Comparative Analysis of Extracorporeal Shockwave Therapy, Bisphosphonate, and Wharton Jelly-Derived Mesenchymal Stem Cells in Preserving Bone and Cartilage Integrity and Modulating IL31, IL33, and BMP2 in the Cartilage of Ovariectomized Rat Model
Abstract
1. Introduction
2. Materials and Methods
2.1. The Animals
2.2. Wharton Jelly-Derived Mesenchymal Stem Cells and Cell Identification
2.3. Establishment of the Animal Model and ESWT Application
2.4. Sample Collection
2.5. Micro-CT Scan
2.6. Histomorphological Examination and Femoral and Tibial Bone Histopathology
2.7. Immunohistochemistry
2.8. Enzyme-Linked Immunosorbent Assay
2.9. Statistical Analysis
3. Results
3.1. ESWT, Aclasta, and WJMSC Modulated the Expression of IL31, IL33, VEGF, and BMP2 in the Serum of OVX Rats
3.2. Micro-CT Analysis Shows Bone Recovery After ESWT, Aclasta, and WJMSC Treatments in the OVX Rats
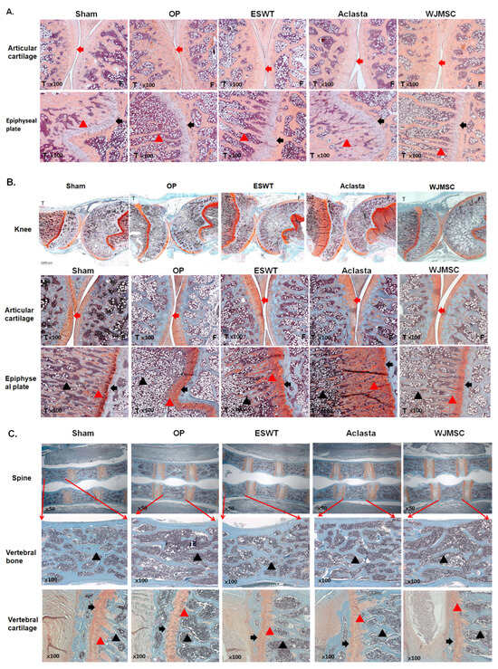
3.3. ESWT, Aclasta, and WJMSC Protected the Degeneration of Articular Cartilage, Cancellous Bone, Epiphyseal Plate, Vertebral Cartilage, and Bone in OVX Rats
3.4. ESWT, Aclasta, and WJMSC Modulated the Expression of Bone Remodeling-Related Cytokines in the Articular Cartilage and Epiphyseal Plate of OVX Rats
3.5. ESWT, Aclasta, and WJMSC Stabilised BMP2 Expression to Protect Articular Cartilage, Cancellous Bone, and the Epiphyseal Plate in the OVX Rat Knee
3.6. ESWT, Aclasta, and WJMSC Modulated the Expression of IL31, IL33, ST2, and BMP2 in the Vertebral Cartilage of OVX Rats
4. Discussion
5. Conclusions
Supplementary Materials
Author Contributions
Funding
Institutional Review Board Statement
Informed Consent Statement
Data Availability Statement
Acknowledgments
Conflicts of Interest
References
- Barnsley, J.; Buckland, G.; Chan, P.E.; Ong, A.; Ramos, A.S.; Baxter, M.; Laskou, F.; Dennison, E.M.; Cooper, C.; Patel, H.P. Pathophysiology and treatment of osteoporosis: Challenges for clinical practice in older people. Aging Clin. Exp. Res. 2021, 33, 759–773. [Google Scholar] [CrossRef] [PubMed]
- Society, N.A.M. Management of osteoporosis in postmenopausal women: The 2021 position statement of The North American Menopause Society. Menopause 2021, 28, 973–997. [Google Scholar] [CrossRef]
- Chitra, V.; Sharon, S.E. Diagnosis, Screening and Treatment of Osteoporosis—A Review. Biomed. Pharmacol. J. 2021, 14, 567–575. [Google Scholar] [CrossRef]
- Benedetti, M.G.; Furlini, G.; Zati, A.; Letizia Mauro, G. The Effectiveness of Physical Exercise on Bone Density in Osteoporotic Patients. BioMed Res. Int. 2018, 2018, 840531. [Google Scholar] [CrossRef] [PubMed]
- Li, S.-S.; He, S.-H.; Xie, P.-Y.; Li, W.; Zhang, X.-X.; Li, T.-F.; Li, D.-F. Recent Progresses in the Treatment of Osteoporosis. Front. Pharmacol. 2021, 12, 717065. [Google Scholar] [CrossRef] [PubMed]
- Simas, V.; Hing, W.; Pope, R.; Climstein, M. Effects of water-based exercise on bone health of middle-aged and older adults: A systematic review and meta-analysis. Open Access J. Sports Med. 2017, 8, 39–60. [Google Scholar] [CrossRef]
- Inoue, S.; Hatakeyama, J.; Aoki, H.; Kuroki, H.; Niikura, T.; Oe, K.; Fukui, T.; Kuroda, R.; Akisue, T.; Moriyama, H. Utilization of Mechanical Stress to Treat Osteoporosis: The Effects of Electrical Stimulation, Radial Extracorporeal Shock Wave, and Ultrasound on Experimental Osteoporosis in Ovariectomized Rats. Calcif. Tissue Int. 2021, 109, 215–229. [Google Scholar] [CrossRef]
- Türker, M. Histological and biomechanical effects of zoledronate on fracture healing in an osteoporotic rat tibia model. Jt. Dis. Relat. Surg. 2016, 27, 9–15. [Google Scholar] [CrossRef]
- Kim, B.; Cho, Y.; Lim, W. Osteoporosis therapies and their mechanisms of action (Review). Exp. Ther. Med. 2021, 22, 1379. [Google Scholar] [CrossRef]
- Bi, H.; Chen, X.; Gao, S.; Yu, X.; Xiao, J.; Zhang, B.; Liu, X.; Dai, M. Key Triggers of Osteoclast-Related Diseases and Available Strategies for Targeted Therapies: A Review. Front. Med. 2017, 4, 234. [Google Scholar] [CrossRef]
- Foger-Samwald, U.; Dovjak, P.; Azizi-Semrad, U.; Kerschan-Schindl, K.; Pietschmann, P. Osteoporosis: Pathophysiology and therapeutic options. EXCLI J. 2020, 19, 1017–1037. [Google Scholar] [CrossRef] [PubMed]
- Dalle Carbonare, L.; Mirko, Z.; Adriano, G.; Maria Teresa, V. Safety and tolerability of zoledronic acid and other bisphosphonates in osteoporosis management. Drug Healthc. Patient Saf. 2010, 2, 121–137. [Google Scholar] [CrossRef] [PubMed]
- Tawaratsumida, H.; Iuchi, T.; Masuda, Y.; Ide, T.; Maesako, S.; Miyazaki, T.; Ijuin, T.; Maeda, S.; Taniguchi, N. Zoledronate alleviates subchondral bone collapse and articular cartilage degeneration in a rat model of rotator cuff tear arthropathy. Osteoarthr. Cartil. 2024. [Google Scholar] [CrossRef] [PubMed]
- Kim, D.-W.; Staples, M.; Shinozuka, K.; Pantcheva, P.; Kang, S.-D.; Borlongan, C. Wharton’s Jelly-Derived Mesenchymal Stem Cells: Phenotypic Characterization and Optimizing Their Therapeutic Potential for Clinical Applications. Int. J. Mol. Sci. 2013, 14, 11692–11712. [Google Scholar] [CrossRef] [PubMed]
- Le Blanc, K.; Davies, L.C. Mesenchymal stromal cells and the innate immune response. Immunol. Lett. 2015, 168, 140–146. [Google Scholar] [CrossRef]
- Weiss, M.L.; Anderson, C.; Medicetty, S.; Seshareddy, K.B.; Weiss, R.J.; VanderWerff, I.; Troyer, D.; McIntosh, K.R. Immune Properties of Human Umbilical Cord Wharton’s Jelly-Derived Cells. Stem Cells 2008, 26, 2865–2874. [Google Scholar] [CrossRef]
- Li, X.; Bai, J.; Ji, X.; Li, R.; Xuan, Y.; Wang, Y. Comprehensive characterization of four different populations of human mesenchymal stem cells as regards their immune properties, proliferation and differentiation. Int. J. Mol. Med. 2014, 34, 695–704. [Google Scholar] [CrossRef]
- Bongso, A.; Fong, C.-Y. The Therapeutic Potential, Challenges and Future Clinical Directions of Stem Cells from the Wharton’s Jelly of the Human Umbilical Cord. Stem Cell Rev. Rep. 2012, 9, 226–240. [Google Scholar] [CrossRef]
- Liau, L.L.; Ruszymah, B.H.I.; Ng, M.H.; Law, J.X. Characteristics and clinical applications of Wharton’s jelly-derived mesenchymal stromal cells. Curr. Res. Transl. Med. 2020, 68, 5–16. [Google Scholar] [CrossRef]
- De Windt, T.S.; Vonk, L.A.; Slaper-Cortenbach, I.C.M.; van den Broek, M.P.H.; Nizak, R.; van Rijen, M.H.P.; de Weger, R.A.; Dhert, W.J.A.; Saris, D.B.F. Allogeneic Mesenchymal Stem Cells Stimulate Cartilage Regeneration and Are Safe for Single-Stage Cartilage Repair in Humans upon Mixture with Recycled Autologous Chondrons. Stem Cells 2017, 35, 256–264. [Google Scholar] [CrossRef]
- Chen, H.; Zhang, N.; Li, T.; Guo, J.; Wang, Z.; Yang, M.; Gao, L. Human umbilical cord Wharton’s jelly stem cells: Immune property genes assay and effect of transplantation on the immune cells of heart failure patients. Cell. Immunol. 2012, 276, 83–90. [Google Scholar] [CrossRef] [PubMed]
- Fu, Y.-S.; Lu, C.-H.; Chu, K.-A.; Yeh, C.-C.; Chiang, T.-L.; Ko, T.-L.; Chiu, M.-M.; Chen, C.-F. Xenograft of Human Umbilical Mesenchymal Stem Cells from Wharton’s Jelly Differentiating into Osteocytes and Reducing Osteoclast Activity Reverses Osteoporosis in Ovariectomized Rats. Cell Transplant. 2018, 27, 194–208. [Google Scholar] [CrossRef] [PubMed]
- Phetfong, J.; Sanvoranart, T.; Nartprayut, K.; Nimsanor, N.; Seenprachawong, K.; Prachayasittikul, V.; Supokawej, A. Osteoporosis: The current status of mesenchymal stem cell-based therapy. Cell. Mol. Biol. Lett. 2016, 21, 12. [Google Scholar] [CrossRef] [PubMed]
- De Martinis, M.; Sirufo, M.M.; Suppa, M.; Ginaldi, L. IL-33/IL-31 Axis in Osteoporosis. Int. J. Mol. Sci. 2020, 21, 1239. [Google Scholar] [CrossRef]
- Moya, D.; Ramón, S.; Schaden, W.; Wang, C.-J.; Guiloff, L.; Cheng, J.-H. The Role of Extracorporeal Shockwave Treatment in Musculoskeletal Disorders. J. Bone Jt. Surg. 2018, 100, 251–263. [Google Scholar] [CrossRef]
- Auersperg, V.; Trieb, K. Extracorporeal shock wave therapy: An update. EFORT Open Rev. 2020, 5, 584–592. [Google Scholar] [CrossRef]
- Hsu, C.-C.; Cheng, J.-H.; Wang, C.-J.; Ko, J.-Y.; Hsu, S.-L.; Hsu, T.-C. Shockwave Therapy Combined with Autologous Adipose-Derived Mesenchymal Stem Cells Is Better than with Human Umbilical Cord Wharton’s Jelly-Derived Mesenchymal Stem Cells on Knee Osteoarthritis. Int. J. Mol. Sci. 2020, 21, 1217. [Google Scholar] [CrossRef]
- Li, B.; Wang, R.; Huang, X.; Ou, Y.; Jia, Z.; Lin, S.; Zhang, Y.; Xia, H.; Chen, B. Extracorporeal Shock Wave Therapy Promotes Osteogenic Differentiation in a Rabbit Osteoporosis Model. Front. Endocrinol. 2021, 12, 627718. [Google Scholar] [CrossRef]
- Wang, C.J.; Yang, Y.J.; Huang, C.C. The effects of shockwave on systemic concentrations of nitric oxide level, angiogenesis and osteogenesis factors in hip necrosis. Rheumatol. Int. 2011, 31, 871–877. [Google Scholar] [CrossRef]
- Wolfl, C.; Schuster, L.; Honer, B.; Englert, S.; Klein, R.; Hirche, C.; Munzberg, M.; Grutzner, P.A.; Kneser, U.; Harhaus, L. Influence of extracorporeal shock wave therapy (ESWT) on bone turnover markers in organisms with normal and low bone mineral density during fracture healing: A randomized clinical trial. GMS Interdiscip. Plast. Reconstr. Surg. DGPW 2017, 6, Doc17. [Google Scholar] [CrossRef]
- D’Agostino, M.C.; Craig, K.; Tibalt, E.; Respizzi, S. Shock wave as biological therapeutic tool: From mechanical stimulation to recovery and healing, through mechanotransduction. Int. J. Surg. 2015, 24, 147–153. [Google Scholar] [CrossRef] [PubMed]
- Kilkenny, C.; Browne, W.J.; Cuthill, I.C.; Emerson, M.; Altman, D.G. Improving Bioscience Research Reporting: The ARRIVE Guidelines for Reporting Animal Research. PLoS Biol. 2010, 8, 94–99. [Google Scholar] [CrossRef] [PubMed]
- Burguera, B.; Hofbauer, L.C.; Thomas, T.; Gori, F.; Evans, G.L.; Khosla, S.; Riggs, B.L.; Turner, R.T. Leptin Reduces Ovariectomy-Induced Bone Loss in Rats. Endocrinology 2001, 142, 3546–3553. [Google Scholar] [CrossRef] [PubMed][Green Version]
- Gronthos, S.; Huang, S.; Xu, L.; Sun, Y.; Lin, S.; Gu, W.; Liu, Y.; Zhang, J.; Chen, L.; Li, G. Systemic Administration of Allogeneic Mesenchymal Stem Cells Does Not Halt Osteoporotic Bone Loss in Ovariectomized Rats. PLoS ONE 2016, 11, e0163131. [Google Scholar] [CrossRef]
- Liu, K.; Meng, C.-X.; Lv, Z.-Y.; Zhang, Y.-J.; Li, J.; Li, K.-Y.; Liu, F.-Z.; Zhang, B.; Cui, F.-Z. Enhancement of BMP-2 and VEGF carried by mineralized collagen for mandibular bone regeneration. Regen. Biomater. 2020, 7, 435–440. [Google Scholar] [CrossRef]
- Rady, A.A.M.; Hamdy, S.M.; Abdel-Hamid, M.A.; Hegazy, M.G.A.; Fathy, S.A.; Mostafa, A.A. The role of VEGF and BMP-2 in stimulation of bone healing with using hybrid bio-composite scaffolds coated implants in animal model. Bull. Natl. Res. Cent. 2020, 44, 131. [Google Scholar] [CrossRef]
- Grosso, A.; Burger, M.G.; Lunger, A.; Schaefer, D.J.; Banfi, A.; Di Maggio, N. It Takes Two to Tango: Coupling of Angiogenesis and Osteogenesis for Bone Regeneration. Front. Bioeng. Biotechnol. 2017, 5, 68. [Google Scholar] [CrossRef]
- Bellone, F.; Catalano, A.; Sottile, A.R.; Gaudio, A.; Loddo, S.; Corica, F.; Morabito, N. Early Changes of VEGF Levels After Zoledronic Acid in Women With Postmenopausal Osteoporosis: A Potential Role of Vitamin D. Front. Med. 2021, 8, 748438. [Google Scholar] [CrossRef]
- Simplicio, C.L.; Purita, J.; Murrell, W.; Santos, G.S.; dos Santos, R.G.; Lana, J.F.S.D. Extracorporeal shock wave therapy mechanisms in musculoskeletal regenerative medicine. J. Clin. Orthop. Trauma 2020, 11, S309–S318. [Google Scholar] [CrossRef]
- Kang, B.-J.; Ryu, H.-H.; Park, S.S.; Koyama, Y.; Kikuchi, M.; Woo, H.-M.; Kim, W.H.; Kweon, O.-K. Comparing the osteogenic potential of canine mesenchymal stem cells derived from adipose tissues, bone marrow, umbilical cord blood, and Wharton’s jelly for treating bone defects. J. Vet. Sci. 2012, 13, 299–310. [Google Scholar] [CrossRef]
- Wang, C. Efficacy and Safety of Zoledronic Acid for Treatment of Postmenopausal Osteoporosis: A Meta-Analysis of Randomized Controlled Trials. Am. J. Ther. 2017, 24, e544–e552. [Google Scholar] [CrossRef] [PubMed]
- Wang, B.; Zhan, Y.; Yan, L.; Hao, D. How zoledronic acid improves osteoporosis by acting on osteoclasts. Front. Pharmacol. 2022, 13, 961941. [Google Scholar] [CrossRef] [PubMed]
- Shim, J.; Kim, K.-T.; Kim, K.G.; Choi, U.-Y.; Kyung, J.W.; Sohn, S.; Lim, S.H.; Choi, H.; Ahn, T.-K.; Choi, H.J.; et al. Safety and efficacy of Wharton’s jelly-derived mesenchymal stem cells with teriparatide for osteoporotic vertebral fractures: A phase I/IIa study. Stem Cells Transl. Med. 2021, 10, 554–567. [Google Scholar] [CrossRef] [PubMed]
- Ansari, A.S.; Yazid, M.D.; Sainik, N.Q.A.V.; Razali, R.A.; Saim, A.B.; Idrus, R.B.H. Osteogenic Induction of Wharton’s Jelly-Derived Mesenchymal Stem Cell for Bone Regeneration: A Systematic Review. Stem Cells Int. 2018, 2018, 2406462. [Google Scholar] [CrossRef]
- Shi, L.; Gao, F.; Sun, W.; Wang, B.; Guo, W.; Cheng, L.; Li, Z.; Wang, W. Short-term effects of extracorporeal shock wave therapy on bone mineral density in postmenopausal osteoporotic patients. Osteoporos. Int. 2017, 28, 2945–2953. [Google Scholar] [CrossRef]
- He, B.; Zhao, J.Q.; Zhang, M.Z.; Quan, Z.X. Zoledronic acid and fracture risk: A meta-analysis of 12 randomized controlled trials. Eur. Rev. Med. Pharmacol. Sci. 2021, 25, 1564–1573. [Google Scholar] [CrossRef]
- Greear, E.L.; Bankole, A. Zoledronate. In StatPearls; StatPearls Publishing: Treasure Island, FL, USA, 2023. [Google Scholar]
- Okragly, A.J.; Hamang, M.J.; Pena, E.A.; Baker, H.E.; Bullock, H.A.; Lucchesi, J.; Martin, A.P.; Ma, Y.L.; Benschop, R.J. Elevated levels of Interleukin (IL)-33 induce bone pathology but absence of IL-33 does not negatively impact normal bone homeostasis. Cytokine 2016, 79, 66–73. [Google Scholar] [CrossRef]
- Miller, A.M. Role of IL-33 in inflammation and disease. J. Inflamm. 2011, 8, 22. [Google Scholar] [CrossRef]
- Wang, T.; He, C. TNF-α and IL-6: The Link between Immune and Bone System. Curr. Drug Targets 2020, 21, 213–227. [Google Scholar] [CrossRef]
- Murdaca, G.; Greco, M.; Tonacci, A.; Negrini, S.; Borro, M.; Puppo, F.; Gangemi, S. IL-33/IL-31 Axis in Immune-Mediated and Allergic Diseases. Int. J. Mol. Sci. 2019, 20, 5856. [Google Scholar] [CrossRef]
- He, Z.; Song, Y.; Yi, Y.; Qiu, F.; Wang, J.; Li, J.; Jin, Q.; Sacitharan, P.K. Blockade of IL-33 signalling attenuates osteoarthritis. Clin. Transl. Immunol. 2020, 9, e1185. [Google Scholar] [CrossRef] [PubMed]
- Chan, A.M.L.; Ng, A.M.H.; Mohd Yunus, M.H.; Hj Idrus, R.B.; Law, J.X.; Yazid, M.D.; Chin, K.-Y.; Shamsuddin, S.A.; Mohd Yusof, M.R.; Razali, R.A.; et al. Safety study of allogeneic mesenchymal stem cell therapy in animal model. Regen. Ther. 2022, 19, 158–165. [Google Scholar] [CrossRef] [PubMed]







| Groups | Sham | OP | ESWT | Aclasta | WJMSC | |
|---|---|---|---|---|---|---|
| Biomarkers | ||||||
| IL31 (pg/mL) | 87 ± 1.2 ** | 102 ± 2.2 | 85 ± 3.6 ** | 97 ± 0.9 # | 92 ± 3.4 * | |
| IL33 (pg/mL) | 48 ± 3.4 * | 56 ± 0.9 | 51 ± 1.7 * | 51 ± 1.7 * | 56 ± 1.7 # | |
| VEGF (pg/mL) | 279 ± 12.3 *** | 232 ± 2.4 | 247 ± 5.6 * | 263 ± 4.8 ***/# | 271 ± 3.6 ***/# | |
| BMP2 (pg/mL) | 102 ± 6.4 * | 73 ± 6.9 | 91 ± 3.6 * | 105 ± 6.5 ** | 111 ± 8.6 ** | |
| Micro-CT Data | Tibia | ||||
|---|---|---|---|---|---|
| Limbs | Left | ||||
| Groups | Sham | OP | ESWT | Aclasta | WJMSC |
| BV/TV (%) | 50.722 ± 1.316 *** | 21.988 ± 1.573 | 26.764 ± 1.095 * | 37.227 ± 0.566 ***# | 27.501 ± 1.349 * |
| Trabecular thickness (mm) | 0.0841 ± 0.002 ** | 0.0963 ± 0.0029 | 0.0886 ± 0.0009 * | 0.0849 ± 0.0012 ** | 0.0903 ± 0.0017 |
| Trabecular number (mm) | 5.903 ± 0.226 *** | 2.312 ± 0.199 | 2.957 ± 0.094 * | 4.522 ± 0.107 ***# | 3.013 ± 0.168 * |
| BMD (g/cm3) | 0.4933 ± 0.024 *** | 0.0048 ± 0.011 | 0.0847 ± 0.012 ** | 0.226 ± 0.014 ***### | 0.082 ± 0.014 ** |
| Limbs | Right | ||||
| Groups | Sham | OP | ESWT | Aclasta | WJMSC |
| BV/TV (%) | 50.506 ± 1.452 *** | 20.965 ± 1.449 | 28.281 ± 1.091 * | 37.482 ± 0.801 ***# | 27.885 ± 1.267 * |
| Trabecular thickness (mm) | 0.0876 ± 0.0013 ** | 0.0989 ± 0.0027 | 0.0912 ± 0.0007 * | 0.0847 ± 0.0009 *** | 0.0928 ± 0.0013 |
| Trabecular number (mm) | 5.683 ± 0.189 *** | 2.138 ± 0.137 | 3.085 ± 0.110 * | 4.399 ± 0.097 ***# | 2.947 ± 0.151 * |
| BMD (g/cm3) | 0.465 ± 0.027 *** | 0.023 ± 0.018 | 0.098 ± 0.010 * | 0.236 ± 0.016 ***### | 0.091 ± 0.016 * |
| Micro-CT data | Femur | ||||
| Limbs | Left | ||||
| Groups | Sham | OP | ESWT | Aclasta | WJMSC |
| BV/TV (%) | 50.705 ± 0.617 *** | 28.153 ± 2.650 | 31.867 ± 0.826 | 41.085 ± 0.931 **# | 32.599 ± 0.856 |
| Trabecular thickness (mm) | 0.095 ± 0.002 * | 0.108 ± 0.004 | 0.099 ± 0.001 | 0.108 ± 0.001 | 0.104 ± 0.002 |
| Trabecular number (mm) | 5.449 ± 0.103 *** | 2.586 ± 0.209 | 3.141 ± 0.053 * | 3.947 ± 0.083 *** | 3.328 ± 0.079 * |
| BMD (g/cm3) | 0.595 ± 0.025 *** | 0.089 ± 0.025 | 0.175 ± 0.014 * | 0.337 ± 0.007 ***# | 0.196 ± 0.016 * |
| Limbs | Right | ||||
| Groups | Sham | OP | ESWT | Aclasta | WJMSC |
| BV/TV (%) | 48.958 ± 0.684 *** | 30.426 ± 3.172 | 33.241 ± 0.718 | 42.533 ± 0.432 *# | 34.240 ± 1.049 |
| Trabecular thickness (mm) | 0.092 ± 0.002 | 0.115 ± 0.004 | 0.101 ± 0.001 | 0.107 ± 0.000 | 0.105 ± 0.002 |
| Trabecular number (mm) | 5.413 ± 0.125 *** | 2.632 ± 0.222 | 3.334 ± 0.028 * | 4.023 ± 0.061 ***# | 3.191 ± 0.079 * |
| BMD (g/cm3) | 0.578 ± 0.023 *** | 0.094 ± 0.021 | 0.183 ± 0.011 * | 0.352 ± 0.008 **# | 0.204 ± 0.015 * |
| Micro-CT data | Spine (T7) | ||||
| Groups | Sham | OP | ESWT | Aclasta | WJMSC |
| BV/TV (%) | 49.425 ± 1.447 ** | 37.188 ± 1.384 | 40.869 ± 1.555 * | 43.727 ± 1.104 *# | 37.039 ± 1.693 |
| Trabecular thickness (mm) | 0.110 ± 0.003 | 0.107 ± 0.002 | 0.109 ± 0.003 * | 0.110 ± 0.003 * | 0.110 ± 0.003 * |
| Trabecular number (mm) | 4.499 ± 0.044 ** | 3.476 ± 0.125 | 3.731 ± 0.149 * | 3.976 ± 0.138 * | 3.364 ± 0.102 |
| BMD (g/cm3) | 0.314 ± 0.012 *** | 0.195 ± 0.011 | 0.253 ± 0.014 *** | 0.266 ± 0.011 *** | 0.227 ± 0.014 *** |
Disclaimer/Publisher’s Note: The statements, opinions and data contained in all publications are solely those of the individual author(s) and contributor(s) and not of MDPI and/or the editor(s). MDPI and/or the editor(s) disclaim responsibility for any injury to people or property resulting from any ideas, methods, instructions or products referred to in the content. |
© 2024 by the authors. Licensee MDPI, Basel, Switzerland. This article is an open access article distributed under the terms and conditions of the Creative Commons Attribution (CC BY) license (https://creativecommons.org/licenses/by/4.0/).
Share and Cite
Cheng, J.-H.; Chen, C.-W.; Chou, W.-Y.; Chen, P.-C.; Wu, K.-T.; Jhan, S.-W.; Hsu, S.-L.; Wu, Y.-N.; Chen, H.-T. Comparative Analysis of Extracorporeal Shockwave Therapy, Bisphosphonate, and Wharton Jelly-Derived Mesenchymal Stem Cells in Preserving Bone and Cartilage Integrity and Modulating IL31, IL33, and BMP2 in the Cartilage of Ovariectomized Rat Model. Biomedicines 2024, 12, 2823. https://doi.org/10.3390/biomedicines12122823
Cheng J-H, Chen C-W, Chou W-Y, Chen P-C, Wu K-T, Jhan S-W, Hsu S-L, Wu Y-N, Chen H-T. Comparative Analysis of Extracorporeal Shockwave Therapy, Bisphosphonate, and Wharton Jelly-Derived Mesenchymal Stem Cells in Preserving Bone and Cartilage Integrity and Modulating IL31, IL33, and BMP2 in the Cartilage of Ovariectomized Rat Model. Biomedicines. 2024; 12(12):2823. https://doi.org/10.3390/biomedicines12122823
Chicago/Turabian StyleCheng, Jai-Hong, Cheng-Wei Chen, Wen-Yi Chou, Po-Cheng Chen, Kuan-Ting Wu, Shun-Wun Jhan, Shan-Ling Hsu, Yi-No Wu, and Hou-Tsung Chen. 2024. "Comparative Analysis of Extracorporeal Shockwave Therapy, Bisphosphonate, and Wharton Jelly-Derived Mesenchymal Stem Cells in Preserving Bone and Cartilage Integrity and Modulating IL31, IL33, and BMP2 in the Cartilage of Ovariectomized Rat Model" Biomedicines 12, no. 12: 2823. https://doi.org/10.3390/biomedicines12122823
APA StyleCheng, J.-H., Chen, C.-W., Chou, W.-Y., Chen, P.-C., Wu, K.-T., Jhan, S.-W., Hsu, S.-L., Wu, Y.-N., & Chen, H.-T. (2024). Comparative Analysis of Extracorporeal Shockwave Therapy, Bisphosphonate, and Wharton Jelly-Derived Mesenchymal Stem Cells in Preserving Bone and Cartilage Integrity and Modulating IL31, IL33, and BMP2 in the Cartilage of Ovariectomized Rat Model. Biomedicines, 12(12), 2823. https://doi.org/10.3390/biomedicines12122823

