- Article
A Physiological, Non-Cannulated CT–Dacryocystography Protocol Using Dropwise Iodixanol Instillation: A Pilot Study
- Flavio Cassano,
- Giovanni Leo Tomacelli,
- Costa Maria Carmela,
- Besozzi Gianluca,
- Rizzo Tiziana,
- Paladini Adriana and
- Guglielmo Sticchi
9 February 2026
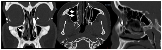
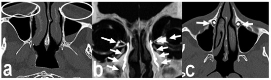
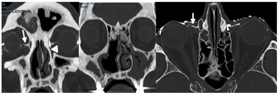
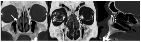
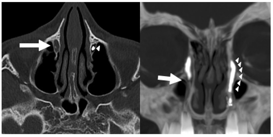
Background: Conventional CT–dacryocystography (CT-DCG) requires canalicular cannulation and forced contrast injection, which may distort anatomy and cause discomfort. This study describes a non-cannulated CT-DCG protocol using dropwise iodixano...

