Early Basal Cuspal Tear of a Porcine Bioprosthetic Mitral Valve Causing Massive Mitral Regurgitation
Abstract
1. Introduction
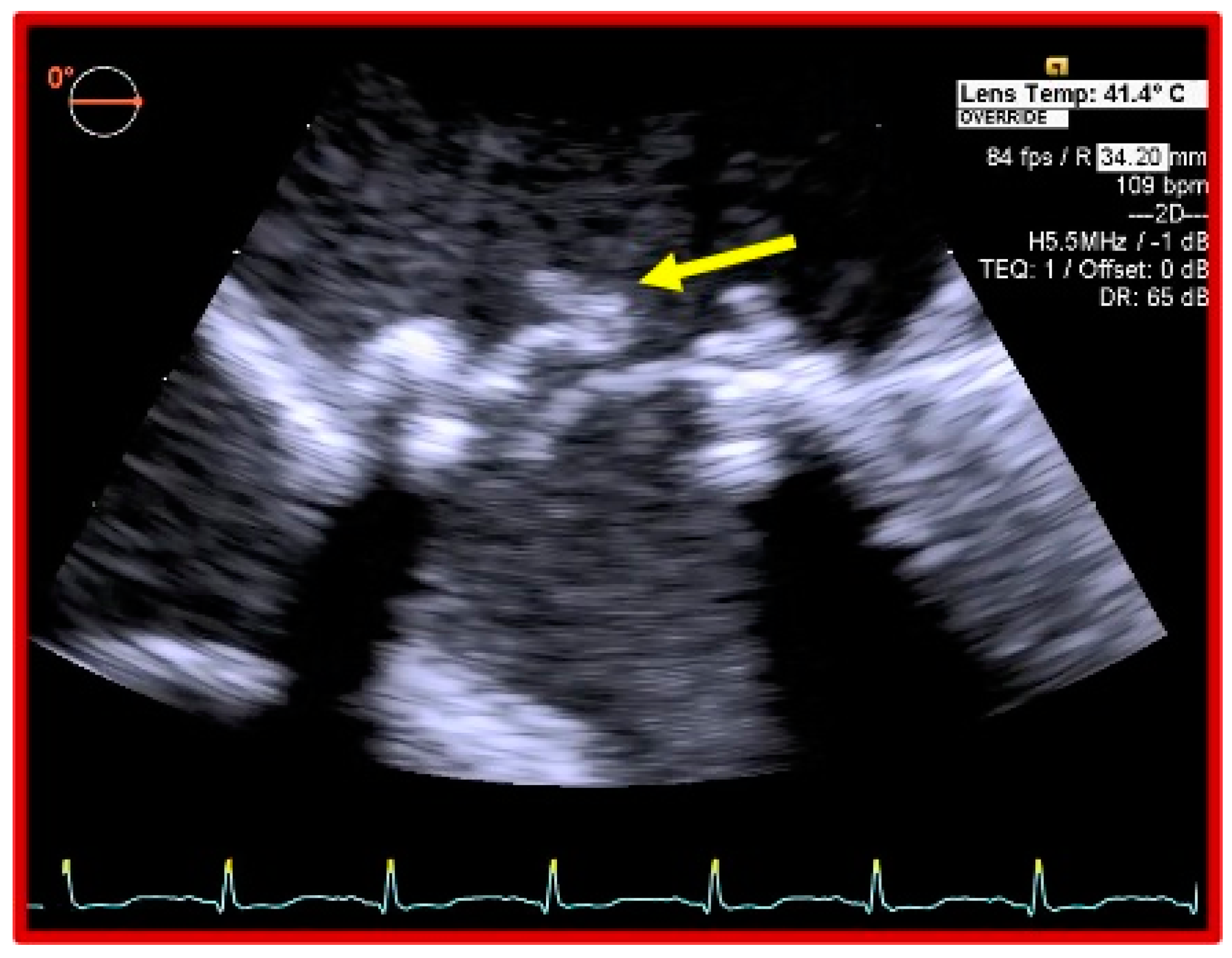
2. Case History
3. Discussion
4. Conclusions
Author Contributions
Funding
Conflicts of Interest
References
- Malvindi, P.G.; Mastro, F.; Kowalewski, M.; Ringold, M.; Margari, V.; Suwalski, P.; Speziale, G.; Paparella, D. Durability of Mitral Valve Bioprostheses: A Meta-Analysis of Long-Term Follow-up Studies. Ann. Thorac. Surg. 2020, 109, 603–611. [Google Scholar] [CrossRef] [PubMed]
- Grunkemeier, G.L.; Furnary, A.P.; Wu, Y.; Wang, L.; Starr, A. Durability of pericardial versus porcine bioprosthetic heart valves. J. Thorac. Cardiovasc. Surg. 2012, 144, 1381–1386. [Google Scholar] [CrossRef] [PubMed]
- Pomar, J.L.; Bosch, X.; Chaitman, B.R.; Pelletier, C.; Grondin, C.M. Late Tears in Leaflets of Porcine Bioprostheses in Adults. Ann. Thorac. Surg. 1984, 37, 78–83. [Google Scholar] [CrossRef]
- Gao, G.; Wu, Y.; Grunkemeier, G.L.; Furnary, A.P.; Starr, A. Durability of pericardial versus porcine aortic valves. J. Am. Coll. Cardiol. 2004, 44, 384–388. [Google Scholar] [CrossRef][Green Version]
- Cipriano, P.R.; Billingham, M.E.; Oyer, P.E.; Kutsche, L.M.; Stinson, E.B. Calcification of porcine prosthetic heart valves: A radiographic and light microscopy study. Circulation 1982, 66, 1100–1104. [Google Scholar] [CrossRef]
- Miura, T.; Hazama, S.; Iwasaki, K.; Izumi, K.; Matsukuma, S.; Eishi, K. A Rapid Structural Degeneration of a Porcine Mitral Valve. Ann. Thorac. Surg. 2012, 93, e113–e114. [Google Scholar] [CrossRef] [PubMed]
- Ha, J.W.; Chang, B.C.; Chung, N.; Cho, S.H. Images in cardiology. Acute severe mitral regurgitation due to unusual detachment of bioprosthetic valve leaflet. Clin. Cardiol. 2000, 23, 213. [Google Scholar]
- Alexiou, C.; Langley, S.M.; Stafford, H.; Lowes, J.A.; Livesey, S.A.; Monro, J.L. Surgery for active culture-positive endocarditis: Determinants of early and late outcome. Ann. Thorac. Surg. 2000, 69, 1448–1454. [Google Scholar] [CrossRef]
- Koziarz, A.; Makhdoum, A.; Butany, J.; Ouzounian, M.; Chung, J. Modes of bioprosthetic valve failure. Curr. Opin. Cardiol. 2020, 35, 123–132. [Google Scholar] [CrossRef]




Publisher’s Note: MDPI stays neutral with regard to jurisdictional claims in published maps and institutional affiliations. |
© 2020 by the authors. Licensee MDPI, Basel, Switzerland. This article is an open access article distributed under the terms and conditions of the Creative Commons Attribution (CC BY) license (http://creativecommons.org/licenses/by/4.0/).
Share and Cite
Tamim, M.; Alexiou, C.; AlKadi, Y.; Mahmoud, M.S.; Qaddoura, F. Early Basal Cuspal Tear of a Porcine Bioprosthetic Mitral Valve Causing Massive Mitral Regurgitation. J. Cardiovasc. Dev. Dis. 2020, 7, 52. https://doi.org/10.3390/jcdd7040052
Tamim M, Alexiou C, AlKadi Y, Mahmoud MS, Qaddoura F. Early Basal Cuspal Tear of a Porcine Bioprosthetic Mitral Valve Causing Massive Mitral Regurgitation. Journal of Cardiovascular Development and Disease. 2020; 7(4):52. https://doi.org/10.3390/jcdd7040052
Chicago/Turabian StyleTamim, Muhammed, Christos Alexiou, Yaser AlKadi, Mohsen S. Mahmoud, and Fatema Qaddoura. 2020. "Early Basal Cuspal Tear of a Porcine Bioprosthetic Mitral Valve Causing Massive Mitral Regurgitation" Journal of Cardiovascular Development and Disease 7, no. 4: 52. https://doi.org/10.3390/jcdd7040052
APA StyleTamim, M., Alexiou, C., AlKadi, Y., Mahmoud, M. S., & Qaddoura, F. (2020). Early Basal Cuspal Tear of a Porcine Bioprosthetic Mitral Valve Causing Massive Mitral Regurgitation. Journal of Cardiovascular Development and Disease, 7(4), 52. https://doi.org/10.3390/jcdd7040052

