Simple Summary
Tensins are a family of focal adhesion proteins that connect the extracellular matrix (ECM) to the cytoskeletal networks, mainly through integrin receptors and their associated protein complexes. To investigate, for the first time in canine species, the expression of CTEN was evaluated in oral and cutaneous squamous cell carcinoma samples from several dog breeds and submitted to immunohistochemistry technique. The results reveal a higher level of expression associated with the highest grades of the tumor, evidencing that this protein is more expressed in the highest grades of squamous cell carcinoma, probably due to its involvement in tumor progression. In the present study, we demonstrated, for the first time, CTEN clinical significance in a canine squamous cell carcinoma, and, to our knowledge, this is also the first time that the CTEN expression pattern is linked to the canine species.
Abstract
C-terminal tensin-like (tensin-4/TNS4/CTEN) is the fourth member of the tensin family, frequently described as displaying oncological functions, including cellular migration, invasion, adhesion, growth, metastasis, epithelial to mesenchymal transition, and apoptosis, in several different types of cancer. To investigate, for the first time, the clinical significance of CTEN in squamous cell carcinoma (SCC) of dogs, we studied a total of 45 SCC sections from various dog breeds. The mean age of the affected dogs was 8.9 ± 3.6 years. Immunohistochemistry confirmed strong cytoplasmatic CTEN expression in the basal layer of the epidermis next to the tumor. We detected high CTEN expression associated with the highest grade of the tumor (grade III) and observed 100% of immunopositivity for this tumor grading (p < 0.0001). These data suggest that CTEN is an oncogene in SCC of dogs and a promising biomarker and a therapeutic target for dogs affected by SCC.
1. Introduction
C-terminal tensin-like (tensin-4/TNS4/CTEN) was the last member identified in the tensin family [1]. It was described as a much smaller protein (80 kDa), having in common with other tensins (tensin-1, tensin-2, and tensin-3) its C-terminal (carboxyl-terminus), containing both phosphotyrosine binding (PTB) and Src homology 2 (SH2) domains [2]. These domains are extremely important for the smooth operation of all tensins, despite some of their functions being conflicting between them. The SH2 domain plays a major role in tensin’s signaling pathways since it binds with phosphorylated proteins in their tyrosine amino acid, such as phosphoinositide 3-kinase (PI3K), focal adhesion kinase (FAK), tyrosine-protein kinase MET (MET), Crk-associated substrate (p130CAS), paxillin, epidermal growth factor receptor (EGFR), casitas B-lineage lymphoma (c-Cbl), proto-oncogene tyrosine-protein kinase (Src), and tyrosine-protein kinase receptor UFO (AXL) [3,4,5,6]. The PTB domain is also important for tensins since it binds with ꞵ-integrin at the NPXY/F motifs and controls the signaling pathways that regulate cell adhesion and motility [6].
Despite tensins being known to localize to focal adhesions, CTEN is also found in the cytoplasm and the nucleus, and it is in these three sub-cellular localizations that CTEN exhibits its physiological functions [7,8]. Being positively regulated by several growth factors, including epidermal growth factor (EGF), transforming growth factor-beta 1 (TGF- β1), insulin-like growth factor 1 (IGF-1), interleukin-6 (IL-6), interleukin-13 (IL-13), and fibroblast growth factors (FGFs), CTEN is responsible for controlling multiple proteins and signaling pathways, through which CTEN regulates cell invasion, migration, adhesion, growth, metastasis, apoptosis, and epithelial to mesenchymal transition (EMT) [3,4,5,7,9,10,11,12,13,14,15,16,17]. Bearing that in mind, it is not surprising that CTEN is frequently reported as an oncogene in human cancers, although it was initially described as a tumor suppressor in prostate cancer, with very limited expression in normal tissues [1]. Overexpression of CTEN was reported in several human cancers, such as thymoma [18], melanoma [19], hepatocellular carcinoma [20], lung [13], colon [12,21], breast [10], pancreatic [22], ovarian [16], and gastric [23]. These reports prove that CTEN contributes to carcinogenesis, being also widely considered to be a putative biomarker and a therapeutic target, although its role and its expression are poorly understood, especially in veterinary medicine. As far as we know, only two studies were published using MDCK (Madin–Darby canine kidney) cells examining the mechanotransduction pathway of TNS4 and the keratin network [24], and the role of the TNS4-STAT3 axis in epithelial sheet invasion and tubulogenesis [25]. However, there are no studies on its role in cancer in dogs.
Squamous cell carcinoma (SCC) is a malignant tumor derived from epidermal keratinocyte differentiation [26], commonly due to DNA damage, induced by UV radiation [27]. SCC can affect not only humans, but also dogs, cats, cattle, caprine, and ovine species, affecting many different body regions, including the digits, lips, eyes, skin, lungs, anus, abdomen, ears, lips, mammary gland, oral cavity, and nasal cavity [28,29,30]. Canine SCC is a very common cancer disease in dogs (up to 2% of all cancers) [31]. The risk for the development of SCC is associated with increased age, exposure to solar radiation, and lack of haircoat/pigment within the epidermis [32], predominantly affecting the digital region, oral cavity, and skin [30,32]. SCC is often described as a locally invasive carcinoma with a low capacity for slow metastases [33], but this may vary depending on the localization of the tumor.
Comparative oncology has gained increasing interest in the scientific community. Studies in animal tumors can open avenues for studies in human tumors and vice versa. Given the percentage of identity between dogs’ (ENSCAFT00845014125.1) and humans’ (ENST00000254051.11) CTEN protein (up to 84%) [34], it is possible that CTEN may display similar functions in both species. Furthermore, besides the high homology shared between them, their physiological and histological processes can be very similar [35]. Thus, we suspect that CTEN may have an important role in canine SCC carcinogenesis, since it was recently reported to be overexpressed and implicated in the repression of apoptosis in human squamous cell carcinoma of the head and neck [14].
With this study, we intended to evaluate CTEN expression in squamous cell carcinoma of dogs with different ages, breeds, and tumor localizations, describing for the first time not only CTEN immunoreactivity in SCC but also its pathological involvement in canine tumors.
2. Materials and Methods
2.1. Animals and Histopathology
A total of 45 canine SCC histological sections were obtained from the Histopathological Laboratory of the University of Trás-os-Montes and Alto Douro archives. These tumors were excised from 45 dogs and previously fixed in 10% buffered formalin and paraffin-embedded. For each case, clinical information was recorded such as gender, age, breed, and localization (oral or cutaneous) and size of the tumor. It was not possible to obtain the clinical staging or follow-up of animals included in the study.
For the histopathological study, sections of tissue 4 µm thick were stained with hematoxylin and eosin. Two independent pathologists reviewed each sample. All slides were considered in this study and entire sections of the tumors were analyzed.
Histopathologic diagnosis was based on the World Health Organization (WHO) histological classification of animal tumors [36].
A Nikon Eclipse E600 microscope with a Nikon DXM1200 digital camera (Nikon Instruments Inc., Melville, New York, USA) was used for microscopical observations and images capture.
2.2. Histopathological Evaluation
Histological grading was assigned using an adapted version of Anneroth’s multifactorial system [37]. The grading was based on the histological classification of the malignity of tumor cells, scoring three different parameters from 1 to 3, including the degree of keratinization, nuclear polymorphism, and the number of mitoses. The degree of keratinization was accessed according to the percentage of tumor keratinized cells into: I—>50% cells keratinized; II—20–50%; and III—0–20% cells keratinized. Nuclear pleomorphism was evaluated as: I—little (> 75% mature cells); II—moderate (50–75% of mature cells); III—abundant nuclear pleomorphism (0–50% of mature cells). The number of mitoses was counted in 10 high power field (HPF) and categorized as: I—0 to 1 mitosis/HPF; II—2 to 3 mitosis/HPF; III—≥ 4 mitosis/HPF.
The tumor–host relationship was also evaluated, depending on the pattern of invasion, stage of invasion, and lymphoplasmacytic infiltration, scoring each parameter from 1 to 3. The pattern of invasion was considered as follows: I—pushing, well-delineated infiltrating borders; II—infiltrating solid cords, bands, and/or strands; III—small groups, cords, or single cells infiltrating. Stage of invasion was graded as: I—corresponding to carcinoma in situ and/or questionable invasion; II—distinct invasion, only involving lamina propria; III—invasion below lamina propria, including muscles. Lymphoplasmacytic infiltration was evaluated as: I—marked; II—moderate; III—slight to none.
The total points calculated were divided into three grades: grade I (score 5–10), including well-differentiated tumors; grade II (score 11–15), including moderately differentiated tumors; and grade III (+16), including poorly differentiated tumors.
2.3. Immunohistochemical Staining Procedure
The immunohistochemical (IHC) technique was performed in 45 canine SCC sections (3 μm thick) from formalin-fixed paraffin-embedded (FFPE) tissues to investigate CTEN’s expression. The protocol was divided into two parts and included the usage of the kit NovolinkTM Polymer Detection Systems (Leica Biosystems®, Newcastle, UK).
In the first part, the samples were dewaxed in xylene for 15 min, followed by hydration in graded alcohols (100%, 95%, 80%, and 70%), for 5 min each. For antigen retrieval, the samples were submersed in citrate buffer solution (10 mM, pH 6.0 ± 0.2) and heated in a 750 W microwave for 3 cycles, 5 min each. For peroxidase inhibition, we applied 3% hydrogen peroxide (H2O2) for 30 min and, after washing with PBS, the sections were incubated with Protein Block for 5 min. The first part of this procedure ended with the incubation of the antibody tensin-4 (Thermofisher®, Waltham, MA, United States), clone SP83, rabbit anti-human, Invitrogen MA516355), diluted 1:100 in PBS for 24 h at 4 °C. In the second part of the protocol, we applied post-primary reagent, followed by Novolink Polymer, each for 30 min. After several washings with PBS, the samples were revealed, by incubation of 3,3-diaminobenzidine (DAB) (Novocastra®, kit NovolinkTM Polymer Detection Systems, Leica Biosystems®, Newcastle, UK) for 10 min and counterstained with Gill’s hematoxylin for 1 min. After washing with water, the sections were dehydrated in graded alcohols (95%, 95%, 100%, 100%) for 3 min each, diaphanized in xylene, and then mounted with the aqueous mounting medium Entellan (Merck®, Rahway, NJ, United States).
We performed two different types of control tissues, namely positive and negative control. As a positive control, we chose a tissue that was collected from a canine prostate tumor, since CTEN expression in normal tissues is restricted to the prostate and placenta in humans [1]. For the negative control, one SCC sample was treated with PBS instead of using the antibody, to demonstrate that the staining was a result of the interaction between the target cell and CTEN.
2.4. Immunoreactivity of CTEN
The immunoreactivity was qualitatively analyzed and classified as positive or negative, depending on the staining intensity, when compared with the basal layer of the epidermis next to the tumor, since CTEN expression was observed to be significantly higher in this region, as it was described in human skin [38]. The samples were classified as positive when the staining intensity was stronger than the basal layer of the epidermis next to the tumor, and negative when the staining intensity was similar or lower.
2.5. Data Analysis
For statistical data analysis we used SPSS (Statistical Package for the Social Sciences, IL, EUA) software, version 24.0, in which we performed Pearson’s chi-squared test (ꭓ2) and Fisher’s exact test. The results were considered statistically significant for p < 0.05.
3. Results
3.1. Clinical Information
Overall, 48.9% (22 cases) were female and 42.2% (19 cases) were male, having missing data from four animals. The ages ranged from 1 to 17 years (mean = 8.9 ± 3.6 years) and their breed details are given in Table 1. Most of the SCC samples were from the oral cavity (50%), and the others were from several parts of the corporis integument (50%) [39]. The tumor sizes were larger than 2 cm in 66.7% of the cases.
Table 1.
Percentage and frequency of dog breeds with SCC.
3.2. Histological Classification of the SCC Tumors
The classification was attributed according to the criteria that were described above: 33.3% (15 cases) were well-differentiated (grade I); 37.8% (17 cases) were moderately differentiated (grade II); 28.9% (13 cases) were poorly differentiated (grade III); Figure 1.
Figure 1.
CTEN immunoreactivity (positive and negative) in grade I, grade II, and grade III SCC.
3.3. Immunoexpression of CTEN
The expression of CTEN was observed in the basal layer of the non-tumoral epidermis next to the tumor and it was cytoplasmatic. In tumor cells, the labeling was cytoplasmatic, being noted mainly in the areas of invasion (Figure 2).
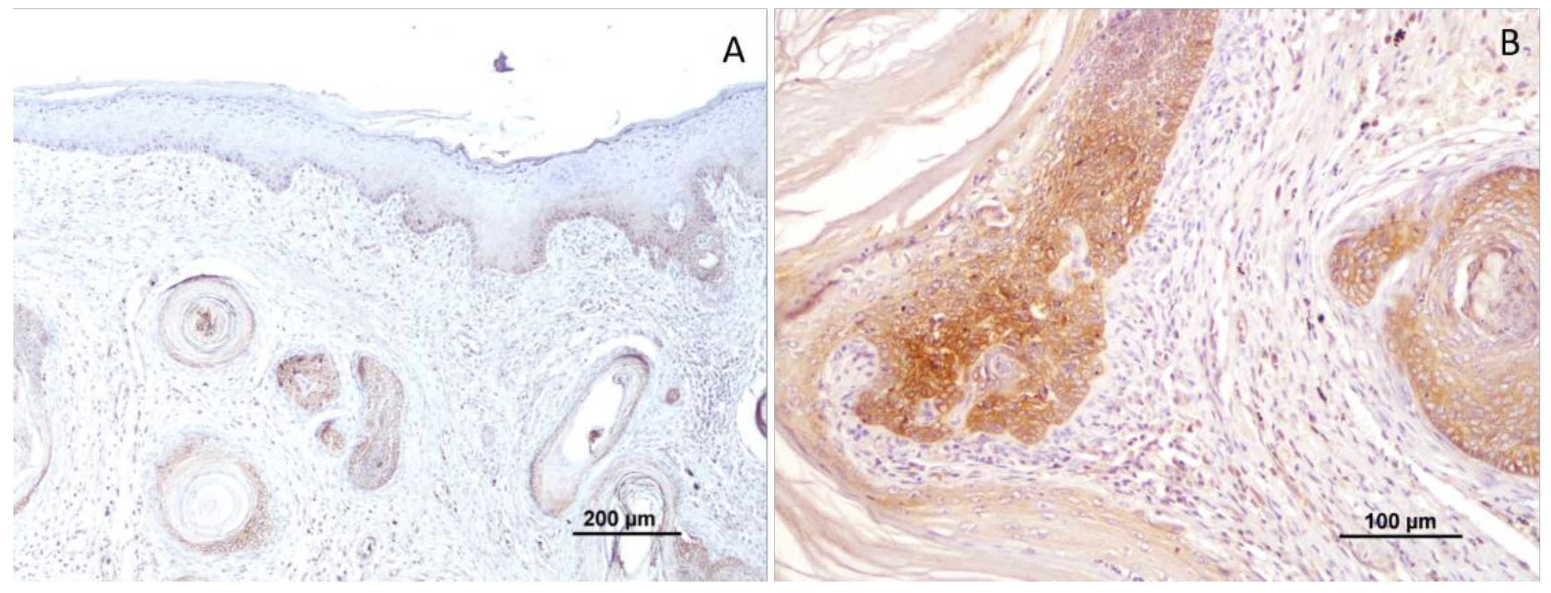
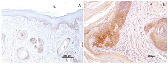
Figure 2.
CTEN immunoreactivity in well-differentiated tumors (grade I). (A) Negative immunoreactivity. Note the non-tumoral epidermis with labeling similar to tumoral cells. (B) Positive immunoreactivity.
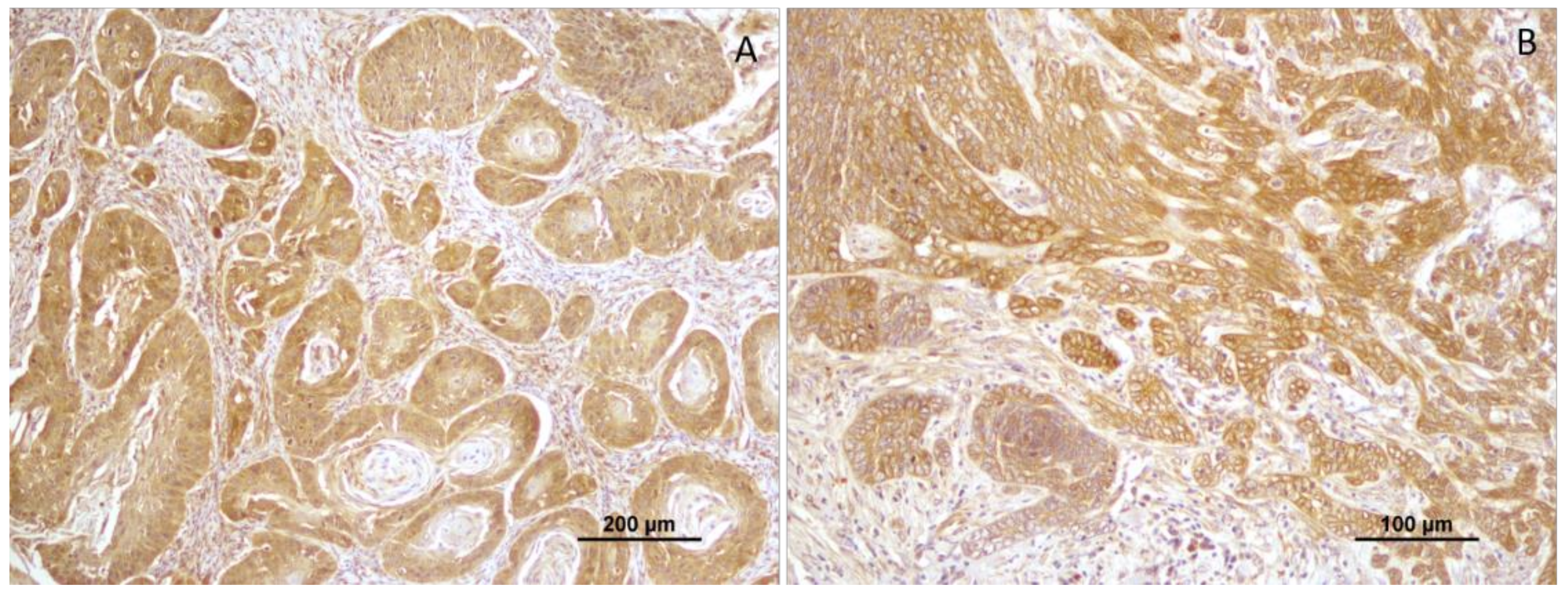
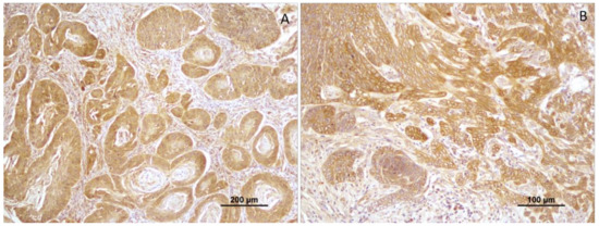
In total, 55.6% (25 squamous cell carcinomas) revealed negative CTEN expression and 44.4% (20 cases) were positive for this marker. Considering the well-differentiated tumors, only 5% (1 case) showed positive CTEN expression, while 93.3% (14 cases) accounted for negative CTEN expression. Moderately differentiated squamous cell carcinomas (n = 17) revealed negative CTEN expression in 11 cases (64.7%) and a positive reaction in 6 cases (35.3%) (Figure 3). The higher tumor grading (poorly differentiated tumors) showed CTEN immunoreactivity in all cases (n = 13; 100%); Figure 4.
Figure 3.
(A, B) Positive CTEN immunoreactivity in moderately differentiated tumors (grade II).
Figure 4.
(A, B) Positive CTEN immunoreactivity in poorly differentiated tumors (grade III).
Analyzing the association of CTEN immunoreactivity and the histological grading of the tumors, a significant association of the higher tumor grading (poorly differentiated tumors) with CTEN immunoreactivity was noted, which was statistically significant (p < 0.0001).
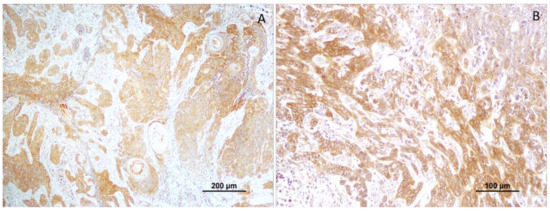
A possible association between CTEN expression and the localization of the tumors (cutaneous/oral) was also evaluated. However, the differences between CTEN expression in cutaneous and oral tumors were not statistically significant (p = 1); Figure 5.
Figure 5.
CTEN immunoreactivity in cutaneous and oral SCC.
4. Discussion
CTEN was first described to have restricted expression in the human prostate and placenta [1]; however, after almost 20 years of studying this protein and its gene, it has been frequently reported to be upregulated in multiple human cancers, suggesting its role as an oncogene. In animals, in vitro studies using Madin–Darby canine kidney (MDCK) cell lines suggested that CTEN is involved in multiple cellular mechanisms, including invasion of the extracellular matrix, through CTEN–keratin network interaction, since keratins are key factors in cell migration [24,25]. However, there is no evidence regarding CTEN expression in canine tumors; therefore, our main aim was to evaluate CTEN immunoexpression in canine SCC.
A total of 45 SCC tumor samples with different localizations and histological gradings, from dogs with distinct breeds (Table 1), genders, and ages were studied. The mean age obtained was 8.9 ± 3.6 years old, matching the values found in the literature [30,32,40,41]. The oral cavity was representative of 50% of the SCC samples, and the other 50% were from different parts of the corporis integument [39]. We could not find any association between the histological grading of the tumors and their localization (p = 1).
The immunohistochemical procedure revealed a cytoplasmatic staining, more predominant in the basal layer of the epidermis next to the tumor, corroborating the findings of Seo and his colleagues, in human skin [38]. They suggested a possible role for CTEN as a signal adapter, in epidermal proliferation and/or differentiation, transmitting integrin signals from integrin subunit beta 4 (ITGB4) to the FAK/ERK signaling pathway [38]. Thereby, in our experiment, in the absence of any reports in canine tumors and after having the same staining pattern as those found in human skin, we considered positive labeling when the staining in SCC tumor sections was stronger than in the basal layer of the skin next to the tumor.
Our results show 44.4% positive immunoreactivity for CTEN, suggesting a strong concordance with the results found in head and neck squamous cell carcinoma in humans, which reported different levels of expression between normal tissues and SCC samples of head and neck tumors [14]. In squamous cell carcinomas of dogs, mechanisms associated with cell survival similar to those described in humans may be implicated and should be explored. In human head and neck SCC, CTEN was found to regulate several apoptotic proteins, including the 60 kDa heat shock protein (HSP60) and caspase-3, which are downregulated by CTEN, and conversely, upregulated proteins, including the Bcl-2-like protein 1 (BCL2L1) and myeloid cell leukemia-1 (MCL1) [14]. Others have demonstrated a role in inducing statin-induced apoptosis resistance, increasing the invasive and metastatic potential of tumor cells [9], and a direct interaction between the SH2 domain of CTEN and MET, which reduces its endocytosis and increases cell survival potential [16]. These and other biomarkers that have been shown to be associated with CTEN in human tumors could be an interesting and promising field of study in canine tumors.
Another interesting finding reported in the present study is the positive correlation between the histological grading of the tumors and CTEN expression, evidencing the aggressiveness of this marker. The highest histological grade (grade III) revealed 100% of immunopositivity (p < 0.0001). A similar pattern of results was obtained in different human cancers, such as adenocarcinoma of the esophagogastric junction [42], thymoma [18], lung [43], gastric [23], and breast cancer [10]. This evidence combined suggests a strong involvement of CTEN in cancer progression, which is involved mainly in cell invasion and metastasis. Additionally, this highlights CTEN’s potential as a biomarker and a therapeutic target in a canine SCC.
The physiological functions displayed by CTEN contributing to cancer progression in canine SCC can probably have similar mechanisms to those reported in other human cancers. Induced EMT is described in many human cancers, and during this process epithelial cells change their polarity, reorganize cytoskeletal systems, and lose their cell-to-cell adhesion, involving changes in the pattern of expression of some proteins (e.g., E-cadherin and N-cadherin), conferring motility (both invasion and migration) to tumor cells [44]. Downregulation of E-cadherin, despite being linked to a shift of E-cadherin to N-cadherin during the EMT process [45], has been highly associated with upregulation of CTEN in human cancers, CTEN being considered a mediator in integrin–cadherin crosstalk, promoting E-cadherin inhibition through its degradation or post-transcriptional repression [22,46]. Indeed, in colorectal cancer (CRC) cell lines, TNS4 has been shown to induce EMT by repressing E-cadherin at the post-transcriptional level and significantly increase migration and invasion [46]. Nuclear localization of TNS4 has been previously identified in colorectal cancer metastases [9], and it is likely that having undergone EMT, these metastases would express low E-cadherin. Induced EMT was associated with the invasive profile of canine cutaneous and oral SCC, in which the expressions of E-cadherin and β-cadherin were significantly low, associated with the invasive front of the histological grade [47]. It is possible that CTEN may enhance cellular invasion in canine SCC, through the downregulation of E-cadherin and β-cadherin in the cytoplasmic membrane. Other pathways can be implicated in CTEN signaling to promote EMT, including upregulation of SNAIL [17] or induction of the signaling pathway Src/ROCK/SNAIL, promoted by TGF-β1, an upstream regulator of CTEN [11]. Cell migration and invasion have been proven to be important roles of CTEN, involving several proteins and signaling pathways, including KRAS/BRAF, Src/ROCK/SNAIL, ILK, and FAK in colorectal and pancreatic cancer [12,21,22], and Rho/ROCK/MLC in hepatocellular carcinoma, via DLC-1 [48,49]. The metastatic and invasive potential can also be enhanced by invasion into the ECM, induced by HGF [50] or through regulation of adhesiveness to collagen I [51].
Interestingly, in canine spontaneous head and neck SCCs similar alterations were found to those described in human head and neck SCC, including dysregulation in the PI3K/AKT/mTOR and TGF-β signaling pathways, and in EMT, through increased expression of vimentin and diminished expression of E-cadherin [52]. In canine cutaneous SCC, PI3K/AKT/mTOR was also found to be activated by immunodetection of the phosphorylated forms of the proteins AKT and S6 [53]. Overexpression of phospho-S6 and phospho-mTOR were also detected in canine oral SCC [54]. However, these mechanisms are not clarified in canine SCC, and the role of CTEN in dog pathology, so far, has never been investigated, so all of these possible interactions are just hypotheses that need to be explored. Indeed, in future studies, the expression of CTEN could be evaluated together with EMT markers, in canine SCC, to clarify the mechanism with which CTEN induces invasion in these tissues. Additionally, it could be interesting to evaluate the role of CTEN in the regulation of apoptosis in canine SCC, so as to explore if the findings described in human head and neck squamous cell carcinoma can be compared to canine SCC. Translational research is a promising strategy for better understanding cancer biology, therefore improving the treatment options and diagnostic methodologies available in both human and veterinary medicine. For instance, companion animals, such as dog species, are genetically very close to human species, share the same environment with humans, have similar clinicopathological features, and their shorter life span makes them good candidates for studying human diseases in naturally occurring animal models [35].
We acknowledge some limitations of the present work, mainly related to the retrospective nature of the study, the relatively small number of cases, and the lack of some clinical information. Nevertheless, we investigated, for the first time, CTEN’s behavior in canine SCC, and based on the correlation of positive immunoreactivity and increasing histologic grade in this study, we postulate that CTEN may be involved in tumor progression.
5. Conclusions
To our knowledge, we have reported for the first time CTEN expression in canine SCC. The results from our experiment reveal a higher level of expression associated with elevated invasive behavior and higher histological grade of the tumor, evidencing that this protein is more expressed in poorly differentiated squamous cell carcinomas, probably due to its involvement in tumor progression.
Overall, our results suggest that CTEN contributes to tumor progression in canine SCC, therefore revealing CTEN’s potential as a biomarker and a therapeutic target for canine SCC, as well as its possible value in histological grading of invasive fronts. However, future studies are required to focus on the protein networks displayed by CTEN and to clarify the mechanisms associated with CTEN in the carcinogenesis of squamous cell carcinoma.
Author Contributions
Conceptualization, L.D., A.M., I.P., and T.R.; search and collection of data, L.D. and A.M.; histological evaluation, L.D., I.P. and J.P.; immunohistochemistry and analysis, L.D., A.M., and I.P; analysis and interpretation of the results was performed by A.M., L.D., L.M., I.P., J.P. and T.R. All authors contributed to the manuscript development. All authors have read and agreed to the published version of the manuscript.
Funding
The participation of Justina Prada and Isabel Pires was supported by the projects UIDB/ CVT/00772/2020 and LA/P/0059/2020 funded by the Portuguese Foundation for Science and Technology (FCT).
Institutional Review Board Statement
Not applicable.
Informed Consent Statement
Not applicable.
Data Availability Statement
The data information can be asked for from the corresponding author.
Conflicts of Interest
The authors declare no conflict of interest.
References
- Lo, S.H.; Lo, T.B. Cten, a COOH-Terminal Tensin-Like Protein with Prostate Restricted Expression, is Down-Regulated in Prostate Cancer. Cancer Res. 2002, 62, 4217–4221. [Google Scholar] [PubMed]
- Lo, S.H. Tensin. Int. J. Biochem. Cell. Biol. 2004, 36, 31–34. [Google Scholar] [CrossRef] [PubMed]
- Blangy, A. Tensins are versatile regulators of Rho GTPase signalling and cell adhesion. Biol Cell 2017, 109, 115–126. [Google Scholar] [CrossRef] [PubMed]
- Lo, S.H. Tensins. Curr. Biol. 2017, 27, R331–R332. [Google Scholar] [CrossRef]
- Nizioł, M.; Pryczynicz, A. The role of tensins in malignant neoplasms. Archives of Medical Science, 2021. Available online: https://www.archivesofmedicalscience.com/The-role-of-tensins-in-malignant-neoplasms,127085,0,2.html (accessed on 31 January 2022).
- Calderwood, D.A.; Fujioka, Y.; de Pereda, J.M.; García-Alvarez, B.; Nakamoto, T.; Margolis, B.; McGlade, C.J.; Liddington, R.C.; Ginsberg, M.H. Integrin beta cytoplasmic domain interactions with phosphotyrosine-binding domains: A structural prototype for diversity in integrin signaling. Proc. Natl. Acad. Sci. USA 2003, 100, 2272–2277. [Google Scholar] [CrossRef]
- Hong, S.-Y.; Shih, Y.-P.; Lo, A.; Lo, S.H. Identification of subcellular targeting sequences of Cten reveals its role in cell proliferation. Biochim. Biophys. Acta. Mol. Cell. Res. 2019, 1866, 450–458. [Google Scholar] [CrossRef]
- Liao, Y.C.; Chen, N.-T.; Shih, Y.-P.; Dong, Y.; Lo, S.H. Up-regulation of C-terminal tensin-like molecule promotes the tumorigenicity of colon cancer through beta-catenin. Cancer Res. 2009, 69, 4563–4566. [Google Scholar] [CrossRef]
- Albasri, A.; Al-Ghamdi, S.; Fadhil, W.; Aleskandarany, M.; Liao, Y.-C.; Jackson, D.; Lobo, D.N.; Lo, S.H.; Kumari, R.; Durrant, L.; et al. Cten signals through integrin-linked kinase (ILK) and may promote metastasis in colorectal cancer. Oncogene 2011, 30, 2997–3002. [Google Scholar] [CrossRef]
- Albasri, A.; Aleskandarany, M.; Benhasouna, A.; Powe, D.G.; Ellis, I.O.; Ilyas, G.A.R. CTEN (C-terminal tensin-like), a novel oncogene overexpressed in invasive breast carcinoma of poor prognosis. Breast Cancer Res. Treat. 2011, 126, 47–54. [Google Scholar] [CrossRef]
- Asiri, A.; Raposo, T.P.; Alfahed, A.; Ilyas, M. TGFbeta1-induced cell motility but not cell proliferation is mediated through Cten in colorectal cancer. Int. J. Exp. Pathol. 2018, 99, 323–330. [Google Scholar] [CrossRef]
- Asiri, A.; Toss, M.S.; Raposo, T.P.; Akhlaq, M.; Thorpe, H.; Alfahed, A.; Asiri, A.; Ilyas, M. Cten promotes Epithelial-Mesenchymal Transition (EMT) in colorectal cancer through stabilisation of Src. Pathol. Int. 2019, 69, 381–391. [Google Scholar] [CrossRef]
- Bennett, D.T.; Reece, T.B.; Foley, L.S.; Sjoberg, A.; Meng, X.Z.; Fullerton, D.A.; Weyant, M.J. C-terminal tensin-like protein mediates invasion of human lung cancer cells and is regulated by signal transducer and activator of transcription 3. J. Thorac. Cardiovas. Surg. 2015, 149, 369–375. [Google Scholar] [CrossRef]
- Fleming, J.C.; Woo, J.M.; Moutasim, K.; Hanley, C.J.; Frampton, S.J.; Wood, O.; Ward, M.; Woelk, C.H.; Ottensmeier, C.H.; Hafizi, S.; et al. CTEN Induces Tumour Cell Invasion and Survival and Is Prognostic in Radiotherapy-Treated Head and Neck Cancer. Cancers 2020, 12, 2963. [Google Scholar] [CrossRef]
- Katz, M.; Amit, I.; Citri, A.; Shay, T.; Carvalho, S.; Lavi, S.; Milanezi, F.; Lyass, L.; Amariglio, N.; Jacob, H.-J.; et al. A reciprocal tensin-3-cten switch mediates EGF-driven mammary cell migration. Nat. Cell Biol. 2007, 9, 961–969. [Google Scholar] [CrossRef]
- Muharram, G.; Sahgal, P.; Korpela, T.; De Franceschi, N.; Kaukonen, R.; Clark, K.; Tulasne, D.; Carpén, O.; Ivaska, J. Tensin-4-dependent MET stabilization is essential for survival and proliferation in carcinoma cells. Dev. Cell 2014, 29, 421–436. [Google Scholar] [CrossRef]
- Thorpe, H.; Asiri, A.; Akhlaq, M.; Ilyas, M. Cten promotes epithelial-mesenchymal transition through the post-transcriptional stabilization of Snail. Mol. Carcinog. 2017, 56, 2601–2609. [Google Scholar] [CrossRef]
- Sasaki, H.; Yukiue, H.; Kobayashi, Y.; Fukai, I.; Fujii, Y. Cten mRNA expression is correlated with tumor progression in thymoma. Tumour Biol. 2003, 24, 271–274. [Google Scholar] [CrossRef]
- Sjoestroem, C.; Khosravi, S.; Zhang, G.H.; Martinka, M.; Li, G. C-terminal tensin-like protein is a novel prognostic marker for primary melanoma patients. PLoS ONE 2013, 8, e80492. [Google Scholar] [CrossRef]
- Chan, L.K.; Chiu, Y.-T.; Sze, K.M.-F.; Ng, I.O.-L. Tensin4 is up-regulated by EGF-induced ERK1/2 activity and promotes cell proliferation and migration in hepatocellular carcinoma. Oncotarget 2015, 6, 20964–20976. [Google Scholar] [CrossRef]
- Al-Ghamdi, S.; Albasri, A.; Cachat, J.; Ibrahem, S.; Muhammad, B.A.; Jackson, D.; Nateri, A.S.; Kindle, K.B.; Ilyas, M. Cten is targeted by Kras signalling to regulate cell motility in the colon and pancreas. PLoS ONE 2011, 6, e20919. [Google Scholar] [CrossRef]
- Al-Ghamdi, S.; Cachat, J.; Albasri, A.; Ahmed, M.; Jackson, D.; Zaitoun, A.; Guppy, N.; Otto, W.R.; Alison, M.R.; Kindle, K.B.; et al. C-terminal tensin-like gene functions as an oncogene and promotes cell motility in pancreatic cancer. Pancreas 2013, 42, 135–140. [Google Scholar] [CrossRef] [PubMed]
- Sakashita, K.; Mimori, K.; Tanaka, F.; Kamohara, Y.; Inoue, H.; Sawada, T.; Hirakawa, K.; Mori, M. Prognostic relevance of Tensin4 expression in human gastric cancer. Ann Surg Oncol 2008, 15, 2606–2613. [Google Scholar] [CrossRef] [PubMed]
- Cheah, J.S.; Jacobs, K.A.; Heinrich, V.; Lo, S.H.; Yamada, S. Force-induced recruitment of cten along keratin network in epithelial cells. Proc. Natl. Acad. Sci. USA 2019, 116, 19799–19801. [Google Scholar] [CrossRef] [PubMed]
- Kwon, S.H.; Nedvetsky, P.I.; Mostov, K.E. Transcriptional profiling identifies TNS4 function in epithelial tubulogenesis. Curr. Biol. 2011, 21, 161–166. [Google Scholar] [CrossRef] [PubMed]
- Kwa, R.E.; Campana, K.; Moy, R.L. Biology of cutaneous squamous cell carcinoma. J. Am. Acad. Dermatol. 1992, 26, 1–26. [Google Scholar] [CrossRef]
- Rodust, P.M.; Stockfleth, E.; Ulrich, C.; Leverkus, M.; Eberle, J. UV-induced squamous cell carcinoma—A role for antiapoptotic signalling pathways. Br J Dermatol 2009, 161, 107–115. [Google Scholar] [CrossRef]
- Belluco, S.; Brisebard, E.; Watrelot, D.; Pillet, E.; Marchal, T.; Ponce, F. Digital squamous cell carcinoma in dogs: Epidemiological, histological, and immunohistochemical study. Vet. Pathol. 2013, 50, 1078–1082. [Google Scholar] [CrossRef]
- Esplin, D.G.; Wilson, S.R.; Hullinger, G.A. Squamous cell carcinoma of the anal sac in five dogs. Vet. Pathol. 2003, 40, 332–334. [Google Scholar] [CrossRef]
- Goldschmidt, M.H. Basal- and squamous-cell neoplasms of dogs and cats. Am. J. Dermatopathol. 1984, 6, 199–206. [Google Scholar] [CrossRef]
- Gruntzig, K.; Graf, R.; Boo, G.; Guscetti, F.; Hässig, M.; Axhausen, K.W.; Fabrikant, S.; Welle, M.; Meier, D.; Folkers, G.; et al. Swiss Canine Cancer Registry 1955-2008: Occurrence of the Most Common Tumour Diagnoses and Influence of Age, Breed, Body Size, Sex and Neutering Status on Tumour Development. J. Comp. Pathol. 2016, 155, 156–170. [Google Scholar] [CrossRef]
- Goldschmidt, M.H.; Goldschmidt, K.H. Epithelial and Melanocytic Tumors of the Skin, in Tumors in Domestic Animals; Meuten, D.J., Ed.; John Wiley & Sons, Inc., North Carolina State University Raleigh: Raleigh, NC, USA, 2017; pp. 88–141. [Google Scholar]
- Goldschmidt, M.H.; Hendrick, M.J. Tumors of the Skin and Soft Tissues, in Tumors in Domestic Animals; Meuten, D.J., Ed.; Iowa State Press: Ames, IA, USA, 2002; pp. 45–117. [Google Scholar]
- Altschul, S.F.; Madden, T.L.; Schäffer, A.A.; Zhang, J.; Zhang, Z.; Miller, W.; Lipman, D.J. Gapped BLAST and PSI-BLAST: a new generation of protein database search programs. Nucleic Acids. Res. 1997, 25, 3389–3402. [Google Scholar] [CrossRef]
- Felix, N.M.; Gommeren, K.; Boysen, S. Translational medicine between human and veterinary emergency and critical care medicine: a story meant to have a happy ending. Crit. Care 2019, 23, 361. [Google Scholar] [CrossRef]
- Goldschmidt, M.H.; Munday, J.S.; Scruggs, J.L.; Klopfleisc, R.; Kiuppel, M. Epithelial Tumors of the Skin. In Surgical Pathology of Tumors of Domestic Animals; Davis-Thompson DVM Foundation; Davis-Thompson DVM Foundation: Gurnee, IL, USA, 2018. [Google Scholar]
- Akhter, M.; Hossain, S.; Rahman, Q.B.; Molla, M.R. A study on histological grading of oral squamous cell carcinoma and its co-relationship with regional metastasis. J. Oral Maxillofac. Pathol. 2011, 15, 168–176. [Google Scholar] [CrossRef]
- Seo, E.Y.; Jin, S.-P.; Kim, Y.K.; Lee, H.; Han, S.; Lee, D.H.; Chung, J.H. Integrin-beta4-TNS4-Focal Adhesion Kinase Signaling Mediates Keratinocyte Proliferation in Human Skin. J. Investig. Dermatol. 2017, 137, 763–766. [Google Scholar] [CrossRef]
- Nomenclature, I.C.o.V.G.A. Nomina Anatomica Veterinaria (Veterinary Anatomical Names), 6th ed; Editorial Committee WAVA: Oslo, Norway, 2017. [Google Scholar]
- Villamil, J.A.; Henry, C.J.; Bryan, J.N.; Ellersieck, M.; Schultz, L.; Tyler, J.W.; Hahn, A.W. Identification of the most common cutaneous neoplasms in dogs and evaluation of breed and age distributions for selected neoplasms. J. Am. Vet. Med. Assoc. 2011, 239, 960–965. [Google Scholar] [CrossRef]
- Rothwell, T.L.; Howlett, C.R.; Middleton, D.J.; Griffiths, D.A.; Duff, B.C. Skin neoplasms of dogs in Sydney. Aust. Vet. J. 1987, 64, 161–164. [Google Scholar] [CrossRef]
- Aratani, K.; Komatsu, S.; Ichikawa, D.; Ohashi, T.; Miyamae, M.; Okajima, W.; Imamura, T.; Kiuchi, J.; Nishibeppu, K.; Kosuga, T.; et al. Overexpression of CTEN relates to tumor malignant potential and poor outcomes of adenocarcinoma of the esophagogastric junction. Oncotarget 2017, 8, 84112–84122. [Google Scholar] [CrossRef]
- Sasaki, H.; Moriyama, S.; Mizuno, K.; Yukiue, H.; Konishi, A.; Yano, M.; Kaji, M.; Fukai, I.; Kiriyama, M.; Yamakawa, Y.; et al. Cten mRNA expression was correlated with tumor progression in lung cancers. Lung Cancer 2003, 40, 151–155. [Google Scholar] [CrossRef]
- Klymkowsky, M.W.; Savagner, P. Epithelial-mesenchymal transition: a cancer researcher’s conceptual friend and foe. Am. J. Pathol. 2009, 174, 1588–1593. [Google Scholar] [CrossRef]
- Loh, C.Y.; Chai, J.Y.; Tang, T.F.; Wong, W.F.; Sethi, G.; Shanmugam, M.K.; Chong, P.P.; Looi, C.Y. The E-Cadherin and N-Cadherin Switch in Epithelial-to-Mesenchymal Transition: Signaling, Therapeutic Implications, and Challenges. Cells 2019, 8, 1118. [Google Scholar] [CrossRef]
- Albasri, A.; Seth, R.; Jackson, D.; Benhasouna, A.; Crook, S.; Nateri, A.S.; Chapman, R.; Ilyas, M. C-terminal Tensin-like (CTEN) is an oncogene which alters cell motility possibly through repression of E-cadherin in colorectal cancer. J. Pathol. 2009, 218, 57–65. [Google Scholar] [CrossRef] [PubMed]
- Nagamine, E.; Hirayama, K.; Matsuda, K.; Okamoto, M.; Ohmachi, T.; Uchida, K.; Kadosawa, T.; Taniyama, H. Invasive Front Grading and Epithelial-Mesenchymal Transition in Canine Oral and Cutaneous Squamous Cell Carcinomas. Vet. Pathol. 2017, 54, 783–791. [Google Scholar] [CrossRef] [PubMed]
- Liao, Y.C.; Si, L.Z.; deVere White, R.W.; Lo, S.H. The phosphotyrosine-independent interaction of DLC-1 and the SH2 domain of cten regulates focal adhesion localization and growth suppression activity of DLC-1. J. Cell Biol. 2007, 176, 43–49. [Google Scholar] [CrossRef] [PubMed]
- Ng, I.O.L.; Liang, Z.D.; Cao, L.; Lee, T.K. DLC-1 is deleted in primary hepatocellular carcinoma and exerts inhibitory effects on the proliferation of hepatoma cell lines with deleted DLC-1. Cancer Res. 2000, 60, 6581–6584. [Google Scholar]
- Kwiecinski, M.; Noetel, A.; Elfimova, N.; Trebicka, J.; Schievenbusch, S.; Strack, I.; Molnar, L.; von Brandenstein, M.; Töx, U.; Nischt, R.; et al. Hepatocyte growth factor (HGF) inhibits collagen I and IV synthesis in hepatic stellate cells by miRNA-29 induction. PLoS ONE 2011, 6, e24568. [Google Scholar] [CrossRef]
- Raposo, T.P.; Susanti, S.; Ilyas, M. Investigating TNS4 in the Colorectal Tumor Microenvironment Using 3D Spheroid Models of Invasion. Adv. Biosyst. 2020, 4, e2000031. [Google Scholar] [CrossRef]
- Liu, D.; Xiong, H.; Ellis, A.E.; Northrup, N.C.; Dobbin, K.K.; Shin, D.M.; Zhao, S.Y. Canine spontaneous head and neck squamous cell carcinomas represent their human counterparts at the molecular level. PLoS Genet. 2015, 11, e1005277. [Google Scholar] [CrossRef]
- Sanz Ressel, B.L.; Massone, A.R.; Barbeito, C.G. Immunohistochemical expression of selected phosphoproteins of the mTOR signalling pathway in canine cutaneous squamous cell carcinoma. Vet. J. 2019, 245, 41–48. [Google Scholar] [CrossRef]
- Delgado, L.; Brilhante-Simões, P.; Garcez, F.; Monteiro, L.; Pires, I.; Prada, J. p-S6 as a Prognostic Biomarker in Canine Oral Squamous Cell Carcinoma. Biomolecules 2022, 12, 935. [Google Scholar] [CrossRef]
Disclaimer/Publisher’s Note: The statements, opinions and data contained in all publications are solely those of the individual author(s) and contributor(s) and not of MDPI and/or the editor(s). MDPI and/or the editor(s) disclaim responsibility for any injury to people or property resulting from any ideas, methods, instructions or products referred to in the content. |
© 2023 by the authors. Licensee MDPI, Basel, Switzerland. This article is an open access article distributed under the terms and conditions of the Creative Commons Attribution (CC BY) license (https://creativecommons.org/licenses/by/4.0/).




