Abstract
A study of the morphofunctional condition of mice with transplantable melanoma B16 under the influence of a normal daylight regime, constant lighting and constant darkness was conducted. It was shown that exposure to constant lighting leads to intensification of the proliferation of melanoma cells, more significant growth and spread of the tumor, the development of more pronounced secondary changes, the presence of perivascular growth and an increase in perineural invasion. At the same time, keeping of animals in constant darkness significantly reduced the intensity of the proliferative process in the tumor and lead to tumor regression in the absence of signs of lympho-, intravascular and intraneural invasion. Intergroup differences in tumor cell status were confirmed by the results of micromorphometric studies. It was also shown that the expression of clock genes was suppressed by an exposure to constant light, while an influence of constant darkness, on contrary, led to its intensification.
1. Introduction
Biological systems of all levels of organization are characterized by the rhythm of functioning processes, which is one of the fundamental properties of living matter. For various biological systems, rhythms with different periodicity are described: from fractions of a second to dozens of years. Circadian rhythms are one of the most significant types of biorhythms for mammals [1]. The set of CR biological processes in various organ systems forms a strictly coordinated ensemble, which is the chronostructure of the organism. The presence of this organized rhythmic structure of biological processes provides the necessary order for their flow and makes it possible to maintain the functioning of body systems at an optimal level [2], the violation of the circadian rhythm leads to the development of desynchronosis, which provokes the occurrence of pathologies [3].
The circadian structure of the body is a hierarchically organized complex and includes various structures, but a special place in the organization of the chronostructure of mammals belongs to the interaction of the suprachiasmatic nuclei of the hypothalamus with the pineal gland. The pineal gland acts as the most important circadian pacemaker and at the same time is the leading link for the implementation of circadian signals. The production of melatonin, the main hormone of pineal gland, shows clear daily periodism: production begins with the onset of the dark time of the day, reaches maximum values at midnight and is stopped by exposure to light [4].
At the molecular-genetic level, the biological clock includes the clock genes Bmal, Clock, the Per gene family and the Cry genes, as well as some other genes whose activity affects the above-mentioned key genes, or which are controlled by them [5,6,7,8,9].
Nighttime exposure to light, often called “light pollution”, has increased significantly and become an essential part of modern lifestyles, with consequences in the form of many severe disruptions in the behavior and health of individuals, including oncologic pathologies. Light exposure at dark times of day, which results in disturbances in endogenous circadian rhythmicity and suppresses nocturnal melatonin secretion in the pineal gland, is now considered a significant factor which could cause an increase in the number of developing neoplasms [10,11].
The number of studies showed an influence of night darkness deprivation on spontaneous tumorogenesis in some mammals [12,13,14,15]. It is well-known that constant lighting also has an activating effect for the development of chemically induced carcinogenesis in laboratory animals [16,17]. Likewise, an influence of constant lighting promotes the growth of transplanted tumors [18,19].
Melatonin, a hormone synthesized during the dark period mainly by the pineal gland of all vertebrates including mammals, which acts as an adapting signal to the light–dark cycle, is currently considered as a broad-spectrum adaptogen. Its antioxidant, antiaromatase, antiestrogen, direct intracellular anticarcinogenic and antimetastatic properties, the ability to stimulate antitumor immunity, participation in the regulation of oncogenes and suppressor genes, inhibitory properties in relation to tumorogenesis, metastasing and neoangiogenesis are described [20,21,22,23,24,25,26].
Skin melanoma is one of the most common malignant neoplasms with a dangerous and unpredictable clinical course. The rapid increase in the incidence of this disease is a global trend. The tumor is characterized by rapid growth and early formation of metastases spreading by lymphatic and hematogenous routes. Producing very wide spectrum of biologically active substances such as pituitary and hypothalamic hormones, enkephalins and catecholamines, melanomas affect homeostasis of an organism significantly to benefit the tumor at the expense of the host [27].
At the same time, the question of the dual role of melanin pigmentation of melanoma in the pathological process is very complicated. On the one hand, melanin pigment plays a crucial role in the skin protection against the injurious effects of environmental stressors such as ultraviolet radiation and other factors, and protects an organism against the development of different types of skin cancer; on the other hand, its presence may also be necessary for the malignant transformation of melanocytes. It is shown that melanogenesis by itself and its highly reactive intermediates show some cytotoxic, genotoxic, and mutagenic activities which can lead to melanoma progression and resistance to immunotherapy [28].
There are numerous pieces of evidence that melatonin deficiency and a violation of the structure of the circadian rhythms of an organism as a result of it are one of the factors causing the development of this pathology [29,30].
The MT1 receptor is widely distributed in most cells of mammalian skin in norm and pathology, including the keratinocytes, melanocytes, fibroblasts, squamous cell carcinoma and melanoma cells. MT2 receptors were also found both in normal and malignant melanocytes [31,32]. Melatonin is also a known to be a ligand for a retinoid-related orphan nuclear hormone receptor RZR/RORα. In addition, many physiological effects of melatonin are apparently associated with its interaction with intracellular proteins (calmodulin, calreticulin and tubulin), as well as with the fact that melatonin prevents the binding of Ca2+ to calmodulin [33]. It is described by a number of authors that loss of melatonin or its receptors due to dark deprivation leads to the development of pronounced oxidative stress in the skin, which may lead to an increase in the content of melanin in the cells of the skin and melanoma of the animals in conditions of constant lighting, since melanin exhibits antioxidant effects by scavenging free radicals, and may promote melanoma development and progression [34,35,36].
It is known that mammalian skin cells, including melanocytes, and melanoma cells do not only possess specific melatonin receptors, but are also a source of extrapineal melatonin themselves since it is synthesized and metabolized in them [37]. The content of extrapineal melatonin in the cells of both skin and melanoma increases during dark deprivation, but this increase is not sufficient to compensate for the deficiency in pineal melatonin [38]. It is also shown that this hormone inhibits melanoma growth in rodents and human due to its inhibitory effects on melanoma cell proliferation [39,40,41].
Melatonin has important antitumor actions, among which the antiproliferative effect stands out. Melatonin exerts an antiproliferative, oncostatic and anti-migrating effect on the melanoma model by interfering with the cytoskeleton organization, and also due to its inhibition of linoleic acid absorption [42,43,44,45].
The aim of our study was to investigate the influence of deprivation of darkness and light on parameters of growth intensity, morphological and immunohistochemical features of transplanted melanoma B16.
2. Materials and Methods
2.1. Experimental Objects
Eight-week-old male BDF1 hybrid mice (n = 75) of 21–22 g body weight, taken from USF «Vivarium and Animal Housing Group of Screening and Preclinical Studies Unit of Federal Research Center of Problem of Chemical Physics and Medicinal Chemistry RAS», were used in our study. A number of researchers consider BDF1 mice to be more suitable for studies of melatonin-mediated effects of light exposure on the organism in health and disease than C57BL6 mice, since the latter are characterized by defective melatonin production both in the pineal gland and in peripheral organs, including the skin [46,47].
Standard laboratory keeping of animals and all experimental exposures were made in concordance with the European Convention for the Protection of Vertebrate Animals used for Experimental and other Scientific Purposes (Strasbourg, 18 March 1986). The series of studies to which this work belongs was approved by the Bioethical Committee of the Federal State Budgetary Scientific Institution “Research Institute of Human Morphology”, proc No. 34 (10) (14 March 2022).
2.2. Study Design
Three equal groups of animals were used in the study.
Animals of the control group (n = 25) (control) were kept in conditions of a fixed light:dark regime using artificial lighting with fluorescent lamps (10:14 h, with light turned on at 8:00 and turned off at 18:00) (LD).
I experimental group (n = 25) underwent an influence of constant lighting (LL).
II experimental group (n = 25) underwent an influence of constant darkness (DD).
In accordance with the Russian sanitary standards for working premises lighting, light intensity per cage area unit made up 150 lux.
B16/F10 melanoma cell culture samples were obtained from N.N. Blokhin Russian Cancer Research Center (Moscow) and transplanted in the Experimental Tumor Chemotherapy Group of the Department of Kinetics of Chemical and Biological Processes, Institute of Problems of Chemical Physics of Russian Academy of Sciences (Chernogolovka). 0.5 mL samples of a suspension of tumor tissue of B16/F10 melanoma in medium 199 at a dilution of 1:10 by weight were subcutaneously injected to each animal in standard procedure, with use a 1.2 × 40 needle, into the area of the left flank closer to the back, after diethyl ether anesthesia [48,49,50,51,52].
A palpable tumor was detected on day 6 in animals exposed to constant illumination, and on day 7–8 in other groups.
Animal sacrifice by the method of cervical dislocation was made on the 15th day after melanoma transplantation with use of circadian time points at 9:00, 15:00, 21:00 and 03:00. Evisceration was carried out after euthanasia.
The measurements of tumor length, width and height were made, and the mass of animals and tumors was determined. Tumor volume was calculated by formula: V = π/6 × D1 × D2 × D3, where D1—length, D2—width, and D3—height of the tumor in centimeters.
2.3. Morphological and Morphometric Methods
Melanoma samples fixed in 10% neutral buffered formalin and underwent standard histological processing with final pouring into Histomix histological medium (BioVitrum, St. Petersburg, Russia) and preparation of serial sections of 5–6 μm thickness on sliding microtome Leica SM2010 R (Wetzlar, Germany). Staining of sections with hematoxylin and eosin was made in accordance with the standard histological technique [53]. Stained sections were fixed in BioMount mounting medium (BioVitrum, Russia).
Microscopic examination of melanoma preparations was made with use of Leica DM 2500 microscope and Leica DFC 290 digital camera (Germany). Karyo- and cytometry were carried out on 10 digital images of randomly selected visual fields taken from each studied preparation at a magnification of ×200, ×400 and ×1000. Fiji software package with appropriate plugins, a program built on the basis of ImageJ v2, was used for the implementation of morphometric studies [54]. Measurements of the cross-sectional area of the nuclei of cell (area of nuclei, Sn) and the cross-sectional area of the cell (area of cell, Scell) were carried out in micrometers after preliminary geometric calibration on an object-micrometer scale. Nuclear–cytoplasmic ratio of melanoma cells was calculated by the following formula: NCR = Sn/Sc, where: Sn is an area of nucleus of cell; Sc is an area of cytoplasm [55].
To determine the mitotic index, the number of mitotic figures and total count of melanoma cells per 1 mm2 cells was counted, results are represented as ppm (‰) [56].
2.4. Immunohistochemical Methods
For the setting of immunohistochemical tests, dewaxed melanoma sections were rehydrated and underwent 3% hydrogen peroxide solution treatment which blocked endogenous peroxidase activity. After unmasking of antigens by boiling the slides in citrate buffer (pH 6.0), the samples were placed into the «Ultra V Block» (Thermo Fisher Scientific, Waltham, MA, USA) solution; then the reactions with primary antibodies were performed [57]. Reactions with use of phosphate buffer solution instead of primary antibodies with served as controls.
List of used antibodies:
- PER2–Rabbit polyclonal (Cloud-Clone Corp., Houston, TX, USA), 1:200;
- BMAL1–Rabbit polyclonal (Cloud-Clone Corp., Houston, TX, USA), 1:200;
- Clock–Rabbit polyclonal (Cloud-Clone Corp., Houston, TX, USA), 1:200.
After processing, the sections were dehydrated in alcohols of ascending concentration and xylene in accordance with standard scheme and fixed with BioMount mounting medium (BioVitrum, St Petersburg, Russia).
The results of the immunohistochemical reaction were evaluated by the proportion of stained cells or cell nuclei (depending on the localization of the antigen) in relation to the total number of cells. Two investigators independently reviewed and evaluated samples, counting the number of cells showing characteristic staining. The percentage of stained cells was assessed in 4 fields of view at ×400 magnification. The expression of the studied genes was assessed by counting the percentage of positive cells of the total number of cells on each slide and expressed as a percentage of positive cells (0–100%) [58].
2.5. Measurement of Serum Melatonin Concentration
Blood samples were collected 4 times per day at 9:00, 15:00, 21:00 and 3:00. After centrifugation of samples at 3000× g for 15 min, the concentration of melatonin in blood serum was measured with use of commercial enzyme-linked immunosorbent assay (ELISA) kit (USCN Life Science Inc., Wuhan, China) in accordance with the manufacturer’s protocol. Melatonin concentrations of all of the samples were measured with an ELISA reader (Sunrise-Basic-Tecan, Grödig, Austria) set to an optical density at 450 nm and a standard range of 12.35–1000 pg/L.
2.6. Methods of Statistical Processing
Collected data were analyzed with use of “GraphPad Prism 6.0” software through calculation of the mean values, standard deviation, and standard error of the mean. Statistical differences were determined by the Kruskal–Wallis test. Differences were accepted as statistically significant at p < 0.05. The study presents average daily values from the parameters determined at 4 time points during the day.
3. Results
3.1. Influence of Various Light Regimes on Body Weight, Mass and Volume of the Tumor
The results of the study show mouse body weight increased significantly under condition of darkness deprivation, making up 24.31 ± 0.41 g against of 22.16 ± 0.44 g in the control group. Herewith, the mass of the tumor also turned out to be higher, rising from 4.98 ± 0.27 g in the control group to 7.04 ± 0.31 g in animals kept under constant light. However, the volume of the tumor did not change significantly (Figure 1).
Figure 1.
Influence of various light regimes on body weight of mice (A), mass of tumor (B) and its volume (C). Hereinafter: * (p ≤ 0.05); ** (p ≤ 0.005)—differences in comparison with the parameters of control group mice; ## (p ≤ 0.005); ### (p ≤ 0.0005)—differences in comparison with mice of LL group.
In the case of the influence of constant darkness there were no reliable changes in mouse body weight in comparison with the control; however, amounting to 22.35 ± 0.45 g, it was less than in mice kept under constant illumination (Figure 1).
The mass of the tumor as a result of keeping of mice in constant darkness was 3.25 ± 0.28 g, which is less than in both groups; the same is true for its volume, which was equal to 4.35 ± 0.27 cm3.
3.2. Influence of Various Light Regimes on Morphological Characteristics of B16 Melanoma
There were no macroscopic differences in the tumor between the groups, except of size. The tumors were represented by nodules of soft-elastic consistency, with heterogeneous dark brown or blackish coloration; the section showed a variegated appearance with focal necroses in some places.
Microscopic examination of the tumor in the LD group revealed that it consists of fields of proliferating atypical cells containing a large amount of melanin. Pigment content in the tumor was mainly intracellular; however, there were areas where it was located outside the cytoplasm. Epithelioid cells were the predominant population of tumor cells; multiple mitotic figures were noted (Figure 2).

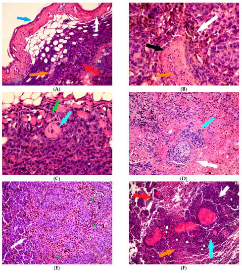
Figure 2.
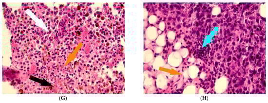
Mice melanoma, hematoxylin and eosin staining. (A)—LD group, ×200, the blue arrow shows hypoplasia of the stratified squamous epithelium with signs of acanthosis; white arrow—anastomosing acanthomatous strands at the border of the epidermal-dermal junction; red arrow—proliferation of atypical melanocytes; orange arrow—infiltration of all layers of surrounding tissues with tumor cells. (B)—LD group, ×400, white arrow—overgrowth of fields of tumor cells around a blood vessel with the formation of a rosette-like structure; black arrow—necrosis of vessel wall; orange arrow—areas of lymphocytic and neutrophil infiltration. (C)—LD group, ×400, light blue arrow shows areas of perineural invasion, green arrow indicates a mitotic figure. (D)—LL group, ×100, light blue arrow shows perineural invasion, white arrow—tumor cells reinforcing the area of the perineurium. (E)—LL group, ×100, white arrow shows epithelioid cells, asterisks show proliferating cell fields. (F)—DD group, ×100, white arrow—residual part of tumor in a form of overgrowth of epithelioid cell melanoma; light blue—plethoric sinusoidal type vessels; orange arrow—hemorrhages with severe lymphoplasmacytic infiltration, an admixture of eosinophils and an abundance of segmented leukocytes; red arrow—cells in condition of mitosis, foci of necrosis. (G)—DD group, ×400, regressive part of the tumor, white arrow shows lymphoplasmacytic infiltration; black arrow—infiltration with an admixture of eosinophils and an abundance of segmented leukocytes; orange arrow—site of micronecrosis with hemosiderin deposit. (H)—DD group, ×400, residual part of tumor, light blue arrow shows TILs; orange arrow—moderate infiltrate, focal fibrosclerosis of stroma.
The tumor had some signs of secondary changes represented predominantly by fields of necrosis, and decay, in a less degree. Perineural invasion of tumor was noted between areas of its necrobiosis—therefore, it possessed neurotorpism. Epithelioid tumor cells did not just surround the nerve trunks as a dense ring, but also an infiltration of perineurium with tumor cells complexes was noted. TILs (tumor infiltrating lymphocytes) infiltrate was moderate, with focal distribution and medium density (Figure 2).
Melanoma samples of animals of the LL group differed histologically from the control. The tumor consisted of fields of epithelioid cell melanoma containing a large amount of melanin. Localization of melatonin was predominantly intracellular. Epithelioid cells were mainly located in the vertical phase of growth, and there were also noted some areas of perivascular growth, but with absence of lympho- and intravascular invasion. Vascular walls were predominantly characterized with secondary changes, focal necrosis and edema. Multiple mitotic figures were noted in a tumor. Melanoma had clear signs of secondary changes, represented by fields of necrosis with areas of lymphocytic and neutrophil infiltration. There were areas of perineural invasion of tumor with the presence of invasion of tumor cells in the perineurium (intraneural invasion). TILs infiltrate presence was moderate, with focal distribution. Density of TILs infiltrate was also moderate. The skin in the projection of tumor growth was characterized by hypoplasia of stratified squamous epithelium with acanthosis phenomena, with anastomosing acanthomatous strands at the border of the epidermal–dermal junction and infiltration of all layers of the skin and surrounding soft tissues with melanoma cells.
Keeping of animals under conditions of constant darkness changed the structure of a tumor in an even greater extent, but the character of changes differed from LL group. This group showed signs of tumor regression. The residual part of a tumor was presented as overgrowths of epithelioid cell melanoma containing a large amount of melanin, which was located mainly intracellular. Plethoric vessels of the sinusoidal type, hemorrhages, pronounced lymphoplasmacytic infiltration with an admixture of eosinophils and an abundance of segmented leukocytes, high mitotic activity and foci of necrosis were noted. Epithelioid cells, as in the previous group, were in the vertical phase of growth, but without signs of lympho-, intravascular and perineural invasion. Moderate TILs infiltration and focal fibrosclerosis of stroma were noted in the residual part of the tumor.
In the regressive part of the tumor, single dystrophically altered tumor cells and also severe lymphoplasmacytic infiltration with an admixture of eosinophils and an abundance of segmented leukocytes, hemosiderin deposits and extensive areas of necrosis were noted.
Mitotic index made up 7.28 ± 0.54‰ in control group, in animals of LL group it increased significantly, reaching 10.05 ± 0.78‰, and in mice of DD group it decreased significantly to 6.03 ± 0.44‰.
3.3. Influence of Various Lighting Regimes on Micromorphometric Parameters of Cells of B16 Melanoma
We established the presence of reliable differences in micromorphometric parameters of B16 melanoma cells depending on light regimes.
In particular, area of nuclei of melanoma, which was 38.74 ± 0.67 μm2 in control group, increased up to 46.71 ± 4.79 μm2 under the influence of constant lighting and up to 49.93 ± 14.87 μm2 in conditions of constant darkness (Figure 3).
Figure 3.
Influence of various lighting regimes on cell nuclei area (A), cell area (B) and nuclear-cytoplasmic ratio (C) of cells of B16 melanoma. * (p ≤ 0.05); ** (p ≤ 0.005), *** (p ≤ 0.0005);—differences in comparison with the parameters of control group mice; ## (p ≤ 0.005); ### (p ≤ 0.0005)—differences in comparison with mice of LL group.
At the same time the size of the cell itself changed reliably in comparison with control value (which was 129.20 ± 35.87 μm2) just in case of constant illumination conditions, making up 92.76 ± 9.24 μm2, which is also lower than the same parameter in condition of constant darkness (144.30 ± 38.98 μm2) (Figure 3).
The same pattern, accordingly, was noted in relation to the NCR, which amounted 0.32 ± 0.058 in the control group, increased at constant lighting up to 0.51 ± 0.050, and was equal to 0.34 ± 0.051 in the melanoma cells of animals kept in constant darkness (Figure 3).
3.4. Serum Melatonin Concentration
Melatonin concentration in blood serum of control animals was 44.88 ± 6.77 pg/mL. In mice kept under constant illumination the same parameter value decreased reliably to 18.16 ± 1.15 pg/mL. In animals of DD group melatonin concentration increased up to 58.70 ± 7.90 pg/mL (Figure 4).
Figure 4.
Influence of various light regimes on expression of studied genes. *** (p ≤ 0.0005)—differences in comparison with the parameters of control group mice.
3.5. Influence of Various Lighting Regimes on Clock Genes Expression
During the analysis of expression of Bmal1, we did not find any intergroup differences. At the same time, Clock expression decreased under the constant lighting, amounting to 9.28 ± 1.49% against of 14.15 ± 0.93% in the control, and at constant darkness it increased, reaching 15.52 ± 1.15%. Moreover, under conditions of constant darkness, an increase in the expression of Per2 was noted (16.08 ± 1.86% against of 11.67 ± 1.24% in the control group) (Figure 4).
4. Discussion
The conducted study indicates that the lighting regime has a significant impact on the morphofunctional state of transplantable melanoma. In particular, it was established that animals subjected to darkness deprivation within 2 weeks demonstrate more intensive tumor growth, and keeping of mice in conditions of light deprivation, on the contrary, acts as a tumor growth inhibitor. Furthermore, in tumors of DD group animals the processes of tumor regression were noted, which are also confirmed by the results of micromorphometric studies.
These facts are explained by two effects that occur at staying under specific lighting regime. Firstly, production of pineal melatonin is significantly reduced under conditions of constant lighting [59] which was also confirmed in our study. Secondly, constant light or darkness causes disruption of circadian rhythmicity of an organism [60]. It is known that, in relation to the skin, melatonin can act against damage of DNA and mitochondria and oxidative stress, and prevent inflammation induced by such factors of environment as a stress, solar radiation, poor nutrition or air pollution [61]. Moreover, melatonin has a wide range of antitumor effects, which were noted earlier (immune-potentiating action, antioxidant activity and also inhibitory action on tumor cells growth, angiogenesis and hypoxia-inducible factor-1 (HIF-1)), its antineoplastic efficacy was shown in relation to a number of neoplasms [62,63,64,65].
Our data show that melatonin deficiency leads to pronounced increase mitotic figure numbers in tumors due to the absence of the antiproliferative effect of this hormone [66,67]. In turn, greater mass of the tumor in mice of this group is explained by the fact that cytotoxic effects of melatonin, described for various tumors, do not appear under conditions of its deficiency [68,69]. In turn, in animals kept in conditions of constant darkness, a significant decrease in mitotic activity and consequent slowdown in tumor growth were noted even in comparison with the control group.
Melatonin plays a significant role in circadian rhythmsity structure of mammalian organism. It is well known that disruption of the daily dynamics of melatonin production caused by light/darkness cycle violations, as well as a decrease in its production as a result of exposure of the organism to constant light conditions, leads to disruption of the normal circadian rhythm of an organism. This, in turn, is the basis for the development of a number of pathologies, including oncological ones [70,71].
As for the internal organs of humans and animals, the presence of circadian control of functions has been shown for the skin. However, a number of studies showed that the main clock genes (Bmal1, Clock, the Per family, Cry and others) function in various skin cells, and their work can be modulated by a number of additional factors (external light, UV light, feeding/insulin, sleep/insomnia etc.) [72,73,74].
It is established that all cells of melanoma have their own pronounced independent circadian rhythms with different characteristics of oscillation frequency and amplitudes of expression shifts of clock genes [75]. Regardless of whether this dysregulation of clock genes system is one of the causes of skin tumorogenesis or just one of its symptoms, changes in the expression of the clock genes studied by us indicate that constant illumination or darkness causes a disturbance in the chronostructure of tumor cells.
Within the conducted study, we found that there was a change in the expression number of the main clock genes in tumor parenchyma cells as a result of staying in conditions of constant illumination and constant darkness. It is shown that constant lighting leads to the suppression and significant disruption of clock genes expression, which, in accordance with the literature data, aggravates the severance of pathology; on the contrary, constant darkness promotes clock genes expression which creates more favorable conditions for maintaining circadian homeostasis; the presence of synchronization of the circadian characteristics of the tumor and the host organism contributes to the implementation of the antitumor response [76,77,78]. Wherein, melatonin deficiency caused by keeping animals under constant illumination led to more significant tumor growth compared to the control; and, vice versa, keeping animals in the dark not only inhibits this process, but also leads to tumor regression, which is as well reflected in the corresponding fluctuations of mitotic activity of melanoma cells.
It remains an open question whether changes in clock genes expression are a consequence or one of the causes of tumorogenesis, as well as how the violation of the lighting regime affects the circadian rhythm of the studied tumor parameters, which is a goal for further research.
Author Contributions
D.A.A., M.A.K., Z.V.G. and T.V.B. conceived the study and designed the experiment; M.A.K. collected the data; M.A.K., V.P.C., A.V.B. and M.V.M. performed the analysis; D.A.A., M.A.K. and M.V.M. wrote the paper; D.A.A., M.A.K. and V.P.C. edited the manuscript. All authors have read and agreed to the published version of the manuscript.
Funding
The work was carried out within the framework of the state task of Avtsyn Research Institute of Human Morphology of Federal State Budgetary Scientific Institution “Petrovsky National Research Centre of Surgery”, No. 122030200535-1.
Institutional Review Board Statement
Keeping of animals and experiments were performed in accordance with the European Convention for the Protection of Vertebrate Animals used for Experimental and other Scientific Purposes (Strasbourg, 18 March 1986). This research was approved by the Bioethical Committee of the Federal State Budgetary Scientific Institution “Avtsyn Research Institute of Human Morphology”, protocol N°34 (10) (14 March 2022).
Informed Consent Statement
Not applicable.
Data Availability Statement
The data presented in this study are available within the article text, tables, and figures.
Conflicts of Interest
The authors declare no conflict of interest.
References
- McKenna, H.; Van Der Horst, G.T.J.; Reiss, I.; Martin, D. Clinical chronobiology: A timely consideration in critical care medicine. Crit. Care 2018, 22, 124. [Google Scholar] [CrossRef] [PubMed]
- Panda, S. Circadian physiology of metabolism. Science 2016, 354, 1008–1015. [Google Scholar] [CrossRef] [PubMed]
- Zimmet, P.; Alberti, K.G.M.M.; Stern, N.; Bilu, C.; El-Osta, A.; Einat, H.; Kronfeld-Schor, N. The Circadian Syndrome: Is the Metabolic Syndrome and much more! J. Intern. Med. 2019, 286, 181–191. [Google Scholar] [CrossRef] [PubMed]
- Méndez-Hernández, R.; Escobar, C.; Buijs, R.M. Suprachiasmatic Nucleus–Arcuate Nucleus Axis: Interaction Between Time and Metabolism Essential for Health. Obesity 2020, 28 (Suppl. 1), S10–S17. [Google Scholar] [CrossRef] [PubMed]
- Kim, P.; Oster, H.; Lehnert, H.; Schmid, S.; Salamat, N.; Barclay, J.L.; Maronde, E.; Inder, W.; Rawashdeh, O. Coupling the Circadian Clock to Homeostasis: The Role of Period in Timing Physiology. Endocr. Rev. 2019, 40, 66–95. [Google Scholar] [CrossRef]
- Shi, D.; Chen, J.; Wang, J.; Yao, J.; Huang, Y.; Zhang, G.; Bao, Z. Circadian Clock Genes in the Metabolism of Non-alcoholic Fatty Liver Disease. Front. Physiol. 2019, 10, 423. [Google Scholar] [CrossRef]
- Masri, S.; Kinouchi, K.; Sassone-Corsi, P. Circadian clocks, epigenetics, and cancer. Curr. Opin. Oncol. 2015, 27, 50–56. [Google Scholar] [CrossRef]
- Sulli, G.; Lam, M.T.Y.; Panda, S. Interplay between Circadian Clock and Cancer: New Frontiers for Cancer Treatment. Trends Cancer 2019, 5, 475–494. [Google Scholar] [CrossRef]
- Shafi, A.A.; Knudsen, K.E. Cancer and the Circadian Clock. Cancer Res. 2019, 79, 3806–3814. [Google Scholar] [CrossRef]
- Stevens, R.G. Artificial Lighting in the Industrialized World: Circadian Disruption and Breast Cancer. Cancer Causes Control 2006, 17, 501–507. [Google Scholar] [CrossRef]
- Reiter, R.J.; Sharma, R.; Rosales-Corral, S.; Manucha, W.; Chuffa, L.G.D.A.; Zuccari, D.A.P.D.C. Melatonin and Pathological Cell Interactions: Mitochondrial Glucose Processing in Cancer Cells. Int. J. Mol. Sci. 2021, 22, 12494. [Google Scholar] [CrossRef] [PubMed]
- Anisimov, V.N.; Baturin, D.A.; Popovich, I.G.; Zabezhinski, M.A.; Manton, K.G.; Semenchenko, A.V.; Yashin, A.I. Effect of exposure to light-at-night on life span and spontaneous carcinogenesis in female CBA mice. Int. J. Cancer 2004, 111, 475–479. [Google Scholar] [CrossRef] [PubMed]
- Baturin, D.A.; Alimova, I.N.; Anisimov, V.N.; Popovich, I.G.; Zabezhinski, M.A.; Provinciali, M.; Mancini, R.; Franceschi, C. The effect of light regimen and melatonin on the development of spontaneous mammary tumors in HER-2/neu transgenic mice is related to a downregulation of HER-2/neu gene expression. Neuroendocrinol. Lett. 2001, 22, 441–447. [Google Scholar] [PubMed]
- Yu, H.S.; Reiter, R.J. Reiter Melatonin Biosynthesis, Physiological Effects, and Clinical Applications; CRC Press: Boca Raton, FL, USA, 1993; 560p. [Google Scholar]
- Van Den Heiligenberg, S.; Deprés-Brummer, P.; Barbason, H.; Claustrat, B.; Reynes, M.; Lévi, F. The tumor promoting effect of constant light exposure on diethylnitrosamine-induced hepatocarcinogenesis in rats. Life Sci. 1999, 64, 2523–2534. [Google Scholar] [CrossRef]
- Blask, D.; Sauer, L.; Dauchy, R.; Holowachuk, E.; Ruhoff, M. New Actions of Melatonin on Tumor Metabolism and Growth. Biol. Signals Recept. 1999, 8, 49–55. [Google Scholar] [CrossRef]
- Jasser, S.A.; Blask, D.E.; Brainard, G.C. Light During Darkness and Cancer: Relationships in Circadian Photoreception and Tumor Biology. Cancer Causes Control 2006, 17, 515–523. [Google Scholar] [CrossRef]
- Li, J.; Xu, F. Influences of Light-Dark Shifting on the Immune System, Tumor Growth and Life Span of Rats, Mice and Fruit Flies as well as on the Counteraction of Melatonin. Biol. Signals 1997, 6, 77–89. [Google Scholar] [CrossRef]
- Li, Y.; Li, S.; Zhou, Y.; Meng, X.; Zhang, J.-J.; Xu, D.-P.; Li, H.-B. Melatonin for the prevention and treatment of cancer. Oncotarget 2017, 8, 39896–39921. [Google Scholar] [CrossRef]
- Sohn, E.J.; Won, G.; Lee, J.; Lee, S.; Kim, S.-H. Upregulation of miRNA3195 and miRNA374b Mediates the Anti-Angiogenic Properties of Melatonin in Hypoxic PC-3 Prostate Cancer Cells. J. Cancer 2015, 6, 19–28. [Google Scholar] [CrossRef]
- Prieto-Domínguez, N.; Méndez-Blanco, C.; Carbajo-Pescador, S.; Fondevila, F.; García-Palomo, A.; González-Gallego, J.; Mauriz, J.L. Melatonin enhances sorafenib actions in human hepatocarcinoma cells by inhibiting mTORC1/p70S6K/HIF-1α and hypoxia-mediated mitophagy. Oncotarget 2017, 8, 91402–91414. [Google Scholar] [CrossRef]
- Rondanelli, M.; Faliva, M.A.; Perna, S.; Antoniello, N. Update on the role of melatonin in the prevention of cancer tumorigenesis and in the management of cancer correlates, such as sleep-wake and mood disturbances: Review and remarks. Aging Clin. Exp. Res. 2013, 25, 499–510. [Google Scholar] [CrossRef] [PubMed]
- Zharinov, G.M.; Bogomolov, O.A.; Chepurnaya, I.V.; Neklasova, N.Y.; Anisimov, V.N. Melatonin increases overall survival of prostate cancer patients with poor prognosis after combined hormone radiation treatment. Oncotarget 2020, 11, 3723–3729. [Google Scholar] [CrossRef] [PubMed]
- Ashrafizadeh, M.; Ahmadi, Z.; Yaribeygi, H.; Sathyapalan, T.; Jamialahmadi, T.; Sahebkar, A. Antitumor and Protective Effects of Melatonin: The Potential Roles of MicroRNAs. Adv Exp Med Biol. 2021, 1328, 463–471. [Google Scholar] [CrossRef] [PubMed]
- Zhang, H.; Qi, S.; Liu, Z.; Li, C.; Li, M.; Zhao, X. Melatonin Inhibits 17β-Estradiol-Induced Epithelial-Mesenchymal Transition in Endometrial Adenocarcinoma Cells via Upregulating Numb Expression. Gynecol. Obstet. Investig. 2022, 87, 89–99. [Google Scholar] [CrossRef] [PubMed]
- de Assis, L.V.M.; Moraes, M.N.; Castrucci, A.M.D.L. The molecular clock in the skin, its functionality, and how it is disrupted in cutaneous melanoma: A new pharmacological target? Cell. Mol. Life Sci. 2019, 76, 3801–3826. [Google Scholar] [CrossRef]
- Slominski, R.M.; Raman, C.; Chen, J.Y.; Slominski, A.T. How cancer hijacks the body’s homeostasis through the neuroendocrine system. Trends Neurosci. 2023, 46, 263–275. [Google Scholar] [CrossRef] [PubMed]
- Slominski, R.M.; Sarna, T.; Płonka, P.M.; Raman, C.; Brożyna, A.A.; Slominski, A.T. Melanoma, Melanin, and Melanogenesis: The Yin and Yang Relationship. Front. Oncol. 2022, 12, 842496. [Google Scholar] [CrossRef]
- de Assis, L.V.M.; Moraes, M.N.; Mendes, D.; Silva, M.M.; Menck, C.F.M.; Castrucci, A.M.L. Loss of Melanopsin (OPN4) Leads to a Faster Cell Cycle Progression and Growth in Murine Melanocytes. Curr. Issues Mol. Biol. 2021, 43, 101. [Google Scholar] [CrossRef]
- Lubov, J.; Cvammen, W.; Kemp, M. The Impact of the Circadian Clock on Skin Physiology and Cancer Development. Int. J. Mol. Sci. 2021, 22, 6112. [Google Scholar] [CrossRef]
- Fischer, T.W.; Slominski, A.; Zmijewski, M.A.; Reiter, R.J.; Paus, R. Melatonin as a major skin protectant: From free radical scavenging to DNA damage repair. Exp. Dermatol. 2008, 17, 713–730. [Google Scholar] [CrossRef]
- Slominski, R.M.; Reiter, R.J.; Schlabritz-Loutsevitch, N.; Ostrom, R.S.; Slominski, A.T. Melatonin membrane receptors in peripheral tissues: Distribution and functions. Mol. Cell. Endocrinol. 2012, 351, 152–166. [Google Scholar] [CrossRef] [PubMed]
- Pandi-Perumal, S.R.; Trakht, I.; Srinivasan, V.; Spence, D.W.; Maestroni, G.J.; Zisapel, N.; Cardinali, D.P. Physiological effects of melatonin: Role of melatonin receptors and signal transduction pathways. Prog. Neurobiol. 2008, 85, 335–353. [Google Scholar] [CrossRef] [PubMed]
- Mubashshir, M.; Ahmad, N.; Sköld, H.N.; Ovais, M. An exclusive review of melatonin effects on mammalian melanocytes and melanoma. Exp. Dermatol. 2022, 32, 324–330. [Google Scholar] [CrossRef]
- Jansen, R.; Wang, S.Q.; Burnett, M.; Osterwalder, U.; Lim, H.W. Photoprotection. J. Am. Acad. Dermatol. 2013, 69, 853.e1–853.e12. [Google Scholar] [CrossRef] [PubMed]
- Colin-Gonzalez, A.; Aguilera, G.; Serratos, I.; Escribano, B.; Santamaria, A.; Tunez, I. On the Relationship Between the Light/Dark Cycle, Melatonin and Oxidative Stress. Curr. Pharm. Des. 2015, 21, 3477–3488. [Google Scholar] [CrossRef] [PubMed]
- Slominski, A.T.; Hardeland, R.; Zmijewski, M.A.; Slominski, R.M.; Reiter, R.J.; Paus, R. Melatonin: A Cutaneous Perspective on its Production, Metabolism, and Functions. J. Investig. Dermatol. 2018, 138, 490–499. [Google Scholar] [CrossRef]
- Acuña-Castroviejo, D.; Escames, G.; Venegas, C.; Díaz-Casado, M.E.; Lima-Cabello, E.; Lopez, L.C.; Rosales-Corral, S.; Tan, D.-X.; Reiter, R.J. Extrapineal melatonin: Sources, regulation, and potential functions. Cell. Mol. Life Sci. 2014, 71, 2997–3025. [Google Scholar] [CrossRef] [PubMed]
- Rusanova, I.; Martínez-Ruiz, L.; Florido, J.; Rodríguez-Santana, C.; Guerra-Librero, A.; Acuña-Castroviejo, D.; Escames, G. Protective Effects of Melatonin on the Skin: Future Perspectives. Int. J. Mol. Sci. 2019, 20, 4948. [Google Scholar] [CrossRef]
- Slominski, A.; Pruski, D. Melatonin Inhibits Proliferation and Melanogenesis in Rodent Melanoma Cells. Exp. Cell Res. 1993, 206, 189–194. [Google Scholar] [CrossRef]
- Fischer, T.W.; Zmijewski, M.A.; Zbytek, B.; Sweatman, T.W.; Slominski, R.M.; Wortsman, J.; Slominski, A. Oncostatic effects of the indole melatonin and expression of its cytosolic and nuclear receptors in cultured human melanoma cell lines. Int. J. Oncol. 2006, 29, 665–672. [Google Scholar] [CrossRef]
- Alvarez-Artime, A.; Cernuda-Cernuda, R.; Naveda, F.A.; Cepas, V.; Gonzalez-Menendez, P.; Fernadez-Vega, S.; Quiros-Gonzalez, I.; Sainz, R.M.; Mayo, J.C. Melatonin-Induced Cytoskeleton Reorganization Leads to Inhibition of Melanoma Cancer Cell Proliferation. Int. J. Mol. Sci. 2020, 21, 548. [Google Scholar] [CrossRef] [PubMed]
- Fischer, T.W.; Kleszczyński, K.; Hardkop, L.H.; Kruse, N.; Zillikens, D. Melatonin enhances antioxidative enzyme gene expression (CAT, GPx, SOD), prevents their UVR-induced depletion, and protects against the formation of DNA damage (8-hydroxy-2’-deoxyguanosine) in ex vivo human skin. J. Pineal Res. 2013, 54, 303–312. [Google Scholar] [CrossRef] [PubMed]
- Cutando, A.; López-Valverde, A.; Arias-Santiago, S.; De Vicente, J.; De Diego, R.G. Role of melatonin in cancer treatment. Anticancer. Res. 2012, 32, 2747–2753. [Google Scholar] [PubMed]
- Pathipaka, R.; Thyagarajan, A.; Sahu, R.P. Melatonin as a Repurposed Drug for Melanoma Treatment. Med. Sci. 2023, 11, 9. [Google Scholar] [CrossRef] [PubMed]
- Slominski, A.; Pisarchik, A.; Semak, I.; Sweatman, T.; Wortsman, J. Characterization of the serotoninergic system in the C57BL/6 mouse skin. Eur. J. Biochem. 2003, 270, 3335–3344. [Google Scholar] [CrossRef]
- Slominski, A.; Wortsman, J.; Tobin, D.J. The cutaneous serotoninergic/melatoninergic system: Securing a place under the sun. FASEB J. 2005, 19, 176–194. [Google Scholar] [CrossRef]
- Treschalina, E.M.; Zhukova, O.S.; Gerasimova, G.K.; Andronova, N.G.; Garin, A.M. Methodical recommendations for the preclinical study of the antitumor activity of drugs. In Guidelines for Conducting Preclinical Studies of Drugs. Part One; Grif i K: Moscow, Russia, 2012; pp. 642–657. [Google Scholar]
- Burghoff, S.; Gong, X.; Viethen, C.; Jacoby, C.; Flögel, U.; Bongardt, S.; Schorr, A.; Hippe, A.; Homey, B.; Schrader, J. Growth and metastasis of B16-F10 melanoma cells is not critically dependent on host CD73 expression in mice. BMC Cancer 2014, 14, 898. [Google Scholar] [CrossRef]
- Underwood, W.; Anthony, R.; Cartner, S.; Corey, D.; Grandin, T.; Greenacre, C.; Gwaltney-Brant, S.; McCrackin, M.A.; Meyer, R.; Miller, D. AVMA Guidelines for the Euthanasia of Animals; American Veterinary Medical Association: Schaumburg, IL, USA, 2013. [Google Scholar]
- Overwijk, W.W.; Restifo, N.P. B16 as a Mouse Model for Human Melanoma. Curr. Protoc. Immunol. 2001, 39, 20.1.1–20.1.29. [Google Scholar] [CrossRef]
- Ishikawa, M.; Koga, Y.; Hosokawa, M.; Kobayashi, H. Augmentation of B16 melanoma lung colony formation in C57BL/6 mice having marked granulocytosis. Int. J. Cancer 1986, 37, 919–924. [Google Scholar] [CrossRef]
- Fischer, A.H.; Jacobson, K.A.; Rose, J.; Zeller, R. Hematoxylin and Eosin Staining of Tissue and Cell Sections. Cold Spring Harb. Protoc. 2008, 2008, pdb-prot4986. [Google Scholar] [CrossRef]
- Broeke, J.; Pérez, J.M.M.; Pascau, J. Image Processing with ImageJ; Packt Publishing: Birmingham, UK, 2015; p. 346. [Google Scholar]
- Smitha, T.; Sharada, P.; Girish, H. Morphometry of the basal cell layer of oral leukoplakia and oral squamous cell carcinoma using computer-aided image analysis. J. Oral Maxillofac. Pathol. 2011, 15, 26–33. [Google Scholar] [CrossRef] [PubMed]
- Cree, I.A.; Tan, P.H.; Travis, W.D.; Wesseling, P.; Yagi, Y.; White, V.A.; Lokuhetty, D.; Scolyer, R.A. Counting mitoses: SI(ze) matters! Mod. Pathol. 2021, 34, 1651–1657. [Google Scholar] [CrossRef] [PubMed]
- Kim, S.-W.; Roh, J.; Park, C.-S. Immunohistochemistry for Pathologists: Protocols, Pitfalls, and Tips. J. Pathol. Transl. Med. 2016, 50, 411–418. [Google Scholar] [CrossRef]
- Rubin Grandis, J.; Melhem, M.F.; Barnes, E.L.; Tweardy, D.J. Quantitative immunohistochemical analysis of transforming growth factor-alpha and epidermal growth factor receptor in patients with squamous cell carcinoma of the head and neck. Cancer 1996, 78, 1284–1292. [Google Scholar] [CrossRef]
- Gorman, M.R. Temporal organization of pineal melatonin signaling in mammals. Mol. Cell. Endocrinol. 2020, 503, 110687. [Google Scholar] [CrossRef]
- Rumanova, V.S.; Okuliarova, M.; Zeman, M. Differential Effects of Constant Light and Dim Light at Night on the Circadian Control of Metabolism and Behavior. Int. J. Mol. Sci. 2020, 21, 5478. [Google Scholar] [CrossRef]
- Bocheva, G.; Slominski, R.M.; Janjetovic, Z.; Kim, T.-K.; Böhm, M.; Steinbrink, K.; Reiter, R.J.; Kleszczyński, K.; Slominski, A.T. Protective Role of Melatonin and Its Metabolites in Skin Aging. Int. J. Mol. Sci. 2022, 23, 1238. [Google Scholar] [CrossRef]
- Franco, P.I.R.; Neto, J.R.D.C.; Milhomem, A.C.; Machado, J.R.; Miguel, M.P. Antitumor effect of melatonin on breast cancer in experimental models: A systematic review. Biochim. Biophys. Acta (BBA)—Rev. Cancer 2023, 1878, 188838. [Google Scholar] [CrossRef]
- Fathizadeh, H.; Mirzaei, H.; Asemi, Z. Melatonin: An anti-tumor agent for osteosarcoma. Cancer Cell Int. 2019, 19, 319. [Google Scholar] [CrossRef]
- Shen, D.; Ju, L.; Zhou, F.; Yu, M.; Ma, H.; Zhang, Y.; Liu, T.; Xiao, Y.; Wang, X.; Qian, K. The inhibitory effect of melatonin on human prostate cancer. Cell Commun. Signal. 2021, 19, 34. [Google Scholar] [CrossRef]
- Gurunathan, S.; Qasim, M.; Kang, M.-H.; Kim, J.-H. Role and Therapeutic Potential of Melatonin in Various Type of Cancers. Onco Targets Ther. 2021, 14, 2019–2052. [Google Scholar] [CrossRef]
- Kadekaro, A.L.; Andrade, L.; Floeter-Winter, L.M.; Rollag, M.D.; Virador, V.; Vieira, W.; Castrucci, A.M.D.L. MT-1 melatonin receptor expression increases the antiproliferative effect of melatonin on S-91 murine melanoma cells. J. Pineal Res. 2004, 36, 204–211. [Google Scholar] [CrossRef] [PubMed]
- Ram, P.; Dai, J.; Yuan, L.; Dong, C.; Kiefer, T.; Lai, L.; Hill, S. Involvement of the mt1 melatonin receptor in human breast cancer. Cancer Lett. 2002, 179, 141–150. [Google Scholar] [CrossRef] [PubMed]
- García-Navarro, A.; González-Puga, C.; Escames, G.; López, L.C.; López, A.; López-Cantarero, M.; Camacho, E.; Espinosa, A.; Gallo, M.A.; Acuña-Castroviejo, D. Cellular mechanisms involved in the melatonin inhibition of HT-29 human colon cancer cell proliferation in culture. J. Pineal Res. 2007, 43, 195–205. [Google Scholar] [CrossRef] [PubMed]
- Paternoster, L.; Radogna, F.; Accorsi, A.; Cristina Albertini, M.; Gualandi, G.; Ghibelli, L. Melatonin as a Modulator of Apoptosis in B-Lymphoma Cells. Ann. N. Y. Acad. Sci. 2009, 1171, 345–349. [Google Scholar] [CrossRef]
- Talib, W.H. Melatonin and Cancer Hallmarks. Molecules 2018, 23, 518. [Google Scholar] [CrossRef] [PubMed]
- Farhood, B.; Goradel, N.H.; Mortezaee, K.; Khanlarkhani, N.; Najafi, M.; Sahebkar, A. Melatonin and cancer: From the promotion of genomic stability to use in cancer treatment. J. Cell. Physiol. 2019, 234, 5613–5627. [Google Scholar] [CrossRef]
- Akashi, M.; Soma, H.; Yamamoto, T.; Tsugitomi, A.; Yamashita, S.; Yamamoto, T.; Nishida, E.; Yasuda, A.; Liao, J.K.; Node, K. Noninvasive method for assessing the human circadian clock using hair follicle cells. Proc. Natl. Acad. Sci. USA 2010, 107, 15643–15648. [Google Scholar] [CrossRef]
- Wu, G.; Ruben, M.D.; Schmidt, R.E.; Francey, L.J.; Smith, D.F.; Anafi, R.C.; Hughey, J.J.; Tasseff, R.; Sherrill, J.D.; Oblong, J.E.; et al. Population-level rhythms in human skin with implications for circadian medicine. Proc. Natl. Acad. Sci. USA 2018, 115, 12313–12318. [Google Scholar] [CrossRef]
- Lengyel, Z.; Lovig, C.; Kommedal, S.; Keszthelyi, R.; Szekeres, G.; Battyáni, Z.; Csernus, V.; Nagy, A.D. Altered expression patterns of clock gene mRNAs and clock proteins in human skin tumors. Tumor Biol. 2013, 34, 811–819. [Google Scholar] [CrossRef]
- Sandu, C.; Dumas, M.; Malan, A.; Sambakhe, D.; Marteau, C.; Nizard, C.; Schnebert, S.; Perrier, E.; Challet, E.; Pévet, P.; et al. Human skin keratinocytes, melanocytes, and fibroblasts contain distinct circadian clock machineries. Cell. Mol. Life Sci. 2012, 69, 3329–3339. [Google Scholar] [CrossRef] [PubMed]
- Fu, L.; Kettner, N.M. The Circadian Clock in Cancer Development and Therapy. Prog. Mol. Biol. Transl. Sci. 2013, 119, 221–282. [Google Scholar] [CrossRef] [PubMed]
- Kinouchi, K.; Sassone-Corsi, P. Metabolic rivalry: Circadian homeostasis and tumorigenesis. Nat. Rev. Cancer 2020, 20, 645–661. [Google Scholar] [CrossRef] [PubMed]
- Ercolani, L.; Ferrari, A.; De Mei, C.; Parodi, C.; Wade, M.; Grimaldi, B. Circadian clock: Time for novel anticancer strategies? Pharmacol. Res. 2015, 100, 288–295. [Google Scholar] [CrossRef] [PubMed]
Disclaimer/Publisher’s Note: The statements, opinions and data contained in all publications are solely those of the individual author(s) and contributor(s) and not of MDPI and/or the editor(s). MDPI and/or the editor(s) disclaim responsibility for any injury to people or property resulting from any ideas, methods, instructions or products referred to in the content. |
© 2023 by the authors. Licensee MDPI, Basel, Switzerland. This article is an open access article distributed under the terms and conditions of the Creative Commons Attribution (CC BY) license (https://creativecommons.org/licenses/by/4.0/).