Nutcracker Syndrome as an Uncommon Cause of Isolated Hematuria in Adults
Abstract
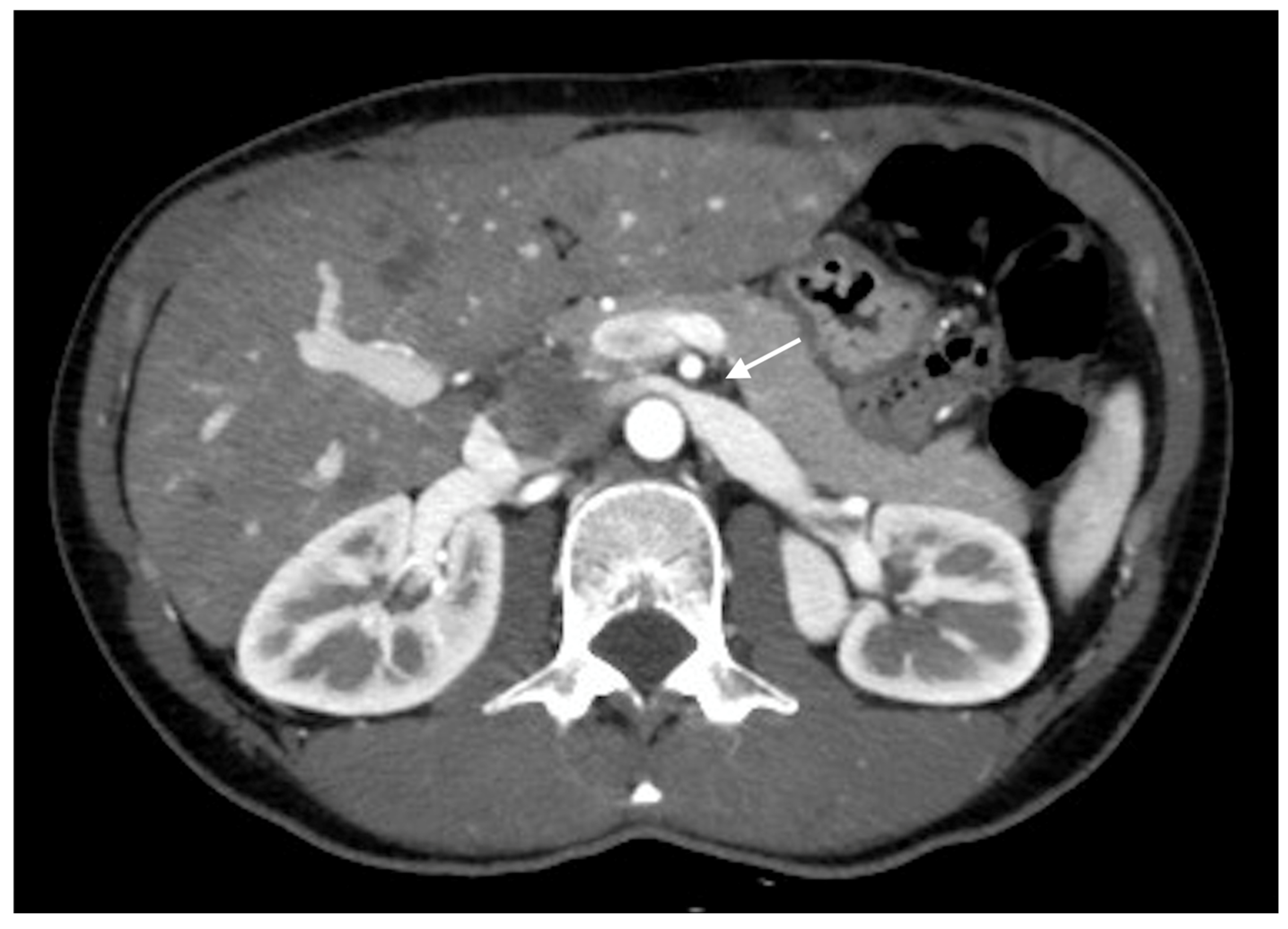
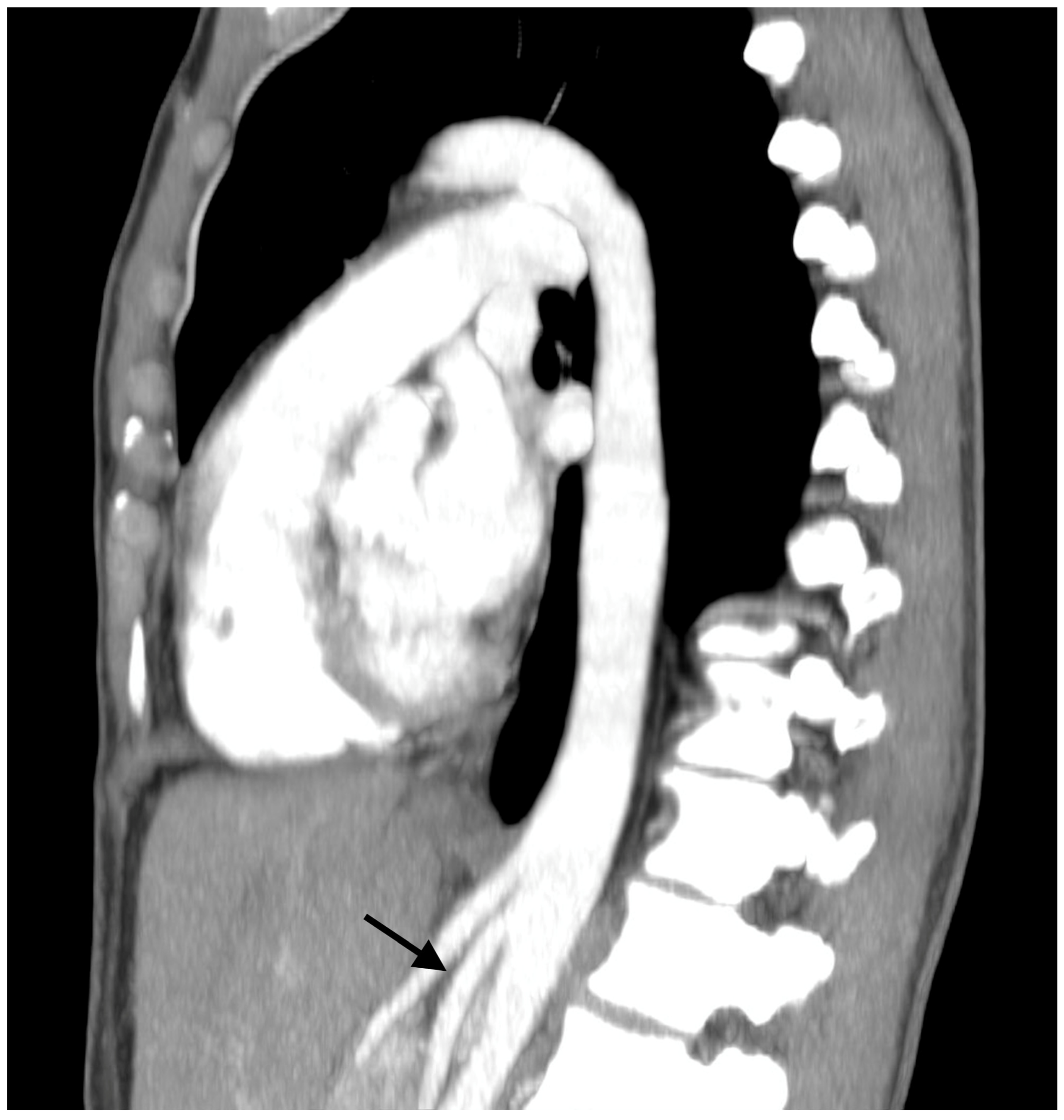
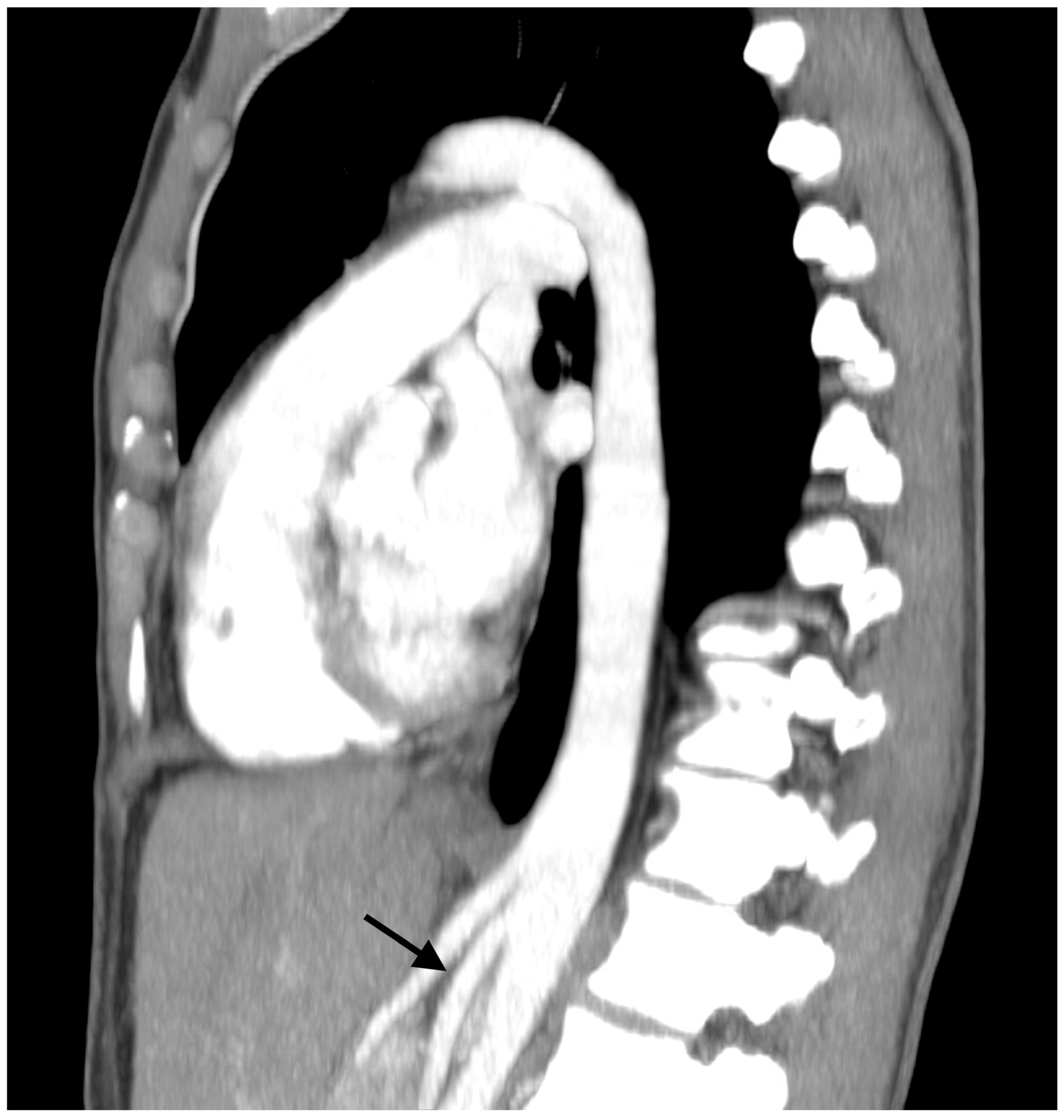
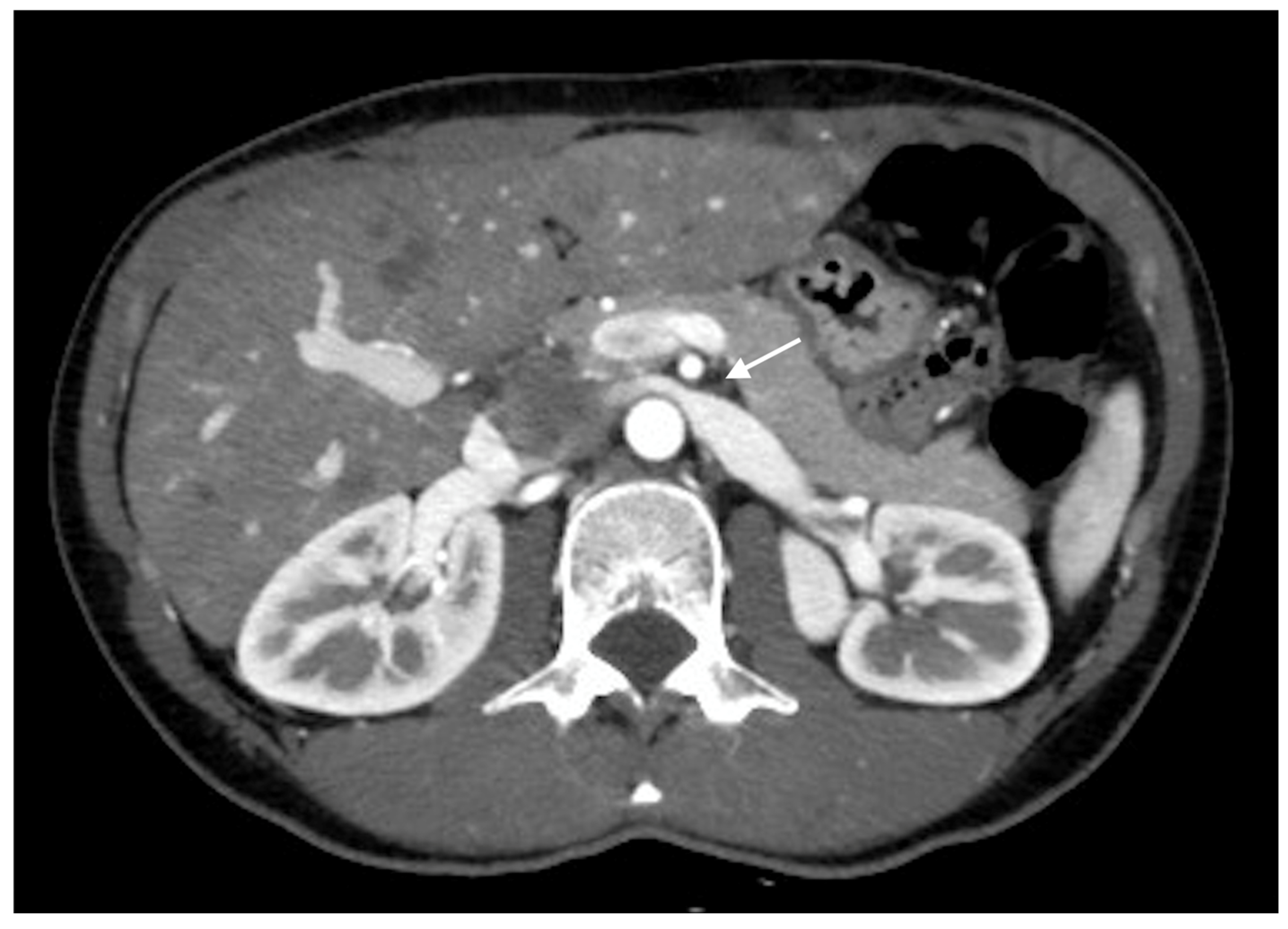
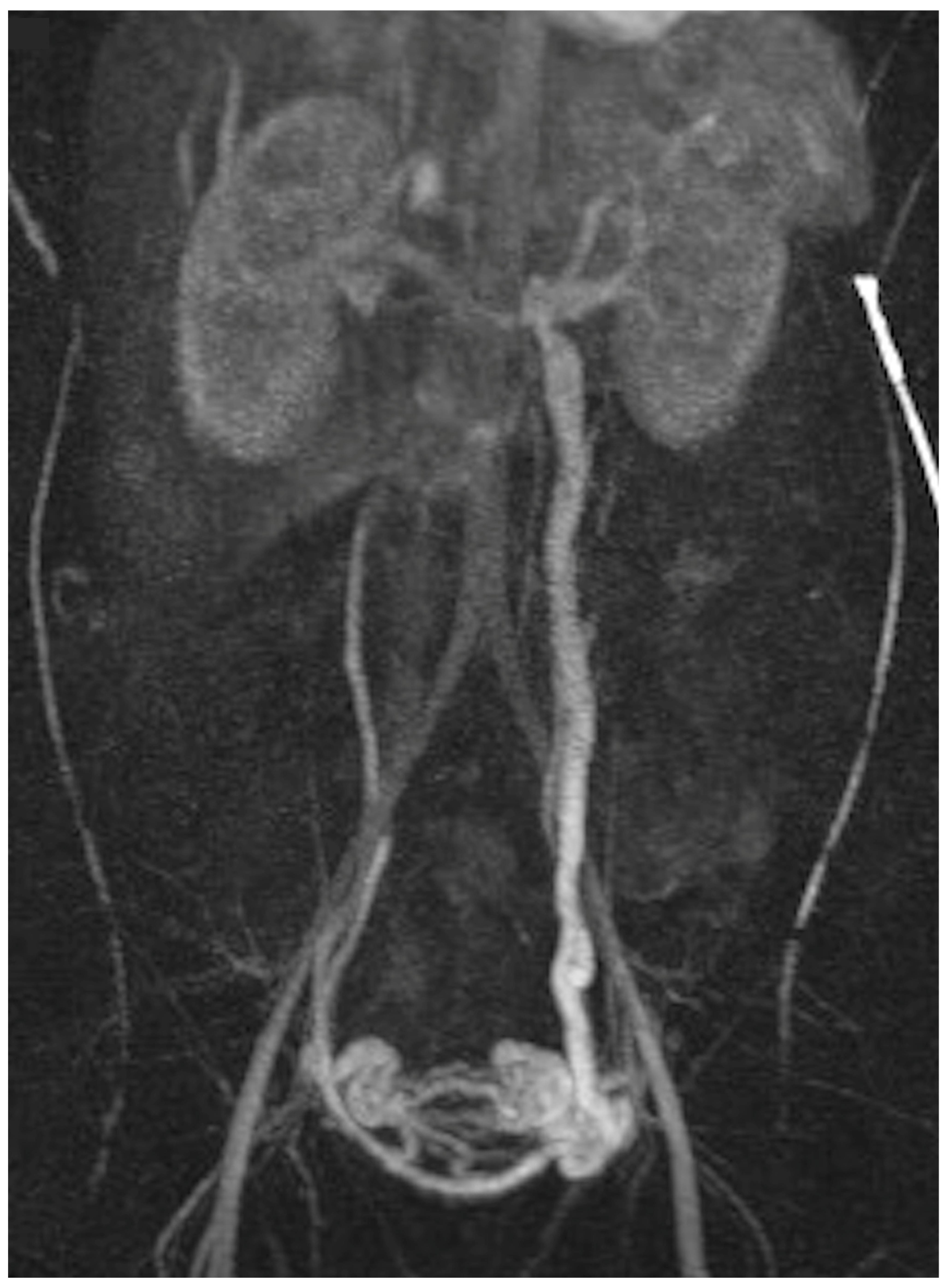
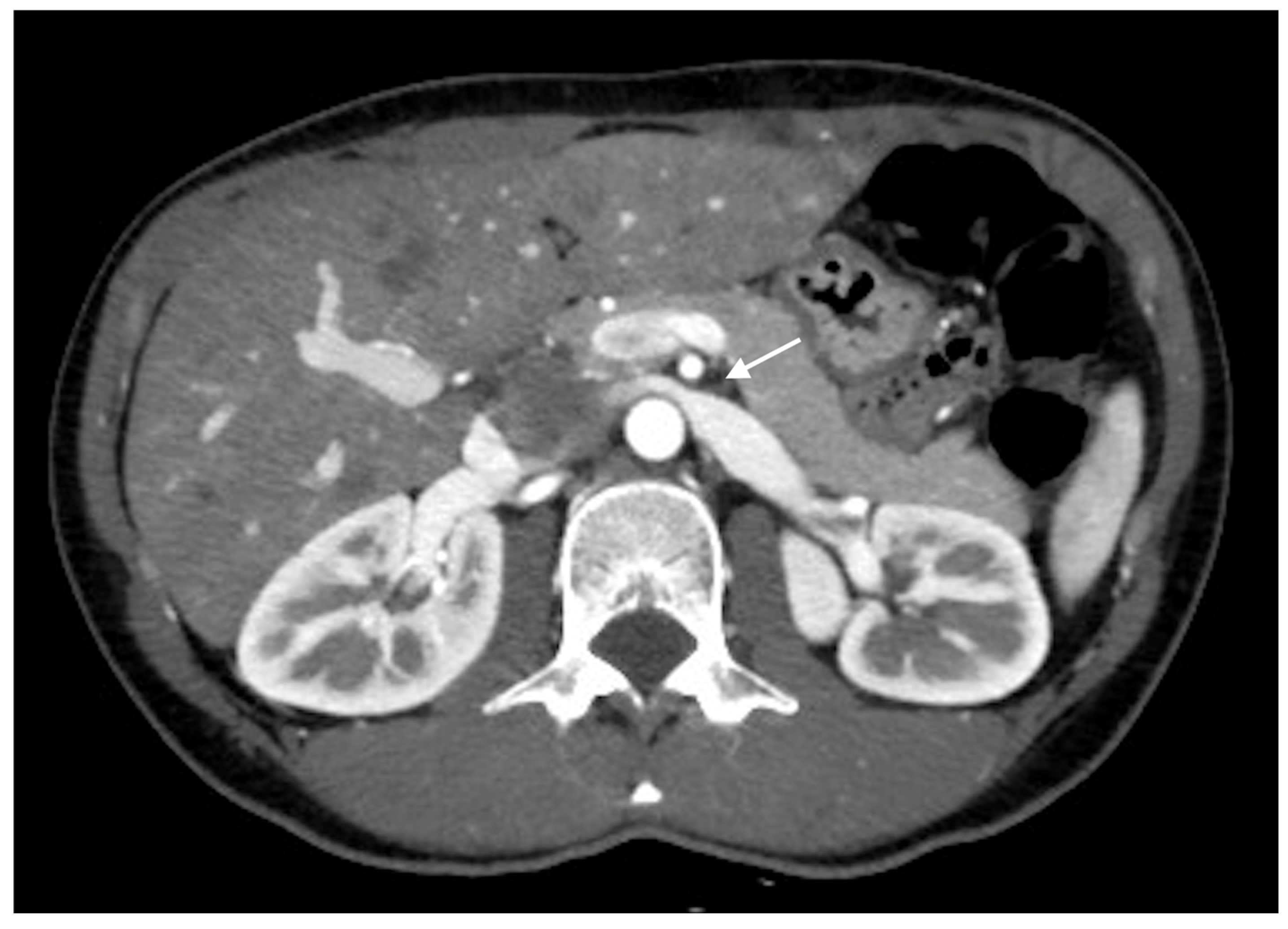
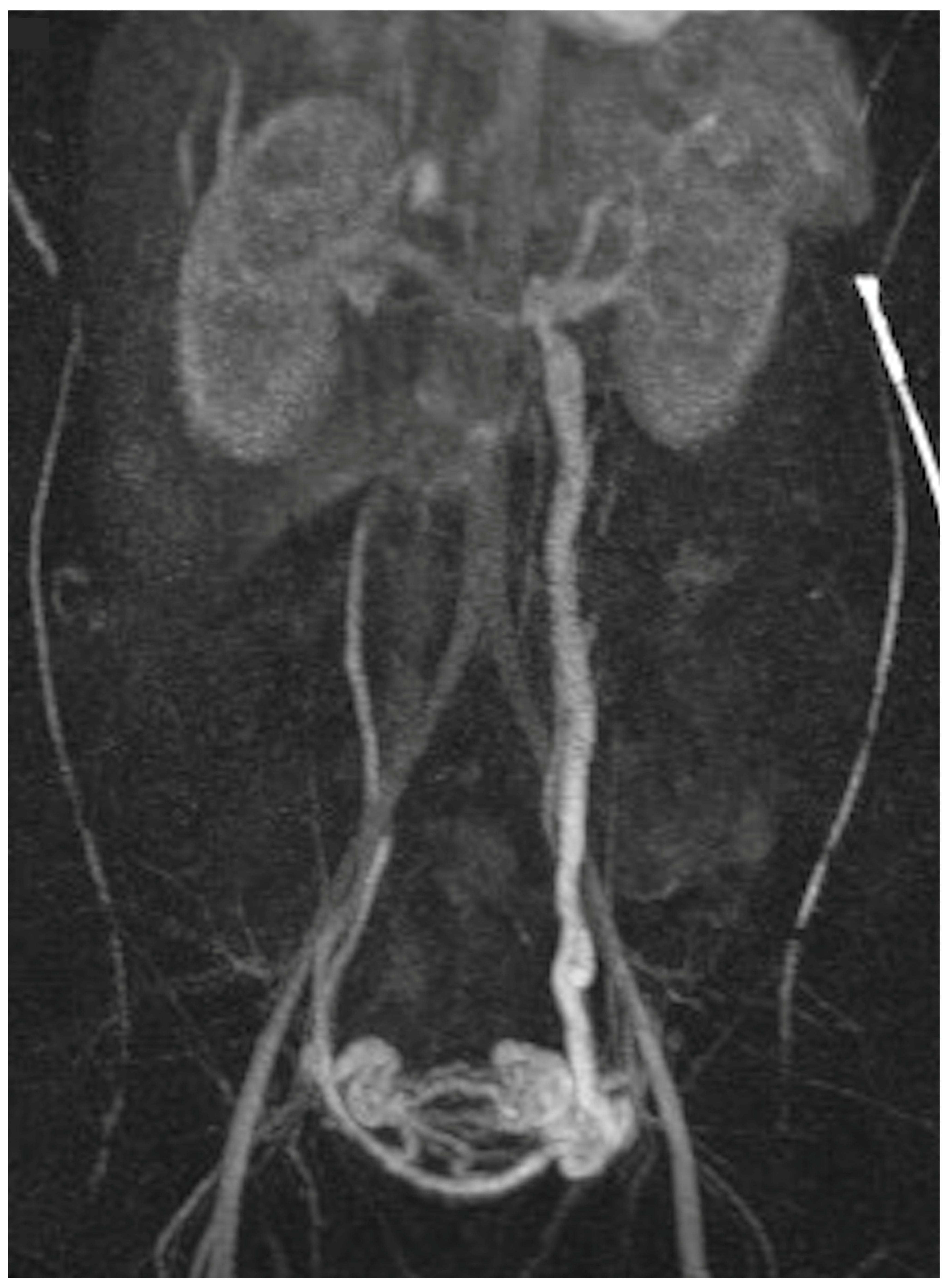
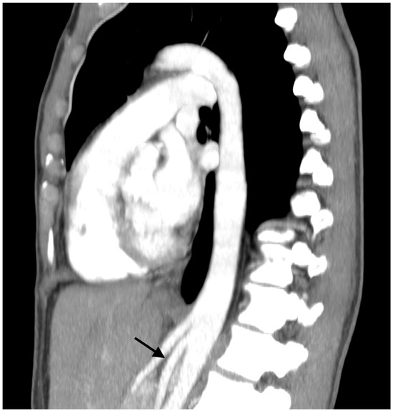
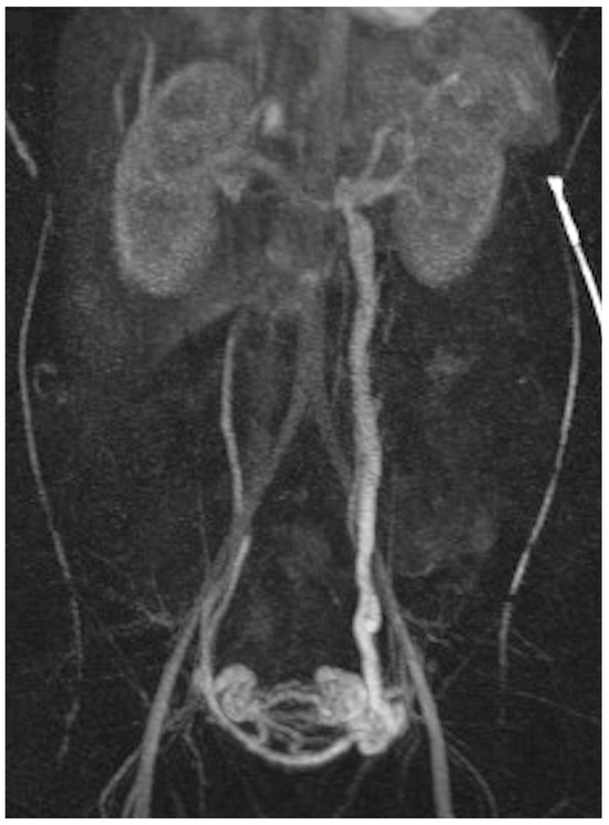
Case Presentation
Author Contributions
Funding
Institutional Review Board Statement
Informed Consent Statement
Conflicts of Interest
References
- Erben, Y.; Gloviczki, P.; Kalra, M.; Bjarnason, H.; Reed, N.R.; Duncan, A.A.; Oderich, G.S.; Bower, T.C. Treatment of Nutcracker Syndrome with Open and Endovascular Interventions. J. Vasc. Surg. Venous Lymphat. Disord. 2015, 3, 389–396. [Google Scholar] [CrossRef] [PubMed]
- Ananthan, K.; Onida, S.; Davies, A.H. Nutcracker Syndrome: An Update on Current Diagnostic Criteria and Management Guidelines. Eur. J. Vasc. Endovasc. Surg. 2017, 53, 886–894. [Google Scholar] [CrossRef] [PubMed]
- Li, K.D.; Bowman, M.S.; Yang, H.; Sui, W.; Freise, C.; Stoller, M. Case Presentation and Review of Renal Autotransplantation for Nutcracker Syndrome. Urol. Case Rep. 2024, 54, 102717. [Google Scholar] [CrossRef] [PubMed]



Disclaimer/Publisher’s Note: The statements, opinions and data contained in all publications are solely those of the individual author(s) and contributor(s) and not of MDPI and/or the editor(s). MDPI and/or the editor(s) disclaim responsibility for any injury to people or property resulting from any ideas, methods, instructions or products referred to in the content. |
© 2025 by the authors. Published by MDPI on behalf of the Société Internationale d’Urologie. Licensee MDPI, Basel, Switzerland. This article is an open access article distributed under the terms and conditions of the Creative Commons Attribution (CC BY) license (https://creativecommons.org/licenses/by/4.0/).
Share and Cite
Boiko, O.; Larburu, S.; Lecumberri, D. Nutcracker Syndrome as an Uncommon Cause of Isolated Hematuria in Adults. Soc. Int. Urol. J. 2025, 6, 64. https://doi.org/10.3390/siuj6050064
Boiko O, Larburu S, Lecumberri D. Nutcracker Syndrome as an Uncommon Cause of Isolated Hematuria in Adults. Société Internationale d’Urologie Journal. 2025; 6(5):64. https://doi.org/10.3390/siuj6050064
Chicago/Turabian StyleBoiko, Oleksandr, Soledad Larburu, and David Lecumberri. 2025. "Nutcracker Syndrome as an Uncommon Cause of Isolated Hematuria in Adults" Société Internationale d’Urologie Journal 6, no. 5: 64. https://doi.org/10.3390/siuj6050064
APA StyleBoiko, O., Larburu, S., & Lecumberri, D. (2025). Nutcracker Syndrome as an Uncommon Cause of Isolated Hematuria in Adults. Société Internationale d’Urologie Journal, 6(5), 64. https://doi.org/10.3390/siuj6050064

