Expression of Tailored α-N-Acetylglucosaminidase in Escherichia coli for Synthesizing Mannose-6-Phosphate on N-Linked Oligosaccharides of Lysosomal Enzymes
Abstract
1. Introduction
2. Materials and Methods
2.1. Materials
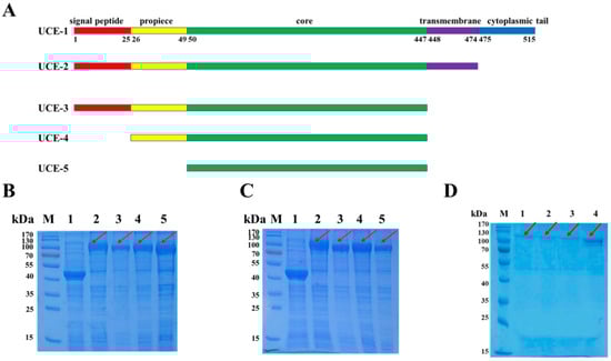
2.2. Design of the UCE Variants
2.3. Cloning of the UCE Variants and Construction of the Expression Vectors
2.4. The Expression of UCE Variants
2.5. The Purification of Recombinant UCE Proteins
2.6. Determination of the Uncovering Activity of MBP-UCE Variants
2.7. Statistical Analysis
3. Results
3.1. The Expression of UCE Variants in E. coli
3.2. The Purification of UCE Variants via Ni2+-Based Immobilized Metal Ion Affinity Chromatography
3.3. The Uncovering Activity Assay of UCE Variants
4. Discussion
5. Conclusions
Author Contributions
Funding
Institutional Review Board Statement
Informed Consent Statement
Data Availability Statement
Acknowledgments
Conflicts of Interest
References
- Platt, F.M.; d’Azzo, A.; Davidson, B.L.; Neufeld, E.F.; Tifft, C.J. Lysosomal storage diseases. Nat. Rev. Dis. Primers 2018, 4, 27. [Google Scholar] [CrossRef] [PubMed]
- Winchester, B. Lysosomal metabolism of glycoproteins. Glycobiology 2005, 15, 1R–15R. [Google Scholar] [CrossRef]
- Wallroth, A.; Haucke, V. Phosphoinositide conversion in endocytosis and the endolysosomal system. J. Biol. Chem. 2018, 293, 1526–1535. [Google Scholar] [CrossRef] [PubMed]
- Laukens, B.; De Visscher, C.; Callewaert, N. Engineering yeast for producing human glycoproteins: Where are we now? Future Microbiol. 2015, 10, 21–34. [Google Scholar] [CrossRef]
- Coutinho, M.F.; Prata, M.J.; Alves, S. Mannose-6-phosphate pathway: A review on its role in lysosomal function and dysfunction. Mol. Genet. Metab. 2012, 105, 542–550. [Google Scholar] [CrossRef] [PubMed]
- Lee, W.-S.; Rohrer, J.; Kornfeld, R.; Kornfeld, S. Multiple Signals Regulate Trafficking of the mannose 6-phosphate-uncovering enzyme. J. Biol. Chem. 2002, 277, 3544–3551. [Google Scholar] [CrossRef]
- Kornfeld, R.; Bao, M.; Brewer, K.; Noll, C.; Canfield, W. Molecular cloning and functional expression of two splice forms of human N-acetylglucosamine-1-phosphodiester α-N-acetylglucosaminidase. J. Biol. Chem. 1999, 274, 32778–32785. [Google Scholar] [CrossRef] [PubMed]
- Gorelik, A.; Illes, K.; Nagar, B. Crystal structure of the mannose-6-phosphate uncovering enzyme. Structure 2020, 28, 426–436. [Google Scholar] [CrossRef]
- Do, H.; Lee, W.-S.; Ghosh, P.; Hollowell, T.; Canfield, W.; Kornfeld, S. Human mannose 6-phosphate-uncovering enzyme is synthesized as a proenzyme that is activated by the endoprotease furin. J. Biol. Chem. 2002, 277, 29737–29744. [Google Scholar] [CrossRef]
- Zeng, Y.; He, X.; Danyukova, T.; Pohl, S.; Kermode, A.R. Toward engineering the mannose 6-phosphate elaboration pathway in plants for enzyme replacement therapy of lysosomal storage disorders. J. Clin. Med. 2019, 8, 2190. [Google Scholar] [CrossRef]
- Tungekar, A.A.; Castillo-Corujo, A.; Ruddock, L.W. So you want to express your protein in Escherichia coli? Essays Biochem. 2021, 65, 247–260. [Google Scholar]
- Zhang, J.; Kao, E.; Wang, G.; Baidoo, E.E.K.; Chen, M.; Keasling, J.D. Metabolic engineering of Escherichia coli for the biosynthesis of 2-pyrrolidone. Metab. Eng. Commun. 2015, 3, 1–7. [Google Scholar] [CrossRef]
- Wu, X.; Yun, Z.; Su, N.; Zhao, L.; Zhang, H.; Zhang, M.; Wu, Q.; Zhang, C.; Xing, X. Characterization of maltose-binding protein–fused heparinases with enhanced thermostability by application of rigid and flexible linkers. Biotechnol. Appl. Biochem. 2025, 72, 5–16. [Google Scholar] [CrossRef] [PubMed]
- Paneque, A.; Fortus, H.; Zheng, J.; Werlen, G.; Jacinto, E. The hexosamine biosynthesis pathway: Regulation and function. Genes 2023, 14, 933. [Google Scholar] [CrossRef] [PubMed]
- Mullis, K.G.; Ketcham, C.M. The synthesis of substrates and two assays for the detection of N-acetylglucosamine-1-phosphodiester alpha-N-acetylglucosaminidase (uncovering enzyme). Anal. Biochem. 1992, 205, 200–207. [Google Scholar] [CrossRef]
- Oh, D.B. Glyco-engineering strategies for the development of therapeutic enzymes with improved efficacy for the treatment of lysosomal storage diseases. BMB Rep. 2015, 48, 438–444. [Google Scholar] [CrossRef] [PubMed]
- Tiels, P.; Baranova, E.; Piens, K.; De Visscher, C.; Pynaert, G.; Nerinckx, W.; Stout, J.; Fudalej, F.; Hulpiau, P.; Tännler, S.; et al. A bacterial glycosidase enables mannose-6-phosphate modification and improved cellular uptake of yeast-produced recombinant human lysosomal enzymes. Nat. Biotechnol. 2012, 30, 1225–1231. [Google Scholar] [CrossRef]
- Strasser, R. Plant glycoengineering for designing next-generation vaccines and therapeutic proteins. Biotechnol. Adv. 2023, 67, 108197. [Google Scholar] [CrossRef]
- Germain, D.P.; Linhart, A. Pegunigalsidase alfa: A novel, pegylated recombinant alpha-galactosidase enzyme for the treatment of Fabry disease. Front. Genet. 2024, 15, 1395287. [Google Scholar] [CrossRef]
- Kudo, M.; Canfield, W.M. Structural requirements for efficient processing and activation of recombinant human UDP-N-acetylglucosamine: Lysosomal-enzyme-N-acetylglucosamine-1-phosphotransferase. J. Biol. Chem. 2006, 281, 11761–11768. [Google Scholar] [CrossRef]
- He, X.; Haselhorst, T.; von Itzstein, M.; Kolarich, D.; Packer, N.H.; Gloster, T.M.; Vocadlo, D.J.; Clarke, L.A.; Qian, Y.; Kermode, A.R. Production of alpha-L-iduronidase in maize for the potential treatment of a human lysosomal storage disease. Nat. Commun. 2012, 3, 1062. [Google Scholar] [CrossRef] [PubMed]



| Primers | Oligonucleotide Sequences (5′-3′) |
|---|---|
| UCE-MBP_BamH1 | GTACCCTCGAGGGATCCGAGAATCTGTACTTCCAAGGAGGAGATTGCACACGTGTTCGT |
| UCE_Sal1 | TACCTATCTAGACTGCAGGTCGACTCATGTACGAGTGAAAAAAGACAATT |
| UCE-MBP_BamH1-1 | GTACCCTCGAGGGATCCGAGAATCTGTACTTCCAAGGAGGAATGGCTACTTCTACAGGT |
| UCE-MBP_BamH1-4 | GTACCCTCGAGGGATCCGAGAATCTGTACTTCCAAGGAGGATTAGATTCTGGTGCTTCT |
| UCE_Sal1-2 | TACCTATCTAGACTGCAGGTCGACTCAAGACAATAACAAAGACAAGTTTG |
Disclaimer/Publisher’s Note: The statements, opinions and data contained in all publications are solely those of the individual author(s) and contributor(s) and not of MDPI and/or the editor(s). MDPI and/or the editor(s) disclaim responsibility for any injury to people or property resulting from any ideas, methods, instructions or products referred to in the content. |
© 2025 by the authors. Licensee MDPI, Basel, Switzerland. This article is an open access article distributed under the terms and conditions of the Creative Commons Attribution (CC BY) license (https://creativecommons.org/licenses/by/4.0/).
Share and Cite
Cao, Y.; Wang, W. Expression of Tailored α-N-Acetylglucosaminidase in Escherichia coli for Synthesizing Mannose-6-Phosphate on N-Linked Oligosaccharides of Lysosomal Enzymes. Bioengineering 2025, 12, 425. https://doi.org/10.3390/bioengineering12040425
Cao Y, Wang W. Expression of Tailored α-N-Acetylglucosaminidase in Escherichia coli for Synthesizing Mannose-6-Phosphate on N-Linked Oligosaccharides of Lysosomal Enzymes. Bioengineering. 2025; 12(4):425. https://doi.org/10.3390/bioengineering12040425
Chicago/Turabian StyleCao, Yunsong, and Wei Wang. 2025. "Expression of Tailored α-N-Acetylglucosaminidase in Escherichia coli for Synthesizing Mannose-6-Phosphate on N-Linked Oligosaccharides of Lysosomal Enzymes" Bioengineering 12, no. 4: 425. https://doi.org/10.3390/bioengineering12040425
APA StyleCao, Y., & Wang, W. (2025). Expression of Tailored α-N-Acetylglucosaminidase in Escherichia coli for Synthesizing Mannose-6-Phosphate on N-Linked Oligosaccharides of Lysosomal Enzymes. Bioengineering, 12(4), 425. https://doi.org/10.3390/bioengineering12040425
