Colored Gingiva Composite Used for the Rehabilitation of Gingiva Recessions and Non-Carious Cervical Lesions
Abstract
1. Introduction
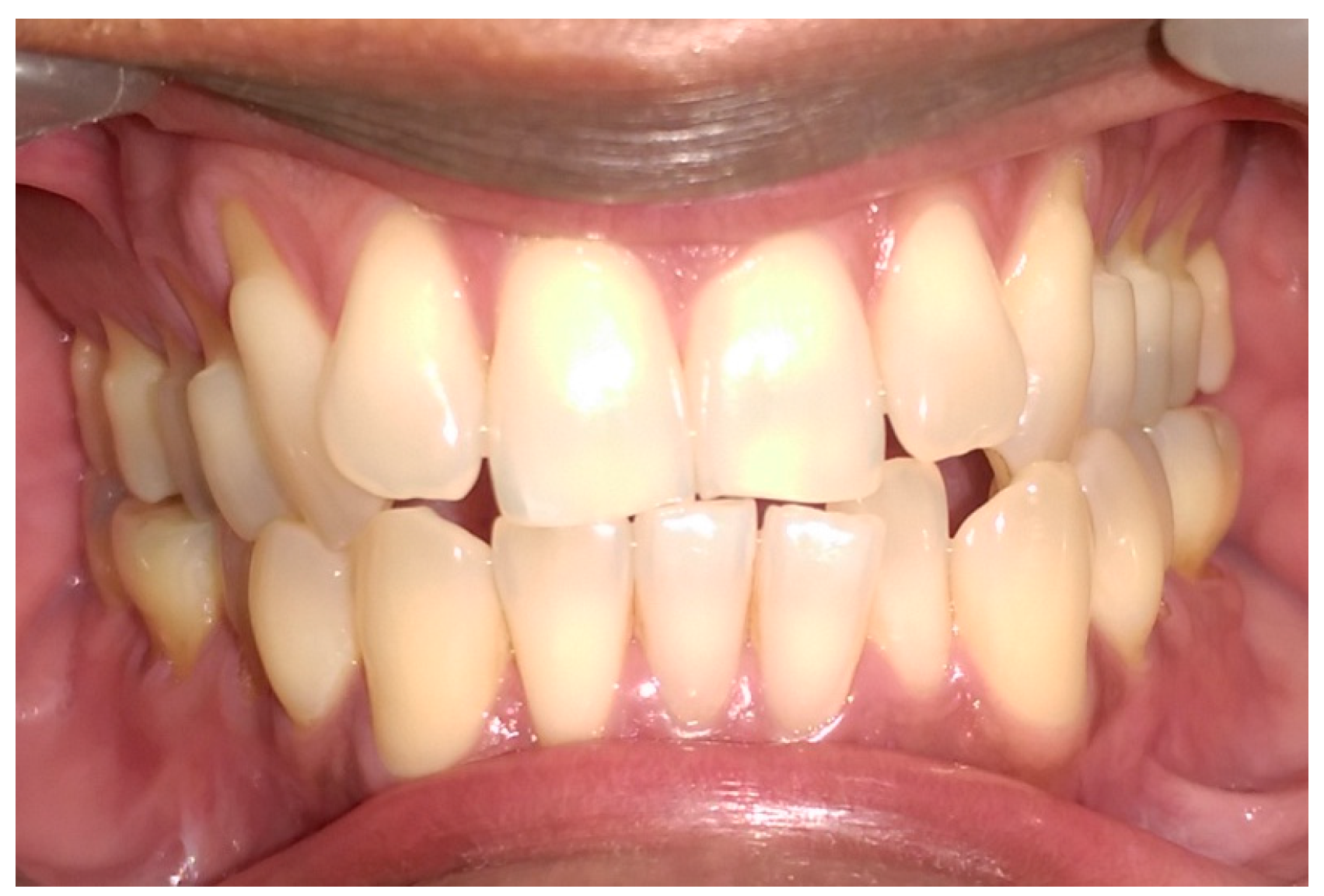
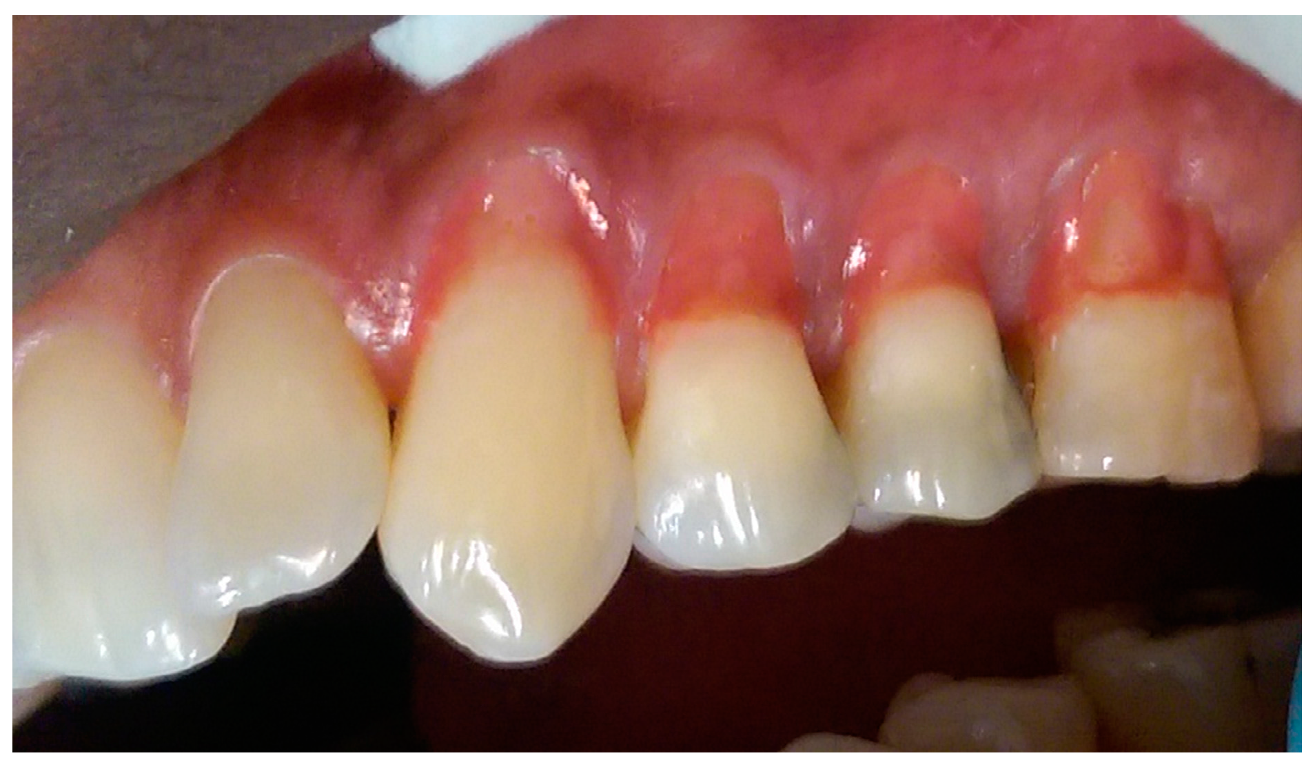
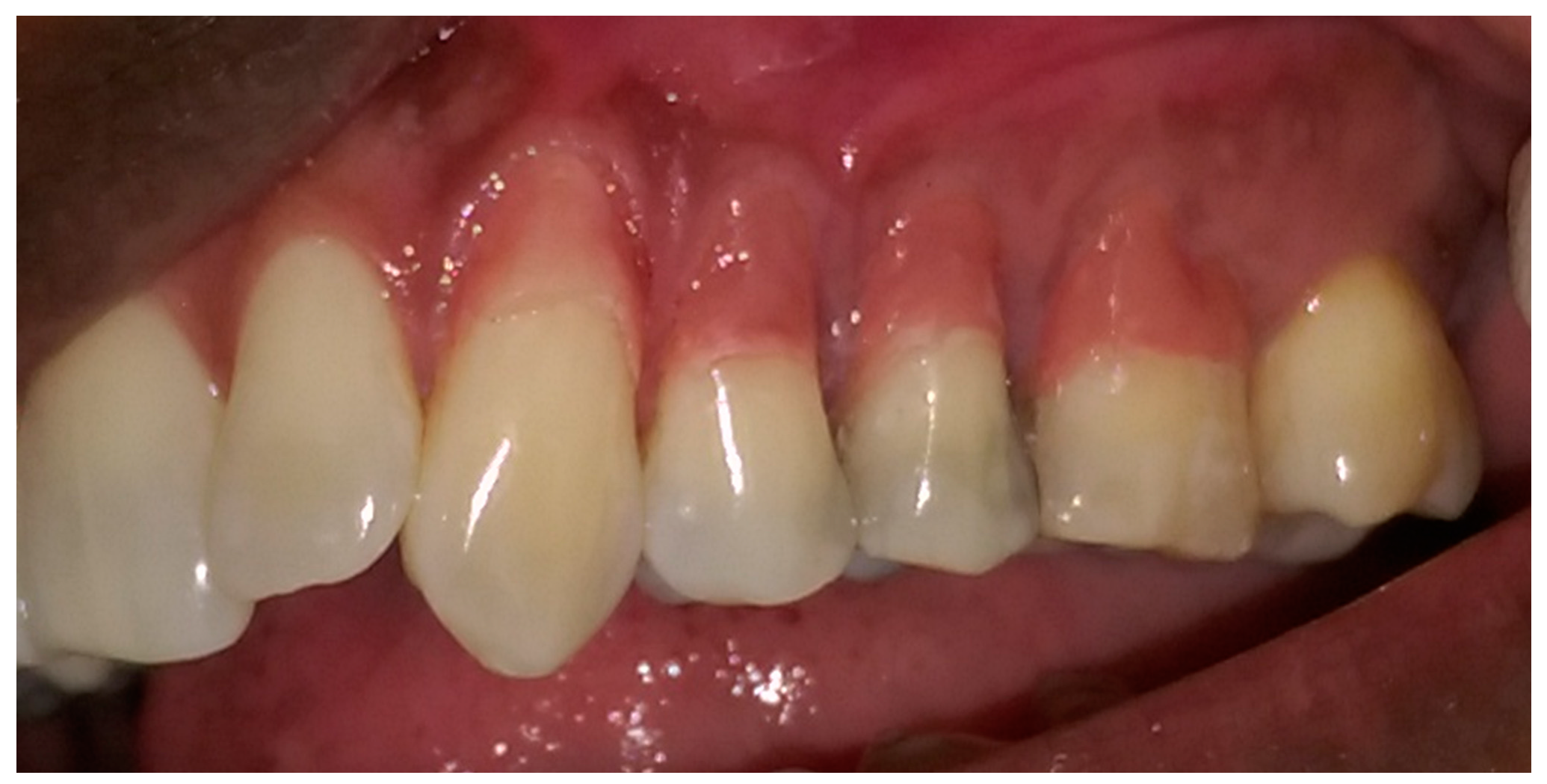
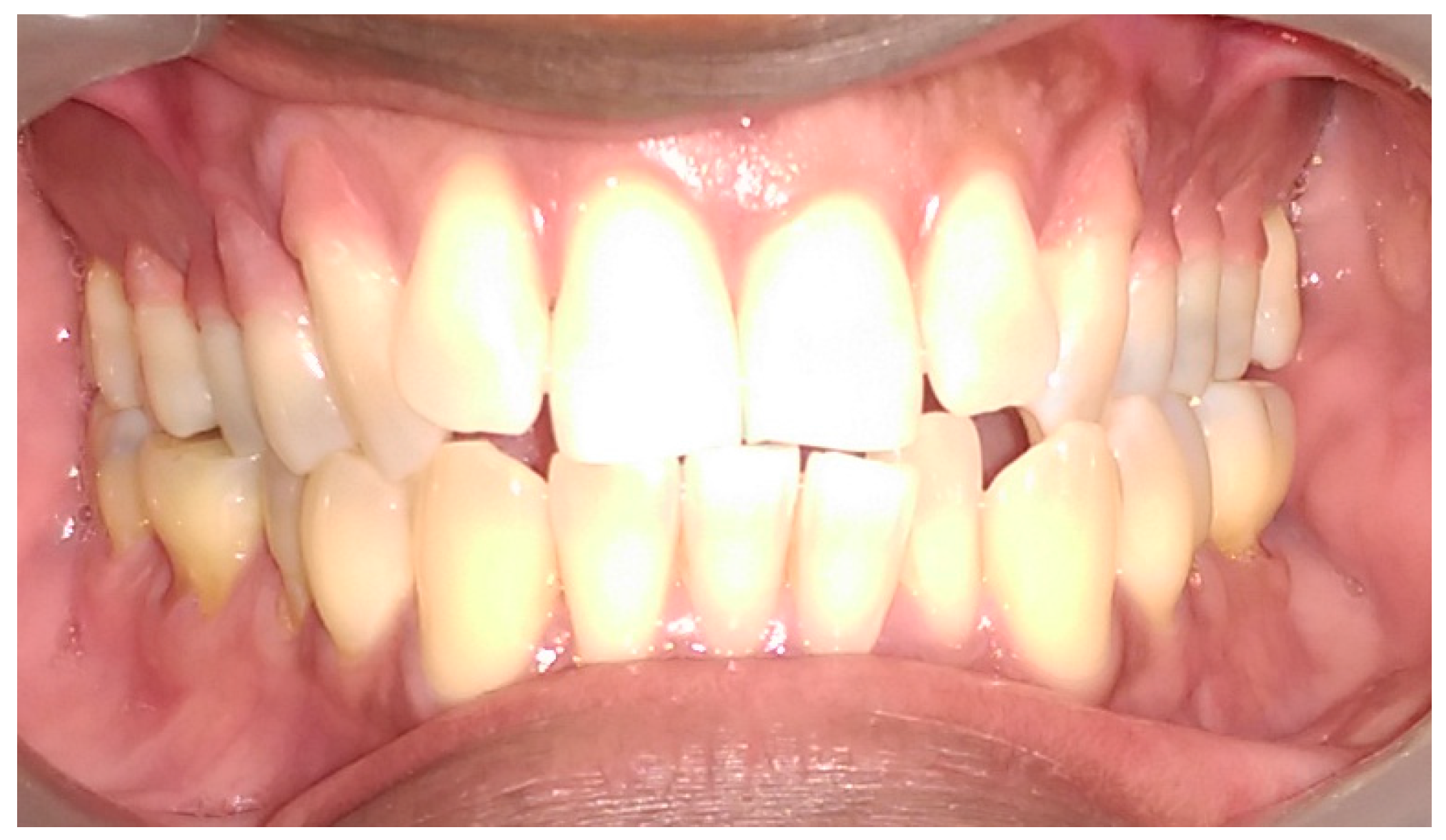
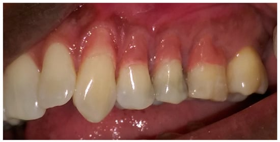
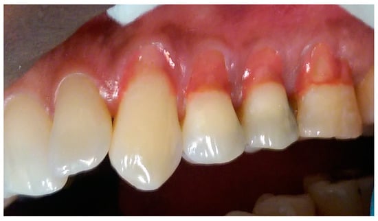
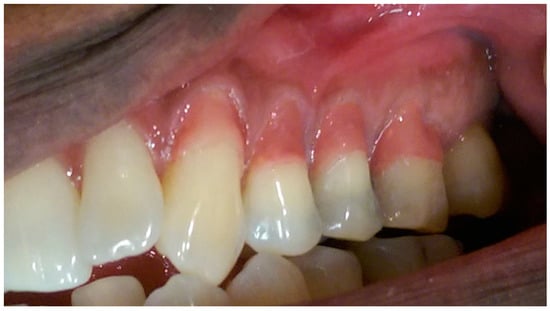
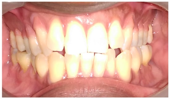
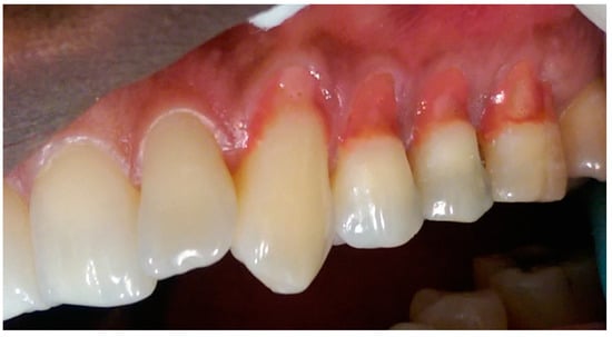
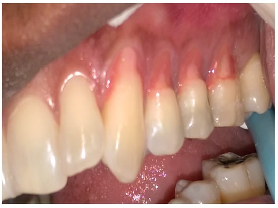
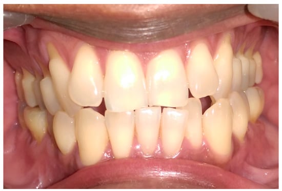
2. Case Report
3. Discussion
4. Conclusions
Acknowledgments
Author Contributions
Conflicts of Interest
References
- Paryag, A.A.; Rafeek, R.N.; Mankee, M.S.; Lowe, J. Exploring the versatility of gingiva-colored composite. Clin. Cosmet. Investig. Dent. 2016, 8, 63–69. [Google Scholar] [PubMed]
- Zalkind, M.; Hochman, N. Alternative method of conservative esthetic treatment for gingival recession. J. Prosthet. Dent. 1997, 77, 561–563. [Google Scholar] [CrossRef]
- Pradeep, K.; Rajababu, P.; Satyanarayana, D.; Sagar, V. Gingival recession: Review and strategies in treatment of recession. Case Rep. Dent. 2012, 2, 563421. [Google Scholar] [CrossRef] [PubMed]
- Günay, H.; Geurtsen, W.; Lührs, A.K. Conservative treatment of periodontal recessions with class V defects using gingiva-shaded composite—A systematic treatment concept. Dent. Update 2011, 38, 124–126, 128–130, 132. [Google Scholar] [CrossRef] [PubMed]
- Wilkins, E.M. Clinical Practice of the Dental Hygienist, 10th ed.; Lippincot Williams and Wilkins: Philadelphia, PA, USA, 2012; Chapter 12. [Google Scholar]
- Manson, J.D.; Eley, B.M. (Eds.) Outline of Periodontics, 4th ed.; Butterworth Heinemann: Oxford, UK, 2000; pp. 1–8. [Google Scholar]
- Krom, C.; Waas, M.; Oosterveld, P.; Koopmans, A.; Garrett, N. The oral pigmentation chart: A clinical adjunct for oral pigmentation in removable prosthesis. Int. J. Prosthodont. 2005, 18, 66–70. [Google Scholar] [PubMed]
- Ho, D.K.; Ghinea, R.; Herrera, L.J.; Angelov, N.; Paravina, R.D. Color Range and Color Distribution of Healthy Human Gingiva: A Prospective Clinical Study. Sci. Rep. 2015, 5, 18498. [Google Scholar] [CrossRef] [PubMed]
- Dummett, C.O.; Barens, G. Pigmentation of the oral tissues: A review of literature. J. Periodontol. 1967, 39, 369–378. [Google Scholar] [CrossRef]
- Ibusuki, M. The color of gingiva studied by visual color matching Part II. Kind, location and personal difference in color of the gingiva. Bull. Tokyo Med. Dent. Univ. 1975, 22, 281–292. [Google Scholar] [PubMed]








| Option Number | Treatment Detail |
|---|---|
| Option 1 | Do nothing; monitor the dentition and, should the lesions become painful, then intervene. |
| Option 2 | Orthodontic treatment for correction of the crossbite; surgical Intervention for correction of recession defects. |
| Option 3 | Orthodontic treatment for correction of the crossbite; gingiva-colored composites to aid in visualizing the possible result should surgery be a future option. |
| Option 4 | Gingiva-colored composites to restore the defects and aid in visualizing the possible result should surgery be a future option. Monitor the composites for failure and replace as necessary. |
| Steps | Sequence |
|---|---|
| 1 | The patient opted to have only the maxillary arch restored. |
| 2 | After pumicing lightly and etching the teeth using 34% phosphoric acid and rinsing, the entire segment was isolated using cotton rolls and low volume saliva ejector. |
| 3 | Clearfil Universal Bond Adhesive Resin (Kuraray Noritake Dental Inc., KURARAY AMERICA, INC. 33 Maiden Ln., Suite 600D, New York, NY 10038, USA) was placed via a microtip applicator and burnished—20 s; air dried—10 s; light cured—30 s. |
| 4 | Opaquers were applied directly to the teeth in patterns mimicking the color of the gingiva. Where necessary they were blended directly on the tooth to produce the required color. |
| 5 | Each placement of opaquer was cured prior to applying the next increment. |
| 6 | Having covered the root surface in the desired color, the nature shade gingiva was applied and sculpted to match the adjacent gingival contours. |
| 7 | A cervical line was created at a uniform height and in a uniform shape to enhance the natural appearance. |
© 2017 by the authors. Licensee MDPI, Basel, Switzerland. This article is an open access article distributed under the terms and conditions of the Creative Commons Attribution (CC BY) license (http://creativecommons.org/licenses/by/4.0/).
Share and Cite
Paryag, A.; Lowe, J.; Rafeek, R. Colored Gingiva Composite Used for the Rehabilitation of Gingiva Recessions and Non-Carious Cervical Lesions. Dent. J. 2017, 5, 33. https://doi.org/10.3390/dj5040033
Paryag A, Lowe J, Rafeek R. Colored Gingiva Composite Used for the Rehabilitation of Gingiva Recessions and Non-Carious Cervical Lesions. Dentistry Journal. 2017; 5(4):33. https://doi.org/10.3390/dj5040033
Chicago/Turabian StyleParyag, Amit, Jenai Lowe, and Reisha Rafeek. 2017. "Colored Gingiva Composite Used for the Rehabilitation of Gingiva Recessions and Non-Carious Cervical Lesions" Dentistry Journal 5, no. 4: 33. https://doi.org/10.3390/dj5040033
APA StyleParyag, A., Lowe, J., & Rafeek, R. (2017). Colored Gingiva Composite Used for the Rehabilitation of Gingiva Recessions and Non-Carious Cervical Lesions. Dentistry Journal, 5(4), 33. https://doi.org/10.3390/dj5040033
