Acute Progressive Pediatric Post-Traumatic Kyphotic Deformity
Abstract
1. Introduction
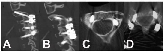
2. Case Report
3. Discussion
4. Conclusions
Author Contributions
Funding
Institutional Review Board Statement
Informed Consent Statement
Data Availability Statement
Acknowledgments
Conflicts of Interest
References
- Yukawa, Y.; Kato, F.; Suda, K.; Yamagata, M.; Ueta, T. Age-related changes in osseous anatomy, alignment, and range of motion of the cervical spine. Part I: Radiographic data from over 1200 asymptomatic subjects. Eur. Spine J. 2012, 21, 1492–1498. [Google Scholar] [CrossRef] [PubMed]
- Tang, R.; Ye, I.B.; Cheung, Z.B.; Kim, J.S.; Cho, S.K.W. Age-related Changes in Cervical Sagittal Alignment: A Radiographic Analysis. Spine 2019, 44, E1144–E1150. [Google Scholar] [CrossRef]
- Menezes, A.H.; Traynelis, V.C. Pediatric cervical kyphosis in the MRI era (1984–2008) with long-term follow up: Literature review. Childs Nerv. Syst. 2022, 38, 361–377. [Google Scholar] [CrossRef] [PubMed]
- Martini, M.L.; Neifert, S.N.; Chapman, E.K.; Mroz, T.E.; Rasouli, J.J. Cervical Spine Alignment in the Sagittal Axis: A Review of the Best Validated Measures in Clinical Practice. Glob. Spine J. 2021, 11, 1307–1312. [Google Scholar] [CrossRef] [PubMed]
- Grob, D.; Frauenfelder, H.; Mannion, A.F. The association between cervical spine curvature and neck pain. Eur. Spine J. 2007, 16, 669–678. [Google Scholar] [CrossRef]
- Xiaolong, S.; Xuhui, Z.; Jian, C.; Ye, T.; Wen, Y. Weakness of the neck extensors, possible causes and relation to adolescent idiopathic cervical kyphosis. Med. Hypotheses 2011, 77, 456–459. [Google Scholar] [CrossRef]
- Martus, J.E.; Griffith, T.E.; Dear, J.C.; Rathjen, K.E. Pediatric cervical kyphosis: A comparison of arthrodesis techniques. Spine 2011, 36, E1145–E1153. [Google Scholar] [CrossRef]
- Drain, J.P.; Virk, S.S.; Jain, N.; Yu, E. Dropped Head Syndrome: A Systematic Review. Clin. Spine Surg. 2019, 32, 423–429. [Google Scholar] [CrossRef]
- Iwasaki, M.; Yamamoto, T.; Miyauchi, A.; Amano, K.; Yonenobu, K. Cervical kyphosis: Predictive factors for progression of kyphosis and myelopathy. Spine 2002, 27, 1419–1425. [Google Scholar] [CrossRef]
- Francis, W.R.; Noble, D.P., Jr. Treatment of cervical kyphosis in children. Spine 1988, 13, 883–887. [Google Scholar] [CrossRef]
- Helenius, I.J.; Sponseller, P.D.; Mackenzie, W.; Odent, T.; Dormans, J.P.; Asghar, J.; Rathjen, K.; Pahys, J.M.; Miyanji, F.; Hedequist, D.; et al. Outcomes of Spinal Fusion for Cervical Kyphosis in Children with Neurofibromatosis. J. Bone Jt. Surg. Am. 2016, 98, e95. [Google Scholar] [CrossRef] [PubMed]
- Kawabata, S.; Watanabe, K.; Hosogane, N.; Ishii, K.; Nakamura, M.; Toyama, Y.; Matsumoto, M.; Pan, Z.; Zhong, J.; Xie, S.; et al. Surgical correction of severe cervical kyphosis in patients with neurofibromatosis Type 1. J. Neurosurg. Spine 2013, 18, 274–279. [Google Scholar] [CrossRef] [PubMed]
- Kobets, A.J.; Komlos, D.; Houten, J.K. Congenital cervical kyphosis in an infant with Ehlers-Danlos syndrome. Childs Nerv. Syst. 2018, 34, 1411–1415. [Google Scholar] [CrossRef] [PubMed]
- Lin, T.; Shao, W.; Zhang, K.; Gao, R.; Zhou, X. Comparison of Outcomes in 3 Surgical Approaches for Dystrophic Cervical Kyphosis in Patients with Neurofibromatosis 1. World Neurosurg. 2018, 111, e62–e71. [Google Scholar] [CrossRef]
- Madera, M.; Crawford, A.; Mangano, F.T. Management of severe cervical kyphosis in a patient with Larsen syndrome: Case report. J. Neurosurg. Pediatr. 2008, 1, 320–324. [Google Scholar] [CrossRef]
- Muhonen, M.G.; Menezes, A.H. Weaver syndrome and instability of the upper cervical spine. J. Pediatr. 1990, 116, 596–599. [Google Scholar] [CrossRef]
- Albert, T.J.; Vacarro, A. Postlaminectomy kyphosis. Spine 1998, 23, 2738–2745. [Google Scholar] [CrossRef]
- Bell, D.F.; Walker, J.L.; O’Connor, G.; Tibshirani, R. Spinal deformity after multiple-level cervical laminectomy in children. Spine 1994, 19, 406–411. [Google Scholar] [CrossRef]
- Callahan, R.A.; Johnson, R.M.; Margolis, R.N.; Keggi, K.; Albright, J.; Southwick, W. Cervical facet fusion for control of instability following laminectomy. J. Bone Jt. Surg. Am. 1977, 59, 991–1002. [Google Scholar] [CrossRef]
- Jagannathan, J.; Sansur, C.A.; Shaffrey, C.I. Iatrogenic spinal deformity. Neurosurgery 2008, 63 (Suppl. S3), 104–116. [Google Scholar] [CrossRef]
- Kaptain, G.J.; Simmons, N.E.; Replogle, R.E.; Pobereskin, L. Incidence and outcome of kyphotic deformity following laminectomy for cervical spondylotic myelopathy. J. Neurosurg. 2000, 93 (Suppl. S2), 199–204. [Google Scholar] [CrossRef] [PubMed]
- Schwarz, N.; Genelin, F.; Schwarz, A.F. Post-traumatic cervical kyphosis in children cannot be prevented by non-operative methods. Injury 1994, 25, 173–175. [Google Scholar] [CrossRef] [PubMed]
- Pal, G.P.; Sherk, H.H. The vertical stability of the cervical spine. Spine 1988, 13, 447–449. [Google Scholar] [CrossRef]
- Gopinathan, N.R.; Viswanathan, V.K.; Crawford, A.H. Cervical Spine Evaluation in Pediatric Trauma: A Review and an Update of Current Concepts. Indian J. Orthop. 2018, 52, 489–500. [Google Scholar] [CrossRef] [PubMed]
- McAllister, A.S.; Nagaraj, U.; Radhakrishnan, R. Emergent Imaging of Pediatric Cervical Spine Trauma. Radiographics 2019, 39, 1126–1142. [Google Scholar] [CrossRef]
- Fedorchuk, C.; Comer, R.D.; Stockwell, T.L.; Stockwell, J.; Stockwell, R.; Lightstone, D.F. Prevalence of Cervical Spondylolisthesis in the Sagittal Plane Using Radiographic Imaging in a Pediatric Population: A Cross Sectional Analysis of Vertebral Subluxation. J. Radiol. Case Rep. 2021, 15, 1–18. [Google Scholar] [CrossRef]
- Wang, L.; Ibrahim, Y.; Tian, Y.; Yuan, S.; Liu, X. Progressive Adolescent Idiopathic Cervical Kyphosis Secondary to Constant Postural Neck Flexion Reading Habit with a 10-year Follow-up: Case Report and Literature Review. Orthop. Surg. 2022, 14, 1527–1532. [Google Scholar] [CrossRef]
- Yamamuro, Y.; Demura, S.; Murakami, H.; Kato, S.; Yonezawa, N.; Yokogawa, N.; Tsuchiya, H. Acute progressive adolescent idiopathic cervical kyphosis: Case report. J. Neurosurg. Spine 2019, 30, 783–787. [Google Scholar] [CrossRef]
- Alpayci, M.; Senkoy, E.; Delen, V.; Şah, V.; Yazmalar, L.; Erden, M.; Toprak, M. Decreased neck muscle strength in patients with the loss of cervical lordosis. Clin. Biomech. 2016, 33, 98–102. [Google Scholar] [CrossRef]
- Brodell, J.D., Jr.; Sulovari, A.; Bernstein, D.N.; Mongiovi, P.C.; Ciafaloni, E.; Rubery, P.T.; Mesfin, A. Dropped Head Syndrome: An Update on Etiology and Surgical Management. JBJS Rev. 2020, 8, e0068. [Google Scholar] [CrossRef]
- Qian, W.; Endo, K.; Aihara, T.; Sawaji, Y.; Suzuki, H.; Matsuoka, Y.; Takamatsu, T.; Murata, K.; Yamamoto, K. Cervical sagittal alignment in patients with dropped head syndrome. J. Orthop. Surg. 2021, 29, 2309499021990112. [Google Scholar] [CrossRef] [PubMed]
- Sharan, A.D.; Kaye, D.; Charles Malveaux, W.M.; Riew, D.K. Dropped head syndrome: Etiology and management. J. Am. Acad. Orthop. Surg. 2012, 20, 766–774. [Google Scholar] [CrossRef] [PubMed]
- Endo, K.; Sawaji, Y.; Aihara, T.; Suzuki, H.; Murata, K.; Matsuoka, Y.; Nishimura, H.; Takamatsu, T.; Konishi, T.; Yamamoto, K. Eight cases of sudden-onset dropped head syndrome: Patient series. J. Neurosurg. Case Lessons 2021, 2, CASE21177. [Google Scholar] [CrossRef]
- Cavagnaro, M.J.; Orenday-Barraza, J.M.; Hussein, A.; Avila, M.J.; Farhadi, D.; Reyes, A.A.; Bauer, I.L.; Khan, N.; Baaj, A.A. Surgical management of dropped head syndrome: A systematic review. Surg. Neurol. Int. 2022, 13, 255. [Google Scholar] [CrossRef] [PubMed]
- Farshad, M.; Burkhard, M.D.; Spirig, J.M. Occipitopexy as a Fusionless Solution for Dropped Head Syndrome: A Case Report. JBJS Case Connect. 2021, 11, e21. [Google Scholar] [CrossRef]
- Li, X.; Zeng, L.; Chen, X.; Ke, C. Preoperative Halo-Gravity Traction for Severe Thoracic Kyphoscoliosis Patients from Tibet: Radiographic Correction, Pulmonary Function Improvement, Nursing, and Complications. Med. Sci. Monit. 2017, 23, 4021–4027. [Google Scholar] [CrossRef]
- Zeng, H.; Liang, Y.; Wang, X.; Shen, X.; Luo, C.; Xu, Z.; Liu, Z.; Zhang, Y. Halo traction, single-segment circumferential fixation treating cervical tubercular spondylitis with kyphosis. Clin. Neurol. Neurosurg. 2015, 138, 59–65. [Google Scholar] [CrossRef]
- Verma, S.K.; Singh, P.K.; Kumar, A.; Sawarkar, D.; Laythalling, R.K.; Chandra, P.S.; Kale, S.S. Correction of pediatric cervical kyphosis with standalone posterior approach—A single-center experience of seven cases. Childs Nerv. Syst. 2023, 39, 239–247. [Google Scholar] [CrossRef]
- Abumi, K.; Shono, Y.; Taneichi, H.; Ito, M.; Kaneda, K. Correction of cervical kyphosis using pedicle screw fixation systems. Spine 1999, 24, 2389–2396. [Google Scholar] [CrossRef]
- Han, K.; Lu, C.; Li, J.; Xiong, G.-Z.; Wang, B.; Lv, G.-H.; Deng, Y.-W. Surgical treatment of cervical kyphosis. Eur. Spine J. 2011, 20, 523–536. [Google Scholar] [CrossRef]
- Song, K.J.; Johnson, J.S.; Choi, B.R.; Wang, J.C.; Lee, K.B. Anterior fusion alone compared with combined anterior and posterior fusion for the treatment of degenerative cervical kyphosis. J. Bone Jt. Surg. Br. 2010, 92, 1548–1552. [Google Scholar] [CrossRef] [PubMed]
- Goldstein, H.E.; Neira, J.A.; Banu, M.; Aldana, P.R.; Braga, B.P.; Brockmeyer, D.L.; DiLuna, M.L.; Fulkerson, D.H.; Hankinson, T.C.; Jea, A.H.; et al. Growth and alignment of the pediatric subaxial cervical spine following rigid instrumentation and fusion: A multicenter study of the Pediatric Craniocervical Society. J. Neurosurg. Pediatr. 2018, 22, 81–88. [Google Scholar] [CrossRef] [PubMed]
- Abe, Y.; Yamada, K.; Abumi, K.; Iwasaki, N.; Sudo, H. Long-Term Changes in Vertebral Morphology After Cervical Spinal Fusion in Adolescent Pediatric Patients: Retrospective Case Series with up to a Minimum 12 Years of Follow-up. World Neurosurg. 2019, 122, e765–e772. [Google Scholar] [CrossRef] [PubMed]




Disclaimer/Publisher’s Note: The statements, opinions and data contained in all publications are solely those of the individual author(s) and contributor(s) and not of MDPI and/or the editor(s). MDPI and/or the editor(s) disclaim responsibility for any injury to people or property resulting from any ideas, methods, instructions or products referred to in the content. |
© 2023 by the authors. Licensee MDPI, Basel, Switzerland. This article is an open access article distributed under the terms and conditions of the Creative Commons Attribution (CC BY) license (https://creativecommons.org/licenses/by/4.0/).
Share and Cite
Vachata, P.; Lodin, J.; Bolcha, M.; Brušáková, Š.; Sameš, M. Acute Progressive Pediatric Post-Traumatic Kyphotic Deformity. Children 2023, 10, 932. https://doi.org/10.3390/children10060932
Vachata P, Lodin J, Bolcha M, Brušáková Š, Sameš M. Acute Progressive Pediatric Post-Traumatic Kyphotic Deformity. Children. 2023; 10(6):932. https://doi.org/10.3390/children10060932
Chicago/Turabian StyleVachata, Petr, Jan Lodin, Martin Bolcha, Štepánka Brušáková, and Martin Sameš. 2023. "Acute Progressive Pediatric Post-Traumatic Kyphotic Deformity" Children 10, no. 6: 932. https://doi.org/10.3390/children10060932
APA StyleVachata, P., Lodin, J., Bolcha, M., Brušáková, Š., & Sameš, M. (2023). Acute Progressive Pediatric Post-Traumatic Kyphotic Deformity. Children, 10(6), 932. https://doi.org/10.3390/children10060932
