Bioengineered Tricomposite Hydrogel Enhances Chondrogenic Phenotype and Hyaline Matrix Formation in Human Chondrocytes
Abstract
1. Introduction
2. Results and Discussion
2.1. Tricomposite Hydrogel Degradation Rate Analysis
2.2. Cell Viability and Cell Density Analysis
2.3. Chondrogenic Markers Gene Expression Analysis
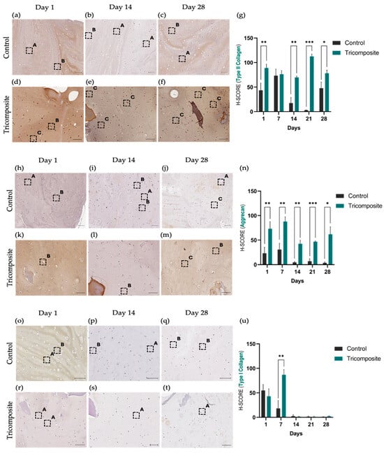
2.4. Production of ECM Components Analysis (IHC and H-Score Evaluation)
2.5. Histological Characterization (H&E, Masson Trichrome and Safranin O/Fast Green)
3. Conclusions
4. Materials and Methods
4.1. Preparation of Decellularized Articular Cartilage and Amniotic Membrane Matrices
4.2. Tricomposite Scaffold Preparation
4.3. Scaffold Degradation Analysis
4.4. In Vitro Cytocompatibility, Cell Viability and Cellularity Analysis
4.5. Chondrogenic Gene Expression Analysis
4.6. Histological and Immunohistochemical Analysis
4.7. Statistical Analysis
Author Contributions
Funding
Institutional Review Board Statement
Informed Consent Statement
Data Availability Statement
Acknowledgments
Conflicts of Interest
Abbreviations
| ACAN | Aggrecan (gene) |
| B2M | beta-2-microglobulin (gene) |
| BMPs | Bone morphogenetic proteins |
| COL1A2 | Collagen type I alpha 2 chain (gene) |
| COL2A1 | Collagen type II alpha 1 chain (gene) |
| COL10A1 | Collagen type X alpha 1 chain (gene) |
| dACM | decellularized articular cartilage matrix |
| dAMM | decellularized amniotic membrane matrix |
| dECM | decellularized extracellular matrix |
| ECM | Extracellular matrix |
| EGF | Epidermal growth factor |
| FGF | Fibroblast growth factor |
| GAG | Glycosaminoglycan |
| GelMA | Gelatin methacrylate |
| IHC | Immunohistochemistry |
| IL-10 | Interleukin-10 |
| RUNX2 | Runt-related transcription factor 2 (gene) |
| sGAG | Sulfated glycosaminoglycans |
| SOX9 | SRY-box transcription factor 9 (gene) |
| TGF-β | Transforming growth factor beta |
References
- Karpiński, R.; Prus, A.; Baj, J.; Radej, S.; Prządka, M.; Krakowski, P.; Jonak, K. Articular Cartilage: Structure, Biomechanics, and the Potential of Conventional and Advanced Diagnostics. Appl. Sci. 2025, 15, 6896. [Google Scholar] [CrossRef]
- Kurz, B.; Lange, T.; Voelker, M.; Hart, M.L.; Rolauffs, B. Articular Cartilage—From Basic Science Structural Imaging to Non-Invasive Clinical Quantitative Molecular Functional Information for AI Classification and Prediction. Int. J. Mol. Sci. 2023, 24, 14974. [Google Scholar] [CrossRef] [PubMed]
- Hu, H.; Liu, W.; Sun, C.; Wang, Q.; Yang, W.; Zhang, Z.C.; Xia, Z.; Shao, Z.; Wang, B. Endogenous Repair and Regeneration of Injured Articular Cartilage: A Challenging but Promising Therapeutic Strategy. Aging Dis. 2021, 12, 886. [Google Scholar] [CrossRef] [PubMed]
- Yang, C.; Chen, R.; Chen, C.; Yang, F.; Xiao, H.; Geng, B.; Xia, Y. Tissue Engineering Strategies Hold Promise for the Repair of Articular Cartilage Injury. Biomed. Eng. OnLine 2024, 23, 92. [Google Scholar] [CrossRef]
- Rojas-Murillo, A.; Lara-Arias, J.; Leija-Gutiérrez, H.; Franco-Márquez, R.; Moncada-Saucedo, N.K.; Guzmán-López, A.; Vilchez-Cavazos, F.; Garza-Treviño, E.N.; Simental-Mendía, M. The Combination of Decellularized Cartilage and Amniotic Membrane Matrix Enhances the Production of Extracellular Matrix Elements in Human Chondrocytes. Coatings 2024, 14, 1083. [Google Scholar] [CrossRef]
- Hall, A.C. The Role of Chondrocyte Morphology and Volume in Controlling Phenotype—Implications for Osteoarthritis, Cartilage Repair, and Cartilage Engineering. Curr. Rheumatol. Rep. 2019, 21, 38. [Google Scholar] [CrossRef]
- Everhart, J.S.; Abouljoud, M.M.; Kirven, J.C.; Flanigan, D.C. Full-Thickness Cartilage Defects Are Important Independent Predictive Factors for Progression to Total Knee Arthroplasty in Older Adults with Minimal to Moderate Osteoarthritis: Data from the Osteoarthritis Initiative. J. Bone Jt. Surg.—Am. Vol. 2019, 101, 56–63. [Google Scholar] [CrossRef]
- He, Y.; Li, Z.; Alexander, P.G.; Ocasio-Nieves, B.D.; Yocum, L.; Lin, H.; Tuan, R.S. Pathogenesis of Osteoarthritis: Risk Factors, Regulatory Pathways in Chondrocytes, and Experimental Models. Biology 2020, 9, 194. [Google Scholar] [CrossRef]
- Vyas, J.; Raytthatha, N.; Vyas, P.; Prajapati, B.G.; Uttayarat, P.; Singh, S.; Chittasupho, C. Biomaterial-Based Additive Manufactured Composite/Scaffolds for Tissue Engineering and Regenerative Medicine: A Comprehensive Review. Polymers 2025, 17, 1090. [Google Scholar] [CrossRef]
- Rojas-Murillo, J.A.J.A.; Simental-Mendía, M.A.M.A.; Moncada-Saucedo, N.K.N.K.; Delgado-Gonzalez, P.; Islas, J.F.J.F.; Roacho-Pérez, J.A.J.A.; Garza-Treviño, E.N.E.N. Physical, Mechanical, and Biological Properties of Fibrin Scaffolds for Cartilage Repair. Int. J. Mol. Sci. 2022, 23, 9879. [Google Scholar] [CrossRef]
- Huang, J.; Xiong, J.; Wang, D.; Zhang, J.; Yang, L.; Sun, S.; Liang, Y. 3D Bioprinting of Hydrogels for Cartilage Tissue Engineering. Gels 2021, 7, 144. [Google Scholar] [CrossRef] [PubMed]
- Rajabi, N.; Rezaei, A.; Kharaziha, M.; Bakhsheshi-Rad, H.R.; Luo, H.; Ramakrishna, S.; Berto, F. Recent Advances on Bioprinted Gelatin Methacrylate-Based Hydrogels for Tissue Repair. Tissue Eng. Part A 2021, 27, 679–702. [Google Scholar] [CrossRef] [PubMed]
- Jorgensen, A.M.; Chou, Z.; Gillispie, G.; Lee, S.J.; Yoo, J.J.; Soker, S.; Atala, A. Decellularized Skin Extracellular Matrix (DsECM) Improves the Physical and Biological Properties of Fibrinogen Hydrogel for Skin Bioprinting Applications. Nanomaterials 2020, 10, 1484. [Google Scholar] [CrossRef] [PubMed]
- Ma, H.; Zheng, L.; Yang, S.; Cheng, Y.Y.; Liu, T.; Wu, S.; Wang, H.; Zhang, J.; Song, K. Construction and Properties Detection of 3D Micro-Structure Scaffolds Base on Decellularized Sheep Kidney before and after Crosslinking. J. Biomater. Appl. 2023, 37, 1593–1604. [Google Scholar] [CrossRef]
- Hu, N.; Jiang, R.; Deng, Y.; Li, W.; Jiang, W.; Xu, N.; Wang, J.; Wen, J.; Gu, S. Periapical Lesion-Derived Decellularized Extracellular Matrix as a Potential Solution for Regenerative Endodontics. Regen. Biomater. 2024, 11, 10. [Google Scholar] [CrossRef]
- Fok, S.W.; Gresham, R.C.H.; Ryan, W.; Osipov, B.; Bahney, C.; Leach, J.K. Macromolecular Crowding and Decellularization Method Increase the Growth Factor Binding Potential of Cell-Secreted Extracellular Matrices. Front. Bioeng. Biotechnol. 2023, 11, 1091157. [Google Scholar] [CrossRef]
- Ramos-Rodriguez, D.H.; Leach, J.K. Decellularized Cell-Secreted Extracellular Matrices as Biomaterials for Tissue Engineering. Small Sci. 2025, 5, 2400335. [Google Scholar] [CrossRef]
- Lin, Z.; Rao, Z.; Chen, J.; Chu, H.; Zhou, J.; Yang, L.; Quan, D.; Bai, Y. Bioactive Decellularized Extracellular Matrix Hydrogel Microspheres Fabricated Using a Temperature-Controlling Microfluidic System. ACS Biomater. Sci. Eng. 2022, 8, 1644–1655. [Google Scholar] [CrossRef]
- de Melo, B.A.G.; Jodat, Y.A.; Cruz, E.M.; Benincasa, J.C.; Shin, S.R.; Porcionatto, M.A. Strategies to Use Fibrinogen as Bioink for 3D Bioprinting Fibrin-Based Soft and Hard Tissues. Acta Biomater. 2020, 117, 60–76. [Google Scholar] [CrossRef]
- Litvinov, R.I.; Pieters, M.; de Lange-Loots, Z.; Weisel, J.W. Fibrinogen and Fibrin. In Macromolecular Protein Complexes III: Structure and Function; Harris, J.R., Marles-Wright, J., Eds.; Springer: Berlin/Heidelberg, Germany, 2021; pp. 471–501. [Google Scholar]
- Park, C.H.; Woo, K.M. Fibrin-Based Biomaterial Applications in Tissue Engineering and Regenerative Medicine. Adv. Exp. Med. Biol. 2018, 1064, 253–261. [Google Scholar] [CrossRef]
- Lee, J.K.; Baek, J.; Grogan, S.P.; Koo, T.H.; D’Lima, D.D. Dialdehyde Starch Cross-Linked Collagen with Heparin Conjugation: Characterization and Feasibility Study for Osteochondral Tissue Repair. Gels 2025, 11, 850. [Google Scholar] [CrossRef] [PubMed]
- Chen, Z.; Du, C.; Liu, S.; Liu, J.; Yang, Y.; Dong, L.; Zhao, W.; Huang, W.; Lei, Y. Progress in Biomaterials Inspired by the Extracellular Matrix. Giant 2024, 19, 100323. [Google Scholar] [CrossRef]
- Liu, C.; Pei, M.; Li, Q.; Zhang, Y. Decellularized Extracellular Matrix Mediates Tissue Construction and Regeneration. Front. Med. 2021, 16, 56. [Google Scholar] [CrossRef] [PubMed]
- Zeng, J.; Huang, L.; Xiong, H.; Li, Q.; Wu, C.; Huang, Y.; Xie, H.; Shen, B. Injectable Decellularized Cartilage Matrix Hydrogel Encapsulating Urine-Derived Stem Cells for Immunomodulatory and Cartilage Defect Regeneration. npj Regen. Med. 2022, 7, 75. [Google Scholar] [CrossRef]
- Wang, Y.; Xu, Y.; Zhou, G.; Liu, Y.; Cao, Y. Biological Evaluation of Acellular Cartilaginous and Dermal Matrixes as Tissue Engineering Scaffolds for Cartilage Regeneration. Front. Cell Dev. Biol. 2021, 8, 624337. [Google Scholar] [CrossRef]
- Jia, L.; Zhang, P.; Ci, Z.; Hao, X.; Bai, B.; Zhang, W.; Jiang, H.; Zhou, G. Acellular Cartilage Matrix Biomimetic Scaffold with Immediate Enrichment of Autologous Bone Marrow Mononuclear Cells to Repair Articular Cartilage Defects. Mater. Today Bio 2022, 15, 100310. [Google Scholar] [CrossRef]
- Chang, C.H.; Chen, C.C.; Liao, C.H.; Lin, F.H.; Hsu, Y.M.; Fang, H.W. Human Acellular Cartilage Matrix Powders as a Biological Scaffold for Cartilage Tissue Engineering with Synovium-Derived Mesenchymal Stem Cells. J. Biomed. Mater. Res. A 2014, 102, 2248–2257. [Google Scholar] [CrossRef]
- Nogami, M.; Kimura, T.; Seki, S.; Matsui, Y.; Yoshida, T.; Koike-Soko, C.; Okabe, M.; Motomura, H.; Gejo, R.; Nikaido, T. A Human Amnion-Derived Extracellular Matrix-Coated Cell-Free Scaffold for Cartilage Repair: In Vitro and In Vivo Studies. Tissue Eng. Part A 2016, 22, 680–688. [Google Scholar] [CrossRef]
- Leal-Marin, S.; Kern, T.; Hofmann, N.; Pogozhykh, O.; Framme, C.; Börgel, M.; Figueiredo, C.; Glasmacher, B.; Gryshkov, O. Human Amniotic Membrane: A Review on Tissue Engineering, Application, and Storage. J. Biomed. Mater. Res. B Appl. Biomater. 2021, 109, 1198–1215. [Google Scholar] [CrossRef]
- Cao, L.; Tong, Y.; Wang, X.; Zhang, Q.; Qi, Y.; Zhou, C.; Yu, X.; Wu, Y.; Miao, X. Effect of Amniotic Membrane/Collagen-Based Scaffolds on the Chondrogenic Differentiation of Adipose-Derived Stem Cells and Cartilage Repair. Front. Cell Dev. Biol. 2021, 9, 3169. [Google Scholar] [CrossRef]
- Pérez-Silos, V.; Moncada-Saucedo, N.K.; Peña-Martínez, V.; Lara-Arias, J.; Marino-Martínez, I.A.; Camacho, A.; Romero-Díaz, V.J.; Banda, M.L.; García-Ruiz, A.; Soto-Dominguez, A.; et al. A Cellularized Biphasic Implant Based on a Bioactive Silk Fibroin Promotes Integration and Tissue Organization during Osteochondral Defect Repair in a Porcine Model. Int. J. Mol. Sci. 2019, 20, 5145. [Google Scholar] [CrossRef] [PubMed]
- Abd Halim, N.F.A.; Ab Aziz, A.; Tan, S.L.; Selvaratnam, V.; Kamarul, T. A Systematic Review of Human Amnion Enhanced Cartilage Regeneration in Full-Thickness Cartilage Defects. Biomimetics 2024, 9, 383. [Google Scholar] [CrossRef] [PubMed]
- Ballesteros, A.C.V.; Puello, H.R.S.; Lopez-Garcia, J.A.; Bernal-Ballen, A.; Mosquera, D.L.N.; Forero, D.M.M.; Charry, J.S.S.; Bejarano, Y.A.N. Bovine Decellularized Amniotic Membrane: Extracellular Matrix as Scaffold for Mammalian Skin. Polymers 2020, 12, 590. [Google Scholar] [CrossRef] [PubMed]
- Ching, P.C.O.; Chen, F.H.; Lin, I.H.; Tran, D.T.; Tayo, L.L.; Yeh, M.L. Evaluation of Articular Cartilage Regeneration Properties of Decellularized Cartilage Powder/Modified Hyaluronic Acid Hydrogel Scaffolds. ACS Omega 2024, 9, 33629–33642. [Google Scholar] [CrossRef]
- Drury, J.L.; Mooney, D.J. Hydrogels for Tissue Engineering: Scaffold Design Variables and Applications. Biomaterials 2003, 24, 4337–4351. [Google Scholar] [CrossRef]
- Bhattacharjee, M.; Ivirico, J.L.E.; Kan, H.M.; Bordett, R.; Pandey, R.; Otsuka, T.; Nair, L.S.; Laurencin, C.T. Preparation and Characterization of Amnion Hydrogel and Its Synergistic Effect with Adipose Derived Stem Cells towards IL1β Activated Chondrocytes. Sci. Rep. 2020, 10, 18751. [Google Scholar] [CrossRef]
- Chung, C.; Massee, M.; Koob, T.J. Human Amniotic Membrane Modulates Wnt/β-Catenin and NF-Κβ Signaling Pathways in Articular Chondrocytes In Vitro. Osteoarthr. Cart. Open 2021, 3, 100211. [Google Scholar] [CrossRef]
- Boucard, E.; Vidal, L.; Coulon, F.; Mota, C.; Hascoët, J.Y.; Halary, F. The Degradation of Gelatin/Alginate/Fibrin Hydrogels Is Cell Type Dependent and Can Be Modulated by Targeting Fibrinolysis. Front. Bioeng. Biotechnol. 2022, 10, 920929. [Google Scholar] [CrossRef]
- Xie, X.; Wu, S.; Mou, S.; Guo, N.; Wang, Z.; Sun, J. Microtissue-Based Bioink as a Chondrocyte Microshelter for DLP Bioprinting. Adv. Heal. Mater. 2022, 11, 2201877. [Google Scholar] [CrossRef]
- Mao, Y.; Block, T.; Singh-Varma, A.; Sheldrake, A.; Leeth, R.; Griffey, S.; Kohn, J. Extracellular Matrix Derived from Chondrocytes Promotes Rapid Expansion of Human Primary Chondrocytes In Vitro with Reduced Dedifferentiation. Acta Biomater. 2019, 85, 75–83. [Google Scholar] [CrossRef]
- Eyrich, D.; Brandl, F.; Appel, B.; Wiese, H.; Maier, G.; Wenzel, M.; Staudenmaier, R.; Goepferich, A.; Blunk, T. Long-Term Stable Fibrin Gels for Cartilage Engineering. Biomaterials 2007, 28, 55–65. [Google Scholar] [CrossRef] [PubMed]
- Dufour, A.; Mallein-gerin, F.; Perrier-groult, E. Direct Perfusion Improves Redifferentiation of Human Chondrocytes in Fibrin Hydrogel with the Deposition of Cartilage Pericellular Matrix. Appl. Sci. 2021, 11, 8923. [Google Scholar] [CrossRef]
- Yeung, P.; Cheng, K.H.; Yan, C.H.; Chan, B.P. Collagen Microsphere Based 3D Culture System for Human Osteoarthritis Chondrocytes (HOACs). Sci. Rep. 2019, 9, 12453. [Google Scholar] [CrossRef] [PubMed]
- Zhou, G.; Zheng, Q.; Engin, F.; Munivez, E.; Chen, Y.; Sebald, E.; Krakow, D.; Lee, B. Dominance of SOX9 Function over RUNX2 during Skeletogenesis. Proc. Natl. Acad. Sci. USA 2006, 103, 19004. [Google Scholar] [CrossRef]
- Liang, Y.; Idrees, E.; Andrews, S.H.J.; Labib, K.; Szojka, A.; Kunze, M.; Burbank, A.D.; Mulet-Sierra, A.; Jomha, N.M.; Adesida, A.B. Plasticity of Human Meniscus Fibrochondrocytes: A Study on Effects of Mitotic Divisions and Oxygen Tension. Sci. Rep. 2017, 7, 12148. [Google Scholar] [CrossRef]
- Rikkers, M.; Levato, R.; Malda, J.; Vonk, L.A. Importance of Timing of Platelet Lysate-Supplementation in Expanding or Redifferentiating Human Chondrocytes for Chondrogenesis. Front. Bioeng. Biotechnol. 2020, 8, 542607. [Google Scholar] [CrossRef]
- Witt, A.; Salamon, A.; Boy, D.; Hansmann, D.; Büttner, A.; Wree, A.; Bader, R.; Jonitz-Heincke, A. Gene Expression Analysis of Growth Factor Receptors in Human Chondrocytes in Monolayer and 3D Pellet Cultures. Int. J. Mol. Med. 2017, 40, 10–20. [Google Scholar] [CrossRef]
- Alcaide-Ruggiero, L.; Cugat, R.; Domínguez, J.M. Proteoglycans in Articular Cartilage and Their Contribution to Chondral Injury and Repair Mechanisms. Int. J. Mol. Sci. 2023, 24, 10824. [Google Scholar] [CrossRef]
- Hayes, A.J.; Melrose, J. Aggrecan, the Primary Weight-Bearing Cartilage Proteoglycan, Has Context-Dependent, Cell-Directive Properties in Embryonic Development and Neurogenesis: Aggrecan Glycan Side Chain Modifications Convey Interactive Biodiversity. Biomolecules 2020, 10, 1244. [Google Scholar] [CrossRef]
- Alberton, P.; Dugonitsch, H.C.; Hartmann, B.; Li, P.; Farkas, Z.; Saller, M.M.; Clausen-Schaumann, H.; Aszodi, A. Aggrecan Hypomorphism Compromises Articular Cartilage Biomechanical Properties and Is Associated with Increased Incidence of Spontaneous Osteoarthritis. Int. J. Mol. Sci. 2019, 20, 1008. [Google Scholar] [CrossRef]
- Komori, T. Regulation of Proliferation, Differentiation and Functions of Osteoblasts by Runx2. Int. J. Mol. Sci. 2019, 20, 1694. [Google Scholar] [CrossRef]
- Qin, X.; Jiang, Q.; Nagano, K.; Moriishi, T.; Miyazaki, T.; Komori, H.; Ito, K.; von der Mark, K.; Sakane, C.; Kaneko, H.; et al. Runx2 Is Essential for the Transdifferentiation of Chondrocytes into Osteoblasts. PLoS Genet. 2020, 16, e1009169. [Google Scholar] [CrossRef] [PubMed]
- Vega, R.B.; Matsuda, K.; Oh, J.; Barbosa, A.C.; Yang, X.; Meadows, E.; McAnally, J.; Pomajzl, C.; Shelton, J.M.; Richardson, J.A.; et al. Histone Deacetylase 4 Controls Chondrocyte Hypertrophy during Skeletogenesis. Cell 2004, 119, 555–566. [Google Scholar] [CrossRef] [PubMed]
- Hu, X.; Wu, Z.; Zhang, Z.; Yao, H.; Wang, D.A. Type II Collagen Scaffolds for Tissue Engineering. Commun. Mater. 2024, 5, 149. [Google Scholar] [CrossRef]
- Armiento, A.R.; Alini, M.; Stoddart, M.J. Articular Fibrocartilage—Why Does Hyaline Cartilage Fail to Repair? Adv. Drug Deliv. Rev. 2019, 146, 289–305. [Google Scholar] [CrossRef]
- Zheng, Q.; Zhou, G.; Morello, R.; Chen, Y.; Garcia-Rojas, X.; Lee, B. Type X Collagen Gene Regulation by Runx2 Contributes Directly to Its Hypertrophic Chondrocyte-Specific Expression In Vivo. J. Cell Biol. 2003, 162, 833–842. [Google Scholar] [CrossRef]
- Gu, J.; Lu, Y.; Li, F.; Qiao, L.; Wang, Q.; Li, N.; Borgia, J.A.; Deng, Y.; Lei, G.; Zheng, Q. Identification and Characterization of the Novel Col10a1 Regulatory Mechanism during Chondrocyte Hypertrophic Differentiation. Cell Death Dis. 2014, 5, e1469. [Google Scholar] [CrossRef]
- Shigley, C.; Trivedi, J.; Meghani, O.; Owens, B.D.; Jayasuriya, C.T. Suppressing Chondrocyte Hypertrophy to Build Better Cartilage. Bioengineering 2023, 10, 741. [Google Scholar] [CrossRef]
- Chen, S.; Fu, P.; Cong, R.; Wu, H.S.; Pei, M. Strategies to Minimize Hypertrophy in Cartilage Engineering and Regeneration. Genes Dis. 2015, 2, 76–95. [Google Scholar] [CrossRef]
- Almeida, H.V.; Eswaramoorthy, R.; Cunniffe, G.M.; Buckley, C.T.; O’Brien, F.J.; Kelly, D.J. Fibrin Hydrogels Functionalized with Cartilage Extracellular Matrix and Incorporating Freshly Isolated Stromal Cells as an Injectable for Cartilage Regeneration. Acta Biomater. 2016, 36, 55–62. [Google Scholar] [CrossRef]
- Goldberg-Bockhorn, E.; Wenzel, U.; Theodoraki, M.N.; Döscher, J.; Riepl, R.; Wigand, M.C.; Brunner, C.; Heßling, M.; Hoffmann, T.K.; Kern, J.; et al. Enhanced Cellular Migration and Prolonged Chondrogenic Differentiation in Decellularized Cartilage Scaffolds under Dynamic Culture Conditions. J. Tissue Eng. Regen. Med. 2022, 16, 36–50. [Google Scholar] [CrossRef] [PubMed]
- Cheng, N.C.; Estes, B.T.; Young, T.H.; Guilak, F. Engineered Cartilage Using Primary Chondrocytes Cultured in a Porous Cartilage-Derived Matrix. Regen. Med. 2011, 6, 81–93. [Google Scholar] [CrossRef] [PubMed]
- Lin, I.C.; Wang, T.J.; Wu, C.L.; Lu, D.H.; Chen, Y.R.; Yang, K.C. Chitosan-Cartilage Extracellular Matrix Hybrid Scaffold Induces Chondrogenic Differentiation to Adipose-Derived Stem Cells. Regen. Ther. 2020, 14, 238–244. [Google Scholar] [CrossRef] [PubMed]
- Hodder, E.; Guppy, F.; Covill, D.; Bush, P. The Effect of Hydrostatic Pressure on Proteoglycan Production in Articular Cartilage In Vitro: A Meta-Analysis. Osteoarthr. Cartil. 2020, 28, 1007–1019. [Google Scholar] [CrossRef]
- Ge, Y.; Li, Y.; Wang, Z.; Li, L.; Teng, H.; Jiang, Q. Effects of Mechanical Compression on Chondrogenesis of Human Synovium-Derived Mesenchymal Stem Cells in Agarose Hydrogel. Front. Bioeng. Biotechnol. 2021, 9, 697281. [Google Scholar] [CrossRef]
- Markway, B.D.; Cho, H.; Johnstone, B. Hypoxia Promotes Redifferentiation and Suppresses Markers of Hypertrophy and Degeneration in Both Healthy and Osteoarthritic Chondrocytes. Arthritis Res. Ther. 2013, 15, R92. [Google Scholar] [CrossRef]
- Sun, Y.; Yan, L.; Chen, S.; Pei, M. Functionality of Decellularized Matrix in Cartilage Regeneration: A Comparison of Tissue versus Cell Sources. Acta Biomater. 2018, 74, 56–73. [Google Scholar] [CrossRef]
- Bahney, C.S.; Hsu, C.-W.; Yoo, J.U.; West, J.L.; Johnstone, B. A Bioresponsive Hydrogel Tuned to Chondrogenesis of Human Mesenchymal Stem Cells. FASEB J. 2011, 25, 1486. [Google Scholar] [CrossRef]
- Bryant, S.J.; Anseth, K.S. Hydrogel Properties Influence ECM Production by Chondrocytes Photoencapsulated in Poly(Ethylene Glycol) Hydrogels. J. Biomed. Mater. Res. 2002, 59, 63–72. [Google Scholar] [CrossRef]
- Connelly, J.T.; Wilson, C.G.; Levenston, M.E. Characterization of Proteoglycan Production and Processing by Chondrocytes and BMSCs in Tissue Engineered Constructs. Osteoarthr. Cartil. 2008, 16, 1092–1100. [Google Scholar] [CrossRef]
- Matsiko, A.; Gleeson, J.P.; O’Brien, F.J. Scaffold Mean Pore Size Influences Mesenchymal Stem Cell Chondrogenic Differentiation and Matrix Deposition. Tissue Eng. Part A 2015, 21, 486–497. [Google Scholar] [CrossRef]
- Nicodemus, G.D.; Skaalure, S.C.; Bryant, S.J. Gel Structure Impacts Pericellular and Extracellular Matrix Deposition Which Subsequently Alters Metabolic Activities in Chondrocyte-Laden PEG Hydrogels. Acta Biomater. 2010, 7, 492. [Google Scholar] [CrossRef] [PubMed]
- Gao, T.; Boys, A.J.; Zhao, C.; Chan, K.; Estroff, L.A.; Bonassar, L.J. Non-Destructive Spatial Mapping of Glycosaminoglycan Loss in Native and Degraded Articular Cartilage Using Confocal Raman Microspectroscopy. Front. Bioeng. Biotechnol. 2021, 9, 744197. [Google Scholar] [CrossRef] [PubMed]
- Huang, J.; Bu, Z.; Liu, W.; Zhou, Z.; Hu, J.; Yu, J.; Wang, H.; Xu, S.; Wu, P. Cartilage Decellularized Matrix Hydrogel Loaded with Protocatechualdehyde for Targeted Epiphycan Treatment of Osteoarthritis. Mater. Today Bio 2024, 27, 101124. [Google Scholar] [CrossRef]
- Vincent, T.L.; McClurg, O.; Troeberg, L. The Extracellular Matrix of Articular Cartilage Controls the Bioavailability of Pericellular Matrix-Bound Growth Factors to Drive Tissue Homeostasis and Repair. Int. J. Mol. Sci. 2022, 23, 6003. [Google Scholar] [CrossRef] [PubMed]
- Hashemi-Afzal, F.; Fallahi, H.; Bagheri, F.; Collins, M.N.; Eslaminejad, M.B.; Seitz, H. Advancements in Hydrogel Design for Articular Cartilage Regeneration: A Comprehensive Review. Bioact. Mater. 2025, 43, 1–31. [Google Scholar] [CrossRef]
- Wang, N.; Lu, Y.; Rothrauff, B.B.; Zheng, A.; Lamb, A.; Yan, Y.; Lipa, K.E.; Lei, G.; Lin, H. Mechanotransduction Pathways in Articular Chondrocytes and the Emerging Role of Estrogen Receptor-α. Bone Res. 2023, 11, 13. [Google Scholar] [CrossRef]
- Nürnberger, S.; Schneider, C.; Keibl, C.; Schädl, B.; Heimel, P.; Monforte, X.; Teuschl, A.H.; Nalbach, M.; Thurner, P.J.; Grillari, J.; et al. Repopulation of Decellularised Articular Cartilage by Laser-Based Matrix Engraving. EBioMedicine 2021, 64, 103196. [Google Scholar] [CrossRef]
- Özdemir, E.; Emet, A.; Hashemihesar, R.; Yürüker, A.C.S.; Kılıç, E.; Uçkan Çetinkaya, D.; Turhan, E. Articular Cartilage Regeneration Utilizing Decellularized Human Placental Scaffold, Mesenchymal Stem Cells and Platelet Rich Plasma. Tissue Eng. Regen. Med. 2020, 17, 901–908. [Google Scholar] [CrossRef]
- Hu, J.C.; Athanasiou, K.A. A Self-Assembling Process in Articular Cartilage Tissue Engineering. Tissue Eng. 2006, 12, 969–979. [Google Scholar] [CrossRef]
- Bhumiratana, S.; Eton, R.E.; Oungoulian, S.R.; Wan, L.Q.; Ateshian, G.A.; Vunjak-Novakovic, G. Large, Stratified, and Mechanically Functional Human Cartilage Grown In Vitro by Mesenchymal Condensation. Proc. Natl. Acad. Sci. USA 2014, 111, 6940–6945. [Google Scholar] [CrossRef]





Disclaimer/Publisher’s Note: The statements, opinions and data contained in all publications are solely those of the individual author(s) and contributor(s) and not of MDPI and/or the editor(s). MDPI and/or the editor(s) disclaim responsibility for any injury to people or property resulting from any ideas, methods, instructions or products referred to in the content. |
© 2025 by the authors. Licensee MDPI, Basel, Switzerland. This article is an open access article distributed under the terms and conditions of the Creative Commons Attribution (CC BY) license.
Share and Cite
Rojas-Murillo, A.; de la Garza-Kalife, D.A.; Lara-Arias, J.; Leija-Gutiérrez, H.; Franco-Márquez, R.; Morales-Wong, D.L.; Vilchez-Cavazos, F.; Garza-Treviño, E.N.; Simental-Mendía, M. Bioengineered Tricomposite Hydrogel Enhances Chondrogenic Phenotype and Hyaline Matrix Formation in Human Chondrocytes. Gels 2026, 12, 35. https://doi.org/10.3390/gels12010035
Rojas-Murillo A, de la Garza-Kalife DA, Lara-Arias J, Leija-Gutiérrez H, Franco-Márquez R, Morales-Wong DL, Vilchez-Cavazos F, Garza-Treviño EN, Simental-Mendía M. Bioengineered Tricomposite Hydrogel Enhances Chondrogenic Phenotype and Hyaline Matrix Formation in Human Chondrocytes. Gels. 2026; 12(1):35. https://doi.org/10.3390/gels12010035
Chicago/Turabian StyleRojas-Murillo, Antonio, David Andrés de la Garza-Kalife, Jorge Lara-Arias, Héctor Leija-Gutiérrez, Rodolfo Franco-Márquez, Diana Laura Morales-Wong, Félix Vilchez-Cavazos, Elsa Nancy Garza-Treviño, and Mario Simental-Mendía. 2026. "Bioengineered Tricomposite Hydrogel Enhances Chondrogenic Phenotype and Hyaline Matrix Formation in Human Chondrocytes" Gels 12, no. 1: 35. https://doi.org/10.3390/gels12010035
APA StyleRojas-Murillo, A., de la Garza-Kalife, D. A., Lara-Arias, J., Leija-Gutiérrez, H., Franco-Márquez, R., Morales-Wong, D. L., Vilchez-Cavazos, F., Garza-Treviño, E. N., & Simental-Mendía, M. (2026). Bioengineered Tricomposite Hydrogel Enhances Chondrogenic Phenotype and Hyaline Matrix Formation in Human Chondrocytes. Gels, 12(1), 35. https://doi.org/10.3390/gels12010035

