Surfactin Inhibits Osteoclast Differentiation by Negatively Regulating the Elk1-AP-1-NFATc1 Axis
Abstract
1. Introduction
2. Materials and Methods
2.1. Reagents and Antibodies
2.2. Cell Culture
2.3. Cell Counting Kit-8 (CCK-8) Assay
2.4. TRAP Staining
2.5. Animal Experiments
2.6. F-Actin Staining
2.7. Real-Time RT-qPCR
2.8. Western Blot Analysis
2.9. Statistical Analyses
3. Results
3.1. Surfactin Inhibits Cell Proliferation at High Concentrations
3.2. Surfactin Inhibits Osteoclast Formation
3.3. Surfactin Reduces the Expression of RANKL-Induced Osteoclast Differentiation Marker Genes
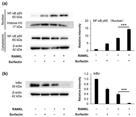
3.4. Surfactin Has No Effect on Activation of the NF-κB Pathway Induced by RANKL
3.5. Surfactin Has No Effect on the Activation of the MAPK Pathway Induced by RANKL
3.6. Surfactin Inhibits Activation of the Elk1-c-Fos Axis Induced by RANKL
4. Discussion
5. Conclusions
Supplementary Materials
Author Contributions
Funding
Institutional Review Board Statement
Data Availability Statement
Acknowledgments
Conflicts of Interest
Abbreviations
| RT-qPCR | reverse transcription quantitative polymerase chain reaction |
| RANK | receptor activator of nuclear factor-kappa B |
| RANKL | receptor activator of nuclear factor-kappa B ligand |
| TNFR | tumor necrosis factor receptor |
| MAPK | mitogen-activated protein kinase |
| AP-1 | activator protein-1 |
| NF-κB | nuclear factor-kappa B |
| TRAP | tartrate-resistant acid phosphatase |
References
- Kim, J.M.; Lin, C.; Stavre, Z.; Greenblatt, M.B.; Shim, J.H. Osteoblast-Osteoclast Communication and Bone Homeostasis. Cells 2020, 9, 2073. [Google Scholar] [CrossRef]
- Park, J.H.; Lee, N.K.; Lee, S.Y. Current Understanding of RANK Signaling in Osteoclast Differentiation and Maturation. Mol. Cells 2017, 40, 706−713. [Google Scholar] [CrossRef]
- Xu, H.; Wang, W.; Liu, X.; Huang, W.; Zhu, C.; Xu, Y.; Yang, H.; Bai, J.; Geng, D. Targeting strategies for bone diseases: Signaling pathways and clinical studies. Signal Transduct. Target. Ther. 2023, 8, 202. [Google Scholar] [CrossRef]
- Rachner, T.D.; Khosla, S.; Hofbauer, L.C. Osteoporosis: Now and the future. Lancet 2011, 377, 1276−1287. [Google Scholar] [CrossRef] [PubMed]
- Song, S.; Guo, Y.; Yang, Y.; Fu, D. Advances in pathogenesis and therapeutic strategies for osteoporosis. Pharmacol. Ther. 2022, 237, 108168. [Google Scholar] [CrossRef]
- Kitamoto, D.; Isoda, H.; Nakahara, T. Functions and potential applications of glycolipid biosurfactants—from energy-saving materials to gene delivery carriers. J. Biosci. Bioeng. 2002, 94, 187−201. [Google Scholar] [CrossRef]
- Lourenço, M.; Duarte, N.; Ribeiro, I.A.C. Exploring biosurfactants as antimicrobial approaches. Pharmaceuticals 2024, 17, 1239. [Google Scholar] [CrossRef] [PubMed]
- Zeriouh, H.; de Vicente, A.; Pérez-García, A.; Romero, D. Surfactin triggers biofilm formation of Bacillus subtilis in melon phylloplane and contributes to the biocontrol activity. Environ. Microbiol. 2014, 16, 2196–2211. [Google Scholar] [CrossRef]
- Mongkolthanaruk, W. Classification of Bacillus beneficial substances related to plants, humans and animals. J. Microbiol. Biotechnol. 2012, 22, 1597−1604. [Google Scholar] [CrossRef]
- Horng, Y.B.; Yu, Y.H.; Dybus, A.; Hsiao, F.S.; Cheng, Y.H. Antibacterial activity of Bacillus species-derived surfactin on Brachyspira hyodysenteriae and Clostridium perfringens. AMB Express 2019, 9, 188. [Google Scholar] [CrossRef]
- Jakab, Á.; Kovács, F.; Balla, N.; Tóth, Z.; Ragyák, Á.; Sajtos, Z.; Csillag, K.; Nagy-Köteles, C.; Nemes, D.; Bácskay, I.; et al. Physiological and transcriptional profiling of surfactin exerted antifungal effect against Candida albicans. Biomed. Pharmacother. 2022, 152, 113220. [Google Scholar] [CrossRef]
- Carrillo, C.; Teruel, J.A.; Aranda, F.J.; Ortiz, A. Molecular mechanism of membrane permeabilization by the peptide antibiotic surfactin. Biochim. Biophys. Acta 2003, 1611, 91−97. [Google Scholar] [CrossRef]
- Zhen, C.; Ge, X.F.; Lu, Y.T.; Liu, W.Z. Chemical structure, properties and potential applications of surfactin, as well as advanced strategies for improving its microbial production. AIMS Microbiol. 2023, 9, 195−217. [Google Scholar] [CrossRef]
- Gan, P.; Jin, D.; Zhao, X.; Gao, Z.; Wang, S.; Du, P.; Qi, G. Bacillus-produced surfactin attenuates chronic inflammation in atherosclerotic lesions of ApoE−/− mice. Int. Immunopharmacol. 2016, 35, 226−234. [Google Scholar] [CrossRef]
- Kuang, Z.; Yang, X.; Cao, Z.; Li, Y.; Hu, J.; Hong, X.; Li, B.; Wu, C.; Qi, Q.; Liu, X.; et al. Surfactin suppresses osteoclastogenesis via the NF-κB signaling pathway, promotes osteogenic differentiation in vitro, and inhibits oestrogen deficiency-induced bone loss in vivo. Int. Immunopharmacol. 2023, 117, 109884. [Google Scholar] [CrossRef] [PubMed]
- Koga, A.; Nagai-Yoshioka, Y.; Yamasaki, R.; Adachi, Y.; Fujii, W.; Ariyoshi, W. Molecular Mechanisms of Curdlan-Induced Suppression of NFATc1 Expression in Osteoclasts. J. Cell. Biochem. 2025, 126, e30682. [Google Scholar] [CrossRef] [PubMed]
- Ariyoshi, W.; Koga, A.; Kodama, Y.; Yamasaki, R.; Nagai-Yoshioka, Y.; Usui, M.; Mochizuki, S.; Adachi, Y. Inhibition of osteoclast differentiation by (1→3)-β-D-glucan from Alcaligenes faecalis (curdlan) and dectin-1 interaction via the syk proteolytic system. Carbohydr. Polym. Technol. Appl. 2025, 9, 100683. [Google Scholar] [CrossRef]
- Chaweewannakorn, W.; Ariyoshi, W.; Okinaga, T.; Fujita, Y.; Maki, K.; Nishihara, T. Ameloblastin attenuates RANKL-mediated osteoclastogenesis by suppressing activation of nuclear factor of activated T-cell cytoplasmic 1 (NFATc1). J. Cell. Physiol. 2019, 234, 1745−1757. [Google Scholar] [CrossRef]
- Kanda, Y. Investigation of the freely available easy-to-use software ‘EZR’ for medical statistics. Bone Marrow Transpl. 2013, 48, 452−458. [Google Scholar] [CrossRef]
- Wu, Y.S.; Ngai, S.C.; Goh, B.H.; Chan, K.G.; Lee, L.H.; Chuah, L.H. Anticancer activities of Surfactin and Potential Application of Nanotechnology Assisted Surfactin Delivery. Front. Pharmacol. 2017, 8, 761. [Google Scholar] [CrossRef]
- Takayanagi, H.; Kim, S.; Koga, T.; Nishina, H.; Isshiki, M.; Yoshida, H.; Saiura, A.; Isobe, M.; Yokochi, T.; Inoue, J.; et al. Induction and activation of the transcription factor NFATc1 (NFAT2) integrate RANKL signaling in terminal differentiation of osteoclasts. Dev. Cell. 2002, 3, 889−901. [Google Scholar] [CrossRef]
- Hayman, A.R.; Bune, A.J.; Bradley, J.R.; Rashbass, J.; Cox, T.M. Osteoclastic tartrate-resistant acid phosphatase (Acp 5): Its localization to dendritic cells and diverse murine tissues. J. Histochem. Cytochem. 2000, 48, 219−228. [Google Scholar] [CrossRef]
- Troen, B.R. The regulation of cathepsin K gene expression. Ann. N. Y. Acad. Sci. 2006, 1068, 165−172. [Google Scholar] [CrossRef]
- Boyce, B.F.; Li, J.; Yao, Z.; Xing, L. Nuclear Factor-Kappa B Regulation of Osteoclastogenesis and Osteoblastogenesis. Endocrinol. Metab. 2023, 38, 504−521. [Google Scholar] [CrossRef]
- Lee, K.; Seo, I.; Choi, M.H.; Jeong, D. Roles of Mitogen-Activated Protein Kinases in Osteoclast Biology. Int. J. Mol. Sci. 2018, 19, 3004. [Google Scholar] [CrossRef]
- Gan, P.; Gao, Z.; Zhao, X.; Qi, G. Surfactin inducing mitochondria-dependent ROS to activate MAPKs, NF-κB and inflammasomes in macrophages for adjuvant activity. Sci. Rep. 2016, 6, 39303. [Google Scholar] [CrossRef]
- Bakiri, L.; Takada, Y.; Radolf, M.; Eferl, R.; Yaniv, M.; Wagner, E.F.; Matsuo, K. Role of heterodimerization of c-Fos and Fra1 proteins in osteoclast differentiation. Bone 2007, 40, 867−875. [Google Scholar] [CrossRef] [PubMed]
- Matsuo, K.; Galson, D.L.; Zhao, C.; Peng, L.; Laplace, C.; Wang, K.Z.; Bachler, M.A.; Amano, H.; Aburatani, H.; Ishikawa, H.; et al. Nuclear factor of activated T-cells (NFAT) rescues osteoclastogenesis in precursors lacking c-Fos. J. Biol. Chem. 2004, 279, 26475–26480. [Google Scholar] [CrossRef] [PubMed]
- Janknecht, R.; Ernst, W.H.; Pingoud, V.; Nordheim, A. Activation of ternary complex factor Elk-1 by MAP kinases. EMBO J. 1993, 12, 5097–5104. [Google Scholar] [CrossRef]
- Cavigelli, M.; Dolfi, F.; Claret, F.X.; Karin, M. Induction of c-fos expression through JNK-mediated TCF/Elk-1 phosphorylation. EMBO J. 1995, 14, 5957−5964. [Google Scholar] [CrossRef] [PubMed]
- Kim, J.H.; Kim, K.; Kim, I.; Seong, S.; Lee, K.B.; Kim, N. BCAP promotes osteoclast differentiation through regulation of the p38-dependent CREB signaling pathway. Bone 2018, 107, 188–195. [Google Scholar] [CrossRef]
- Lu, D.Z.; Dong, W.; Feng, X.J.; Chen, H.; Liu, J.J.; Wang, H.; Zang, L.Y.; Qi, M.C. CaMKII(δ) regulates osteoclastogenesis through ERK, JNK, and p38 MAPKs and CREB signalling pathway. Mol. Cell. Endocrinol. 2020, 508, 110791. [Google Scholar] [CrossRef] [PubMed]
- Peypoux, F.; Bonmatin, J.M.; Wallach, J. Recent trends in the biochemistry of surfactin. Appl. Microbiol. Biotechnol. 1999, 51, 553−563. [Google Scholar] [CrossRef] [PubMed]
- Dufour, S.; Deleu, M.; Nott, K.; Wathelet, B.; Thonart, P.; Paquot, M. Hemolytic activity of new linear surfactin analogs in relation to their physico-chemical properties. Biochim. Biophys. Acta 2005, 1726, 87−95. [Google Scholar] [CrossRef]
- Su, Y.; Gao, L.; Li, C.; Wang, L.; Zhou, H.; Zhang, C.; Xia, X. Regulation mechanism and bioactivity characteristic of surfactin homologues with C14 and C15 fatty acid chains. Microb. Cell. Fact. 2024, 23, 94. [Google Scholar] [CrossRef] [PubMed]
- Miceli, R.T.; Totsingan, F.; Naina, T.; Islam, S.; Dordick, J.S.; Corr, D.T.; Gross, R.A. Molecularly Engineered Surfactin Analogues Induce Nonapoptotic-Like Cell Death and Increased Selectivity in Multiple Breast Cancer Cell Types. ACS Omega 2023, 8, 14610−14620. [Google Scholar] [CrossRef]
- Deleu, M.; Lorent, J.; Lins, L.; Brasseur, R.; Braun, N.; El Kirat, K.; Nylander, T.; Dufrêne, Y.F.; Mingeot-Leclercq, M.P. Effects of surfactin on membrane models displaying lipid phase separation. Biochim. Biophys. Acta 2013, 1828, 801−815. [Google Scholar] [CrossRef]
- Imura, T.; Ikeda, S.; Aburai, K.; Taira, T.; Kitamoto, D. Interdigitated lamella and bicontinuous cubic phases formation from natural cyclic surfactin and its linear derivative. J. Oleo Sci. 2013, 62, 499–503. [Google Scholar] [CrossRef]
- Taira, T.; Yanagisawa, S.; Nagano, T.; Zhu, Y.; Kuroiwa, T.; Koumura, N.; Kitamoto, D.; Imura, T. Selective encapsulation of cesium ions using the cyclic peptide moiety of surfactin: Highly efficient removal based on an aqueous giant micellar system. Colloids Surf. B Biointerfaces 2015, 134, 59–64. [Google Scholar] [CrossRef]
- Ishii, T.; Ruiz-Torruella, M.; Ikeda, A.; Shindo, S.; Movila, A.; Mawardi, H.; Albassam, A.; Kayal, R.A.; Al-Dharrab, A.A.; Egashira, K.; et al. OC-STAMP promotes osteoclast fusion for pathogenic bone resorption in periodontitis via up-regulation of permissive fusogen CD9. FASEB J. 2018, 32, 4016−4030. [Google Scholar] [CrossRef]
- Witwicka, H.; Hwang, S.Y.; Reyes-Gutierrez, P.; Jia, H.; Odgren, P.E.; Donahue, L.R.; Birnbaum, M.J.; Odgren, P.R. Studies of OC-STAMP in Osteoclast Fusion: A New Knockout Mouse Model, Rescue of Cell Fusion, and Transmembrane Topology. PLoS ONE 2015, 10, e0128275. [Google Scholar] [CrossRef] [PubMed]
- Yang, M.; Birnbaum, M.J.; MacKay, C.A.; Mason-Savas, A.; Thompson, B.; Odgren, P.R. Osteoclast stimulatory transmembrane protein (OC-STAMP), a novel protein induced by RANKL that promotes osteoclast differentiation. J. Cell. Physiol. 2008, 215, 497−505. [Google Scholar] [CrossRef] [PubMed]
- Kodama, J.; Kaito, T. Osteoclast Multinucleation: Review of Current Literature. Int. J. Mol. Sci. 2020, 21, 5685. [Google Scholar] [CrossRef]
- Yagi, M.; Miyamoto, T.; Sawatani, Y.; Iwamoto, K.; Hosogane, N.; Fujita, N.; Morita, K.; Ninomiya, K.; Suzuki, T.; Miyamoto, K.; et al. DC-STAMP is essential for cell-cell fusion in osteoclasts and foreign body giant cells. J. Exp. Med. 2005, 202, 345–351. [Google Scholar] [CrossRef] [PubMed]
- Lee, S.H.; Rho, J.; Jeong, D.; Sul, J.Y.; Kim, T.; Kim, N.; Kang, J.S.; Miyamoto, T.; Suda, T.; Lee, S.K.; et al. v-ATPase V0 subunit d2-deficient mice exhibit impaired osteoclast fusion and increased bone formation. Nat. Med. 2006, 12, 1403–1409. [Google Scholar] [CrossRef]
- Maile, L.A.; DeMambro, V.E.; Wai, C.; Lotinun, S.; Aday, A.W.; Capps, B.E.; Beamer, W.G.; Rosen, C.J.; Clemmons, D.R. An essential role for the association of CD47 to SHPS-1 in skeletal remodeling. J. Bone Miner Res. 2011, 26, 2068–2081. [Google Scholar] [CrossRef]
- Chernomordik, L.V.; Kozlov, M.M. Mechanics of membrane fusion. Nat. Struct. Mol. Biol. 2008, 15, 675−683. [Google Scholar] [CrossRef]
- Irie, A.; Yamamoto, K.; Miki, Y.; Murakami, M. Phosphatidylethanolamine dynamics are required for osteoclast fusion. Sci. Rep. 2017, 7, 46715. [Google Scholar] [CrossRef]








| Gene | Primer Sequence (5′-3′) | |
|---|---|---|
| Gapdh | forward reverse | 5′- GAC GGC CGC ATC TTC TTT GA -3′ 5′- CAC ACC GAC CTT CAC CAT TTT -3′ |
| Nfatc1 | forward reverse | 5′-ACC ACC TTT CCG CAA CCA-3′ 5′-GGT ACT GGC TTC TCT TCC GTT TC-3′ |
| Acp5 | forward reverse | 5′-GCA GTA TCT TCA GGA CGA GAA C-3′ 5′-TCC ATA GTG AAA CCG CAA GTA G-3′ |
| Oc-stamp | forward reverse | 5′-CCG CAG CCT GAC ATT TGA G-3′ 5′- TCT CCT GAG TGA TCG TGT GCA T -3′ |
| Cathepsin K | forward reverse | 5′-TAT GAC CAC TGC CTT CCA ATA C-3′ 5′-GCC GTG GCG TTA TAC ATA CA-3′ |
| c-Fos | forward reverse | 5′-GCC AAG TGC CGG AAT CG-3′ 5′-CAA CGC AGA CTT CTC ATC TTC AA-3′ |
Disclaimer/Publisher’s Note: The statements, opinions and data contained in all publications are solely those of the individual author(s) and contributor(s) and not of MDPI and/or the editor(s). MDPI and/or the editor(s) disclaim responsibility for any injury to people or property resulting from any ideas, methods, instructions or products referred to in the content. |
© 2026 by the authors. Licensee MDPI, Basel, Switzerland. This article is an open access article distributed under the terms and conditions of the Creative Commons Attribution (CC BY) license.
Share and Cite
Maruyama, K.; Koga, A.; Kodama, Y.; Yamasaki, R.; Nagai-Yoshioka, Y.; Miyamoto, J.J.; Kuroishi, K.; Gunjigake, K.; Kawamoto, T.; Ariyoshi, W. Surfactin Inhibits Osteoclast Differentiation by Negatively Regulating the Elk1-AP-1-NFATc1 Axis. Biomedicines 2026, 14, 155. https://doi.org/10.3390/biomedicines14010155
Maruyama K, Koga A, Kodama Y, Yamasaki R, Nagai-Yoshioka Y, Miyamoto JJ, Kuroishi K, Gunjigake K, Kawamoto T, Ariyoshi W. Surfactin Inhibits Osteoclast Differentiation by Negatively Regulating the Elk1-AP-1-NFATc1 Axis. Biomedicines. 2026; 14(1):155. https://doi.org/10.3390/biomedicines14010155
Chicago/Turabian StyleMaruyama, Kazuki, Ayaka Koga, Yuki Kodama, Ryota Yamasaki, Yoshie Nagai-Yoshioka, Jun J. Miyamoto, Kayoko Kuroishi, Kaori Gunjigake, Tatsuo Kawamoto, and Wataru Ariyoshi. 2026. "Surfactin Inhibits Osteoclast Differentiation by Negatively Regulating the Elk1-AP-1-NFATc1 Axis" Biomedicines 14, no. 1: 155. https://doi.org/10.3390/biomedicines14010155
APA StyleMaruyama, K., Koga, A., Kodama, Y., Yamasaki, R., Nagai-Yoshioka, Y., Miyamoto, J. J., Kuroishi, K., Gunjigake, K., Kawamoto, T., & Ariyoshi, W. (2026). Surfactin Inhibits Osteoclast Differentiation by Negatively Regulating the Elk1-AP-1-NFATc1 Axis. Biomedicines, 14(1), 155. https://doi.org/10.3390/biomedicines14010155

