The Controversy of Using Insufficient Great Saphenous Veins in Coronary Artery Bypass Grafting: A Comparative Morphological Analysis of Healthy and Insufficient Veins Related to the Possibility of Using Them as a Graft
Abstract
1. Introduction
2. Materials and Methods
2.1. Patients and Enrolment Criteria
2.2. Specimen Preparation, Microscopic Evaluation, and Image Analysis
2.3. Statistical Analyses
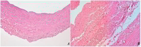
3. Results
4. Discussion
5. Conclusions
Author Contributions
Funding
Institutional Review Board Statement
Informed Consent Statement
Data Availability Statement
Conflicts of Interest
References
- Kai, S.H.Y.; Ferrières, J.; Rossignol, M.; Bouisset, F.; Herry, J.; Esquirol, Y. Prevalence and determinants of return to work after various coronary events: Meta-analysis of prospective studies. Sci. Rep. 2022, 12, 15348. [Google Scholar] [CrossRef]
- Collet, J.P.; Allali, Y.; Borentain, M.; Payot, L.; Raoux, F.; Cacoub, P.; Leys, D.; Alperovitch, A.; Montalescot, G.; l’Institut de l’athéro-thrombose. Prévalence des lésions athérothrombotiques asymptomatiques et risques d’evénements vasculaires chez des patients ayant une maladie coronaire documentée [Prevalence of asymptomatic atherothrombotic lesions and risk of vascular events in patients with documented coronary artery disease]. Arch. Mal. Coeur Vaiss. 2005, 98, 31–54. [Google Scholar]
- Rush, C.J.; Berry, C.; Oldroyd, K.G.; Rocchiccioli, J.P.; Lindsay, M.M.; Touyz, R.M.; Murphy, C.L.; Ford, T.J.; Sidik, N.; McEntegart, M.B.; et al. Prevalence of Coronary Artery Disease and Coronary Microvascular Dysfunction in Patients with Heart Failure with Preserved Ejection Fraction. JAMA Cardiol. 2021, 6, 1130–1143. [Google Scholar] [CrossRef]
- PhD LGM. Current Knowledge of Heart Failure with Preserved Ejection Fraction. Maedica 2023, 18, 323–332. [Google Scholar] [CrossRef]
- Mun, Y.S.; Cho, B.S.; Jang, J.H.; Lee, M.S.; Kwon, O.S. Femoropopliteal Bypass with Varicose Greater Saphenous Vein. Int. J. Angiol. 2016, 25, e108–e110. [Google Scholar] [CrossRef][Green Version]
- Guntani, A.; Yoshiga, R.; Mii, S. Distal bypass with a varicose vein graft for critical limb ischemia: Report of a case. Surg. Case Rep. 2019, 5, 193. [Google Scholar] [CrossRef] [PubMed]
- Moritz, A.; Grabenwöger, F.; Raderer, F.; Ptakovsky, H.; Magometschnigg, H.; Ullrich, R.; Staudacher, M. Use of varicose veins as arterial bypass grafts. Cardiovasc. Surg. 1993, 1, 508–512. [Google Scholar] [CrossRef] [PubMed]
- Guntani, A.; Yamashita, S.; Mii, S. Short-Term Results of Varicose Vein Graft Used for Lower-Limb Bypass Surgery. Ann. Vasc. Dis. 2023, 16, 169–173. [Google Scholar] [CrossRef] [PubMed]
- Matei, S.-C.; Dumitru, C.Ș.; Radu, D. Measuring the Quality of Life in Patients with Chronic Venous Disease before and Short Term after Surgical Treatment—A Comparison between Different Open Surgical Procedures. J. Clin. Med. 2022, 11, 7171. [Google Scholar] [CrossRef] [PubMed]
- Matei, S.-C.; Dumitru, C.Ș.; Oprițoiu, A.-I.; Marian, L.; Murariu, M.-S.; Olariu, S. Female Gonadal Venous Insufficiency in a Clinical Presentation Which Suggested an Acute Abdomen—A Case Report and Literature Review. Medicina 2023, 59, 884. [Google Scholar] [CrossRef] [PubMed]
- Matei, S.C.; Matei, M.; Anghel, F.M.; Olariu, A.; Olariu, S. Great saphenous vein giant aneurysm. Acta Phlebol. 2022, 23, 87–92. [Google Scholar] [CrossRef]
- Matei, S.C.; Matei, M.; Anghel, F.M.; Derban, M.D.; Olariu, A.; Olariu, S. Impact of statin treatment on patients diagnosed with chronic venous disease. Morphological analysis of the venous wall and clinical implications. Phlebology 2022, 37, 188–195. [Google Scholar] [CrossRef]
- Matei, S.-C.; Matei, M.; Anghel, F.M.; Murariu, M.-S.; Olariu, S. Cryostripping—A Safe and Efficient Alternative Procedure in Chronic Venous Disease Treatment. J. Clin. Med. 2022, 11, 5028. [Google Scholar] [CrossRef]
- Chen, X.J.; Zhang, J.; Li, W.D.; Lian, B.; Guo, H.M. Interpretation on Expert systematic review on the choice of conduits for coronary artery bypass grafting endorsed by the European Association for Cardio-Thoracic Surgery and the Society of Thoracic Surgeons in 2023. Zhonghua Wai Ke Za Zhi 2023, 62, 45–49. (In Chinese) [Google Scholar] [CrossRef]
- Kopjar, T.; Dashwood, M.R. Towards Endoscopic No-Touch Saphenous Vein Graft Harvesting in Coronary Bypass Surgery. Braz. J. Cardiovasc. Surg. 2022, 37, 57–65. [Google Scholar] [CrossRef]
- Ketenciler, S.; Boyacıoğlu, K.; Akdemir, İ.; Kömürcü, G.; Polat, A. Autologous Saphenous Vein Panel Graft for Vascular Reconstruction. Ann. Vasc. Surg. 2018, 53, 117–122. [Google Scholar] [CrossRef]
- Neufang, A.; Espinola-Klein, C.; Savvidis, S.; Schmiedt, W.; Poplawski, A.; Vahl, C.F.; Dorweiler, B. External polytetrafluoroethylene reinforcement of varicose autologous vein grafts in peripheral bypass surgery produces durable bypass function. J. Vasc. Surg. 2018, 67, 1778–1787. [Google Scholar] [CrossRef] [PubMed]
- Mahmoud, S.A.; Widrich, J. Endoscopic Vein Harvesting. In StatPearls; StatPearls Publishing: Treasure Island, FL, USA, 2023. [Google Scholar]
- Lee, J.Y.; Pedula, K.L.; Berkley, T.O.; McNevin, K.P.; Chen, J.C. Vein Morphology in Endoscopic Vein Harvesting: 15-Year Outcomes. Innovations 2023, 18, 459–465. [Google Scholar] [CrossRef] [PubMed]
- Lim, C.S.; Davies, A.H. Pathogenesis of primary varicose veins. Br. J. Surg. 2009, 96, 1231–1242. [Google Scholar] [CrossRef] [PubMed]
- Birdina, J.; Pilmane, M.; Ligers, A. The Morphofunctional Changes in the Wall of Varicose Veins. Ann. Vasc. Surg. 2017, 42, 274–284. [Google Scholar] [CrossRef] [PubMed]
- Poredos, P.; Kozak, M.; Antignani, P.L.; Jezovnik, M.K. From varicose veins to venous thromboembolic events. Int. Angiol. 2023, 42, 254–259. [Google Scholar] [CrossRef]
- Matei, S.C.; Matei, M.; Anghel, F.M.; Carabenciov, E.; Murariu, M.S.; Olariu, S. Utility of routine laboratory tests in the assessment of chronic venous disease progression in female patients. Exp. Ther. Med. 2022, 24, 571. [Google Scholar] [CrossRef]
- Murad, H. Saphenous Vein Graft Stenosis. Arq. Bras. Cardiol. 2020, 115, 545–546. [Google Scholar] [CrossRef]
- Nakamura, R.; Honda, K.; Kunimoto, H.; Fujimoto, T.; Agematsu, K.; Nishimura, Y. Impact of Graft Velocity on Saphenous Vein Graft Atherosclerosis after Coronary Artery Bypass Grafting. Ann. Thorac. Cardiovasc. Surg. 2023, 30, oa.23-00066. [Google Scholar] [CrossRef]
- Chen, H.; Wang, Z.; Si, K.; Wu, X.; Ni, H.; Tang, Y.; Liu, W.; Wang, Z. External stenting for saphenous vein grafts in coronary artery bypass grafting: A meta-analysis. Eur. J. Clin. Investig. 2023, 53, e14046. [Google Scholar] [CrossRef] [PubMed]
- Dumitru, C.S.; Raica, M. Vascular Endothelial Growth Factor Family and Head and Neck Squamous Cell Carcinoma. Anti-cancer Res. 2023, 43, 4315–4326. [Google Scholar] [CrossRef] [PubMed]
- Dumitru, C.S.; Ceausu, A.R.; Comsa, S.; Raica, M. Loss of E-Cadherin Expression Correlates with Ki-67 in Head and NeckSquamous Cell Carcinoma. In Vivo 2022, 36, 1150–1154. [Google Scholar] [CrossRef] [PubMed]
- Dumitru, C.S.; Ceausu, A.R.; Gaje, N.P.; Suciu, C.S.; Raica, M. Proliferating Lymphatic Endothelial Cells as a Prognostic Marker in Head and Neck Squamous Cell Carcinoma. Int. J. Mol. Sci. 2022, 23, 9793. [Google Scholar] [CrossRef] [PubMed]




| Parameter | Control Group, n = 76 Mean ± SD | Study Group, n = 102 Mean ± SD | p-Value | |
|---|---|---|---|---|
| Type of surgery | open saphenous vein harvest n = 76 | phlebectomies n = 7 | conventional saphenectomy n = 95 | |
| Age | 63.592 ± 9.950 | 55.686 ± 7.900 | 0.297 | |
| BMI | 28.616 ± 4.348 | 28.276 ± 4.169 | 0.598 | |
| Morphological examination of veins | ||||
| Maximum venous diameter (cm) | 0.523 ± 0.110 | 0.680 ± 0.314 | 0.0002 | |
| Wall thickness (cm) | 0.138 ± 0.092 | 0.206 ± 0.121 | 0.014 | |
| Thickening of TI | 0.078 ± 0.271 | 0.500 ± 0.502 | 0.0001 | |
| Thickening of TM | 0.197 ± 0.400 | 0.843 ± 0.365 | 0.0001 | |
| Disorganized smooth muscle bundles | 0.157 ± 0.367 | 0.519 ± 0.502 | 0.005 | |
| Fragmentation of elastic fibers in TM | 0.0263 ± 0.161 | 0.372 ± 0.485 | 0.0001 | |
| Collagen increased in TA | 0.223 ± 0.419 | 0.196 ± 0.399 | 0.655 | |
| Absence of vasa vasorum in TA | 0.000 | 0.0490 ± 0.217 | 0.050 | |
Disclaimer/Publisher’s Note: The statements, opinions and data contained in all publications are solely those of the individual author(s) and contributor(s) and not of MDPI and/or the editor(s). MDPI and/or the editor(s) disclaim responsibility for any injury to people or property resulting from any ideas, methods, instructions or products referred to in the content. |
© 2024 by the authors. Licensee MDPI, Basel, Switzerland. This article is an open access article distributed under the terms and conditions of the Creative Commons Attribution (CC BY) license (https://creativecommons.org/licenses/by/4.0/).
Share and Cite
Părău, A.F.; Manzur, A.R.; Mihaicuta, S.; Petrache, I.A. The Controversy of Using Insufficient Great Saphenous Veins in Coronary Artery Bypass Grafting: A Comparative Morphological Analysis of Healthy and Insufficient Veins Related to the Possibility of Using Them as a Graft. Biomedicines 2024, 12, 476. https://doi.org/10.3390/biomedicines12030476
Părău AF, Manzur AR, Mihaicuta S, Petrache IA. The Controversy of Using Insufficient Great Saphenous Veins in Coronary Artery Bypass Grafting: A Comparative Morphological Analysis of Healthy and Insufficient Veins Related to the Possibility of Using Them as a Graft. Biomedicines. 2024; 12(3):476. https://doi.org/10.3390/biomedicines12030476
Chicago/Turabian StylePărău, Andrei Florin, Andrei Raul Manzur, Stefan Mihaicuta, and Ioan Adrian Petrache. 2024. "The Controversy of Using Insufficient Great Saphenous Veins in Coronary Artery Bypass Grafting: A Comparative Morphological Analysis of Healthy and Insufficient Veins Related to the Possibility of Using Them as a Graft" Biomedicines 12, no. 3: 476. https://doi.org/10.3390/biomedicines12030476
APA StylePărău, A. F., Manzur, A. R., Mihaicuta, S., & Petrache, I. A. (2024). The Controversy of Using Insufficient Great Saphenous Veins in Coronary Artery Bypass Grafting: A Comparative Morphological Analysis of Healthy and Insufficient Veins Related to the Possibility of Using Them as a Graft. Biomedicines, 12(3), 476. https://doi.org/10.3390/biomedicines12030476

