanlon, C.; Patel, A.; Abramson, D.H.; Chapman, P.B. Variates of survival in metastatic uveal melanoma. J. Clin. Oncol. 2005, 23, 8076–8080. [Google Scholar] [CrossRef] [PubMed]
- Damato, B.; Hope-Stone, L.; Cooper, B.; Brown, S.L.; Salmon, P.; Heimann, H.; Dunn, L.B. Patient-reported Outcomes and Quality of Life After Treatment of Choroidal Melanoma: A Comparison of Enucleation Versus Radiotherapy in 1596 Patients. Am. J. Ophthalmol. 2018, 193, 230–251. [Google Scholar] [CrossRef] [PubMed]
- Damato, B.; Hope-Stone, L.; Cooper, B.; Brown, S.; Heimann, H.; Dunn, L. Patient-Reported Outcomes and Quality of Life after Treatment for Choroidal Melanoma. Ocul. Oncol. Pathol. 2019, 5, 402–411. [Google Scholar] [CrossRef]
- Wylęgała, A. The Effects of Physical Exercises on Ocular Physiology: A Review. Eur. J. Gastroenterol. Hepatol. 2016, 25, e843–e849. [Google Scholar] [CrossRef]
- Sweeting, J.; Merom, D.; Astuti, P.A.S.; Antoun, M.; Edwards, K.; Ding, D. Physical activity interventions for adults who are visually impaired: A systematic review and meta-analysis. BMJ Open 2020, 10, e034036. [Google Scholar] [CrossRef] [PubMed]
- O’Connor, A.R.; Birch, E.E.; Anderson, S.; Draper, H.; FSOS Research Group. The Functional Significance of Stereopsis. Investig. Opthalmology Vis. Sci. 2010, 51, 2019–2023. [Google Scholar] [CrossRef]
- Gonzalez, D.A.; Niechwiej-Szwedo, E. The effects of monocular viewing on hand-eye coordination during sequential grasping and placing movements. Vis. Res. 2016, 128, 30–38. [Google Scholar] [CrossRef]
- Mor, J.M.; Semrau, R.; Baus, W.; Koch, K.R.; Schaub, F.; Cursiefen, C.; Marnitz, S.; Heindl, L.M. CyberKnife®: Eine neue Therapieoption bei uvealem Melanom. [CyberKnife®: New treatment option for uveal melanoma]. Ophthalmologe 2018, 115, 302–308. [Google Scholar] [CrossRef]
- García-O’fArrill, N.; Pugazhendhi, S.; Karth, P.A.; Hunter, A.A. Radiation retinopathy intricacies and advances in management. Semin. Ophthalmol. 2022, 37, 417–435. [Google Scholar] [CrossRef]
- Ağın, A.; Kiratli, H.; Guresci, S.; Babaoglu, B.; Karakaya, J.; Soylemezoglu, F. Evaluation of HSP-27, BAP1, BRAF V600E, CCR7, and PD-L1 expression in uveal melanoma on enucleated eyes and metastatic liver tumors. Int. J. Biol. Markers 2022, 37, 200–209. [Google Scholar] [CrossRef] [PubMed]
- Tsai, K.K.; Bollin, K.B.; Patel, S.P. Obstacles to improving outcomes in the treatment of uveal melanoma. Cancer 2018, 124, 2693–2703. [Google Scholar] [CrossRef] [PubMed]
- Pelster, M.S.; Gruschkus, S.K.; Bassett, R.; Gombos, D.S.; Shephard, M.; Posada, L.; Glover, M.S.; Simien, R.; Diab, A.; Hwu, P.; et al. Nivolumab and Ipilimumab in Metastatic Uveal Melanoma: Results From a Single-Arm Phase II Study. J. Clin. Oncol. 2021, 39, 599–607. [Google Scholar] [CrossRef] [PubMed]
- Crosby, B.J.; Newton, R.U.; Galvão, D.A.; Taaffe, D.R.; Lopez, P.; Meniawy, T.M.; Khattak, M.A.; Lam, W.; Gray, E.S.; Singh, F. Feasibility of supervised telehealth exercise for patients with advanced melanoma receiving checkpoint inhibitor therapy. Cancer Med. 2023, 12, 14694–14706. [Google Scholar] [CrossRef]
- Lee, K.; Kang, I.; Mack, W.J.; Mortimer, J.; Sattler, F.; Salem, G.; Dieli-Conwright, C.M. Feasibility of high intensity interval training in patients with breast Cancer undergoing anthracycline chemotherapy: A randomized pilot trial. BMC Cancer. 2019, 19, 653. [Google Scholar] [CrossRef]
- Springer, B.A.; Marin, R.; Cyhan, T.; Roberts, H.; Gill, N.W. Normative values for the unipedal stance test with eyes open and closed. J. Geriatr. Phys. Ther. 2007, 30, 8–15. [Google Scholar] [CrossRef]
- Wells, A.J.; Hoffman, J.R.; Beyer, K.S.; Jajtner, A.R.; Gonzalez, A.M.; Townsend, J.R.; Mangine, G.T.; Robinson, E.H., IV; McCormack, W.P.; Fragala, M.S.; et al. Reliability of the dynavision™ d2 for assessing reaction time performance. J. Sports Sci. Med. 2014, 13, 145–150. [Google Scholar]
- Read, J.C.A.; Begum, S.F.; McDonald, A.; Trowbridge, J. The binocular advantage in visuomotor tasks involving tools. I-Perception 2013, 4, 101–110. [Google Scholar] [CrossRef]
- Baker, D.H.; Lygo, F.A.; Meese, T.S.; Georgeson, M.A. Binocular summation revisited: Beyond √2. Psychol. Bull. 2018, 144, 1186–1199. [Google Scholar] [CrossRef]
- Vishnevskia-Dai, V.; Rozner, L.; Berger, R.; Jaron, Z.; Elyashiv, S.; Markel, G.; Zloto, O. Ocular side effects of novel anti-cancer biological therapies. Sci. Rep. 2021, 11, 787. [Google Scholar] [CrossRef]
- Cai, Y.; Schrack, J.A.; Wang, H.; E, J.-Y.; Wanigatunga, A.A.; Agrawal, Y.; Urbanek, J.K.; Simonsick, E.M.; Ferrucci, L.; Swenor, B.K. Visual Impairment and Objectively Measured Physical Activity in Middle-Aged and Older Adults. J. Gerontol. A Biol. Sci. Med. Sci. 2021, 76, 2194–2203. [Google Scholar] [CrossRef] [PubMed]
- Kaminsky, L.A.; Imboden, M.T.; Arena, R.; Myers, J. Reference Standards for Cardiorespiratory Fitness Measured With Cardiopulmonary Exercise Testing Using Cycle Ergometry: Data From the Fitness Registry and the Importance of Exercise National Database (FRIEND) Registry. Mayo Clin. Proc. 2017, 92, 228–233. [Google Scholar] [CrossRef]
- Streese, L.; Kotliar, K.; Deiseroth, A.; Infanger, D.; Vilser, W.; Hanssen, H. Retinal Endothelial Function, Physical Fitness and Cardiovascular Risk: A Diagnostic Challenge. Front. Physiol. 2019, 10, 831. [Google Scholar] [CrossRef]
- Alten, F.; Nelis, P.; Schmitz, B.; Brand, S.-M.; Eter, N. Optische Kohärenztomographie-Angiographie als zukünftiges Diagnostikum in der Sportmedizin? [Optical coherence tomography angiography as a future diagnostic tool in sports medicine? Ophthalmologe 2019, 116, 722–727. [Google Scholar] [CrossRef]
- Untracht, G.R.; Durkee, M.S.; Zhao, M.; Lam, A.K.-C.; Sikorski, B.L.; Sarunic, M.V.; Andersen, P.E.; Sampson, D.D.; Chen, F.K.; Sampson, D.M. Towards standardising retinal OCT angiography image analysis with open-source toolbox OCTAVA. Sci. Rep. 2024, 14, 5979. [Google Scholar] [CrossRef]
- Wefelnberg, M.M.; Moll, M.; von Stein, P.; Guthoff, H.; Heindl, L.M.; Reimer, P.W.M.; Rokohl, A.C.; Simon, M.; Zubac, D.; Baumann, F.T. Eight weeks of exercise intervention improve visuomotor and functional capacity, performance, and physiological profile in a choroidal melanoma patient. J. Appl. Physiol. 1985, 136, 799–806. [Google Scholar] [CrossRef] [PubMed]
- Esteves, M.; Monteiro, M.P.; Duarte, J.A. Role of Regular Physical Exercise in Tumor Vasculature: Favorable Modulator of Tumor Milieu. Int. J. Sports Med. 2021, 42, 389–406. [Google Scholar] [CrossRef] [PubMed]
- Nathan, P.; Hassel, J.C.; Rutkowski, P.; Baurain, J.-F.; Butler, M.O.; Schlaak, M.; Sullivan, R.J.; Ochsenreither, S.; Dummer, R.; Kirkwood, J.M.; et al. Overall Survival Benefit with Tebentafusp in Metastatic Uveal Melanoma. N. Engl. J. Med. 2021, 385, 1196–1206. [Google Scholar] [CrossRef]


| Assessment Occasion | ∆(%) | ||||||||
|---|---|---|---|---|---|---|---|---|---|
| T0 | T1 | T2 | T3 | T4 | T0–T1 | T0–T2 | T2–T4 | T0–T4 | |
| Biometrics | |||||||||
| Age Sex Height (cm) | 61 | - | - | - | |||||
| female | - | - | - | ||||||
| 166 | - | - | - | ||||||
| Weight (kg) BMI (kg/m2) | 57 | 56.3 | 56.9 | 56.2 | - | −1.23 | −0.18 | −1.40 | |
| 20.68 | 20.43 | 20.65 | 20.39 | - | −1.21 | −0.20 | −1.40 | ||
| Tumor location Tumor size (mm) | right eye | - | - | - | |||||
| 17 × 9.7 | - | - | - | ||||||
| Inner ocular pressure | |||||||||
| right eye | 18 | 18 | 16 | −16 | - | 0.00 | −11.11 | −11.11 | |
| left eye | 17 | 16 | 14 | −14 | - | −5.88 | −12.50 | −17.65 | |
| Distant refractory visual acuity | |||||||||
| right eye | 0.63 | 0.5 | 0.4 | 0.4 | - | −20.63 | −20.00 | −36.51 | |
| left eye | 0.4 | 0.5 | 0.5 | 0.4- | - | 25.00 | −20.00 | 0.00 | |
| Eye dominance | right | - | - | - | |||||
| Hand dominance | right | - | - | - | |||||
| Foot dominance | right | - | - | - | |||||
| Cardio-pulmonary exercise testing | |||||||||
| (L·min−1) | 63.11 | 89.59 | 95.36 | 81.98 | - | 41.96 | −8.49 | 29.90 | |
| (L·min−1) | 1.75 | 1.91 | 2.14 | 1.98 | - | 9.14 | 3.66 | 13.14 | |
| (L·min−1) | 2.12 | 2.46 | 2.68 | 2.60 | - | 16.04 | 5.69 | 22.64 | |
| RER | 1.15 | 1.21 | 1.19 | 1.23 | - | 5.22 | 1.65 | 6.96 | |
| (mL·kg·min−1) | 30.69 | 33.44 | 37.48 | 34.82 | - | 8.96 | 4.13 | 13.46 | |
| HRmax | 180 | 181 | 186 | 179 | - | 0.56 | −1.10 | −0.56 | |
| PPO (Watts) | 150 | 165 | 180 | 165 | - | 10.00 | 0.00 | 10.00 | |
| Test duration (min:sec) | 11:15 | 12:10 | 13:00 | 12:30 | - | 8.15 | 2.74 | 11.11 | |
| Hematocrit (%) [normal range: 36–45] | 41 | 40 | 37 | 37 | - | −2.44 | −7.50 | −9.76 | |
| Visual and coordinative tests | |||||||||
| Timed Up and Go (sec) | 5.9 | 6.2 | 5.7 | 5.42 | 5.46 | 5.08 | −3.39 | −4.21 | −7.46 |
| 30s sit-to-stand (rep) | 17 | 17 | 18 | 21 | 23 | 0.00 | 5.88 | 27.78 | 35.29 |
| 1-Leg-Stance (eyes closed) (sec) | |||||||||
| best | 3.82 | 4.26 | 5.31 | 8.44 | 8.92 | 11.52 | 39.01 | 67.98 | 133.51 |
| average | 3.16 | 3.14 | 4.72 | 6.05 | 7.20 | −0.63 | 49.37 | 52.54 | 127.85 |
| Purdue Pegboard Test (rep) | |||||||||
| right | 16.33 | 15.33 | 16.33 | 17.67 | 17.67 | −6.12 | 0.00 | 8.21 | 8.21 |
| left | 15.67 | 14.00 | 16.00 | 14.67 | 16.33 | −10.66 | 2.11 | 2.06 | 4.21 |
| both | 12.67 | 11.67 | 12.67 | 13.00 | 13.00 | −7.89 | 0.00 | 2.60 | 2.60 |
| BVA | |||||||||
| base in break | 4.00 | 5.00 | - | 10.00 | unable | 25.00 | - | - | - |
| base in recovery | 3.00 | 4.00 | - | 7.00 | unable | 33.33 | - | - | - |
| base out break | 4.00 | 4.00 | - | 21.00 | unable | 0.00 | - | - | - |
| base out recovery | 2.00 | 2.00 | - | 4.00 | unable | 0.00 | - | - | - |
| D2: central visuomotor reaction time (sec) | |||||||||
| motor | 0.197 | 0.207 | - | 0.138 | 0.126 | 5.08 | - | - | −36.04 |
| sensory | 0.343 | 0.377 | - | 0.408 | 0.381 | 9.91 | - | - | 11.08 |
| total | 0.540 | 0.584 | - | 0.548 | 0.408 | 8.15 | - | - | −24.44 |
| D2: peripheral visuomotor reaction time | |||||||||
| hits | 89 | 89 | - | 92 | 87 | 0.00 | - | - | −2.25 |
| Av.T. per hit (sec) | 0.57 | 0.63 | - | 0.61 | 0.65 | 10.53 | - | - | 14.04 |
| Assessment Occasions | ∆(%) | ||||||
|---|---|---|---|---|---|---|---|
| T0 | T1 | T2 | T3 | T0–T1 | T1–T3 | T0–T3 | |
| Step count | 9817.50 | 5666.20 | 7078.80 | 8216.00 | −42 | +45 | −16 |
| MET (>1) | 1227.12 | 966.70 | 1029.25 | 1293.30 | −21 | +34 | +5 |
| MET (>1<3) | 851.02 | 832.53 | 825.47 | 1001.43 | −2 | +20 | +18 |
| MET (≥3<6) | 368.10 | 134.16 | 158.04 | 259.98 | −64 | +94 | −29 |
| MET (≥6) | 8.00 | 0 | 45.74 | 31.90 | −100 | - | +299 |
| TEE(kcal/d), M(SD) | 1918.03 (1088.51) | 1787.08 (771.94) | 1851.34 (1041.41) | 1877.09 (1003.17) | −7 | +5 | −2 |
| AEE(kcal/d), M(SD) | 632.19 (1088.51) | 507.26 (771.94) | 577.89 (1041.41) | 598.19 (1003.17) | −2 | +18 | −5 |
| Active time (min) | 125.67 | 83.60 | 96.80 | 107.33 | −33 | −28 | −15 |
| Inactive time (min) | 1170.20 | 1356.20 | 1335.20 | 1292.00 | 16 | −5 | 10 |
| T0 | T2 | T3 | T4 | ||
|---|---|---|---|---|---|
| Immunotherapy-associated adverse reactions (applies: x) | |||||
| Dry mouth | - | - | x | x | |
| Headache | - | - | x | - | |
| Rash | - | - | x | x | |
| Loss of power/fatigue | - | - | x | x | |
| Itchy skin | - | - | - | x | |
| Unclassifiable pain | - | - | - | x | |
| AST | 25 | 23 | 23 | ||
| ALT | 25 | 32 | 27 | ||
| HADS | |||||
| Depression | 9 | 9 | 8 | 8 | |
| Anxiety | 13 | 11 | 11 | 15 | |
| Global score | 22 | 20 | 19 | 23 | |
| EORTC QLQ-C30 (calculated scores) | |||||
| Physical functioning | 100.00 | 100.00 | 100.00 | 100.00 | |
| Role functioning | 66.67 | 50.00 | 66.67 | 66.67 | |
| Emotional functioning | 25.00 | 41.67 | 58.33 | 41.67 | |
| Cognitive functioning | 66.67 | 50.00 | 66.67 | 66.67 | |
| Social functioning | 66.67 | 50.00 | 33.33 | 50.00 | |
| Function-related QoL | 65.00 | 58.33 | 65.00 | 65.00 | |
| Fatigue | 33.33 | 55.56 | 55.56 | 55.56 | |
| Pain | 66.67 | 66.67 | 33.33 | 66.67 | |
| Dyspnoe | 0.00 | 33.33 | 33.33 | 33.33 | |
| Insomnia | 66.67 | 66.67 | 33.33 | 66.67 | |
| Loss of appetite | 33.33 | 33.33 | 0.00 | 0.00 | |
| Symptom-related QoL | 81.48 | 71.60 | 84.57 | 80.86 | |
| Global health status | 66.67 | 58.33 | 66.67 | 58.33 | |
| EORTC QLQ-OPT30 (calculated scores) | |||||
| Ocular irritation | - | 44.44 | 55.56 | 50.00 | |
| Vision impairment | 11.11 | 33.33 | 33.33 | 33.33 | |
| Headaches | 66.67 | 66.67 | 66.67 | 66.67 | |
| Worry about recurrence | - | 66.67 | 50.00 | 41.67 | |
| Problems appearance | - | 66.67 | 50.00 | 50.00 | |
| Functional problems vision | 27.78 | 44.44 | 50.00 | 33.33 | |
| Problems reading | 66.67 | 100.00 | 100.00 | 100.00 | |
| Functional problems treated eye | - | 60.00 | 60.00 | 53.33 | |
| Problems driving | 50.00 | 66.67 | 50.00 | 83.33 | |
Disclaimer/Publisher’s Note: The statements, opinions and data contained in all publications are solely those of the individual author(s) and contributor(s) and not of MDPI and/or the editor(s). MDPI and/or the editor(s) disclaim responsibility for any injury to people or property resulting from any ideas, methods, instructions or products referred to in the content. |
© 2025 by the authors. Licensee MDPI, Basel, Switzerland. This article is an open access article distributed under the terms and conditions of the Creative Commons Attribution (CC BY) license (https://creativecommons.org/licenses/by/4.0/).
Share and Cite
Mendes Wefelnberg, M.; Hennigfeld, S.; Simon, M.; Wawer Matos, P.; Heindl, L.M.; Rokohl, A.C.; Bröckelmann, P.; Baumann, F.T. Four Months of Exercise Intervention Improved Visuomotor, Functional and Cardiorespiratory Capacity in a Patient with Metastatic Uveal Melanoma. Reports 2025, 8, 260. https://doi.org/10.3390/reports8040260
Mendes Wefelnberg M, Hennigfeld S, Simon M, Wawer Matos P, Heindl LM, Rokohl AC, Bröckelmann P, Baumann FT. Four Months of Exercise Intervention Improved Visuomotor, Functional and Cardiorespiratory Capacity in a Patient with Metastatic Uveal Melanoma. Reports. 2025; 8(4):260. https://doi.org/10.3390/reports8040260
Chicago/Turabian StyleMendes Wefelnberg, Michael, Stefanie Hennigfeld, Michael Simon, Philomena Wawer Matos, Ludwig M. Heindl, Alexander C. Rokohl, Paul Bröckelmann, and Freerk T. Baumann. 2025. "Four Months of Exercise Intervention Improved Visuomotor, Functional and Cardiorespiratory Capacity in a Patient with Metastatic Uveal Melanoma" Reports 8, no. 4: 260. https://doi.org/10.3390/reports8040260
APA StyleMendes Wefelnberg, M., Hennigfeld, S., Simon, M., Wawer Matos, P., Heindl, L. M., Rokohl, A. C., Bröckelmann, P., & Baumann, F. T. (2025). Four Months of Exercise Intervention Improved Visuomotor, Functional and Cardiorespiratory Capacity in a Patient with Metastatic Uveal Melanoma. Reports, 8(4), 260. https://doi.org/10.3390/reports8040260

