Post-Operative Bleeding Complications in a Periodontitis Patient Testing Positive for COVID-19
Abstract
:1. Introduction
2. Case Report
2.1. Intake
2.2. Initial Non-Surgical Periodontal Treatment
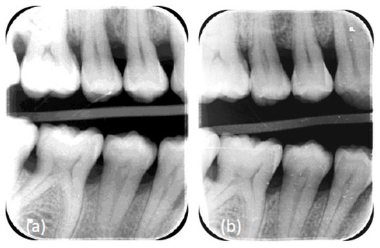
2.3. Surgical Phase
- (I)
- PSI: Modified papilla preservation, including an attempt to regenerate with amelogenin (Enamel Matrix Derivative) at the residual deep intrabony defect (≥3 mm), mesial to 15; procedure according to Cortellini and Tonetti [30].
- (II)
- PSI: Modified papilla preservation, including an attempt to regenerate with amelogenin (Enamel Matrix Derivative) at the residual deep intrabony defect (≥3 mm), mesial to 44; procedure according to Cortellini and Tonetti [30].
- (III)
- PSI: Accessing flap 13–23 with a combination of buccal papilla preservation at 11–21 and osteoplasty where needed (Figure 2d–f); procedure is a combination of the modified papilla preservation technique as described by Cortellini and Tonetti [30] and open flap debridement as described by Carranza and Takei [31].
- (IV)
- PSI: Shortening flap 34–37; procedure according to Carranza and Takei [31].
2.4. Post-Operative Bleeding Complications
3. Discussion
4. Conclusions
- (I)
- To meticulously interview the patient before the start of a surgical procedure regarding possible COVID-19-related complaints.
- (II)
- In the event where a patient presents with general malaise shortly after the operation, she/he should be encouraged to have a PCR COVID-19 test, and if positive should be informed of possible intraoral bleeding complications and have a blood test performed as soon as possible regarding the coagulation state (biomarkers such as number of thrombocytes, tPA, uPA, PAI-1, and D-dimer).
- (III)
- In the event of abnormal blood clot, the patient should be seen urgently in the clinic and extra suturing of the tissues should be decided on, as well as the application of pressure at the wound and instructions to the patient to rinse with tranexamic acid two to four times a day for two days.
- (IV)
- In the case of a patient with an active COVID-19 infection where an oral surgical procedure cannot wait, immediately before the surgical intervention a blood test should be performed to test the coagulation state of the patient (see recommendation II).
Author Contributions
Funding
Institutional Review Board Statement
Informed Consent Statement
Data Availability Statement
Acknowledgments
Conflicts of Interest
References
- Nibali, L.; Ide, M.; Ng, D.; Buontempo, Z.; Clayton, Y.; Asimakopoulou, K. The perceived impact of COVID-19 on periodontal practice in the United Kingdom: A questionnaire study. J. Dent. 2020, 102, 103481. [Google Scholar] [CrossRef] [PubMed]
- Group, C.O.C. The COVID-19 pandemic and its global effects on dental practice. An International survey. J. Dent. 2021, 114, 103749. [Google Scholar] [CrossRef]
- Amorim Dos Santos, J.; Normando, A.G.C.; Carvalho da Silva, R.L.; Acevedo, A.C.; De Luca Canto, G.; Sugaya, N.; Santos-Silva, A.R.; Guerra, E.N.S. Oral Manifestations in Patients with COVID-19: A 6-month update. J. Dent. Res. 2021, 100, 1321–1329. [Google Scholar] [CrossRef] [PubMed]
- Butler-Laporte, G.; Lawandi, A.; Schiller, I.; Yao, M.; Dendukuri, N.; McDonald, E.G.; Lee, T.C. Comparison of saliva and nasopharyngeal swab nucleic acid amplification testing for detection of SARS-CoV-2: A systematic review and meta-analysis. JAMA Intern. Med. 2021, 181, 353–360. [Google Scholar] [CrossRef]
- Berton, F.; Rupel, K.; Florian, F.; Biasotto, M.; Pallavicini, A.; Di Lenarda, R. Dental calculus-a reservoir for detection of past SARS-CoV-2 infection. Clin. Oral Investig. 2021, 25, 5113–5114. [Google Scholar] [CrossRef]
- Lozada-Nur, F.; Chainani-Wu, N.; Fortuna, G.; Sroussi, H. Dysgeusia in COVID-19: Possible Mechanisms and Implications. Oral Surg. Oral Med. Oral Pathol. Oral Radiol. 2020, 130, 344–346. [Google Scholar] [CrossRef]
- Gomes, S.C.; Fachin, S.; da Fonseca, J.G.; Angst, P.D.M.; Lamers, M.L.; da Silva, I.S.B.; Nunes, L.N. Dental biofilm of symptomatic COVID-19 patients harbours SARS-CoV-2. J. Clin. Periodontol. 2021, 48, 880–885. [Google Scholar] [CrossRef]
- Ren, Y.F.; Rasubala, L.; Malmstrom, H.; Eliav, E. Dental care and oral health under the clouds of COVID-19. JDR Clin. Trans. Res. 2020, 5, 202–210. [Google Scholar] [CrossRef]
- Marouf, N.; Cai, W.; Said, K.N.; Daas, H.; Diab, H.; Chinta, V.R.; Hssain, A.A.; Nicolau, B.; Sanz, M.; Tamimi, F. Association between periodontitis and severity of COVID-19 infection: A case-control study. J. Clin. Periodontol. 2021, 48, 483–491. [Google Scholar] [CrossRef]
- Loos, B.G.; Van Dyke, T.E. The role of inflammation and genetics in periodontal disease. Periodontol. 2000 2020, 83, 26–39. [Google Scholar] [CrossRef]
- Loos, B.G. Systemic markers of inflammation in periodontitis. J. Periodontol. 2005, 76, 2106–2115. [Google Scholar] [CrossRef] [PubMed]
- Nesse, W.; Abbas, F.; van der Ploeg, I.; Spijkervet, F.K.; Dijkstra, P.U.; Vissink, A. Periodontal inflamed surface area: Quantifying inflammatory burden. J. Clin. Periodontol. 2008, 35, 668–673. [Google Scholar] [CrossRef] [PubMed] [Green Version]
- Donders, H.C.M.; van der Sleen, J.M.; Kleinbergen, Y.J.; Suac, N.; de Lange, J.; Loos, B.G. Alveolar bone loss and tooth loss are associated with COVID-19 severity but are not independent risk factors. An explorative study. Adv. Oral Maxillofac. Surg. 2022, 5, 100223. [Google Scholar] [CrossRef]
- Adam, M. Is SARS-CoV-2 present in the periodontium? A post-mortem study. Evid.-Based Dent. 2021, 22, 60–61. [Google Scholar] [CrossRef] [PubMed]
- Costa, C.A.; Vilela, A.C.S.; Oliveira, S.A.; Gomes, T.D.; Andrade, A.A.C.; Leles, C.R.; Costa, N.L. Poor Oral health status and adverse COVID-19 outcomes: A preliminary study in hospitalized patients. J. Periodontol. 2022. [Google Scholar] [CrossRef]
- Chapple, I.L.C.; Mealey, B.L.; Van Dyke, T.E.; Bartold, P.M.; Dommisch, H.; Eickholz, P.; Geisinger, M.L.; Genco, R.J.; Glogauer, M.; Goldstein, M.; et al. Periodontal health and gingival diseases and conditions on an intact and a reduced periodontium: Consensus report of workgroup 1 of the 2017 world workshop on the classification of periodontal and peri-implant diseases and conditions. J. Clin. Periodontol. 2018, 45 (Suppl. 20), S68–S77. [Google Scholar] [CrossRef] [PubMed]
- Stavropoulos, A.; Bertl, K.; Spineli, L.M.; Sculean, A.; Cortellini, P.; Tonetti, M. Medium- and long-term clinical benefits of periodontal regenerative/reconstructive procedures in intrabony defects: Systematic review and network meta-analysis of randomized controlled clinical studies. J. Clin. Periodontol. 2021, 48, 410–430. [Google Scholar] [CrossRef]
- Costich, E.R.; Ramfjord, S.P. Healing after partial denudation of the alveolar process. J. Periodontol. 1968, 39, 127–134. [Google Scholar] [CrossRef] [Green Version]
- Froum, S.J.; Coran, M.; Thaller, B.; Kushner, L.; Scopp, I.W.; Stahl, S.S. Periodontal healing following open debridement flap procedures. I. Clinical assessment of soft tissue and osseous repair. J. Periodontol. 1982, 53, 8–14. [Google Scholar] [CrossRef]
- Stahl, S.S.; Froum, S.J.; Kushner, L. Periodontal healing following open debridement flap procedures. II. Histologic observations. J. Periodontol. 1982, 53, 15–21. [Google Scholar] [CrossRef]
- de Campos, N.; Furlaneto, F.; De Paiva Buischi, Y. Bleeding in Dental Surgery. In Contemporary Applications of Biologic Hemostatic Agents across Surgical Specialties; Firstenberg, M.S., Stawicki, S.P., Eds.; IntechOpen: London, UK, 2020. [Google Scholar] [CrossRef] [Green Version]
- Al-Samkari, H.; Leaf, R.S.K.; Dzik, W.H.; Carlson, J.C.T.; Fogerty, A.E.; Waheed, A.; Goodarzi, K.; Bendapudi, P.K.; Bornikova, L.; Gupta, S.; et al. COVID-19 and coagulation: Bleeding and thrombotic manifestations of SARS-CoV-2 infection. Blood 2020, 136, 489–500. [Google Scholar] [CrossRef]
- Zuo, Y.; Warnock, M.; Harbaugh, A.; Yalavarthi, S.; Gockman, K.; Zuo, M.; Madison, J.A.; Knight, J.S.; Kanthi, Y.; Lawrence, D.A. Plasma tissue plasminogen activator and plasminogen activator inhibitor-1 in hospitalized COVID-19 patients. Sci. Rep. 2021, 11, 1580. [Google Scholar] [CrossRef] [PubMed]
- Medcalf, R.L.; Keragala, C.B.; Myles, P.S. Fibrinolysis and COVID-19: A plasmin paradox. J. Thromb. Haemost. 2020, 18, 2118–2122. [Google Scholar] [CrossRef] [PubMed]
- Papapanou, P.N.; Sanz, M.; Buduneli, N.; Dietrich, T.; Feres, M.; Fine, D.H.; Flemmig, T.F.; Garcia, R.; Giannobile, W.V.; Graziani, F.; et al. Periodontitis: Consensus report of workgroup 2 of the 2017 World Workshop on the Classification of Periodontal and Peri-Implant Diseases and Conditions. J. Clin. Periodontol. 2018, 45 (Suppl. 20), S162–S170. [Google Scholar] [CrossRef]
- Hamp, S.E.; Nyman, S.; Lindhe, J. Periodontal treatment of multirooted teeth. Results after 5 years. J. Clin. Periodontol. 1975, 2, 126–135. [Google Scholar] [CrossRef]
- Laster, L.; Laudenbach, K.W.; Stoller, N.H. An evaluation of clinical tooth mobility measurements. J. Periodontol. 1975, 46, 603–607. [Google Scholar] [CrossRef] [PubMed] [Green Version]
- Cionca, N.; Giannopoulou, C.; Ugolotti, G.; Mombelli, A. Microbiologic testing and outcomes of full-mouth scaling and root planing with or without amoxicillin/metronidazole in chronic periodontitis. J. Periodontol. 2010, 81, 15–23. [Google Scholar] [CrossRef]
- Nibali, L.; Pometti, D.; Chen, T.T.; Tu, Y.K. Minimally invasive non-surgical approach for the treatment of periodontal intrabony defects: A retrospective analysis. J. Clin. Periodontol. 2015, 42, 853–859. [Google Scholar] [CrossRef]
- Cortellini, P.; Tonetti, M.S. Clinical concepts for regenerative therapy in intrabony defects. Periodontol. 2000 2015, 68, 282–307. [Google Scholar] [CrossRef]
- Carranza, F.A.; Takei, H.H. Flap technique for pocket therapy. In Carranza’s Clinical Periodontology, 9th ed.; Newman, M.G., Takei, H.H., Carranza, F.A., Eds.; W.B. Saunders Co.: Philadelphia, PA, USA, 2002; pp. 774–785. [Google Scholar]
- Hardwicke, J.; Schmaljohann, D.; Boyce, D.; Thomas, D. Epidermal growth factor therapy and wound healing—Past, present and future perspectives. Surgeon 2008, 6, 172–177. [Google Scholar] [CrossRef]
- Engler, W.O.; Ramfjord, S.P.; Hiniker, J.J. Healing following simple gingivectomy. A tritiated thymidine radioautographic study. I. Epithelialization. J. Periodontol. 1966, 37, 298–308. [Google Scholar] [CrossRef]
- Saes, J.L.; Schols, S.E.M.; van Heerde, W.L.; Nijziel, M.R. Hemorrhagic disorders of fibrinolysis: A clinical review. J. Thromb Haemost 2018, 16, 1498–1509. [Google Scholar] [CrossRef] [PubMed]
- Lodigiani, C.; Iapichino, G.; Carenzo, L.; Cecconi, M.; Ferrazzi, P.; Sebastian, T.; Kucher, N.; Studt, J.D.; Sacco, C.; Bertuzzi, A.; et al. Venous and arterial thromboembolic complications in COVID-19 patients admitted to an academic hospital in Milan, Italy. Thromb. Res. 2020, 191, 9–14. [Google Scholar] [CrossRef] [PubMed]
- Jacob, G.; Aharon, A.; Brenner, B. COVID-19-associated hyper-fibrinolysis: Mechanism and implementations. Front. Physiol. 2020, 11, 596057. [Google Scholar] [CrossRef] [PubMed]
- Ahmed, M.Z.; Khakwani, M.; Venkatadasari, I.; Horgan, C.; Giles, H.; Jobanputra, S.; Lokare, A.; Ewing, J.; Paneesha, S.; Murthy, V. Thrombocytopenia as an initial manifestation of COVID-19; case series and literature review. Br. J. Haematol. 2020, 189, 1057–1058. [Google Scholar] [CrossRef]
- Fan, B.E.; Chong, V.C.L.; Chan, S.S.W.; Lim, G.H.; Lim, K.G.E.; Tan, G.B.; Mucheli, S.S.; Kuperan, P.; Ong, K.H. Hematologic parameters in patients with COVID-19 infection. Am. J. Hematol. 2020, 95, E131–E134. [Google Scholar] [CrossRef] [Green Version]
- Ji, H.L.; Zhao, R.; Matalon, S.; Matthay, M.A. Elevated Plasmin(ogen) as a Common Risk Factor for COVID-19 Susceptibility. Physiol. Rev. 2020, 100, 1065–1075. [Google Scholar] [CrossRef] [Green Version]





Publisher’s Note: MDPI stays neutral with regard to jurisdictional claims in published maps and institutional affiliations. |
© 2022 by the authors. Licensee MDPI, Basel, Switzerland. This article is an open access article distributed under the terms and conditions of the Creative Commons Attribution (CC BY) license (https://creativecommons.org/licenses/by/4.0/).
Share and Cite
Loukas, G.; Kosho, M.X.F.; Paraskevas, S.; Loos, B.G. Post-Operative Bleeding Complications in a Periodontitis Patient Testing Positive for COVID-19. Dent. J. 2022, 10, 110. https://doi.org/10.3390/dj10060110
Loukas G, Kosho MXF, Paraskevas S, Loos BG. Post-Operative Bleeding Complications in a Periodontitis Patient Testing Positive for COVID-19. Dentistry Journal. 2022; 10(6):110. https://doi.org/10.3390/dj10060110
Chicago/Turabian StyleLoukas, Georgios, Madeline X. F. Kosho, Spiros Paraskevas, and Bruno G. Loos. 2022. "Post-Operative Bleeding Complications in a Periodontitis Patient Testing Positive for COVID-19" Dentistry Journal 10, no. 6: 110. https://doi.org/10.3390/dj10060110
APA StyleLoukas, G., Kosho, M. X. F., Paraskevas, S., & Loos, B. G. (2022). Post-Operative Bleeding Complications in a Periodontitis Patient Testing Positive for COVID-19. Dentistry Journal, 10(6), 110. https://doi.org/10.3390/dj10060110
