Sudden Unexpected Postnatal Collapse and Therapeutic Hypothermia: What’s Going On?
Abstract
1. Introduction
2. Materials and Methods
3. Results
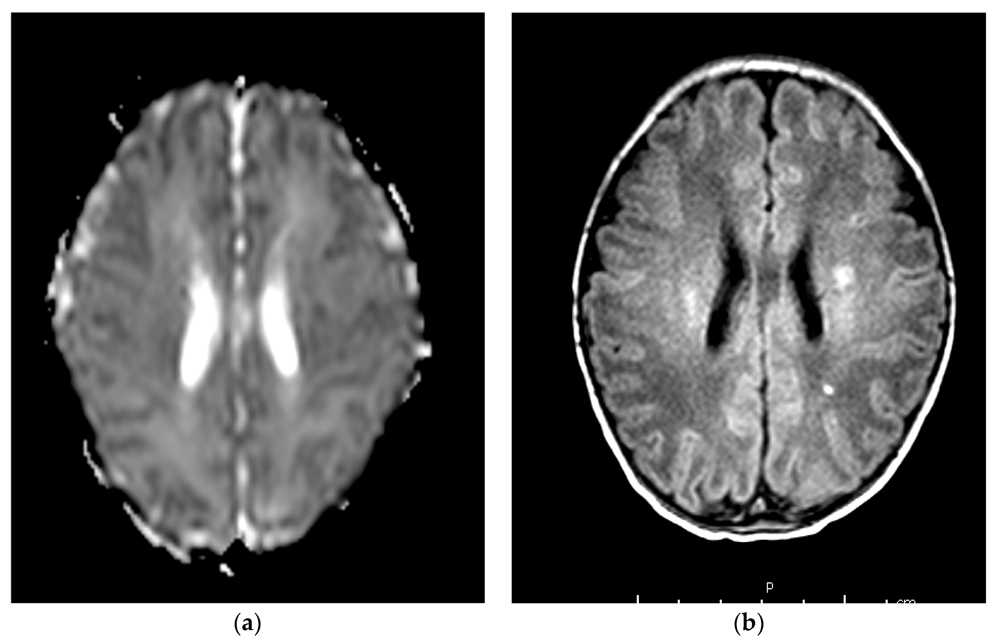
3.1. SUPC Cases from 2014 to 2019
3.2. Literature Review
4. Discussion
5. Conclusions
Author Contributions
Funding
Institutional Review Board Statement
Informed Consent Statement
Data Availability Statement
Acknowledgments
Conflicts of Interest
References
- Becher, J.-C. Guidelines for the Investigation of Newborn Infants Who Suffer a Sudden Unexpected Postnatal Collapse in the First Week of Life. 2011. Available online: https://www.bapm.org/resources/19-guidelines-investigation-of-newborn-infants-who-suffer-a-sudden-unexpected-postnatal-collapse (accessed on 1 November 2022).
- Filippi, L.; Laudani, E.; Tubili, F.; Calvani, M.; Bartolini, I.; Donzelli, G. Incidence of Sudden Unexpected Postnatal Collapse in the Therapeutic Hypothermia Era. Am. J. Perinatol. 2017, 34, 1362–1367. [Google Scholar] [CrossRef] [PubMed]
- Poets, A.; Steinfeldt, R.; Poets, C.F. Sudden Deaths and Severe Apparent Life-Threatening Events in Term Infants Within 24 Hours of Birth. Pediatrics 2011, 127, e869–e873. [Google Scholar] [CrossRef] [PubMed]
- Bass, J.L.; Gartley, T.; Lyczkowski, D.A.; Kleinman, R. Trends in the Incidence of Sudden Unexpected Infant Death in the Newborn: 1995–2014. J. Pediatr. 2018, 196, 104–108. [Google Scholar] [CrossRef] [PubMed]
- Paul, D.A.; Johnson, D.; Goldstein, N.D.; Pearlman, S.A. Development of a Single-Center Quality Bundle to Prevent Sudden Unexpected Postnatal Collapse. J. Perinatol. 2019, 39, 1008–1013. [Google Scholar] [CrossRef] [PubMed]
- New Zealand College of Midwives and the Royal Australian and New Zealand College of Obstetricians and Gynaecologists. Observation of Mother and Baby in the Immediate Postnatal Period: Consensus Statements Guiding Practice 2012. Available online: https://www.midwife.org.nz/wp-content/uploads/2019/06/observation-mother-baby-immediate-postnatal-period-consensus-statements.pdf (accessed on 1 November 2022).
- Piumelli, R.; Davanzo, R.; Nassi, N.; Salvatore, S.; Arzilli, C.; Peruzzi, M.; Agosti, M.; Palmieri, A.; Paglietti, M.G.; Nosetti, L.; et al. Apparent Life-Threatening Events (ALTE): Italian Guidelines. Ital. J. Pediatr. 2017, 43, 111. [Google Scholar] [CrossRef] [PubMed]
- Gancia, P.; Pomero, G. Therapeutic Hypothermia in the Prevention of Hypoxic-Ischaemic Encephalopathy: New Categories to Be Enrolled. J. Matern.-Fetal Neonatal Med. 2012, 25, 86–88. [Google Scholar] [CrossRef] [PubMed]
- Monnelly, V.; Becher, J.-C. Sudden Unexpected Postnatal Collapse. Early Hum. Dev. 2018, 126, 28–31. [Google Scholar] [CrossRef] [PubMed]
- Foran, A.; Cinnante, C.; Groves, A.; Azzopardi, D.V.; Rutherford, M.A.; Cowan, F.M. Patterns of Brain Injury and Outcome in Term Neonates Presenting with Postnatal Collapse. Arch. Dis. Child. Fetal Neonatal Ed. 2008, 94, F168–F177. [Google Scholar] [CrossRef] [PubMed]
- Shalak, L.F.; Laptook, A.R.; Velaphi, S.C.; Perlman, J.M. Amplitude-Integrated Electroencephalography Coupled with an Early Neurologic Examination Enhances Prediction of Term Infants at Risk for Persistent Encephalopathy. Pediatrics 2003, 111, 351–357. [Google Scholar] [CrossRef] [PubMed]
- Pejovic, N.J.; Herlenius, E. Unexpected Collapse of Healthy Newborn Infants: Risk Factors, Supervision and Hypothermia Treatment. Acta Paediatr. 2013, 102, 680–688. [Google Scholar] [CrossRef]
- Cornet, M.-C.; Maton, P.; Langhendries, J.-P.; Marion, W.; Marguglio, A.; Smeets, S.; Vervoort, A.; François, A. Malaise grave inopiné du nouveau-né à terme: Une place possible pour l’hypothermie thérapeutique. Arch. Pédiatrie 2014, 21, 1006–1010. [Google Scholar] [CrossRef]
- Becher, J.-C.; Bhushan, S.S.; Lyon, A.J. Unexpected Collapse in Apparently Healthy Newborns—A Prospective National Study of a Missing Cohort of Neonatal Deaths and near-Death Events. Arch. Dis. Child.—Fetal Neonatal Ed. 2012, 97, F30–F34. [Google Scholar] [CrossRef]
- Marin, N.; Valverde, E.; Cabañas, F. Episodio aparentemente letal neonatal durante el «piel con piel». Tratamiento con hipotermia. An. Pediatría 2013, 79, 253–256. [Google Scholar] [CrossRef] [PubMed]
- Brito, S.; Sampaio, I.; Dinis, A.; Proença, E.; Vilan, A.; Soares, E.; Pinto, F.; Tomé, T.; Graça, A.M. Use of Therapeutic Hypothermia in Sudden Unexpected Postnatal Collapse: A Retrospective Study. Acta Médica Port. 2021, 34, 442. [Google Scholar] [CrossRef]
- Smit, E.; Liu, X.; Jary, S.; Cowan, F.; Thoresen, M. Cooling Neonates Who Do Not Fulfil the Standard Cooling Criteria—Short- and Long-Term Outcomes. Acta Paediatr. 2015, 104, 138–145. [Google Scholar] [CrossRef]
- Ancora, G. New Frontiers in Hypothermia. J. Pediatr. Neonatal Individ. Med. 2013, 2, e020235. [Google Scholar] [CrossRef]
- Tagin, M.A.; Woolcott, C.G.; Vincer, M.J.; Whyte, R.K.; Stinson, D.A. Hypothermia for Neonatal Hypoxic Ischemic Encephalopathy: An Updated Systematic Review and Meta-Analysis. Arch. Pediatr. Adolesc. Med. 2012, 166, 558–566. [Google Scholar] [CrossRef] [PubMed]
- Ancora, G.; Pomero, G.; Ferrari, F. Raccomandazioni per L’Assistenza Al Neonato Con Encefalopatia Ipossico-Ischemica Candidato Al Trattamento Ipotermico II; Biomedia—SIN: Milano, Italy, 2012; ISBN 978-88-86154-67-3. [Google Scholar]
- Gunn, A.J.; Bennet, L. Timing Still Key to Treating Hypoxic Ischaemic Brain Injury. Lancet Neurol. 2016, 15, 126–127. [Google Scholar] [CrossRef] [PubMed]
- Fertility Statistics. Available online: https://ec.europa.eu/eurostat/statistics-explained/index.php?title=Fertility_statistics (accessed on 19 October 2022).






| Cases | Pregnancy Course | Maternal Age, Years | Drugs Administered during Pregnancy | Mode of Delivery | Outborn | Sex | Gestational Age, Weeks + Days | Birth Weight, g |
|---|---|---|---|---|---|---|---|---|
| 1 | Gestational diabetes, obesity, hyperthyroidism | 39 | Methimazole | VD | Yes | male | 40 + 6 | 3250 |
| 2 | Obesity | 34 | No | VD | Yes | male | 41 + 6 | 3500 |
| 3 | No | 42 | No | VD | No | male | 40 + 6 | 2970 |
| 4 | No | 34 | No | ECS | No | male | 37 + 3 | 2740 |
| Case | Age at SUPC, Minutes | Resuscitation | pH on Admission (BE) | Lactate on Admission, mmol/L | HIE Grade * | p-EEG | MV, Days | Hospital Stay, Days | Age at First MRI, Days | Age at Second MRI, Days | MRI Findings | Outcome | GMDS Global Quotient |
|---|---|---|---|---|---|---|---|---|---|---|---|---|---|
| 1 | 80 | CPR + OT | NR | NR | 3 | Severely abnormal | 7 | 59 | 5 | 28 | Severe lesions of basal ganglia and thalami | Spastic cerebral palsy | NA |
| 2 | 35 | CPR + OT | 6.8 (−24) | NR | 1 | Moderate/severe abnormalities | 4 | 22 | 5 | 40 | Normal | Normal | 95 |
| 3 | 110 | CPR + OT | 7.2 (−13) | 10.4 | 2 | Moderate/severe abnormalities | 2 | 22 | 5 | 45 | Normal | Normal | 104 |
| 4 § | 140 | CPR + OT | 6.9 (−14) | 6.8 | 2 | Moderate abnormalities | 4 | 19 | 5 | 64 | Mild focal white matter lesions | Normal ¥ | 112 |
| Cases | HIE Grade | Age at Follow-Up (Months) | Cerebral MRI Findings | Neurodevelopmental Outcome (Cognitive Score) |
|---|---|---|---|---|
| Case 1 [12] | 2 | 12 | normal | normal (NR) |
| Case 2 [12] | 2 | 12 | normal | normal (NR) |
| Case 3 [12] | 2 | 24 | normal | mild spastic cerebral palsy (NR) |
| Case 4 [12] | 2 | 10 | normal | normal (NR) |
| Case 5 [13] | 3 | 36 | normal | normal (110) ¶ |
| Case 6 [15] | 2 | 10 | normal (9 months) | normal (NR) |
| Case 7 [18] | 3 | 12 | NR | normal (102) χ |
| Case 8 [2] | NR | NR | small area of vascular suffering | moderate delay (NR) |
| Case 9 [2] | NR | NR | moderate restriction of cortico-subcortical parenchymal diffusion | moderate delay (NR) |
| Case 10 [17] | NR | 18–20 | NR | poor outcome (NR) |
| Case 11 [17] | NR | 18–20 | NR | poor outcome (NR) |
| Case 12 [17] | NR | 18–20 | NR | poor outcome (NR) |
| Case 13 [17] | NR | 18–20 | NR | normal (NR) |
| Case 14 [17] | NR | 18–20 | NR | normal (NR) |
| Case 15 [17] | NR | 18–20 | NR | normal (NR) |
| Case 16 [17] | NR | 18–20 | NR | normal (NR) |
| Case 17 [17] | NR | 18–20 | NR | normal (NR) |
Publisher’s Note: MDPI stays neutral with regard to jurisdictional claims in published maps and institutional affiliations. |
© 2022 by the authors. Licensee MDPI, Basel, Switzerland. This article is an open access article distributed under the terms and conditions of the Creative Commons Attribution (CC BY) license (https://creativecommons.org/licenses/by/4.0/).
Share and Cite
Bedetti, L.; Lugli, L.; Garetti, E.; Guidotti, I.; Roversi, M.F.; Della Casa, E.; Miselli, F.; Bariola, M.C.; Di Caprio, A.; Pugliese, M.; et al. Sudden Unexpected Postnatal Collapse and Therapeutic Hypothermia: What’s Going On? Children 2022, 9, 1925. https://doi.org/10.3390/children9121925
Bedetti L, Lugli L, Garetti E, Guidotti I, Roversi MF, Della Casa E, Miselli F, Bariola MC, Di Caprio A, Pugliese M, et al. Sudden Unexpected Postnatal Collapse and Therapeutic Hypothermia: What’s Going On? Children. 2022; 9(12):1925. https://doi.org/10.3390/children9121925
Chicago/Turabian StyleBedetti, Luca, Licia Lugli, Elisabetta Garetti, Isotta Guidotti, Maria Federica Roversi, Elisa Della Casa, Francesca Miselli, Maria Carolina Bariola, Antonella Di Caprio, Marisa Pugliese, and et al. 2022. "Sudden Unexpected Postnatal Collapse and Therapeutic Hypothermia: What’s Going On?" Children 9, no. 12: 1925. https://doi.org/10.3390/children9121925
APA StyleBedetti, L., Lugli, L., Garetti, E., Guidotti, I., Roversi, M. F., Della Casa, E., Miselli, F., Bariola, M. C., Di Caprio, A., Pugliese, M., Ferrari, F., & Berardi, A. (2022). Sudden Unexpected Postnatal Collapse and Therapeutic Hypothermia: What’s Going On? Children, 9(12), 1925. https://doi.org/10.3390/children9121925

