Third-Hand Exposure to E-Cigarette Vapour Induces Pulmonary Effects in Mice
Abstract
:1. Introduction
2. Materials and Methods
2.1. Modelling Third-Hand E-Vapour Exposure
2.2. Lung Function and Bronchoalveolar Lavage
2.3. Histology and Immunohistochemistry
2.4. Real-Time PCR
2.5. Statistical Methods
3. Results
3.1. Third-Hand E-Vapour Exposure Has No Effects on Body or Organ Weight
3.2. Exposure to Third-Hand E-Vapour with Nicotine Reduces Bronchial Responsiveness to Provocation, but Has Limited Effects on Airway Inflammation
3.3. Exposure to Third-Hand E-Vapour, with or without Nicotine, Has No Effect on Airway Smooth Muscle Actin
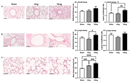
3.4. Exposure to Third-Hand E-Vapour with Nicotine Induces Remodelling of the Airway Epithelium and Emphysema-Like Alveolar Enlargement
3.5. Exposure to Third-Hand E-Vapour with Nicotine Increases Small Airway Collagen Deposition
4. Discussion
5. Conclusions
Author Contributions
Funding
Institutional Review Board Statement
Informed Consent Statement
Data Availability Statement
Conflicts of Interest
References
- Li, X.; Zhang, T.; Zhao, L.; Liu, Q.; Shi, C.; Zhang, R. Mapping of Global Research on Electronic Cigarettes: A Bibliometric Analysis. Front. Public Health 2022, 10, 856257. [Google Scholar] [CrossRef]
- Jerzyński, T.; Stimson, G.V. Estimation of the global number of vapers: 82 million worldwide in 2021. Drugs Habits Soc. Policy 2023, 24, 91–103. [Google Scholar] [CrossRef]
- Sapru, S.; Vardhan, M.; Li, Q.; Guo, Y.; Li, X.; Saxena, D. E-cigarettes use in the United States: Reasons for use, perceptions, and effects on health. BMC Public Health 2020, 20, 1518. [Google Scholar] [CrossRef]
- Boakye, E.; Erhabor, J.; Obisesan, O.; Tasdighi, E.; Mirbolouk, M.; Osuji, N.; Osei, A.D.; Lee, J.; DeFilippis, A.P.; Stokes, A.C.; et al. Comprehensive review of the national surveys that assess E-cigarette use domains among youth and adults in the United States. Lancet Reg. Health–Am. 2023, 23, 100528. [Google Scholar] [CrossRef]
- Banks, E.Y.A.; Brown, S.; Nguyen, M.; Martin, M.; Beckwith, K.; Daluwatta, A.; Campbell, S.; Joshy, G. Electronic Cigarettes and Health Outcomes: Systematic Review of Global Evidence; Report for the Australian Department of Health; National Centre for Epidemiology and Population Health: Canberra, Australia, 2022. [Google Scholar]
- The Lancet Respiratory Medicine. The EVALI outbreak and vaping in the COVID-19 era. Lancet Respir. Med. 2020, 8, 831. [Google Scholar] [CrossRef] [PubMed]
- Krishnasamy, V.P.; Hallowell, B.D.; Ko, J.Y.; Board, A.; Hartnett, K.P.; Salvatore, P.P.; Danielson, M.; Kite-Powell, A.; Twentyman, E.; Kim, L.; et al. Update: Characteristics of a Nationwide Outbreak of E-cigarette, or Vaping, Product Use-Associated Lung Injury—United States, August 2019–January 2020. Morb. Mortal. Wkly. Rep. 2020, 69, 90–94. [Google Scholar] [CrossRef] [PubMed]
- McNeill, A.B.L.; Calder, R.; Hitchman, S.C.; Hajek, P.; McRobbie, H. E-Cigarettes: An Evidence Update. A Report Commissioned by Public Health England. Available online: https://assetspublishingservicegovuk/government/uploads/system/uploads/attachment_data/file/733022/Ecigarettes_an_evidence_update_A_report_commissioned_by_Public_Health_England_FINALpdf (accessed on 10 October 2022).
- Polosa, R.; Morjaria, J.B.; Caponnetto, P.; Prosperini, U.; Russo, C.; Pennisi, A.; Bruno, C.M. Evidence for harm reduction in COPD smokers who switch to electronic cigarettes. Respir. Res. 2016, 17, 166. [Google Scholar] [CrossRef] [PubMed]
- Hajek, P.; Phillips-Waller, A.; Przulj, D.; Pesola, F.; Myers Smith, K.; Bisal, N.; Li, J.; Parrott, S.; Sasieni, P.; Dawkins, L.; et al. A Randomized Trial of E-Cigarettes versus Nicotine-Replacement Therapy. N. Engl. J. Med. 2019, 380, 629–637. [Google Scholar] [CrossRef] [PubMed]
- Hariri, L.P.; Flashner, B.M.; Kanarek, D.J.; O’Donnell, W.J.; Soskis, A.; Ziehr, D.R.; Frank, A.; Nandy, S.; Berigei, S.R.; Sharma, R.; et al. E-Cigarette Use, Small Airway Fibrosis, and Constrictive Bronchiolitis. NEJM Evid. 2022, 1, EVIDoa2100051. [Google Scholar] [CrossRef]
- Han, H.; Peng, G.; Meister, M.; Yao, H.; Yang, J.J.; Zou, M.-H.; Liu, Z.-R.; Ji, X. Electronic Cigarette Exposure Enhances Lung Inflammatory and Fibrotic Responses in COPD Mice. Front. Pharmacol. 2021, 12, 726586. [Google Scholar] [CrossRef] [PubMed]
- Lauren, C.D.; Elizabeth, S.; David, R.T.; Aaron, S. Predicting the pulmonary effects of long-term e-cigarette use: Are the clouds clearing? Eur. Respir. Rev. 2022, 31, 210121. [Google Scholar]
- Gotts, J.E.; Jordt, S.-E.; McConnell, R.; Tarran, R. What are the respiratory effects of e-cigarettes? BMJ 2019, 366, l5275. [Google Scholar] [CrossRef] [PubMed]
- Bustamante-Marin, X.M.; Ostrowski, L.E. Cilia and Mucociliary Clearance. Cold Spring Harb. Perspect. Biol. 2017, 9, a028241. [Google Scholar] [CrossRef] [PubMed]
- Krimmer, D.I.; Burgess, J.K.; Wooi, T.K.; Black, J.L.; Oliver, B.G. Matrix proteins from smoke-exposed fibroblasts are pro-proliferative. Am. J. Respir. Cell Mol. Biol. 2012, 46, 34–39. [Google Scholar] [CrossRef] [PubMed]
- Krimmer, D.; Ichimaru, Y.; Burgess, J.; Black, J.; Oliver, B. Exposure to biomass smoke extract enhances fibronectin release from fibroblasts. PLoS ONE 2013, 8, e83938. [Google Scholar] [CrossRef]
- Chen, L.; Ge, Q.; Tjin, G.; Alkhouri, H.; Deng, L.; Brandsma, C.-A.; Adcock, I.; Timens, W.; Postma, D.; Burgess, J.K.; et al. Effects of cigarette smoke extract on human airway smooth muscle cells in COPD. Eur. Respir. J. 2014, 44, 634–646. [Google Scholar] [CrossRef]
- Borkar, N.A.; Roos, B.; Prakash, Y.S.; Sathish, V.; Pabelick, C.M. Nicotinic alpha7 acetylcholine receptor (alpha7nAChR) in human airway smooth muscle. Arch. Biochem. Biophys. 2021, 706, 108897. [Google Scholar] [CrossRef]
- Giraudo, A.; Pallavicini, M.; Bolchi, C. Small molecule ligands for alpha9 * and alpha7 nicotinic receptors: A survey and an update, respectively. Pharmacol. Res. 2023, 193, 106801. [Google Scholar] [CrossRef]
- Assayag, E.I.; Beaulieu, M.J.; Cormier, Y. Bronchodilatory and anti-inflammatory effects of ASM-024, a nicotinic receptor ligand, developed for the treatment of asthma. PLoS ONE 2014, 9, e86091. [Google Scholar] [CrossRef]
- Borjesson, L.; Nordgren, S.; Delbro, D.S. DMPP causes relaxation of rat distal colon by a purinergic and a nitrergic mechanism. Eur. J. Pharmacol. 1997, 334, 223–231. [Google Scholar] [CrossRef]
- Blanchet, M.R.; Israel-Assayag, E.; Cormier, Y. Modulation of airway inflammation and resistance in mice by a nicotinic receptor agonist. Eur. Respir. J. 2005, 26, 21–27. [Google Scholar] [CrossRef] [PubMed]
- Hajiasgharzadeh, K.; Sadigh-Eteghad, S.; Mansoori, B.; Mokhtarzadeh, A.; Shanehbandi, D.; Doustvandi, M.A.; Asadzadeh, Z.; Baradaran, B. Alpha7 nicotinic acetylcholine receptors in lung inflammation and carcinogenesis: Friends or foes? J. Cell. Physiol. 2019, 234, 14666–14679. [Google Scholar] [CrossRef]
- Tan, X.; Vrana, K.; Ding, Z.M. Cotinine: Pharmacologically Active Metabolite of Nicotine and Neural Mechanisms for Its Actions. Front. Behav. Neurosci. 2021, 15, 758252. [Google Scholar] [CrossRef]
- Mahabee-Gittens, E.M.; Merianos, A.L.; Matt, G.E. Preliminary evidence that high levels of nicotine on children’s hands may contribute to overall tobacco smoke exposure. Tob. Control 2018, 27, 217–219. [Google Scholar] [CrossRef] [PubMed]
- Al-Delaimy, W.K. Hair as a biomarker for exposure to tobacco smoke. Tob. Control 2002, 11, 176. [Google Scholar] [CrossRef]
- Northrup, T.F.; Jacob, P.; Benowitz, N.L., 3rd; Hoh, E.; Quintana, P.J.; Hovell, M.F.; Matt, G.E.; Stotts, A.L. Thirdhand Smoke: State of the Science and a Call for Policy Expansion. Public Health Rep. 2016, 131, 233–238. [Google Scholar] [CrossRef]
- Northrup, T.F.; Stotts, A.L.; Suchting, R.; Khan, A.M.; Green, C.; Klawans, M.R.; EQuintana, P.J.; Hoh, E.; Hovell, M.F.; EMatt, G. Thirdhand Smoke Contamination and Infant Nicotine Exposure in a Neonatal Intensive Care Unit: An Observational Study. Nicotine Tob. Res. 2021, 23, 373–382. [Google Scholar] [CrossRef]
- Marques, P.; Piqueras, L.; Sanz, M.-J. An updated overview of e-cigarette impact on human health. Respir. Res. 2021, 22, 151. [Google Scholar] [CrossRef] [PubMed]
- Hui, C.; Gerard, L.; Venkata Sita Rama Raju, A.; Baoming, W.; Yik Lung, C.; Claudia, S.; Maiken, U.; Ronald, S.; Shanlin, F.; Paul, F.; et al. Evidence from a mouse model on the dangers of thirdhand electronic cigarette exposure during early life. ERJ Open Res. 2020, 6, 00022–02020. [Google Scholar]
- Wang, B.; Chan, Y.-L.; Li, G.; Ho, K.F.; Anwer, A.G.; Smith, B.J.; Guo, H.; Jalaludin, B.; Herbert, C.; Thomas, P.S.; et al. Maternal Particulate Matter Exposure Impairs Lung Health and Is Associated with Mitochondrial Damage. Antioxidants 2021, 10, 1029. [Google Scholar] [CrossRef]
- Horvat, J.C.; Starkey, M.R.; Kim, R.Y.; Phipps, S.; Gibson, P.G.; Beagley, K.W.; Foster, P.S.; Hansbro, P.M. Early-life chlamydial lung infection enhances allergic airways disease through age-dependent differences in immunopathology. J. Allergy Clin. Immunol. 2010, 125, 617–625.e6. [Google Scholar] [CrossRef]
- Li, G.; Chan, Y.L.; Sukjamnong, S.; Anwer, A.G.; Vindin, H.; Padula, M.; Zakarya, R.; George, J.; Oliver, B.G.; Saad, S.; et al. A Mitochondrial Specific Antioxidant Reverses Metabolic Dysfunction and Fatty Liver Induced by Maternal Cigarette Smoke in Mice. Nutrients 2019, 11, 1669. [Google Scholar] [CrossRef]
- Feng, M.; Bai, X.; Thorpe, A.E.; Nguyen, L.T.; Wang, M.; Oliver, B.G.; Chou, A.S.Y.; Pollock, C.A.; Saad, S.; Chen, H. Effect of E-Vaping on Kidney Health in Mice Consuming a High-Fat Diet. Nutrients 2023, 15, 3140. [Google Scholar] [CrossRef]
- Mangubat, M.; Lutfy, K.; Lee, M.L.; Pulido, L.; Stout, D.; Davis, R.; Shin, C.-S.; Shahbazian, M.; Seasholtz, S.; Sinha-Hikim, A.; et al. Effect of nicotine on body composition in mice. J. Endocrinol. 2012, 212, 317–326. [Google Scholar] [CrossRef] [PubMed]
- Prieto, L.; Palop, J.; Llusar, R.; Herrera, S.; Perez-Frances, C.; Lanuza, A.; Aguilar, D. Effects of cigarette smoke on methacholine- and AMP-induced air trapping in asthmatics. J. Asthma 2015, 52, 26–33. [Google Scholar] [CrossRef]
- Madison, M.C.; Landers, C.T.; Gu, B.-H.; Chang, C.-Y.; Tung, H.-Y.; You, R.; Hong, M.J.; Baghaei, N.; Song, L.-Z.; Porter, P.; et al. Electronic cigarettes disrupt lung lipid homeostasis and innate immunity independent of nicotine. J. Clin. Investig. 2019, 129, 4290–4304. [Google Scholar] [CrossRef] [PubMed]
- Garcia-Arcos, I.; Geraghty, P.; Baumlin, N.; Campos, M.; Dabo, A.J.; Jundi, B.; Cummins, N.; Eden, E.; Grosche, A.; Salathe, M.; et al. Chronic electronic cigarette exposure in mice induces features of COPD in a nicotine-dependent manner. Thorax 2016, 71, 1119–1129. [Google Scholar] [CrossRef] [PubMed]
- Jacob, P., 3rd; Benowitz, N.L.; Destaillats, H.; Gundel, L.; Hang, B.; Martins-Green, M.; Matt, G.E.; Quintana, P.J.E.; Samet, S.J.M.; Schick, S.F.; et al. Thirdhand Smoke: New Evidence, Challenges, and Future Directions. Chem. Res. Toxicol. 2017, 30, 270–294. [Google Scholar] [CrossRef]
- Martins-Green, M.; Adhami, N.; Frankos, M.; Valdez, M.; Goodwin, B.; Lyubovitsky, J.; Dhall, S.; Garcia, M.; Egiebor, I.; Martinez, B.; et al. Cigarette smoke toxins deposited on surfaces: Implications for human health. PLoS ONE 2014, 9, e86391. [Google Scholar] [CrossRef]
- Jensen, K.; Nizamutdinov, D.; Guerrier, M.; Afroze, S.; Dostal, D.; Glaser, S. General mechanisms of nicotine-induced fibrogenesis. FASEB J. 2012, 26, 4778–4787. [Google Scholar] [CrossRef]
- Kuo, C.; Lim, S.; King, N.J.; Johnston, S.L.; Burgess, J.K.; Black, J.L.; Oliver, B.G. Rhinovirus infection induces extracellular matrix protein deposition in asthmatic and nonasthmatic airway smooth muscle cells. Am. J. Physiol. Lung Cell. Mol. Physiol. 2011, 300, L951–L957. [Google Scholar] [CrossRef]
- Baraket, M.; Oliver, B.G.; Burgess, J.K.; Lim, S.; King, G.G.; Black, J.L. Is low dose inhaled corticosteroid therapy as effective for inflammation and remodeling in asthma? A randomized, parallel group study. Respir. Res. 2012, 13, 11. [Google Scholar] [CrossRef]
- Kim, R.Y.; Sunkara, K.P.; Bracke, K.R.; Jarnicki, A.G.; Donovan, C.; Hsu, A.C.; Ieni, A.; Beckett, E.L.; Galvão, I.; Hansbro, P.M.; et al. A microRNA-21-mediated SATB1/S100A9/NF-kappaB axis promotes chronic obstructive pulmonary disease pathogenesis. Sci. Transl. Med. 2021, 13, eaav7223. [Google Scholar] [CrossRef] [PubMed]
- Donovan, C.; Seow, H.J.; Royce, S.G.; Bourke, J.E.; Vlahos, R. Alteration of Airway Reactivity and Reduction of Ryanodine Receptor Expression by Cigarette Smoke in Mice. Am. J. Respir. Cell Mol. Biol. 2015, 53, 471–478. [Google Scholar] [CrossRef] [PubMed]
- Kim, R.Y.; Horvat, J.C.; Pinkerton, J.W.; Starkey, M.R.; Essilfie, A.T.; Mayall, J.R.; Nair, P.M.; Hansbro, N.G.; Jones, B.; Haw, T.J.; et al. MicroRNA-21 drives severe, steroid-insensitive experimental asthma by amplifying phosphoinositide 3-kinase-mediated suppression of histone deacetylase 2. J. Allergy Clin. Immunol. 2017, 139, 519–532. [Google Scholar] [CrossRef] [PubMed]
- Donovan, C.; Royce, S.G.; Esposito, J.; Tran, J.; Ibrahim, Z.A.; Tang, M.L.K.; Bailey, S.; Bourke, J.E. Differential effects of allergen challenge on large and small airway reactivity in mice. PLoS ONE 2013, 8, e74101. [Google Scholar] [CrossRef]




| Gene | Sybr-Labelled Probe Sequence |
|---|---|
| β-actin | Forward Primer: 5′-GATCTTGATCTTCATGGTGCTAGG-3′ Reverse Primer: 5′-TTGTAACCAACTGGGACCATATGG-3′ |
| Col1a1 | Forward Primer: 5′-CGTATCACCAAACTCAGAAG-3′ Reverse Primer: 5′-GAAGCAAAGTTTCCTCCAAG-3′ |
| Col4a1 | Forward Primer: 5′-TTCTCTTCTGCAACATCAAG-3′ Reverse Primer: 5′-GAATCTGAATGGTCTGACTC-3′ |
| Sham | 0 mg | 18 mg | |
|---|---|---|---|
| Body Weight (g) | 22.49 ± 0.30 | 22.54 ± 0.21 | 22.49 ± 0.27 |
| Brain (g) | 0.311 ± 0.004 | 0.313 ± 0.005 | 0.308 ± 0.004 |
| Brain (%) | 1.38 ± 0.02 | 1.38 ± 0.03 | 1.371 ± 0.02 |
| Liver (g) | 1.267 ± 0.0366 | 1.194 ± 0.030 | 1.215 ± 0.032 |
| Liver (%) | 5.42 ± 0.10 | 5.30 ± 0.11 | 5.44 ± 0.13 |
| Kidney (g) | 0.185 ± 0.005 | 0.181 ± 0.004 | 0.181 ± 0.003 |
| Kidney (%) | 0.82 ± 0.01 | 0.80 ± 0.02 | 0.83 ± 0.01 |
| Spleen (g) | 0.099 ± 0.009 | 0.096 ± 0.002 | 0.095 ± 0.003 |
| Spleen (%) | 0.40 ± 0.01 | 0.43 ± 0.01 | 0.42 ± 0.01 |
| Retroperitoneal fat (g) | 0.102 ± 0.009 | 0.105 ± 0.007 | 0.117 ± 0.008 |
| Retroperitoneal fat (%) | 0.47 ± 0.03 | 0.47 ± 0.03 | 0.52 ± 0.04 |
| Epididymal fat (g) | 0.379 ± 0.022 | 0.384 ± 0.011 | 0.389 ± 0.020 |
| Epididymal fat (%) | 1.71 ± 0.04 | 1.77 ± 0.05 | 1.71 ± 0.07 |
| Gastrocnemius muscle (g) | 0.268 ± 0.010 | 0.287 ± 0.009 | 0.283 ± 0.005 |
| Gastrocnemius muscle (%) | 1.18 ± 0.03 | 1.27 ± 0.04 | 1.26 ± 0.02 |
| Tibialis muscle (g) | 0.097 ± 0.008 | 0.088 ± 0.007 | 0.095 ± 0.006 |
| Tibialis muscle (%) | 0.43 ± 0.04 | 0.39 ± 0.03 | 0.42 ± 0.03 |
Disclaimer/Publisher’s Note: The statements, opinions and data contained in all publications are solely those of the individual author(s) and contributor(s) and not of MDPI and/or the editor(s). MDPI and/or the editor(s) disclaim responsibility for any injury to people or property resulting from any ideas, methods, instructions or products referred to in the content. |
© 2023 by the authors. Licensee MDPI, Basel, Switzerland. This article is an open access article distributed under the terms and conditions of the Creative Commons Attribution (CC BY) license (https://creativecommons.org/licenses/by/4.0/).
Share and Cite
Thorpe, A.E.; Donovan, C.; Kim, R.Y.; Vindin, H.J.; Zakarya, R.; Miyai, H.; Chan, Y.L.; van Reyk, D.; Chen, H.; Oliver, B.G. Third-Hand Exposure to E-Cigarette Vapour Induces Pulmonary Effects in Mice. Toxics 2023, 11, 749. https://doi.org/10.3390/toxics11090749
Thorpe AE, Donovan C, Kim RY, Vindin HJ, Zakarya R, Miyai H, Chan YL, van Reyk D, Chen H, Oliver BG. Third-Hand Exposure to E-Cigarette Vapour Induces Pulmonary Effects in Mice. Toxics. 2023; 11(9):749. https://doi.org/10.3390/toxics11090749
Chicago/Turabian StyleThorpe, Andrew E., Chantal Donovan, Richard Y. Kim, Howard J. Vindin, Razia Zakarya, Hanna Miyai, Yik L. Chan, David van Reyk, Hui Chen, and Brian G. Oliver. 2023. "Third-Hand Exposure to E-Cigarette Vapour Induces Pulmonary Effects in Mice" Toxics 11, no. 9: 749. https://doi.org/10.3390/toxics11090749
APA StyleThorpe, A. E., Donovan, C., Kim, R. Y., Vindin, H. J., Zakarya, R., Miyai, H., Chan, Y. L., van Reyk, D., Chen, H., & Oliver, B. G. (2023). Third-Hand Exposure to E-Cigarette Vapour Induces Pulmonary Effects in Mice. Toxics, 11(9), 749. https://doi.org/10.3390/toxics11090749

