Chronic Cavitary Pulmonary Histoplasmosis–Novel Concepts Regarding Pathogenesis
Abstract
1. Lay Summary
2. Introduction
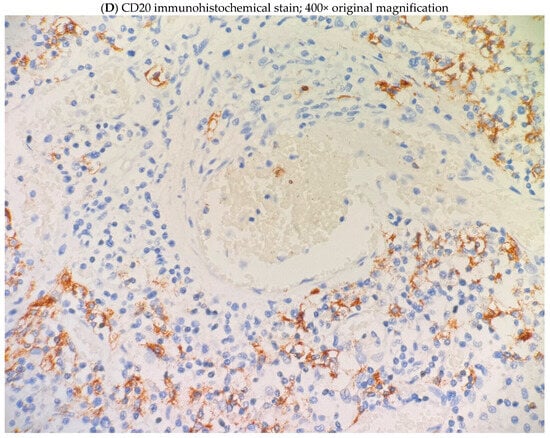
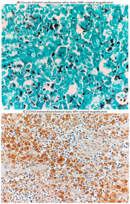
- What is the nature of the inflammatory response in the pulmonary cavities of patients with CCPH employing immunohistochemical staining for cell types?
- Do previous bullae become the so-called “marching cavities” of CCPH after new, repeated, or continuous exposure to H. capsulatum?
- What is the explanation for the greater yield from fungal cultures of H. capsulatum from patients with CCPH as compared to the reported yield from other forms of pulmonary histoplasmosis?
- Do patients with chronic pulmonary histoplasmosis but without COPD develop cavities during pulmonary histoplasmosis?
- Are the inflammatory properties of the lung microbiome actually responsible for much of the cavitary disease previously attributed to CCPH in endemic areas?
- How does the pathology of CCPH differ from that of cavitary tuberculosis?
- Do patients with COPD develop cavitary disease resembling CCPH, but caused by Coccidioides spp., when residing for long periods of time in the heavily-endemic, desert Southwest?
3. Materials and Methods
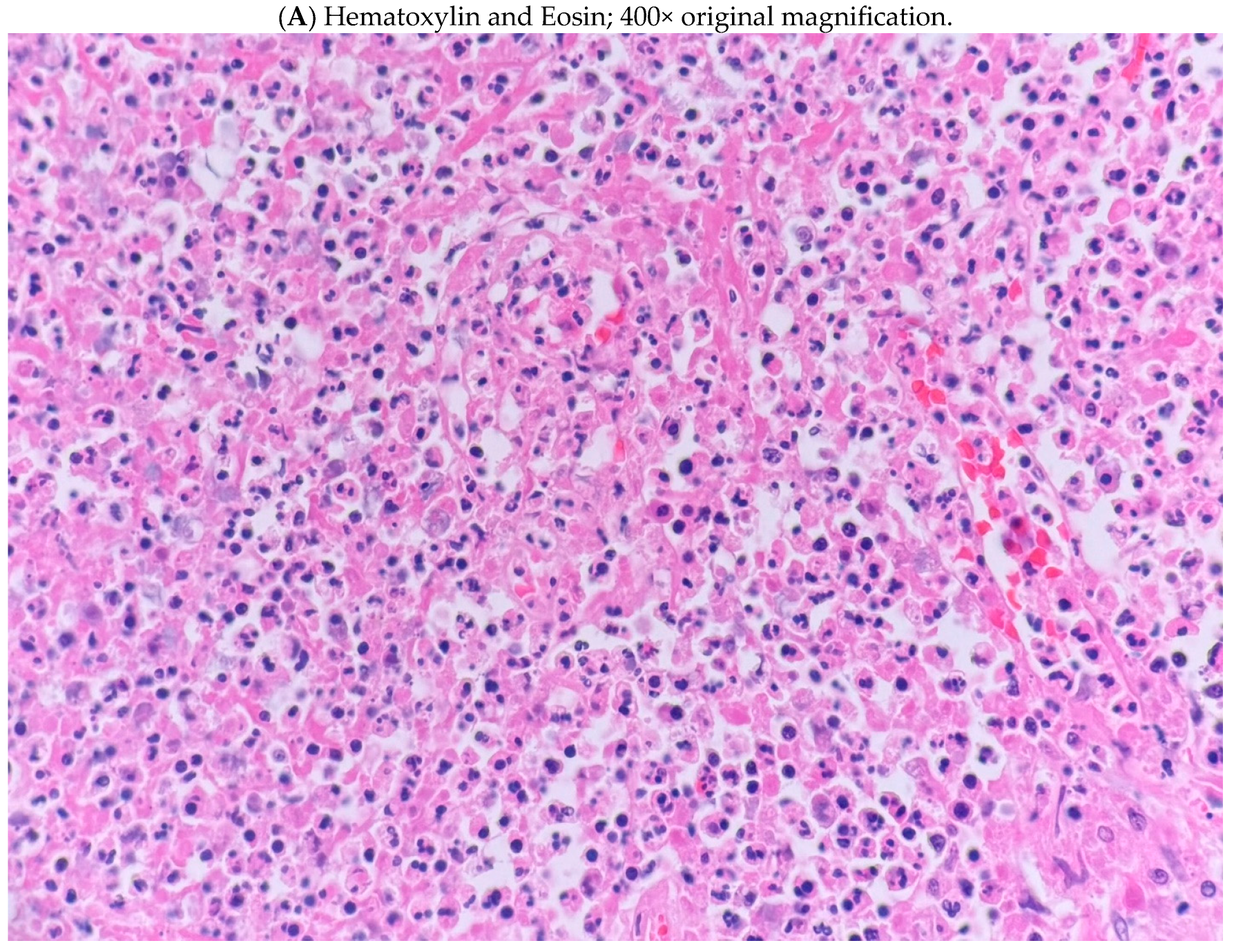
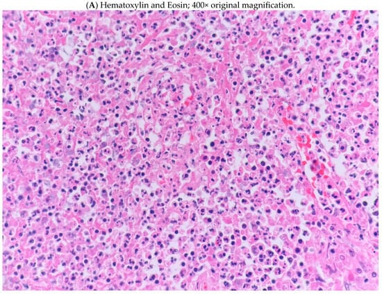
4. Results and Discussion
5. Conclusions
Author Contributions
Funding
Institutional Review Board Statement
Informed Consent Statement
Data Availability Statement
Conflicts of Interest
References
- Kauffman, C. Histoplasmosis: A clinical and laboratory update. Clin. Microbiol. Rev. 2007, 20, 115–132. [Google Scholar] [CrossRef] [PubMed]
- Kauffman, C. Histoplasmosis; Oxford University Press: New York, NY, USA, 2003. [Google Scholar]
- Goodwin, R.; Loyd, J.; Des Prez, R. Histoplasmosis in normal hosts. Medicine 1981, 60, 231–266. [Google Scholar] [CrossRef] [PubMed]
- Goodwin, R.J.; Owens, F.; Snell, J.; Hubbard, W.; Buchanan, R.; Terry, R.; Des Prez, R. Chronic pulmonary histoplasmosis. Medicine 1976, 55, 413–452. [Google Scholar] [CrossRef]
- Baker, J.; Kosmidis, C.; Rozaliayni, A.; Wahyuningsih, R.; Denning, D. Chronic pulmonary histoplasmosis-A scoping literature review. Open Forum Infect. Dis. 2020, 7, ofaa119. [Google Scholar] [CrossRef]
- Comi, G.; Bar-or, A.; Lassmann, H.; Uccelli, A.; Hartung, H.-P.; Montalban, X.; Sorensen, P.; Hohlfeld, R.; Hauser, S. The role of B cells in multiple sclerosis and related disorders. Ann. Neurol. 2021, 89, 13–23. [Google Scholar] [CrossRef]
- Ley, K. M1 means kill; M2 means heal. J. Immunol. 2017, 199, 2191–2192. [Google Scholar] [CrossRef]
- Klingman, R.; Angellilo, V.; DeMeester, T. Cystic and bullous lung disease. Ann. Thorac. Surg. 1991, 52, 576–580. [Google Scholar] [CrossRef]
- Loyd, J.; Tillman, B.; Atkinson, J.; Des Prez, R. Mediastinal fibrosis complicating histoplasmosis. Medicine 1988, 67, 295–310. [Google Scholar] [CrossRef]
- Luby, J.; Southern, P.; Haley, C.; Vahle, K.; Munford, R.; Haley, R. Recurrent exposure to Histoplasma capsulatum in modern air-conditioned buildings. Clin. Infect. Dis. 2005, 41, 170–176. [Google Scholar] [CrossRef][Green Version]
- Yousaf, M.; Chan, N.; Janvier, A. Vanishing lung syndrome: An idiopathic bullous emphysema mimicking pneumothorax. Cureus 2020, 12, e9596. [Google Scholar] [CrossRef]
- Stern, E.; Webb, W.; Muller, N. Idiopathic giant bullous emphysema (vanishing lung syndrome): Imaging findings in nine patients. Am. J. Roentgenol. 1994, 162, 279–282. [Google Scholar] [CrossRef] [PubMed]
- Hunter, R. Tuberculosis as a three-act play: A new paradigm for the pathogenesis of pulmonary tuberculosis. Tuberculosis 2016, 97, 8–17. [Google Scholar] [CrossRef] [PubMed]
- Hunter, R. The pathogenesis of tuberculosis: The early infiltrate of post-primary (adult pulmonary) tuberculosis: A distinct disease entity. Front. Immunol. 2018, 9, 2108. [Google Scholar] [CrossRef]
- Hunter, R. The pathogenesis of tuberculosis—The Koch Phenomenon Reinstated. Pathogens 2020, 9, 813. [Google Scholar] [CrossRef]
- Hunter, R.; Actor, J.; Hwang, S.-A.; Karev, V.; Jagannath, C. Pathogenesis of post-primary tuberculosis: Immunity and hypersensitivity in the development of cavities. Ann. Clin. Lab. Sci. 2014, 44, 365–387. [Google Scholar]
- Kosmidis, C.; Denning, D. The clinical spectrum of pulmonary aspergillosis. Thorax 2015, 70, 270–277. [Google Scholar] [CrossRef]
- Klein, D.; Gamsu, G. Thoracic manifestations of aspergillosis. Am. J. Roentgenol. 1980, 134, 543–552. [Google Scholar] [CrossRef]
- Mariotta, S.; Giuffreda, E.; Tramontano, F.; Treggiali, S.; Ricci, A.; Schmid, G. Therapeutic approach in pulmonary mycetoma. Analysis of 27 patients. Panmanerva Med. 2001, 43, 161–165. [Google Scholar]
- Haas, D.; Lesch, S.; Buzina, W.; Galler, H.; Gutschi, A.; Habib, J.; Pfeifer, B.; Luxner, J.; Reinthaler, F. Culturable fungi in potting soils and compost. Med. Mycol. 2016, 54, 825–834. [Google Scholar] [CrossRef]
- Weeks, R.; Tosh, F.; Chin, T. Estimation of the number of viable particles of Histoplasma capsulatum in soil. Mycopathologia 1968, 35, 233. [Google Scholar] [CrossRef]
- Deepe, G. Outbreaks of histoplasmosis—The spores set sail. PLoS Pathog. 2018, 14, e1007213. [Google Scholar] [CrossRef] [PubMed]
- Rooks, R. Histoplasma capsulatum spores. Science 1954, 119, 385–386. [Google Scholar] [CrossRef]
- Wheat, L.J.; Wass, J.; Norton, J.; Kohler, R.; French, M. Cavitary histoplasmosis occurring during two large urban outbreaks. analysis of clinical, epidemiologic, roentgenographic, and laboratory features. Medicine 1984, 63, 201–209. [Google Scholar] [CrossRef]
- Schwarz, J.; Baum, G.; Straub, M. Cavitary histoplasmosis complicated by fungus ball. Am. J. Med. 1961, 31, 692–700. [Google Scholar] [CrossRef]
- Kennedy, C.; Limper, A. Redefining the clinical spectrum of chronic pulmonary histoplasmosis: A retrospective case series of 46 patients. Medicine 2007, 86, 252–258. [Google Scholar] [CrossRef]
- Diveley, W.; McCracken, R. Cavitary pulmonary histoplasmosis treated by pulmonary resection: 13-year experience with 29 cases. Ann. Surg. 1966, 163, 921–930. [Google Scholar] [CrossRef]
- Bresser, M.; Wingelaar, T.; Van Weering, J.; Bresser, P.; Van Hulst, R. An observational study ascertaining the prevalence of bullae and blebs in young, healthy adults and its possible implications for scuba diving. Front. Physiol. 2024, 15, 1349229. [Google Scholar] [CrossRef]
- Sharma, G.; Hananiai, N.; Shim, Y. The aging immune system and its relationship to the development of chronic obstructive pulmonary disease. Proc. Am. Thorac. Soc. 2009, 6, 573–580. [Google Scholar] [CrossRef]
- Cho, W.-K.; Chun, G.; Kim, L. COPD as a disease of immunosenescence. Yonsei Med. J. 2019, 60, 407–413. [Google Scholar] [CrossRef]
- Sze, M.; Dimitriu, P.; Hayashi, S.; Elliott, W.; McDonough, J.; Gosselink, J.; Cooper, J.; Sin, D.; Mohn, W.; Hogg, J. The lung tissue microbiome in chronic obstructive pulmonary disease. Am. J. Respir. Crit. Care Med. 2012, 185, 1073–1080. [Google Scholar] [CrossRef]
- Pragman, A.; Kim, H.; Reilly, C.; Wendt, C.; Isaacson, R. The lung microbiome in moderate and severe chronic obstructive pulmonary disease. PLoS ONE 2012, 7, e47305. [Google Scholar] [CrossRef]
- Zakharkina, T.; Heinzel, E.; Koczulla, R.; Greulich, T.; Rentz, K.; Pauling, J.; Baumbach, J.; Herrmann, M.; Grunewald, C.; Dienemann, H.; et al. Analysis of the airway microbiota of healthy individuals and patients with chronic obstructive pulmonary disease by t-rflp and clone sequencing. PLoS ONE 2013, 8, e68302. [Google Scholar] [CrossRef]
- Dugan, J.; Grinsztein, E.; Glasgow, A.; John, A. Co-infection with Histoplasma capsulatum and Pneumocystis jirovecii in a patient with liver cirrhosis: A diagnostic dilemma. Chest 2020, 158, A529–A530. [Google Scholar] [CrossRef]
- Millares, L.; Ferrari, R.; Gallego, M.; Garcia-Nuñez, M.; Pérez-Brocal, V.; Espasa, M.; Pomares, X.; Monton, C.; Moya, A.; Monsó, E. Bronchial microbiome of severe COPD patients colonised by Pseudomonas aeruginosa. Clin. Microbiol. Infect. Dis. 2014, 33, 1101–1111. [Google Scholar] [CrossRef]
- Huang, Y.; Kim, E.; Cox, M.; Brodie, E.; Brown, R.; Wiener-Kronish, J.; Lynch, S. A persistent and diverse airway microbiota present during chronic obstructive pulmonary disease exacerbations. OMICS J. Integr. Biol. 2010, 14, 9–59. [Google Scholar] [CrossRef]
- Sobonya, R.; Yanes, J.; Klotz, S. Cavitary pulmonary coccidioidomycosis: Pathologic and clinical correlates of disease. Hum. Pathol. 2014, 45, 153–159. [Google Scholar] [CrossRef]
- Riddell, J.I.; Kauffman, C.; Smith, J.; Assi, M.; Blue, S.; Buitrago, M.; Deresinski, S.; Wright, P.; Drevets, D.; Norris, S.; et al. Histoplasma capsulatum endocarditis—Multicenter case series with review of current diagnostic techniques and treatment. Medicine 2014, 93, 186–193. [Google Scholar] [CrossRef]



Disclaimer/Publisher’s Note: The statements, opinions and data contained in all publications are solely those of the individual author(s) and contributor(s) and not of MDPI and/or the editor(s). MDPI and/or the editor(s) disclaim responsibility for any injury to people or property resulting from any ideas, methods, instructions or products referred to in the content. |
© 2025 by the authors. Licensee MDPI, Basel, Switzerland. This article is an open access article distributed under the terms and conditions of the Creative Commons Attribution (CC BY) license (https://creativecommons.org/licenses/by/4.0/).
Share and Cite
Fisher, J.F.; Saccente, M.; Deepe, G.S.; Savage, N.M.; Askar, W.; Vazquez, J.A. Chronic Cavitary Pulmonary Histoplasmosis–Novel Concepts Regarding Pathogenesis. J. Fungi 2025, 11, 201. https://doi.org/10.3390/jof11030201
Fisher JF, Saccente M, Deepe GS, Savage NM, Askar W, Vazquez JA. Chronic Cavitary Pulmonary Histoplasmosis–Novel Concepts Regarding Pathogenesis. Journal of Fungi. 2025; 11(3):201. https://doi.org/10.3390/jof11030201
Chicago/Turabian StyleFisher, John F., Michael Saccente, George S. Deepe, Natasha M. Savage, Wajih Askar, and Jose A. Vazquez. 2025. "Chronic Cavitary Pulmonary Histoplasmosis–Novel Concepts Regarding Pathogenesis" Journal of Fungi 11, no. 3: 201. https://doi.org/10.3390/jof11030201
APA StyleFisher, J. F., Saccente, M., Deepe, G. S., Savage, N. M., Askar, W., & Vazquez, J. A. (2025). Chronic Cavitary Pulmonary Histoplasmosis–Novel Concepts Regarding Pathogenesis. Journal of Fungi, 11(3), 201. https://doi.org/10.3390/jof11030201

