- Case Report
A Case of Acute Suppurative Thyroiditis Caused by Streptococcus suis Infection
- Vitvala Jariyawattanarat,
- Prawat Chantharit,
- Chanika Sritara,
- Tharintorn Chansoon and
- Chutintorn Sriphrapradang
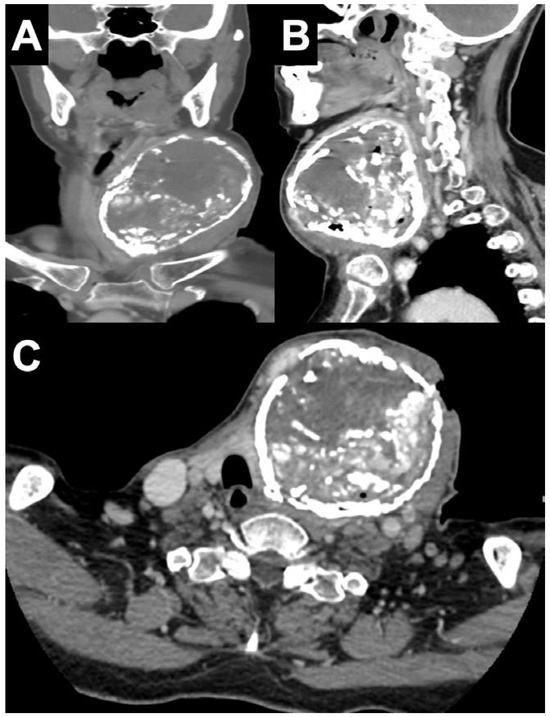
Introduction: Acute suppurative thyroiditis (AST) is an uncommon but potentially life-threatening condition. The majority of AST cases are caused by bacterial infection. Streptococcus suis is a swine pathogen that mostly causes meningitis and septice...

