The Role of Preprocedural Computed Tomography Angiography in Enhancing Arterial Embolisation for Life-Threatening Haemoptysis: A Case Series
Highlights
- Although bronchial arteries are the most common source of haemoptysis, a wide range of systemic arteries—from the subclavian to the phrenic—may contribute to the development of pathological vascular supply.
- Computed tomography angiography (CTA) performed from the neck to the L2 vertebral level, with a wide imaging field, enables precise localisation of the culprit bleeding site and more accurate identification of systemic collaterals.
- Due to the dynamic nature of pulmonary vascular remodelling, wide-field CTA should be included in the qualification process for every subsequent embolisation procedure rather than being limited to the initial intervention.
- Performing CTA with a wide imaging window covering all potential feeders arising from the thoracic aorta increases the likelihood of detecting collateral vessels, thereby improving procedural planning and potentially enhancing clinical outcomes in patients at particular risk of non-bronchial systemic artery involvement.
Abstract
1. Introduction
2. Materials and Methods
2.1. Study Design and Patient Population
2.2. Procedures
2.2.1. CTA
2.2.2. AE
2.3. Analysis of Culprit Vessel Distribution and Comparative Review with Prior Studies
3. Results
4. Discussion
5. Limitations
6. Conclusions
Author Contributions
Funding
Institutional Review Board Statement
Informed Consent Statement
Data Availability Statement
Conflicts of Interest
Abbreviations
| AE | Artery embolisation |
| CF | Cystic fibrosis |
| IMA | Internal mammary artery |
| CT | Computed tomography |
| ACR | American College of Radiology |
| CIRSE | Cardiovascular and Interventional Radiological Society of Europe |
| CTA | Computed tomography angiography |
| GGOs | Ground-glass opacities |
| NBSAs | Non-bronchial systemic arteries |
| MDCTA | Multidetector computed tomography angiography |
| DSA | Digital subtraction angiography |
| TB | Tuberculosis |
| L | Left |
| R | Right |
| BA | Bronchial artery |
| a. | Artery |
| aa. | Arteries |
| RUL | Right upper lobe |
| LUL | Left upper lobe |
| RML | Right middle lobe |
| RL | Right lung |
| LL | Left lung |
| LLL | Left lower lobe |
| S | Segment (Pulmonary segment) |
| N/A | Non-applicable |
Appendix A
| Patients | Present Study | Li et al. [11] | |
|---|---|---|---|
| Number of patients | 11 | 157 | |
| Age (years) | Mean age | 36 ± 15 | 50 ± 14 |
| Min. | 19 | 19 | |
| Max. | 62 | 79 | |
| Male/female ratio | 7/4 (64%/36%) | 113/44 (72%/28%) | |
| Aetiology | CF | 5 (45%) | N/A |
| Tuberculosis | 0 (0%) | 27 (17%) | |
| Bronchiectasis (non-CF) | 2 (18%) | 76 (48%) | |
| Pulmonary embolism | 1 (9%) | 1 (1%) | |
| Aspergilloma | 1 (9%) | 3 (2%) | |
| Others | 2 (18%) | 50 (32%) | |
| Embolic agent (per-procedure) | Glue | 6 (33.3%) | 0 (0%) |
| Coil | 6 (33.3%) | 10 (6%) | |
| Polyvinyl alcohol | 1 (5.6%) | 123 (78%) | |
| Gelatin sponge | 0 (0%) | 0 (0%) | |
| Other | 3 (16.7%) | 24 (15%) | |

References
- O’Gurek, D.; Choi, H.Y.J. Hemoptysis: Evaluation and Management. Am. Fam. Physician 2022, 105, 144–151. [Google Scholar] [PubMed]
- Deshwal, H.; Sinha, A.; Mehta, A.C. Life-Threatening Hemoptysis. Semin. Respir. Crit. Care Med. 2021, 42, 145–159. [Google Scholar] [CrossRef]
- Önür, S.T.; Altin, S.; Akyil, F.T.; Kara, K.; Sökücü, S.N.; Özdemir, C.; Özgül, M.A.; Metin, M.; Cansever, L.; Ölçmen, A.; et al. Management of Recurrent Hemoptysis: A Single-Center Experience. Turk. J. Med. Sci. 2022, 52, 1872–1880. [Google Scholar] [CrossRef]
- Davidson, K.; Shojaee, S. Managing Massive Hemoptysis. Chest 2020, 157, 77–88. [Google Scholar] [CrossRef]
- Hwang, J.H.; Kim, J.H.; Park, S.; Lee, K.H.; Park, S.H. Feasibility and Outcomes of Bronchial Artery Embolization in Patients with Non-Massive Hemoptysis. Respir. Res. 2021, 22, 221. [Google Scholar] [CrossRef]
- Singer, E.D.; Faiz, S.A.; Qdaisat, A.; Abdeldaem, K.; Dagher, J.; Chaftari, P.; Yeung, S.-C.J. Hemoptysis in Cancer Patients. Cancers 2023, 15, 4765. [Google Scholar] [CrossRef]
- Geevarghese, R.; Petre, E.N.; Ziv, E.; Santos, E.; Rodriguez, L.; Zhao, K.; Sotirchos, V.S.; Solomon, S.B.; Alexander, E.S. Transarterial Embolization for the Management of Emergent Hemoptysis in Patients With Primary and Metastatic Lung Tumors. Clin. Lung Cancer 2024, 26, 45–51. [Google Scholar] [CrossRef]
- Atchinson, P.R.A.; Hatton, C.J.; Roginski, M.A.; Backer, E.D.; Long, B.; Lentz, S.A. The Emergency Department Evaluation and Management of Massive Hemoptysis. Am. J. Emerg. Med. 2021, 50, 148–155. [Google Scholar] [CrossRef]
- Floridi, C.; Boscarato, P.; Ventura, C.; Bruno, A.; Rossini, N.; Baldassari, M.; Lanza, C.; Fabrizzi, B.; Candelari, R.; Giovagnoni, A. Role of Bronchial Artery Embolization as Early Treatment Option in Stable Cystic Fibrosis Patients with Sub-Massive Hemoptysis: Personal Experience and Literature Review. J. Clin. Med. 2022, 11, 6432. [Google Scholar] [CrossRef] [PubMed]
- Kettenbach, J.; Ittrich, H.; Gaubert, J.Y.; Gebauer, B.; Vos, J.A. CIRSE Standards of Practice on Bronchial Artery Embolisation. Cardiovasc. Intervent. Radiol. 2022, 45, 721–732. [Google Scholar] [CrossRef] [PubMed]
- Li, P.-J.; Yu, H.; Wang, Y.; Jiang, F.-M.; Wang, W.; Li, X.-O.; Wang, Y.; Liang, Z.-A. Multidetector Computed Tomography Angiography Prior to Bronchial Artery Embolization Helps Detect Culprit Ectopic Bronchial Arteries and Non-Bronchial Systemic Arteries Originating from Subclavian and Internal Mammary Arteries and Improve Hemoptysis-Free Early Survival Rate in Patients with Hemoptysis. Eur. Radiol. 2019, 29, 1950–1958. [Google Scholar] [CrossRef]
- Ravetta, P.; Vouche, M. Added Value of Computed Tomography Angiography Prior to Bronchial Artery Embolization for Hemoptysis: A Retrospective Two-Center Study. J. Belg. Soc. Radiol. 2023, 108, 1. [Google Scholar] [CrossRef]
- Fish, A.; Chan, S.M.; Pollak, J.; Schlachter, T. Twenty-Seven-Year Retrospective Review of Hemoptysis from Systemic Collaterals Following Pulmonary Arteriovenous Malformation Embolization. Cardiovasc. Interv. Radiol. 2023, 46, 670–674. [Google Scholar] [CrossRef]
- Martin, L.N.; Higgins, L.; Mohabir, P.; Sze, D.Y.; Hofmann, L.V. Bronchial Artery Embolization for Hemoptysis in Cystic Fibrosis Patients: A 17-Year Review. J. Vasc. Interv. Radiol. 2020, 31, 331–335. [Google Scholar] [CrossRef]
- Mondoni, M.; Carlucci, P.; Cipolla, G.; Fois, A.; Gasparini, S.; Marani, S.; Centanni, S.; Sotgiu, G. Bronchoscopy to Assess Patients with Hemoptysis: Which Is the Optimal Timing? BMC Pulm. Med. 2019, 19, 36. [Google Scholar] [CrossRef]
- Olsen, K.M.; Manouchehr-pour, S.; Donnelly, E.F.; Henry, T.S.; Berry, M.F.; Boiselle, P.M.; Colletti, P.M.; Harrison, N.E.; Kuzniewski, C.T.; Laroia, A.T.; et al. ACR Appropriateness Criteria® Hemoptysis. J. Am. Coll. Radiol. 2020, 17, S148–S159. [Google Scholar] [CrossRef]
- Seon, H.J.; Kim, Y.-H.; Kwon, Y.-S. Localization of Bleeding Sites in Patients with Hemoptysis Based on Their Chest Computed Tomography Findings: A Retrospective Cohort Study. BMC Pulm. Med. 2016, 16, 160. [Google Scholar] [CrossRef] [PubMed]
- Yoon, W.; Kim, Y.H.; Kim, J.K.; Kim, Y.C.; Park, J.G.; Kang, H.K. Massive Hemoptysis: Prediction of Nonbronchial Systemic Arterial Supply with Chest CT. Radiology 2003, 227, 232–238. [Google Scholar] [CrossRef] [PubMed]
- Marquis, K.M.; Raptis, C.A.; Rajput, M.Z.; Steinbrecher, K.L.; Henry, T.S.; Rossi, S.E.; Picus, D.D.; Bhalla, S. CT for Evaluation of Hemoptysis. RadioGraphics 2021, 41, 742–761. [Google Scholar] [CrossRef] [PubMed]
- Dohna, M.; Kühl, H.; Sutharsan, S.; Dohna-Schwake, C.; Vo Chieu, V.D.; Hellms, S.; Kornemann, N.; Renz, D.M.; Montag, M.J. Bronchial Artery Diameter in Massive Hemoptysis in Cystic Fibrosis. BMC Pulm. Med. 2022, 22, 424. [Google Scholar] [CrossRef]
- Shamseldin, M.; Kluge, J.; Bauer, J.; Puls, R. Efficacy and Safety of Treating Acute Haemoptysis Using Glue Embolization: A Retrospective Observational Study and Comparison to the Literature. J. Med. Imaging Radiat. Oncol. 2024, 68, 177–184. [Google Scholar] [CrossRef]
- García Jurado, P.B.; Pérez Montilla, M.E.; Lombardo Galera, M.S.; Entrenas Castillo, M.; García-Revillo, J.; Espejo Herrero, J.J. Embolization of Bronchial Arteries and Nonbronchial Systemic Arteries with N-Butyl-Cyanoacrylate in Patients with Hemoptysis: A Retrospective Single-Center Study. Radiol. Engl. Ed. 2023, 65, 99–105. [Google Scholar] [CrossRef]
- Wang, L.-L.; Lu, H.-W.; Li, L.-L.; Jiang, S.; Xu, J.-F. Destroyed Lung Contributes to the Recurrence of Hemoptysis after Bronchial Artery Embolization in Patients with Post-Tuberculosis Bronchiectasis. J. Infect. Public Health 2024, 17, 102446. [Google Scholar] [CrossRef]
- Le, H.Y.; Le, V.N.; Pham, N.H.; Phung, A.T.; Nguyen, T.T.; Do, Q. Value of Multidetector Computed Tomography Angiography before Bronchial Artery Embolization in Hemoptysis Management and Early Recurrence Prediction: A Prospective Study. BMC Pulm. Med. 2020, 20, 231. [Google Scholar] [CrossRef]
- Panda, A.; Bhalla, A.S.; Goyal, A. Bronchial Artery Embolization in Hemoptysis: A Systematic Review. Diagn. Interv. Radiol. 2017, 23, 307–317. [Google Scholar] [CrossRef]
- Mazıcan, M.; Karluka, I.; Fındıkcıoglu, A.; Andıc, C. Bronchial Artery Embolization in Patients with Life-Threatening Massive Hemoptysis: Comparison of the Efficacy and Safety of Particulate Embolizing Agents and n-2-Butyl-Cyanoacrylate. Eur. Rev. Med. Pharmacol. Sci. 2024, 28, 310–318. [Google Scholar] [CrossRef] [PubMed]
- Yoon, Y.C.; Lee, K.S.; Jeong, Y.J.; Shin, S.W.; Chung, M.J.; Kwon, O.J. Hemoptysis: Bronchial and Nonbronchial Systemic Arteries at 16–Detector Row CT. Radiology 2005, 234, 292–298. [Google Scholar] [CrossRef] [PubMed]
- Chun, J.-Y.; Morgan, R.; Belli, A.-M. Radiological Management of Hemoptysis: A Comprehensive Review of Diagnostic Imaging and Bronchial Arterial Embolization. Cardiovasc. Intervent. Radiol. 2010, 33, 240–250. [Google Scholar] [CrossRef] [PubMed]
- Dohna, M.; Renz, D.M.; Stehling, F.; Dohna-Schwake, C.; Sutharsan, S.; Neurohr, C.; Wirtz, H.; Eickmeier, O.; Grosse-Onnebrink, J.; Sauerbrey, A.; et al. Coil Embolisation for Massive Haemoptysis in Cystic Fibrosis. BMJ Open Respir. Res. 2021, 8, e000985. [Google Scholar] [CrossRef]
- Dong, Y.; An, J. Analysis of Recurrence of Risk Factors after Transcatheter Bronchial Artery Embolization for Hemoptysis. Ann. Saudi Med. 2024, 44, 414–421. [Google Scholar] [CrossRef]
- Loiudice, G.; Catelli, A.; Corvino, A.; Quarantelli, M.; Venetucci, P. Endovascular Treatment of Chronic Hemoptysis in Patients with Pulmonary Tuberculosis. Acta Biomed. Atenei Parm. 2021, 92, e2021201. [Google Scholar] [CrossRef]
- Shimohira, M.; Ohta, K.; Nagai, K.; Sawada, Y.; Nakashima, M.; Maki, H.; Bando, Y.; Shibamoto, Y. Bronchial Arterial Embolization Using a Gelatin Sponge for Hemoptysis from Pulmonary Aspergilloma: Comparison with Other Pulmonary Diseases. Emerg. Radiol. 2019, 26, 501–506. [Google Scholar] [CrossRef] [PubMed]
- Sheehan, F.; Graham, A.; Tait, N.P.; Ind, P.; Alsafi, A.; Jackson, J.E. Bronchial Artery Embolization Using Small Particles Is Safe and Effective: A Single Center 12-Year Experience. Eur. Radiol. 2024, 34, 7786–7794. [Google Scholar] [CrossRef]
- Yan, H.-T.; Lu, G.-D.; Liu, J.; Liu, S.; Shi, H.-B.; Zhou, C.-G.; Zu, Q.-Q. Does the Presence of Systemic Artery–Pulmonary Circulation Shunt during Bronchial Arterial Embolization Increase the Recurrence of Noncancer-Related Hemoptysis? A Retrospective Cohort Study. Respir. Res. 2023, 24, 119. [Google Scholar] [CrossRef]
- Ryuge, M.; Hara, M.; Hiroe, T.; Omachi, N.; Minomo, S.; Kitaguchi, K.; Youmoto, M.; Asakura, N.; Sakata, Y.; Ishikawa, H. Mechanisms of Recurrent Haemoptysis after Super-Selective Bronchial Artery Coil Embolisation: A Single-Centre Retrospective Observational Study. Eur. Radiol. 2019, 29, 707–715. [Google Scholar] [CrossRef] [PubMed]
- Tu, J.; Jia, Z.; Zhong, B.; Shen, B.; Zhang, G.; Zhang, D.; Yu, H.; Chen, Y.; Liu, X.; Wang, L.; et al. Bronchial Artery Embolization for Hemoptysis: A Consensus Statement by the Chinese College of Interventionalists. World J. Emerg. Med. 2025, 16, 197. [Google Scholar] [CrossRef]
- Herrera, D.G.; Ostad, B.J.; Wilkins, L.R.; Sheeran, D.P.; Park, A.W.; Goode, A.R.; Patrie, J.T.; Angle, J.F. Effect of Computed Tomography Angiography Prior to Bronchial Embolization on Radiation Dose and Recurrent Hemoptysis. Clin. Imaging 2023, 100, 48–53. [Google Scholar] [CrossRef] [PubMed]
- André, F.; Fortner, P.; Vembar, M.; Mueller, D.; Stiller, W.; Buss, S.J.; Kauczor, H.-U.; Katus, H.A.; Korosoglou, G. Improved Image Quality with Simultaneously Reduced Radiation Exposure: Knowledge-Based Iterative Model Reconstruction Algorithms for Coronary CT Angiography in a Clinical Setting. J. Cardiovasc. Comput. Tomogr. 2017, 11, 213–220. [Google Scholar] [CrossRef]
- Patel, S.; Howroyd, L.R.; Bucknall, H.; Memon, H.; Morgan, R.; Chun, J.-Y. Long Term Outcomes Following Embolisation of Bronchial and Non-Bronchial Systemic Arteries for the Management of Haemoptysis–a 20-Year Experience. CVIR Endovasc. 2025, 8, 51. [Google Scholar] [CrossRef]
- Flight, W.G.; Barry, P.J.; Bright-Thomas, R.J.; Butterfield, S.; Ashleigh, R.; Jones, A.M. Outcomes Following Bronchial Artery Embolisation for Haemoptysis in Cystic Fibrosis. Cardiovasc. Intervent. Radiol. 2017, 40, 1164–1168. [Google Scholar] [CrossRef]





| Case Number | Sex | Age at First Arterial Embolisation | Main Aetiology | Comorbidities | Number of Arterial Embolisation Procedures | Embolisation Material(s) | Follow-Up Outcome |
|---|---|---|---|---|---|---|---|
| P01 | M | 19 | CF | CF-related diabetes; hypertension; asthma; allergic rhinitis | 3 | Coil Glue Other | Recurrent haemoptysis after three AEs; controlled with CFTR modulators; alive |
| P02 | M | 32 | Aspergillosis | sarcoidosis | 3 | Glue | Effective AE; alive |
| P03 | M | 39 | Post-TB sequelae | bronchiectasis | 1 | Coil | Lost to follow-up |
| P04 | M | 30 | CF | Cholelithiasis | 3 | Coil Other | Lost to follow-up |
| P05 | M | 19 | CF | Depression; anorexia | 1 | - | AE attempted, embolisation technically not feasible; alive |
| P06 | F | 62 | Post-TB sequelae | Hypertension; renal cirrhosis | 1 | - | Lost to follow-up |
| P07 | F | 28 | CF | Cholelithiasis; CF-related diabetes | 1 | Glue | Effective AE; on CFTR modulators; death |
| P08 | F | 33 | Post-TB sequelae | Gastroesophageal reflux disease; anorexia | 2 | Glue | Effective AE; post-LTx; alive |
| P09 | F | 24 | CF | CF-related diabetes; asthma | 1 | Other | Effective AE; on CFTR modulators; alive |
| P10 | M | 53 | Pulmonary nontuberculous mycobacteriosis | Chronic obstructive pulmonary disease; ulcerative colitis; benign prostatic hyperplasia | 1 | Glue | Effective AE; listed for LTx; alive |
| Case Number | Culprit Vessel Origin | Arterial Embolisation Procedure Number | Embolisation Agent |
|---|---|---|---|
| P01 | Left subclavian artery | Third | Glue |
| P02 | Right intercostal artery | Third | Coil |
| P03 | Branch of the aorta at T12 (likely left inferior phrenic artery) | First | Coil |
| P04 | Right subclavian artery | Third | Coil |
| P06 | LIMA | AE was abandoned due to the severe tortuosity of LIMA | - |
| P08 | Right and left intercostal artery | Second | Glue |
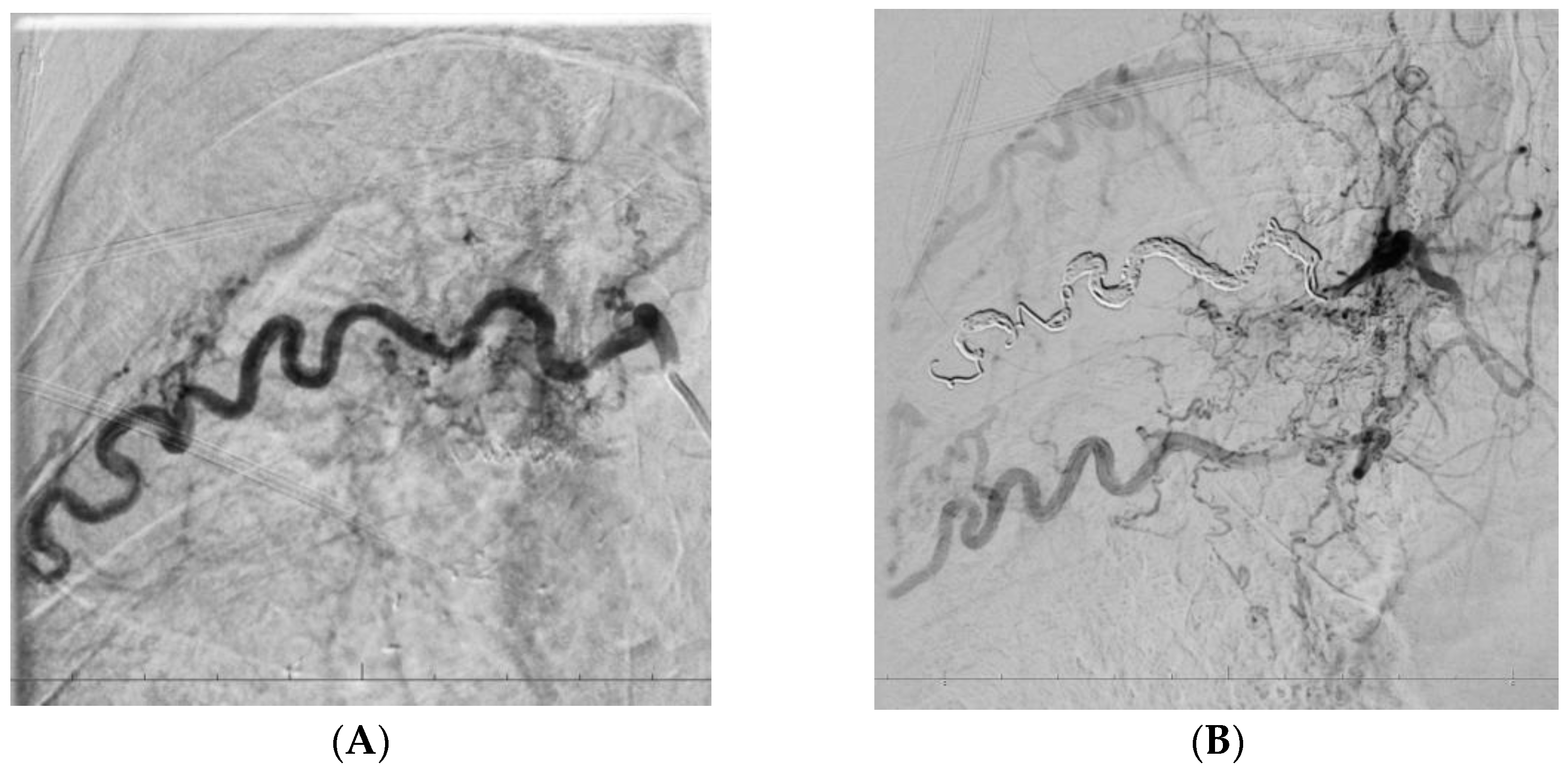
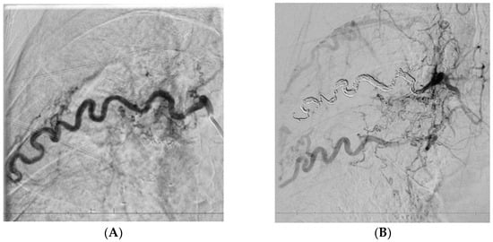
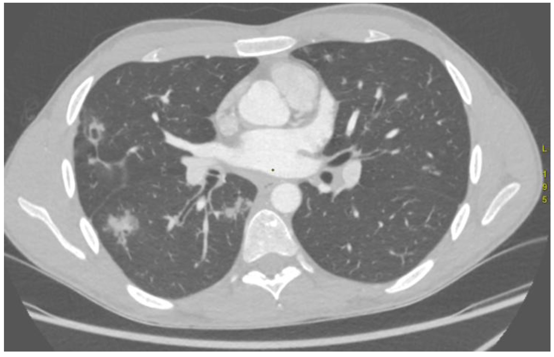
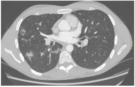
| Case Number | Computed Tomography Angiography Findings | Culprit Vessel Identified on Digital Subtraction Angiography | Match |
|---|---|---|---|
| P01 | Dilated, tortuous R BA | R BA | Yes |
| Dilated, tortuous R BA (up to 3 mm) Bilateral bronchiectasis (RUL, LUL, RML dominant) Mild consolidations | R BA | Yes | |
| Dilated, tortuous R BA (up to 2.9 mm) Bilateral bronchiectasis (RUL, LUL, RML dominant) Focal consolidation in apical segments (LUL) | L subclavian a. | Yes | |
| P02 | Consolidation in S2 (RUL) | R BA | Yes |
| Progressive parenchymal changes in S5 and along the oblique fissure (RL) | R BA | Yes | |
| Consolidated changes at the lower hilar pole and in segment 6S R Pleural thickening up to 10 mm over segment 6S R | R intercostal a. | Yes | |
| P03 | LIMA dilated to 3.1 mm; L BA to 3.3 mm; L inferior phrenic a. to 3.1 mm Post-inflammatory changes bilaterally Fibrotic transformation of LL | L Th12 aortic branch (phrenic a.) | Yes |
| P04 | Dilated, tortuous R BA (up to 5–6 mm) and L BA (up to 4 mm) Inflammatory changes within bronchiectatic regions supplied by R BA Fibrotic RML | R BA | Yes |
| Dilated, tortuous R BA (up to 4–5 mm) and L BA (up to 4 mm) The right internal thoracic a. is involved in abnormal supply | 2 × R BA | Yes | |
| Persistent vascular abnormalities, comparable to prior CTA | R subclavian a. | Yes | |
| P05 | Dilated, tortuous L BA (up to 2.6 mm) Pleural adhesions in S2 (RUL) and S4 (LUL) | R BA | No |
| P06 | Consolidation in S6 of LLL Fibrotic right lung with basal fibrosis | LIMA | Yes |
| P07 | Dilated, tortuous R BA (up to 4 mm) and L BA Diffuse GGO (especially in LLL) | 2 × R BA | Yes |
| P08 | Dilated multiple R BA (one from arch, two from descending aorta) (up to 3.2–3.6 mm) CT signs of fistulas/anastomoses in RUL Apical pleural thickening bilaterally | R BA | Yes |
| R&L intercostal aa. | Yes | ||
| P09 | Dilated R BA with suspected anastomosis to pulmonary artery, dilated L BA | R BA | Yes |
| P10 | GGO in S3 of RUL | 2 × R BA | Yes |
Disclaimer/Publisher’s Note: The statements, opinions and data contained in all publications are solely those of the individual author(s) and contributor(s) and not of MDPI and/or the editor(s). MDPI and/or the editor(s) disclaim responsibility for any injury to people or property resulting from any ideas, methods, instructions or products referred to in the content. |
© 2025 by the authors. Published by MDPI on behalf of the Polish Respiratory Society. Licensee MDPI, Basel, Switzerland. This article is an open access article distributed under the terms and conditions of the Creative Commons Attribution (CC BY) license (https://creativecommons.org/licenses/by/4.0/).
Share and Cite
Ziętarska, A.; Dobek, A.; Białek, P.; Szubert, W.; Majewski, S.; Stefańczyk, L. The Role of Preprocedural Computed Tomography Angiography in Enhancing Arterial Embolisation for Life-Threatening Haemoptysis: A Case Series. Adv. Respir. Med. 2025, 93, 57. https://doi.org/10.3390/arm93060057
Ziętarska A, Dobek A, Białek P, Szubert W, Majewski S, Stefańczyk L. The Role of Preprocedural Computed Tomography Angiography in Enhancing Arterial Embolisation for Life-Threatening Haemoptysis: A Case Series. Advances in Respiratory Medicine. 2025; 93(6):57. https://doi.org/10.3390/arm93060057
Chicago/Turabian StyleZiętarska, Anna, Adam Dobek, Piotr Białek, Wojciech Szubert, Sebastian Majewski, and Ludomir Stefańczyk. 2025. "The Role of Preprocedural Computed Tomography Angiography in Enhancing Arterial Embolisation for Life-Threatening Haemoptysis: A Case Series" Advances in Respiratory Medicine 93, no. 6: 57. https://doi.org/10.3390/arm93060057
APA StyleZiętarska, A., Dobek, A., Białek, P., Szubert, W., Majewski, S., & Stefańczyk, L. (2025). The Role of Preprocedural Computed Tomography Angiography in Enhancing Arterial Embolisation for Life-Threatening Haemoptysis: A Case Series. Advances in Respiratory Medicine, 93(6), 57. https://doi.org/10.3390/arm93060057

