Compound Salt-Based Coagulants for Tofu Gel Production: Balancing Quality and Protein Digestibility
Abstract
1. Introduction
2. Results and Discussion
2.1. Analysis of Soluble Protein Content in Soymilk and Soy Whey
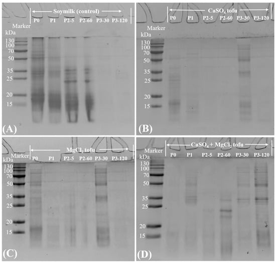
2.2. Electrophoresis Patterns of Soy Protein in Tofu and Soy Whey
2.3. Water-Holding Capacity and Cooking Loss
2.4. Textural Properties of Tofu
2.5. Protein Bioavailability in Tofu Digesta
2.6. Peptide and Total Amino Acid Contents Analysis
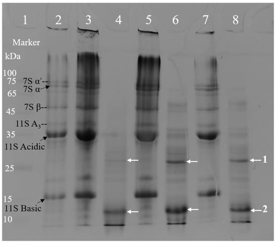
2.7. SDS-PAGE Analysis of the Tofu Digesta
3. Conclusions
4. Materials and Methods
4.1. Materials
4.2. Preparation of Soymilk and Tofu
4.3. Water-Holding Capacity Measurement
4.4. Determination of Cooking Loss
4.5. Texture Profile Analysis (TPA) of Tofu
4.6. In Vitro Gastrointestinal Digestion of Tofu
4.7. Determination of Soluble Protein Content
4.8. Determination of Low Peptide Content
4.9. Total Amino Acid Content Analysis
4.10. SDS-PAGE
4.11. Statistical Analysis
Author Contributions
Funding
Institutional Review Board Statement
Informed Consent Statement
Data Availability Statement
Conflicts of Interest
References
- Qin, P.; Wang, T.; Luo, Y. A review on plant-based proteins from soybean: Health benefits and soy product development. J. Agric. Food Res. 2022, 7, 100265. [Google Scholar] [CrossRef]
- Geng, Y.; Du, X.; Jia, R.; Zhu, Y.; Lu, Y.; Guan, X.; Hu, Y.; Zhu, X.; Zhang, M. Research progress on tofu coagulants and their coagulation mechanisms. Foods 2024, 13, 3475. [Google Scholar] [CrossRef] [PubMed]
- Obatolu, V.A. Effect of different coagulants on yield and quality of tofu from soymilk. Eur. Food Res. Technol. 2008, 226, 467–472. [Google Scholar] [CrossRef]
- Chen, J.; Tang, R.; Yang, W.; Xing, G. Novel insights into the effect of magnesium chloride or combined with glucono-δ-lactone on the quality of tofu. J. Food Meas. Charact. 2024, 18, 10109–10118. [Google Scholar] [CrossRef]
- Shi, W.; Zhang, T.; Xie, H.; Xing, B.; Wen, P.; Ouyang, K.; Xiao, F.; Guo, Q.; Xiong, H.; Zhao, Q. Characterization and in vitro digestibility of soybean tofu: Influence of the different kinds of coagulant. Food Chem. 2024, 450, 138984. [Google Scholar] [CrossRef]
- Zhao, H.; Li, W.; Qin, F.; Chen, J. Calcium sulphate-induced soya bean protein tofu-type gels: Influence of denaturation and particle size. Int. J. Food Sci. Technol. 2016, 51, 731–741. [Google Scholar] [CrossRef]
- Xin, Y.; Yan, X.; Shi, X.; Xiong, L.; Xiao, X.; Liu, K.; Chen, F. Impact of a Mg2+ emulsion coagulant on tofu’s gel characteristics. J. Food Eng. 2025, 387, 112281. [Google Scholar] [CrossRef]
- Zheng, L.; Regenstein, J.M.; Teng, F.; Li, Y. Tofu products: A review of their raw materials, processing conditions, and packaging. Compr. Rev. Food Sci. Food Saf. 2020, 19, 3683–3714. [Google Scholar] [CrossRef]
- Shi, Y.; Yang, Y.; Piekoszewski, W.; Zeng, J.; Guan, H.; Wang, B.; Liu, L.; Zhu, X.; Chen, F.; Zhang, N. Influence of four different coagulants on the physicochemical properties, textural characteristics and flavour of tofu. Int. J. Food Sci. Technol. 2020, 55, 1218–1229. [Google Scholar] [CrossRef]
- Zhao, Y.Y.; Cao, F.H.; Li, X.J.; Mu, D.D.; Zhong, X.Y.; Jiang, S.T.; Zheng, Z.; Luo, S.Z. Effects of different salts on the gelation behaviour and mechanical properties of citric acid-induced tofu. Int. J. Food Sci. Technol. 2020, 55, 785–794. [Google Scholar] [CrossRef]
- Wang, X.; Luo, K.; Liu, S.; Adhikari, B.; Chen, J. Improvement of gelation properties of soy protein isolate emulsion induced by calcium cooperated with magnesium. J. Food Eng. 2019, 244, 32–39. [Google Scholar] [CrossRef]
- Hertzler, S.R.; Lieblein-Boff, J.C.; Weiler, M.; Allgeier, C. Plant proteins: Assessing their nutritional quality and effects on health and physical function. Nutrients 2020, 12, 3704. [Google Scholar] [CrossRef] [PubMed]
- Guan, X.; Zhong, X.; Lu, Y.; Du, X.; Jia, R.; Li, H.; Zhang, M. Changes of soybean protein during tofu processing. Foods 2021, 10, 1594. [Google Scholar] [CrossRef] [PubMed]
- Fan, X.; Li, S.; Zhang, A.; Chang, H.; Zhao, X.; Lin, Y.; Feng, Z. Mechanism of change of the physicochemical characteristics, gelation process, water state, and microstructure of okara tofu analogues induced by high-intensity ultrasound treatment. Food Hydrocoll. 2021, 111, 106241. [Google Scholar] [CrossRef]
- Liu, J.; Yang, S.; Tang, R.; Yang, W.; Xing, G. Enhanced tofu quality through calcium sulfate and transglutaminase treatment: Physicochemical properties and digestibility analysis. Int. J. Food Sci. Technol. 2024, 59, 7610–7618. [Google Scholar] [CrossRef]
- Wang, X.; Zeng, M.; Qin, F.; Adhikari, B.; He, Z.; Chen, J. Enhanced CaSO4-induced gelation properties of soy protein isolate emulsion by pre-aggregation. Food Chem. 2018, 242, 459–465. [Google Scholar] [CrossRef]
- Chen, C.C.; Hsieh, J.F.; Kuo, M.I. Insight into the processing, gelation and functional components of tofu: A review. Processes 2023, 11, 202. [Google Scholar] [CrossRef]
- Hu, F.; Wang, L.; Bainto-Ancheta, L.; Ogawa, Y. Effects of matrix structure on protein digestibility and antioxidant property of different soybean curds during in vitro digestion. J. Agric. Food Chem. 2024, 72, 7364–7373. [Google Scholar] [CrossRef]
- Jiménez-Munoz, L.; Nielsen, M.T.; Roman, L.; Corredig, M. Variation of in vitro digestibility of pea protein powder dispersions from commercially available sources. Food Chem. 2023, 401, 134178. [Google Scholar] [CrossRef]
- Lou, M.; Ritzoulis, C.; Liu, J.; Zhang, X.; Han, J.; Liu, W. In vitro digestion of tofu with different textures using an artificial gastric digestive system. Food Res. Int. 2022, 157, 111458. [Google Scholar] [CrossRef]
- Murekatete, N.; Zhang, C.M.; Eric, K.; Hua, Y.F. Salt and acid-induced soft tofu-type gels: Rheology, structure and fractal analysis of viscoelastic properties as a function of coagulant concentration. Int. J. Food Eng. 2014, 10, 595–611. [Google Scholar]
- Rui, X.; Zhang, Q.; Huang, J.; Li, W.; Chen, X.; Jiang, M.; Dong, M. Does lactic fermentation influence soy yogurt protein digestibility: A comparative study between soymilk and soy yogurt at different pH. J. Sci. Food Agr. 2019, 99, 861–867. [Google Scholar] [CrossRef] [PubMed]
- Zhu, Y.; Lei, W.; Qiu, L.; Liu, S.; Guo, R.; Huang, Y.; Liu, L.; Lv, M.; Sun, B.; Qu, M.; et al. Effect of freezing-thawing treatment on the quality and structure of soymilk gels induced by different coagulants. Food Hydrocoll. 2024, 160, 110847. [Google Scholar] [CrossRef]
- Ud Din, J.; Li, H.; Li, Y.; Liu, X.; Al-Dalali, S. Conjugation of soybean proteins 7s/11s isolate with glucose/fructose in gels through wet-heating maillard reaction. Gels 2024, 10, 237. [Google Scholar] [CrossRef]
- Xu, Q.; Ritzoulis, C.; Han, J.; Han, F.; Jin, W.; Liu, W. Particle degradation and nutrient bioavailability of soybean milk during in vitro digestion. Food Biophys. 2021, 16, 58–69. [Google Scholar] [CrossRef]
- Cao, F.H.; Li, X.J.; Luo, S.Z.; Mu, D.D.; Zhong, X.Y.; Jiang, S.T.; Zheng, Z.; Zhao, Y.Y. Effects of organic acid coagulants on the physical properties of and chemical interactions in tofu. LWT-Food Sci. Technol. 2017, 85, 58–65. [Google Scholar] [CrossRef]
- Lan, Q.; Lin, Z.; Dong, H.; Wu, D.; Lin, D.; Qin, W.; Liu, J.; Yang, W.; Zhang, Q. Influence of okara with varying particle sizes on the gelling, rheological, and microstructural properties of glucono-δ-lactone-induced tofu. J. Food Sci. Technol. 2021, 58, 520–531. [Google Scholar] [CrossRef]
- Rui, X.; Fu, Y.; Zhang, Q.; Li, W.; Zare, F.; Chen, X.; Jiang, M.; Dong, M. A comparison study of bioaccessibility of soy protein gel induced by magnesium chloride, glucono-δ-lactone and microbial transglutaminase. LWT-Food Sci. Technol. 2016, 71, 234–242. [Google Scholar] [CrossRef]
- Hui, T.; Tang, T.; Gu, X.; Yuan, Z.; Xing, G. Comparison on protein bioaccessibility of soymilk gels induced by glucono-δ-lactone and lactic acid bacteria. Molecules 2022, 27, 6202. [Google Scholar] [CrossRef]
- Bradford, M.M. A rapid and sensitive method for the quantitation of microgram quantities of protein utilizing the principle of protein-dye binding. Anal. Biochem. 1976, 72, 248–254. [Google Scholar] [CrossRef]





| Type of Coagulant | Sample Type | Soluble Protein Concentration (mg/mL) 1 |
|---|---|---|
| CaSO4 | Soymilk Soy whey | 35.07 ± 0.18 A 3.32 ± 0.23 a |
| MgCl2 | Soymilk Soy whey | 34.44 ± 0.39 A 1.92 ± 0.02 b |
| CaSO4 + MgCl2 | Soymilk Soy whey | 34.51 ± 0.27 A 2.11 ± 0.08 b |
| Type of Coagulant | Hardness (g) | Springiness | Cohesiveness | Gumminess | Resilience 1 |
|---|---|---|---|---|---|
| CaSO4 | 214.33 ± 15.88 c | 0.98 ± 0.00 a | 0.84 ± 0.03 a | 180.17 ± 11.65 c | 0.54 ± 0.03 a |
| MgCl2 | 645.41 ± 57.75 b | 0.99 ± 0.00 a | 0.85 ± 0.02 a | 551.59 ± 51.60 b | 0.57 ± 0.03 a |
| CaSO4 + MgCl2 | 897.27 ± 56.13 a | 0.99 ± 0.00 a | 0.85 ± 0.01 a | 765.72 ± 47.24 a | 0.56 ± 0.00 a |
Disclaimer/Publisher’s Note: The statements, opinions and data contained in all publications are solely those of the individual author(s) and contributor(s) and not of MDPI and/or the editor(s). MDPI and/or the editor(s) disclaim responsibility for any injury to people or property resulting from any ideas, methods, instructions or products referred to in the content. |
© 2025 by the authors. Licensee MDPI, Basel, Switzerland. This article is an open access article distributed under the terms and conditions of the Creative Commons Attribution (CC BY) license (https://creativecommons.org/licenses/by/4.0/).
Share and Cite
Li, Z.; Zhang, S.; Gao, Z.; Guo, X.; Wang, R.; Zheng, M.; Xing, G. Compound Salt-Based Coagulants for Tofu Gel Production: Balancing Quality and Protein Digestibility. Gels 2025, 11, 524. https://doi.org/10.3390/gels11070524
Li Z, Zhang S, Gao Z, Guo X, Wang R, Zheng M, Xing G. Compound Salt-Based Coagulants for Tofu Gel Production: Balancing Quality and Protein Digestibility. Gels. 2025; 11(7):524. https://doi.org/10.3390/gels11070524
Chicago/Turabian StyleLi, Zhaolu, Sisi Zhang, Zihan Gao, Xinyue Guo, Ruohan Wang, Maoqiang Zheng, and Guangliang Xing. 2025. "Compound Salt-Based Coagulants for Tofu Gel Production: Balancing Quality and Protein Digestibility" Gels 11, no. 7: 524. https://doi.org/10.3390/gels11070524
APA StyleLi, Z., Zhang, S., Gao, Z., Guo, X., Wang, R., Zheng, M., & Xing, G. (2025). Compound Salt-Based Coagulants for Tofu Gel Production: Balancing Quality and Protein Digestibility. Gels, 11(7), 524. https://doi.org/10.3390/gels11070524

