Use of Sutureless and Rapid Deployment Prostheses in Challenging Reoperations
Abstract
1. Introduction
2. Background
3. Methods
4. Results
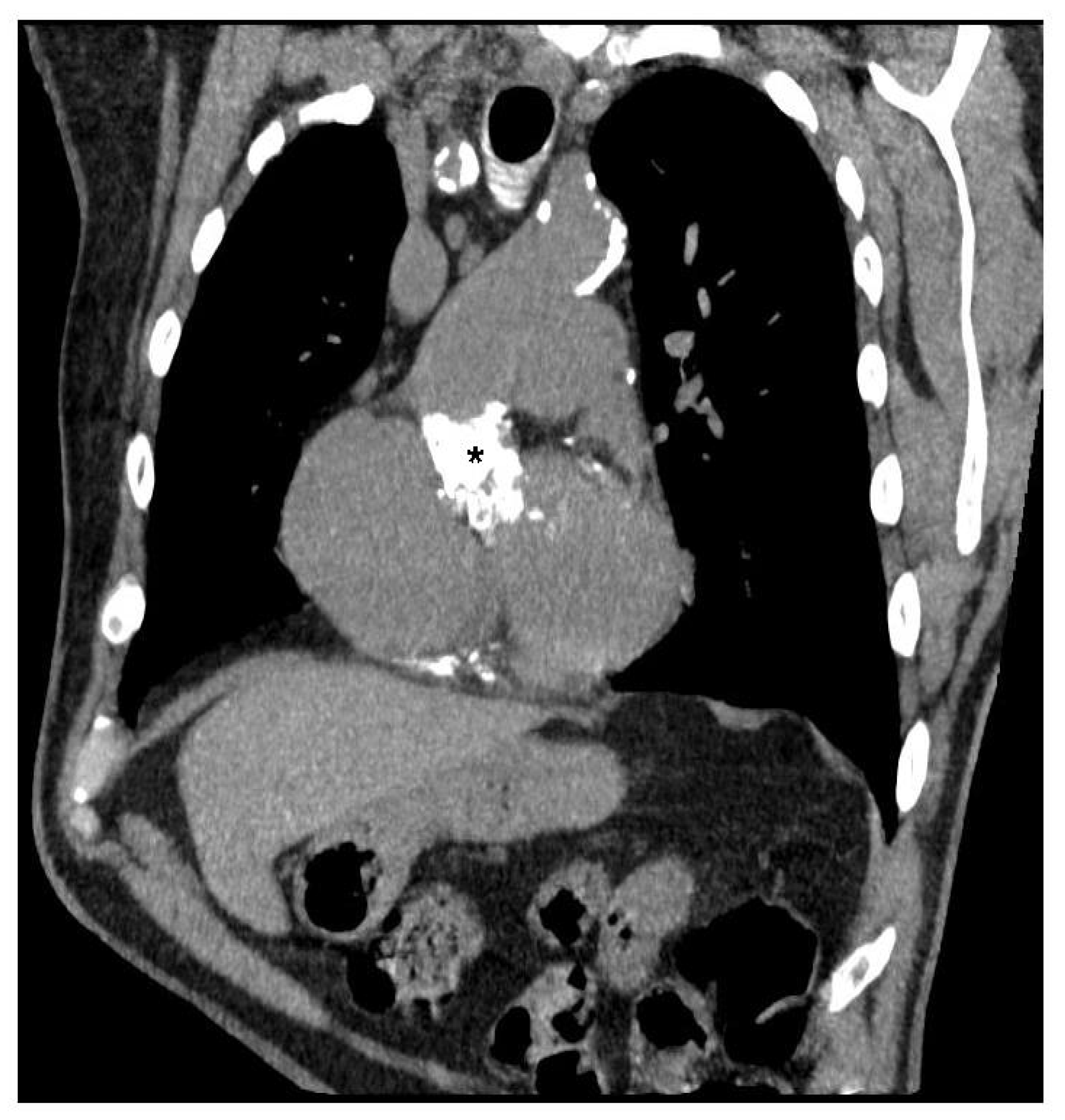
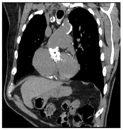
4.1. SB and RDB to Replace a Failing Stentless Bioprosthesis
4.2. SB and RDB to Replace a Failing Homograft
4.3. SB to Replace a Failing Aortic Valve Sparing Procedure
4.4. CPB and Aortic Cross-Clamp Times
5. Discussion
6. Conclusions
Funding
Conflicts of Interest
References
- Wendt, D.; Thielmann, M.; Buck, T.; Jánosi, R.-A.; Bossert, T.; Pizanis, N.; Kamler, M.; Jakob, H. First clinical experience and 1-year follow-up with the sutureless 3F-Enable aortic valve prosthesis. Eur. J. Cardio Thorac. Surg. 2008, 33, 542–547. [Google Scholar] [CrossRef] [PubMed]
- Accola, K.D.; Chitwood, W.R., Jr.; Mumtaz, M.A.; Barnhart, G.R. Step-by-step aortic valve replacement with a new rapid deployment valve. Ann. Thorac. Surg. 2018, 105, 966–971. [Google Scholar] [CrossRef]
- Laufer, G.; Wiedemann, D.; Chitwood, W.R., Jr. Rapid-deployment valves: Finally the fog is lifting-benefits beyond crossclamp and bypass times. J. Thorac. Cardiovasc. Surg. 2017, 154, 1527–1531. [Google Scholar] [CrossRef] [PubMed]
- Borger, M.A.; Moustafine, V.; Conradi, L.; Knosalla, C.; Richter, M.; Merk, D.R.; Doenst, T.; Hammerschmidt, R.; Treede, H.; Dohmen, P.; et al. A Randomized Multicenter Trial of Minimally Invasive Rapid Deployment Versus Conventional Full Sternotomy Aortic Valve Replacement. Ann. Thorac. Surg. 2015, 99, 17–25. [Google Scholar] [CrossRef] [PubMed]
- Powell, R.; Pelletier, M.P.; Chu, M.W.; Bouchard, D.; Melvin, K.N.; Adams, C. The Perceval sutureless aortic valve: Review of outcomes, complications, and future direction. Innovations 2017, 12, 155–173. [Google Scholar] [CrossRef]
- Belluschi, I.; Moriggia, S.; Giacomini, A.; Del Forno, B.; Di Sanzo, S.; Blasio, A.; Scafuri, A.; Alfieri, O. Can Perceval sutureless valve reduce the rate of patient-prosthesis mismatch? Eur. J. Cardio Thorac. Surg. 2017, 51, 1093–1099. [Google Scholar] [CrossRef]
- Santarpino, G.; Pfeiffer, S.; Concistrè, G.; Fischlein, T. REDO aortic valve replacement: The sutureless approach. J. Heart Valve Dis. 2013, 22, 615–620. [Google Scholar]
- Santarpino, G.; Pietsch, L.E.; Jessl, J.; Pfeiffer, S.; Pollari, F.; Pauschinger, M.; Fischlein, T. Transcatheter aortic valve-in-valve implantation and sutureless aortic valve replacement: Two strategies for one goal in redo patients. Min. Cardioangiol. 2016, 64, 581–585. [Google Scholar]
- Magovern, G.J.; Cromie, H.W. Sutureless prosthetic heart valves. J. Thorac. Cardiovasc. Surg. 1963, 46, 726–736. [Google Scholar] [CrossRef]
- Gott, V.L.; Alejo, D.E.; Cameron, D.E. Mechanical heart valves: 50 years of evolution. Ann. Thorac. Surg. 2003, 76, S2230–S2239. [Google Scholar] [CrossRef]
- Magovern, G.J.; Liebler, G.A.; Park, S.B.; Burkholder, J.A.; Sakert, T.; Simpson, K.A. Twenty-five-year review of the Magovern-Cromie sutureless aortic valve. Ann. Thorac. Surg. 1989, 48, S33–S34. [Google Scholar] [CrossRef]
- Raghav, V.; Okafor, I.; Quach, M.; Dang, L.; Marquez, S.; Yoganathan, A.P. Long-term durability of Carpentier-Edwards Magna Ease valve: A one billion cycle in vitro study. Ann. Thorac. Surg. 2016, 101, 1759–1767. [Google Scholar] [CrossRef] [PubMed]
- Celiento, M.; Ravenni, G.; Tomei, L.; Pratali, S.; Milano, A.D.; Bortolotti, U. Excellent durability of the Mosaic porcine aortic bioprosthesis at extended follow-up. J. Heart Valve Dis. 2018, 27, 97–103. [Google Scholar]
- Villa, E.; Messina, A.; Cirillo, M.; Brunelli, F.; Mhagna, Z.; Tomba, M.D.; Troise, G. Perceval Sutureless Valve in Freestyle Root: New Surgical Valve-in-Valve Therapy. Ann. Thorac. Surg. 2013, 96, e155–e157. [Google Scholar] [CrossRef]
- Kim, J.H.; Choi, S.Y. Sutureless aortic valve replacement in stentless bioprosthesis failure. Interact. Cardiovasc. Thorac. Surg. 2015, 21, 801–802. [Google Scholar] [CrossRef] [PubMed]
- Lio, A.; Miceli, A.; Ferrarini, M.; Glauber, M. Perceval S valve solution for degenerated Freestyle root in the presence of chronic aortic dissection. Ann. Thorac. Surg. 2016, 101, 2365–2367. [Google Scholar] [CrossRef][Green Version]
- Götte, J.; Hemmer, W.; Roser, D.; Liebrich, M.; Doll, N. Redo aortic valve implantation after full root replacement using a sutureless valve prosthesis. Ann. Thorac. Surg. 2016, 102, e421–e422. [Google Scholar] [CrossRef] [PubMed]
- Marzouk, M.; Shanmugam, G.; Kalavrouziotis, D.; Mohammadi, S. Ascending aortic replacement and sutureless aortic prosthesis: A bailout option. Ann. Thorac. Surg. 2016, 102, e507–e509. [Google Scholar] [CrossRef] [PubMed]
- Chiariello, G.A.; Villa, E.; Messina, A.; Tomba, M.D.; Cirillo, M.; Brunelli, F.; Zean, M.; Troise, G. Perceval valve-in-valve implant for full root xenograft failure. J. Card. Surg. 2017, 32, 567–570. [Google Scholar] [CrossRef]
- Stoker, T.; Mashhour, A.; Easo, J.; Kronberg, K.; Ennker, J.; Weymann, A. Novel Treatment of a Degenerated Bioroot With the Use of the Sutureless Valve Technique. Ann. Thorac. Surg. 2018, 105, e213–e214. [Google Scholar] [CrossRef] [PubMed]
- Gariboldi, V.; Grisoli, D.; Devin, A.; Nee, L.; Theron, A.; Hubert, S.; Jaussaud, N.; Morera, P.; Collart, F. Reoperation for Failure of Freestyle Bioprosthesis Using an Edwards Intuity Valve. Ann. Thorac. Surg. 2013, 96, e47–e48. [Google Scholar] [CrossRef] [PubMed]
- Martinelli, G.L.; Cotroneo, A.; Greco, P.; Cassese, M. Stentless aortic reoperation: New surgical strategy with rapid deployment valves. J. Thorac. Cardiovasc. Surg. 2015, 149, e88–e89. [Google Scholar] [CrossRef] [PubMed][Green Version]
- Folliguet, T.A.; Laborde, F. Sutureless Perceval aortic valve replacement in aortic homograft. Ann. Thorac. Surg. 2013, 96, 1866–1868. [Google Scholar] [CrossRef] [PubMed]
- Canadyova, J.; Mokracek, A. Calcified aortic homograft and sutureless valves. Cor Vasa 2015, 57, e362–e365. [Google Scholar] [CrossRef]
- Isbir, S.; Arsan, S.; Ak, K.; Cobanoglu, A. The Perceval sutureless valve in aortic root reoperation. J. Heart Valve Dis. 2017, 26, 741–743. [Google Scholar]
- Vendramin, I.; Piani, D.; Sponga, S.; Bortolotti, U.; Livi, U. Immediate failure of a valve-sparing procedure: Repair with a Perceval sutureless prosthesis. J. Cardiovasc. Med. 2010, 21, 986–987. [Google Scholar] [CrossRef] [PubMed]
- Dohmen, P.M.; Lehmkuhl, L.; Borger, M.A.; Misfeld, M.; Mohr, F.W. Valve-in-valve replacement using a sutureless aortic valve. Am. J. Case Rep. 2016, 17, 699–702. [Google Scholar] [CrossRef][Green Version]
- Folesani, G.; Calcara, G.; Minniti, G.; Polesel, E. Reoperation for aortic homograft failure using an Edwards Intuity valve. Interact. Cardiovasc. Thorac. Surg. 2016, 22, 378–380. [Google Scholar] [CrossRef][Green Version]
- De Martino, A.; Falcetta, G.; Milano, A.D.; Bortolotti, U. Modern concepts from old ideas in manufacture of cardiac valve prostheses. Indian J. Thorac. Cardiovasc. Surg. 2020, 36, 502–505. [Google Scholar] [CrossRef]
- Shrestha, M.; Folliguet, T.A.; Pfeiffer, S.; Meuris, B.; Carrel, T.; Bechtel, M.; Flameng, W.J.; Fischlein, T.; Laborde, F.; Haverich, A. Aortic Valve Replacement and Concomitant Procedures With the Perceval Valve: Results of European Trials. Ann. Thorac. Surg. 2014, 98, 1294–1300. [Google Scholar] [CrossRef]
- D’Onofrio, A.; Tessari, C.; Lorenzoni, G.; Cibin, G.; Martinelli, G.; Alamanni, F.; Polvani, G.; Solinas, M.; Massetti, M.; Merlo, M.; et al. Minimally Invasive vs Conventional Aortic Valve Replacement With Rapid-Deployment Bioprostheses. Ann. Thorac. Surg. 2021, 111, 1916–1922. [Google Scholar] [CrossRef]
- Szecel, D.; Meuris, B. Long-term outcome with sutureless valves: 12 years of Perceval experience. Ann. Cardiothorac. Surg. 2020, 9, 322–324. [Google Scholar] [CrossRef]
- Barnhart, G.R.; Accola, K.D.; Grossi, E.; Woo, Y.J.; Mumtaz, M.A.; Sabik, J.F.; Slachman, F.N.; Patel, H.J.; Borger, M.; Garrett, H.E.; et al. TRANSFORM (Multicenter Experience With Rapid Deployment Edwards INTUITY Valve System for Aortic Valve Replacement) US clinical trial: Performance of a rapid deployment aortic valve. J. Thorac. Cardiovasc. Surg. 2017, 153, 241–251. [Google Scholar] [CrossRef] [PubMed]
- Williams, M.L.; Flynn, C.D.; Mamo, A.A.; Tian, D.H.; Kappert, U.; Wilbring, M.; Folliguet, T.; Fiore, A.; Miceli, A.; D’Onofrio, A.; et al. Long-term outcomes of sutureless and rapid-deployment aortic valve replacement: A systematic review and meta-analysis. Ann. Cardiothorac. Surg. 2020, 9, 265–279. [Google Scholar] [CrossRef]
- Coti, I.; Haberl, T.; Scherzer, S.; Werner, P.; Shabanian, S.; Kocher, A.; Laufer, G.; Andreas, M. Outcome of rapid deployment aortic valves: Long-term experience after 700 implants. Ann. Cardiothorac. Surg. 2020, 9, 314–321. [Google Scholar] [CrossRef]
- D’Onofrio, A.; Salizzoni, S.; Filippini, C.; Tessari, C.; Bagozzi, L.; Messina, A.; Troise, G.; Tomba, M.D.; Rambaldini, M.; Dalén, M.; et al. Surgical aortic valve replacement with new-generation bioprostheses: Sutureless versus rapid-deployment. J. Thorac. Cardiovasc. Surg. 2020, 159, 432–442. [Google Scholar] [CrossRef]
- Borger, M.A.; Dohmen, P.; Misfeld, M.; Mohr, F.W. Minimal invasive implantation of an EDWARDS INTUITY rapid deployment aortic valve. Multimedia Man. Cardio Thorac. Surg. 2013, 2013, mmt011. [Google Scholar] [CrossRef]
- Misfeld, M. Minimally invasive aortic valve replacement using the Perceval S sutureless valve. Ann. Cardiothorac. Surg. 2015, 4, 203–205. [Google Scholar] [PubMed]
- Solinas, M.; Bianchi, G.; Chiaramonti, F.; Margaryan, R.; Kallushi, E.; Gasbarri, T.; Santarelli, F.; Murzi, M.; Farneti, P.; Leone, A.; et al. Right anterior mini-thoracotomy and sutureless valves: The perfect marriage. Ann. Cardiothorac. Surg. 2020, 9, 305–313. [Google Scholar] [CrossRef] [PubMed]
- Ravenni, G.; Pratali, S.; Scioti, G.; Bortolotti, U. Total calcification of an aortic homograft used as aortic root replacement. J. Cardiovasc. Med. 2011, 12, 191–192. [Google Scholar] [CrossRef]
- Finch, J.; Roussin, I.; Pepper, J. Failing stentless aortic valves: Redo aortic root replacement or valve in a valve? Eur. J. Cardio-Thorac. Surg. 2013, 43, 495–504. [Google Scholar] [CrossRef]
- Bortolotti, U.; Milano, A.; Mossuto, E.; Mazzaro, E.; Thiene, G.; Casarotto, D. Early and late outcome after reoperation for prosthetic valve dysfunction: Analysis of 549 patients during a 26-year period. J. Heart Valve Dis. 1994, 3, 81–87. [Google Scholar] [PubMed]
- Bortolotti, U.; Milano, A.D.; Valente, M.; Thiene, G. The stented porcine bioprosthesis. A 50-year journey through hopes and realities. Ann. Thorac. Surg. 2019, 108, 304–308. [Google Scholar] [CrossRef]
- Webb, J.G.; Wood, D.A.; Ye, J.; Gurvitch, R.; Masson, J.-B.; Rodés-Cabau, J.; Osten, M.; Horlick, E.; Wendler, O.; Dumont, E.; et al. Transcatheter Valve-in-Valve Implantation for Failed Bioprosthetic Heart Valves. Circulation 2010, 121, 1848–1857. [Google Scholar] [CrossRef] [PubMed]
- Akca, F.; Lam, K.; Özdemir, I.; Tan, E. Sutureless aortic valve replacement in a calcified homograft combined with mitral valve replacement. J. Cardiothorac. Surg. 2017, 12, 82. [Google Scholar] [CrossRef] [PubMed][Green Version]
- Hammond, R.F.L.; Jasionowska, S.; Awad, W.I. Aortic valve replacement with sutureless Perceval S valve: A case report of aortic root homograft failure in the setting of Streptococcus constellatus endocarditis. J. Card Surg. 2020, 35, 2829–2831. [Google Scholar] [CrossRef] [PubMed]
- Santarpino, G.; Berretta, P.; Kappert, U.; Teoh, K.; Mignosa, C.; Meuris, B.; Villa, E.; Albertini, A.; Carrel, T.P.; Misfeld, M.; et al. Minimally Invasive Redo Aortic Valve Replacement: Results From a Multicentric Registry (SURD-IR). Ann. Thorac. Surg. 2020, 110, 553–557. [Google Scholar] [CrossRef]
- Arias, E.A.; Bhan, A.; Lim, Z.Y.; Mullen, M. TAVI for pure native aortic regurgitation: Are we there yet? Interv. Cardiol. Rev. 2019, 14, 26–30. [Google Scholar] [CrossRef]
- De Martino, A.; Guarracino, F.; Bortolotti, U. Failure of valve-in-valve implantation for pure aortic regurgitation. Asian Cardiovasc. Thorac. Ann. 2020, 28, 131. [Google Scholar] [CrossRef]
- Vendramin, I.; Bortolotti, U.; Livi, U. Rapid deployment and sutureless aortic prostheses: Time to validate unusual or off label indications? J. Card Surg. 2020, 35, 3675. [Google Scholar] [CrossRef]
- Santarpino, G.; Pfeiffer, S.; Fishlein, T. Perceval sutureless approach in a patient with porcelain aorta unsuitable for transcatheter aortic valve implantation. Int. J. Cardiol. 2012, 155, 168–170. [Google Scholar] [CrossRef] [PubMed]
- Gatti, G.; Benussi, B.; Camerini, F.; Pappalardo, A. Aortic valve replacement within an unexpected porcelain aorta: The sutureless approach. Interact. CardioVasc. Thorac. Surg. 2014, 18, 396–398. [Google Scholar] [CrossRef]
- Martinelli, G.L.; Cotroneo, A.; Stelian, E.; Benea, D.; Diena, M. A new approach for severe aortic regurgitation in porcelain aorta with sutureless Perceval valve: A case report. Int. J. Surg. Case Rep. 2019, 59, 124–127. [Google Scholar] [CrossRef] [PubMed]
- Piperata, A.; Bottio, T.; Aversani, M.; Folino, G.; Bellanti, E.; Gerosa, G. Use of rapid- deployment aortic valve prosthesis and patch reconstruction in complex endocarditis. J. Card Surg. 2020, 35, 2056–2058. [Google Scholar] [CrossRef] [PubMed]
- Sponga, S.; Daffarra, C.; Pavoni, D.; Vendramin, I.; Mazzaro, E.; Piani, D.; Nalli, C.; Nucifora, G.; Livi, U. Surgical management of destructive aortic endocarditis: Left ventricular outflow reconstruction with the Sorin Pericarbon Freedom stentless bioprosthesis. Eur. J. Cardio Thorac. Surg. 2016, 49, 242–248. [Google Scholar] [CrossRef][Green Version]
- Lio, A.; Miceli, A.; Solinas, M.; Glauber, M. Initial experience with sutureless Sorin Perceval S aortic prosthesis for the treatment of prosthetic valve endocarditis. Thorac. Cardiovasc. Surg. 2015, 63, 501–503. [Google Scholar] [PubMed]
- Santarpino, G.; Pfeiffer, S.; Fischlein, T. Sutureless valve implantation in a patient with bicuspid aortic valve. Int. J. Cardiol. 2012, 157, e21–e22. [Google Scholar] [CrossRef]
- Nguyen, A.; Fortin, W.; Mazine, A.; Bouchard, D.; Carrier, M.; El Hamamsy, I.; Lamarche, Y.; Demers, P. Sutureless aortic valve replacement in patients who have bicuspid aortic valve. J. Thorac. Cardiovasc. Surg. 2015, 150, 851–857. [Google Scholar] [CrossRef][Green Version]
- Miceli, A.; Berretta, P.; Fiore, A.; Andreas, M.; Solinas, M.; Santarpino, G.; Kappert, U.; Misfeld, M.; Savini, C.; Albertini, A.; et al. Sutureless and rapid deployment implantation in bicuspid aortic valve: Results from the sutureless and rapid-deployment aortic valve replacement international registry. Ann. Cardiothorac. Surg. 2020, 9, 298–304. [Google Scholar] [CrossRef] [PubMed]

| Author | Year | Age, Sex | Operation | Reoperation | Outcome, FU |
|---|---|---|---|---|---|
| Villa et al. 10 | 2013 | 63, F | 21 mm Freestyle aortic root | Perceval S | Alive, NA |
| Kim et al. 11 | 2015 | 78, M | 25 mm Prima aortic root | Perceval S | Alive, 3 months |
| Lio et al. 12 | 2016 | 72, F | 25 mm Freestyle aortic root | Perceval S, MVr | Alive, 7 months |
| 83, F | 27 mm Freestyle aortic root | Perceval L | Alive, 1 year | ||
| Götte et al. 13 | 2016 | 83, M | 25 mm stentless aortic root * | Perceval M, MVr | Alive, NA |
| Marzouk et al. 14 | 2016 | 78, M | 23 mm Freestyle subcoronary, AAR | Perceval S | Alive, 6 months |
| Chiariello et al. 15 | 2017 | 3M, 2F ** Mean age, 69 ± 6 years | 21 mm Freestyle aortic root (n = 1); 27 mm Freestyle aortic root (n = 2); 23 mm Prima aortic rot (n = 1); 25 mm Prima aortic root (n = 1) | Perceval S (n = 2), M (n = 1), L (n = 2) | Mean, 27 ± 16 months |
| Stoker et al. 16 | 2018 | 44, F | 21 mm Freestyle aortic root | Perceval S | Alive, NA |
| 29, M | 27 mm Freestyle aortic root | Perceval L | Alive, NA | ||
| 76, M | 23 mm Freestyle aortic root | 23 mm Enable | Alive, NA |
| Author | Year | Age, Sex | Operation | Reoperation | Outcome, FU |
|---|---|---|---|---|---|
| Gariboldi et al. 19 | 2013 | 50, M | Freestyle aortic root | Intuity 21 mm | Alive, NA |
| Martinelli et al. 20 | 2015 | 69, M | Freestyle 25 mm aortic root | Intuity 23 mm | Alive, 6 months |
| 84, F | Elan SB subcoronary | Intuity 19 mm | Alive, 6 months |
| Author | Year | Age, Sex | Operation | Reoperation | Outcome, FU |
|---|---|---|---|---|---|
| Folliguet et al. 21 | 2013 | 62, M | 23 mm homograft aortic root | Perceval S | Alive, 6 months |
| Čanádyová et al. 22 | 2015 | 70, F | AVR, freehand homograft | Perceval S | Alive, NA |
| Dohmen et al. 23 | 2016 | 61, F | 21 mm homograft aortic root | Perceval S | Alive, 1 year |
| Folesani et al. 24 | 2016 | 50, M | AVR, 24 mm freehand homograft | 21 mm Intuity | Alive, 6 months |
| Akca et al. 25 | 2017 | 55, M | Homograft aortic root | Perceval S, MVR | Alive, 3 months |
| Hammond et al. 26 | 2020 | 39, M | Homograft aortic root | Perceval S, MVR | Alive, 44 months |
Publisher’s Note: MDPI stays neutral with regard to jurisdictional claims in published maps and institutional affiliations. |
© 2021 by the authors. Licensee MDPI, Basel, Switzerland. This article is an open access article distributed under the terms and conditions of the Creative Commons Attribution (CC BY) license (https://creativecommons.org/licenses/by/4.0/).
Share and Cite
Vendramin, I.; Lechiancole, A.; Piani, D.; Nucifora, G.; Benedetti, G.; Sponga, S.; Muser, D.; Bortolotti, U.; Livi, U. Use of Sutureless and Rapid Deployment Prostheses in Challenging Reoperations. J. Cardiovasc. Dev. Dis. 2021, 8, 74. https://doi.org/10.3390/jcdd8070074
Vendramin I, Lechiancole A, Piani D, Nucifora G, Benedetti G, Sponga S, Muser D, Bortolotti U, Livi U. Use of Sutureless and Rapid Deployment Prostheses in Challenging Reoperations. Journal of Cardiovascular Development and Disease. 2021; 8(7):74. https://doi.org/10.3390/jcdd8070074
Chicago/Turabian StyleVendramin, Igor, Andrea Lechiancole, Daniela Piani, Gaetano Nucifora, Giovanni Benedetti, Sandro Sponga, Daniele Muser, Uberto Bortolotti, and Ugolino Livi. 2021. "Use of Sutureless and Rapid Deployment Prostheses in Challenging Reoperations" Journal of Cardiovascular Development and Disease 8, no. 7: 74. https://doi.org/10.3390/jcdd8070074
APA StyleVendramin, I., Lechiancole, A., Piani, D., Nucifora, G., Benedetti, G., Sponga, S., Muser, D., Bortolotti, U., & Livi, U. (2021). Use of Sutureless and Rapid Deployment Prostheses in Challenging Reoperations. Journal of Cardiovascular Development and Disease, 8(7), 74. https://doi.org/10.3390/jcdd8070074

