You are currently viewing a new version of our website. To view the old version click .
Journal of Fungi
  • Article
  • Open Access

21 July 2022

Development of a Monoclonal Antibody and a Serodiagnostic Lateral-Flow Device Specific to Rhizopus arrhizus (Syn. R. oryzae), the Principal Global Agent of Mucormycosis in Humans

and
1
ISCA Diagnostics Ltd., B12A, Hatherly Laboratories, Prince of Wales Road, Exeter EX4 4PS, UK
2
MRC Centre for Medical Mycology, Geoffrey Pope Building, University of Exeter, Stocker Road, Exeter EX4 4QD, UK
*
Author to whom correspondence should be addressed.
This article belongs to the Special Issue Fungal Infections and COVID-19

Abstract

Mucormycosis is a highly aggressive angio-invasive disease of humans caused by fungi in the zygomycete order, Mucorales. Though a number of different species can cause mucormycosis, the principal agent of the disease worldwide is Rhizopus arrhizus, which accounts for the majority of rhino-orbital-cerebral, pulmonary, and disseminated infections in immunocompromised individuals. It is also the main cause of life-threatening infections in patients with poorly controlled diabetes mellitus, and in corticosteroid-treated patients with SARS-CoV-2 infection, where it causes the newly described disease, COVID-19-associated mucormycosis (CAM). Diagnosis currently relies on non-specific CT, a lengthy and insensitive culture from invasive biopsy, and a time-consuming histopathology of tissue samples. At present, there are no rapid antigen tests for the disease that detect biomarkers of infection, and which allow point-of-care diagnosis. Here, we report the development of an IgG1 monoclonal antibody (mAb), KC9, which is specific to Rhizopus arrhizus var. arrhizus (syn. Rhizopus oryzae) and Rhizopus arrhizus var. delemar (Rhizopus delemar), and which binds to a 15 kDa extracellular polysaccharide (EPS) antigen secreted during hyphal growth of the pathogen. Using the mAb, we have developed a competitive lateral-flow device (LFD) that allows rapid (30 min) and sensitive (~50 ng/mL running buffer) detection of the EPS biomarker, and which is compatible with human serum (limit of detection of ~500 ng/mL) and bronchoalveolar lavage fluid (limit of detection of ~100 ng/mL). The LFD, therefore, provides a potential novel opportunity for the non-invasive detection of mucormycosis caused by Rhizopus arrhizus.

1. Introduction

Mucormycosis is a rare, but highly aggressive, angio-invasive disease of humans caused by fungi in the zygomycete order Mucorales, and is the second most important mould disease of humans after aspergillosis [1]. Of the more than 20 species of mucoralean fungi known to cause infections in humans [1], Rhizopus arrhizus (synonym, Rhizopus oryzae) is responsible for the majority of life-threatening infections worldwide in both paediatric and adult populations [2,3,4,5,6,7,8,9,10,11]. It accounts for ~90% of cases of rhino-orbital-cerebral mucormycosis (ROCM), especially in those with poorly controlled diabetes mellitus and ketoacidosis [5,9,10,12,13,14,15,16,17,18,19,20,21,22,23], but also in ostensibly immunocompetent individuals [24,25,26]. In addition, it is the leading cause (~70% of all cases) of pulmonary, gastrointestinal, cutaneous, and sub-cutaneous disseminated mucormycosis in immunocompromised individuals with haematological malignancies, solid organ and stem cell transplant recipients, and those receiving high-dose intravenous corticosteroids [7,9,26,27,28,29,30,31,32,33,34,35,36,37,38,39,40,41,42,43,44,45,46,47]. The fungus has emerged as the cause of necrotising super-infections in patients with severe influenza and with SARS-CoV-2 [46,48,49,50,51,52,53,54,55,56,57], and is a major contributor to the more than 50,000 cases and over 4000 deaths from COVID-19-associated mucormycosis (CAM) in India and elsewhere since the outbreak of the coronavirus pandemic in 2020 [57,58,59,60,61,62,63,64,65,66,67]. Many patients who have survived infections (known erroneously as black fungus disease due to the associated tissue necrosis) have been left with severe facial disfigurements or blindness due to soft tissue and bone damage following rhino-orbital infection, or as the result of the aggressive surgery needed to stem infections.
Mucormycosis is associated with high rates of mortality, particularly in low- and middle-income countries [61,66,67,68], with an overall all-cause mortality rate of 54% [10], driven by slow diagnosis and delayed treatment with Mucorales-active antifungal drugs [65]. Given the current difficulties in the early detection of the disease [69], exacerbated by non-specific radiological indicators in computed tomography and magnetic resonance imaging, the insensitivity of culture from patient biopsy, the time-consuming and challenging nature of histopathology, and the lack of serological indicators of infection [66,70,71,72], a simple and rapid biomarker test for R. arrhizus infection is desirable. Lateral-flow technology is ideally suited to resource-limited settings [73], where the cost and complexity of more sophisticated diagnostic modalities for mucormycosis, such as MALDI-TOF [74] and PCR [reviewed in 71], hinder point-of-care detection of the disease.
In this paper, we describe the development of a murine monoclonal antibody and a competitive lateral-flow device (LFD) specific to Rhizopus arrhizus, the principal global agent of mucormycosis in humans. We show that the test, when combined with a cube reader, has a limit of detection of ~50 ng R. arrhizus EPS/mL, and can be used to detect the biomarker in human serum and bronchoalveolar lavage fluid (BALf). This is the first time, to the best of our knowledge, that a mAb specific to R. arrhizus has been developed and used in a rapid point-of-care test (POCT) for the detection of this life-threatening pathogen.

2. Materials and Methods

2.1. Ethics Statement

The hybridoma work described in this study was conducted under a UK Home Office Project Licence, and was reviewed by the institution’s Animal Welfare Ethical Review Board (AWERB) for approval. The work was carried out in accordance with The Animals (Scientific Procedures) Act 1986 Directive 2010/63/EU, and followed all the Codes of Practice which reinforce this law, including all elements of housing, care, and euthanasia of the animals.

2.2. Fungal Culture

Fungi (Table 1) were routinely cultured on potato dextrose agar (PDA; P2182, Sigma, St. Louis, MO, USA). The medium was autoclaved 121 °C for 15 min prior to use, and fungi were grown at 30 °C or 37 °C under a 16 h fluorescent light regime to stimulate sporulation. To induce sporulation in Apophysomyces spp., the fungi were grown on autoclaved Czapek Dox agar (CDA; 70185, Sigma) at 37 °C. To induce the sporulation of Saksenaea vasiformis, the method of Padhye and Ajello [75] was used.
Table 1. Details of fungi used in this study, and specificity of mAb KC9 in direct ELISA tests of 48-h-old culture filtrates of related and unrelated fungi.

2.3. Production of Hybridomas and Screening by ELISA

Extracellular polysaccharides (EPS) were prepared using a proprietary purification method from culture filtrates of fungi grown for 6 d at 30 °C with shaking (100 rpm) in YNB + G medium (YNB; 51483, Sigma containing 3% (wt:vol) glucose) inoculated with 5 × 103 spores/mL. For hybridoma production, the immunogen comprised a 1 mg/mL solution of EPS from Rhizopus arrhizus var. arrhizus (strain CBS112.07). Six-week-old BALB/c white mice were each given four intra-peritoneal injections (300 µL per injection) of immunogen at 2-wk intervals, and a single booster injection 5 d before fusion. Hybridoma cells were produced by the method described elsewhere [76], and monoclonal antibody (mAb)-producing clones were identified in indirect ELISA tests by using 20 μg EPS/mL phosphate-buffered saline (PBS; 137 mM NaCl, 2.7 mM KCl, 8 mM Na2HPO4, 1.5 mM KH2PO4 (pH 7.2)) immobilised to the wells of Maxisorp microtiter plates (Nunc) at 50 µL/well. The wells containing the immobilised antigen were incubated with 50 µL of mAb hybridoma tissue culture supernatant (TCS) for 1 h; after which, the wells were washed three times, for 5 min each, with PBST (PBS containing 0.05% (vol:vol) Tween-20). Goat anti-mouse polyvalent immunoglobulin (G, A, M) peroxidase conjugate (A0412, Sigma), diluted 1:1000 in PBST, was added to the wells and incubated for a further hour. The plates were washed with PBST as described, given a final 5 min wash with PBS, and bound antibody was visualised by incubating the wells with tetramethyl benzidine (TMB) substrate solution [76] for 30 min; after which, the reactions were stopped by the addition of 3 M H2SO4. Absorbance values were determined at 450 nm using a microplate reader (Tecan GENios, Tecan Austria GmbH, Grödig, Austria). Control wells were incubated with tissue culture medium (TCM) containing 10% (v/v) foetal bovine serum (FBS; FCS-SA, Biosera, Labtech International, Heathfield, UK) only. All incubation steps were performed at 23 °C in sealed plastic bags. The threshold for the detection of the antigen in ELISA was determined from control means (2 × TCM absorbance values). These values were consistently in the range of 0.050–0.100. Consequently, absorbance values ≥ 0.100 were considered as positive for the detection of the antigen.

2.4. Determination of Ig Class and Sub-Cloning Procedure

The Ig class of mAbs was determined by using antigen-mediated ELISA [76]. The wells of microtiter plates coated with 20 μg EPS/mL PBS were incubated successively with hybridoma TCS for 1 h, followed by goat anti-mouse IgG1, IgG2a, IgG2b, IgG3, IgM, or IgA-specific antiserum (ISO-2, Merck Life Science UK Ltd., Gillingham, UK), diluted 1:3000 in PBST for 30 min; and rabbit anti-goat peroxidase conjugate (A5420, Sigma), diluted 1:1000 for a further 30 min. The bound antibody was visualised with TMB substrate as described. Hybridoma cell lines were sub-cloned three times by limiting dilution, and cell lines were grown in bulk in a non-selective medium, preserved by slowly freezing in FBS/dimethyl sulfoxide (92:8 vol:vol), and stored in liquid N2.

2.5. Production of Rabbit Antiserum

Antiserum was generated in rabbits immunised with purified EPS from R. arrhizus var. arrhizus CBS112.07. The immunisations were carried out by Eurogentec (Seraing, Belgium) following an 87-d immunisation regimen, with animals immunised on days 0, 14, 28, and 56. Final bleeds were taken on day 87, and the serum was harvested for purification.

2.6. Antibody Purification and Enzyme Conjugation

The hybridoma TCS of mAb KC9 was harvested by centrifugation at 2147× g for 40 min at 4 °C, followed by filtration through a 0.8 μM cellulose acetate filter (10462240, GE Healthcare Life Sciences, Amersham, UK). The culture supernatant was loaded onto a HiTrap Protein A column (17-0402-01, GE Healthcare Life Sciences) using a peristaltic pump P-1 (18-1110-91, GE Healthcare Life Sciences) with a low pulsation flow of 1 mL/min. The columns were equilibrated with 10 mL of PBS, and the column-bound antibody was eluted with 5 mL of 0.1 M glycine-HCl buffer (pH 2.5) with a flow rate of 0.5 mL/min. The buffer of the purified antibody was exchanged to PBS using a disposable PD-10 desalting column (17-0851-01, GE Healthcare Life Sciences). Following purification, the antibody was sterile-filtered with a 0.24 µm syringe filter (85037-574-44, Sartorius UK Ltd., Epsom, UK), and stored at 4 °C. The rabbit antiserum, SK0078, was similarly purified using Protein G. Protein concentrations were determined using a NanoDrop spectrophotometer with the protein concentrations calculated using the mass extinction coefficient of 13.7 at 280 nm for a 1% (10 mg/mL) IgG solution. Antibody purity was confirmed by SDS-PAGE and gel staining using Coomassie Brilliant Blue R-250 dye (Thermo Fisher Scientific UK Ltd., Loughborough, UK). Protein-A-purified mAb KC9 or pAb SK0078 were conjugated to horseradish peroxidase (HRP) for ELISA studies using a Lightning-Link horseradish peroxidase conjugation kit (701-0000; Bio-Techne Ltd., Abingdon, UK), or to alkaline phosphatase (AKP) for western blotting studies using a Lightning-Link alkaline phosphatase conjugation kit (702-0010; Bio-Techne Ltd.).

2.7. Antibody Specificity Tests

For antibody specificity tests, fungi were grown for 48 h at 30 °C in YNB + G liquid medium with shaking (100 rpm). The culture fluids were filtered through a Miracloth, and filtrates were double diluted in PBS in the wells of microtiter plates. The wells containing immobilised antigens were washed, dried, and assayed by direct ELISA using KC9-HRP and SK0078-HRP conjugates at 1:5000 and 1:1000, respectively.

2.8. Epitope Characterisation by Heat and Periodate Oxidation

The heat stability of the KC9 epitope was determined by heating EPS from the R. arrhizus var. arrhizus strain, CBS112.07, at a concentration of 20 μg/mL PBS in a boiling water bath. At 10 min intervals, 50 μL volumes were removed, and, after cooling, were transferred to the wells of microtiter plates for assay by direct ELISA using mAb KC9 conjugated to HRP (KC9-HRP) at a concentration of 1:5000 in PBST. For periodate oxidation, microtitre wells containing immobilised EPS at 20 μg/mL PBS were incubated with 50 μL of sodium meta-periodate solution (20 mM NaIO4 in 50 mM sodium acetate buffer (pH4.5)) or acetate buffer only (control) for 24, 4, 3, 2, 1, or 0 h at 4 °C in sealed plastic bags. The plates were given four 3-min PBS washes before processing by direct ELISA.

2.9. Polyacrylamide Gel Electrophoresis and Western Blotting

Sodium-dodecyl-sulphate-polyacrylamide gel electrophoresis (SDS-PAGE) was carried out using 4–20% gradient polyacrylamide gels (161-1159, Bio-Rad, Hercules, CA, USA) under denaturing conditions. The antigens were separated electrophoretically at 165 V, and pre-stained markers (161-0318, Bio-Rad) were used for molecular weight determinations. For western blotting, the separated antigens were transferred electrophoretically onto a PVDF membrane (162-0175, Bio-Rad) for 2 h at 75 V, and the membrane was blocked for 16 h at 4 °C in PBS containing 1% (wt:vol) BSA. The blocked membranes were incubated with KC9-AKP or SK0078-AKP conjugates, diluted 1:15,000 or 1:5000, respectively, in PBS containing 0.5% (wt:vol) BSA (PBSA) for 2 h at 23 °C. The membranes were washed three times with PBS and once with PBST, and the bound antibody was visualised by incubation in the substrate solution [76]. The reactions were stopped by immersing membranes in dH2O, and the membranes were then air dried between sheets of Whatman filter paper.

2.10. Competitive Lateral-Flow Device

The competitive lateral-flow device (LFD) was manufactured by Lateral Dx (Alloa, Scotland, UK). The test consisted of a Kenosha 75 mm backing card; Ahlstrom 222 and 1281 top and sample pads, respectively; and a CN95 (12 μm) nitrocellulose membrane. The test (T) line consisted of EPS from the R. arrhizus var. arrhizus strain, CBS112.07, at a concentration of 0.2 mg/mL, whereas the internal test control (C) line consisted of goat anti-mouse IgG (Arista Biologicals) at a concentration of 0.25 mg/mL.

2.11. LFD Specificity and Sensitivity

The specificity of the LFD was determined using running buffer (PBS containing 0.1% (vol:vol) Tween-20) containing 100 μg/mL of purified EPS prepared from human-pathogenic mucoralean fungi (Apophysomyces variabilis (strain CBS658.93), Rhizopus arrhizus var. arrhizus (strain CBS112.07), Mucor circinelloides (strain B5-2), Cunninghamella bertholletiae (strain CBS115.80), Lichtheimia corymbifera (strain CBS109940), R. microsporus var. rhizopodiformis (strain CBS102277), Rhizopus oryzae (strain CBS 111233), and Rhizomucor pusillus (strain CBS120587)). The experimental control consisted of running the buffer only. A volume of 100 μL of the sample was mixed with 4 μL (equivalent to 7.5 GU) of a 1.5 μg/mL solution of KC9 antibody conjugated to colloidal gold, and was incubated at 23 °C for 10 min. The solution was then added to the LFD, and the results recorded as negative (both C and T lines visible) or positive (C line only) after 30 min.
The analytical limit of detection (LOD) of the LFD was determined using purified EPS from the R. arrhizus var. arrhizus strain, CBS112.07, diluted in running buffer, with the running buffer only acting as the experimental control. A volume of 100 μL of the sample was incubated with KC9-gold conjugate, and, as described, was added to the LFD, and the T and C line intensities were recorded after 30 min on a scale of 0–10 using a score card or as artificial units (a.u.) using a cube reader.

2.12. LFD Serum and Bronchoalveolar Lavage Fluid Tests

2.12.1. Spiked Serum

Normal serum from a healthy AB blood group male (Biosera) was spiked with purified EPS from the R. arrhizus var. arrhizus strain, CBS112.07, and was stored as aliquots at −20 °C prior to use. Upon thawing, 50 μL of spiked or control (unspiked) serum was mixed 1:2 (vol:vol) with PBS containing 0.5% Na2-EDTA, and was heated in a boiling water bath for 3 min. The heated mixture was centrifuged at 16,000× g for 5 min, the clear supernatant was mixed 1:1 (vol:vol) with PBS containing 0.2% (vol:vol) Tween-20, and the resultant 100 μL containing 80 μg/mL of EPS was incubated with KC9-gold conjugate as described. After 10 min, the solution was added to the LFD, and the test results were recorded as negative (both C and T lines visible) or positive (C line only) after 30 min. Separately, the LOD with spiked serum was determined using the cube reader, with normal (unspiked) serum acting as the control.

2.12.2. Spiked BALf

Normal BALf from a healthy 59-year-old male (BioIVT; HUMANBAL-0101312) was spiked with purified EPS from the R. arrhizus var. arrhizus strain, CBS112.07, and was stored as aliquots at −20 °C prior to use. Upon thawing, 50 μL spiked or control (unspiked) BALf was mixed 1:1 (vol:vol) with PBS containing 0.2% (vol:vol) Tween-20, and the resultant 100 μL containing 80 μg/mL of EPS was incubated with KC9-gold conjugate as described. After 10 min, the solution was added to the LFD, and the test results were recorded as negative (both C and T lines visible) or positive (C line only) after 30 min. Separately, the LOD with spiked BALf was determined using the cube reader, with normal (unspiked) BALf acting as the control.

2.13. Statistical Analysis

Numerical data were analysed using the statistical programme, Minitab (Minitab 16; Minitab, Coventry, UK). An analysis of variance (ANOVA) was used to compare means, and post hoc Tukey–Kramer analysis was then performed to determine the statistical significance.

3. Results

3.1. Production of Hybridomas and mAb Isotyping

Two hybridoma fusions were performed, and 686 hybridoma cell lines were tested in indirect ELISA for recognition of the immunogen. Forty cell-lines produced EPS-reactive antibodies, with all 40 producing mAbs of the immunoglobulin class, G1 (IgG1).

3.2. Antibody Specificities

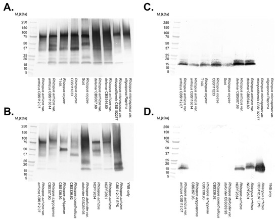
A preliminary study of antigen production by the R. arrhizus var. arrhizus strain, CBS112.07, in YNB + G shake culture showed that the KC9 antigen was secreted into the culture medium, and that its production plateaued after 48 h, coincident with a cessation in hyphal growth of the pathogen (Figure S1A,B). For this reason, the specificity of mAb KC9 was determined in western blotting (Figure 1) and direct ELISA (Table 1) studies using 48-h-old culture filtrates of fungi grown in a YNB + G shake culture. Unlike pAb SK0078, which reacts in western blots with antigens (molecular weights of between ~18 kDa to ~250 kDa) from all of the Rhizopus species tested (Figure 1A,B), mAb KC9 is specific to Rhizopus arrhizus var. arrhizus, Rhizopus arrhizus var. delemar, and Rhizopus oryzae (Figure 1C,D), binding to a single immuno-reactive band of ~15 kDa. Testing with mAb KC9 in direct ELISA against culture filtrates from other yeast and mould pathogens (Table 1) further demonstrated its species-specificity, with no cross-reaction of the mAb with related and unrelated human pathogens, including Aspergillus spp., Candida albicans, Cryptococcus neoformans, Fusarium spp., Scedosporium spp., and Lomentospora prolificans.
Figure 1. Western blots of culture filtrates from Rhizopus species using pAb SK0078 (A,B) and mAb KC9 (C,D). Though pAb SK0078 binds to antigens with molecular weights of between ~18 kDa to 250 kDa from all Rhizopus spp., mAb KC9 reacts with a single antigen of ~15 kDa, and is species-specific, reacting with different strains of Rhizopus arrhizus var. arrhizus, Rhizopus arrhizus var. delemar, and Rhizopus oryzae only. The positive control, comprising 20 μg of purified EPS from the R. arrhizus var. arrhizus strain, CBS112.07 (B,D), also yields a single KC9-reactive band of ~15 kDa, whereas the negative control, comprising YNB culture medium only, is negative both for pAbSK0078 and for mAb KC9.

3.3. Epitope Characterisation

The epitope bound by mAb KC9 is heat-stable, with no significant effect on mAb binding when heating the EPS antigen at 100 °C for 60 min (Figure S2A). The binding of mAb KC9 to its epitope is similarly insensitive to periodate oxidation (Figure S2B). Taken together, this shows that the KC9 epitope is a heat-stable, periodate-insensitive carbohydrate moiety.

3.4. Lateral-Flow Device

3.4.1. Specificity and Sensitivity

Using purified EPS from human-pathogenic mucoralean fungi, the LFD was shown to be species-specific, detecting Rhizopus arrhizus (syn. R. oryzae) only (Figure 2A). The species-specificity of mAb KC9 was further demonstrated by direct ELISA (Figure 2B) and western blot (Figure 2D) of the purified EPS preparations, with binding to the ~15 kDa antigen of Rhizopus arrhizus (R. oryzae) only. Unlike mAb KC9, pAb SK0078 reacted with all purified EPS preparations in both direct ELISA (Figure 2C) and western blot (Figure 2E), demonstrating the presence of immuno-reactive antigens of between ~18 kDa to ~250 kDa in all eight EPS preparations.
Figure 2. Specificity of the LFD. (A) Specificity of the LFD using 100 μg purified EPS/mL running buffer of the human-pathogenic mucoralean fungi, Apophysomyces variabilis (strain CBS658.93), Rhizopus arrhizus var. arrhizus (strain CBS112.07), Mucor circinelloides (strain B5-2), Cunninghamella bertholletiae (strain CBS115.80), Lichtheimia corymbifera (strain CBS109940), R. microsporus var. rhizopodiformis (strain CBS102277), Rhizopus oryzae (strain CBS 111233), and Rhizomucor pusillus (strain CBS120587). Species other than R. arrhizus var. arrhizus and R. oryzae had T lines similar to the control (running buffer only). EPS from R. arrhizus var. arrhizus and R. oryzae resulted in complete displacement of KC9-gold conjugate binding to the T line, demonstrating the species-specificity of the LFD. + indicates a positive test result, − indicates a negative test result. (B,C) ELISA of the purified EPS samples, showing specific binding of mAb KC9 to R. arrhizus var. arrhizus and R. oryzae (B), and broad reactivity of pAb SK0078 with all species (C). Each point is the mean of three replicates ± SE, and the threshold absorbance value for detection of antigen in ELISA is ≥0.100. (D,E) Western blots of the purified EPS samples, showing species-specific binding of mAb KC9 to an ~15 kDa antigen of R. arrhizus and R. oryzae (D), and the presence of pAb SK0078-reactive antigens (~15 kDa to ~250 kDa) in all samples (E). Each well contains 20 μg EPS.
The sensitivity of the LFD was determined using EPS from R. arrhizus var. arrhizus (CBS112.07) diluted into the running buffer. Using both a score card (Figure 3A) and a cube reader (Figure 3B), there were sequential and significant decreases in test (T) line intensities with increases in EPS concentrations between 0 μg EPS/mL (running buffer only) and 10 μg EPS/mL. Based on these results, the analytical limit of detection (LOD) was shown to be ~50 ng EPS/mL for the running buffer, using both scoring systems (Figure 3C,D).
Figure 3. (A) Visual score card used for determinations of LFD test (T) and control (C) line intensities, recorded on a scale of 0–10. (B) Cube reader used for determination of T and C line intensities, recorded as artificial units (a.u.); scale bar = 1.5 cm. (C,D) Sensitivities of the LFD using the visual score card and cube reader systems, respectively. Bars are the means of three replicates ± 2 × SE, and * indicates a significant difference (Student’s t-test (p < 0.05) of mean values compared to the control (running buffer only)). All samples had control (C) line scores of 8 using the score card, and >300 a.u. using the cube reader. (E) Detection of the EPS biomarker in human BALf and serum. Samples were spiked with purified EPS from R. arrhizus var. arrhizus (CBS112.07) to give a final concentration of 80 μg/mL. Note the displacement of the T line with spiked BALf and serum samples, indicating a positive (+) test result. Normal (unspiked) BALf and serum samples gave a negative (−) test result (T lines present).

3.4.2. LFD Serum and Bronchoalveolar Lavage Tests

The LFD is compatible with human serum and BALf (Figure 3E). Though serum required a quick and simple sample pre-treatment step with heat/EDTA prior to incubation with the running buffer, BALf could be mixed directly with the running buffer for incubation and addition to the test. Using the cube reader, the LOD with serum was determined to be ~500 ng/mL, whereas the LOD with BALf was ~100 ng/mL.

4. Discussion

In this paper, we describe the development and characterisation of a murine IgG1 monoclonal antibody (mAb), KC9, raised against an extracellular polysaccharide (EPS) antigen from Rhizopus arrhizus var. arrhizus (formerly Rhizopus oryzae), and the detection of the EPS biomarker using lateral-flow technology.
Though mAbs and rabbit antiserum have previously been developed against immunodominant antigens of Mucorales [77,78,79], the intracellular nature of the antigens limits their use to the immunohistochemistry of infected tissues [79]. For point-of-care diagnostics employing lateral-flow technology, extracellular antigens are needed that act as circulating biomarkers of infection [1]. Ideally, these should be produced during the active growth of a pathogen, and the target epitope should be sufficiently robust to allow the pre-treatment of bodily fluids, such as serum or BALf. Heat-stable carbohydrate (polysaccharide) antigens are ideal for this purpose, and form the basis of lateral-flow assays and enzyme-linked immunosorbent assays (ELISA) for the detection of invasive pulmonary aspergillosis [1]. The species-specific mAb KC9 described here binds to a heat-stable EPS antigen produced during the active growth of the pathogen, and, therefore, potentially during angio-invasive growth in humans. The ability of the target antigen to withstand treatment with heat and EDTA treatment makes it well-suited to serum- or BALf-based diagnosis of R. arrhizus. To this end, we have incorporated the mAb into a lateral-flow device (LFD), which, when combined with a simple and well-established sample pre-treatment step, can be used to detect the diagnostic signature molecule in human serum and BALf.
The current detection of infectious mucoralean fungi relies on sophisticated laboratory tests, including MALDI-TOF [74], PCR [reviewed in 71], or enzyme-linked immunospot (ELISpot) tests that detect Mucorales-specific T cells [80]. Though a 23 kDa R. arrhizus-specific protein has been detected in the serum of R. arrhizus-infected mice using polyclonal antibody-based ELISA [81,82], no mAb-based serodiagnostic lateral-flow tests currently exist for the specific detection of R. arrhizus. A mAb (2DA6) and a lateral-flow immunoassay (LFIA) have been developed that recognise Rhizopus oryzae, but the mAb lacks specificity, cross-reacting with an epitope on α-1,6 mannans conserved among human pathogenic yeasts and filamentous fungi, including Candida albicans and the angio-invasive moulds, Aspergillus, Fusarium, and Scedosporium [83]. Despite this, the LFIA was able to detect cell wall fucomannan in BALf, serum, and urine samples from diabetic ketoacidotic and neutropenic mice following intratracheal challenge with Rhizopus delemar, Lichtheimia corymbifera, Mucor circinelloides, and Cunninghamella bertholletiae, demonstrating the utility of carbohydrate biomarkers in the diagnosis of mucormycosis [84].
Cross-reactivity with other pathogenic moulds and yeasts is undesirable, especially in the setting of co-infections comprising R. arrhizus and Aspergillus, Exophiala, and Fusarium species [85,86,87,88,89], where discrimination of the infecting species is needed to optimise treatment with antifungal drugs, and to prevent breakthrough R. arrhizus infections [70,90]. The detection of mucormycosis is not possible using the pan-fungal (1→3)-β-d-glucan (BDG) test, since the Mucorales lack this carbohydrate in their cell walls [91]. However, it can be used to rule out invasive pulmonary aspergillosis [66], the most frequent differential diagnosis associated with mucormycosis [92]. When combined with the BDG test and more-specific immunoassays, such as the Aspergillus LFD and ELISA tests [1,91,93], the R. arrhizus-specific LFD described here might provide a useful and novel addition to the armamentaria needed for differential diagnosis of the first (aspergillosis) and second (mucormycosis) most common mould diseases of humans [92].
The R. arrhizus LFD is a competitive immunoassay which relies on a soluble antigen present in the patient sample (for example, serum and BALf), displacing binding of the gold-conjugated KC9 mAb to purified EPS present in the test line. The response is, therefore, negatively correlated to the analyte concentration (i.e., more analyte present, less signal; no analyte gives the highest signal). Competitive lateral-flow tests have found widespread applicability in medicine for the detection of cancer biomarkers and therapeutic drugs [94,95], in the detection of food- and water-borne pesticides and toxins [96,97], and in agriculture for the detection of plant pathogenic fungi [98]. The competitive format is ideally suited to low molecular weight antigens that possess a single antigenic determinant (epitope) for antibody binding. We chose the competitive LFD format, since we were unable to develop a sandwich LFD format using KC9 as both capture and detector species, or when used in combination with the rabbit antiserum, SK0078 (results not shown), indicating single epitope binding on the EPS antigen by mAb KC9.
In the competitive LFD format, mAb KC9 retained the species-specificity displayed in ELISA and western blotting studies, binding to EPS from R. arrhizus, but not to EPS from other related and unrelated Mucorales of clinical relevance [99]. Though sandwich LFD formats usually show a higher analytical sensitivity (picograms of analyte per mL) compared to the competitive format (nanograms per mL), an advantage of the competitive format is absence of false negative results associated with the ‘high-dose hook effect’ seen in sandwich tests [100]. The competitive LFD reported here has an analytical limit of detection (LOD) of ~50 ng EPS/mL of the running buffer, determined both by visual assessment using a score card and also using a cube reader. The use of the cube reader removes the subjective visual appraisal of test positivity by the operator, providing a simple digital readout. The importance of a digital readout has recently been demonstrated with the IMMY Aspergillus GM LFA, where visual appraisal of the GM LFA test result can lead to significant numbers of false-positive results, impacting the test specificity [101,102]. In the absence of widespread testing of the LFD, we are not able, at this stage, to determine the clinical relevance of the LOD of 50 ng/mL with the running buffer, ~500 ng/mL with serum, and ~100 ng/mL with BALf, even though these concentrations of antigens are similar to those reported in cattle with experimental systemic bovine zygomycosis [103], and are comparable to the sensitivities of sandwich LFDs for the detection of Aspergillus and Scedosporium carbohydrate antigens [1,104]. The test, therefore, requires validation in the clinic to determine its diagnostic utility in human disease detection. However, we have shown that the test is capable of detecting the diagnostic EPS biomarker in both human serum and human BALf. Furthermore, due to the heat stability of the KC9 antigen and epitope, we were able to employ a standardised serum pre-treatment step (EDTA and boiling) also used in the Aspergillus LFD test for serum and BALf testing [105], providing an opportunity to use the same treated sample on two different LFD platforms.
A disadvantage of the LFD is its inability to detect Mucorales other than R. arrhizus, such as Lichtheimia species, which are the second most important cause of mucormycosis in Europe after R. arrhizus [11,106,107] or Apophysomyces species and Rhizopus microsporus, which, alongside R. arrhizus, are important causes of COVID-19-associated mucormycosis [8,9,21,65,108,109]. To negate this, we have developed an Apophysomyces-specific mAb (JD4) and a pan-Mucorales-specific mAb (TG11) for incorporation into a multiplex LFD alongside KC9.

5. Trademark

The word, ZygoDx® (EU018696066 (pending)), is protected by ISCA Diagnostics Ltd. through the European Union Intellectual Property Office (EUIPO).

Supplementary Materials

The following are available online at https://www.mdpi.com/article/10.3390/jof8070756/s1, Figure S1: Production of the KC9 antigen by Rhizopus arrhizus var. arrhizus CBS112.07 grown at 37 oC in YNB+G shake culture. (A) Dry weights of the pathogen over the 5-day experimental period. (B) Direct ELISA of culture filtrates using mAb KC9. Each data point (A,B) is the mean of 2 replicates ± SE, and the threshold absorbance value for detection of antigen in ELISA (B) is ≥0.100; Figure S2: Heat and periodate stability of the KC9 epitope. (A) Effect of heat treatment on binding of mAb KC9 to EPS from R. arrhizus var. arrhizus strain CBS112.07. There was no significant effect on mAb binding over the 60 min period of heat treatment. (B) Effect of periodate oxidation on mAb binding to EPS from R. arrhizus var. arrhizus strain CBS112.07. There was no significant effect of periodate treatment (shaded bars) compared to the control (open bars) over the 22 h period of treatment. For both treatments, bars are the means of 3 replicates ± SE, and bars with the same letters are not significantly different at p < 0.05.

Author Contributions

Conceptualisation, C.R.T. and G.E.D.; methodology, C.R.T. and G.E.D.; investigation, C.R.T. and G.E.D.; formal analysis, G.E.D.; resources, C.R.T.; data curation, C.R.T. and G.E.D.; writing—original draft preparation, C.R.T.; writing, review and editing, C.R.T. and G.E.D.; supervision, C.R.T.; project administration, C.R.T.; funding acquisition, C.R.T. All authors have read and agreed to the published version of the manuscript.

Funding

This work was supported by ISCA Diagnostics Ltd. (project title: ZygoDx—A novel lateral-flow device for mucormycosis).

Institutional Review Board Statement

Not applicable.

Data Availability Statement

The data presented in this study are available on request from the corresponding author, but are not publicly available due to commercial confidentialities. Monoclonal antibody, KC9, and the LFD are available through ISCA Diagnostics Ltd.

Conflicts of Interest

CRT is a Director of ISCA Diagnostics Ltd. This manuscript does not have any potential conflict of interest with ISCA Diagnostics Ltd. The other authors declare no conflicts of interest.

References

  1. Thornton, C.R. Detection of the ‘big five’ mold killers of humans: Aspergillus, Fusarium, Lomentospora, Scedosporium and Mucormycetes. Adv. Appl. Microbiol. 2020, 110, 1–61. [Google Scholar] [PubMed]
  2. Alvarez, E.; Sutton, D.A.; Cano, J.; Fothergill, W.W.; Stchigel, A.; Rinaldi, M.G.; Guarro, J. The spectrum of zygomycete species identified in clinically significant specimens in the United States. J. Clin. Microbiol. 2009, 47, 1650–1656. [Google Scholar] [CrossRef] [PubMed] [Green Version]
  3. Bonifaz, A.; Tirado-Sánchez, A.; Calderón, L.; Romero-Cabello, R.; Kassack, J.; Ponce, R.M.; Mena, C.; Stchigel, A.; Cano, J.; Guarro, J. Mucormycosis in children: A study of 22 cases in a Mexican hospital. Mycoses 2014, 57, 79–84. [Google Scholar] [CrossRef] [PubMed] [Green Version]
  4. Chakrabarti, A.; Das, A.; Sharma, A.; Panda, N.; Das, S.; Gupta, K.L.; Sakhuja, V. Ten years’ experience in Zygomycosis at a tertiary care centre in India. J. Infect. 2001, 42, 261–266. [Google Scholar] [CrossRef]
  5. Diwakar, J.; Sammadar, A.; Konar, S.K.; Bhat, M.D.; Manuel, E.; Veenakumari, H.B.; Nandeesh, B.N.; Parveen, A.; Hajira, S.N.; Srinivas, D.; et al. First report of COVID-19-assciated rhino-orbital-cerebral mucormycosis in paediatric patients with type 1 diabetes mellitus. J. Med. Mycol. 2021, 31, 101203. [Google Scholar] [CrossRef]
  6. Francis, J.R.; Villanueva, P.; Bryant, P.; Blyth, C.C. Mucormycosis in children: Review and recommendations for management. J. Pediatr. Infect. Dis. Soc. 2018, 7, 159–164. [Google Scholar] [CrossRef]
  7. Prakash, H.; Chakrabarti, A. Global epidemiology of Mucormycosis. J. Fungi 2019, 5, 26. [Google Scholar] [CrossRef] [Green Version]
  8. Prakash, H.; Chakrabarti, A. Epidemiology of mucormycosis in India. Microorganisms 2021, 9, 523. [Google Scholar] [CrossRef]
  9. Prakash, H.; Ghosh, A.K.; Rudramurthy, S.M.; Singh, P.; Xess, I.; Savio, J.; Pamidimukkala, U.; Jillwin, J.; Varma, S.; Das, A.; et al. A prospective multicentre study on mucormycosis in India: Epidemiology, diagnosis, and treatment. Med. Mycol. 2019, 57, 395–402. [Google Scholar] [CrossRef]
  10. Roden, M.M.; Zaoutis, T.E.; Buchanan, W.L.; Knudsen, T.A.; Sarkisova, T.A.; Schaufele, R.L.; Sein, M.; Sein, T.; Chiou, C.C.; Chu, J.H. Epidemiology and outcome of zygomycosis: A review of 929 reported cases. Clin. Infect. Dis. 2005, 41, 634–653. [Google Scholar] [CrossRef] [Green Version]
  11. Skiada, A.; Pagano, L.; Groll, A.; Zimmerli, S.; Dupont, B.; Lagrou, K.; Lass-Florl, C.; Bouza, E.; Klimko, N.; Gaustad, P.; et al. Zygomycosis in Europe: Analysis of 230 cases accrued by the registry of the European Confederation of Medical Mycology (ECMM) Working Group on Zygomycosis between 2005 and 2007. Clin. Microbiol. Infect. 2011, 17, 1859–1867. [Google Scholar] [CrossRef] [PubMed] [Green Version]
  12. Almeida, G.; Cardoso, M.; Escada, P. Black fungus: Paranasal mucormycosis. BMJ 2021, 374, n1705. [Google Scholar] [CrossRef]
  13. Antoniadou, A. Outbreaks of zygomycosis in hospitals. Clin. Microbiol. Infect. 2009, 15, 55–59. [Google Scholar] [CrossRef] [Green Version]
  14. Chikley, A.; Ben-Ami, R.; Kontoyiannis, D.P. Mucormycosis of the central nervous system. J. Fungi 2019, 5, 59. [Google Scholar] [CrossRef] [Green Version]
  15. Corzo-León, D.E.; Chora-Hernández, L.D.; Rodríguez-Zulueta, A.P.; Walsh, T.J. Diabetes mellitus as the major risk factor for mucormycosis in Mexico: Epidemiology, diagnosis, and outcomes of reported cases. Med. Mycol. 2018, 56, 29–43. [Google Scholar] [CrossRef] [PubMed] [Green Version]
  16. Da Cuhna, M.A.; Nery, A.F.; Lima, F.P.; Diniz Junor, J.; Maciel Neto, J.; Calado, N.B.; Luz, K.G.; Milan, E.P. Rhinocerebral zygomycosis in a diabetic patient. Rev. Soc. Bras. Med. Trop. 2011, 44, 257–259. [Google Scholar]
  17. Erami, M.; Shams-Ghahfarokhi, M.; Jahanshiri, Z.; Sharif, A.; Razzaghi-Abyaneh, M. Rhinocerebral mucormycosis due to Rhizopus oryzae in a diabetic patient: A case report. J. Mycol. Med. 2013, 23, 123–129. [Google Scholar] [CrossRef]
  18. Feng, Y.-H.; Guo, W.-W.; Wang, Y.-R.; Shi, W.-X.; Liu, C.; Li, D.-M.; Qiu, Y.; Shi, D.-M. Rhinocerebral mucormycosis caused by Rhizopus oryzae in a patient with acute myeloid leukemia. World J. Dermatol. 2020, 8, 1–9. [Google Scholar] [CrossRef]
  19. Jiang, Y.; Lu, H. From the pharynx to the brain: A case of rapidly progressing mucormycosis. Mycopathologia 2019, 184, 797–798. [Google Scholar] [CrossRef]
  20. Miller, R.P.; Farrugi, L.; Leask, J.; Khalsa, K.; Khanna, N.; Melia, L. Successful treatment of Rhizopus arrhizus rhino-orbital-cerebral mucormycosis with isavuconazole salvage therapy following extensive debridement. Med. Mycol. Case Rep. 2021, 32, 39–42. [Google Scholar] [CrossRef]
  21. Patel, A.; Kaur, H.; Xess, I.; Michael, J.S.; Savio, J.; Rudramurthy, S.; Singh, R.; Shastri, P.; Umabala, P.; Sardana, R.; et al. A multicentre observational study on the epidemiology, risk factors, management and outcomes of mucormycosis in India. Clin. Microbiol. Infect. 2020, 26, 944.e9–944.e15. [Google Scholar] [CrossRef]
  22. Ribes, J.A.; Vanover Sams, C.L.; Baker, D.J. Zygomycetes in human disease. Clin. Microbiol. Rev. 2000, 13, 236–301. [Google Scholar] [CrossRef]
  23. Walsh, T.J.; Gamaletsou, M.N.; McGinnis, M.R.; Hayden, R.T.; Kontoyiannis, D.P. Early clinical and laboratory diagnosis of invasive pulmonary, extrapulmonary, and disseminated mucormycosis (zygomycosis). Clin. Infect. Dis. 2012, 54, S55–S60. [Google Scholar] [CrossRef] [PubMed]
  24. Meyerowitz, E.A.; Sanchez, S.; Mansour, M.I.; Triant, V.A.; Goldberg, M.B. Isolated cerebral mucormycosis in immunocompetent adults who inject drugs: Case reports and systematic review of the literature. Open Forum Infect. Dis. 2020, 7, 112. [Google Scholar] [CrossRef] [PubMed]
  25. Miller, M.A.; Molina, K.C.; Gutman, J.A.; Scherger, S.; Lum, J.M.; Mossad, S.B.; Burgess, M.; Cheng, M.P.; Chuang, S.P.; Jacobs, S.E.; et al. Mucormycosis in hematopoietic cell transplant recipients and in patients with hematological malignancies in the era of new antifungal agents. Open Forum Infect. Dis. 2020, 8, ofaa646. [Google Scholar] [CrossRef] [PubMed]
  26. Rehman, M.; Azam, K.; Hussain, Z.; Afreen, A.; Ahmed, M. Disseminated infection with multiple cold abscesses caused by Rhizopus arrhizus in an immunocompetent girl. J. Coll. Physicians Surg. Pak. 2017, 27, 648–650. [Google Scholar]
  27. Albízuri-Prado, M.F.; Sánchez-Orta, A.; Rodríguez-Bandera, A.; Rodríguez-Feito, M. Primary cutaneous mucormycosis due to Rhizopus arrhizus in an 8-year-old girl. Actas Dermosifiliogr. 2018, 109, 562–564. [Google Scholar] [CrossRef]
  28. Chakrabarti, A.; Chatterjee, S.S.; Das, A.; Panda, N.; Shivaprakash, M.R.; Kaur, A.; Varma, S.C.; Singhi, S.; Bhansali, A.; Sakhuja, V. Invasive zygomycosis in India: Experience in a tertiary care hospital. Postgrad. Med. J. 2009, 85, 573–581. [Google Scholar] [CrossRef]
  29. Chakrabarti, A.; Kaur, H.; Savio, J.; Rudramurthy, S.M.; Patel, A.; Shastri, P.; Pamidimukkala, U.; Karthik, R.; Bhattacharya, S.; Kindo, A.J.; et al. Epidemiology and clinical outcomes of invasive mould infections in Indian intensive care units (FISF study). J. Crit. Care 2019, 15, 64–70. [Google Scholar] [CrossRef]
  30. Do Monte Junior, E.S.; dos Santos, M.E.L.; Ribeiro, I.B.; de Oliveira Luz, G.; Baba, E.R.; Hirsch, B.S.; Funari, M.P.; de Moura, E.G.H. Rare and fatal gastrointestinal mucormycosis (zygomycosis) in a COVID-19 patient: A case report. Clin. Endosc. 2020, 53, 746–749. [Google Scholar] [CrossRef]
  31. Gardiner, B.J.; Simpson, I.; Khuu, M.H.; Kidd, S.E.; Lo, C.H.; Jenkin, G.A. An unusual ulcer: A case of cutaneous mucormycosis caused by Rhizopus oryzae. Med. Mycol. Case Rep. 2015, 7, 8–11. [Google Scholar] [CrossRef] [PubMed]
  32. Gabremariam, T.; Wiederhold, N.P.; Fothergill, A.W.; Garvey, E.P.; Hoekstra, W.J.; Schotzinger, R.P.; Patterson, T.F.; Filler, S.G.; Ibrahim, A.S. VT-1161 protects immunosuppressed mice from Rhizopus arrhizus var. arrhizus infection. Antimicrob. Agents Chemother. 2015, 59, 7815–7817. [Google Scholar] [CrossRef] [PubMed] [Green Version]
  33. Hagel, S.; Ewald, C.; Doenst, T.; Sachse, S.; Roedel, J.; Pletz, M.W. Ventriculitis due to infection by Rhizopus arrhizus. Med. Mycol. Case Rep. 2015, 10, 18–20. [Google Scholar] [CrossRef] [PubMed]
  34. Jeong, W.; Keighley, C.; Wolfe, R.; Lee, W.L.; Slavin, M.A.; Kong, D.C.M.; Chen, S.C.-A. The epidemiology and clinical manifestations of mycormycosis: A systematic review and meta-analysis of case reports. Clin. Microbiol. Infect. 2019, 25, 26–34. [Google Scholar] [CrossRef] [Green Version]
  35. Kanemaru, M.; Tashima, S.; Yamazaki, A.; Masuda, K.; Nagoshi, H.; Kobayashi, T.; Kuroda, J.; Hiruma, M.; Taniwaki, M.; Katoh, N. Disseminated mucormycosis due to Rhizopus oryzae diagnosed by skin biopsy. J. Dermatol. 2014, 42, 100–101. [Google Scholar] [CrossRef]
  36. Keisling, M.P.; Seemungal, I.A.; Mercado, D.I.; Voth, S.; Michael, A.; Gomez, B.L.; Munoz, C.; Schlecht, H.P.; Mapow, B.C.; Ownbey, R.T.; et al. Rhinocerebral mucormycosis in a patient with pre-B cell acute lymphoblastic leukaemia: PCR identifying Rhizopus oryzae from culture-negative tissue specimens. JMM Case Rep. 2014, 1, e000984. [Google Scholar] [CrossRef]
  37. Li, H.; Hwang, S.K.; Zhou, C.; Du, J.; Zhang, J. Gangrenous cutaneous mucormycosis caused by Rhizopus oryzae: A case report and review of primary cutaneous mucormycosis in China over past 20 years. Mycopathologia 2013, 176, 123–128. [Google Scholar] [CrossRef]
  38. LeMaile-Williams, M.; Burwell, L.A.; Salisbury, D.; Noble-Wang, J.; Arduino, M.; Lott, T.; Brandt, M.E.; Iiames, S.; Srinivasan, A.; Fridkin, S.K. Outbreak of cutaneous Rhizopus arrhizus infection associated with Karya ostomy bags. Clin. Infect. Dis. 2006, 43, e83–e88. [Google Scholar] [CrossRef]
  39. Martín, L.B.; Rodríguez, M.A.M.; Mercier, N.; Lafont, M.O.; Fernández, E.O.; de la Parte, A.R.; Estefania, M. Rhizopus arrhizus invasive infection due to self-inflicted scratch injuries in a diabetic patient with non-ketotic acidosis. Mycopathologia 2017, 182, 927–931. [Google Scholar] [CrossRef]
  40. Krishna, V.; Bansal, N.; Morjaria, J.; Kaul, S. COVID-19-associated pulmonary mucormycosis. J. Fungi 2022, 8, 711. [Google Scholar] [CrossRef]
  41. Rammaert, B.; Lanternier, F.; Zahar, J.-P.; Dannaoui, E.; Bougnoux, M.-E.; Lecuit, M.; Lortholary, O. Healthcare-associated mucormycosis. Clin. Infect. Dis. 2012, 54, S44–S54. [Google Scholar] [CrossRef] [PubMed] [Green Version]
  42. Rao, A.G.; Reddy, V.S.; Aparna, K.; Haqqani, R.; Jagadevapuram, K.; Gupta, S.; Fathima, K.; Tejal, M.; Muppirala, D. Zygomycosis of the scalp caused by Rhizopus oryzae presenting as kerion in an immunocompetent child. Indian J. Dermatol. 2019, 64, 318–320. [Google Scholar] [CrossRef] [PubMed]
  43. Rodríguez-Lobato, E.; Ramírez-Hobak, L.; Aquino-Matus, J.E.; Ramírez-Hinojosa, J.P.; Lozano-Fernández, V.H.; Xicohtencatl-Cortes, J.; Hernández-Castro, R.; Arenas, R. Primary cutaneous mucormycosis caused by Rhizopus oryzae: A case report and review of literature. Mycopathologia 2017, 182, 387–392. [Google Scholar] [CrossRef]
  44. Singla, K.; Samra, T.; Bhatia, N. Primary cutaneous mucormycosis in a trauma patient with Morel-Lavallée lesion. Indian J. Crit. Care Med. 2018, 22, 375–377. [Google Scholar] [PubMed]
  45. Song, Y.; Qiao, J.; Giovanni, G.; Liu, G.; Yang, H.; Wu, J.; Chen, J. Mucormycosis in renal transplant recipients: Review of 174 reported cases. BMC Infect. Dis. 2017, 17, 283. [Google Scholar] [CrossRef]
  46. Tabarsi, P.; Khalili, N.; Pourabdollah, M.; Sharifynia, S.; Naeni, A.S.; Ghorbani, J.; Mohamadnia, A.; Abtahian, Z.; Askari, E. COVID-19 associated rhinosinusitis mucormycosis due to Rhizopus oryzae: A rare but potentially fatal infection occurring after treatment with corticosteroids. Am. J. Trp. Med. Hyg. 2021, 105, 449–453. [Google Scholar] [CrossRef] [PubMed]
  47. Winkler, S.; Susani, S.; Willinger, B.; Apsner, R.; Rosenkranz, A.R.; Pötzi, R.; Berlakovich, G.A.; Pohanka, E. Gastric mucormycosis due to Rhizopus oryzae in a renal transplant recipient. J. Clin. Microbiol. 1996, 34, 2585–2587. [Google Scholar] [CrossRef] [Green Version]
  48. Ahmadikia, K.; Hashemi, S.J.; Khodavaisy, S.; Getso, M.I.; Alijani, H.; Badali, H.; Mirhendi, H.; Salehi, M.; Tabari, A.; Ardehali, M.M.; et al. The double-edged sword of systemic corticosteroid therapy in viral pneumonia: A case report and comparative review of influenza-associated mucormycosis versus COVID-19 associated mucormycosis. Mycoses 2021, 64, 798–808. [Google Scholar] [CrossRef]
  49. Arana, C.; Ramírez, R.E.C.; Xipell, M.; Casals, J.; Moreno, A.; Herrera, S.; Bodro, M.; Cofan, F.; Diekmann, F.; Esforzado, N. Mucormycosis associated with COVID-19 in two kidney transplant patients. Transpl. Infect. Dis. 2021, 23, e13652. [Google Scholar] [CrossRef]
  50. Buil, J.B.; van Zanten, A.R.H.; Bentvelsen, R.G.; Rijpstra, T.A.; Goorhuis, B.; van der Voort, S.; Wammes, L.J.; Janson, J.A.; Melchers, M.; Heusinkveld, M.; et al. Case series of four secondary mucormycosis infections in COVID-19 patients, the Netherlands, December 2020 to May 2021. Euro. Serveill. 2021, 26, 2100510. [Google Scholar] [CrossRef]
  51. Ghosh, A.; Sarkar, A.; Paul, P.; Patel, P. The rise in cases of mucormycosis, candidiasis and aspergillosis amidst COVID-19. Fungal Biol. Rev. 2021, 38, 67–91. [Google Scholar] [CrossRef] [PubMed]
  52. Ismaiel, W.F.; Abdelazim, M.H.; Eldsoky, I.; Ibrahim, A.A.; Alsobky, M.E.; Zafan, E.; Hasan, A. The impact of COVID-19 outbreak on the incidence of acute invasive fungal rhinosinusitis. Am. J. Otolaryngol. 2021, 42, 103080. [Google Scholar] [CrossRef] [PubMed]
  53. Khatri, A.; Chang, K.-M.; Berlinrut, I.; Wallach, F. Mucormycosis after Coronavirus disease 2019 infection in a heart transplant recipient—Case report and review of the literature. J. Med. Mycol. 2021, 31, 101125. [Google Scholar] [CrossRef] [PubMed]
  54. Maini, A.; Tomar, G.; Khanna, D.; Kini, Y.; Mehta, H.; Bhagyasree, V. Sino-orbital mucormycosis in a COVID-19 patient: A case report. Int. J. Surg. Case Rep. 2021, 82, 105957. [Google Scholar] [CrossRef] [PubMed]
  55. Pasero, D.; Sanna, S.; Liperi, C.; Piredda, D.; Branca, G.P.; Casadio, L.; Simeo, R.; Buselli, A.; Rizzo, D.; Bussu, F. A challenging complication following SARS-CoV-2 infection: A case report of pulmonary mucormycosis. Infection 2021, 49, 1055–1060. [Google Scholar] [CrossRef]
  56. Revannavar, S.M.; Supriya, P.S.; Samaga, L.; Vineeth, V.K. COVID-19 triggering mucormycosis in a susceptible patient: A new phenomenon in the developing world? BMJ Case Rep. 2021, 14, e241663. [Google Scholar] [CrossRef]
  57. Salazar, F.; Bignell, E.; Brown, G.D.; Cook, P.C.; Warris, A. Pathogenesis of respiratory viral and fungal coinfections. Clin. Microbiol. Rev. 2022, 35, e00094-21. [Google Scholar] [CrossRef]
  58. Al-Tawfiq, J.A.; Alhumaid, S.; Alshukairi, A.N.; Temsah, M.-H.; Barry, M.; Al Mutair, A.; Rabaan, A.A.; Al-Omari, A.; Tirupathi, R.; AlQahtani, M.; et al. COVID-19 and mucormycosis superinfection: The perfect storm. Infection 2021, 49, 833–853. [Google Scholar] [CrossRef]
  59. Banerjee, I.; Robinson, J.; Asim, M.; Sathian, B.; Banerjee, I. Mucormycosis and COVID-19 an epidemic in a pandemic. Nepal J. Epidemiol. 2021, 11, 1034–1039. [Google Scholar] [CrossRef]
  60. Chander, J.; Kaur, M.; Singla, N.; Punia, R.P.S.; Singhal, S.K.; Attri, A.K.; Alastruey-Izquierdo, A.; Stchigel, A.M.; Cano-Lira, J.F.; Guarro, J. Mucormycosis: Battle with the deadly enemy over a five-year period in India. J. Fungi 2018, 4, 46. [Google Scholar] [CrossRef] [Green Version]
  61. Garg, D.; Muthu, V.; Sehgal, I.S.; Ramachandran, R.; Kaur, H.; Bhalla, A.; Puri, G.D.; Chakrabarti, A.; Agarwal, R. Coronavirus disease (COVID-19) associated mucormycosis (CAM): Case report and systematic review of literature. Mycopathologia 2021, 186, 289–298. [Google Scholar] [CrossRef] [PubMed]
  62. Mohammadi, F.; Badri, M.; Safari, S.; Hemmat, N. A case report of rhino-facial mucormycosis in a non-diabetic patient with COVID-19: A systematic review of literature and current update. BMC Infect. Dis. 2021, 21, 906. [Google Scholar] [CrossRef] [PubMed]
  63. Muthu, V.; Rudramurthy, S.M.; Chakrabarti, A.; Agarwal, R. Epidemiology and pathophysiology of COVID-19-associated mucormycosis: India versus the rest of the world. Mycopathologia 2021, 186, 739–754. [Google Scholar] [CrossRef] [PubMed]
  64. Nehara, H.R.; Puri, I.; Kumar, V.; IH, S.; Bishnoi, B.R.; Sirohi, P. Rhinocerebral mucormycosis in COVID-19 patient with diabetes a deadly trio: Case series from the north-western part of India. Indian J. Med. Microbiol. 2021, 39, 380–383. [Google Scholar] [CrossRef]
  65. Patel, A.; Agarwal, R.; Rudramurthy, M.R.; Shevkani, M.; Xess, I.; Sharma, R.; Savio, J.; Sethuraman, N.; Madan, S.; Shastri, P.; et al. Multicenter epidemiologic study of coronavirus disease-associated mucormycosis, India. Emerg. Infect. Dis. 2021, 27, 2349–2359. [Google Scholar] [CrossRef]
  66. Rudramurthy, S.M.; Hoenigl, M.; Meis, J.F.; Cornely, O.A.; Muthu, V.; Gangneux, J.P.; Perfect, J.; Chakrabarti, A.; ECMM and ISHAM. ECMM/ISHAM recommendations for clinical management of COVID-19 associated mucormycosis in low- and middle-income countries. Mycoses 2021, 64, 1028–1037. [Google Scholar] [CrossRef]
  67. Sen, M.; Honavar, S.G.; Bansal, R.; Sengupta, S.; Rao, R.; Kim, U.; Sharma, M.; Sachdev, M.; Grover, A.K.; Surve, A.; et al. Epidemiology, clinical profile, management, and outcome of COVID-19-associated rhino-orbital-cerebral mucormycosis in 2826 patients in India—Collaborative OPAI-IJO study on mucormycosis in COVID-19 (COSMIC), Report 1. Indian J. Ophthalmol. 2021, 69, 1670–1692. [Google Scholar]
  68. Dilek, A.; Ozaras, R.; Ozkaya, S.; Sunbul, M.; Sen, E.I.; Leblebicioglu, H. COVID-19-associated mucormycosis: Case report and systematic review. Travel Med. Infect Dis. 2021, 44, 102148. [Google Scholar] [CrossRef]
  69. Skiada, A.; Pavlaes, I.; Drogari-Apiranthitou, M. Epidemiology and diagnosis of mucormycosis: An update. J. Fungi 2020, 6, 265. [Google Scholar] [CrossRef]
  70. Katragkou, A.; Walsh, T.J.; Roilides, E. Why is mucormycosis more difficult to cure than more common mycoses? Clin. Microbiol. Infect. 2014, 20, 74–81. [Google Scholar]
  71. Lackner, N.; Posch, W.; Lass-Flörl, C. Microbiological and molecular diagnosis of mucormycosis: From old to new. Microorganisms 2021, 9, 1518. [Google Scholar] [CrossRef] [PubMed]
  72. Weiss, Z.F.; Leon, A.; Koo, S. The evolving landscape of fungal diagnostics, current and emerging microbiological approaches. J. Fungi 2021, 7, 127. [Google Scholar] [CrossRef]
  73. Osaigbovo, I.I.; Bongomin, F. Point of care tests for invasive fungal infections: A blue print for increasing availability in Africa. Ther. Adv. Infect. Dis. 2021, 8, 20499361211034266. [Google Scholar] [CrossRef]
  74. Dolatabadi, S.; Kolecka, A.; Versteeg, M.; de Hoog, S.G.; Boekhout, T. Differentiation of clinically relevant mucorales Rhizopus microsporus and R. arrhizus by matrix-assisted laser desorption ionization time-of-flight mass spectrometry (MALDI-TOF MS). J. Med. Microbiol. 2015, 64, 694–701. [Google Scholar] [CrossRef] [Green Version]
  75. Padhye, A.A.; Ajello, L. Simple method of inducing sporulation by Apophysomyces elegans and Saksenaea vasiformis. J. Clin. Microbiol. 1988, 26, 1861–1863. [Google Scholar] [CrossRef] [Green Version]
  76. Thornton, C.R. Immunological Methods for Fungi. In Molecular and Cellular Biology of Filamentous Fungi: A Practical Approach, 1st ed.; Talbot, N.J., Ed.; Oxford University Press: Oxford, UK, 2001; pp. 227–256. [Google Scholar]
  77. Jensen, H.E.; Aalbæk, B.; Schønheyder, H. Immunohistochemical identification of aetiological agents of systemic bovine zygomycosis. J. Comp. Path. 1994, 110, 65–77. [Google Scholar] [CrossRef]
  78. Jensen, H.E.; Aalbæk, B.; Lind, P.; Krogh, H.V. Immunohistochemical diagnosis of systemic bovine zygomycosis by murine monoclonal antibodies. Vet. Pathol. 1996, 33, 176–183. [Google Scholar] [CrossRef]
  79. Jensen, H.E.; Salonen, J.; Ekfors, T.O. The use of immunohistochemistry to improve sensitivity and specificity in the diagnosis of systemic mycoses in patients with haematological malignancies. J. Pathol. 1997, 181, 100–105. [Google Scholar] [CrossRef]
  80. Potenza, L.; Vallerini, D.; Barozzi, P.; Riva, G.; Gilioli, A.; Forghieri, F.; Candoni, A.; Cesaro, S.; Quadrelli, C.; Maertens, J.; et al. Mucorales-specific T cells in patients with hematologic malignancies. PLoS ONE 2016, 11, e0149108. [Google Scholar] [CrossRef] [Green Version]
  81. Sato, K.; Oinuma, K.-I.; Niki, M.; Yamagoe, S.; Miyazaki, Y.; Asai, K.; Yamada, K.; Hirata, K.; Kaneko, Y.; Kakeya, H. Identification of a novel Rhizopus-specific antigen by screening with a signal sequence trap and evaluation as a possible diagnostic marker of mucormycosis. Med. Mycol. 2017, 55, 713–719. [Google Scholar] [CrossRef] [Green Version]
  82. Shibata, W.; Niki, M.; Sato, K.; Fujimoto, H.; Yamada, K.; Watanabe, T.; Miyazaki, Y.; Asai, K.; Obata, Y.; Tachibana, T.; et al. Detection of Rhizopus-specific antigen in human and murine serum and bronchoalveolar lavage. Med. Mycol. 2020, 58, 958–964. [Google Scholar] [CrossRef] [PubMed]
  83. Burnham-Marusich, A.R.; Hubbard, B.; Kvam, A.J.; Gates-Hollingsworth, M.; Green, H.R.; Soukup, E.; Limper, A.H.; Kozel, T.R. Conservation of mannan synthesis in fungi of the zygomycota and ascomycota reveals a broad diagnostic target. mSphere 2018, 3, e00094-18. [Google Scholar] [CrossRef] [Green Version]
  84. Orne, C.; Burnham-Marusich, A.; Baldin, C.; Gebremariam, T.; Ibrahim, A.; Kvam, A.; Kozel, T. Cell wall fucomannan is a biomarker for diagnosis of invasive murine mucormycosis. In Proceedings of the 28th ECCMID, Madrid, Spain, 21–24 April 2018. [Google Scholar]
  85. De Almeida Júnior, J.N.; Ibrahim, K.Y.; Del Negro, G.M.B.; Bezerra, E.D.; Neto, A.N.D.; Batista, M.V.; Siciliano, R.F.; Giudice, M.C.; Motta, A.L.; Rossi, F.; et al. Rhizopus arrhizus and Fusarium solani concomitant infection in an immunocompromised host. Mycopathologia 2015, 181, 125–129. [Google Scholar] [CrossRef] [PubMed]
  86. Ramírez-Hinojosa, J.P.; Medrano-Ahumada, S.; Arenas, R.; Bravo-Escobar, A.; Paraguirre-Martínez, S.; Xicohtencatl-Cortes, J.; Martínez-Herrera, E.; Hernández-Castro, R. Fungal invasive co-infection due to Aspergillus fumigatus and Rhizopus arrhizus: A rhino-orbital presentation. J. Fungi 2021, 7, 1096. [Google Scholar] [CrossRef] [PubMed]
  87. Johnson, A.K.; Ghazarian, Z.; Cendrowski, K.D.; Persichino, J.G. Pulmonary aspergillosis and mucormycosis in a patient with COVID-19. Med. Mycol. Case Rep. 2021, 32, 64–67. [Google Scholar] [CrossRef] [PubMed]
  88. Luckowitsch, M.; Rudolph, H.; Bochennek, K.; Porto, L.; Lehrnbecher, T. Central nervous system mold infections in children with hematological malignancies: Advances in diagnosis and management and treatment. J. Fungi 2021, 7, 168. [Google Scholar] [CrossRef] [PubMed]
  89. Meena, S.; Singh, G.; Pandey, M.; Xess, I. Exophiala jeanselmei and Rhizopus oryzae co-infection post renal transplant. J. Clin. Diagn. Res. 2019, 13, DD01–DD03. [Google Scholar] [CrossRef]
  90. Arndt, S.; Aschendorff, A.; Echternach, M.; Daemmrich, T.D.; Maier, W. Rhino-orbital-cerebral mucormycosis and aspergillosis: Differential diagnosis and treatment. Eur. Arch. Otorhinolaryngol. 2009, 266, 71–76. [Google Scholar] [CrossRef]
  91. Lass-Flörl, C.; Samardzic, E.; Knoll, M. Serology anno 2021-fungal infections: From invasive to chronic. Clin. Microbiol. Infect. 2021, 27, P1230–P1241. [Google Scholar] [CrossRef]
  92. Skiada, A.; Lanternier, F.; Groll, A.H.; Pagano, L.; Zimmerli, S.; Herbrecht, R.; Lortholary, O.; Petrikkos, G.L. Diagnosis and treatment of mucormycosis in patients with hematological malignancies: Guidelines from the 3rd European Conference on Infections in Leukemia (ECIL 3). Haematologica 2013, 98, 492–504. [Google Scholar] [CrossRef] [Green Version]
  93. Dichtl, K.; Seybold, U.; Ormanns, S.; Horns, H.; Wagener, J. Evaluation of a novel Aspergillus antigen enzyme-linked immunosorbent assay. J. Clin. Microbiol. 2019, 57, e00136-19. [Google Scholar] [CrossRef] [Green Version]
  94. Campbell, J.P.; Heaney, J.L.J.; Shemar, M.; Baldwin, D.; Griffin, A.E.; Oldridge, E.; Goodall, M.; Afzal, Z.; Plant, T.; Cobbold, M.; et al. Development of a rapid and quantitative lateral flow assay for the simultaneous measurement of serum and immunoglobulin free light chains (FLC): From inception of a new near-patient FLC screening tool. Clin. Chem. Lab. Med. 2017, 55, 424–434. [Google Scholar] [CrossRef] [Green Version]
  95. Pratt, G.W.; Fan, A.; Melakeberhan, B.; Klapperich, C.M. A competitive lateral flow assay for the detection of tenofivir. Anal. Chim. Acta 2018, 1017, 34–40. [Google Scholar] [CrossRef]
  96. Bever, C.S.; Adams, C.A.; Hnasko, R.M.; Cheng, L.W.; Stanker, L.H. Lateral flow immunoassay (LFIA) for the detection of lethal amatoxins in mushrooms. PLoS ONE 2020, 15, e0231781. [Google Scholar] [CrossRef]
  97. Lan, J.; Sun, W.; Chen, L.; Zhou, H.; Fan, Y.; Diao, X.; Wang, B.; Zhao, H. Simultaneous and rapid detection of carbofuran and 3-hydroxy-carbofuran in water samples and pesticide preparation using lateral-flow immunochromatographic assay. Food Agric. Immunol. 2020, 31, 165–175. [Google Scholar] [CrossRef] [Green Version]
  98. Wakeham, A.J.; Keane, G.; Kennedy, R. Field evaluation of a competitive lateral-flow assay for detection of Alternaria brassicae in vegetable brassica crops. Plant Dis. 2016, 100, 1831–1839. [Google Scholar] [CrossRef] [Green Version]
  99. Walther, G.; Wagner, L.; Kurzai, O. Updates on the taxonomy of mucorales with an emphasis on clinically important taxa. J. Fungi 2019, 5, 106. [Google Scholar] [CrossRef] [Green Version]
  100. Andryukov, B.G. Six decades of lateral flow immunoassay: From determining metabolic markers to diagnosing COVID-19. AIMS Microbiol. 2020, 6, 280–304. [Google Scholar] [CrossRef]
  101. Misulka, M.; Furfaro, E.; Bassetti, M. The importance of quantitative results of a lateral flow Aspergillus assay: The significant impact on specificity. Clin. Infect. Dis. 2021, 73, e1783–e1784. [Google Scholar]
  102. Jenks, J.D.; Prattes, J.; Buchheidt, D.; Hoenigl, M. Reply to Mikulska et al. Clin. Infect. Dis. 2021, 73, e1784–e1785. [Google Scholar] [CrossRef]
  103. Jensen, H.E.; Frandsen, P.L.; Schønheydner, H. Experimental systemic bovine zygomycosis with reference to pathology and secretion of antigen in urine. J. Vet. Med. B 1993, 40, 55–65. [Google Scholar] [CrossRef] [PubMed]
  104. Thornton, C.R. Development of an immunochromatographic lateral-flow device for rapid serodiagnosis of invasive aspergillosis. Clin. Vacc. Immunol. 2008, 15, 1095–1105. [Google Scholar] [CrossRef] [PubMed] [Green Version]
  105. Mercier, T.; Dunbar, A.; de Kort, E.; Schauwvlieghe, A.; Reynders, M.; Guldentops, E.; Blijlevens, N.M.A.; Vonk, A.G.; Rijnders, B.; Verweij, P.E.; et al. Lateral flow assays for diagnosing invasive pulmonary aspergillosis in adult hematology patients: A comparative multicentre study. Med. Mycol. 2020, 58, 444–452. [Google Scholar] [CrossRef]
  106. Laternier, F.; Dannaoui, E.; Morizot, G.; Elie, C.; Garcia-Hermoso, D.; Huerre, M.; Bitar, D.; Dromer, F.; Lortholary, O.; French Mycosis Study Group. A global analysis of mucormycosis in France: The RetroZygo study (2005–2007). Clin. Infect. Dis. 2012, 54, S35–S43. [Google Scholar] [CrossRef] [Green Version]
  107. Pana, Z.D.; Seidel, D.; Skiada, A.; Groll, A.H.; Petrikkos, G.; Cornely, O.A.; Roilides, E. Invasive mucormycosis in children: An epidemiological study in European and non-European countries based on two registries. BMC Infect. Dis. 2016, 16, 667. [Google Scholar] [CrossRef] [Green Version]
  108. Chakrabarti, A.; Singh, R. Mucormycosis in India: Unique features. Mycoses 2014, 57, 85–90. [Google Scholar] [CrossRef]
  109. Hoenigl, M.; Seidel, D.; Carvalho, A.; Rudramurthy, S.M.; Arastehfar, A.; Gangneux, J.-P.; Nasir, N.; Bonifaz, A.; Araiza, J.; Klimko, N.; et al. The emergence of COVID-19 associated mucormycosis: A review of cases from 18 countries. Lancet Microbe 2022, 3, e543–e552. [Google Scholar] [CrossRef]
Publisher’s Note: MDPI stays neutral with regard to jurisdictional claims in published maps and institutional affiliations.

Article Metrics

Citations

Article Access Statistics

Multiple requests from the same IP address are counted as one view.