Mesenchymal Stem Cells Coated with Synthetic Bone-Targeting Polymers Enhance Osteoporotic Bone Fracture Regeneration
Abstract
1. Introduction
2. Materials and Methods
2.1. Polymer Synthesis
2.2. Isolation of Rat MSCs
2.3. Transfection of MSCs with a Luciferase Gene Reporter Vector LVT-Luc2
2.4. Coating of MSCs with the Polymer
2.5. Cell Viability Assay
2.6. Osteogenic Differentiation of MSCs
2.7. Osteoclast Differentiation
2.8. Bone Resorption Assay
2.9. Animal Models of Osteoporosis and Ulnar Fracture
2.10. Survival Assessment of Transplanted MSCs
2.11. µCT Morphometry
2.12. Histological Assessment
2.13. Statistical Analysis
3. Results
3.1. Effect of the Polymer on Viability and Osteogenic Differentiation of MSCs
3.2. Synthetic Polymer Inhibits Osteoclastic Activity In Vitro
3.3. Osteoporosis Modeling and In Vivo Optical Imaging of the Fractured Bones
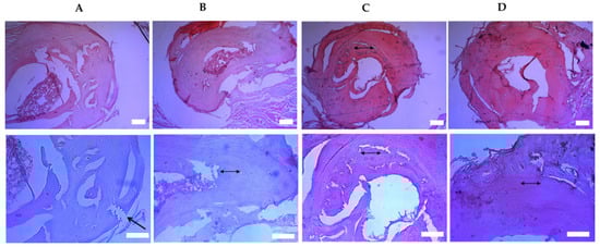
3.4. Post Mortem Histological Assessment of the Regenerative Potential of MSCs Modified with Bone-Targeting Polymer
4. Discussion
5. Conclusions
Author Contributions
Funding
Acknowledgments
Conflicts of Interest
References
- Johnell, O.; Kanis, J.A. An estimate of the worldwide prevalence and disability associated with osteoporotic fractures. Osteoporos. Int. A J. Establ. Result Coop. Between Eur. Found. Osteoporos. Natl. Osteoporos. Found. USA 2006, 17, 1726–1733. [Google Scholar] [CrossRef]
- Hernlund, E.; Svedbom, A.; Ivergard, M.; Compston, J.; Cooper, C.; Stenmark, J.; McCloskey, E.V.; Jonsson, B.; Kanis, J.A. Osteoporosis in the European Union: Medical management, epidemiology and economic burden. A report prepared in collaboration with the International Osteoporosis Foundation (IOF) and the European Federation of Pharmaceutical Industry Associations (EFPIA). Arch. Osteoporos. 2013, 8, 136. [Google Scholar] [CrossRef] [PubMed]
- Gullberg, B.; Johnell, O.; Kanis, J.A. World-wide projections for hip fracture. Osteoporos. Int. 1997, 7, 407–413. [Google Scholar] [CrossRef] [PubMed]
- Chen, L.; Yang, L.; Yao, M.; Cui, X.J.; Xue, C.C.; Wang, Y.J.; Shu, B. Biomechanical Characteristics of Osteoporotic Fracture Healing in Ovariectomized Rats: A Systematic Review. PLoS ONE 2016, 11, e0153120. [Google Scholar] [CrossRef] [PubMed]
- Giannoudis, P.; Tzioupis, C.; Almalki, T.; Buckley, R. Fracture healing in osteoporotic fractures: Is it really different? A basic science perspective. Injury 2007, 38 (Suppl. 1), S90–S99. [Google Scholar] [CrossRef] [PubMed]
- Nakase, T.; Fujii, M.; Myoui, A.; Tamai, N.; Hayaishi, Y.; Ueda, T.; Hamada, M.; Kawai, H.; Yoshikawa, H. Use of hydroxyapatite ceramics for treatment of nonunited osseous defect after open fracture of lower limbs. Arch. Orthop. Trauma Surg. 2009, 129, 1539–1547. [Google Scholar] [CrossRef] [PubMed]
- James, R.; Deng, M.; Laurencin, C.T.; Kumbar, S.G. Nanocomposites and bone regeneration. Front. Mater. Sci. 2011, 5, 342–357. [Google Scholar] [CrossRef]
- Kamrani, R.S.; Mehrpour, S.R.; Sorbi, R.; Aghamirsalim, M.; Farhadi, L. Treatment of nonunion of the forearm bones with posterior interosseous bone flap. J. Orthop. Sci. 2013, 18, 563–568. [Google Scholar] [CrossRef]
- Jeon, O.H.; Elisseeff, J. Orthopedic tissue regeneration: Cells, scaffolds, and small molecules. Drug Deliv. Transl. Res. 2016, 6, 105–120. [Google Scholar] [CrossRef]
- An, S.H.; Matsumoto, T.; Miyajima, H.; Nakahira, A.; Kim, K.H.; Imazato, S. Porous zirconia/hydroxyapatite scaffolds for bone reconstruction. Dent. Mater. 2012, 28, 1221–1231. [Google Scholar] [CrossRef]
- Pesce, V.; Speciale, D.; Sammarco, G.; Patella, S.; Spinarelli, A.; Patella, V. Surgical approach to bone healing in osteoporosis. Clin. Cases Miner. Bone Metab. 2009, 6, 131–135. [Google Scholar]
- Bone, H.G.; Hosking, D.; Devogelaer, J.P.; Tucci, J.R.; Emkey, R.D.; Tonino, R.P.; Rodriguez-Portales, J.A.; Downs, R.W.; Gupta, J.; Santora, A.C.; et al. Ten years’ experience with alendronate for osteoporosis in postmenopausal women. N. Engl. J. Med. 2004, 350, 1189–1199. [Google Scholar] [CrossRef] [PubMed]
- Cranney, A.; Wells, G.; Willan, A.; Griffith, L.; Zytaruk, N.; Robinson, V.; Black, D.; Adachi, J.; Shea, B.; Tugwell, P.; et al. Meta-analyses of therapies for postmenopausal osteoporosis. II. Meta-analysis of alendronate for the treatment of postmenopausal women. Endocr. Rev. 2002, 23, 508–516. [Google Scholar] [CrossRef] [PubMed]
- Wells, G.; Cranney, A.; Peterson, J.; Boucher, M.; Shea, B.; Robinson, V.; Coyle, D.; Tugwell, P. Risedronate for the primary and secondary prevention of osteoporotic fractures in postmenopausal women. Cochrane Database Syst. Rev. 2008, 1, CD004523. [Google Scholar] [CrossRef] [PubMed]
- Cho, S.W.; Sun, H.J.; Yang, J.Y.; Jung, J.Y.; An, J.H.; Cho, H.Y.; Choi, H.J.; Kim, S.W.; Kim, S.Y.; Kim, D.; et al. Transplantation of mesenchymal stem cells overexpressing RANK-Fc or CXCR4 prevents bone loss in ovariectomized mice. Mol. Therapy 2009, 17, 1979–1987. [Google Scholar] [CrossRef] [PubMed]
- Teitelbaum, S.L. Stem cells and osteoporosis therapy. Cell Stem Cell 2010, 7, 553–554. [Google Scholar] [CrossRef]
- Yao, W.; Lane, N.E. Targeted delivery of mesenchymal stem cells to the bone. Bone 2015, 70, 62–65. [Google Scholar] [CrossRef]
- Yamada, Y.; Boo, J.S.; Ozawa, R.; Nagasaka, T.; Okazaki, Y.; Hata, K.; Ueda, M. Bone regeneration following injection of mesenchymal stem cells and fibrin glue with a biodegradable scaffold. J. Craniomaxillofac. Surg. 2003, 31, 27–33. [Google Scholar] [CrossRef]
- Singh, J.; Onimowo, J.O.; Khan, W.S. Bone marrow derived stem cells in trauma and orthopaedics: A review of the current trend. Curr. Stem Cell Res. 2014, 10, 37–42. [Google Scholar] [CrossRef]
- Tasso, R.; Ulivi, V.; Reverberi, D.; Lo, S.C.; Descalzi, F.; Cancedda, R. In vivo implanted bone marrow-derived mesenchymal stem cells trigger a cascade of cellular events leading to the formation of an ectopic bone regenerative niche. Stem Cells Dev. 2013, 22, 3178–3191. [Google Scholar] [CrossRef]
- Huang, S.; Xu, L.; Zhang, Y.; Sun, Y.; Li, G. Systemic and Local Administration of Allogeneic Bone Marrow-Derived Mesenchymal Stem Cells Promotes Fracture Healing in Rats. Cell Transpl. 2015, 24, 2643–2655. [Google Scholar] [CrossRef] [PubMed]
- D’Souza, S.; Murata, H.; Jose, M.V.; Askarova, S.; Yantsen, Y.; Andersen, J.D.; Edington, C.D.; Clafshenkel, W.P.; Koepsel, R.R.; Russell, A.J. Engineering of cell membranes with a bisphosphonate-containing polymer using ATRP synthesis for bone targeting. Biomaterials 2014, 35, 9447–9458. [Google Scholar] [CrossRef]
- Zhang, L.; Chan, C. Isolation and enrichment of rat mesenchymal stem cells (MSCs) and separation of single-colony derived MSCs. J. Vis. Exp. 2010, 37, e1852. [Google Scholar] [CrossRef] [PubMed]
- Tevlin, R.; McArdle, A.; Chan, C.K.; Pluvinage, J.; Walmsley, G.G.; Wearda, T.; Marecic, O.; Hu, M.S.; Paik, K.J.; Senarath-Yapa, K.; et al. Osteoclast derivation from mouse bone marrow. J. Vis. Exp. JoVE 2014, 93, e52056. [Google Scholar] [CrossRef]
- Mathavan, N.; Turunen, M.J.; Tagil, M.; Isaksson, H. Characterising bone material composition and structure in the ovariectomized (OVX) rat model of osteoporosis. Calcif. Tissue Int. 2015, 97, 134–144. [Google Scholar] [CrossRef] [PubMed]
- Waters, R.V.; Gamradt, S.C.; Asnis, P.; Vickery, B.H.; Avnur, Z.; Hill, E.; Bostrom, M. Systemic corticosteroids inhibit bone healing in a rabbit ulnar osteotomy model. Acta Orthop. Scand. 2000, 71, 316–321. [Google Scholar] [CrossRef]
- Funk, J.R.; Hale, J.E.; Carmines, D.; Gooch, H.L.; Hurwitz, S.R. Biomechanical evaluation of early fracture healing in normal and diabetic rats. J. Orthop. Res. Off. Publ. Orthop. Res. Soc. 2000, 18, 126–132. [Google Scholar] [CrossRef]
- Cheung, W.H.; Miclau, T.; Chow, S.K.; Yang, F.F.; Alt, V. Fracture healing in osteoporotic bone. Injury 2016, 47 (Suppl. 2), S21–S26. [Google Scholar] [CrossRef]
- Yousefzadeh, N.; Kashfi, K.; Jeddi, S.; Ghasemi, A. Ovariectomized rat model of osteoporosis: A practical guide. Excli J. 2020, 19, 89–107. [Google Scholar]
- Kiernan, J.; Hu, S.; Grynpas, M.D.; Davies, J.E.; Stanford, W.L. Systemic Mesenchymal Stromal Cell Transplantation Prevents Functional Bone Loss in a Mouse Model of Age-Related Osteoporosis. Stem Cells Transl. Med. 2016, 5, 683–693. [Google Scholar] [CrossRef]
- Rombouts, W.J.; Ploemacher, R.E. Primary murine MSC show highly efficient homing to the bone marrow but lose homing ability following culture. Leukemia 2003, 17, 160–170. [Google Scholar] [CrossRef] [PubMed]
- Sackstein, R.; Merzaban, J.S.; Cain, D.W.; Dagia, N.M.; Spencer, J.A.; Lin, C.P.; Wohlgemuth, R. Ex vivo glycan engineering of CD44 programs human multipotent mesenchymal stromal cell trafficking to bone. Nat. Med. 2008, 14, 181–187. [Google Scholar] [CrossRef] [PubMed]
- Leibacher, J.; Henschler, R. Biodistribution, migration and homing of systemically applied mesenchymal stem/stromal cells. Stem Cell Res. Ther. 2016, 7, 7. [Google Scholar] [CrossRef] [PubMed]
- Kidd, S.; Spaeth, E.; Dembinski, J.L.; Dietrich, M.; Watson, K.; Klopp, A.; Battula, V.L.; Weil, M.; Andreeff, M.; Marini, F.C. Direct evidence of mesenchymal stem cell tropism for tumor and wounding microenvironments using in vivo bioluminescent imaging. Stem Cells 2009, 27, 2614–2623. [Google Scholar] [CrossRef]
- McCann, R.M.; Colleary, G.; Geddis, C.; Clarke, S.A.; Jordan, G.R.; Dickson, G.R.; Marsh, D. Effect of osteoporosis on bone mineral density and fracture repair in a rat femoral fracture model. J. Orthop. Res. Off. Publ. Orthop. Res. Soc. 2008, 26, 384–393. [Google Scholar] [CrossRef]
- Grundnes, O.; Reikeras, O. Blood flow and mechanical properties of healing bone. Femoral osteotomies studied in rats. Acta Orthop. Scand. 1992, 63, 487–491. [Google Scholar] [CrossRef]
- Mills, L.A.; Simpson, A.H. In vivo models of bone repair. J. Bone Jt. Surgery. Br. Vol. 2012, 94, 865–874. [Google Scholar] [CrossRef]
- Namkung-Matthai, H.; Appleyard, R.; Jansen, J.; Hao Lin, J.; Maastricht, S.; Swain, M.; Mason, R.S.; Murrell, G.A.; Diwan, A.D.; Diamond, T. Osteoporosis influences the early period of fracture healing in a rat osteoporotic model. Bone 2001, 28, 80–86. [Google Scholar] [CrossRef]
- Kubo, T.; Shiga, T.; Hashimoto, J.; Yoshioka, M.; Honjo, H.; Urabe, M.; Kitajima, I.; Semba, I.; Hirasawa, Y. Osteoporosis influences the late period of fracture healing in a rat model prepared by ovariectomy and low calcium diet. J. Steroid Biochem. Mol. Biol. 1999, 68, 197–202. [Google Scholar] [CrossRef]








| Animal Group | Relative Bone Density Ratio (after Fracture/before Fracture) Median (iqr 0.25–0.75) | |
|---|---|---|
| 4 Weeks | 24 Weeks | |
| Negative control (OVX, ulna fracture) | 0.914 (IQR 0.671–1.053) (n = 9) | 0.737 (IQR 0.640–1.029) (n = 4) |
| Polymer | 0.845 (IQR 0.727–0.994) (n = 10) * p = 1.00 • p = 0.032 | 0.621 (IQR 0.435–0.652) (n = 5) * p = 0.066 • p = 0.008 |
| MSCs | 0.976 (IQR 0.674–1.141) (n = 8) * p = 0.597 • p = 0.354 | 0.596 (IQR 0.453–1.379) (n = 4) * p = 0.486 • p = 0.268 |
| MSCs + polymer | 1.274 (IQR 1.046–1.421) (n = 10) * p = 0.003 • p = 0.058 | 1.215 (IQR 1.124–1.754) (n = 5) * p = 0.032 • p = 0.095 |
| Positive control (no OVX, ulna fracture) | 1.103 (IQR 0.971–1.148) (n = 5) * p = 0.046 | No data |
© 2020 by the authors. Licensee MDPI, Basel, Switzerland. This article is an open access article distributed under the terms and conditions of the Creative Commons Attribution (CC BY) license (http://creativecommons.org/licenses/by/4.0/).
Share and Cite
Safarova, Y.; Olzhayev, F.; Umbayev, B.; Tsoy, A.; Hortelano, G.; Tokay, T.; Murata, H.; Russell, A.; Askarova, S. Mesenchymal Stem Cells Coated with Synthetic Bone-Targeting Polymers Enhance Osteoporotic Bone Fracture Regeneration. Bioengineering 2020, 7, 125. https://doi.org/10.3390/bioengineering7040125
Safarova Y, Olzhayev F, Umbayev B, Tsoy A, Hortelano G, Tokay T, Murata H, Russell A, Askarova S. Mesenchymal Stem Cells Coated with Synthetic Bone-Targeting Polymers Enhance Osteoporotic Bone Fracture Regeneration. Bioengineering. 2020; 7(4):125. https://doi.org/10.3390/bioengineering7040125
Chicago/Turabian StyleSafarova (Yantsen), Yuliya, Farkhad Olzhayev, Bauyrzhan Umbayev, Andrey Tsoy, Gonzalo Hortelano, Tursonjan Tokay, Hironobu Murata, Alan Russell, and Sholpan Askarova. 2020. "Mesenchymal Stem Cells Coated with Synthetic Bone-Targeting Polymers Enhance Osteoporotic Bone Fracture Regeneration" Bioengineering 7, no. 4: 125. https://doi.org/10.3390/bioengineering7040125
APA StyleSafarova, Y., Olzhayev, F., Umbayev, B., Tsoy, A., Hortelano, G., Tokay, T., Murata, H., Russell, A., & Askarova, S. (2020). Mesenchymal Stem Cells Coated with Synthetic Bone-Targeting Polymers Enhance Osteoporotic Bone Fracture Regeneration. Bioengineering, 7(4), 125. https://doi.org/10.3390/bioengineering7040125

