Abstract
Introduction: Nosocomial ventriculitis is a severe infection that habitually plagues neurological intensive care units. It is usually associated with external ventricular drains. Unfortunately, classic cerebral spinal fluid parameters are less specific and sensitive compared to community acquired meningitis. This is in part secondary to indolent bacteria commonly infecting external ventricular drains leading to ventriculitis. Case report: Herein, a rare case of Sphingomonas paucimobilis ventriculitis in an immunocompetent host is reported. The patient had classic symptoms of ventriculitis, but her cerebral spinal fluid parameters were benign and initial cultures were negative. Consequently, treatment was tailored to an assumed respiratory infection only to have recurrence of her symptoms. Repeat analysis of her cerebral spinal fluid was again benign, but her cerebral spinal fluid culture grew S. paucimobilis. Subsequently, the patient was treated with cefepime, which resolved her symptoms. She completed a two-week course and has had no recurrence of her infection. Conclusions: This case reinforces the need for clinicians to have heightened awareness of this emerging pathogen, its antibiotic resistance patterns, and the unique composition of this bacterium’s cell wall which has ramifications on disease presentation.
Introduction
Infectious ventriculitis is a severe life-threatening infection [1]. Common causes of community-acquired ventriculitis include extension of meningitis and rupture of a cerebral abscess into ventricles. However, nosocomial ventriculitis is typically associated with neurosurgical catheters such as external ventricular drains (EVD) [2]. EVDs are commonly used to decrease increased intracranial pressure while patients are recovering from a wide range of ailments [1,2,3]. The common ways EVDs become infected are at the time of insertion with poor sterile technique, retrograde translocation of skin microbiota and with repeat manipulations [3,4,5]. The incidence of EVD-associated ventriculitis is correlated with longevity of the EVD, with some studies reporting rates as high as 22% [3,4,5]. Traditional symptoms include fever, headache and altered mental status, which are nonspecific, given these symptoms are also associated with underlying neurological conditions, thus confounding diagnosis [3]. Furthermore, diagnosis of nosocomial ventriculitis can be difficult because classic cerebral spinal fluid (CSF) parameters lack specificity and sensitivity compared to community-acquired meningitis [2,6,7]. This is secondary to the indolent bacteria and biofilms on EVDs being implicated in EVD-associated ventriculitis. Herein, we report a rare case of Sphingomonas paucimobilis ventriculitis in an immunocompetent host.
Case report
A 48-year-old woman with no significant past medical history presented to the local emergency room after experiencing acute onset severe headache and then left-sided paralysis. Computed tomography (CT) showed large right basal ganglia hemorrhage (Figure 1). The patient experienced rapid decline in mentation and was urgently intubated and transferred to the University of Maryland Medical Center. Given the midline shift, an emergent left frontal EVD was placed. Four days later, her course was complicated by ventilator-associated pneumonia with methicillin-susceptible Staphylococcus aureus (MSSA) that was treated with intravenous cefazolin 2 grams every 8 hours for 7 days.
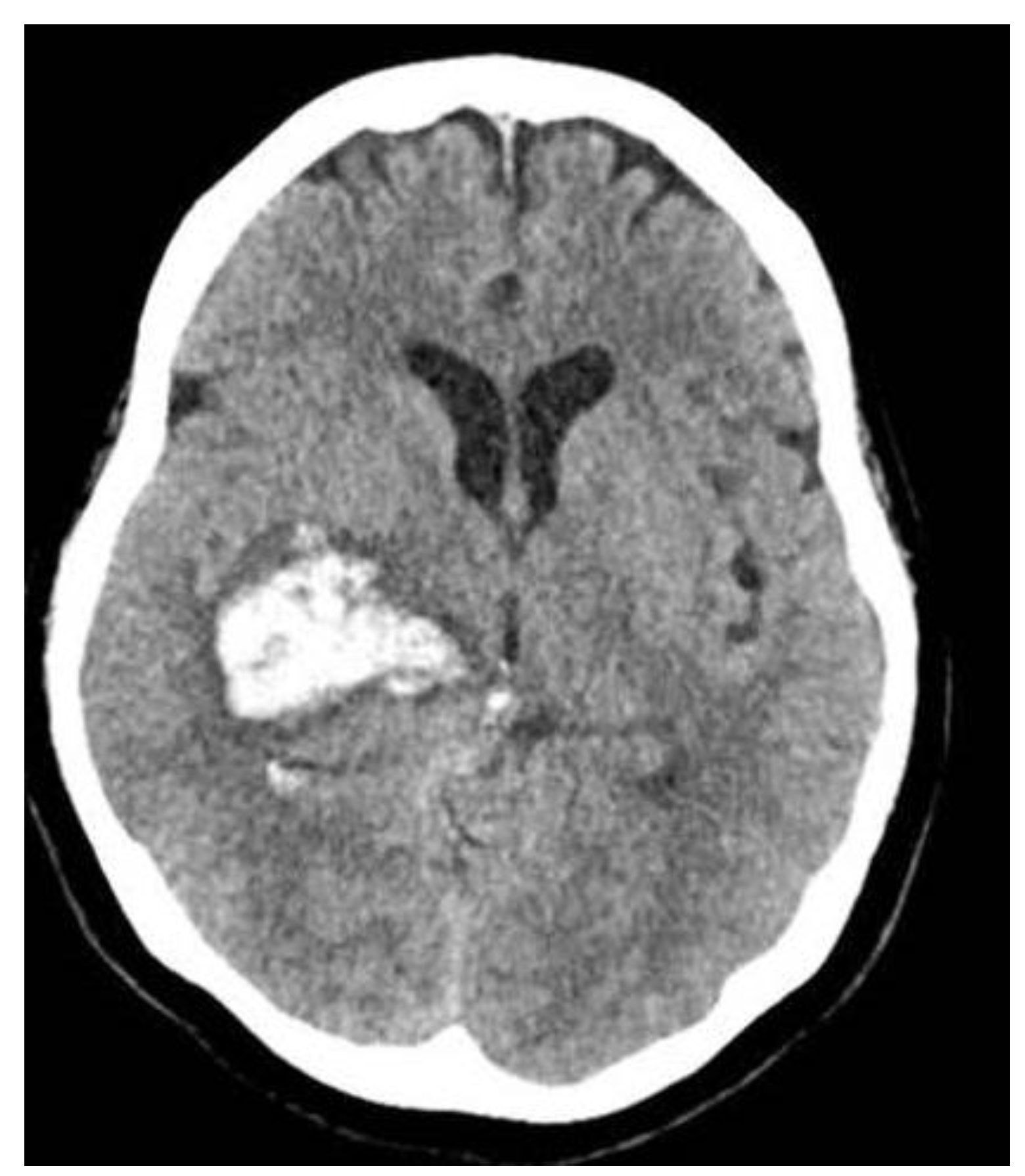
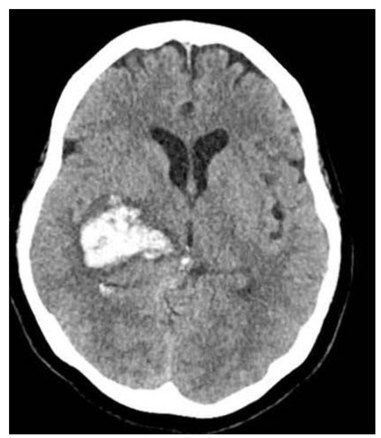
Figure 1.
Right sided intraparenchymal hemorrhage (4.2 x 2.3 cm) with 6 mm midline shift towards the left and intraventricular extension into the right lateral ventricle.
After she completed her cefazolin therapy, she was subsequently extubated but remained in the neurosurgical intensive care unit due to persistently elevated intracranial pressure requiring continued use of her initial EVD. She then developed fevers and worsening altered mental status and was started on intravenous vancomycin and cefepime due to concern for nosocomial ventriculitis. Associated with these symptoms was a white blood cell count of 15.7 K/mcL with 88.7% being neutrophils. Analysis of her CSF showed a relatively benign profile (lactate 1.7 mmol/L, white blood cells 4 cells/μL, glucose 86 mg/dL and protein 23 mg/dL). No organisms were observed on CSF Gram stain and blood cultures did not have bacterial growth. Consequently, antibiotics were changed to only intravenous cefepime to treat possible pneumonia despite the lack of tachypnea or increased sputum production. The patient’s fever improved on cefepime and the white blood cell count normalized. Two days later her antibiotics were changed to daily intravenous ceftriaxone to complete a seven-day course for possible pneumonia. After being on the ceftriaxone for 24 hours the patient’s fever returned, and the white blood cell count increased to 13.4 k/mcL with 87% being neutrophils. Subsequently, antibiotics were changed back to cefepime. Repeat CSF evaluation was conducted, with CSF analysis again showing benign parameters: lactate 2.0 mmol/L, white blood cells 5 cells/μL, glucose 81 mg/dL and protein 47 mg/dL. However, the Gram stain of the CSF now showed Gram-negative bacilli.
Therefore, cefepime was continued at 2 grams IV q 8 hours and fever improved within 48 hours as did her white blood cell count. As well, yellow colonies started to grow on the CSF blood agar plate (Figure 2). Since she had bacterial growth from her CSF culture, her EVD was changed. Identification of S. paucimobilis was then made with antibiotic susceptibilities seen in Table 1. After three days of intravenous cefepime therapy, the patient defervesced and the altered mental status improved. Two days later, after a clamping trial proved no further evidence of raised intracranial pressure, her EVD was removed. She completed a two-week course of intravenous cefepime and was transferred to rehab for one month and then was subsequently discharged home. Twelve months later, she does not have any further evidence of recurrence of her ventriculitis.
Figure 2.
S. paucimobilis on sheep blood agar with typical yellow pigmented colonies.
Table 1.
Sphingomonas paucimobilis susceptibility results. Standardized susceptibility interpretations are not available for this organism.
Discussion
Sphingomonas spp. are aerobic non-fermenting Gram-negative bacteria that are widely distributed in both terrestrial, aquatic environments and commonly found in drinking water [8]. These bacteria can live with low nutrient concentrations and metabolize a wide variety of carbon sources allowing them to live in man-made environments [8]. Sphingomonas spp. rarely cause clinical infections outside of nosocomial infections and in immunocompromised hosts in which S. paucimobilis is the most common species implicated [8,9,10]. S. paucimobilis has a single polar flagellum with slow motility and classically produces yellow colonies on agar plates (Figure 2). Even though the incidence of S. paucimobilis infections is low, heightened awareness about this pathogen is needed given it is an emerging pathogen.
S. paucimobilis is a unique Gram-negative bacillus in that it lacks lipopolysaccharides (LPS) and instead possesses sphingoglycolipid [8]. The absence of LPS likely has clinical ramifications in disease presentation given the presence of LPS causes significant inflammatory responses by stimulating pattern recognition receptors [11]. However, sphingoglycolipid also has been implicated in stimulating mononuclear cells to secrete cytokines which is likely why our patient had systemic immune response even despite the lack of LPS [12]. However, Gram-negative ventriculitis usually presents with significant derangement of the CSF parameters since LPS is present. In this case, the lack of LPS may be the reason for the absence of changes in these markers. This led to clinicians to not treat her for ventriculitis despite classic symptoms which included fever and altered mental status, resulting in temporary worsening of these symptoms. The clinical decline caused repeat CSF evaluation in which her Gram stain and culture then showed S. paucimobilis, reinforcing the need to repeat cultures in face of antibiotic transition failure. Nonetheless, since S. paucimobilis is an emerging pathogen, further research into the different innate immune responses that occur with Gram negative rods that possess LPS and bacteria that do not would be beneficial so clinicians can be cognizant of differences in disease presentations and diagnostic testing.
Also unique to S. paucimobilis are its high levels of resistance to aztreonam, variable levels of resistance to piperacillin/tazobactam, and potential intrinsic resistance to colistin [13,14]. While the resistance mechanisms of this bacterium have yet to be fully elucidated, colistin resistance has been seen in several other Sphingomonas species, implying that there may be some intrinsic resistance to colistin [3]. The sensitivity of our isolate (Table 1) reinforces that aztreonam and piperacillin/tazobactam resistance can be observed with this bacterium. As well, the worsening of symptoms while on ceftriaxone likely represent that this clinical isolate was not susceptible to this antibiotic. However, this claim is limited because susceptibility testing for this antibiotic was not conducted. Consequently, we treated our patient with two weeks of intravenous cefepime therapy as is the recommended duration for Gram-negative ventriculitis [3]. While further studies are needed to better clarify the resistance mechanisms of S. paucimobilis, cefepime, ceftazidime and carbapenems are suggested therapeutics to treat S. paucimobilis infections.
To our knowledge this is the first reported case of an EVD-associated S. paucimobilis causing nosocomial ventriculitis in an immunocompetent host. Most cases of S. paucimobilis infections are secondary to bacteremia caused by contaminated medical solutions [9,10]. This likely occurs because S. paucimobilis can pass through 0.2 μm filters, which are used for terminal sterilization of numerous medical products [8,10]. Consequently, several solutions have been shown to have been contaminated with this bacterium, including fentanyl, distilled water, and hemodialysis fluids [9,10,15]. In the only other case that has reported S. paucimobilis meningitis, the patient was immunocompromised and on hemodialysis, which may have led to her infection. In our case, the source of S. paucimobilis ventriculitis is not known given the lack of bacteremia. As well, no other cases with this bacterium have been seen in our neurosurgical intensive care unit over the past two years and she was not getting solutions infused through her EVD nor was she getting dialysis. However, given the prolonged use of her EVD, this likely placed her at increased risk for this bacterium to colonize the EVD forming biofilms on the device to then infect her ventricles. This claim is supported by studies correlating the risk of ventriculitis associated with prolonged EVD use [3,4,5]. In this case, the patient likely had a S. paucimobilis biofilm infection on her EVD causing low concentrations of planktonic bacteria to be present in her ventricles leading to difficultly in culturing this bacterium. While the exact source of her S. paucimobilis infection is unknown, this bacterium can reside in a wide variety of environments and thus clinicians should have heightened awareness for this pathogen’s potential to cause a wide variety of infections in immunocompromised and immunocompetent hosts.
Conclusions
In conclusion, this case report discusses a rare cause of EVD-associated nosocomial ventriculitis with S. paucimobilis. While this patient was successfully treated with antibiotic therapy, it reinforces the fact that this bacterium has some intrinsic antibiotic resistance that clinicians should be cognizant about. As well, this case emphasizes the need for providers to have heightened awareness for a wide variety of clinical infections caused by this emerging pathogen. Lastly, this case reinforces the need for clinicians to be aware of rare indolent causes of nosocomial ventriculitis that may have different presentations with respect to CSF parameters, supporting the need for improved diagnostic testing platforms for nosocomial ventriculitis.
Author Contributions
JBD and JC carried out the treatment of this patient. JBD wrote the manuscript with support from JC. All authors read and approved the final version of the manuscript.
Funding
None to declare.
Informed Consent Statement
Informed consent was obtained from the patient for the publication of this case report and the accompanying images.
Data Availability Statement
Data sharing is not applicable to this article as no new data were created or analyzed in this study.
Conflicts of Interest
All authors – none to declare.
References
- Hasbun, R. Healthcare-associated ventriculitis: Current and emerging diagnostic and treatment strategies. Expert Rev Anti Infect Ther 2021, 19, 993–999. [Google Scholar] [CrossRef] [PubMed]
- Doub, J.B. Use of α-defensins to help diagnose nosocomial ventriculitis. Neurocrit Care 2023, 38, 225–228. [Google Scholar] [CrossRef] [PubMed]
- Tunkel, A.R.; Hasbun, R.; Bhimraj, A.; et al. 2017 Infectious Diseases Society of America’s Clinical Practice Guidelines for Healthcare-Associated Ventriculitis and Meningitis. Clin Infect Dis 2017, 64, e34–e65. [Google Scholar] [CrossRef] [PubMed]
- Bischoff, P.; Schröder, C.; Gastmeier, P.; Geffers, C. Surveillance of external ventricular drainage-associated meningitis and ventriculitis in German intensive care units. Infect Control Hosp Epidemiol 2020, 41, 452–457. [Google Scholar] [CrossRef] [PubMed]
- Ramanan, M.; Lipman, J.; Shorr, A.; Shankar, A. A meta-analysis of ventriculostomy-associated cerebrospinal fluid infections. BMC Infect Dis 2015, 15, 3. [Google Scholar] [CrossRef] [PubMed]
- Conen, A.; Walti, L.N.; Merlo, A.; Fluckiger, U.; Battegay, M.; Trampuz, A. Characteristics and treatment outcome of cerebrospinal fluid shunt-associated infections in adults: A retrospective analysis over an 11-year period. Clin Infect Dis 2008, 47, 73–82. [Google Scholar] [CrossRef] [PubMed]
- Forgacs, P.; Geyer, C.A.; Freidberg, S.R. Characterization of chemical meningitis after neurological surgery. Clin Infect Dis 2001, 32, 179–185. [Google Scholar] [CrossRef] [PubMed]
- Vaz-Moreira, I.; Nunes, O.C.; Manaia, C.M. Diversity and antibiotic resistance patterns of Sphingomonadaceae isolates from drinking water. Appl Environ Microbiol 2011, 77, 5697–5706. [Google Scholar] [CrossRef] [PubMed]
- Bavaro, D.F.; Mariani, M.F.; Stea, E.D.; Gesualdo, L.; Angarano, G.; Carbonara, S. Sphingomonas paucimobilis outbreak in a dialysis room: Case report and literature review of an emerging healthcare associated infection. Am J Infect Control 2020, 48, 1267–1269. [Google Scholar] [CrossRef] [PubMed]
- Maragakis, L.L.; Chaiwarith, R.; Srinivasan, A.; et al. Sphingomonas paucimobilis bloodstream infections associated with contaminated intravenous fentanyl. Emerg Infect Dis 2009, 15, 12–18. [Google Scholar] [CrossRef] [PubMed]
- Rosadini, C.V.; Kagan, J.C. Early innate immune responses to bacterial LPS. Curr Opin Immunol 2017, 44, 14–19. [Google Scholar] [CrossRef] [PubMed]
- Krziwon, C.; Zähringer, U.; Kawahara, K.; et al. Glycosphingolipids from Sphingomonas paucimobilis induce monokine production in human mononuclear cells. Infect Immun 1995, 63, 2899–2905. [Google Scholar] [CrossRef] [PubMed]
- Sader, H.S.; Jones, R.N. Antimicrobial susceptibility of uncommonly isolated non-enteric Gram-negative bacilli. Int J Antimicrob Agents 2005, 25, 95–109. [Google Scholar] [CrossRef] [PubMed]
- Vaz-Moreira, I.; Nunes, O.C.; Manaia, C.M. Diversity and antibiotic resistance patterns of Sphingomonadaceae isolates from drinking water. Appl Environ Microbiol 2011, 77, 5697–5706. [Google Scholar] [CrossRef] [PubMed]
- Ryan, M.P.; Adley, C.C. Sphingomonas paucimobilis: A persistent Gram-negative nosocomial infectious organism. J Hosp Infect 2010, 75, 153–157. [Google Scholar] [CrossRef] [PubMed]
- Bolen, R.D.; Palavecino, E.; Gomadam, A.; Balakrishnan, N.; Datar, S. Sphingomonas paucimobilis meningitis and ventriculitis in an immunocompromised host. J Neurol Sci 2015, 359, 18–20. [Google Scholar] [CrossRef] [PubMed]
© GERMS 2023.

