Sublingual Lymphangioma Mimicking a Ranula: A Case Report †
1. Background
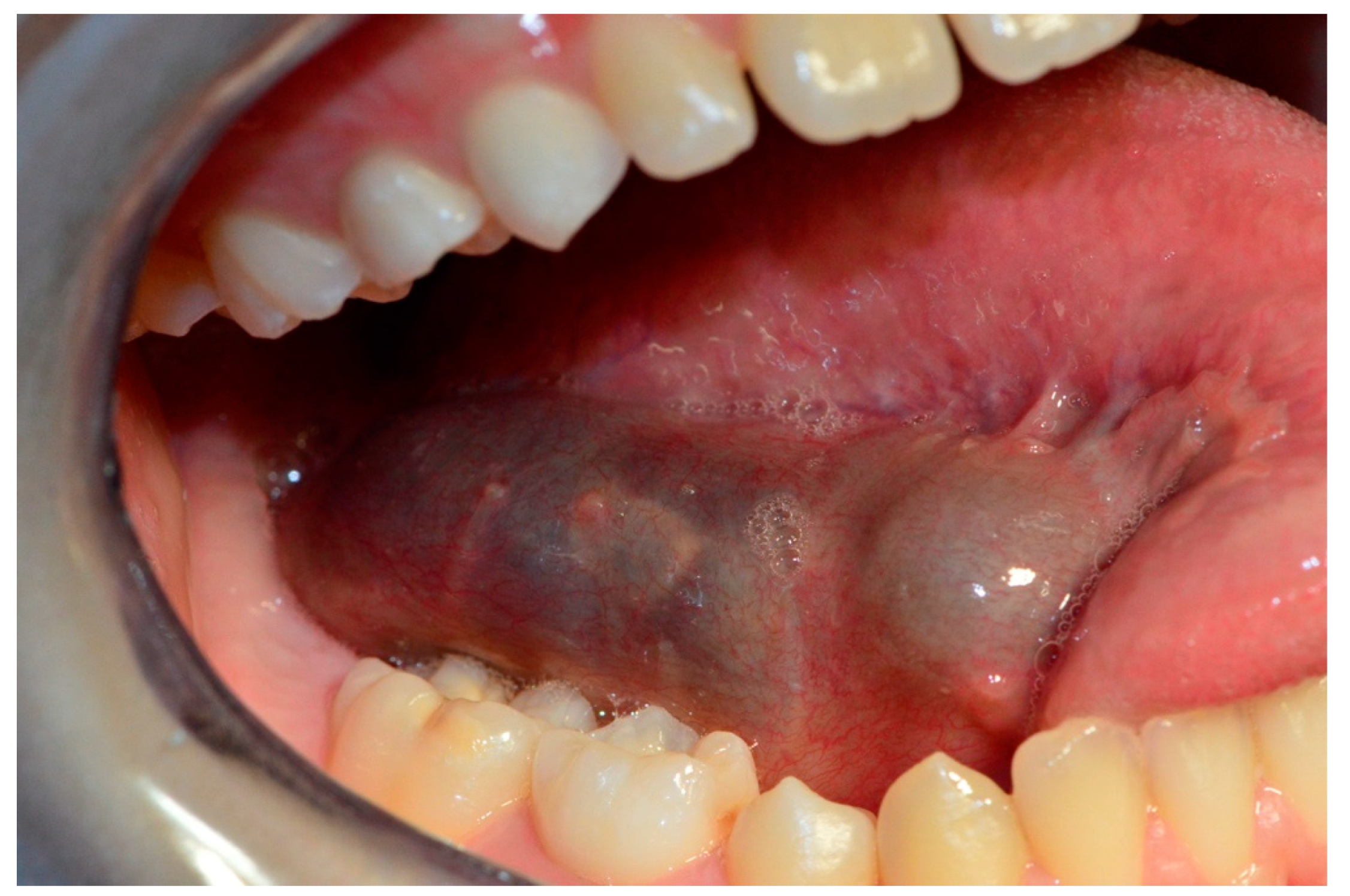
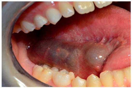
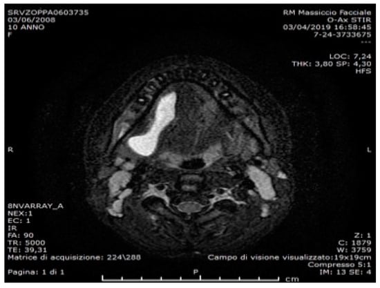
2. Case Report
3. Conclusions
Conflicts of Interest
References
- Bonet-Coloma, C.; Minguez-Martínez, I.; Aloy-Prósper, A.; Rubio-Serrano, M.; Peñarrocha-Diago, M.A.; Peñarrocha-Diago, M. Clinical characteristics, treatment, and evolution in 14 cases of pediatric orofacial lymphangioma. J. Oral Maxillofac. Surg. 2011, 69, e96–e99. [Google Scholar] [CrossRef] [PubMed]
- Brennan, T.D.; Miller, A.S.; Chen, S.Y. Lymphangiomas of the oral cavity: A clinicopathologic, immunohistochemical, and electron-microscopic study. J. Oral Maxillofac. Surg. 1997, 55, 932–935. [Google Scholar] [CrossRef] [PubMed]
- Al-Abdulla, A.F.; Prabhu, S.; Al-Muharraqi, M.A.; Darwish, A.H.; Nagaraj, V. Sublingual lymphangioma that presented as a plunging ranula in a baby boy. Br. J. Oral Maxillofac. Surg. 2016, 54, 1144–1145. [Google Scholar] [CrossRef] [PubMed]
- O’Connor, R.; McGurk, M. The plunging ranula: Diagnostic difficulties and a less invasive approach to treatment. Int. J. Oral Maxillofac. Surg. 2013, 42, 1469–1474. [Google Scholar] [CrossRef] [PubMed]


Publisher’s Note: MDPI stays neutral with regard to jurisdictional claims in published maps and institutional affiliations. |
© 2019 by the authors. Licensee MDPI, Basel, Switzerland. This article is an open access article distributed under the terms and conditions of the Creative Commons Attribution (CC BY) license (https://creativecommons.org/licenses/by/4.0/).
Share and Cite
Nisi, M.; Izzetti, R.; Lardani, L.; Scarpata, L.; Giuca, M.R.; Gabriele, M. Sublingual Lymphangioma Mimicking a Ranula: A Case Report. Proceedings 2019, 35, 66. https://doi.org/10.3390/proceedings2019035066
Nisi M, Izzetti R, Lardani L, Scarpata L, Giuca MR, Gabriele M. Sublingual Lymphangioma Mimicking a Ranula: A Case Report. Proceedings. 2019; 35(1):66. https://doi.org/10.3390/proceedings2019035066
Chicago/Turabian StyleNisi, Marco, Rossana Izzetti, Lisa Lardani, Lucia Scarpata, Maria Rita Giuca, and Mario Gabriele. 2019. "Sublingual Lymphangioma Mimicking a Ranula: A Case Report" Proceedings 35, no. 1: 66. https://doi.org/10.3390/proceedings2019035066
APA StyleNisi, M., Izzetti, R., Lardani, L., Scarpata, L., Giuca, M. R., & Gabriele, M. (2019). Sublingual Lymphangioma Mimicking a Ranula: A Case Report. Proceedings, 35(1), 66. https://doi.org/10.3390/proceedings2019035066

