A Case of Hypophosphatasia Started Enzyme Replacement Therapy Since Babyhood Stage
Abstract
1. Introduction
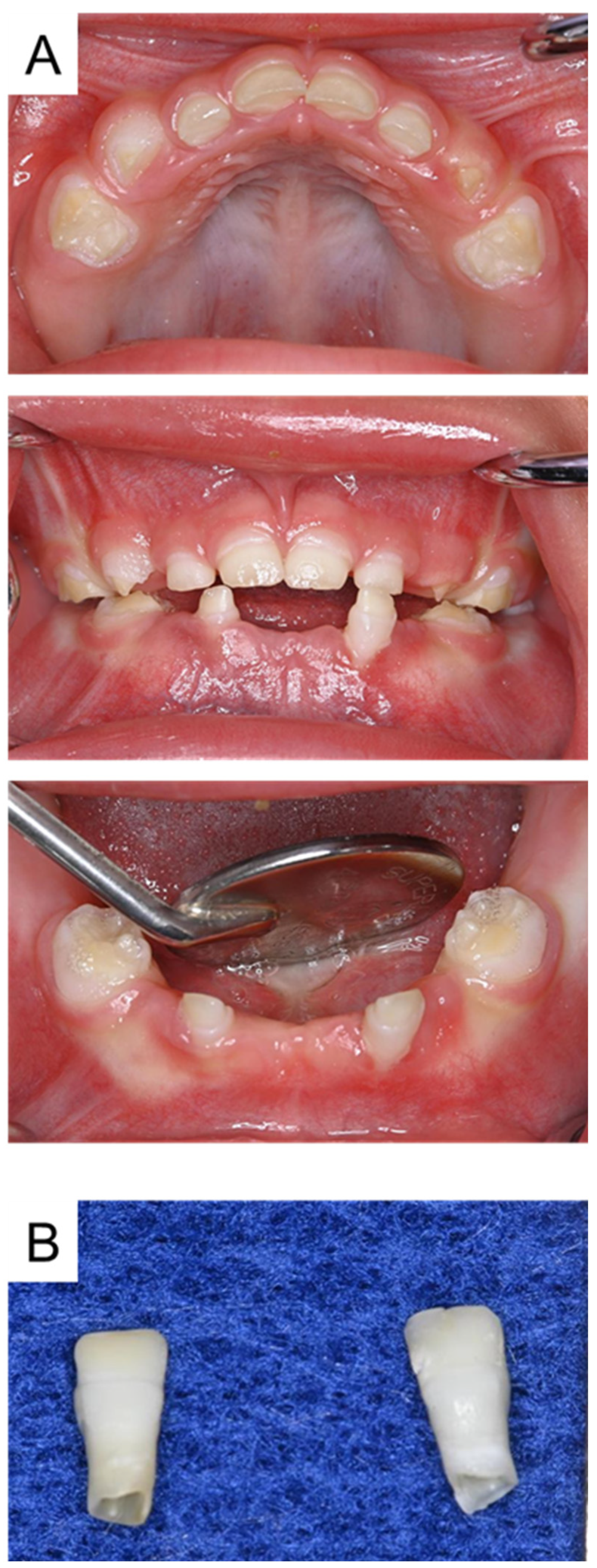
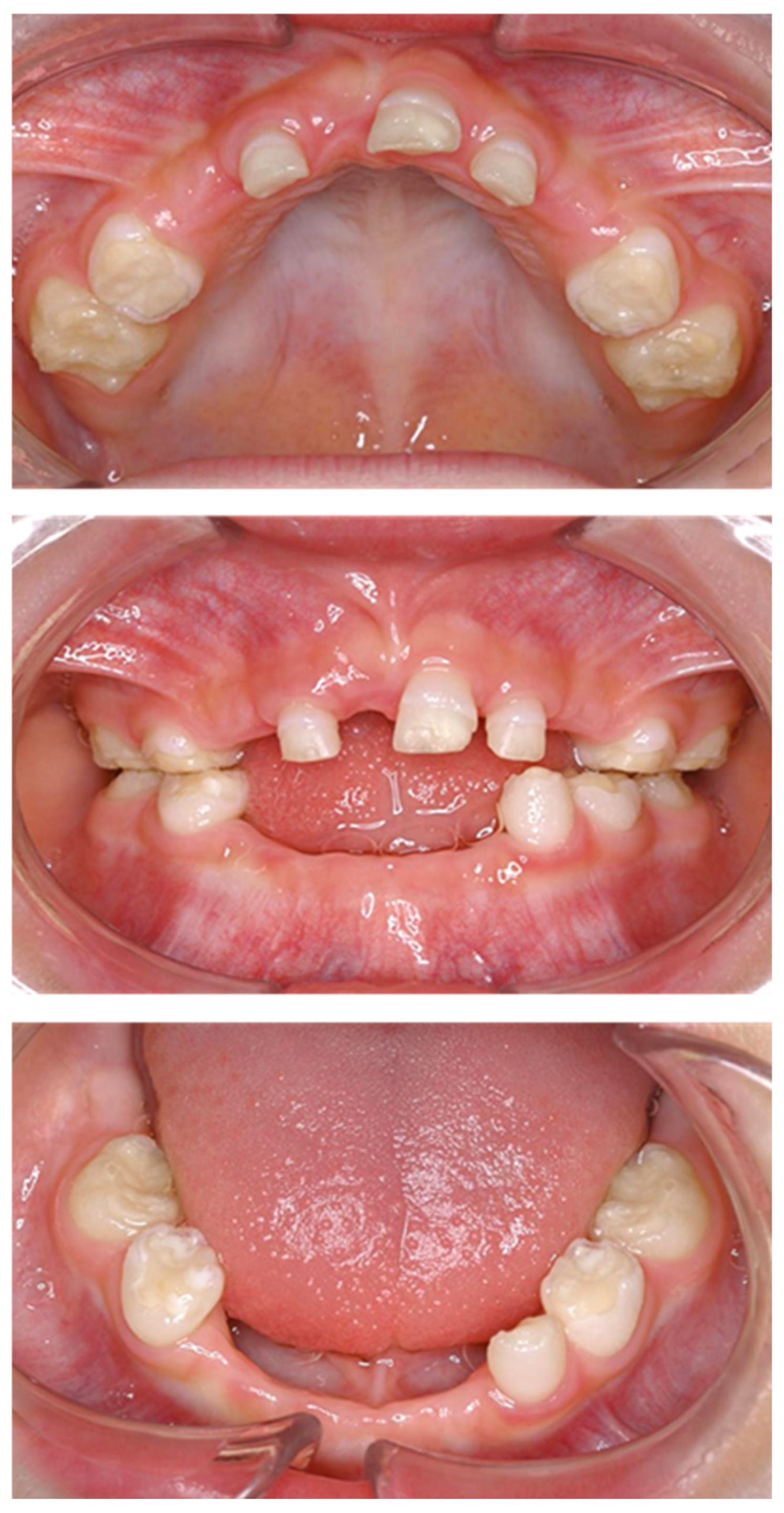
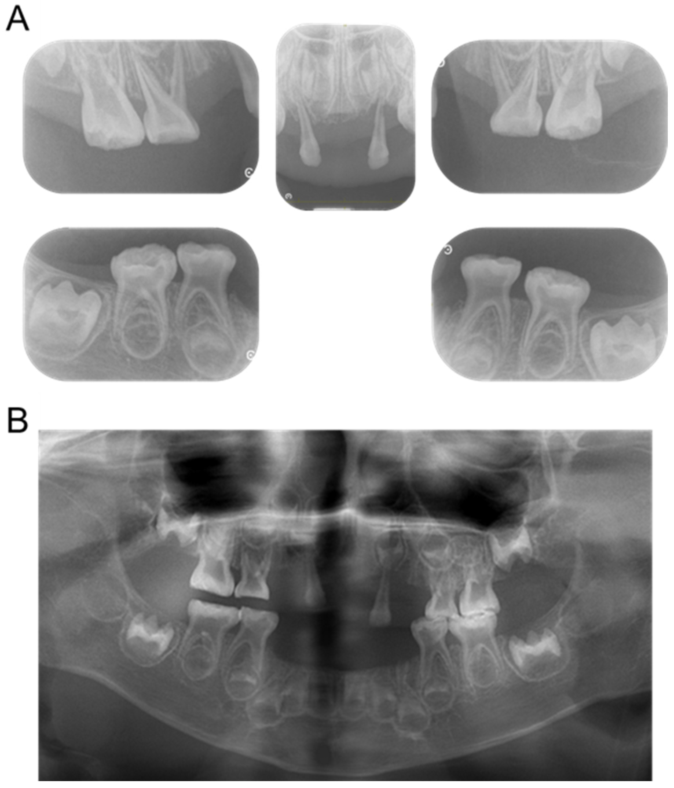
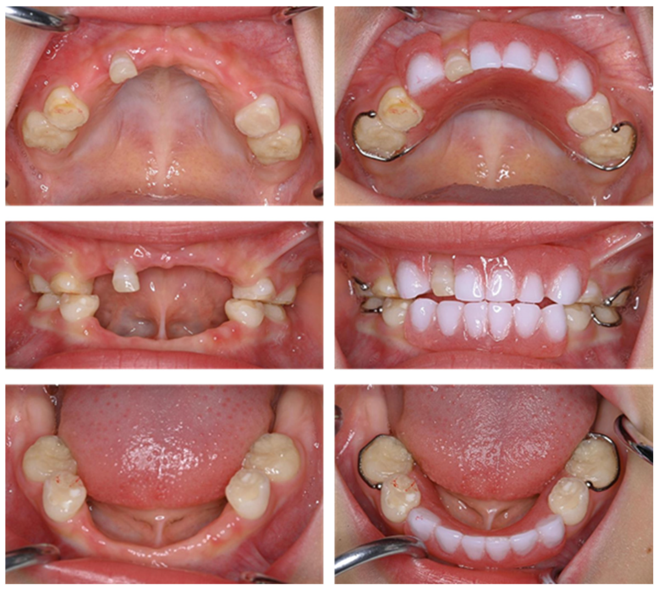
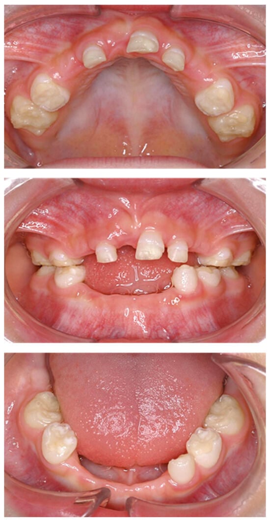
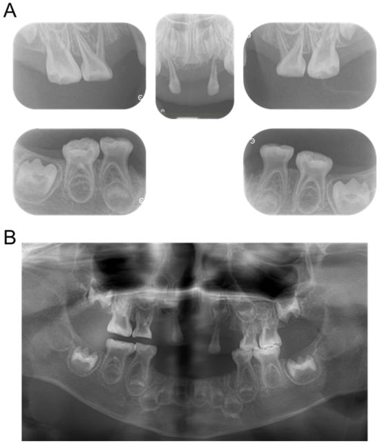
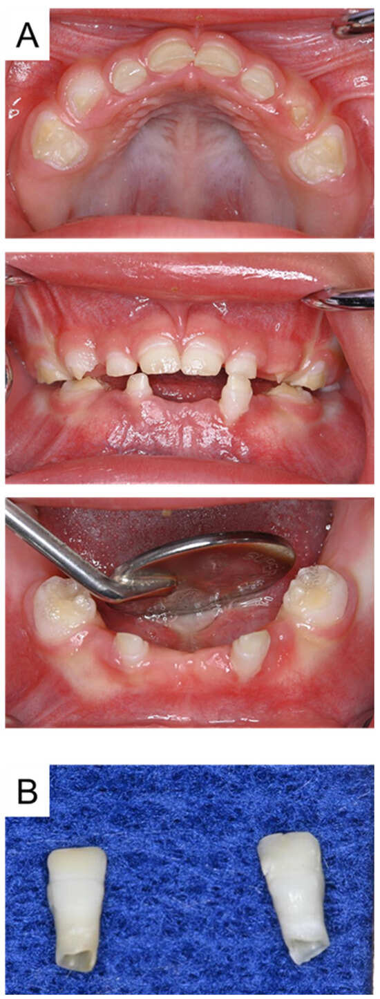
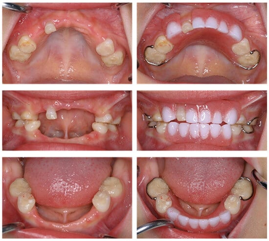
2. Detailed Case Description
3. Discussion
4. Conclusions
Author Contributions
Funding
Institutional Review Board Statement
Informed Consent Statement
Data Availability Statement
Acknowledgments
Conflicts of Interest
References
- Reis, F.S.; Lazaretti-Castro, M. Hypophosphatasia: From birth to adulthood. Arch. Endocrinol. Metab. 2023, 67, e000626. [Google Scholar] [CrossRef] [PubMed]
- Tournis, S.; Yavropoulou, M.P.; Polyzos, S.A.; Doulgeraki, A. Hypophosphatasia. J. Clin. Med. 2021, 10, 5676. [Google Scholar] [CrossRef]
- Mornet, E. Hypophosphatasia. Metabolism 2018, 82, 142–155. [Google Scholar] [CrossRef]
- Michigami, T.; Tachikawa, K.; Yamazaki, M.; Kawai, M.; Kubota, T.; Ozono, K. Hypophosphatasia in Japan: ALPL Mutation Analysis in 98 Unrelated Patients. Calcif. Tissue Int. 2020, 106, 221–231. [Google Scholar] [CrossRef] [PubMed]
- Bloch-Zupan, A.; Vaysse, F. Hypophosphatasia: Oral cavity and dental disorders. Arch. Pediatr. 2017, 24 (Suppl. 2), 5S80–5S84. [Google Scholar] [CrossRef] [PubMed]
- Okawa, R.; Nakano, K. Dental manifestation and management of hypophosphatasia. Jpn. Dent. Sci. Rev. 2022, 58, 208–216. [Google Scholar] [CrossRef] [PubMed]
- van den Bos, T.; Handoko, G.; Niehof, A.; Ryan, L.M.; Coburn, S.P.; Whyte, M.P.; Beertsen, W. Cementum and dentin in hypophosphatasia. J. Dent. Res. 2005, 84, 1021–1025. [Google Scholar] [CrossRef] [PubMed]
- Hollis, A.; Arundel, P.; High, A.; Balmer, R. Current concepts in hypophosphatasia: Case report and literature review. Int. J. Paediatr. Dent. 2013, 23, 153–159. [Google Scholar] [CrossRef]
- Foster, B.L.; Nagatomo, K.J.; Nociti, F.H., Jr.; Fong, H.; Dunn, D.; Tran, A.B.; Wang, W.; Narisawa, S.; Millán, J.L.; Somerman, M.J. Central role of pyrophosphate in acellular cementum formation. PLoS ONE 2012, 7, e38393. [Google Scholar] [CrossRef] [PubMed]
- Gasque, K.C.; Foster, B.L.; Kuss, P.; Yadav, M.C.; Liu, J.; Kiffer-Moreira, T.; van Elsas, A.; Hatch, N.; Somerman, M.J.; Millán, J.L. Improvement of the skeletal and dental hypophosphatasia phenotype in Alpl-/- mice by administration of soluble (non-targeted) chimeric alkaline phosphatase. Bone 2015, 72, 137–147. [Google Scholar] [CrossRef] [PubMed]
- Foster, B.L.; Sheen, C.R.; Hatch, N.E.; Liu, J.; Cory, E.; Narisawa, S.; Kiffer-Moreira, T.; Sah, R.L.; Whyte, M.P.; Somerman, M.J.; et al. Periodontal Defects in the A116T Knock-in Murine Model of Odontohypophosphatasia. J. Dent. Res. 2015, 94, 706–714. [Google Scholar] [CrossRef]
- Itro, A.; Difalco, P.; Urciuolo, V.; Diomajuta, A.; Corzo, L. The aesthetic and functional restoration in the case of partial edentulism in young patients. Minerva Stomatol. 2005, 54, 281–292. [Google Scholar] [PubMed]
- Akitomo, T.; Kusaka, S.; Iwamoto, Y.; Usuda, M.; Kametani, M.; Asao, Y.; Nakano, M.; Tachikake, M.; Mitsuhata, C.; Nomura, R. Five-Year Follow-Up of a Child with Non-Syndromic Oligodontia from before the Primary Dentition Stage: A Case Report. Children 2023, 10, 717. [Google Scholar] [CrossRef] [PubMed]
- Suvarna, G.S.; Nadiger, R.K.; Guttal, S.S.; Shetty, O. Prosthetic rehabilitation of hypophosphatasia with precision attachment retained unconventional partial denture: A case report. J. Clin. Diagn. Res. 2014, 8, ZD08–ZD10. [Google Scholar] [CrossRef] [PubMed]
- Kramer, K.; Chavez, M.B.; Tran, A.T.; Farah, F.; Tan, M.H.; Kolli, T.N.; Dos Santos, E.J.L.; Wimer, H.F.; Millán, J.L.; Suva, L.J.; et al. Dental defects in the primary dentition associated with hypophosphatasia from biallelic ALPL mutations. Bone 2021, 143, 115732. [Google Scholar] [CrossRef]
- Kiselnikova, L.; Vislobokova, E.; Voinova, V. Dental manifestations of hypophosphatasia in children and the effects of enzyme replacement therapy on dental status: A series of clinical cases. Clin. Case Rep. 2020, 8, 911–918. [Google Scholar] [CrossRef]
- Harrison, H.E.; Harrison, H.C. Rickets and osteomalacia. In Disorders of Calcium and Phosphate Metabolism in Childhood and Adolescence; Saunders: Philadelphia, WB, USA, 1979; pp. 141–256. [Google Scholar]
- Lin, E.L.; Gottesman, G.S.; McAlister, W.H.; Bijanki, V.N.; Mack, K.E.; Griffin, D.M.; Mumm, S.; Whyte, M.P. Healing of vitamin D deficiency rickets complicating hypophosphatasia suggests a role beyond circulating mineral sufficiency for vitamin D in musculoskeletal health. Bone 2020, 136, 115322. [Google Scholar] [CrossRef] [PubMed]
- Mudgade, D.; Srivastava, H.M.; Qureshi, S.M.R.; Handa, A. Rickets—A case report. J. Oral Maxillofac. Pathol. 2023, 27, 781. [Google Scholar] [CrossRef]
- Imel, E.A. Burosumab for Pediatric X-Linked Hypophosphatemia. Curr. Osteoporos. Rep. 2021, 19, 271–277. [Google Scholar] [CrossRef] [PubMed]
- Nguyen, C.; Celestin, E.; Chambolle, D.; Linglart, A.; Biosse Duplan, M.; Chaussain, C.; Friedlander, L. Oral health-related quality of life in patients with X-linked hypophosphatemia: A qualitative exploration. Endocr. Connect. 2022, 11, e210564. [Google Scholar] [CrossRef]
- Giuca, M.R. Rare diseases: A challenge in paediatric dentistry. Eur. J. Paediatr. Dent. 2024, 25, 171. [Google Scholar] [PubMed]
- Orimo, H. Pathophysiology of hypophosphatasia and the potential role of asfotase alfa. Ther. Clin. Risk Manag. 2016, 12, 777–786. [Google Scholar] [CrossRef]
- Simon, S.; Resch, H. Treatment of hypophosphatasia. Wien. Med. Wochenschr. 2020, 170, 112–115. [Google Scholar] [CrossRef] [PubMed]
- Simon, S.; Resch, H.; Klaushofer, K.; Roschger, P.; Zwerina, J.; Kocijan, R. Hypophosphatasia: From Diagnosis to Treatment. Curr. Rheumatol. Rep. 2018, 20, 69. [Google Scholar] [CrossRef] [PubMed]
- Jaswanthi, N.; Sindhu, R.; Nimmy, P.; Prabu, D.; RajMohan, M.; Bharathwaj, V.V.; Dhamodhar, D.; Sathiyapriya, S. Effect of Asfotase Alfa in the Treatment of Hypophosphatasia- A Systematic Review. J. Pharm. Bioallied Sci. 2023, 15 (Suppl. 1), S101–S104. [Google Scholar] [CrossRef]
- Schroth, R.J.; Long, C.; Lee, V.H.K.; Alai-Towfigh, H.; Rockman-Greenberg, C. Dental outcomes for children receiving asfotase alfa for hypophosphatasia. Bone 2021, 152, 116089. [Google Scholar] [CrossRef]
- Usuda, M.; Akitomo, T.; Kametani, M.; Kusaka, S.; Mitsuhata, C.; Nomura, R. Dens invaginatus of fourteen teeth in a pediatric patient. Pediatr. Dent. 2023, 33, 240–245. [Google Scholar] [CrossRef]
- Frencken, J.E.; Sharma, P.; Stenhouse, L.; Green, D.; Laverty, D.; Dietrich, T. Global epidemiology of dental caries and severe periodontitis—A comprehensive review. J. Clin. Periodontol. 2017, 44 (Suppl. 18), S94–S105. [Google Scholar] [CrossRef] [PubMed]
- Usuda, M.; Kametani, M.; Hamada, M.; Suehiro, Y.; Matayoshi, S.; Okawa, R.; Naka, S.; Matsumoto-Nakano, M.; Akitomo, T.; Mitsuhata, C.; et al. Inhibitory Effect of Adsorption of Streptococcus mutans onto Scallop-Derived Hydroxyapatite. Int. J. Mol. Sci. 2023, 24, 11371. [Google Scholar] [CrossRef] [PubMed]
- Yasuda, J.; Yasuda, H.; Nomura, R.; Matayoshi, S.; Inaba, H.; Gongora, E.; Iwashita, N.; Shirahata, S.; Kaji, N.; Akitomo, T.; et al. Investigation of periodontal disease development and Porphyromonas gulae FimA genotype distribution in small dogs. Sci. Rep. 2024, 14, 5360. [Google Scholar] [CrossRef]
- Jamani, N.A.; Ardini, Y.D.; Harun, N.A. Neonatal tooth with Riga-Fide disease affecting breastfeeding: A case report. Int. Breastfeed. J. 2018, 13, 35. [Google Scholar] [CrossRef]
- Bueno, N.P.; Bergamini, M.L.; Elias, F.M.; Braz-Silva, P.H.; Ferraz, E.P. Unusual giant complex odontoma: A case report. J. Stomatol. Oral Maxillofac. Surg. 2020, 121, 604–607. [Google Scholar] [CrossRef] [PubMed]
- Kartha, S.; Vellore, K.P.; Challa, S.K.; Vallu, R.; Pusuluri, S. Traumatogenic Occlusion in a Pediatric Dental Patient: A Case Report. Int. J. Clin. Pediatr. Dent. 2022, 15, 222–226. [Google Scholar] [CrossRef] [PubMed]
- Akitomo, T.; Asao, Y.; Iwamoto, Y.; Kusaka, S.; Usuda, M.; Kametani, M.; Ando, T.; Sakamoto, S.; Mitsuhata, C.; Kajiya, M.; et al. A Third Supernumerary Tooth Occurring in the Same Region: A Case Report. Dent. J. 2023, 11, 49. [Google Scholar] [CrossRef] [PubMed]
- Akitomo, T.; Kusaka, S.; Usuda, M.; Kametani, M.; Kaneki, A.; Nishimura, T.; Ogawa, M.; Mitsuhata, C.; Nomura, R. Fusion of a Tooth with a Supernumerary Tooth: A Case Report and Literature Review of 35 Cases. Children 2023, 11, 6. [Google Scholar] [CrossRef] [PubMed]
- Sockanathan, L.; Ahmad, N.S.; Zakaria, A.S.I. Early Detection and Interceptive Orthodontic Treatment of Impacted Canine: A Case Report. Int. J. Clin. Pediatr. Dent. 2024, 17, 706–711. [Google Scholar] [CrossRef]
- Akitomo, T.; Asao, Y.; Mitsuhata, C.; Kozai, K. A new supernumerary tooth occurring in the same region during follow-up after supernumerary tooth extraction: A case report. Pediatr. Dent. 2021, 32, 100–107. [Google Scholar] [CrossRef]
- Piekoszewska-Ziętek, P.; Olczak-Kowalczyk, D.; Pańczyk-Tomaszewska, M.; Gozdowski, D. Developmental Abnormalities of Teeth in Children With Nephrotic Syndrome. Int. Dent. J. 2022, 72, 572–577. [Google Scholar] [CrossRef]
- Akitomo, T.; Tsuge, Y.; Mitsuhata, C.; Nomura, R. A Narrative Review of the Association between Dental Abnormalities and Chemotherapy. J. Clin. Med. 2024, 13, 4942. [Google Scholar] [CrossRef]
- Okawa, R.; Kadota, T.; Matayoshi, S.; Nakano, K. Dental Manifestations Leading to the Diagnosis of Hypophosphatasia in Two Children. J. Dent. Child 2020, 87, 179–183. [Google Scholar]
- Hayashi-Sakai, S.; Hayashi, T.; Sakamoto, M.; Sakai, J.; Shimomura-Kuroki, J.; Nishiyama, H.; Katsura, K.; Ike, M.; Nikkuni, Y.; Nakayama, M.; et al. Nondestructive Microcomputed Tomography Evaluation of Mineral Density in Exfoliated Teeth with Hypophosphatasia. Case Rep. Dent. 2016, 2016, 4898456. [Google Scholar] [CrossRef]
- Massler, M.; Schour, R.; Poncher, H.G. Developmental pattern of the child as reflected in the calcification pattern of the teeth. Am. J. Dis. Child. 1941, 62, 33–67. [Google Scholar] [CrossRef]
- Smart, G.; Jensen, E.D.; Poirier, B.F.; Sethi, S. The impact of enzyme replacement therapy on the oral health manifestations of hypophosphatasia among children: A scoping review. Eur. Arch. Paediatr. Dent. 2023, 24, 429–440. [Google Scholar] [CrossRef] [PubMed]
- McKee, M.D.; Nakano, Y.; Masica, D.L.; Gray, J.J.; Lemire, I.; Heft, R.; Whyte, M.P.; Crine, P.; Millán, J.L. Enzyme replacement therapy prevents dental defects in a model of hypophosphatasia. J. Dent. Res. 2011, 90, 470–476. [Google Scholar] [CrossRef] [PubMed]
- Nunes, M.E. Hypophosphatasia. In GeneReviews®; University of Washington: Seattle, WA, USA, 2007. [Google Scholar]
- Rothenbuhler, A.; Linglart, A. Hypophosphatasia in children and adolescents: Clinical features and treatment. Arch. Pediatr. 2017, 24 (Suppl. 2), 5S66–5S70. [Google Scholar] [CrossRef] [PubMed]
- Vieira-Andrade, R.G.; Drumond, C.L.; Alves, L.P.; Marques, L.S.; Ramos-Jorge, M.L. Inflammatory root resorption in primary molars: Prevalence and associated factors. Braz. Oral Res. 2012, 26, 335–340. [Google Scholar] [CrossRef]
- Seow, W.K. Diagnosis and management of unusual dental abscesses in children. Aust. Dent. J. 2003, 48, 156–168. [Google Scholar] [CrossRef] [PubMed]
- Montag, A.C.; Chambers, C.D.; Jones, K.L.; Dassanayake, P.S.; Andra, S.S.; Petrick, L.M.; Arora, M.; Austin, C. Collaborative Initiative on Fetal Alcohol Spectrum Disorders (CIFASD). Prenatal alcohol exposure can be determined from baby teeth: Proof of concept. Birth Defects Res. 2022, 114, 797–804. [Google Scholar] [CrossRef] [PubMed]
- Yoshida, K.; Ishizuka, S.; Nakamura-Takahashi, A.; Hasegawa, A.; Umezawa, A.; Koshika, K.; Ichinohe, T.; Kasahara, M. Prenatal asfotase alfa-mediated enzyme replacement therapy restores delayed calcification in a severe infantile form of hypophosphatasia model mice. Eur. J. Med. Genet. 2023, 66, 104787. [Google Scholar] [CrossRef]
- Kitaoka, T.; Tajima, T.; Nagasaki, K.; Kikuchi, T.; Yamamoto, K.; Michigami, T. Safety and efficacy of treatment with asfotase alfa in patients with hypophosphatasia: Results from a Japanese clinical trial. Clin. Endocrinol. 2017, 87, 10–19. [Google Scholar] [CrossRef]
- Hofmann, C.E.; Harmatz, P.; Vockley, J.; Högler, W.; Nakayama, H.; Bishop, N. Efficacy and safety of asfotase alfa in infants and young children with hypophosphatasia: A phase 2 open-label study. J. Clin. Endocrinol. Metab. 2019, 104, 2735–2747. [Google Scholar] [CrossRef]
- Reis, F.S.; Gomes, D.C.; Arantes, H.P.; Lazaretti-Castro, M. A two-year follow-up of asfotase alfa replacement in a patient with hypophosphatasia: Clinical, biochemical, and radiological evaluation. Arch. Endocrinol. Metab. 2020, 64, 623–629. [Google Scholar] [CrossRef]
- Hasegawa, A.; Nakamura-Takahashi, A.; Kasahara, M.; Saso, N.; Narisawa, S.; Millán, J.L.; Samura, O.; Sago, H.; Okamoto, A.; Umezawa, A. Prenatal enzyme replacement therapy for Akp2 (-/-) mice with lethal hypophosphatasia. Regen. Ther. 2021, 18, 168–175. [Google Scholar] [CrossRef] [PubMed]
- Sabandal, M.M.; Robotta, P.; Bürklein, S.; Schäfer, E. Review of the dental implications of X-linked hypophosphataemic rickets (XLHR). Clin. Oral Investig. 2015, 19, 759–768. [Google Scholar] [CrossRef] [PubMed]
- Adekoya-Sofowora, C.A. Traumatized anterior teeth in children: A review of the literature. Niger. J. Med. 2001, 10, 151–157. [Google Scholar] [PubMed]
- Spodzieja, K.; Olczak-Kowalczyk, D. Premature Loss of Deciduous Teeth as a Symptom of Systemic Disease: A Narrative Literature Review. Int. J. Environ. Res. Public Health 2022, 19, 3386. [Google Scholar] [CrossRef] [PubMed]
- Proc, P.; Szczepańska, J.; Skiba, A.; Zubowska, M.; Fendler, W.; Młynarski, W. Dental Anomalies as Late Adverse Effect among Young Children Treated for Cancer. Cancer Res. Treat. 2016, 48, 658–667. [Google Scholar] [CrossRef]
- Kametani, M.; Akitomo, T.; Usuda, M.; Kusaka, S.; Asao, Y.; Nakano, M.; Iwamoto, Y.; Tachikake, M.; Ogawa, M.; Kaneki, A.; et al. Evaluation of Periodontal Status and Oral Health Habits with Continual Dental Support for Young Patients with Hemophilia. Appl. Sci. 2024, 14, 1349. [Google Scholar] [CrossRef]
- Akitomo, T.; Ogawa, M.; Kaneki, A.; Nishimura, T.; Usuda, M.; Kametani, M.; Kusaka, S.; Asao, Y.; Iwamoto, Y.; Tachikake, M.; et al. Dental Abnormalities in Pediatric Patients Receiving Chemotherapy. J. Clin. Med. 2024, 13, 2877. [Google Scholar] [CrossRef] [PubMed]






| Tooth | Time |
|---|---|
| Mandibular left primary central incisor | 1 year and 3 months |
| Mandibular right primary central incisor | 1 year and 7 months |
| Mandibular left primary lateral incisor | 2 years |
| Mandibular right primary lateral incisor | 2 years and 4 months |
| Maxillary right primary canine | 2 years and 7 months |
| Mandibular right primary canine | 2 years and 8 months |
| Maxillary right primary central incisor | 3 years |
| Maxillary left primary canine | 3 years |
| Maxillary left primary central incisor | 3 years and 9 months |
| Mandibular left primary canine | 4 years and 3 months |
| Maxillary left primary lateral incisor | 4 years and 6 months |
Disclaimer/Publisher’s Note: The statements, opinions and data contained in all publications are solely those of the individual author(s) and contributor(s) and not of MDPI and/or the editor(s). MDPI and/or the editor(s) disclaim responsibility for any injury to people or property resulting from any ideas, methods, instructions or products referred to in the content. |
© 2025 by the authors. Licensee MDPI, Basel, Switzerland. This article is an open access article distributed under the terms and conditions of the Creative Commons Attribution (CC BY) license (https://creativecommons.org/licenses/by/4.0/).
Share and Cite
Akitomo, T.; Niizato, N.; Kaneki, A.; Ogawa, M.; Nishimura, T.; Kametani, M.; Usuda, M.; Iwamoto, Y.; Mitsuhata, C.; Nomura, R. A Case of Hypophosphatasia Started Enzyme Replacement Therapy Since Babyhood Stage. Children 2025, 12, 61. https://doi.org/10.3390/children12010061
Akitomo T, Niizato N, Kaneki A, Ogawa M, Nishimura T, Kametani M, Usuda M, Iwamoto Y, Mitsuhata C, Nomura R. A Case of Hypophosphatasia Started Enzyme Replacement Therapy Since Babyhood Stage. Children. 2025; 12(1):61. https://doi.org/10.3390/children12010061
Chicago/Turabian StyleAkitomo, Tatsuya, Noriko Niizato, Ami Kaneki, Masashi Ogawa, Taku Nishimura, Mariko Kametani, Momoko Usuda, Yuko Iwamoto, Chieko Mitsuhata, and Ryota Nomura. 2025. "A Case of Hypophosphatasia Started Enzyme Replacement Therapy Since Babyhood Stage" Children 12, no. 1: 61. https://doi.org/10.3390/children12010061
APA StyleAkitomo, T., Niizato, N., Kaneki, A., Ogawa, M., Nishimura, T., Kametani, M., Usuda, M., Iwamoto, Y., Mitsuhata, C., & Nomura, R. (2025). A Case of Hypophosphatasia Started Enzyme Replacement Therapy Since Babyhood Stage. Children, 12(1), 61. https://doi.org/10.3390/children12010061

