Atypical Presentation of a Maxillary Chondroblastic Osteosarcoma and Complex Management
Abstract
1. Introduction
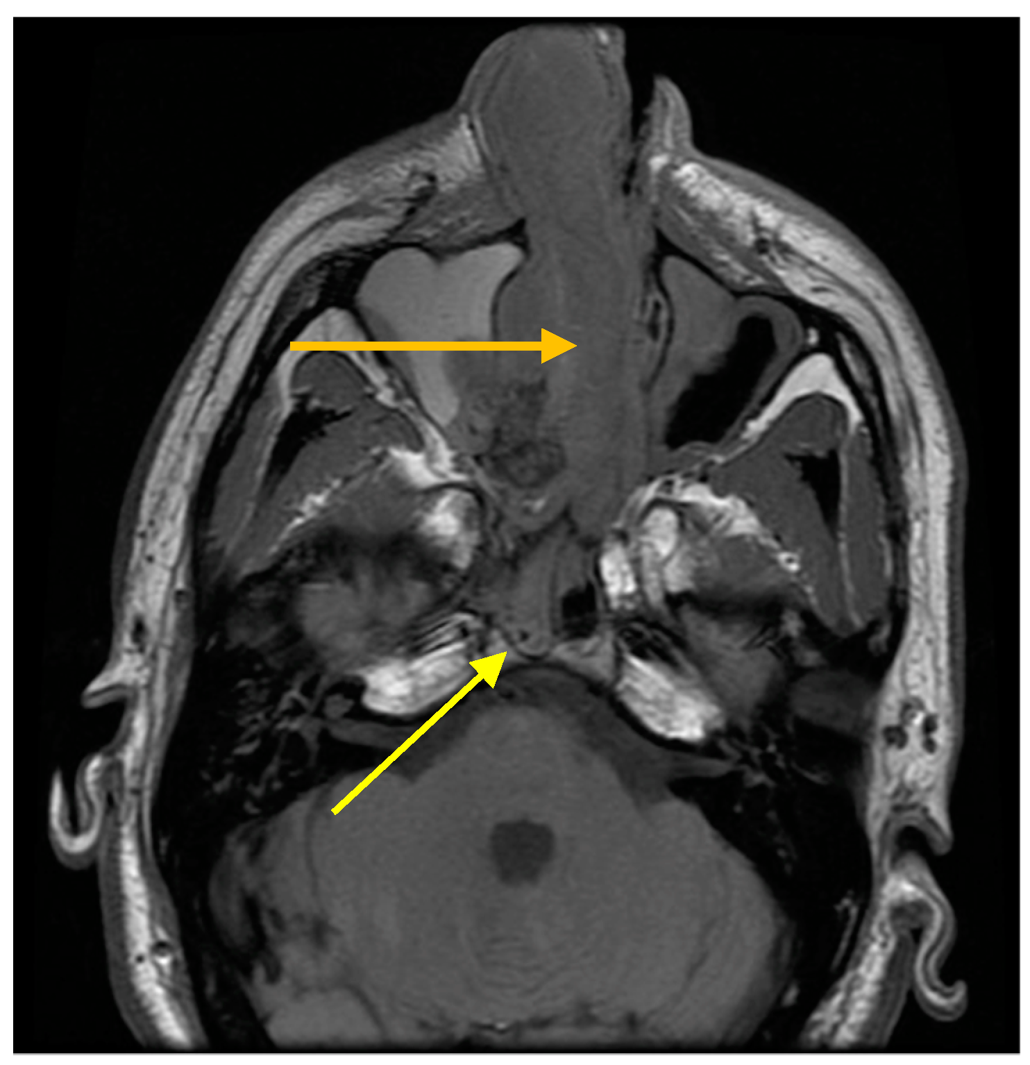
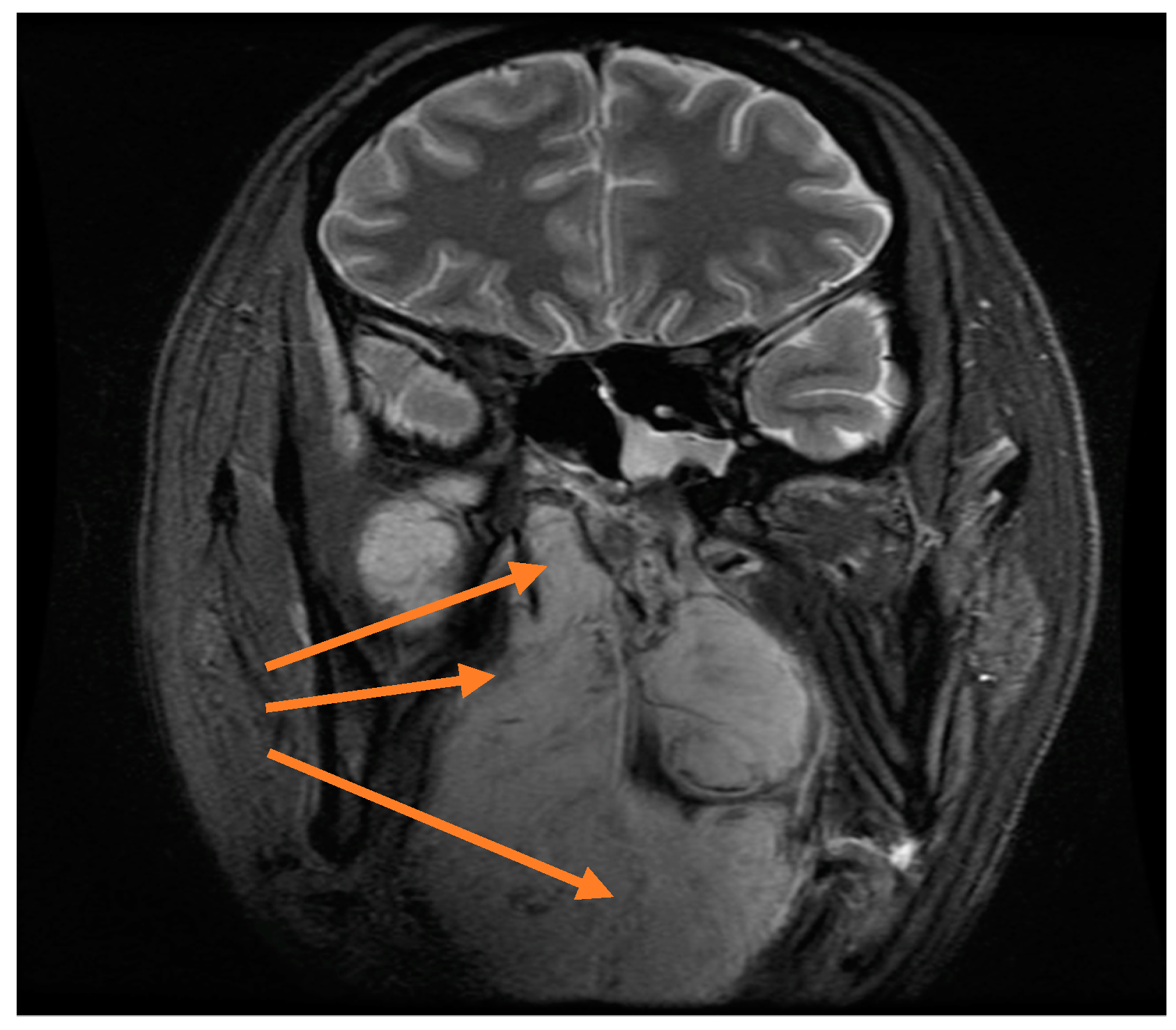
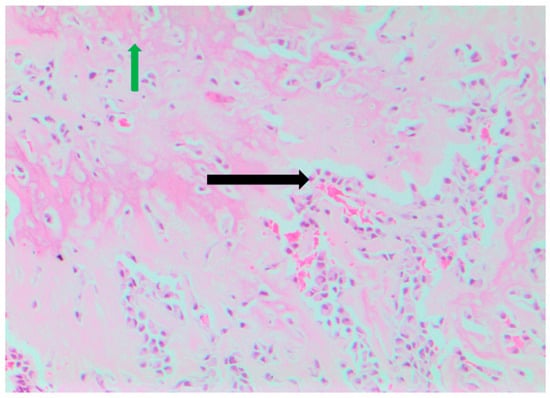
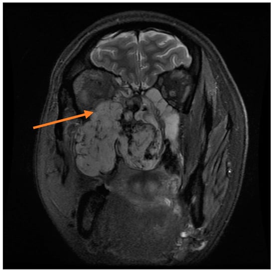
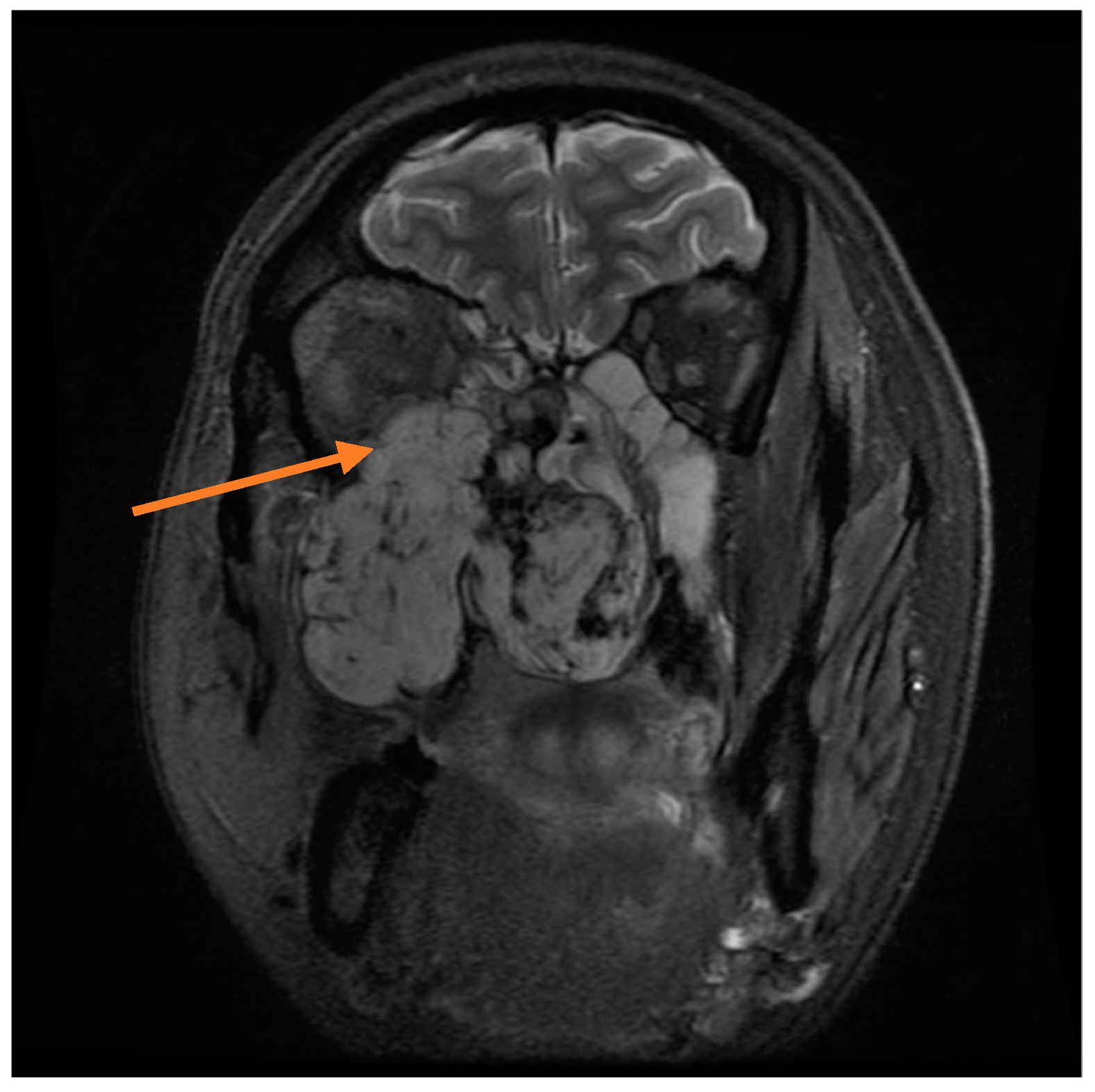
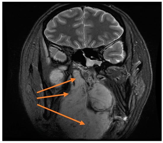
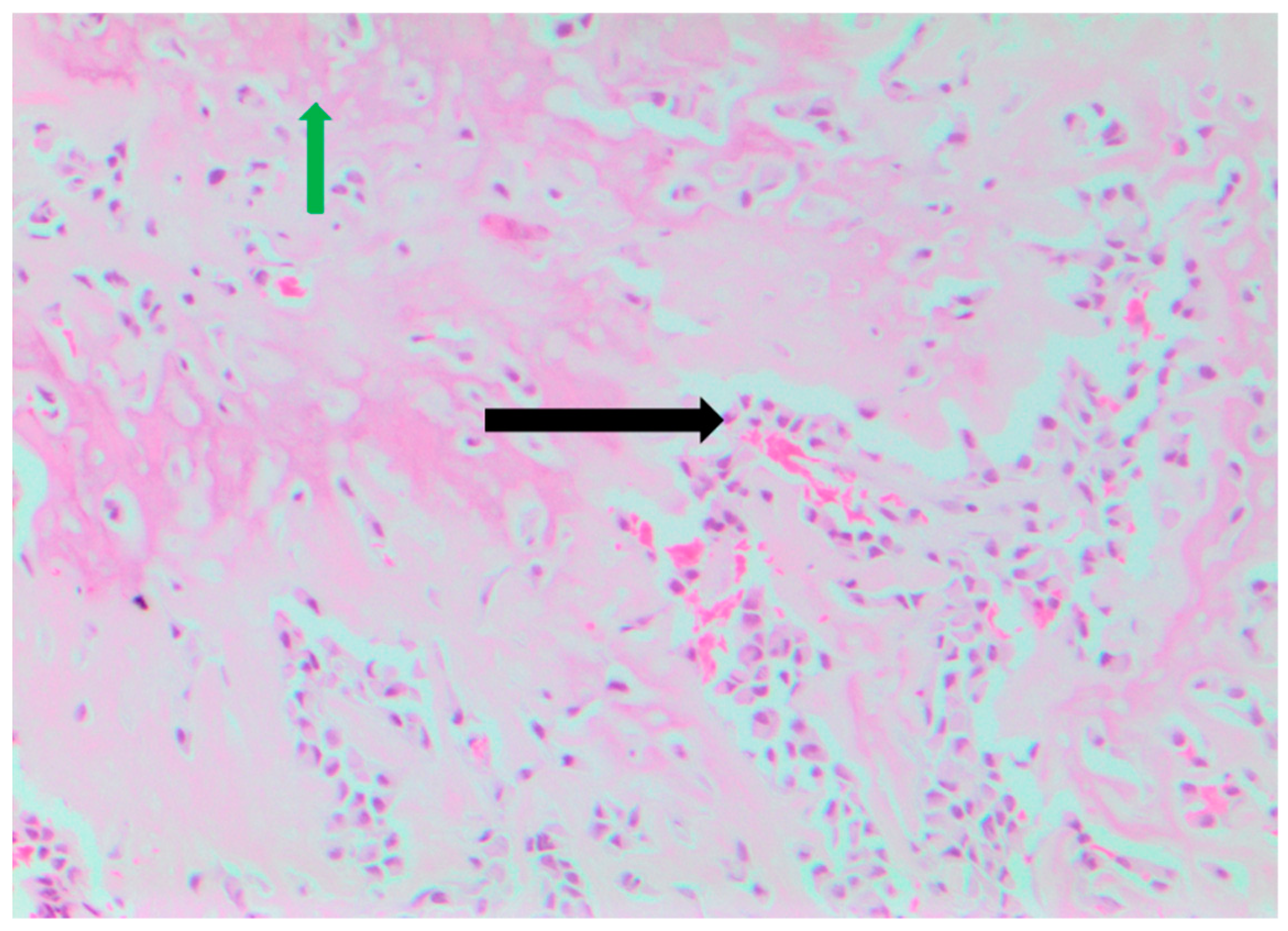
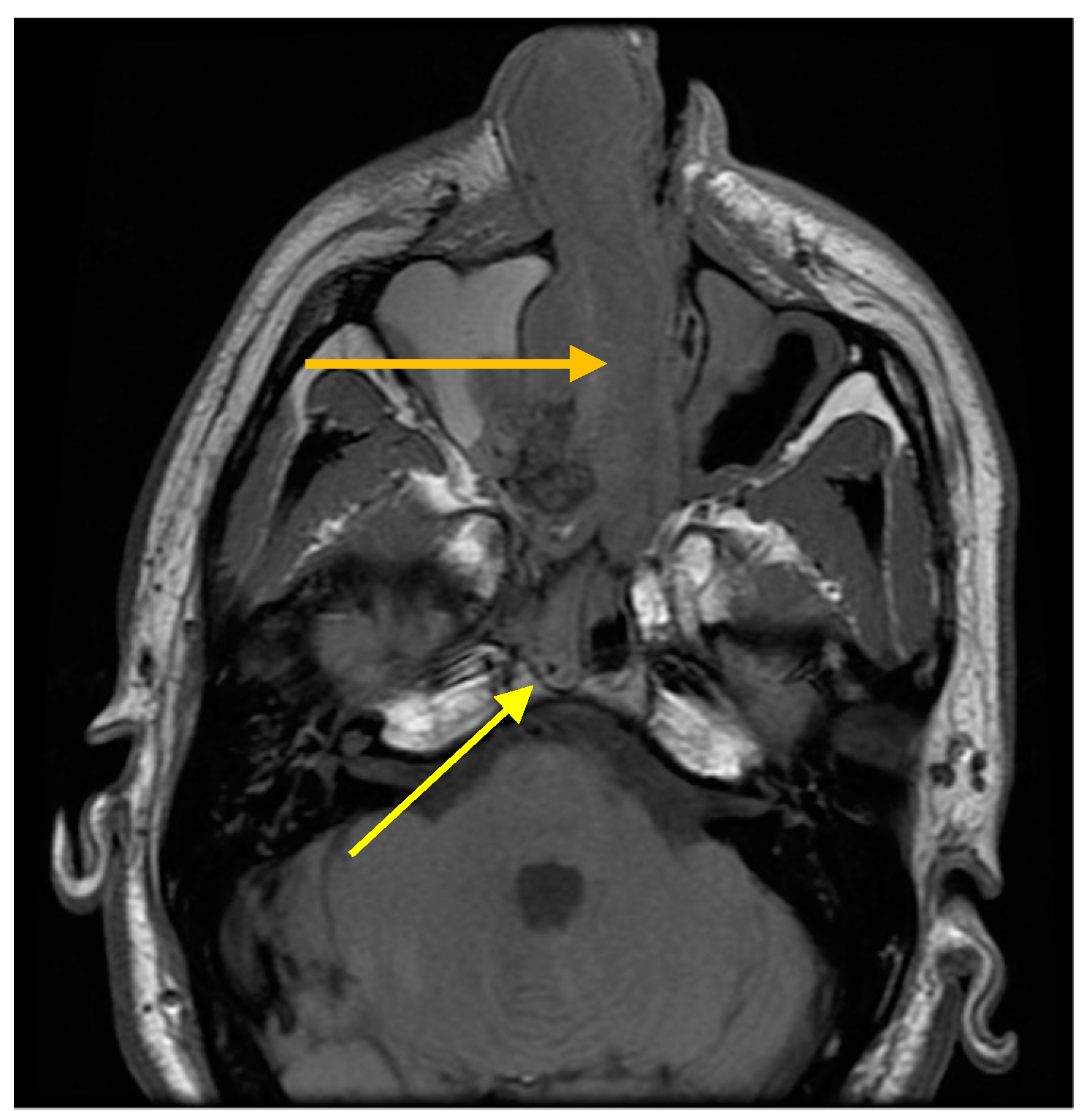
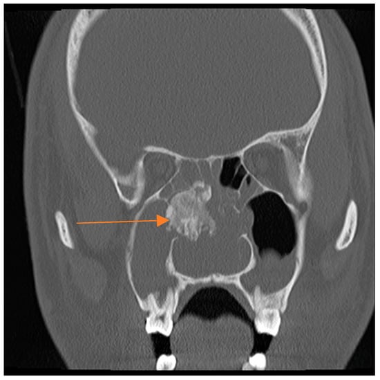
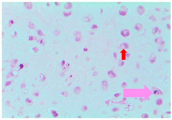
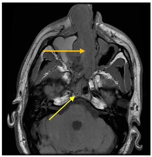
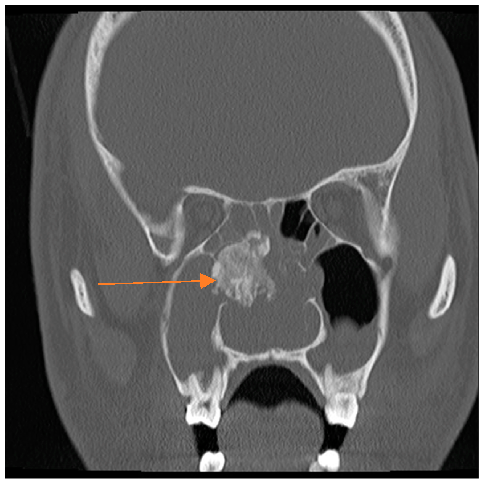
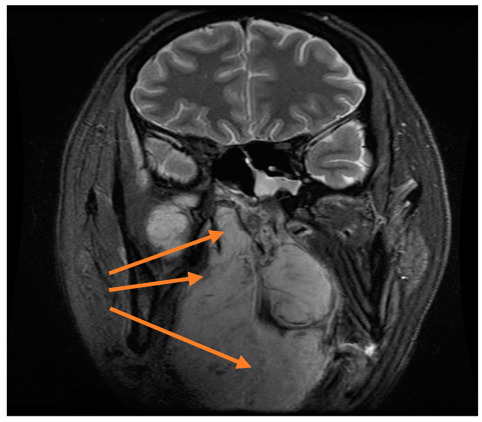
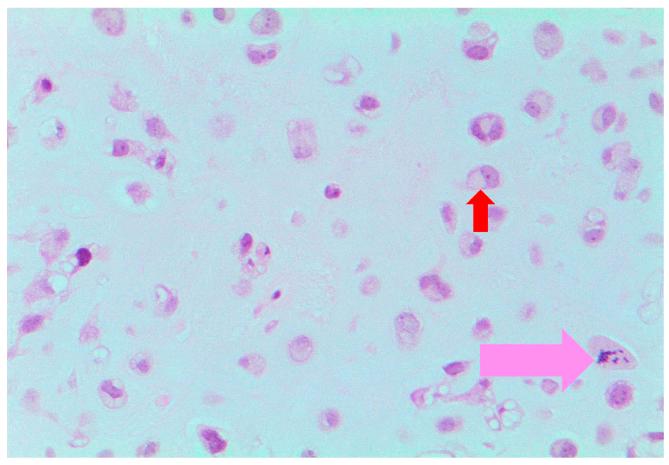
2. Case Presentation Section
3. Discussion
Author Contributions
Funding
Acknowledgments
Conflicts of Interest
References
- Santos-Silva, A.R.; Ribeiro, A.C.P.; Furuse, C.F.; Simonato, L.E.; Mattar, N.J.; Soubhia, A.M.; Miyahara, G.I. Maxillary osteosarcoma in a young patient undergoing postorthodontic treatment follow-up: The importance of ongoing oral examinations. Am. J. Orthod. Dentofacial Orthop. 2011, 139, 845–848. [Google Scholar] [CrossRef] [PubMed]
- Kassir, R.R.; Rassekh, C.H.; Kinsella, J.B.; Segas, J.; Carrau, R.L.; Hokanson, J.A. Osteosarcoma of the head and neck: Meta-analysis of nonrandomized studies. Laryngoscope 1997, 107, 56–61. [Google Scholar] [CrossRef] [PubMed]
- Cutilli, T.; Scarsella, S.; Fabio, D.; Oliva, A.; Cargini, P. High-grade chondroblastic and fibroblastic osteosarcoma of the upper jaw. Ann. Maxillofac. Surg. 2011, 1, 176. [Google Scholar] [CrossRef] [PubMed]
- Kumaravelu, C.; Sathya Kumar, D.; Chakravarthy, C.; Kishore Kumar, R.V.; Rajasekhar, G.; Gokul Chandra Reddy, M.; Sridhar Reddy, K. Chondroblastic osteosarcoma of maxilla: A case report and review of literature. J. Maxillofac. Oral Surg. 2009, 8, 290–293. [Google Scholar] [CrossRef] [PubMed]
- Mardinger, O.; Givol, N.; Talmi, Y.P.; Taicher, S. Osteosarcoma of the jaw. The Chaim Sheba Medical Center experience. Oral Surg. Oral Med. Oral Pathol. Oral Radiol. Endod. 2001, 91, 445–451. [Google Scholar] [CrossRef] [PubMed]
- Huvos, A.G. Osteogenic sarcoma. In Bone Tumors: Diagnosis, Treatment and Prognosis, 2nd ed.; W.B.Saunders: Philadelphia, PA, USA, 1991; pp. 85–116. [Google Scholar]
- August, M.; Magennis, P.; Dewitt, D. Osteogenic sarcoma of the jaws: Factors influencing prognosis. Int. J. Oral Maxillofac. Surg. 1997, 26, 198–204. [Google Scholar] [CrossRef]
- Slootweg, P.J.; Müller, H. Osteosarcoma of the jaw bones. Analysis of 18 cases. J. Maxillofac. Surg. 1985, 13, 158–166. [Google Scholar] [CrossRef]
- Bielack, S.S.; Smeland, S.; Whelan, J.S.; Marina, N.; Jovic, G.; Hook, J.M.; Krailo, M.D.; Gebhardt, M.; Pápai, Z.; Meyer, J.; et al. Methotrexate, Doxorubicin, and Cisplatin (MAP) Plus Maintenance Pegylated Interferon Alfa-2b Versus MAP Alone in Patients With Resectable High-Grade Osteosarcoma and Good Histologic Response to Preoperative MAP: First Results of the EURAMOS-1 Good Respons. J. Clin. Oncol. 2015, 33, 2279–2287. [Google Scholar] [CrossRef] [PubMed]
- Padilla, R.J.; Murrah, V.A. The Spectrum of Gnathic Osteosarcoma: Caveats for the Clinician and the Pathologist. Head Neck Pathol. 2011, 5, 92–99. [Google Scholar] [CrossRef] [PubMed]
- Vercruysse, J.P.; Claes, J. Chondrosarcoma of the nasal septum: A report of two cases. B-ENT 2006, 2, 27–30. [Google Scholar] [PubMed]
- Coca-Pelaz, A.; Rodrigo, J.P.; Triantafyllou, A.; Hunt, J.L.; Fernández-Miranda, J.C.; Strojan, P.; de Bree, R.; Rinaldo, A.; Takes, R.P.; Ferlito, A. Chondrosarcomas of the head and neck. Eur. Arch. Otorhinolaryngol. 2014, 271, 2601–2609. [Google Scholar] [CrossRef] [PubMed]
- Akpolat, N.; Yildirim, H.; Poyraz, K. Sacral Chondroblastic Osteosarcoma Misdiagnosed as Chondrosarcoma. Turk. J. Med. Sci. 2007, 37, 243–249. [Google Scholar]
- LeCornu, M.G.; Chuang, S.-K.; Kaban, L.B.; August, M. Osteosarcoma of the Jaws: Factors Influencing Prognosis. J. Oral Maxillofac. Surg. 2011, 69, 2368–2375. [Google Scholar] [CrossRef] [PubMed]
- Chaudhary, M.; Chaudhary, S.D. Osteosarcoma of jaws. J. Oral Maxillofac. Pathol. 2012, 16, 233–238. [Google Scholar] [CrossRef] [PubMed]
- National Institute of Clinical Excellence (NICE). Epistaxis (Nosebleeds)—Recurrent Epistaxis. Clinical Knowledge Summaries 2015. Available online: https://cks.nice.org.uk/epistaxis-nosebleeds#!scenario:1 (accessed on 22 March 2017).
- Doval, D.C.; Kumar, R.V.; Kannan, V.; Sabitha, K.S.; Misra, S.; Vijay Kumar, M.; Hegde, P.; Bapsy, P.P.; Mani, K.; Shenoy, A.M.; et al. Osteosarcoma of the jaw bones. Br. J. Oral Maxillofac. Surg. 1997, 35, 357–362. [Google Scholar] [CrossRef]
- Fernandes, R.; Nikitakis, N.G.; Pazoki, A.; Ord, R.A. Osteogenic sarcoma of the jaw: A 10-year experience. J. Oral Maxillofac. Surg. 2007, 65, 1286–1291. [Google Scholar] [CrossRef] [PubMed]
- Mücke, T.; Mitchell, D.A.; Tannapfel, A.; Wolff, K.-D.; Loeffelbein, D.J.; Kanatas, A. Effect of neoadjuvant treatment in the management of osteosarcomas of the head and neck. J. Cancer Res. Clin. Oncol. 2014, 140, 127–131. [Google Scholar] [CrossRef] [PubMed]






© 2018 by the authors. Licensee MDPI, Basel, Switzerland. This article is an open access article distributed under the terms and conditions of the Creative Commons Attribution (CC BY) license (http://creativecommons.org/licenses/by/4.0/).
Share and Cite
George, J.; Abdulla, M.; Farboud, A.; Leopold, G.; Marnane, C. Atypical Presentation of a Maxillary Chondroblastic Osteosarcoma and Complex Management. Reports 2018, 1, 23. https://doi.org/10.3390/reports1030023
George J, Abdulla M, Farboud A, Leopold G, Marnane C. Atypical Presentation of a Maxillary Chondroblastic Osteosarcoma and Complex Management. Reports. 2018; 1(3):23. https://doi.org/10.3390/reports1030023
Chicago/Turabian StyleGeorge, Jayan, Mohamed Abdulla, Amir Farboud, Gareth Leopold, and Conor Marnane. 2018. "Atypical Presentation of a Maxillary Chondroblastic Osteosarcoma and Complex Management" Reports 1, no. 3: 23. https://doi.org/10.3390/reports1030023
APA StyleGeorge, J., Abdulla, M., Farboud, A., Leopold, G., & Marnane, C. (2018). Atypical Presentation of a Maxillary Chondroblastic Osteosarcoma and Complex Management. Reports, 1(3), 23. https://doi.org/10.3390/reports1030023

