Oral Granular Cell Tumour: A Case Report †
1. Case Presentation
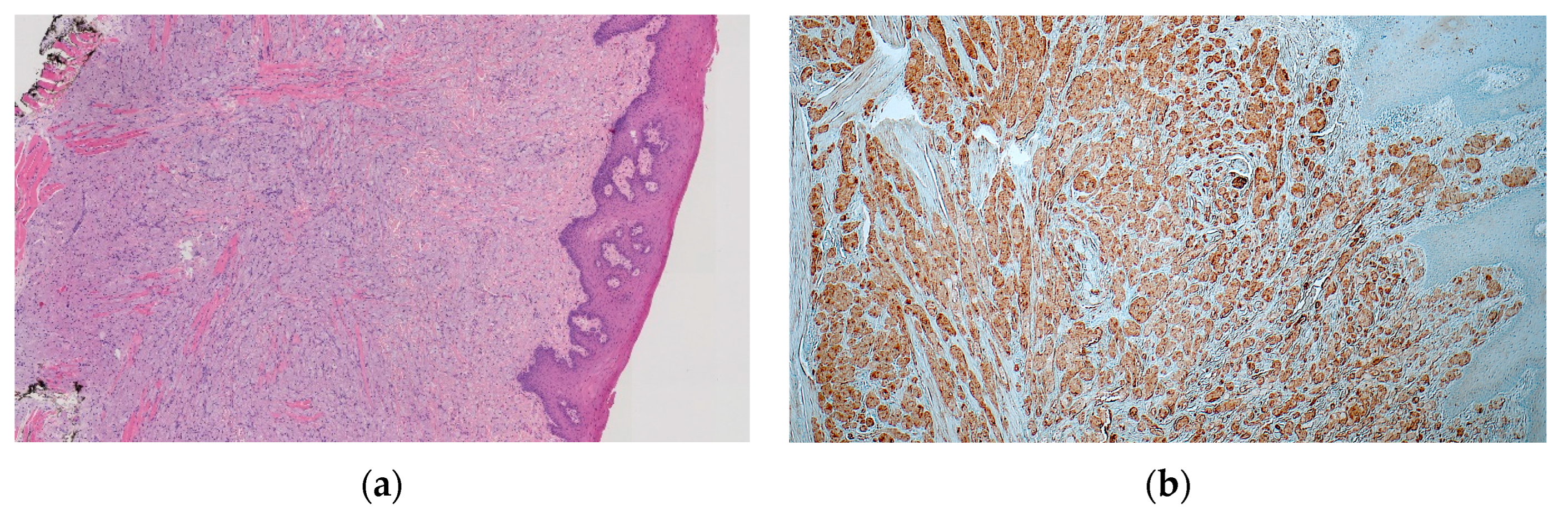
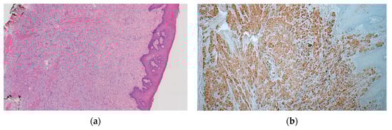
2. Histopathology
3. Conclusions
Conflicts of Interest
References
- Musha, A.; Ogawa, M.; Yokoo, S. Granular cell tumors of the tongue: Fibroma or schwannoma. Head Face Med. 2018, 14, 1. [Google Scholar] [CrossRef] [PubMed]
- Alotaibi, O.; Al Sheddi, M. Neurogenic tumors and tumor-like lesions of the oral and maxillofacial region: A clinicopathological study. Saudi Dent. J. 2016, 28, 76–79. [Google Scholar] [CrossRef] [PubMed]
- Al-Eryani, K.; Karasneh, J.; Sedghizadeh, P.P.; Ram, S.; Sawair, F. Lack of utility of cytokeratins in differentiating pseudocarcinomatous hyperplasia of granular cell tumors from oral squamous cell carcinoma. Asian Pac. J. Cancer Prev. 2016, 17, 1785–1787. [Google Scholar] [CrossRef] [PubMed]


Publisher’s Note: MDPI stays neutral with regard to jurisdictional claims in published maps and institutional affiliations. |
© 2019 by the authors. Licensee MDPI, Basel, Switzerland. This article is an open access article distributed under the terms and conditions of the Creative Commons Attribution (CC BY) license (https://creativecommons.org/licenses/by/4.0/).
Share and Cite
Dani, M.; Pellilli, M.; d’Aiuto, A.; Tettamanti, L.; Maurino, V.; Azzi, L. Oral Granular Cell Tumour: A Case Report. Proceedings 2019, 35, 55. https://doi.org/10.3390/proceedings2019035055
Dani M, Pellilli M, d’Aiuto A, Tettamanti L, Maurino V, Azzi L. Oral Granular Cell Tumour: A Case Report. Proceedings. 2019; 35(1):55. https://doi.org/10.3390/proceedings2019035055
Chicago/Turabian StyleDani, Marta, Maria Pellilli, Alessandro d’Aiuto, Lucia Tettamanti, Vittorio Maurino, and Lorenzo Azzi. 2019. "Oral Granular Cell Tumour: A Case Report" Proceedings 35, no. 1: 55. https://doi.org/10.3390/proceedings2019035055
APA StyleDani, M., Pellilli, M., d’Aiuto, A., Tettamanti, L., Maurino, V., & Azzi, L. (2019). Oral Granular Cell Tumour: A Case Report. Proceedings, 35(1), 55. https://doi.org/10.3390/proceedings2019035055
